JavaScript is disabled in your browser. Please enable JavaScript to view this website.
AB45143

Anti-CD32B 抗体 [EP888Y]

Anti-CD32B antibody [EP888Y]

Be the first to review this product! Submit a review

|

(20 Publications)

Rabbit Recombinant Monoclonal FCG2B antibody. Suitable for IHC-P, WB and reacts with Human, Transfected cell lysate - Human samples. Cited in 20 publications.

別名を表示する

CD32, FCG2, IGFR2, FCGR2B, Low affinity immunoglobulin gamma Fc region receptor II-b, IgG Fc receptor II-b, CDw32, Fc-gamma RII-b, Fc-gamma-RIIb, FcRII-b

4 Images
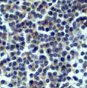
Immunohistochemistry (Formalin/PFA-fixed paraffin-embedded sections) - Anti-CD32B antibody [EP888Y] (AB45143)
  • IHC-P

Unknown

Immunohistochemistry (Formalin/PFA-fixed paraffin-embedded sections) - Anti-CD32B antibody [EP888Y] (AB45143)

Immunohistochemical staining of paraffin embedded human spleen with purified ab45143 at a working dilution of 1/1000. The secondary antibody used is ab97051, a goat anti-rabbit IgG (H&L) at a dilution of 1/500. The sample is counter-stained with hematoxylin. Antigen retrieval was perfomed using Tris-EDTA buffer, pH 9.0. PBS was used instead of the primary antibody as the negative control, and is shown in the inset.

Immunohistochemistry (Formalin/PFA-fixed paraffin-embedded sections) - Anti-CD32B antibody [EP888Y] (AB45143)
  • IHC-P

Unknown

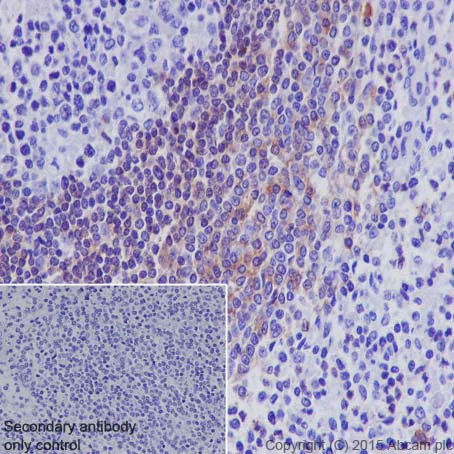
Immunohistochemistry (Formalin/PFA-fixed paraffin-embedded sections) - Anti-CD32B antibody [EP888Y] (AB45143)

Unpurified ab45143 staining human CD32 (1/100) in human lymph node by immunohistochemistry using paraffin embedded tissue.

Perform heat mediated antigen retrieval before commencing with IHC staining protocol.

Western blot - Anti-CD32B antibody [EP888Y] (AB45143)
  • WB

Lab

Western blot - Anti-CD32B antibody [EP888Y] (AB45143)

Blocking buffer : 5% NFDM/TBST
Dilution buffer : 5% NFDM/TBST

All lanes:

Western blot - Anti-CD32B antibody [EP888Y] (ab45143) at 1/10000 dilution

Lane 1:

Human thyroid lysate at 20 µg

Lane 2:

Daudi whole cell lysate at 20 µg

Secondary

All lanes:

Anti-rabbit IgG (HRP), specific to the non-reduced form of IgG at 1/1000 dilution

Predicted band size: 34 kDa

Observed band size: 40-44 kDa

false

Western blot - Anti-CD32B antibody [EP888Y] (AB45143)
  • WB

Lab

Western blot - Anti-CD32B antibody [EP888Y] (AB45143)

Exposure times : Lanes 1 and 2 : 3 minutes, Lanes 3 and 4 : 15 seconds, Lanes 5 and 6 : 3 minutes.

Blocking and dilution buffer : 5% NFDM/TBST.

Lanes 1, 2, 5 and 6:

Western blot - Anti-CD32B antibody [EP888Y] (ab45143) at 1/200 dilution

Lanes 3 - 4:

Western blot - Anti-CD32B antibody [EP888Y] (ab45143) at 1/2000 dilution

Lane 1:

Human CD32A overexpressed lysate at 10 µg

Lanes 2, 4 and 6:

Non-transfected lysate at 10 µg

Lane 3:

Human CD32B overexpressed lysate at 10 µg

Lane 5:

Human CD32C overexpressed lysate at 10 µg

Secondary

All lanes:

Western blot - Goat Anti-Rabbit IgG H&L (HRP) (<a href='/products/secondary-antibodies/goat-rabbit-igg-h-l-hrp-ab97051'>ab97051</a>) at 1/20000 dilution

Predicted band size: 34 kDa

Observed band size: 39 kDa

false

関連する標識済み抗体及び組成の異なる製品 (1)

  • Carrier free

    Anti-CD32B antibody [EP888Y] - BSA and Azide free

Key facts

宿主種

Rabbit

クローン性

Monoclonal

クローン番号

EP888Y

アイソタイプ

IgG

キャリアフリー

No

交差種

Human

アプリケーション

IHC-P, WB

applications

免疫原

The exact immunogen used to generate this antibody is proprietary information.

特異性

This antibody has weak cross-reactivity with CD32A and CD32C. It detects weak signal in CD32A and CD32C over-expressed lysates at the dilution of 1/200 under the exposure time of 3 minutes, but detects strong band in CD32B over-expressed lysates at the dilution of 1:2000 under the exposure time of 15 seconds.

Reactivity data

{ "title": "Reactivity Data", "filters": { "stats": ["", "Species", "Dilution Info", "Notes"], "tabs": { "all-applications": {"fullname" : "All Applications", "shortname": "All Applications"}, "IHCP" : {"fullname" : "Immunohistochemistry (Formalin/PFA-fixed paraffin-embedded sections)", "shortname":"IHC-P"}, "IP" : {"fullname" : "Immunoprecipitation", "shortname":"IP"}, "FlowCyt" : {"fullname" : "Flow Cytometry", "shortname":"Flow Cyt"}, "WB" : {"fullname" : "Western blot", "shortname":"WB"}, "ICCIF" : {"fullname" : "Immunocytochemistry/ Immunofluorescence", "shortname":"ICC/IF"} }, "product-promise": { "all": "all", "testedAndGuaranteed": "tested", "guaranteed": "expected", "predicted": "predicted", "notRecommended": "not-recommended" } }, "values": { "Human": { "IHCP-species-checked": "testedAndGuaranteed", "IHCP-species-dilution-info": "1/1000", "IHCP-species-notes": "<p></p>", "IP-species-checked": "notRecommended", "IP-species-dilution-info": "1/50", "IP-species-notes": "<p></p>", "FlowCyt-species-checked": "notRecommended", "FlowCyt-species-dilution-info": "1/20", "FlowCyt-species-notes": "<p><a href='/products/primary-antibodies/rabbit-igg-monoclonal-epr25a-isotype-control-ab172730'>ab172730</a> - Rabbit monoclonal IgG, is suitable for use as an isotype control with this antibody.</p>", "WB-species-checked": "testedAndGuaranteed", "WB-species-dilution-info": "1/10000 - 1/50000", "WB-species-notes": "<p></p>", "ICCIF-species-checked": "notRecommended", "ICCIF-species-dilution-info": "", "ICCIF-species-notes": "<p></p>" }, "Transfected cell lysate - Human": { "IHCP-species-checked": "notRecommended", "IHCP-species-dilution-info": "", "IHCP-species-notes": "", "IP-species-checked": "notRecommended", "IP-species-dilution-info": "", "IP-species-notes": "", "FlowCyt-species-checked": "notRecommended", "FlowCyt-species-dilution-info": "", "FlowCyt-species-notes": "", "WB-species-checked": "testedAndGuaranteed", "WB-species-dilution-info": "1/10000 - 1/50000", "WB-species-notes": "<p></p>", "ICCIF-species-checked": "notRecommended", "ICCIF-species-dilution-info": "", "ICCIF-species-notes": "" } } }

製品の詳細

Species reactivity
Mouse, Rat: We have preliminary internal testing data to indicate this antibody may not react with these species.
Please contact us for more information.

Patented technology
Our RabMAb® technology is a patented hybridoma-based technology for making rabbit monoclonal antibodies. For details on our patents, please refer to RabMAb® patents.

What are the advantages of a recombinant monoclonal antibody?
This product is a recombinant monoclonal antibody, which offers several advantages including:

  • - High batch-to-batch consistency and reproducibility
  • - Improved sensitivity and specificity
  • - Long-term security of supply
  • - Animal-free batch production

For more information, read more on recombinant antibodies.

出荷温度及び保存条件

製品の状態
Liquid
精製方法
Affinity purification Protein A
バッファー組成
pH: 7.2 - 7.4 Preservative: 0.01% Sodium azide Constituents: PBS, 40% Glycerol (glycerin, glycerine), 0.05% BSA
出荷温度
Blue Ice
短期保存期間
1-2 weeks
短期保存温度
+4°C
長期保存温度
-20°C
分注に関する情報
Upon delivery aliquot
保管に関する情報
Avoid freeze / thaw cycle

製品プロトコール

For this product, it's our understanding that no specific protocols are required. You can visit:

ターゲットの情報

Receptor for the Fc region of complexed or aggregated immunoglobulins gamma. Low affinity receptor. Involved in a variety of effector and regulatory functions such as phagocytosis of immune complexes and modulation of antibody production by B-cells. Binding to this receptor results in down-modulation of previous state of cell activation triggered via antigen receptors on B-cells (BCR), T-cells (TCR) or via another Fc receptor. Isoform IIB1 fails to mediate endocytosis or phagocytosis. Isoform IIB2 does not trigger phagocytosis.
See full target information FCGR2B

文献 (20)

Recent publications for all applications. Explore the full list and refine your search

JHEP reports : innovation in hepatology 6:101023 PubMed38681862

2024

Liver specification of human iPSC-derived endothelial cells transplanted into mouse liver.

Applications

Unspecified application

Species

Unspecified reactive species

Kiryu K Yap,Jan Schröder,Yi-Wen Gerrand,Aleksandar Dobric,Anne M Kong,Adrian M Fox,Brett Knowles,Simon W Banting,Andrew G Elefanty,Eduoard G Stanley,George C Yeoh,Glen P Lockwood,Victoria C Cogger,Wayne A Morrison,Jose M Polo,Geraldine M Mitchell

Frontiers in pharmacology 13:883835 PubMed35592412

2022

Dihydroarteannuin Ameliorates Collagen-Induced Arthritis Inhibiting B Cell Activation by Activating the FcγRIIb/Lyn/SHP-1 Pathway.

Applications

Unspecified application

Species

Unspecified reactive species

Congqi Hu,Danbin Wu,Jiahui Yu,Jia Xu,Lijuan Liu,Mingying Zhang,Wei Jiao,Guangxing Chen

Cancer immunology research 7:1876-1890 PubMed31451483

2019

Cyclophosphamide Enhances Cancer Antibody Immunotherapy in the Resistant Bone Marrow Niche by Modulating Macrophage FcγR Expression.

Applications

Unspecified application

Species

Unspecified reactive species

Ali Roghanian,Guangan Hu,Christopher Fraser,Maneesh Singh,Russell B Foxall,Matthew J Meyer,Emma Lees,Heather Huet,Martin J Glennie,Stephen A Beers,Sean H Lim,Margaret Ashton-Key,Stephen M Thirdborough,Mark S Cragg,Jianzhu Chen

FASEB journal : official publication of the Federation of American Societies for Experimental Biology 33:4300-4313 PubMed30540497

2018

Amelioration of amyloid β-FcγRIIb neurotoxicity and tau pathologies by targeting LYN.

Applications

Unspecified application

Species

Unspecified reactive species

Youngdae Gwon,Seo-Hyun Kim,Hyun Tae Kim,Tae-In Kam,Jisu Park,Bitna Lim,Hyunju Cha,Ho-Jin Chang,Yong Rae Hong,Yong-Keun Jung

Nature communications 9:4001 PubMed30275490

2018

Genome-wide discovery of somatic regulatory variants in diffuse large B-cell lymphoma.

Applications

Unspecified application

Species

Unspecified reactive species

Sarah E Arthur,Aixiang Jiang,Bruno M Grande,Miguel Alcaide,Razvan Cojocaru,Christopher K Rushton,Anja Mottok,Laura K Hilton,Prince Kumar Lat,Eric Y Zhao,Luka Culibrk,Daisuke Ennishi,Selin Jessa,Lauren Chong,Nicole Thomas,Prasath Pararajalingam,Barbara Meissner,Merrill Boyle,Jordan Davidson,Kevin R Bushell,Daniel Lai,Pedro Farinha,Graham W Slack,Gregg B Morin,Sohrab Shah,Dipankar Sen,Steven J M Jones,Andrew J Mungall,Randy D Gascoyne,Timothy E Audas,Peter Unrau,Marco A Marra,Joseph M Connors,Christian Steidl,David W Scott,Ryan D Morin

The Journal of infectious diseases 218:1272-1283 PubMed29401315

2018

Vaccine-Associated Maintenance of Epithelial Integrity Correlated With Protection Against Virus Entry.

Applications

Unspecified application

Species

Unspecified reactive species

L Shang,A J Smith,L Duan,K E Perkey,S Wietgrefe,M Zupancic,P J Southern,R P Johnson,J V Carlis,A T Haase

Cancer research 77:5808-5819 PubMed28855213

2017

Exosomes from Glioma-Associated Mesenchymal Stem Cells Increase the Tumorigenicity of Glioma Stem-like Cells via Transfer of miR-1587.

Applications

Unspecified application

Species

Unspecified reactive species

Javier Figueroa,Lynette M Phillips,Tal Shahar,Anwar Hossain,Joy Gumin,Hoon Kim,Andrew J Bean,George A Calin,Juan Fueyo,Edgar T Walters,Raghu Kalluri,Roel G Verhaak,Frederick F Lang

Mucosal immunology 11:512-522 PubMed28792003

2017

Vaccine-modified NF-kB and GR signaling in cervicovaginal epithelium correlates with protection.

Applications

Unspecified application

Species

Unspecified reactive species

L Shang,A J Smith,C S Reilly,L Duan,K E Perkey,S Wietgrefe,M Zupancic,P J Southern,R P Johnson,J V Carlis,A T Haase

Journal of immunology (Baltimore, Md. : 1950) 193:3126-33 PubMed25143442

2014

Live simian immunodeficiency virus vaccine correlate of protection: immune complex-inhibitory Fc receptor interactions that reduce target cell availability.

Applications

Unspecified application

Species

Unspecified reactive species

Anthony J Smith,Stephen W Wietgrefe,Liang Shang,Cavan S Reilly,Peter J Southern,Katherine E Perkey,Lijie Duan,Heinz Kohler,Sybille Müller,James Robinson,John V Carlis,Qingsheng Li,R Paul Johnson,Ashley T Haase

Investigative ophthalmology & visual science 55:247-58 PubMed24334446

2014

Fcγ receptor upregulation is associated with immune complex inflammation in the mouse retina and early age-related macular degeneration.

Applications

IHC-P

Species

Human

Salome Murinello,Robert F Mullins,Andrew J Lotery,V Hugh Perry,Jessica L Teeling
View all publications

Abcam product promise

当社は、高品質な試薬を通じてお客様の研究を力強くサポートすることをお約束いたします。ご使用いただく各段階で、常にお客様をサポートできる体制を整えております。万が一、製品が期待通りに機能しない場合は、「Abcam Product Promise」による当社保証制度に基づき、安心してご利用いただけます。
保証に関する詳細については利用規約をご確認ください。

Please note: All products are 'FOR RESEARCH USE ONLY. NOT FOR USE IN DIAGNOSTIC OR THERAPEUTIC PROCEDURES'.

For licensing inquiries, please contact partnerships@abcam.com