JavaScript is disabled in your browser. Please enable JavaScript to view this website.
AB228818

Anti-CD40 抗体 [EPR20735] - BSA and Azide free

Anti-CD40 antibody [EPR20735] - BSA and Azide free

Be the first to review this product! Submit a review

|

(2 Publications)

Rabbit Recombinant Monoclonal CD40 antibody. Carrier free. Suitable for IP, Flow Cyt, WB, ICC/IF, IHC-P and reacts with Human samples. Cited in 2 publications.

別名を表示する

CD40, TNFRSF5, Tumor necrosis factor receptor superfamily member 5, B-cell surface antigen CD40, Bp50, CD40L receptor, CDw40

9 Images
Flow Cytometry - Anti-CD40 antibody [EPR20735] - BSA and Azide free (AB228818)
  • Flow Cyt

Lab

Flow Cytometry - Anti-CD40 antibody [EPR20735] - BSA and Azide free (AB228818)

This data was developed using the same antibody clone in a different buffer formulation containing PBS, BSA, glycerol, and sodium azide (ab224639).

Flow cytometry staining of human peripheral blood mononuclear cells (PBMCs) with ab224639 (right) or Recombinant Rabbit IgG, monoclonal [EPR25A] - Isotype Control (left). PBMCs were incubated for 30 min on ice in 1x PBS containing 10 μg/ml human IgG and 10 % normal goat serum to block FC receptors and non-specific protein-protein interaction followed by the antibody ab224639 or Recombinant Rabbit IgG, monoclonal [EPR25A] - Isotype Control (1x 106 in 100 μl at 0.2 μg/ml (1/10550)) for 30min on ice. The cells were simultaneously stained with CD19.

The secondary antibody Goat Anti-Rabbit IgG H&L (Alexa Fluor® 488) preadsorbed was incubated at 1/4000 for 30min on ice

Acquisition of >30000 events were collected using a 50 mW Blue laser (488nm) and 525/40 bandpass filter. Events were gated on viable cells.

Immunocytochemistry/ Immunofluorescence - Anti-CD40 antibody [EPR20735] - BSA and Azide free (AB228818)
  • ICC/IF

Supplier Data

Immunocytochemistry/ Immunofluorescence - Anti-CD40 antibody [EPR20735] - BSA and Azide free (AB228818)

Immunofluorescent analysis of 4% paraformaldehyde-fixed, 0.1% Triton X-100 permeabilized Raji (human Burkitt's lymphoma cell line) cells labeling CD40 with ab224639 at 1/100 dilution, followed by Goat Anti-Rabbit IgG H&L (Alexa Fluor® 488) (ab150077) secondary antibody at 1/1000 dilution (green). Confocal image showing membranous and weakly cytoplasmic staining in Raji cell line.

Negative control : Jurkat T cell line (PMID : 10498643).

The nuclear counterstain is DAPI (blue). Tubulin is detected with Anti-alpha Tubulin antibody [DM1A] - Microtubule Marker (Alexa Fluor® 594) (ab195889) at 1/200 dilution (red).

Secondary antibody only control : PBS instead of primary antibody, followed by Goat Anti-Rabbit IgG H&L (Alexa Fluor® 488) (ab150077) secondary antibody at 1/1000 dilution.

This data was developed using the same antibody clone in a different buffer formulation containing PBS, BSA, glycerol, and sodium azide (ab224639).

Flow Cytometry - Anti-CD40 antibody [EPR20735] - BSA and Azide free (AB228818)
  • Flow Cyt

Supplier Data

Flow Cytometry - Anti-CD40 antibody [EPR20735] - BSA and Azide free (AB228818)

Flow cytometric analysis of Raji (human Burkitt's lymphoma cell line) cell line labeling CD40 with ab224639 at 1/600 dilution (red) compared with a Rabbit IgG, monoclonal [EPR25A] - Isotype Control (ab172730) (black) and an unlabeled control (cells without incubation with primary antibody and secondary antibody) (blue). Goat Anti-Rabbit IgG H&L (Alexa Fluor® 488) (ab150077), at 1/2000 dilution was used as the secondary antibody.

Gated on total viable cells.

This data was developed using the same antibody clone in a different buffer formulation containing PBS, BSA, glycerol, and sodium azide (ab224639).

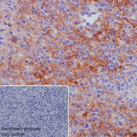
Immunohistochemistry (Formalin/PFA-fixed paraffin-embedded sections) - Anti-CD40 antibody [EPR20735] - BSA and Azide free (AB228818)
  • IHC-P

Supplier Data

Immunohistochemistry (Formalin/PFA-fixed paraffin-embedded sections) - Anti-CD40 antibody [EPR20735] - BSA and Azide free (AB228818)

Immunohistochemical analysis of paraffin-embedded human Hodgkin's lymphoma tissue labeling CD40 with ab224639 at 1/250 dilution, followed by a ready to use Goat Anti-Rabbit IgG H&L (HRP). Membranous and cytoplasmic staining in Reed-Sternberg cells and tumor cells of human Hodgkin's lymphoma (PMID : 7507299) is observed. Counter stained with hematoxylin.

Secondary antibody only control : Used PBS instead of primary antibody, secondary antibody is a ready to use Goat Anti-Rabbit IgG H&L (HRP).

Perform heat mediated antigen retrieval using ab93684 (Tris/EDTA buffer, pH 9.0).

This data was developed using the same antibody clone in a different buffer formulation containing PBS, BSA, glycerol, and sodium azide (ab224639).

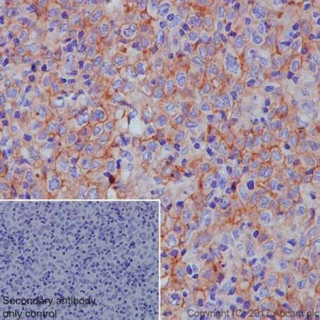
Immunohistochemistry (Formalin/PFA-fixed paraffin-embedded sections) - Anti-CD40 antibody [EPR20735] - BSA and Azide free (AB228818)
  • IHC-P

Supplier Data

Immunohistochemistry (Formalin/PFA-fixed paraffin-embedded sections) - Anti-CD40 antibody [EPR20735] - BSA and Azide free (AB228818)

Immunohistochemical analysis of paraffin-embedded human diffuse large B-cell lymphoma tissue labeling CD40 with ab224639 at 1/250 dilution, followed by a ready to use Goat Anti-Rabbit IgG H&L (HRP). Membranous staining in human diffuse large B-cell lymphoma tissue (PMID : 20593977) is observed. Counter stained with hematoxylin.

Secondary antibody only control : Used PBS instead of primary antibody, secondary antibody is a ready to use Goat Anti-Rabbit IgG H&L (HRP).

Perform heat mediated antigen retrieval using ab93684 (Tris/EDTA buffer, pH 9.0).

This data was developed using the same antibody clone in a different buffer formulation containing PBS, BSA, glycerol, and sodium azide (ab224639).

Immunocytochemistry/ Immunofluorescence - Anti-CD40 antibody [EPR20735] - BSA and Azide free (AB228818)
  • ICC/IF

Lab

Immunocytochemistry/ Immunofluorescence - Anti-CD40 antibody [EPR20735] - BSA and Azide free (AB228818)

ab228818 staining CD40 in wild-type U2OS cells (top panel) and CD40 knockout U2OS cells (bottom panel). The cells were fixed with PFA (10min), permeabilized with 0.1% Triton X-100 for 5 minutes and then blocked with 1% BSA/10% normal goat serum/0.3M glycine in 0.1% PBS-Tween for 1h. The cells were then incubated with ab228818 at 1/100 dilution and ab7291 (Tubulin) at 1/1000 dilution overnight at +4°C, followed by a further incubation at room temperature for 1h with a goat secondary antibody to rabbit IgG (Alexa Fluor® 488) (ab150081) at 2 μg/ml (shown in green) and a goat secondary antibody to mouse IgG (Alexa Fluor® 594) (ab150120) at 2 μg/ml (shown in pseudo color red). Nuclear DNA was labelled in blue with DAPI.

Image was taken with a confocal microscope (Leica-Microsystems, TCS SP8).

Immunohistochemistry (Formalin/PFA-fixed paraffin-embedded sections) - Anti-CD40 antibody [EPR20735] - BSA and Azide free (AB228818)
  • IHC-P

Supplier Data

Immunohistochemistry (Formalin/PFA-fixed paraffin-embedded sections) - Anti-CD40 antibody [EPR20735] - BSA and Azide free (AB228818)

Immunohistochemical analysis of paraffin-embedded human tonsil tissue labeling CD40 with ab224639 at 1/250 dilution, followed by Goat Anti-Rabbit IgG H&L (HRP) Ready to use. Membranous and cytoplasmic staining in human tonsil tissue (PMID : 20593977; PMID : 7507299) is observed. Counter stained with hematoxylin.

Secondary antibody only control : Used PBS instead of primary antibody, secondary antibody is Goat Anti-Rabbit IgG H&L (HRP) Ready to use.

This data was developed using the same antibody clone in a different buffer formulation containing PBS, BSA, glycerol, and sodium azide (ab224639).

Perform heat mediated antigen retrieval with Tris/EDTA buffer pH 9.0 before commencing with IHC staining protocol.

Immunohistochemistry (Formalin/PFA-fixed paraffin-embedded sections) - Anti-CD40 antibody [EPR20735] - BSA and Azide free (AB228818)
  • IHC-P

Lab

Immunohistochemistry (Formalin/PFA-fixed paraffin-embedded sections) - Anti-CD40 antibody [EPR20735] - BSA and Azide free (AB228818)

Tissue Microarrays stained for "Anti-CD40 antibody [EPR20735]" using "ab224639"in immunohistochemical analysis. This table provides a detailed overview of positive (tick mark) and negative (cross mark) staining per sample type tested. The sections were pre-treated using Heat mediated antigen retrieval using ab93684 (Tris/EDTA buffer, pH 9.0). The sections were incubated with ab224639 at +4°C overnight followed by a ready to use Goat Anti-Rabbit IgG H&L (HRP polymer).

Immunoprecipitation - Anti-CD40 antibody [EPR20735] - BSA and Azide free (AB228818)
  • IP

Supplier Data

Immunoprecipitation - Anti-CD40 antibody [EPR20735] - BSA and Azide free (AB228818)

CD40 was immunoprecipitated from 0.35 mg of Raji (human Burkitt's lymphoma cell line) whole cell lysate with ab224639 at 1/30 dilution. Western blot was performed from the immunoprecipitate using ab224639 at 1/1000 dilution. VeriBlot for IP Detection Reagent (HRP) (ab131366), was used for detection at 1/10,000 dilution.

Lane 1 : Raji whole cell lysate 10 μg (Input).
Lane 2 : ab224639 IP in Raji whole cell lysate (+).
Lane 3 : Rabbit monoclonal IgG (ab172730) instead of ab224639 in Raji whole cell lysate (-).

Exposure time : 3 minutes.

Blocking and dilution buffer and concentration : 5% NFDM/TBST.

This data was developed using the same antibody clone in a different buffer formulation containing PBS, BSA, glycerol, and sodium azide (ab224639).

All lanes:

Immunoprecipitation - Anti-CD40 antibody [EPR20735] (<a href='/products/primary-antibodies/cd40-antibody-epr20735-ab224639'>ab224639</a>)

Predicted band size: 30 kDa

Observed band size: 42 kDa

true

関連する標識済み抗体及び組成の異なる製品 (7)

  • Unconjugated

    Anti-CD40 antibody [EPR20735]

  • 617 Alexa Fluor® 594

    Alexa Fluor® 594 Anti-CD40 antibody [EPR20735]

  • 665 Alexa Fluor® 647

    Alexa Fluor® 647 Anti-CD40 antibody [EPR20735]

  • 519 Alexa Fluor® 488

    Alexa Fluor® 488 Anti-CD40 antibody [EPR20735]

  • 578 PE

    PE Anti-CD40 antibody [EPR20735]

  • 660 APC

    APC Anti-CD40 antibody [EPR20735]

  • 519 FITC

    FITC Anti-CD40 antibody [EPR20735]

Key facts

宿主種

Rabbit

クローン性

Monoclonal

クローン番号

EPR20735

アイソタイプ

IgG

キャリアフリー

Yes

交差種

Human

アプリケーション

ICC/IF, IHC-P, WB, IP, Flow Cyt

applications

免疫原

The exact immunogen used to generate this antibody is proprietary information.

Reactivity data

{ "title": "Reactivity Data", "filters": { "stats": ["", "Species", "Dilution Info", "Notes"], "tabs": { "all-applications": {"fullname" : "All Applications", "shortname": "All Applications"}, "IP" : {"fullname" : "Immunoprecipitation", "shortname":"IP"}, "FlowCyt" : {"fullname" : "Flow Cytometry", "shortname":"Flow Cyt"}, "WB" : {"fullname" : "Western blot", "shortname":"WB"}, "ICCIF" : {"fullname" : "Immunocytochemistry/ Immunofluorescence", "shortname":"ICC/IF"}, "IHCP" : {"fullname" : "Immunohistochemistry (Formalin/PFA-fixed paraffin-embedded sections)", "shortname":"IHC-P"} }, "product-promise": { "all": "all", "testedAndGuaranteed": "tested", "guaranteed": "expected", "predicted": "predicted", "notRecommended": "not-recommended" } }, "values": { "Human": { "IP-species-checked": "testedAndGuaranteed", "IP-species-dilution-info": "", "IP-species-notes": "<p></p>", "FlowCyt-species-checked": "testedAndGuaranteed", "FlowCyt-species-dilution-info": "", "FlowCyt-species-notes": "<p></p>", "WB-species-checked": "guaranteed", "WB-species-dilution-info": "", "WB-species-notes": "<p></p>", "ICCIF-species-checked": "testedAndGuaranteed", "ICCIF-species-dilution-info": "1/100 - 1/500", "ICCIF-species-notes": "<p></p>", "IHCP-species-checked": "testedAndGuaranteed", "IHCP-species-dilution-info": "", "IHCP-species-notes": "<p></p>" } } }

製品の詳細

ab228818 is the carrier-free version of ab224639.

Patented technology
Our RabMAb® technology is a patented hybridoma-based technology for making rabbit monoclonal antibodies. For details on our patents, please refer to RabMAb® patents.

What are the advantages of a recombinant monoclonal antibody?
This product is a recombinant monoclonal antibody, which offers several advantages including:

  • - High batch-to-batch consistency and reproducibility
  • - Improved sensitivity and specificity
  • - Long-term security of supply
  • - Animal-free batch production

For more information, read more on recombinant antibodies.

Conjugation ready
Our carrier-free antibodies are typically supplied in a PBS-only formulation, purified and free of BSA, sodium azide and glycerol. This conjugation-ready format is designed for use with fluorochromes, metal isotopes, oligonucleotides, and enzymes, which makes them ideal for antibody labelling, functional and cell-based assays, flow-based assays (e.g. mass cytometry) and Multiplex Imaging applications.

Use our conjugation kits for antibody conjugates that are ready-to-use in as little as 20 minutes with 1 minute hands-on-time and 100% antibody recovery: available for fluorescent dyes, HRP, biotin and gold.

Compatibility
This product is compatible with the Maxpar® Antibody Labeling Kit from Fluidigm, without the need for antibody preparation. Maxpar® is a trademark of Fluidigm Canada Inc.

出荷温度及び保存条件

製品の状態
Liquid
精製方法
Affinity purification Protein A
バッファー組成
pH: 7.2 - 7.4 Constituents: PBS
出荷温度
Blue Ice
短期保存温度
+4°C
長期保存温度
+4°C
保管に関する情報
Do Not Freeze

製品プロトコール

For this product, it's our understanding that no specific protocols are required. You can visit:

ターゲットの情報

Receptor for TNFSF5/CD40LG (PubMed : 31331973). Transduces TRAF6- and MAP3K8-mediated signals that activate ERK in macrophages and B cells, leading to induction of immunoglobulin secretion (By similarity).
See full target information CD40

文献 (2)

Recent publications for all applications. Explore the full list and refine your search

Nature communications 16:6009 PubMed40593805

2025

Spatial and single cell mapping of castleman disease reveals key stromal cell types and cytokine pathways.

Applications

Unspecified application

Species

Unspecified reactive species

David Smith,Anna Eichinger,Éanna Fennell,Zijun Y Xu-Monette,Andrew Rech,Julia Wang,Eduardo Esteva,Arta Seyedian,Xiaoxu Yang,Mei Zhang,Dan Martinez,Kai Tan,Minjie Luo,Katherine J Young,Paul G Murray,Christopher Park,Boris Reizis,Vinodh Pillai

Cells 12: PubMed37626835

2023

Neuronal Coordinates Autophagy Induction and Physiological Adaptations to Balance mTORC1 Signalling.

Applications

Unspecified application

Species

Unspecified reactive species

Athanasios Metaxakis,Michail Pavlidis,Nektarios Tavernarakis
View all publications

Abcam product promise

当社は、高品質な試薬を通じてお客様の研究を力強くサポートすることをお約束いたします。ご使用いただく各段階で、常にお客様をサポートできる体制を整えております。万が一、製品が期待通りに機能しない場合は、「Abcam Product Promise」による当社保証制度に基づき、安心してご利用いただけます。
保証に関する詳細については利用規約をご確認ください。

Please note: All products are 'FOR RESEARCH USE ONLY. NOT FOR USE IN DIAGNOSTIC OR THERAPEUTIC PROCEDURES'.

For licensing inquiries, please contact partnerships@abcam.com