JavaScript is disabled in your browser. Please enable JavaScript to view this website.
AB254530

Anti-CD44 抗体 [Hermes-3]

Anti-CD44 antibody [Hermes-3]

  • BOND RX™ Validated
  • KO Validated
  • Recombinant
  • Lab Essentials
  • 詳細を見る

Be the first to review this product! Submit a review

|

(13 Publications)

Anti-CD44 antibody [Hermes-3] (ab254530) is a mouse monoclonal antibody detecting CD44 in Western Blot, IP, IHC-P, ICC/IF, ELISA. Suitable for Human.

- KO validated for confirmed specificity
- Biophysical QC for unrivalled batch-batch consistency

別名を表示する

CD44, LHR, MDU2, MDU3, MIC4, CD44 antigen, CDw44, Epican, Extracellular matrix receptor III, GP90 lymphocyte homing/adhesion receptor, HUTCH-I, Heparan sulfate proteoglycan, Hermes antigen, Hyaluronate receptor, Phagocytic glycoprotein 1, Phagocytic glycoprotein I, ECMR-III, PGP-1, PGP-I

8 Images
Immunohistochemistry (Formalin/PFA-fixed paraffin-embedded sections) - Anti-CD44 antibody [Hermes-3] (AB254530)
  • IHC-P

Supplier Data

Immunohistochemistry (Formalin/PFA-fixed paraffin-embedded sections) - Anti-CD44 antibody [Hermes-3] (AB254530)

Immunohistochemical analysis of paraffin-embedded human bladder carcinoma tissue labeling CD44 with ab254530 at 0.107μg/ml, followed by ready to use secondary. Membranous staining on human bladder carcinoma is observed. The section was incubated with ab254530 for 5 mins at RT. The immunostaining staining was performed on a Leica Biosystems BOND® RX instrument. Counterstained with hematoxylin.
Secondary antibody only control : Used PBS instead of primary antibody, followed by ready to use secondary.

Heat mediated antigen retrieval with Tris-EDTA buffer (pH 9.0, epitope retrieval solution 2) for 20 mins.

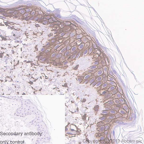
Immunohistochemistry (Formalin/PFA-fixed paraffin-embedded sections) - Anti-CD44 antibody [Hermes-3] (AB254530)
  • IHC-P

Supplier Data

Immunohistochemistry (Formalin/PFA-fixed paraffin-embedded sections) - Anti-CD44 antibody [Hermes-3] (AB254530)

Immunohistochemical analysis of paraffin-embedded human skin tissue labeling CD44 with ab254530 at 0.107μg/ml, followed by ready to use secondary. Membranous staining on human skin is observed. The section was incubated with ab254530 for 5 mins at RT. The immunostaining staining was performed on a Leica Biosystems BOND® RX instrument. Counterstained with hematoxylin.
Secondary antibody only control : Used PBS instead of primary antibody, followed by ready to use secondary.

Heat mediated antigen retrieval with Tris-EDTA buffer (pH 9.0, epitope retrieval solution 2) for 20 mins.

ELISA - Anti-CD44 antibody [Hermes-3] (AB254530)
  • ELISA

Supplier Data

ELISA - Anti-CD44 antibody [Hermes-3] (AB254530)

ELISA - Anti-CD44 antibody [Hermes-3] (ab254530).

Antigen : Human CD44.

ab254530 used at 100-1000μg/ml.

Secondary is an Alkaline Phosphatase-conjugated AffiniPure Goat Anti-Mouse IgG (H+L) used at a 1/1000 dilution.

Immunocytochemistry/ Immunofluorescence - Anti-CD44 antibody [Hermes-3] (AB254530)
  • ICC/IF

Lab

Immunocytochemistry/ Immunofluorescence - Anti-CD44 antibody [Hermes-3] (AB254530)

ab254530 staining CD44 in wild-type HeLa cells (top panel) and CD44 knockout HeLa cells (ab262515)(bottom panel). The cells were fixed with 100% methanol (5 min) then permeabilized with 0.1% Tween for 5 minutes and then blocked with 1% BSA/10% normal goat serum/0.3M glycine in 0.1% PBS-Tween for 1h. The cells were then incubated with ab254530 at 0.4μg/ml concentration and ab6046 (Rabbit polyclonal to beta Tubulin) at 1/1000 dilution overnight at 4°C followed by a further incubation at room temperature for 1h with a goat secondary antibody to mouse IgG (Alexa Fluor® 488) (ab150117) at 2 μg/ml (shown in green) and a goat secondary antibody to rabbit IgG (Alexa Fluor® 594) (ab150080) at 2 μg/ml (shown in red). Nuclear DNA was labelled in blue with DAPI.
Image was taken with a confocal microscope (Leica-Microsystems TCS SP8).

Immunocytochemistry/ Immunofluorescence - Anti-CD44 antibody [Hermes-3] (AB254530)
  • ICC/IF

Collaborator

Immunocytochemistry/ Immunofluorescence - Anti-CD44 antibody [Hermes-3] (AB254530)

ab254530 was shown to react with CD44 in wild-type HAP1 cells in Immunocytochemistry with loss of signal observed in a CD44 knockout cell line. Wild-type and knockout cells were mixed and pelleted at a 1 : 1 ratio on coverslips. The cells were fixed with 4% paraformaldehyde (15 min) then permeabilized with 0.1% Triton X-100 (10min) and then blocked. The cells were then incubated with ab254530 at 1/500 dilution overnight at 4°C followed by a further incubation at room temperature for 1h with a secondary antibody to (Alexa Fluor® 555) at 0.5 μg/ml. Acquisition of the green (wild-type), red (antibody staining) and far-red (knockout) channels was performed. Representative grayscale images of the red channel are shown. Wild-type and knockout cells are outlined with yellow and magenta dashed line, respectively. Schematic representation of the mosaic strategy used is shown on the bottom-right panel. Image was acquired with a Zeiss(LSM-880). These data were provided by YCharOS Inc., an open science company with the mission of characterizing commercially available antibody reagents for all human proteins. Abcam and YCharOS are working together to help address the reproducibility crisis by enabling the life science community to better evaluate commercially available antibodies.

Immunoprecipitation - Anti-CD44 antibody [Hermes-3] (AB254530)
  • IP

Collaborator

Immunoprecipitation - Anti-CD44 antibody [Hermes-3] (AB254530)

Immunoprecipitation of CD44 in HAP1 cells. Lysates were prepared and immunoprecipitation was performed using 1.0 μg of ab254530 pre-coupled to prot.G-Sepharose beads. Samples were washed and processed for western blot with ab189524 at 1/2000. SM=10% starting material; UB=10% unbound fraction; IP=immunoprecipitate. These data were provided by YCharOS Inc., an open science company with the mission of characterizing commercially available antibody reagents for all human proteins. Abcam and YCharOS are working together to help address the reproducibility crisis by enabling the life science community to better evaluate commercially available antibodies.

All lanes:

Immunoprecipitation - Anti-CD44 antibody [Hermes-3] (ab254530)

Predicted band size: 81 kDa

false

Western blot - Anti-CD44 antibody [Hermes-3] (AB254530)
  • WB

Collaborator

Western blot - Anti-CD44 antibody [Hermes-3] (AB254530)

ab254530 was shown to react with CD44 in wild-type HAP1 cells in Western blot with loss of signal observed in a CD44 knockout cell line. Wild-type HAP1 and CD44 knockout cell lysates were subjected to SDS-PAGE. Membranes were blocked in 5% milk in TBST for 1 hr before incubation with ab254530 overnight at 4 °C at a 1/1000 dilution. Blots were incubated with goat anti-mouse HRP secondary antibodies at 0.3ug/mL before imaging. These data were provided by YCharOS Inc., an open science company with the mission of characterizing commercially available antibody reagents for all human proteins. Abcam and YCharOS are working together to help address the reproducibility crisis by enabling the life science community to better evaluate commercially available antibodies.

All lanes:

Western blot - Anti-CD44 antibody [Hermes-3] (ab254530) at 1/1000 dilution

Lane 1:

Wild-type HAP1 cell lysate at 20 µg

Lane 2:

CD44 knockout HAP1 cell lysate at 20 µg

Predicted band size: 81 kDa

false

Western blot - Anti-CD44 antibody [Hermes-3] (AB254530)
  • WB

Supplier Data

Western blot - Anti-CD44 antibody [Hermes-3] (AB254530)

Blocking/Dilution buffer : 5% NFDM/TBST.

All lanes:

Western blot - Anti-CD44 antibody [Hermes-3] (ab254530) at 0.536 µg/mL

Lane 1:

A549 (human lung carcinoma epithelial cell) whole cell lysate at 20 µg

Lane 2:

HeLa (human cervix adenocarcinoma epithelial cell) whole cell lysate at 20 µg

Secondary

All lanes:

Peroxidase-Conjugated Goat anti-Mouse IgG (H+L) at 1/10000 dilution

Predicted band size: 81 kDa

false

Exposure time: 1s

関連する標識済み抗体及び組成の異なる製品 (1)

  • Carrier free

    Anti-CD44 antibody [Hermes-3] - BSA and Azide free

Key facts

宿主種

Mouse

クローン性

Monoclonal

クローン番号

Hermes-3

アイソタイプ

IgG2a

キャリアフリー

No

交差種

Human

アプリケーション

IHC-P, WB, IP, ICC/IF, ELISA

applications

免疫原

The exact immunogen used to generate this antibody is proprietary information.

Reactivity data

{ "title": "Reactivity Data", "filters": { "stats": ["", "Species", "Dilution Info", "Notes"], "tabs": { "all-applications": {"fullname" : "All Applications", "shortname": "All Applications"}, "ICCIF" : {"fullname" : "Immunocytochemistry/ Immunofluorescence", "shortname":"ICC/IF"}, "IP" : {"fullname" : "Immunoprecipitation", "shortname":"IP"}, "ELISA" : {"fullname" : "ELISA", "shortname":"ELISA"}, "WB" : {"fullname" : "Western blot", "shortname":"WB"}, "IHCP" : {"fullname" : "Immunohistochemistry (Formalin/PFA-fixed paraffin-embedded sections)", "shortname":"IHC-P"} }, "product-promise": { "all": "all", "testedAndGuaranteed": "tested", "guaranteed": "expected", "predicted": "predicted", "notRecommended": "not-recommended" } }, "values": { "Human": { "ICCIF-species-checked": "testedAndGuaranteed", "ICCIF-species-dilution-info": "1/500", "ICCIF-species-notes": "<p></p>", "IP-species-checked": "testedAndGuaranteed", "IP-species-dilution-info": "", "IP-species-notes": "<p></p>", "ELISA-species-checked": "guaranteed", "ELISA-species-dilution-info": "", "ELISA-species-notes": "", "WB-species-checked": "testedAndGuaranteed", "WB-species-dilution-info": "0.536 µg/mL", "WB-species-notes": "<p></p>", "IHCP-species-checked": "testedAndGuaranteed", "IHCP-species-dilution-info": "0.107 µg/mL", "IHCP-species-notes": "<p></p> Perform heat-mediated antigen retrieval with Tris/EDTA buffer pH 9.0 before commencing with IHC staining protocol." }, "Recombinant fragment - Human": { "ICCIF-species-checked": "notRecommended", "ICCIF-species-dilution-info": "", "ICCIF-species-notes": "", "IP-species-checked": "notRecommended", "IP-species-dilution-info": "", "IP-species-notes": "", "ELISA-species-checked": "testedAndGuaranteed", "ELISA-species-dilution-info": "1/100 - 1/1000", "ELISA-species-notes": "<p>10-1000ng/ml</p>", "WB-species-checked": "notRecommended", "WB-species-dilution-info": "", "WB-species-notes": "", "IHCP-species-checked": "notRecommended", "IHCP-species-dilution-info": "", "IHCP-species-notes": "" } } }

製品の詳細

What is this antibody validated in?
Anti-CD44 antibody [Hermes-3] (ab254530) is a mouse recombinant monoclonal antibody and is validated for use in Western Blot (WB), Immunoprecipitation (IP), Immunohistochemistry (IHC-P), Immunocytochemistry/immunofluorescence (ICC/IF), ELISA in Human samples.

What is the molecular weight of CD44?
Anti-CD44 [Hermes-3] (ab254530) specifically detects a band for CD44 (UniProt: P16070) at a molecular weight of 81kDa.

Specificity confirmed
The specificity of Anti-CD44 antibody [Hermes-3] (ab254530) has been confirmed by Immunocytochemistry/ Immunofluorescence testing in CD44 Knockout HeLa cell line, ab262515.

Other related products
We have a range of other formats of antibody clone [Hermes-3] also available for your convenience: ab254530, Carrier free - ab255946

What are the advantages of a recombinant monoclonal antibody?
This product is a recombinant monoclonal antibody, which offers several advantages including:

  • - High batch-to-batch consistency and reproducibility
  • - Improved sensitivity and specificity
  • - Long-term security of supply
  • - Animal-free batch production

For more information, read more on recombinant antibodies.

Want a custom formulation?
This antibody clone is manufactured by Abcam. If you require a custom buffer formulation or conjugation for your experiments, please contact orders@abcam.com

出荷温度及び保存条件

製品の状態
Liquid
精製方法
Affinity purification Protein A
バッファー組成
pH: 7.2 - 7.4 Preservative: 0.01% Sodium azide Constituents: PBS, 40% Glycerol (glycerin, glycerine), 0.05% BSA
出荷温度
Blue Ice
短期保存期間
1-2 weeks
短期保存温度
+4°C
長期保存温度
-20°C
分注に関する情報
Upon delivery aliquot
保管に関する情報
Avoid freeze / thaw cycle

製品プロトコール

For this product, it's our understanding that no specific protocols are required. You can visit:

ターゲットの情報

The protein expressed by gene CD44 functions as a cell-surface receptor involved in cell-cell interactions, cell adhesion, and migration, allowing cells to detect and react to changes in their tissue microenvironment. It is implicated in numerous cellular processes, including the activation, recirculation, and homing of T-lymphocytes, hematopoiesis, inflammation, and the response to bacterial infection. Through its ectodomain, CD44 interacts with extracellular matrix components like hyaluronan, collagen, growth factors, cytokines, and proteases, serving as a platform for signal transduction by forming protein complexes with receptor kinases and membrane proteases via its cytoplasmic domain. Effectors such as PKN2, the RhoGTPases RAC1 and RHOA, Rho-kinases, and phospholipase C coordinate signaling pathways that promote calcium mobilization and actin-mediated cytoskeleton reorganization crucial for cell migration and adhesion. This supplementary information is collated from multiple sources and compiled automatically.
See full target information CD44

文献 (13)

Recent publications for all applications. Explore the full list and refine your search

Frontiers in immunology 15:1446453 PubMed39691723

2024

Identification of macrophages as an immune suppressor in hepatocellular carcinoma using single-cell and bulk transcriptomics.

Applications

Unspecified application

Species

Unspecified reactive species

Han Jin,Woonghee Kim,Meng Yuan,Xiangyu Li,Hong Yang,Mengzhen Li,Mengnan Shi,Hasan Turkez,Mathias Uhlen,Cheng Zhang,Adil Mardinoglu

PeerJ 11:e16523 PubMed38505381

2024

Circular RNA hsa_circ_0051246 acts as a microRNA-375 sponge to promote the progression of gastric cancer stem cells YAP1.

Applications

Unspecified application

Species

Unspecified reactive species

Minghui Deng,Yefeng Xu,Yongwei Yao,Yiqing Wang,Qingying Yan,Miao Cheng,YunXia Liu

ACS omega 9:7782-7792 PubMed38405482

2024

BIRC6 Modulates the Protein Stability of Axin to Regulate the Growth, Stemness, and Resistance of Renal Cancer Cells via the β-Catenin Pathway.

Applications

Unspecified application

Species

Unspecified reactive species

Kaihua Zhong,Xiaohong Wang,Heyuan Zhang,Nanhui Chen,Yang Mai,Sipin Dai,Lawei Yang,Dong Chen,Weifeng Zhong

Scientific reports 13:20175 PubMed37978264

2023

Surface functionalization affects the retention and bio-distribution of orally administered mesoporous silica nanoparticles in a colitis mouse model.

Applications

Unspecified application

Species

Unspecified reactive species

Roman Schmid,Meta Volcic,Stephan Fischer,Zhi Qu,Holger Barth,Amirali Popat,Frank Kirchhoff,Mika Lindén

International journal of molecular sciences 24: PubMed37762705

2023

Knockdown of BAP31 Downregulates Galectin-3 to Inhibit the Wnt/β-Catenin Signaling Pathway to Modulate 5-FU Chemosensitivity and Cancer Stemness in Colorectal Cancer.

Applications

Unspecified application

Species

Unspecified reactive species

Jingjing Liu,Qi Zhang,Jiyu Wang,Changli Wang,Tian Lan,Tianyi Wang,Bing Wang

Balkan medical journal 40:409-414 PubMed37519006

2023

ELK4 Promotes Cell Cycle Progression and Stem Cell-like Characteristics in HPV-associated Cervical Cancer by Regulating the FBXO22/PTEN Axis

Applications

Unspecified application

Species

Unspecified reactive species

Fuxian Gao,Chunxiao Wang,Xue Bai,Jianghai Ji,Xinrui Huang

Stem cells international 2023:7367854 PubMed37274024

2023

SETD4 Confers Cancer Stem Cell Chemoresistance in Nonsmall Cell Lung Cancer Patients via the Epigenetic Regulation of Cellular Quiescence.

Applications

Unspecified application

Species

Unspecified reactive species

Yuehong Wang,Yuman Yu,Weijun Yang,Linying Wu,Yaoshun Yang,Qianyun Lu,Jianying Zhou

Journal of neuroinflammation 20:49 PubMed36829224

2023

Human umbilical cord-derived mesenchymal stem cell transplantation supplemented with curcumin improves the outcomes of ischemic stroke via AKT/GSK-3β/β-TrCP/Nrf2 axis.

Applications

Unspecified application

Species

Unspecified reactive species

Yuan Li,Jialu Huang,Jie Wang,Simin Xia,Hong Ran,Lenyu Gao,Chengjian Feng,Li Gui,Zhenhua Zhou,Jichao Yuan

Pharmaceutics 15: PubMed36839696

2023

Hyaluronan-Cyclodextrin Conjugates as Doxorubicin Delivery Systems.

Applications

Unspecified application

Species

Unspecified reactive species

Noemi Bognanni,Maurizio Viale,Luana La Piana,Simone Strano,Rosaria Gangemi,Cinzia Lombardo,Maria Teresa Cambria,Graziella Vecchio

Cell proliferation 56:e13366 PubMed36478274

2022

CD34 cells identified as pluripotent stem cell-derived definitive hemogenic endothelium purified using bone morphogenetic protein 4.

Applications

Unspecified application

Species

Unspecified reactive species

Soo-Been Jeon,A-Reum Han,Sunghun Lee,Seung Chan Lee,Min Ji Lee,Soon-Jung Park,Sung-Hwan Moon,Ji Yoon Lee
View all publications

Abcam product promise

当社は、高品質な試薬を通じてお客様の研究を力強くサポートすることをお約束いたします。ご使用いただく各段階で、常にお客様をサポートできる体制を整えております。万が一、製品が期待通りに機能しない場合は、「Abcam Product Promise」による当社保証制度に基づき、安心してご利用いただけます。
保証に関する詳細については利用規約をご確認ください。

Please note: All products are 'FOR RESEARCH USE ONLY. NOT FOR USE IN DIAGNOSTIC OR THERAPEUTIC PROCEDURES'.

For licensing inquiries, please contact partnerships@abcam.com