JavaScript is disabled in your browser. Please enable JavaScript to view this website.
AB10558

Anti-CD45 抗体

Anti-CD45 antibody

4

(61 Reviews)

|

(624 Publications)

Anti-CD45 antibody (ab10558) is a rabbit polyclonal antibody detecting CD45 in Western Blot, Flow Cytometry (Intra), Flow Cytometry, IHC-P. Suitable for Human, Mouse, Rat.

- Over 450 publications
- Trusted since 2005

別名を表示する

CD45, PTPRC, Receptor-type tyrosine-protein phosphatase C, Leukocyte common antigen, T200, L-CA

15 Images
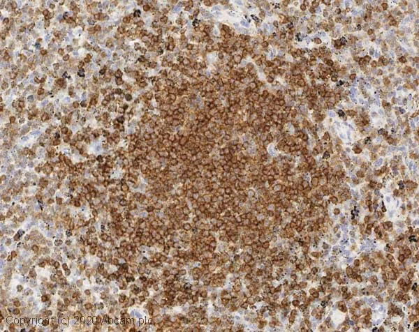
Immunohistochemistry (Formalin/PFA-fixed paraffin-embedded sections) - Anti-CD45 antibody (AB10558)
  • IHC-P

Lab

Immunohistochemistry (Formalin/PFA-fixed paraffin-embedded sections) - Anti-CD45 antibody (AB10558)

Immunohistochemical analysis of formalin fixed paraffin embedded human tonsil labelling CD45 with ab10558 at a concentration of 0.5µg/ml. The immunostaining was performed on a Leica Biosystems BOND® RX instrument with a Bond™ Polymer Refine Detection kit. Heat mediated antigen retrieval was performed with Tris-EDTA buffer (pH 9.0, Epitope Retrieval Solution 2) for 20mins. ab10558 anti-CD45 antibody was incubated for 15mins at room temperature. Sections were counterstained with Hematoxylin. Image inset shows absence of staining in secondary antibody only control.

Customers are encouraged to optimise antigen retrieval conditions, antibody concentration, incubation times and temperature for best results in their own IHC assay workflow (automated and manual).

Immunohistochemistry (Formalin/PFA-fixed paraffin-embedded sections) - Anti-CD45 antibody (AB10558)
  • IHC-P

Lab

Immunohistochemistry (Formalin/PFA-fixed paraffin-embedded sections) - Anti-CD45 antibody (AB10558)

IHC image of CD45 antibody staining in a section of formalin-fixed paraffin-embedded normal human spleen* performed on a Leica BONDTM system using the standard protocol. The section was pre-treated using heat mediated antigen retrieval with sodium citrate buffer (pH6 epitope retrieval solution 1) for 20mins. The section was then incubated with ab10558 1ug/ml for 15 mins at room temperature and detected using an HRP conjugated compact polymer system. DAB was used as the chromogen. The section was then counterstained with haematoxylin and mounted with DPX.

For other IHC staining systems (automated and non-automated) customers should optimize variable parameters such as antigen retrieval conditions primary antibody concentration and antibody incubation times.

*Tissue obtained from the Human Research Tissue Bank supported by the NIHR Cambridge Biomedical Research Centre

Immunohistochemistry (Formalin/PFA-fixed paraffin-embedded sections) - Anti-CD45 antibody (AB10558)
  • IHC-P

Lab

Immunohistochemistry (Formalin/PFA-fixed paraffin-embedded sections) - Anti-CD45 antibody (AB10558)

Immunohistochemical analysis of formalin fixed paraffin embedded human tonsil labelling CD45 with ab10558 at a concentration of 0.1µg/ml. The immunostaining was performed on a Ventana DISCOVERY ULTRA (Roche Tissue Diagnostics) instrument with a OptiView DAB IHC Detection Kit. Heat mediated antigen retrieval was performed with DISCOVERY cell conditioning solution (CC1) 100°C, pH8.5 for 32mins. ab10558 anti-CD45 antibody was incubated for 16mins at 37°C. Sections were counterstained with Hematoxylin II. Image inset shows absence of staining in secondary antibody only control.

Customers are encouraged to optimise antigen retrieval conditions, antibody concentration, incubation times and temperature for best results in their own IHC assay workflow (automated and manual).

Flow Cytometry (Intracellular) - Anti-CD45 antibody (AB10558)
  • Flow Cyt (Intra)

AbReview12835****

Flow Cytometry (Intracellular) - Anti-CD45 antibody (AB10558)

Asynchronous KM-H2 cells were pelleted and labeled by indirect immunofluorescence. Cells were stained with ab10558 (1/200 dilution) for 30min at 4'C washed and then stained with goat anti-rabbit alexafluor 488 (1/200 dilution). Forward/Side scatter were used to eliminate cellular debris. The accompanying marker was applied such that only 2% of the IgG control was positive Based on the accompanying image approximately 8.4% of cells exhibited positive staining for anti-CD45. Since KM-H2 are known to have low levels of CD45 transcripts they are expected to have low levels of CD45 which is reflected in the ~8%. This image is from an Abreview.

This image is courtesy of an abreview submitted by Kirk Mcmanu.

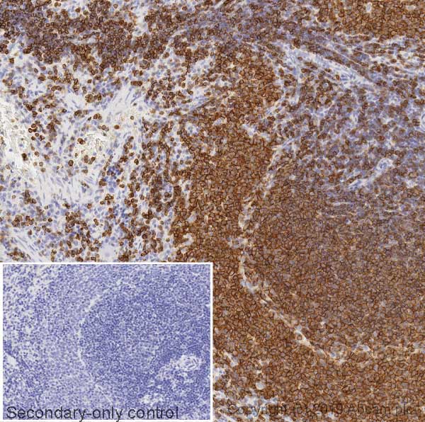
Immunohistochemistry (Formalin/PFA-fixed paraffin-embedded sections) - Anti-CD45 antibody (AB10558)
  • IHC-P

PubMed

Immunohistochemistry (Formalin/PFA-fixed paraffin-embedded sections) - Anti-CD45 antibody (AB10558)

ab10558 staining CD45 in Human tonsil tissue sections by Immunohistochemistry (IHC-P - paraformaldehyde-fixed, paraffin-embedded sections). Negative control is shown in panel. Blocking was with horse serum (1/75) for 1 hour at room temperature. Samples were incubated with primary antibody (1/10) overnight at 4°C. A Biotin-conjugated Horse anti-mouse polyclonal (1/200) was used as the secondary antibody.

Lorenzi T et al., PLos One 7:e35232 (2012), Fig 4, doi: 10.1371/journal.pone.0035232 Reproduced under the Creative Commons license http://creativecommons.org/licenses/by/4.0/

Flow Cytometry (Intracellular) - Anti-CD45 antibody (AB10558)
  • Flow Cyt (Intra)

Unknown

Flow Cytometry (Intracellular) - Anti-CD45 antibody (AB10558)

Overlay histogram showing Jurkat cells stained with ab10558 (red line). The cells were fixed with 80% methanol (5 min) and incubated in 1x PBS / 10% normal goat serum / 0.3M glycine to block non-specific protein-protein interactions. The cells were then incubated with the antibody (ab10558 1μg/1x106 cells) for 30 min at 22°C. The secondary antibody used was DyLight® 488 goat anti-rabbit IgG (H+L) (ab96899) at 1/1000 dilution for 30 min at 22°C. Isotype control antibody (black line) was rabbit IgG (1μg/1x106 cells) used under the same conditions. Acquisition of >5000 events was performed.

Please note that Abcam do not have any data for use of this antibody on non-fixed cells. We welcome any customer feedback.

Immunohistochemistry (Formalin/PFA-fixed paraffin-embedded sections) - Anti-CD45 antibody (AB10558)
  • IHC-P

AbReview50074****

Immunohistochemistry (Formalin/PFA-fixed paraffin-embedded sections) - Anti-CD45 antibody (AB10558)

Immunohistochemical analysis of formaldehyde fixed human cephalic sections. Primary antibody ab10558 to CD45 incubated at a concentration of 1/100 for 4°C for 18 hours. Secondary antibody used was a goat anti-rabbit congugated to biotin at a 1/200 dilution. Blocking was done with serum at a 10% concentration for 1 hour at 25°C.

This image is courtesy of an anonymous abreview.

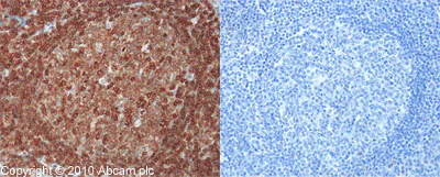
Immunohistochemistry (Formalin/PFA-fixed paraffin-embedded sections) - Anti-CD45 antibody (AB10558)
  • IHC-P

Unknown

Immunohistochemistry (Formalin/PFA-fixed paraffin-embedded sections) - Anti-CD45 antibody (AB10558)

ab10558 (1 : 40 dilution) staining CD45 in paraffin-embedded human tonsil (left panel) using an automated system (Ventana Discovery). Right-hand panel shows negative control (no primary antibody).
Using this protocol there is strong membrane staining of B cells in the germinal centres and mantle zone of the follicles and scattered cells of the interfollicular areas (paracortical T and B cells). There is a mild to moderate degree of cytoplasmic staining associated with the membrane staining in these specific cells.

Sections were rehydrated and antigen retrieved in CC1 Cell Conditioning Buffer using Ventana Extended Retrieval programme. Slides were blocked in 3% H2O2 /4 min/ 37°C and incubated with ab10558 (1 : 40 dilution / 1 hour/ 37°C). Sections then blocked (4mins/ 37°C) and incubated with Dako swine anti-rabbit antibody (1 : 50 dilution, 28 min/ 37°C). Staining was amplified and detected by incubation with Ventana Streptavidin ABC (HRP-DAB) system (16 min/ 37°C) before being counterstained with hematoxylin.

Western blot - Anti-CD45 antibody (AB10558)
  • WB

Unknown

Western blot - Anti-CD45 antibody (AB10558)

Secondary antibody - goat anti-rabbit H&L (HRP) (ab6721)

All lanes:

Western blot - Anti-CD45 antibody (ab10558) at 1/500 dilution

Lane 1:

Jurkat Whole Cell Lysate at 20 µg

Lane 2:

Jurkat Whole Cell Lysate at 20 µg with Human CD45 peptide (ab17553)

Secondary

All lanes:

Western blot - Goat Anti-Rabbit IgG H&L (HRP) (<a href='/products/secondary-antibodies/goat-rabbit-igg-h-l-hrp-ab6721'>ab6721</a>) at 1/5000 dilution

Predicted band size: 147 kDa

false

Exposure time: 3min

Western blot - Anti-CD45 antibody (AB10558)
  • WB

Ap29663****

Western blot - Anti-CD45 antibody (AB10558)

This blot was produced using a 3-8% Tris Acetate gel under the TA buffer system. The gel was run at 150V for 60 minutes before being transferred onto a Nitrocellulose membrane at 30V for 70 minutes. The membrane was then blocked for an hour using 2% Bovine Serum Albumin before being incubated with ab10558 overnight at 4°C. Antibody binding was detected using an anti-rabbit antibody conjugated to HRP, and visualised using ECL development solution ab133406.

CD45 contains a number of potential glycosylation sites (SwissProt) which may explain its migration at a higher molecular weight than predicted.

All lanes:

Western blot - Anti-CD45 antibody (ab10558) at 1 µg/mL

Lane 1:

Jurkat (Human) Whole Cell Lysate at 20 µg

Lane 2:

RAW 264.7 (Mouse leukaemic monocyte macrophage cell line) Whole Cell Lysate at 20 µg

Lane 3:

Spleen (Mouse) Tissue Lysate at 20 µg

Lane 4:

Spleen (Rat) Tissue Lysate at 20 µg

Secondary

All lanes:

Goat Anti-Rabbit IgG H&L (HRP) at 1/50000 dilution

Predicted band size: 147 kDa

Observed band size: 190 kDa,230 kDa

true

Exposure time: 1min

Immunohistochemistry - Anti-CD45 antibody (AB10558)
  • IHC

CiteAb

Immunohistochemistry - Anti-CD45 antibody (AB10558)

Immunohistochemistry using Anti-CD45 antibody, ab10558. Publication image from Gerzanich, V. et al., 2015, J Neuroinflammation, 26581714. Legend direct from paper.

Glibenclamide and Abcc8-/- suppress immune cell infiltration in EAE. a–d White matter of lumbar spinal cord sections from WT control (a), untreated pid-30 WT/EAE (b), glibenclamide-treated pid-30 WT/EAE (c), and pid-30 Abcc8-/-/EAE (d) mice, stained with H&E or immunolabeled for CD45 (leucocyte), CD3 (T cells), CD20 (B cells), or CD11b (macrophage/microglia), as indicated; original magnification, x200 (H&E) or x400 (all immunolabelings). eleft panel : percent of quadrants with inflammatory cells on H&E; four mice/group. efour right panels : Quantification of CD-45-, CD3-, CD20-, and CD11b-expressing cells in white matter; four mice/group; ##P<0.01 with respect to WT control; **P<0.01, and ***P<0.001 with respect to WT/EAE; scale bars, 100 μm.

Immunohistochemistry - Anti-CD45 antibody (AB10558)
  • IHC

CiteAb

Immunohistochemistry - Anti-CD45 antibody (AB10558)

Immunohistochemistry using Anti-CD45 antibody, ab10558. Publication image from Lachota, M. et al., 2018, Angiogenesis, 29332242. Legend direct from paper.

Histology and immunofluorescence in rat corneal sections. a Hematoxylin and Eosin (H&E), b VEGF-A (green); c CCL2 (green); d TNF-α (green); e CXCL5 (green); f CD45 (green) and g HIF-1α (green) staining in rat cornea tissue. Nuclear counterstaining by DAPI (blue) in fluorescent images.

Immunohistochemistry (Formalin/PFA-fixed paraffin-embedded sections) - Anti-CD45 antibody (AB10558)
  • IHC-P

CiteAb

Immunohistochemistry (Formalin/PFA-fixed paraffin-embedded sections) - Anti-CD45 antibody (AB10558)

Immunohistochemistry (Formalin/PFA-fixed paraffin-embedded sections) using Anti-CD45 antibody, ab10558. Publication image from Gerzanich, V. et al., 2017, J Neuroinflammation, 28865458. Legend direct from paper.

Chronic phase glibenclamide reduces the inflammatory burden in EAE. White matter of lumbar spinal cord sections from non-EAE control (CTR), untreated EAE mouse (EAE), and EAE mouse treated with glibenclamide starting on pid-24 (EAE + G), examined at pid-40, stained with H&E or immunolabeled for CD45 (leukocyte), CD20 (B cells), or CD3 (T cells), as indicated; original magnification, x200 (H&E) or x400 (all immunolabelings); bar graphs : percent of quadrants with inflammatory cells on H&E; quantification of CD45+, CD20+, and CD3+ cells in white matter; 5 mice/group; ##P < 0.01 with respect to non-EAE control (CTR); **P < 0.01 with respect to untreated EAE; scale bars 100 μm.

Western blot - Anti-CD45 antibody (AB10558)
  • WB

CiteAb

Western blot - Anti-CD45 antibody (AB10558)

Western Blotting using Anti-CD45 antibody, ab10558. Publication image from Ferrara, M. et al., 2020, Front Immunol, 32670275. Legend direct from paper.

Redox modulation of HMGB1 in spleen and in drug-intoxicated liver. (A) Western blot probed with anti-CD45, anti-HMGB1, and anti-GAPDH antibodies in reducing conditions (upper panels) or probed with anti-HMGB1 antibody in non-reducing conditions (lower panel) on lysates of spleen and liver isolated from control WT mice. In the lower panel, the upper band corresponds to the fully reduced-HMGB1 (frHMGB1) and the lower band to the disulphide-HMGB1 (dsHMGB1). (B,C) Quantification of total CD45 and HMGB1 protein levels normalized on GAPDH (B), and HMGB1 redox isoforms percentage (C) in spleen and liver lysates. A.U. = arbitrary unit (n = 4 mice/group). (D–G) Drug-induced liver injury (DILI) was induced by i.p. injection of acetaminophen (APAP), 300 mg/kg (body weight). Serum collection and necroscopy were performed at the indicated time points. (D) Representative images of DAPI and Evans Blue (EB) staining, Haematoxylin & Eosin (H&E) staining, and CD45 and HMGB1 immunostaining in liver sections from control mice (Ctrl) and at days 1, 2, 3, and 7 after DILI. Scale bars, 50 μm. (E) Alanine aminotransferase (sALT) and HMGB1 levels in serum before and after APAP injection in mice (n ≥ 5 mice/group). (F) Quantification of total number of intrahepatic leukocytes (IHLs) in control mice and at days 1 and 2 post-APAP injection (n = 4 mice/group). (G) Quantification of HMGB1 redox isoforms percentage, from Western blot assays performed in non-reducing conditions with anti-HMGB1 antibody, in IHLs isolated from control mice and at days 1 and 2 post-APAP injection (n = 4 mice/group). Data represent the means ± SEM and statistical significance was calculated by Student T-test (B), One-way (E,F) and Two-way ANOVA (C,G). ***p < 0.001; ****p < 0.0001; ns, not significant.

false

Western blot - Anti-CD45 antibody (AB10558)
  • WB

CiteAb

Western blot - Anti-CD45 antibody (AB10558)

Western Blotting using Anti-CD45 antibody, ab10558. Publication image from Lachota, M. et al., 2018, Angiogenesis, 29332242. Legend direct from paper.

Quantitative qRT-PCR and Western blot analysis of inflammatory and neovascular factors in suture-stimulated rat corneas at 96 h. Quantitative qRT-PCR analysis of aVegf-a, bCxcl5, cCcl2, and dCxcr2 expression in rat cornea. (n = 5) One-way ANOVA test with Tukey multiple comparisons were used to determine statistical significance. e Western blot analysis of CD45, phospho-IκBα and VEGF-A expression in rat cornea lysate. β-Actin used as a loading control. n.s. p > 0.05; *p < 0.05; **p < 0.01; ***p < 0.001.

false

Key facts

宿主種

Rabbit

クローン性

Polyclonal

アイソタイプ

IgG

キャリアフリー

No

交差種

Mouse, Rat, Human

アプリケーション

IHC-P, Flow Cyt (Intra), WB

applications

免疫原

The exact immunogen used to generate this antibody is proprietary information.

Reactivity data

{ "title": "Reactivity Data", "filters": { "stats": ["", "Species", "Dilution Info", "Notes"], "tabs": { "all-applications": {"fullname" : "All Applications", "shortname": "All Applications"}, "IHCP" : {"fullname" : "Immunohistochemistry (Formalin/PFA-fixed paraffin-embedded sections)", "shortname":"IHC-P"}, "FlowCytIntra" : {"fullname" : "Flow Cytometry (Intracellular)", "shortname":"Flow Cyt (Intra)"}, "WB" : {"fullname" : "Western blot", "shortname":"WB"} }, "product-promise": { "all": "all", "testedAndGuaranteed": "tested", "guaranteed": "expected", "predicted": "predicted", "notRecommended": "not-recommended" } }, "values": { "Human": { "IHCP-species-checked": "testedAndGuaranteed", "IHCP-species-dilution-info": "0.5-5 µg/mL", "IHCP-species-notes": "<p></p> Perform heat-mediated antigen retrieval before commencing with IHC staining protocol.", "FlowCytIntra-species-checked": "testedAndGuaranteed", "FlowCytIntra-species-dilution-info": "1 µg for 10^5 Cells", "FlowCytIntra-species-notes": "<p><a href='/products/primary-antibodies/rabbit-igg-polyclonal-isotype-control-chip-grade-ab171870'>ab171870</a> - Rabbit polyclonal IgG, is suitable for use as an isotype control with this antibody.</p>", "WB-species-checked": "testedAndGuaranteed", "WB-species-dilution-info": "1/500", "WB-species-notes": "<p></p>" }, "Mouse": { "IHCP-species-checked": "guaranteed", "IHCP-species-dilution-info": "", "IHCP-species-notes": "", "FlowCytIntra-species-checked": "guaranteed", "FlowCytIntra-species-dilution-info": "", "FlowCytIntra-species-notes": "", "WB-species-checked": "testedAndGuaranteed", "WB-species-dilution-info": "1/500", "WB-species-notes": "<p></p>" }, "Rat": { "IHCP-species-checked": "guaranteed", "IHCP-species-dilution-info": "", "IHCP-species-notes": "", "FlowCytIntra-species-checked": "guaranteed", "FlowCytIntra-species-dilution-info": "", "FlowCytIntra-species-notes": "", "WB-species-checked": "testedAndGuaranteed", "WB-species-dilution-info": "1/500", "WB-species-notes": "<p></p>" }, "Pig": { "IHCP-species-checked": "predicted", "IHCP-species-dilution-info": "", "IHCP-species-notes": "", "FlowCytIntra-species-checked": "predicted", "FlowCytIntra-species-dilution-info": "", "FlowCytIntra-species-notes": "", "WB-species-checked": "predicted", "WB-species-dilution-info": "", "WB-species-notes": "" }, "Rhesus monkey": { "IHCP-species-checked": "predicted", "IHCP-species-dilution-info": "", "IHCP-species-notes": "", "FlowCytIntra-species-checked": "predicted", "FlowCytIntra-species-dilution-info": "", "FlowCytIntra-species-notes": "", "WB-species-checked": "predicted", "WB-species-dilution-info": "", "WB-species-notes": "" } } }

製品の詳細

Anti-CD45 antibody (ab10558) is a rabbit polyclonal antibody and is validated for use in Flow Cyt (Intra), IHC-P, WB in human samples.

Anti-CD45 antibody (ab10558) has been cited over 450 times in peer reviewed journals and is trusted by the scientific community.

Abcam's high quality validation processes ensure Anti-CD45 antibody (ab10558) has high sensitivity and specificity.

Anti-CD45 antibody (ab10558) has 56 independent reviews from customers.

Anti-CD45 antibody (ab10558) specifically detects CD45 (UniProt ID: P08575; Molecular weight: 145kDa) and is sold in 100 µg selling sizes.

CD45, also known as the leukocyte common antigen, is a transmembrane protein tyrosine phosphatase crucial for immune cell signaling. It exists in multiple isoforms, such as CD45RA and CD45RO, which help distinguish between different immune cell types and their functional states. CD45 plays a significant role in regulating lymphocyte development, activation, and homeostasis. Alterations in CD45 expression or function are linked to various immunodeficiencies and autoimmune disorders, highlighting its importance in maintaining immune balance. Autoimmune diseases related to CD45 involve alterations in the expression or function of this protein, which can disrupt normal immune cell signaling and lead to immune system dysregulation.

出荷温度及び保存条件

製品の状態
Liquid
精製方法
Affinity purification Immunogen
バッファー組成
pH: 7.4 Preservative: 0.02% Sodium azide Constituents: PBS, 1% BSA
出荷温度
Blue Ice
短期保存温度
+4°C
長期保存温度
-20°C
分注に関する情報
Upon delivery aliquot
保管に関する情報
Avoid freeze / thaw cycle

補足情報

This supplementary information is collated from multiple sources and compiled automatically.

CD45 also known as Leukocyte Common Antigen (LCA) or protein tyrosine phosphatase receptor type C (PTPRC) plays an important role in regulating immune cell signaling. It is a transmembrane protein with a molecular mass around 180-240 kDa due to different isoforms produced by alternative splicing. This protein is expressed on all nucleated hematopoietic cells including T cells B cells and NK cells. CD45 differentiates leukocytes from other human cell types making it an important marker in immunological studies.
Biological function summary

CD45 functions as a regulator of tyrosine phosphorylation important for leukocyte signaling. It is not part of a complex but it acts independently to modulate receptor signaling thresholds. CD45 dephosphorylates Src family kinases which initiates T cell and B cell antigen receptor signaling. This regulation is necessary for lymphocyte maturation activation and homeostasis indicating CD45's significant role in the immune response.

Pathways

CD45 influences both the T-cell receptor (TCR) and B-cell receptor (BCR) signaling pathways. It impacts the Src family kinases including Lck and Fyn in T cells allowing efficient signal transduction following antigen recognition. The protein also aids in down-regulating signals from various immune checkpoints impacting activation pathways through related proteins like CD3 and CD19. By influencing these pathways CD45 ensures proper lymphocyte function and immune response modulation.

CD45 is closely linked to autoimmune diseases and leukemias. Its altered expression or mutation can result in improper immune system function contributing to autoimmunity as seen in rheumatoid arthritis. Furthermore aberrations in CD45 are associated with chronic lymphocytic leukemia where it impacts leukocyte differentiation and survival. Through its connections to Src family kinases in these conditions CD45 plays a critical role in disease development and progression making it a target for diagnostic and therapeutic strategies.

製品プロトコール

For this product, it's our understanding that no specific protocols are required. You can visit:

ターゲットの情報

Protein tyrosine-protein phosphatase required for T-cell activation through the antigen receptor (PubMed : 35767951). Acts as a positive regulator of T-cell coactivation upon binding to DPP4. The first PTPase domain has enzymatic activity, while the second one seems to affect the substrate specificity of the first one. Upon T-cell activation, recruits and dephosphorylates SKAP1 and FYN. Dephosphorylates LYN, and thereby modulates LYN activity (By similarity).. (Microbial infection) Acts as a receptor for human cytomegalovirus protein UL11 and mediates binding of UL11 to T-cells, leading to reduced induction of tyrosine phosphorylation of multiple signaling proteins upon T-cell receptor stimulation and impaired T-cell proliferation.
See full target information PTPRC

文献 (624)

Recent publications for all applications. Explore the full list and refine your search

Communications biology 8:1446 PubMed41068254

2025

Cxcl9 macrophages recruit circulating Cxcr3+ plasmablasts into kidneys to promote pathogenesis of lupus nephritis mice.

Applications

Unspecified application

Species

Unspecified reactive species

Jing Zhao,Xinlong Bai,Cheng Zhou,Qing Ouyang,Yingjie Zhang,Xiao Zhang,Xumin Zheng,Chaofan Li,Wanjun Shen,Qinggang Li,Guangyan Cai,Xiangmei Chen,Ping Li,Xue-Yuan Bai

Nature communications 16:8800 PubMed41038843

2025

Crotonate enhances intestinal regeneration after injury via HBO1-mediated H3K14 crotonylation.

Applications

Unspecified application

Species

Unspecified reactive species

Yanhui Xiao,Shicheng Yu,Mengxian Zhang,Nanshan Zhong,Shan Hua,Zhi Fang,Zhe Zhang,Huidong Liu,Ronghui Tan,Yuan Liu,Ye-Guang Chen

iScience 28:113519 PubMed41035689

2025

NRF2 activation in cancer cells suppresses immune infiltration into the tumor microenvironment.

Applications

Unspecified application

Species

Unspecified reactive species

Huaichun Wen,Takafumi Suzuki,Anqi Zhang,Miu Sato,Mahiro Matsumoto,Yuka Takahashi,Yushi Takahashi,Masayuki Yamamoto

The Journal of clinical investigation 135: PubMed41031886

2025

Pharmacological targeting of the IL-17/neutrophil axis attenuates calcific deposits in rat models of calciphylaxis.

Applications

Unspecified application

Species

Unspecified reactive species

Bo Tao,Edward Z Cao,James Hyun,Sivakumar Ramadoss,Juan F Alvarez,Lianjiu Su,Qihao Sun,Zhihao Liu,Linlin Zhang,Alejandro Espinoza,Yiqian Gu,Feiyang Ma,Shen Li,Matteo Pellegrini,Arjun Deb

Physiological reports 13:e70560 PubMed40985117

2025

Distinct lung functional, histological and cell senescence signatures in the single and repetitive bleomycin mouse models of idiopathic pulmonary fibrosis.

Applications

Unspecified application

Species

Unspecified reactive species

Jamal Bousamaki,Emma A Rørbeck,Asbjørn Graver Petersen,Stefanie H Korntner,Susanne E Pors,Elizabeth F Redente,Denise Oró,Casper Gravesen Salinas,Rebecca Wendelboe Olsen,Ulf Simonsen,Michael Feigh,Henrik H Hansen

MedComm 6:e70392 PubMed40979216

2025

Gene Therapy Targeting Deficiency Attenuates Cardiac Fibrosis: Insights From Single-Cell Transcriptomics in -Knockout Rats.

Applications

Unspecified application

Species

Unspecified reactive species

Xinyue Ding,Hui Zhang,Xuan Zhao,Nengpin Yin,Shuo Han,Xiao Jin,Tingting Li,Lina Xing,Zhen Qi,Yanan Zhu,Xin Wang,Zongjun Liu

Frontiers in bioengineering and biotechnology 13:1635837 PubMed40958831

2025

Biocompatible nanocomposite cryogels with improved mechanical properties based on polyvinyl alcohol and carbon nanotubes for cardiovascular applications.

Applications

Unspecified application

Species

Unspecified reactive species

Maria A Rezvova,Tatiana V Glushkova,Kirill Yu Klyshnikov,Alexey L Pykin,Tatiana B Tkachenko,Tatiana N Akentieva,Alexander E Kostyunin,Pavel S Onishchenko,Natalia N Borisova,Marina P Fokeeva,Vera G Matveeva,Evgenia A Senokosova,Evgeniya O Krivkina,Evgeny A Ovcharenko

Open journal of obstetrics and gynecology 15:371-386 PubMed40895506

2025

Unveiling Vaginal Fibrosis: A Novel Murine Model Using Bleomycin and Epithelial Disruption.

Applications

Unspecified application

Species

Unspecified reactive species

Jennifer M McCracken,Gisele A Calderon,Felipe Rivas,Dorothea Erxleben,Taylor Moseley,Lishore A Kumar,Daniel E Kennedy,Swathi Balaji,Adam Hall,Julie C E Hakim

Inflammation and regeneration 45:27 PubMed40883787

2025

Acomys cahirinus develop lung stroma distortion but not fibrosis after bleomycin-induced injury.

Applications

Unspecified application

Species

Unspecified reactive species

Nataliya A Basalova,Vladimir S Popov,Yulia G Antropova,Natalia V Danilova,Victoria N Biryukova,Uliana D Dyachkova,Maksim A Vigovskiy,Olga A Grigorieva,Natalia I Kalinina,Anastasia Yu Efimenko

Scientific reports 15:31467 PubMed40858722

2025

Kras and ciliary gene mutations cooperatively lead to pancreatic tumorigenesis only when induced during embryogenesis.

Applications

Unspecified application

Species

Unspecified reactive species

Angeline Fages,Memoona Rajput,Christine Sempoux,Patrick Jacquemin
View all publications

Abcam product promise

当社は、高品質な試薬を通じてお客様の研究を力強くサポートすることをお約束いたします。ご使用いただく各段階で、常にお客様をサポートできる体制を整えております。万が一、製品が期待通りに機能しない場合は、「Abcam Product Promise」による当社保証制度に基づき、安心してご利用いただけます。
保証に関する詳細については利用規約をご確認ください。

Please note: All products are 'FOR RESEARCH USE ONLY. NOT FOR USE IN DIAGNOSTIC OR THERAPEUTIC PROCEDURES'.

For licensing inquiries, please contact partnerships@abcam.com