JavaScript is disabled in your browser. Please enable JavaScript to view this website.
AB133616

Anti-CD4 抗体 [EPR6855]

Anti-CD4 antibody [EPR6855]

  • BOND RX™ Validated
  • RabMAb
  • Recombinant
  • Lab Essentials
  • 20ul selling size
  • Advanced Validation
  • 詳細を見る

5

(19 Reviews)

|

(528 Publications)

Anti-CD4 antibody [EPR6855] (ab133616) is a rabbit monoclonal antibody detecting CD4 in Western Blot, Flow Cytometry (Intra), Flow Cytometry, IHC-P, ICC/IF, mIHC. Suitable for Human.

- Multiplex IHC validated on the Leica BOND® MAX using Opal reagents
- Biophysical QC for unrivalled batch-batch consistency
- Over 310 publications

別名を表示する

CD4, T-cell surface glycoprotein CD4, T-cell surface antigen T4/Leu-3

22 Images
Immunohistochemistry (Formalin/PFA-fixed paraffin-embedded sections) - Anti-CD4 antibody [EPR6855] (AB133616)
  • IHC-P

Unknown

Immunohistochemistry (Formalin/PFA-fixed paraffin-embedded sections) - Anti-CD4 antibody [EPR6855] (AB133616)

Anti-CD4 antibody [EPR6855] (ab133616)
Immunohistochemistry (Formalin/PFA-fixed paraffin-embedded sections) analysis of human tonsil tissue labelling CD4 with ab133616 at a dilution of 1 : 500. Heat mediated antigen retrieval was performed using AR9 antigen retrieval solution, and microwave treatment for 15 min at 20% power. Anti-Rabbit/Mouse HRP polymer (PerkinElmer Opal Polymer HRP Ms Plus Rb) was used as secondary antibody. Opal tyramide amplification was performed using Opal 520 fluorophore. Counterstained with DAPI stain. Image scanned with Vectra 3.0 and analyzed via Phenochart software.
This image was courteously provided by Dr. Houssein Abdul Sater, Georgia Cancer Center.

Immunohistochemistry (Formalin/PFA-fixed paraffin-embedded sections) - Anti-CD4 antibody [EPR6855] (AB133616)
  • IHC-P

Lab

Immunohistochemistry (Formalin/PFA-fixed paraffin-embedded sections) - Anti-CD4 antibody [EPR6855] (AB133616)

This data was developed using the same antibody clone in a different buffer formulation (ab181724).

Immunohistochemical analysis of formalin fixed paraffin embedded human tonsil labelling CD4 with ab181724 at a concentration of 0.69 µg/ml. The immunostaining was performed on a Leica Biosystems BOND® RX instrument with a Bond™ Polymer Refine Detection kit. Heat mediated antigen retrieval was performed with Tris-EDTA buffer (pH 9.0, Epitope Retrieval Solution 2) for 20 mins. ab181724 Anti-CD4 antibody [EPR6855] was incubated for 30 mins at room temperature. Sections were counterstained with Hematoxylin. Image inset shows absence of staining in secondary antibody only control.

Immunohistochemistry (Formalin/PFA-fixed paraffin-embedded sections) - Anti-CD4 antibody [EPR6855] (AB133616)
  • IHC-P

Unknown

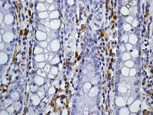
Immunohistochemistry (Formalin/PFA-fixed paraffin-embedded sections) - Anti-CD4 antibody [EPR6855] (AB133616)

Immunohistochemistry (Formalin/PFA-fixed paraffin-embedded sections) analysis of human colon tissue labelling CD4 with ab133616 at a dilution of 1/100.

Perform heat mediated antigen retrieval before commencing with IHC staining protocol.

Immunohistochemistry (Formalin/PFA-fixed paraffin-embedded sections) - Anti-CD4 antibody [EPR6855] (AB133616)
  • IHC-P

Lab

Immunohistochemistry (Formalin/PFA-fixed paraffin-embedded sections) - Anti-CD4 antibody [EPR6855] (AB133616)

Negative control : no staining on human cerebrum.

Immunohistochemistry (Formalin/PFA-fixed paraffin-embedded sections) analysis of human cerebrum showing no staining CD4 with purified ab133616 at 1/100. Heat mediated antigen retrieval was performed using Tris/EDTA buffer pH 9 (ab93684). Goat Anti-Rabbit IgG H&L (HRP) was used as the secondary antibody. Counterstained with hematoxylin.

Immunohistochemistry (Formalin/PFA-fixed paraffin-embedded sections) - Anti-CD4 antibody [EPR6855] (AB133616)
  • IHC-P

Lab

Immunohistochemistry (Formalin/PFA-fixed paraffin-embedded sections) - Anti-CD4 antibody [EPR6855] (AB133616)

Negative control : no staining on human pancreas.

Immunohistochemistry (Formalin/PFA-fixed paraffin-embedded sections) analysis of human pancreas showing no staining CD4 with purified ab133616 at 1/100. Heat mediated antigen retrieval was performed using Tris/EDTA buffer pH 9 (ab93684). Goat Anti-Rabbit IgG H&L (HRP) was used as the secondary antibody. Counterstained with hematoxylin.

Immunohistochemistry (Formalin/PFA-fixed paraffin-embedded sections) - Anti-CD4 antibody [EPR6855] (AB133616)
  • IHC-P

Lab

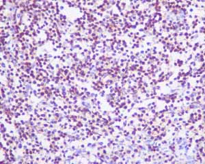
Immunohistochemistry (Formalin/PFA-fixed paraffin-embedded sections) - Anti-CD4 antibody [EPR6855] (AB133616)

Immunohistochemistry (Formalin/PFA-fixed paraffin-embedded sections) analysis of human tonsil tissue labelling CD4 with purified ab133616 at 1/500. Heat mediated antigen retrieval was performed using Tris/EDTA buffer pH 9. ab97051, a HRP-conjugated goat anti-rabbit IgG (H+L) was used as the secondary antibody (1/500). Negative control using PBS instead of primary antibody. Counterstained with hematoxylin.

Immunohistochemistry (Formalin/PFA-fixed paraffin-embedded sections) - Anti-CD4 antibody [EPR6855] (AB133616)
  • IHC-P

Unknown

Immunohistochemistry (Formalin/PFA-fixed paraffin-embedded sections) - Anti-CD4 antibody [EPR6855] (AB133616)

Immunohistochemistry (Formalin/PFA-fixed paraffin-embedded sections) analysis of human tonsil tissue labelling CD4 with unpurified ab133616 at a dilution of 1/100.

Perform heat mediated antigen retrieval before commencing with IHC staining protocol.

Immunohistochemistry (Formalin/PFA-fixed paraffin-embedded sections) - Anti-CD4 antibody [EPR6855] (AB133616)
  • IHC-P

Lab

Immunohistochemistry (Formalin/PFA-fixed paraffin-embedded sections) - Anti-CD4 antibody [EPR6855] (AB133616)

Immunohistochemistry (Formalin/PFA-fixed paraffin-embedded sections) analysis of human thymoma tissue labelling CD4 with purified ab133616 at 1/500. Heat mediated antigen retrieval was performed using Tris/EDTA buffer pH 9. ab97051, a HRP-conjugated goat anti-rabbit IgG (H+L) was used as the secondary antibody (1/500). Negative control using PBS instead of primary antibody. Counterstained with hematoxylin.

Immunohistochemistry (Formalin/PFA-fixed paraffin-embedded sections) - Anti-CD4 antibody [EPR6855] (AB133616)
  • IHC-P

Unknown

Immunohistochemistry (Formalin/PFA-fixed paraffin-embedded sections) - Anti-CD4 antibody [EPR6855] (AB133616)

Immunohistochemistry (Formalin/PFA-fixed paraffin-embedded sections) analysis of human liver tissue labelling CD4 with unpurified ab133616.

Perform heat mediated antigen retrieval before commencing with IHC staining protocol.

Flow Cytometry (Intracellular) - Anti-CD4 antibody [EPR6855] (AB133616)
  • Flow Cyt (Intra)

Unknown

Flow Cytometry (Intracellular) - Anti-CD4 antibody [EPR6855] (AB133616)

Human peripheral blood lymphocytes stained with unpurifiedab133616 (red line). Human whole blood was processed using a modified protocol based on Chow et al, 2005 (PMID : 16080188). In brief, human whole blood was fixed in 4% formaldehyde (methanol-free) for 10 min at 22°C. Red blood cells were then lyzed by the addition of Triton X-100 (final concentration - 0.1%) for 15 min at 37°C. For experimentation, cells were treated with 50% methanol (-20°C) for 15 min at 4°C. Cells were then incubated with the antibody (unpurified ab133616, 1/100 dilution) for 30 min at 4°C. The secondary antibody used was Alexa Fluorr® 488 goat anti-rabbit IgG (H&L) (ab150077) at 1/2000 dilution for 30 min at 4°C. Isotype control antibody (black line) was rabbit IgG (monoclonal) (0.1μg/1x106 cells) used under the same conditions. Unlabelled sample (blue line) was also used as a control. Acquisition of >30,000 total events were collected using a 20mW Argon ion laser (488nm) and 525/30 bandpass filter. Gating strategy - peripheral blood lymphocytes.

Immunohistochemistry (Formalin/PFA-fixed paraffin-embedded sections) - Anti-CD4 antibody [EPR6855] (AB133616)
  • IHC-P

AbReview60776****

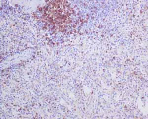
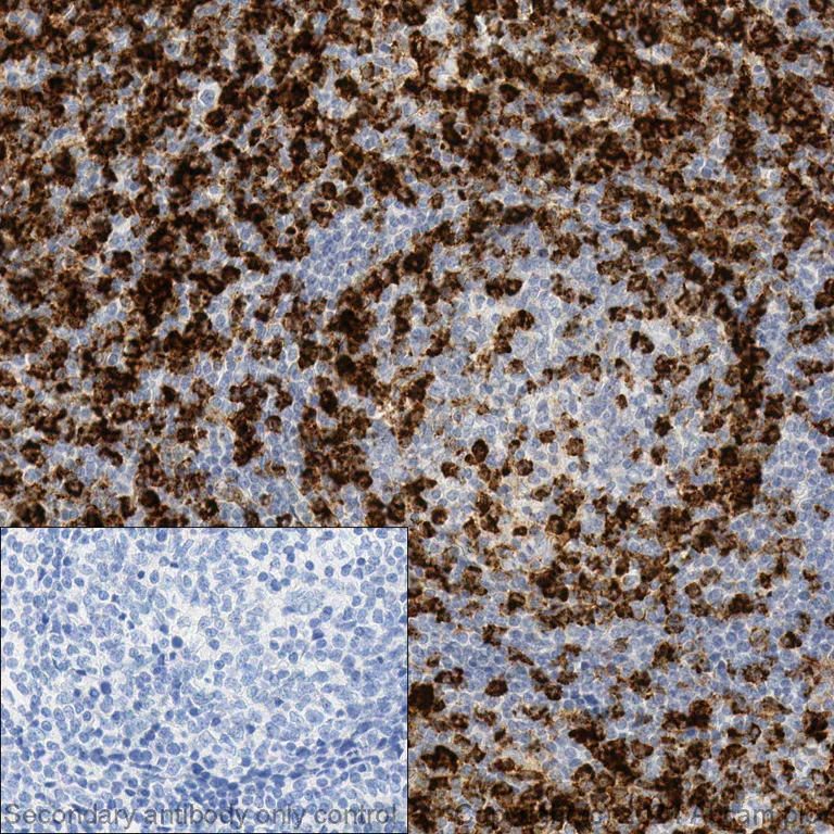
Immunohistochemistry (Formalin/PFA-fixed paraffin-embedded sections) - Anti-CD4 antibody [EPR6855] (AB133616)

Paraffin-embedded human spleen tissue stained for CD4 using ab133616 at 1/500 dilution in immunohistochemical analysis.

This image is courtesy of an anonymous Abreview.

Immunohistochemistry (Formalin/PFA-fixed paraffin-embedded sections) - Anti-CD4 antibody [EPR6855] (AB133616)
  • IHC-P

Unknown

Immunohistochemistry (Formalin/PFA-fixed paraffin-embedded sections) - Anti-CD4 antibody [EPR6855] (AB133616)

Immunohistochemistry (Formalin/PFA-fixed paraffin-embedded sections) analysis of human thymoma tissue labelling CD4 with unpurified ab133616.

Perform heat mediated antigen retrieval before commencing with IHC staining protocol.

Immunocytochemistry/ Immunofluorescence - Anti-CD4 antibody [EPR6855] (AB133616)
  • ICC/IF

Unknown

Immunocytochemistry/ Immunofluorescence - Anti-CD4 antibody [EPR6855] (AB133616)

Immunocytochemistry analysis of THP-1 (Human monocytic leukemia monocyte) labeling CD4 with purified ab133616 at 1/100 dilution. Cells were fixed with 100% methanol. Goat anti rabbit IgG (Alexa Fluor® 488, ab150077) at 1/1000 (2 µg/ml) was used as the secondary antibody. ab195889 Anti-alpha Tubulin antibody [DM1A] - Microtubule Marker (Alexa Fluor® 594) 1/200 (2.30 µg/ml) was used as counterstain. Nuclei were stained blue with DAPI.
Negative control : PBS instead of the primary antibody.

Immunohistochemistry (Formalin/PFA-fixed paraffin-embedded sections) - Anti-CD4 antibody [EPR6855] (AB133616)
  • IHC-P

Unknown

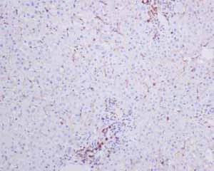
Immunohistochemistry (Formalin/PFA-fixed paraffin-embedded sections) - Anti-CD4 antibody [EPR6855] (AB133616)

Immunohistochemistry (Formalin/PFA-fixed paraffin-embedded sections) analysis of human spleen tissue labelling CD4 with unpurified ab133616.

Perform heat mediated antigen retrieval before commencing with IHC staining protocol.

Immunohistochemistry (Formalin/PFA-fixed paraffin-embedded sections) - Anti-CD4 antibody [EPR6855] (AB133616)
  • IHC-P

Lab

Immunohistochemistry (Formalin/PFA-fixed paraffin-embedded sections) - Anti-CD4 antibody [EPR6855] (AB133616)

Tissue Microarrays stained for "Anti-CD4 antibody [EPR6855]" using "ab133616"in immunohistochemical analysis. This table provides a detailed overview of positive (tick mark) and negative (cross mark) staining per sample type tested. The sections were pre-treated using Heat mediated antigen retrieval using Bond™ Epitope Retrieval Solution 2 (pH 9.0) for 20 minutes. The sections were incubated with ab133616 for 30 mins at room temperature followed by a ready to use Rabbit specific IHC polymer detection kit HRP/DAB (ab209101). The immunostaining was performed on a Leica Biosystems BOND® RX instrument.

Immunohistochemistry (Formalin/PFA-fixed paraffin-embedded sections) - Anti-CD4 antibody [EPR6855] (AB133616)
  • IHC-P

Lab

Immunohistochemistry (Formalin/PFA-fixed paraffin-embedded sections) - Anti-CD4 antibody [EPR6855] (AB133616)

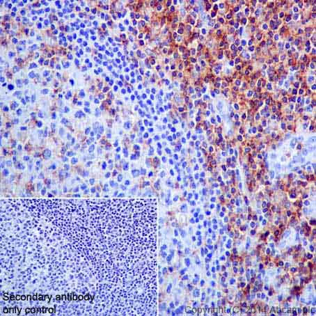
This data was developed using the same antibody clone in a different buffer formulation (ab181724).

Immunohistochemical analysis of formalin fixed paraffin embedded human tonsil labelling CD4 with ab181724 at a concentration of 1.37 µg/ml. The immunostaining was performed on a Ventana DISCOVERY ULTRA (Roche Tissue Diagnostics) instrument with an OptiView DAB IHC Detection Kit. Heat mediated antigen retrieval was conducted for 32 mins at 100°C with ULTRA cell conditioning solution (CC1, pH 8.5). ab181724 Anti-CD4 antibody [EPR6855] was incubated at 37°C for 16 mins. Sections were counterstained with Hematoxylin II. Image inset shows absence of staining in secondary antibody only control.

Immunohistochemistry (Formalin/PFA-fixed paraffin-embedded sections) - Anti-CD4 antibody [EPR6855] (AB133616)
  • IHC-P

Lab

Immunohistochemistry (Formalin/PFA-fixed paraffin-embedded sections) - Anti-CD4 antibody [EPR6855] (AB133616)

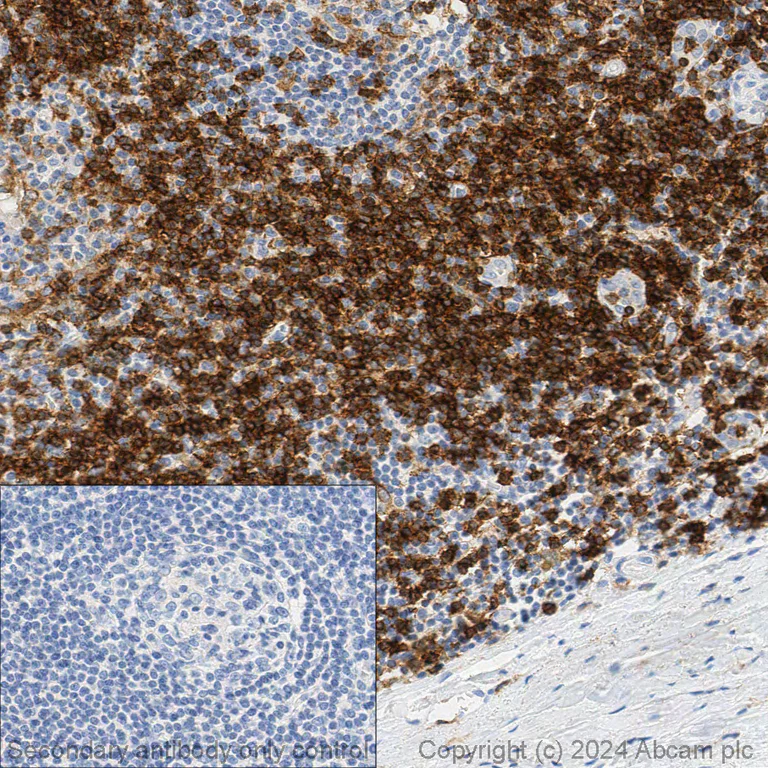
Immunohistochemical analysis of formalin fixed paraffin embedded human tonsil labelling CD4with ab133616 at a concentration of 1.43 µg/ml. The immunostaining was performed on a Leica Biosystems BOND® RX instrument with a Bond™ Polymer Refine Detection kit. Heat mediated antigen retrieval was performed with Tris-EDTA buffer (pH 9.0, Epitope Retrieval Solution 2) for 20 mins. ab133616 anti-CD4 antibody [EPR6855] was incubated for 30 mins at room temperature. Sections were counterstained with Hematoxylin. Image inset shows absence of staining in secondary antibody only control.

Immunohistochemistry (Formalin/PFA-fixed paraffin-embedded sections) - Anti-CD4 antibody [EPR6855] (AB133616)
  • IHC-P

Lab

Immunohistochemistry (Formalin/PFA-fixed paraffin-embedded sections) - Anti-CD4 antibody [EPR6855] (AB133616)

Immunohistochemical analysis of formalin fixed paraffin embedded human tonsil labelling CD4with ab133616 at a concentration of 0.1 µg/ml. The immunostaining was performed on a Ventana DISCOVERY ULTRA (Roche Tissue Diagnostics) instrument with OptiView DAB IHC Detection Kit followed by OptiView Amplification kit. Heat mediated antigen retrieval was conducted for 32 mins at 100°C with ULTRA cell conditioning solution (CC1, pH 8.5). ab133616 anti-CD4 antibody [EPR6855] was incubated at 37°C for 16 mins. Sections were counterstained with Hematoxylin II. Image inset shows absence of staining in secondary antibody only control.

Immunocytochemistry/ Immunofluorescence - Anti-CD4 antibody [EPR6855] (AB133616)
  • ICC/IF

PubMed

Immunocytochemistry/ Immunofluorescence - Anti-CD4 antibody [EPR6855] (AB133616)

HBZ is preferentially expressed in CD4+ T cells of HAM/TSP patient PH1624

Confocal microscopy analysis of PBMC from HAM/TSP patient PH1624. (A) co-staining with the 4D4-F3 anti-HBZ mAb followed by Alexa Fluor 546-conjugated goat anti-mouse IgG1 antibody (red) and with the anti-CD4 mAb followed by Alexa Fluor 488-conjugated goat-anti-rabbit IgG antibody (green); upper panels, extended field; lower panels, enlarged field focused on the single cell depicted in the square of the left upper panel and positive for both CD4 and HBZ.

CD4 was detected using ab133616 at 1/100 dilution.

From Figure 6A of Baratella et al.

Baratelle et al PLoS Negl Trop Dis. 2017 Jan; 11(1) : e0005285. Published online 2017 Jan 17. doi : 10.1371/journal.pntd.0005285

Reproduced under Creative Commons Attribution License, which permits unrestricted use, distribution, and reproduction in any medium, provided the original author and source are credited.

Baratella et al PLoS Negl Trop Dis. 2017 Jan; 11(1): e0005285. Published online 2017 Jan 17. doi: 10.1371/journal.pntd.0005285

Western blot - Anti-CD4 antibody [EPR6855] (AB133616)
  • WB

Lab

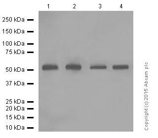
Western blot - Anti-CD4 antibody [EPR6855] (AB133616)

Blocking and dilution buffer : 5% NFDM/TBST.

All lanes:

Western blot - Anti-CD4 antibody [EPR6855] (ab133616) at 1/5000 dilution

Lane 1:

Human fetal thymus tissue lysate at 20 µg

Lane 2:

Human tonsil tissue lysate at 20 µg

Lane 3:

THP-1 cell lysate at 20 µg

Lane 4:

HuT-78 cell lysate at 20 µg

Secondary

All lanes:

HRP-conjugated anti-rabbit IgG, specific to the non-reduced form of IgG at 1/1000 dilution

Predicted band size: 51 kDa

Observed band size: 51 kDa

false

Western blot - Anti-CD4 antibody [EPR6855] (AB133616)
  • WB

Lab

Western blot - Anti-CD4 antibody [EPR6855] (AB133616)

Different batches of ab133616 were tested on THP-1 (Human monocytic leukemia monocyte) lysate at 1.0 µg/ml. 15 µg of lysate was loaded in each lane. Bands observed at 51 kDa.

All lanes:

Western blot - Anti-CD4 antibody [EPR6855] (ab133616)

Predicted band size: 51 kDa

false

Western blot - Anti-CD4 antibody [EPR6855] (AB133616)
  • WB

Unknown

Western blot - Anti-CD4 antibody [EPR6855] (AB133616)

All lanes:

Western blot - Anti-CD4 antibody [EPR6855] (ab133616) at 1/1000 dilution

Lane 1:

THP-1 cell lysate at 10 µg

Lane 2:

Human fetal thymus lysate at 10 µg

Lane 3:

Human tonsil lysate at 10 µg

Lane 4:

Human lymph node lysate at 10 µg

Secondary

All lanes:

HRP labelled goat anti-rabbit at 1/2000 dilution

Predicted band size: 51 kDa

Observed band size: 51 kDa

false

関連する標識済み抗体及び組成の異なる製品 (7)

Key facts

宿主種

Rabbit

クローン性

Monoclonal

クローン番号

EPR6855

アイソタイプ

IgG

キャリアフリー

No

交差種

Human

アプリケーション

Flow Cyt (Intra), IHC-P, mIHC, ICC/IF, WB

applications

免疫原

The exact immunogen used to generate this antibody is proprietary information.

Reactivity data

{ "title": "Reactivity Data", "filters": { "stats": ["", "Species", "Dilution Info", "Notes"], "tabs": { "all-applications": {"fullname" : "All Applications", "shortname": "All Applications"}, "mIHC" : {"fullname" : "Multiplex immunohistochemistry", "shortname":"mIHC"}, "IHCP" : {"fullname" : "Immunohistochemistry (Formalin/PFA-fixed paraffin-embedded sections)", "shortname":"IHC-P"}, "ICCIF" : {"fullname" : "Immunocytochemistry/ Immunofluorescence", "shortname":"ICC/IF"}, "WB" : {"fullname" : "Western blot", "shortname":"WB"}, "FlowCytIntra" : {"fullname" : "Flow Cytometry (Intracellular)", "shortname":"Flow Cyt (Intra)"} }, "product-promise": { "all": "all", "testedAndGuaranteed": "tested", "guaranteed": "expected", "predicted": "predicted", "notRecommended": "not-recommended" } }, "values": { "Human": { "mIHC-species-checked": "testedAndGuaranteed", "mIHC-species-dilution-info": "1/600", "mIHC-species-notes": "<p></p>", "IHCP-species-checked": "testedAndGuaranteed", "IHCP-species-dilution-info": "1/500", "IHCP-species-notes": "<p><strong>For unpurified use at 1/100 - 1/250.</strong></p> Perform heat-mediated antigen retrieval before commencing with IHC staining protocol.", "ICCIF-species-checked": "testedAndGuaranteed", "ICCIF-species-dilution-info": "1/100 - 1/250", "ICCIF-species-notes": "<p></p>", "WB-species-checked": "testedAndGuaranteed", "WB-species-dilution-info": "1/5000", "WB-species-notes": "<p><strong>For unpurified use at 1/1000 - 1/10000.</strong></p>", "FlowCytIntra-species-checked": "testedAndGuaranteed", "FlowCytIntra-species-dilution-info": "1/100", "FlowCytIntra-species-notes": "<p><a href='/products/primary-antibodies/rabbit-igg-monoclonal-epr25a-isotype-control-ab172730'>ab172730</a> - Rabbit monoclonal IgG, is suitable for use as an isotype control with this antibody.</p>" }, "Mouse": { "mIHC-species-checked": "notRecommended", "mIHC-species-dilution-info": "", "mIHC-species-notes": "", "IHCP-species-checked": "notRecommended", "IHCP-species-dilution-info": "1/500", "IHCP-species-notes": "<p><strong>For unpurified use at 1/100 - 1/250.</strong></p> Perform heat-mediated antigen retrieval before commencing with IHC staining protocol.", "ICCIF-species-checked": "notRecommended", "ICCIF-species-dilution-info": "1/100 - 1/250", "ICCIF-species-notes": "<p></p>", "WB-species-checked": "notRecommended", "WB-species-dilution-info": "1/5000", "WB-species-notes": "<p><strong>For unpurified use at 1/1000 - 1/10000.</strong></p>", "FlowCytIntra-species-checked": "notRecommended", "FlowCytIntra-species-dilution-info": "1/100", "FlowCytIntra-species-notes": "<p><a href='/products/primary-antibodies/rabbit-igg-monoclonal-epr25a-isotype-control-ab172730'>ab172730</a> - Rabbit monoclonal IgG, is suitable for use as an isotype control with this antibody.</p>" }, "Rat": { "mIHC-species-checked": "notRecommended", "mIHC-species-dilution-info": "", "mIHC-species-notes": "", "IHCP-species-checked": "notRecommended", "IHCP-species-dilution-info": "1/500", "IHCP-species-notes": "<p><strong>For unpurified use at 1/100 - 1/250.</strong></p> Perform heat-mediated antigen retrieval before commencing with IHC staining protocol.", "ICCIF-species-checked": "notRecommended", "ICCIF-species-dilution-info": "1/100 - 1/250", "ICCIF-species-notes": "<p></p>", "WB-species-checked": "notRecommended", "WB-species-dilution-info": "1/5000", "WB-species-notes": "<p><strong>For unpurified use at 1/1000 - 1/10000.</strong></p>", "FlowCytIntra-species-checked": "notRecommended", "FlowCytIntra-species-dilution-info": "1/100", "FlowCytIntra-species-notes": "<p><a href='/products/primary-antibodies/rabbit-igg-monoclonal-epr25a-isotype-control-ab172730'>ab172730</a> - Rabbit monoclonal IgG, is suitable for use as an isotype control with this antibody.</p>" } } }

製品の詳細

Anti-CD4 antibody [EPR6855] (ab133616) was developed by Abcam using patented rabbit monoclonal antibody technology and is validated for use in Flow Cyt (Intra), ICC/IF, IHC-P, WB and mIHC.

Anti-CD4 antibody [EPR6855] (ab133616) was first used in a scientific publication in 2014 and has been cited over 318 times in peer reviewed journals. It's performance in IHC and Immunofluorescence in human samples is trusted by the scientific community.

Abcam's high quality manufacturing and validation processes ensure Anti-CD4 antibody [EPR6855] (ab133616) has high sensitivity and specificity alongside high lot-to-lot consistency and reproducibility.

Anti-CD4 antibody [EPR6855] (ab133616) has 19 independent reviews from customers.

Anti-CD4 antibody [EPR6855] (ab133616) specifically detects CD4 (UniProt ID: P01730; Molecular weight: 49kDa) and is sold in a convenient trial size to enable initial testing (20 µL) and larger sizes for subsequent scaling up experiments (100 µL and 1 mL).

Conjugation-ready, carrier free format available for antibody clone EPR6855 - ab181724.

Antibody clone EPR6855 is also available pre-conjugated to a variety of labels for your convenience - HRP, Alexa Fluor® 647, Alexa Fluor® 488, Alexa Fluor® 594, Alexa Fluor® 555 (ab195842, ab196147, ab196372, ab277931, ab280849).

IL-4 plays a role in conditions like systemic lupus erythematosus (SLE) and multiple sclerosis, where it influences immune responses and inflammation. Specificity and sensitivity confirmed in IHC with multi-tissue microarray (TMA) validation

Patented technology
Our RabMAb® technology is a patented hybridoma-based technology for making rabbit monoclonal antibodies. For details on our patents, please refer to RabMAb® patents.

What are the advantages of a recombinant monoclonal antibody?
This product is a recombinant monoclonal antibody, which offers several advantages including:

  • - High batch-to-batch consistency and reproducibility
  • - Improved sensitivity and specificity
  • - Long-term security of supply
  • - Animal-free batch production

For more information, read more on recombinant antibodies.

出荷温度及び保存条件

製品の状態
Liquid
精製方法
Affinity purification Protein A
バッファー組成
pH: 7.2 - 7.4 Preservative: 0.01% Sodium azide Constituents: PBS, 40% Glycerol (glycerin, glycerine), 0.05% BSA
出荷温度
Blue Ice
短期保存期間
1-2 weeks
短期保存温度
+4°C
長期保存温度
-20°C
分注に関する情報
Upon delivery aliquot
保管に関する情報
Stable for 12 months at -20°C

製品プロトコール

For this product, it's our understanding that no specific protocols are required. You can visit:

ターゲットの情報

Integral membrane glycoprotein that plays an essential role in the immune response and serves multiple functions in responses against both external and internal offenses. In T-cells, functions primarily as a coreceptor for MHC class II molecule : peptide complex. The antigens presented by class II peptides are derived from extracellular proteins while class I peptides are derived from cytosolic proteins. Interacts simultaneously with the T-cell receptor (TCR) and the MHC class II presented by antigen presenting cells (APCs). In turn, recruits the Src kinase LCK to the vicinity of the TCR-CD3 complex. LCK then initiates different intracellular signaling pathways by phosphorylating various substrates ultimately leading to lymphokine production, motility, adhesion and activation of T-helper cells. In other cells such as macrophages or NK cells, plays a role in differentiation/activation, cytokine expression and cell migration in a TCR/LCK-independent pathway. Participates in the development of T-helper cells in the thymus and triggers the differentiation of monocytes into functional mature macrophages.. (Microbial infection) Primary receptor for human immunodeficiency virus-1 (HIV-1) (PubMed : 12089508, PubMed : 16331979, PubMed : 2214026, PubMed : 9641677). Down-regulated by HIV-1 Vpu (PubMed : 17346169). Acts as a receptor for Human Herpes virus 7/HHV-7 (PubMed : 7909607).
See full target information CD4

文献 (528)

Recent publications for all applications. Explore the full list and refine your search

Scientific reports 15:35240 PubMed41068337

2025

Comparative profiling of T cell and macrophage subsets in cutaneous squamous cell carcinoma and basal cell carcinoma.

Applications

Unspecified application

Species

Unspecified reactive species

Linus Winter,Jutta Ries,Christoph Vogl,Leah Trumet,Carol Immanuel Geppert,Carina Scholtysek,Manuel Olmos,Marco Kesting,Manuel Weber

Theranostics 15:9580-9600 PubMed41041054

2025

Macrophage-TREM2 promotes cardiac repair by restricting the infiltration of CD8 T cells via CXCL16-CXCR6 axis after myocardial infarction.

Applications

Unspecified application

Species

Unspecified reactive species

Linlin Zhang,Sheng Wang,Yu Ding,Tao Zheng,Jie Sheng,Yanshan Chen,Zhiyue Wang,Ximei Dai,Canbiao Wang,Long Ma,Jing Pan,Yunming Zhang,Longjiang Zhang

Current issues in molecular biology 47: PubMed41020815

2025

The Axis Modulates the Immunosuppressive Tumor Microenvironment and Predicts Immunotherapy Response in Hepatocellular Carcinoma.

Applications

Unspecified application

Species

Unspecified reactive species

Zhenxing Wang,Xia Li,Shiyi Zhang,Jiamin Sun,Qinchen Lu,Yuting Tao,Shuang Liang,Xiuwan Lan,Jianhong Zhong,Qiuyan Wang

Journal of inflammation research 18:13089-13101 PubMed40994653

2025

Druggable Targets for Pelvic Inflammatory Disease: Mendelian Randomization and Experimental Validation.

Applications

Unspecified application

Species

Unspecified reactive species

Chunxiao Dang,Qing Wu,Jing Pan,Xiao Yu,Jinxing Liu,Pengfei Liu,Yayu Wang

JCI insight : PubMed40996813

2025

CD4+ and CD8+ T-cells are not the main driver of Lassa fever pathogenesis in macaques.

Applications

Unspecified application

Species

Unspecified reactive species

Jérémie Prévost,Nikesh Tailor,Geoff Soule,Jonathan Audet,Yvon Deschambault,Robert Vendramelli,Jessica Prado-Smith,Kevin Tierney,Kimberly Azaransky,Darwyn Kobasa,Chad S Clancy,Heinz Feldmann,Kyle Rosenke,David Safronetz

Journal of gastrointestinal oncology 16:1711-1735 PubMed40950343

2025

A novel lactylation-related signature for predicting esophageal cancer prognosis and immune infiltration.

Applications

Unspecified application

Species

Unspecified reactive species

Liming Xie,Qiuxing Yang,Wenjing Zhao,Guangzhi Lan,Guomei Tai

Journal of gastrointestinal oncology 16:1366-1379 PubMed40950351

2025

Effects of anlotinib combined with camrelizumab and chemotherapy as first-line treatment for advanced esophageal squamous cell carcinoma on tumor immune microenvironment.

Applications

Unspecified application

Species

Unspecified reactive species

Mingfang Xu,Yingda Liu,Xunjie Kuang,Xiuyong Liao,Xiaodong Zhao

PLoS pathogens 21:e1013493 PubMed40953060

2025

Differential tissue tropism and transmission efficiency of two dominant influenza D clades with overlapping but distinct receptor binding fine specificities in ferrets.

Applications

Unspecified application

Species

Unspecified reactive species

Tirth Uprety,Chithra C Sreenivasan,Jieshi Yu,Miaoyun Zhao,Runxia Liu,Hai Yu,Ahsan Naveed,Lianne G Eertink,Shalini Soni,Rebecca E Ruby,Xi Chen,Radhey S Kaushik,Zizhang Sheng,Qingsheng Li,Dan Wang,Feng Li

World journal of surgical oncology 23:329 PubMed40883713

2025

The correlation between EGFR mutation status and clinicopathological characteristics, Ki67 expression and immune cell infiltration in lung adenocarcinoma with different radiological subtypes.

Applications

Unspecified application

Species

Unspecified reactive species

Rirong Qu,Yang Zhang,Shenghui Qin,Jing Xiong,Xiangning Fu,Shaojie Hu,Yixin Cai

Frontiers in cellular neuroscience 19:1557645 PubMed40842561

2025

Decreased neuronal and increased endothelial fractalkine expression are associated with neuroinflammation in Parkinson's disease and related disorders.

Applications

Unspecified application

Species

Unspecified reactive species

Yaping Chu,Ashley S Harms,Ashley Boehringer,Jeffrey H Kordower
View all publications

Abcam product promise

当社は、高品質な試薬を通じてお客様の研究を力強くサポートすることをお約束いたします。ご使用いただく各段階で、常にお客様をサポートできる体制を整えております。万が一、製品が期待通りに機能しない場合は、「Abcam Product Promise」による当社保証制度に基づき、安心してご利用いただけます。
保証に関する詳細については利用規約をご確認ください。

Please note: All products are 'FOR RESEARCH USE ONLY. NOT FOR USE IN DIAGNOSTIC OR THERAPEUTIC PROCEDURES'.

For licensing inquiries, please contact partnerships@abcam.com