JavaScript is disabled in your browser. Please enable JavaScript to view this website.
AB25

Anti-CD35 抗体 [E11] - BSA and Azide free

Anti-CD35 antibody [E11]

3

(1 Review)

|

(12 Publications)

Mouse Monoclonal CD35 antibody. Suitable for IHC-P and reacts with Human samples. Cited in 12 publications. Immunogen corresponding to Cell preparation containing CR1 protein.

別名を表示する

CD35, C3BR, CR1, Complement receptor type 1, C3b/C4b receptor

1 Images
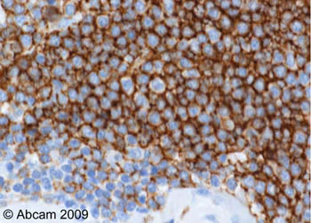
Immunohistochemistry (Formalin/PFA-fixed paraffin-embedded sections) - Anti-CD35 antibody [E11] (AB25)
  • IHC-P

Unknown

Immunohistochemistry (Formalin/PFA-fixed paraffin-embedded sections) - Anti-CD35 antibody [E11] (AB25)

ab25 (1µg/ml) staining CD35 in human spleen.
Sections were stained using an automated system (DAKO Autostainer Plus ), at room temperature : sections were rehydrated and antigen retrieved with the Dako 3 in 1 AR buffers citrate pH6.1. Slides were peroxidase blocked in 3% H2O2 in methanol for 10 mins. They were then blocked with Dako Protein block for 10 minutes (containing casein 0.25% in PBS) then incubated with primary antibody for 20 min and detected with Dako envision flex amplification kit for 30 minutes. Colorimetric detection was completed with Diaminobenzidine for 5 minutes. Slides were counterstained with Haematoxylin and coverslipped under DePeX. Please note that for manual staining we recommend to optimize the primary antibody concentration and incubation time (overnight incubation), and amplification may be required.

関連する標識済み抗体及び組成の異なる製品 (3)

  • 578 PE

    PE Anti-CD35 antibody [E11]

  • 519 Alexa Fluor® 488

    Alexa Fluor® 488 Anti-CD35 antibody [E11]

  • 660 APC

    APC Anti-CD35 antibody [E11]

Key facts

宿主種

Mouse

クローン性

Monoclonal

クローン番号

E11

アイソタイプ

IgG

軽鎖のタイプ

unknown

キャリアフリー

No

交差種

Human

アプリケーション

IHC-P

applications

免疫原

Cell preparation containing CR1 protein. The exact immunogen used to generate this antibody is proprietary information.

P17927

特異性

Does not block complement receptor 1 (CR1) activity. No cross reaction with CR2.

Reactivity data

{ "title": "Reactivity Data", "filters": { "stats": ["", "Species", "Dilution Info", "Notes"], "tabs": { "all-applications": {"fullname" : "All Applications", "shortname": "All Applications"}, "IHCP" : {"fullname" : "Immunohistochemistry (Formalin/PFA-fixed paraffin-embedded sections)", "shortname":"IHC-P"} }, "product-promise": { "all": "all", "testedAndGuaranteed": "tested", "guaranteed": "expected", "predicted": "predicted", "notRecommended": "not-recommended" } }, "values": { "Human": { "IHCP-species-checked": "testedAndGuaranteed", "IHCP-species-dilution-info": "10 µg/mL", "IHCP-species-notes": "<p></p> Perform heat-mediated antigen retrieval with citrate buffer pH 6 before commencing with IHC staining protocol." } } }

出荷温度及び保存条件

製品の状態
Liquid
精製方法
Affinity purification Protein A
バッファー組成
Preservative: 0.02% Sodium azide Constituents: PBS
出荷温度
Blue Ice
短期保存期間
1-2 weeks
短期保存温度
+4°C
長期保存温度
-20°C
分注に関する情報
Upon delivery aliquot
保管に関する情報
Avoid freeze / thaw cycle

製品プロトコール

For this product, it's our understanding that no specific protocols are required. You can visit:

ターゲットの情報

Membrane immune adherence receptor that plays a critical role in the capture and clearance of complement-opsonized pathogens by erythrocytes and monocytes/macrophages (PubMed : 2963069). Mediates the binding by these cells of particles and immune complexes that have activated complement to eliminate them from the circulation (PubMed : 2963069). Acts also in the inhibition of spontaneous complement activation by impairing the formation and function of the alternative and classical pathway C3/C5 convertases, and by serving as a cofactor for the cleavage by factor I of C3b to iC3b, C3c and C3d,g, and of C4b to C4c and C4d (PubMed : 2972794, PubMed : 8175757). Also plays a role in immune regulation by contributing, upon ligand binding, to the generation of regulatory T cells from activated helper T cells (PubMed : 25742728).. (Microbial infection) Acts as a receptor for Epstein-Barr virus.
See full target information CR1

文献 (12)

Recent publications for all applications. Explore the full list and refine your search

International journal of molecular sciences 25: PubMed38791563

2024

Exacerbated Activation of the NLRP3 Inflammasome in the Placentas from Women Who Developed Chronic Venous Disease during Pregnancy.

Applications

Unspecified application

Species

Unspecified reactive species

María Asunción Sánchez-Gil,Oscar Fraile-Martinez,Cielo García-Montero,Diego De Leon-Oliva,Diego Liviu Boaru,Patricia De Castro-Martinez,Adrían Camacho-Alcázar,Juan A De León-Luis,Coral Bravo,Raúl Díaz-Pedrero,Laura López-Gonzalez,Julia Bujan,María J Cancelo,Melchor Álvarez-Mon,Natalio García-Honduvilla,Miguel A Saez,Miguel A Ortega

Journal of structural biology: X 6:100056 PubMed34977554

2022

Multimodal imaging reveals membrane skeleton reorganisation during reticulocyte maturation and differences in dimple and rim regions of mature erythrocytes.

Applications

Unspecified application

Species

Unspecified reactive species

Adam J Blanch,Juan Nunez-Iglesias,Arman Namvar,Sebastien Menant,Oliver Looker,Vijay Rajagopal,Wai-Hong Tham,Leann Tilley,Matthew W A Dixon

Cell 183:143-157.e13 PubMed32877699

2020

Loss of Bcl-6-Expressing T Follicular Helper Cells and Germinal Centers in COVID-19.

Applications

Unspecified application

Species

Unspecified reactive species

Naoki Kaneko,Hsiao-Hsuan Kuo,Julie Boucau,Jocelyn R Farmer,Hugues Allard-Chamard,Vinay S Mahajan,Alicja Piechocka-Trocha,Kristina Lefteri,Matthew Osborn,Julia Bals,Yannic C Bartsch,Nathalie Bonheur,Timothy M Caradonna,Josh Chevalier,Fatema Chowdhury,Thomas J Diefenbach,Kevin Einkauf,Jon Fallon,Jared Feldman,Kelsey K Finn,Pilar Garcia-Broncano,Ciputra Adijaya Hartana,Blake M Hauser,Chenyang Jiang,Paulina Kaplonek,Marshall Karpell,Eric C Koscher,Xiaodong Lian,Hang Liu,Jinqing Liu,Ngoc L Ly,Ashlin R Michell,Yelizaveta Rassadkina,Kyra Seiger,Libera Sessa,Sally Shin,Nishant Singh,Weiwei Sun,Xiaoming Sun,Hannah J Ticheli,Michael T Waring,Alex L Zhu,Galit Alter,Jonathan Z Li,Daniel Lingwood,Aaron G Schmidt,Mathias Lichterfeld,Bruce D Walker,Xu G Yu,Robert F Padera,Shiv Pillai

Journal of cell science 133: PubMed32005700

2020

Reactive oxygen species-mediated cytoplasmic stiffening impairs the phagocytic ability of the macrophage.

Applications

Unspecified application

Species

Unspecified reactive species

Mahesh Agarwal,Parijat Biswas,Anindita Bhattacharya,Deepak Kumar Sinha

Journal of experimental & clinical cancer research 39:9 PubMed31928530

2020

Complement C3 overexpression activates JAK2/STAT3 pathway and correlates with gastric cancer progression.

Applications

Unspecified application

Species

Unspecified reactive species

Kaitao Yuan,Jinning Ye,Zhenguo Liu,Yufeng Ren,Weiling He,Jianbo Xu,Yulong He,Yujie Yuan

International journal of molecular sciences 20: PubMed31731785

2019

The Effects of Meldonium on the Renal Acute Ischemia/Reperfusion Injury in Rats.

Applications

Unspecified application

Species

Unspecified reactive species

Siniša Đurašević,Maja Stojković,Ljiljana Bogdanović,Slađan Pavlović,Slavica Borković-Mitić,Ilijana Grigorov,Desanka Bogojević,Nebojša Jasnić,Tomislav Tosti,Saša Đurović,Jelena Đorđević,Zoran Todorović

FEBS open bio 9:2063-2071 PubMed31605506

2019

NGF protects neuroblastoma cells against β-amyloid-induced apoptosis via the Nrf2/HO-1 pathway.

Applications

Unspecified application

Species

Unspecified reactive species

Rui Su,Wei Su,Qian Jiao

Blood cancer journal 6:e498 PubMed27834940

2016

High prevalence of viral hepatitis in a series of splenic marginal zone lymphomas from Romania.

Applications

Unspecified application

Species

Unspecified reactive species

B Fetica,B Pop,M L Blaga,A Fulop,D Dima,M T Zdrenghea,C I Vlad,A S Bojan,P Achimas-Cadariu,C I Lisencu,A Irimie,D D Weisenburger

PloS one 11:e0149792 PubMed26914463

2016

Analysis of the Putative Role of CR1 in Alzheimer's Disease: Genetic Association, Expression and Function.

Applications

Unspecified application

Species

Unspecified reactive species

Maria I Fonseca,Shuhui Chu,Aimee L Pierce,William D Brubaker,Richard E Hauhart,Diego Mastroeni,Elizabeth V Clarke,Joseph Rogers,John P Atkinson,Andrea J Tenner

The Journal of biological chemistry 289:450-63 PubMed24214979

2013

Using mutagenesis and structural biology to map the binding site for the Plasmodium falciparum merozoite protein PfRh4 on the human immune adherence receptor.

Applications

ELISA

Species

Unspecified reactive species

Hyon Ju Park,Mara Guariento,Mateusz Maciejewski,Richard Hauhart,Wai-Hong Tham,Alan F Cowman,Christoph Q Schmidt,Haydyn D T Mertens,M Kathryn Liszewski,Dennis E Hourcade,Paul N Barlow,John P Atkinson
View all publications

Abcam product promise

当社は、高品質な試薬を通じてお客様の研究を力強くサポートすることをお約束いたします。ご使用いただく各段階で、常にお客様をサポートできる体制を整えております。万が一、製品が期待通りに機能しない場合は、「Abcam Product Promise」による当社保証制度に基づき、安心してご利用いただけます。
保証に関する詳細については利用規約をご確認ください。

Please note: All products are 'FOR RESEARCH USE ONLY. NOT FOR USE IN DIAGNOSTIC OR THERAPEUTIC PROCEDURES'.

For licensing inquiries, please contact partnerships@abcam.com