JavaScript is disabled in your browser. Please enable JavaScript to view this website.
AB21703

Anti-CD3 抗体 [SP7], prediluted

Anti-CD3 epsilon antibody [SP7], prediluted

  • BOND RX™ Validated
  • RabMAb
  • Lab Essentials
  • Advanced Validation
  • 詳細を見る

5

(1 Review)

|

(21 Publications)

Rabbit Monoclonal CD3E antibody. Suitable for IHC-P, Flow Cyt (Intra), WB, mIHC and reacts with Human, Mouse, Rat samples. Cited in 21 publications.

別名を表示する

CD3e, T3E, CD3E, T-cell surface glycoprotein CD3 epsilon chain, T-cell surface antigen T3/Leu-4 epsilon chain

4 Images
Western blot - Anti-CD3 epsilon antibody [SP7], prediluted (AB21703)
  • WB

Lab

Western blot - Anti-CD3 epsilon antibody [SP7], prediluted (AB21703)

This data was developed using ab16669, the same antibody clone in a different buffer formulation.

Negative control : U-937, Raji, brain.

All lanes:

Western blot - Anti-CD3 epsilon antibody [SP7] (<a href='/products/primary-antibodies/cd3-epsilon-antibody-sp7-ab16669'>ab16669</a>) at 1/1000 dilution

Lane 1:

Jurkat (Human T cell leukemia T lymphocyte) whole cell lysate at 20 µg

Lane 2:

MOLT-4 (Human lymphoblastic leukemia T lymphoblast) whole cell lysate at 20 µg

Lane 3:

U-937 (Human histiocytic lymphoma monocyte) whole cell lysate at 20 µg

Lane 4:

Raji (Human Burkitt's lymphoma B lymphocyte) whole cell lysate at 20 µg

Lane 5:

EL4.IL-2 (mouse lymphoma T lymphocyte) whole cell lysate at 20 µg

Lane 6:

Mouse thymus lysate at 20 µg

Lane 7:

Mouse brain lysate at 20 µg

Lane 8:

Rat thymus lysate at 20 µg

Lane 9:

Rat brain lysate at 20 µg

Secondary

All lanes:

Western blot - Goat Anti-Rabbit IgG H&L (HRP) (<a href='/products/secondary-antibodies/goat-rabbit-igg-h-l-hrp-ab97051'>ab97051</a>) at 1/20000 dilution

Observed band size: 23 kDa

false

Exposure time: 180s

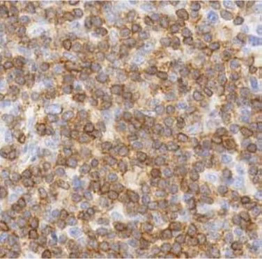
Immunohistochemistry (Formalin/PFA-fixed paraffin-embedded sections) - Anti-CD3 epsilon antibody [SP7], prediluted (AB21703)
  • IHC-P

Supplier Data

Immunohistochemistry (Formalin/PFA-fixed paraffin-embedded sections) - Anti-CD3 epsilon antibody [SP7], prediluted (AB21703)

Immunohistochemical analysis of paraffin-embedded Human tonsil labeling CD3 epsilon with ab21703 at 1/150 (7 μg/ml). The section was pre-treated using heat mediated antigen retrieval with sodium citrate buffer (pH 6.0, epitope retrieval solution 1) for 20 mins. The section was then incubated with ab21703 for 15 mins at room temperature and detected using an HRP conjugated compact polymer system. The immunostaining was performed on a Leica Biosystems BOND® RX instrument. DAB was used as the chromogen. Counterstained with Hematoxylin and mounted with DPX.

Flow Cytometry (Intracellular) - Anti-CD3 epsilon antibody [SP7], prediluted (AB21703)
  • Flow Cyt (Intra)

Lab

Flow Cytometry (Intracellular) - Anti-CD3 epsilon antibody [SP7], prediluted (AB21703)

This image was generated using a previous batch manufactured using hybridoma production method.

Human peripheral blood lymphocytes stained with ab16669 (red line). Human whole blood was processed using a modified protocol based on Chow et al, 2005 (PMID : 16080188). In brief, human whole blood was fixed in 4% formaldehyde (methanol-free) for 10 min at 22°C. Red blood cells were then lyzed by the addition of Triton X-100 (final concentration - 0.1%) for 15 min at 37°C. For experimentation, cells were treated with 50% methanol (-20°C) for 15 min at 4°C. Cells were then incubated with the antibody (ab16669, 1/1000 dilution) for 30 min at 4°C. The secondary antibody used was Goat Anti-Rabbit IgG H&L (Alexa Fluor® 488) (ab150077) secondary antibody at 1/2000 dilution for 30 min at 4°C. Isotype control antibody (black line) was rabbit IgG (monoclonal) (1μg/1x106 cells) used under the same conditions. Unlabelled sample (blue line) was also used as a control. Acquisition of >30,000 total events were collected using a 20mW Argon ion laser (488nm) and 525/30 bandpass filter. Gating strategy - peripheral blood lymphocytes.

This data was developed using the undiluted version of this antibody (ab16669).

Western blot - Anti-CD3 epsilon antibody [SP7], prediluted (AB21703)
  • WB

Lab

Western blot - Anti-CD3 epsilon antibody [SP7], prediluted (AB21703)

This image was generated using a previous batch manufactured using hybridoma production method.

Lanes 1 - 6 : Merged signal (red and green). Green – ab16669 observed at 23 kDa. Red - loading control, ab8245, observed at 37 kDa.

This blot was produced using a 4-12% Bis-tris gel under the MES buffer system. The gel was run at 200V for 50 minutes before being transferred onto a Nitrocellulose membrane at 30V for 70 minutes. The membrane was then blocked for an hour using Licor blocking buffer before being incubated with ab16669 and ab8245 (loading control) overnight at 4°C. Antibody binding was detected using Goat anti-Rabbit IgG H&L (IRDye® 800CW) preadsorbed (ab216773) and Goat anti-Mouse IgG H&L (IRDye® 680RD) preadsorbed (ab216776) at a 1 : 10000 dilution for 1hr at room temperature and then imaged.

This data was developed using the undiluted version of this antibody (ab16669).

All lanes:

Western blot - Anti-CD3 epsilon antibody [SP7], prediluted (ab21703) at 1/25 dilution

Lane 1:

THP1 whole cell lysate (-ve control) at 15 µg

Lane 2:

Raji whole cell lysate (-ve control) at 15 µg

Lane 3:

Jurkat whole cell lysate at 15 µg

Lane 4:

Human Thymus tissue lysate at 15 µg

Lane 5:

Mouse Thymus tissue lysate at 15 µg

Lane 6:

Rat Thymus tissue lysate at 15 µg

Secondary

All lanes:

Western blot - Goat anti-Rabbit IgG H&L (IRDye® 800CW) preadsorbed (<a href='/products/secondary-antibodies/goat-rabbit-igg-h-l-irdye-800cw-preadsorbed-ab216773'>ab216773</a>) at 1/10000 dilution

Predicted band size: 19 kDa

Observed band size: 23 kDa

false

関連する標識済み抗体及び組成の異なる製品 (2)

Key facts

宿主種

Rabbit

クローン性

Monoclonal

クローン番号

SP7

アイソタイプ

IgG

キャリアフリー

No

交差種

Mouse, Rat, Human

アプリケーション

IHC-P, WB, Flow Cyt (Intra), mIHC

applications

免疫原

The exact immunogen used to generate this antibody is proprietary information.

特異性

ab21703 recognises CD3 epsilon chain. This antibody reacts with the intracytoplasmic portion of the CD3 antigen expressed by T cells. It stains human T cells in both the cortex and medulla of the thymus and in peripheral lymphoid tissues.

Reactivity data

{ "title": "Reactivity Data", "filters": { "stats": ["", "Species", "Dilution Info", "Notes"], "tabs": { "all-applications": {"fullname" : "All Applications", "shortname": "All Applications"}, "IHCP" : {"fullname" : "Immunohistochemistry (Formalin/PFA-fixed paraffin-embedded sections)", "shortname":"IHC-P"}, "FlowCytIntra" : {"fullname" : "Flow Cytometry (Intracellular)", "shortname":"Flow Cyt (Intra)"}, "WB" : {"fullname" : "Western blot", "shortname":"WB"}, "mIHC" : {"fullname" : "Multiplex immunohistochemistry", "shortname":"mIHC"} }, "product-promise": { "all": "all", "testedAndGuaranteed": "tested", "guaranteed": "expected", "predicted": "predicted", "notRecommended": "not-recommended" } }, "values": { "Human": { "IHCP-species-checked": "testedAndGuaranteed", "IHCP-species-dilution-info": "1/150", "IHCP-species-notes": "<p>Use neat. Perform high temperature antigen unmasking with 10 mM citrate buffer, pH 6.0.</p> Perform heat-mediated antigen retrieval with citrate buffer pH 6 before commencing with IHC staining protocol.", "FlowCytIntra-species-checked": "testedAndGuaranteed", "FlowCytIntra-species-dilution-info": "", "FlowCytIntra-species-notes": "<p></p>", "WB-species-checked": "testedAndGuaranteed", "WB-species-dilution-info": "", "WB-species-notes": "<p></p>", "mIHC-species-checked": "testedAndGuaranteed", "mIHC-species-dilution-info": "", "mIHC-species-notes": "<p></p>" }, "Mouse": { "IHCP-species-checked": "guaranteed", "IHCP-species-dilution-info": "", "IHCP-species-notes": "", "FlowCytIntra-species-checked": "guaranteed", "FlowCytIntra-species-dilution-info": "", "FlowCytIntra-species-notes": "", "WB-species-checked": "testedAndGuaranteed", "WB-species-dilution-info": "", "WB-species-notes": "<p></p>", "mIHC-species-checked": "guaranteed", "mIHC-species-dilution-info": "", "mIHC-species-notes": "" }, "Rat": { "IHCP-species-checked": "guaranteed", "IHCP-species-dilution-info": "", "IHCP-species-notes": "", "FlowCytIntra-species-checked": "guaranteed", "FlowCytIntra-species-dilution-info": "", "FlowCytIntra-species-notes": "", "WB-species-checked": "testedAndGuaranteed", "WB-species-dilution-info": "", "WB-species-notes": "<p></p>", "mIHC-species-checked": "guaranteed", "mIHC-species-dilution-info": "", "mIHC-species-notes": "" }, "Cynomolgus monkey": { "IHCP-species-checked": "predicted", "IHCP-species-dilution-info": "", "IHCP-species-notes": "", "FlowCytIntra-species-checked": "predicted", "FlowCytIntra-species-dilution-info": "", "FlowCytIntra-species-notes": "", "WB-species-checked": "predicted", "WB-species-dilution-info": "", "WB-species-notes": "", "mIHC-species-checked": "predicted", "mIHC-species-dilution-info": "", "mIHC-species-notes": "" }, "Dog": { "IHCP-species-checked": "predicted", "IHCP-species-dilution-info": "", "IHCP-species-notes": "", "FlowCytIntra-species-checked": "predicted", "FlowCytIntra-species-dilution-info": "", "FlowCytIntra-species-notes": "", "WB-species-checked": "predicted", "WB-species-dilution-info": "", "WB-species-notes": "", "mIHC-species-checked": "predicted", "mIHC-species-dilution-info": "", "mIHC-species-notes": "" }, "Macaque monkey": { "IHCP-species-checked": "predicted", "IHCP-species-dilution-info": "", "IHCP-species-notes": "", "FlowCytIntra-species-checked": "predicted", "FlowCytIntra-species-dilution-info": "", "FlowCytIntra-species-notes": "", "WB-species-checked": "predicted", "WB-species-dilution-info": "", "WB-species-notes": "", "mIHC-species-checked": "predicted", "mIHC-species-dilution-info": "", "mIHC-species-notes": "" }, "Pig": { "IHCP-species-checked": "predicted", "IHCP-species-dilution-info": "", "IHCP-species-notes": "", "FlowCytIntra-species-checked": "predicted", "FlowCytIntra-species-dilution-info": "", "FlowCytIntra-species-notes": "", "WB-species-checked": "predicted", "WB-species-dilution-info": "", "WB-species-notes": "", "mIHC-species-checked": "predicted", "mIHC-species-dilution-info": "", "mIHC-species-notes": "" }, "Rabbit": { "IHCP-species-checked": "predicted", "IHCP-species-dilution-info": "", "IHCP-species-notes": "", "FlowCytIntra-species-checked": "predicted", "FlowCytIntra-species-dilution-info": "", "FlowCytIntra-species-notes": "", "WB-species-checked": "predicted", "WB-species-dilution-info": "", "WB-species-notes": "", "mIHC-species-checked": "predicted", "mIHC-species-dilution-info": "", "mIHC-species-notes": "" }, "Woodchuck": { "IHCP-species-checked": "predicted", "IHCP-species-dilution-info": "", "IHCP-species-notes": "", "FlowCytIntra-species-checked": "predicted", "FlowCytIntra-species-dilution-info": "", "FlowCytIntra-species-notes": "", "WB-species-checked": "predicted", "WB-species-dilution-info": "", "WB-species-notes": "", "mIHC-species-checked": "predicted", "mIHC-species-dilution-info": "", "mIHC-species-notes": "" } } }

下記製品にもご興味をお持ちいただけるかもしれません:

AB277708

Human CD3 Epsilon ELISA Kit

0

0 Reviews

製品ページを見る
こちらの製品も推奨する理由

この製品は、同様の実験や関連する研究で広く使用されていることから推奨させていただいております。

お客様の実験に適するかご確認いただくため、必ず製品データシートをご確認いただくことをお勧めいたします。ご不明点等ございましたら、テクニカルサポートチームまでお問い合わせください。

製品の詳細

出荷温度及び保存条件

製品の状態
Liquid
精製方法
Affinity purification Protein A
バッファー組成
pH: 7.2 - 7.4 Preservative: 0.1% Sodium azide Constituents: PBS, 1% BSA
出荷温度
Blue Ice
短期保存温度
+4°C
長期保存温度
+4°C

製品プロトコール

For this product, it's our understanding that no specific protocols are required. You can visit:

ターゲットの情報

Part of the TCR-CD3 complex present on T-lymphocyte cell surface that plays an essential role in adaptive immune response. When antigen presenting cells (APCs) activate T-cell receptor (TCR), TCR-mediated signals are transmitted across the cell membrane by the CD3 chains CD3D, CD3E, CD3G and CD3Z. All CD3 chains contain immunoreceptor tyrosine-based activation motifs (ITAMs) in their cytoplasmic domain. Upon TCR engagement, these motifs become phosphorylated by Src family protein tyrosine kinases LCK and FYN, resulting in the activation of downstream signaling pathways (PubMed : 2470098). In addition of this role of signal transduction in T-cell activation, CD3E plays an essential role in correct T-cell development. Initiates the TCR-CD3 complex assembly by forming the two heterodimers CD3D/CD3E and CD3G/CD3E. Participates also in internalization and cell surface down-regulation of TCR-CD3 complexes via endocytosis sequences present in CD3E cytosolic region (PubMed : 10384095, PubMed : 26507128). In addition to its role as a TCR coreceptor, it serves as a receptor for ITPRIPL1. Ligand recognition inhibits T-cell activation by promoting interaction with NCK1, which prevents CD3E-ZAP70 interaction and blocks the ERK-NFkB signaling cascade and calcium influx (PubMed : 38614099).
See full target information CD3E

文献 (21)

Recent publications for all applications. Explore the full list and refine your search

Cellular and molecular gastroenterology and hepatology 15:841-867 PubMed36521660

2022

Fibroblast Activation Protein Activates Macrophages and Promotes Parenchymal Liver Inflammation and Fibrosis.

Applications

Unspecified application

Species

Unspecified reactive species

Ai-Ting Yang,Yong-Ook Kim,Xu-Zhen Yan,Hiroyuki Abe,Misbah Aslam,Kyoung-Sook Park,Xin-Yan Zhao,Ji-Dong Jia,Thomas Klein,Hong You,Detlef Schuppan

eLife 11: PubMed36281643

2022

Continuous sensing of IFNα by hepatic endothelial cells shapes a vascular antimetastatic barrier.

Applications

Unspecified application

Species

Unspecified reactive species

Ngoc Lan Tran,Lorena Maria Ferreira,Blanca Alvarez-Moya,Valentina Buttiglione,Barbara Ferrini,Paola Zordan,Andrea Monestiroli,Claudio Fagioli,Eugenia Bezzecchi,Giulia Maria Scotti,Antonio Esposito,Riccardo Leone,Chiara Gnasso,Andrea Brendolan,Luca G Guidotti,Giovanni Sitia

Journal of orthopaedic research : official publication of the Orthopaedic Research Society 40:2537-2545 PubMed35072295

2022

Nerve decompression surgery suppresses TNF-ɑ expression and T cell infiltration in a rat sciatic nerve chronic constriction injury model.

Applications

Unspecified application

Species

Unspecified reactive species

Michiaki Mukai,Kentaro Uchida,Gen Inoue,Masashi Satoh,Masayuki Miyagi,Yuji Yokozeki,Naoya Hirosawa,Yusuke Matsuura,Seiji Ohtori,Masashi Takaso

International immunopharmacology 100:108155 PubMed34543981

2021

Functional role of galectin-9 in directing human innate immune reactions to Gram-negative bacteria and T cell apoptosis.

Applications

Unspecified application

Species

Unspecified reactive species

Stephanie Schlichtner,N Helge Meyer,Inna M Yasinska,Nijas Aliu,Steffen M Berger,Bernhard F Gibbs,Elizaveta Fasler-Kan,Vadim V Sumbayev

Nature communications 11:4516 PubMed32908137

2020

Single-cell transcriptomes of pancreatic preinvasive lesions and cancer reveal acinar metaplastic cells' heterogeneity.

Applications

Unspecified application

Species

Unspecified reactive species

Yehuda Schlesinger,Oshri Yosefov-Levi,Dror Kolodkin-Gal,Roy Zvi Granit,Luriano Peters,Rachel Kalifa,Lei Xia,Abdelmajeed Nasereddin,Idit Shiff,Osher Amran,Yuval Nevo,Sharona Elgavish,Karine Atlan,Gideon Zamir,Oren Parnas

Journal of clinical medicine 8: PubMed31581534

2019

Long-Term Outcome and Rejection After Allogeneic Uterus Transplantation in Cynomolgus Macaques.

Applications

Unspecified application

Species

Unspecified reactive species

Iori Kisu,Hirohito Ishigaki,Katsura Emoto,Yojiro Kato,Yohei Yamada,Kentaro Matsubara,Hideaki Obara,Yohei Masugi,Yusuke Matoba,Masataka Adachi,Kouji Banno,Yoko Saiki,Iori Itagaki,Ikuo Kawamoto,Chizuru Iwatani,Takahiro Nakagawa,Hideaki Tsuchiya,Takako Sasamura,Hiroyuki Urano,Masatsugu Ema,Kazumasa Ogasawara,Daisuke Aoki,Kenshi Nakagawa,Takashi Shiina

Journal of neuroinflammation 16:111 PubMed31138214

2019

Contribution of LTi and T17 cells to B cell aggregate formation in the central nervous system in a mouse model of multiple sclerosis.

Applications

Unspecified application

Species

Unspecified reactive species

Verena Schropp,Jörn Rohde,Damiano M Rovituso,Samir Jabari,Richa Bharti,Stefanie Kuerten

Cell 173:1413-1425.e14 PubMed29754815

2018

An Acquired Vulnerability of Drug-Resistant Melanoma with Therapeutic Potential.

Applications

Unspecified application

Species

Unspecified reactive species

Liqin Wang,Rodrigo Leite de Oliveira,Sanne Huijberts,Evert Bosdriesz,Nora Pencheva,Diede Brunen,Astrid Bosma,Ji-Ying Song,John Zevenhoven,G Tjitske Los-de Vries,Hugo Horlings,Bastiaan Nuijen,Jos H Beijnen,Jan H M Schellens,Rene Bernards

Journal of applied physiology (Bethesda, Md. : 1985) 124:938-949 PubMed29357514

2018

Voluntary exercise slows breast tumor establishment and reduces tumor hypoxia in ApoE mice.

Applications

Unspecified application

Species

Unspecified reactive species

Linda A Buss,Gabi U Dachs

PloS one 12:e0179991 PubMed28662116

2017

Actinic keratosis modelling in mice: A translational study.

Applications

Unspecified application

Species

Unspecified reactive species

Arnaud Pillon,Bruno Gomes,Isabelle Vandenberghe,Valérie Cartron,Patrick Cèbe,Jean-Christophe Blanchet,Vincent Sibaud,Nicolas Guilbaud,Laurent Audoly,Laurence Lamant,Anna Kruczynski
View all publications

Abcam product promise

当社は、高品質な試薬を通じてお客様の研究を力強くサポートすることをお約束いたします。ご使用いただく各段階で、常にお客様をサポートできる体制を整えております。万が一、製品が期待通りに機能しない場合は、「Abcam Product Promise」による当社保証制度に基づき、安心してご利用いただけます。
保証に関する詳細については利用規約をご確認ください。

関連製品

Select an associated product type
Alternative Product
Primary Antibodies

AB157317

PerCP/Cy5.5® Anti-CD3 antibody [UCHT1]

primary-antibodies

percp-cy55-cd3-antibody-ucht1-ab157317

0

(0 reviews)

Alternative Product
Primary Antibodies

AB239287

APC Anti-CD3 antibody [UCHT1]

primary-antibodies

apc-cd3-antibody-ucht1-ab239287

0

(0 reviews)

Alternative Product
Primary Antibodies

AB239226

FITC Anti-CD3 antibody [145-2C11]

primary-antibodies

fitc-cd3-antibody-145-2c11-ab239226

0

(0 reviews)

Alternative Product
Primary Antibodies

AB5690

Anti-CD3 epsilon antibody

primary-antibodies

cd3-epsilon-antibody-ab5690

4

(46 reviews)

Alternative Product
Primary Antibodies

AB191112

Biotin Anti-CD3 antibody [UCHT1]

primary-antibodies

biotin-cd3-antibody-ucht1-ab191112

0

(0 reviews)

Alternative Product
Primary Antibodies

AB215267

Anti-CD3 antibody [UCH-T1]

primary-antibodies

cd3-antibody-uch-t1-ab215267

0

(0 reviews)

Alternative Product
Primary Antibodies

AB157300

PE/Cy5® Anti-CD3 antibody [UCHT1]

primary-antibodies

pe-cy5-cd3-antibody-ucht1-ab157300

0

(0 reviews)

Alternative Product
Primary Antibodies

AB241941

violetFluor™ 450 Anti-CD3 antibody [UCHT1]

primary-antibodies

violetfluor-450-cd3-antibody-ucht1-ab241941

0

(0 reviews)

Alternative Product
Primary Antibodies

AB34722

FITC Anti-CD3 antibody [CD3-12]

primary-antibodies

fitc-cd3-antibody-cd3-12-ab34722

0

(0 reviews)

Alternative Product
Primary Antibodies

AB243296

redFluor™ 710 Anti-CD3 antibody [OKT3]

primary-antibodies

redfluor-710-cd3-antibody-okt3-ab243296

0

(0 reviews)

Alternative Product
Primary Antibodies

AB11089

Anti-CD3 antibody [CD3-12]

primary-antibodies

cd3-antibody-cd3-12-ab11089

5

(18 reviews)

Alternative Product
Primary Antibodies

AB86883

Anti-CD3 antibody [OKT3]

primary-antibodies

cd3-antibody-okt3-ab86883

5

(1 reviews)

Alternative Product
Primary Antibodies

AB22268

PE Anti-CD3 antibody [KT3]

primary-antibodies

pe-cd3-antibody-kt3-ab22268

2

(8 reviews)

Alternative Product
Primary Antibodies

AB81992

PE/Cy7® Anti-CD3 antibody [UCHT1]

primary-antibodies

pe-cy7-cd3-antibody-ucht1-ab81992

0

(0 reviews)

Alternative Product
Primary Antibodies

AB33429

Anti-CD3 antibody [KT3]

primary-antibodies

cd3-antibody-kt3-ab33429

4

(3 reviews)

Alternative Version
Primary Antibodies

AB205228

Anti-CD3 epsilon antibody [SP7] - BSA and Azide free

primary-antibodies

cd3-epsilon-antibody-sp7-bsa-and-azide-free-ab205228

1

(1 reviews)

Please note: All products are 'FOR RESEARCH USE ONLY. NOT FOR USE IN DIAGNOSTIC OR THERAPEUTIC PROCEDURES'.

For licensing inquiries, please contact partnerships@abcam.com