JavaScript is disabled in your browser. Please enable JavaScript to view this website.
AB215212

Anti-CD3 epsilon 抗体 [EPR20752]

Anti-CD3 epsilon antibody [EPR20752]

Be the first to review this product! Submit a review

|

(8 Publications)

Anti-CD3 epsilon antibody [EPR20752] (ab215212) is a rabbit monoclonal antibody detecting CD3 epsilon in Western Blot, IP, IHC-P, IHC-Fr. Suitable for Mouse.

- Biophysical QC for unrivalled batch-batch consistency

別名を表示する

CD3e, T-cell surface glycoprotein CD3 epsilon chain, T-cell surface antigen T3/Leu-4 epsilon chain, Cd3e

5 Images
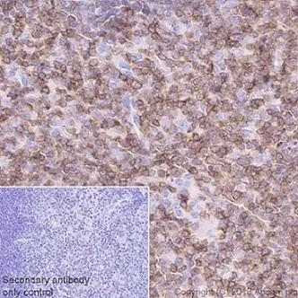
Immunohistochemistry (Formalin/PFA-fixed paraffin-embedded sections) - Anti-CD3 epsilon antibody [EPR20752] (AB215212)
  • IHC-P

Supplier Data

Immunohistochemistry (Formalin/PFA-fixed paraffin-embedded sections) - Anti-CD3 epsilon antibody [EPR20752] (AB215212)

Immunohistochemical analysis of Paraffin-embedded sections mouse spleen tissue labeling CD3 epsilon with ab215212 at 1/1000 dilution, followed by Goat Anti-Rabbit IgG H&L (HRP) ready to use. Mainly membranous staining on T cells in mouse spleen is observed (PMID : 18648532). Counter stained with Hematoxylin.

Secondary antibody only control : Used PBS instead of primary antibody, secondary antibody is Goat Anti-Rabbit IgG H&L (HRP) ready to use.

Perform heat mediated antigen retrieval with Tris/EDTA buffer pH 9.0 before commencing with IHC staining protocol.

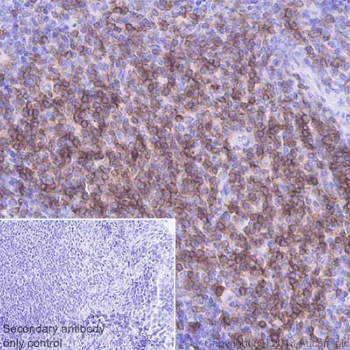
Immunohistochemistry (Formalin/PFA-fixed paraffin-embedded sections) - Anti-CD3 epsilon antibody [EPR20752] (AB215212)
  • IHC-P

Supplier Data

Immunohistochemistry (Formalin/PFA-fixed paraffin-embedded sections) - Anti-CD3 epsilon antibody [EPR20752] (AB215212)

Immunohistochemical analysis of Paraffin-embedded sections mouse thymus tissue labeling CD3 epsilon with ab215212 at 1/1000 dilution, followed by Goat Anti-Rabbit IgG H&L (HRP) ready to use. Mainly membranous staining on T cells in mouse thymus is observed (PMID : 18648532). Counter stained with Hematoxylin.

Secondary antibody only control : Used PBS instead of primary antibody, secondary antibody is Goat Anti-Rabbit IgG H&L (HRP) ready to use.

Perform heat mediated antigen retrieval with Tris/EDTA buffer pH 9.0 before commencing with IHC staining protocol.

Immunohistochemistry (Frozen sections) - Anti-CD3 epsilon antibody [EPR20752] (AB215212)
  • IHC-Fr

Supplier Data

Immunohistochemistry (Frozen sections) - Anti-CD3 epsilon antibody [EPR20752] (AB215212)

Immunohistochemical analysis of 4% paraformaldehyde-fixed, 0.2% Triton X-100 permeabilised mouse spleen tissue labelling CD3 epsilon with ab215212 at 1/800 dilution, foloowed by AlexaFluor®488 Goat anti-Rabbit secondary (ab150077) at 1/1000 dilution. Positive membrane staining on cells localized in the periarterial lymphatic sheath in mouse spleen tissue section is observed (PMID : 20880086) Counterstained with DAPI.
Secondary antibody only control : Used PBS instead of primary antibody, secondary antibody is AlexaFluor®488 Goat anti-Rabbit secondary (ab150077) at 1/1000 dilution.

Immunoprecipitation - Anti-CD3 epsilon antibody [EPR20752] (AB215212)
  • IP

Supplier Data

Immunoprecipitation - Anti-CD3 epsilon antibody [EPR20752] (AB215212)

CD3 epsilon was immunoprecipitated from 10 μg of EL4.IL-2 (Mouse lymphoma T lymphocyte) whole cell lysate with ab215212 at 1/30 dilution. Western blot was performed from the immunoprecipitate using ab215212 at 1/1000 dilution. VeriBlot for IP Detection Reagent (HRP) (ab131366), was used for detection at 1/5000 dilution
Lane 1 : EL4.IL-2 (Mouse lymphoma T lymphocyte) whole cell lysate 10 μg (input).
Lane 2 : ab215212 IP in EL4.IL-2 whole cell lysate (+)
Lane 3 : Rabbit monoclonal IgG (ab172730) instead of ab215212 in EL4.IL-2 whole cell lysate (-).
Blocking and dilution buffer and concentration : 5% NFDM/TBST
Exposure time : 3 minutes

All lanes:

Immunoprecipitation - Anti-CD3 epsilon antibody [EPR20752] (ab215212)

Predicted band size: 23 kDa

Observed band size: 21 kDa

false

Western blot - Anti-CD3 epsilon antibody [EPR20752] (AB215212)
  • WB

Supplier Data

Western blot - Anti-CD3 epsilon antibody [EPR20752] (AB215212)

Blocking and diluting buffer and concentration : 5% NFDM/TBST
Exposure time : Lanes 1-2 : 3 minutes
Lane 3 : 15 seconds

All lanes:

Western blot - Anti-CD3 epsilon antibody [EPR20752] (ab215212) at 1/1000 dilution

Lanes 1 - 2:

Mouse lymph node at 20 µg

Lane 3:

EL4.IL-2 (mouse lymphoma T lymphocyte), whole cell lysate at 20 µg

Secondary

All lanes:

Western blot - Goat Anti-Rabbit IgG H&L (HRP) (<a href='/products/secondary-antibodies/goat-rabbit-igg-h-l-hrp-ab97051'>ab97051</a>) at 1/20000 dilution

Predicted band size: 23 kDa

Observed band size: 21 kDa

false

関連する標識済み抗体及び組成の異なる製品 (8)

  • 578 PE

    PE Anti-CD3 epsilon antibody [EPR20752]

  • 660 APC

    APC Anti-CD3 epsilon antibody [EPR20752]

  • 519 Alexa Fluor® 488

    Alexa Fluor® 488 Anti-CD3 epsilon antibody [EPR20752]

  • 665 Alexa Fluor® 647

    Alexa Fluor® 647 Anti-CD3 epsilon antibody [EPR20752]

  • 617 Alexa Fluor® 594

    Alexa Fluor® 594 Anti-CD3 epsilon antibody [EPR20752]

  • 565 Alexa Fluor® 555

    Alexa Fluor® 555 Anti-CD3 epsilon antibody [EPR20752]

  • 775 Alexa Fluor® 750

    Alexa Fluor® 750 Anti-CD3 epsilon antibody [EPR20752]

  • Carrier free

    Anti-CD3 epsilon antibody [EPR20752] - BSA and Azide free

Key facts

宿主種

Rabbit

クローン性

Monoclonal

クローン番号

EPR20752

アイソタイプ

IgG

キャリアフリー

No

交差種

Mouse

アプリケーション

WB, IHC-Fr, IP, IHC-P

applications

免疫原

The exact immunogen used to generate this antibody is proprietary information.

Reactivity data

{ "title": "Reactivity Data", "filters": { "stats": ["", "Species", "Dilution Info", "Notes"], "tabs": { "all-applications": {"fullname" : "All Applications", "shortname": "All Applications"}, "IP" : {"fullname" : "Immunoprecipitation", "shortname":"IP"}, "WB" : {"fullname" : "Western blot", "shortname":"WB"}, "IHCFr" : {"fullname" : "Immunohistochemistry (Frozen sections)", "shortname":"IHC-Fr"}, "IHCP" : {"fullname" : "Immunohistochemistry (Formalin/PFA-fixed paraffin-embedded sections)", "shortname":"IHC-P"} }, "product-promise": { "all": "all", "testedAndGuaranteed": "tested", "guaranteed": "expected", "predicted": "predicted", "notRecommended": "not-recommended" } }, "values": { "Mouse": { "IP-species-checked": "testedAndGuaranteed", "IP-species-dilution-info": "1/30", "IP-species-notes": "<p></p>", "WB-species-checked": "testedAndGuaranteed", "WB-species-dilution-info": "1/1000", "WB-species-notes": "<p></p>", "IHCFr-species-checked": "testedAndGuaranteed", "IHCFr-species-dilution-info": "1/800", "IHCFr-species-notes": "<p>Perform heat mediated antigen retrieval by using sodium citrate buffer (10 mM citrate pH 6.0 + 0.05% Tween-20)</p>", "IHCP-species-checked": "testedAndGuaranteed", "IHCP-species-dilution-info": "1/1000", "IHCP-species-notes": "<p>Perform heat mediated antigen retrieval using <a href='/products/buffers/antigen-retrieval-buffer-100x-tris-edta-buffer-ph-90-ab93684'>ab93684</a> (Tris/EDTA buffer, pH 9.0).</p> Perform heat-mediated antigen retrieval with Tris/EDTA buffer pH 9.0 before commencing with IHC staining protocol." } } }

製品の詳細

What is this antibody validated in?
Anti-CD3 epsilon antibody [EPR20752] (ab215212) is a rabbit recombinant monoclonal antibody and is validated for use in Western Blot (WB), Immunoprecipitation (IP), Immunohistochemistry (IHC-P), Immunohistochemistry (IHC-Fr) in Mouse samples.

What is the molecular weight of CD3 epsilon?
Anti-CD3 epsilon [EPR20752] (ab215212) specifically detects a band for CD3 epsilon (UniProt: P22646) at a molecular weight of 21kDa.

Trial sizes available!
Test your antibody or perform pre-screening before committing to a larger quantity. Sold in 10µl. Discover our selection of trial-size antibodies.

Other related products
We have a range of other formats of antibody clone [EPR20752] also available for your convenience: ab215212, Carrier free - ab231830, PE - ab318356, APC - ab318459, Alexa Fluor® 488 - ab318562, Alexa Fluor® 647 - ab318665, Alexa Fluor® 594 - ab318768, Alexa Fluor® 555 - ab318868, Alexa Fluor® 750 - ab321384

Patented technology
Our RabMAb® technology is a patented hybridoma-based technology for making rabbit monoclonal antibodies. For details on our patents, please refer to RabMAb® patents.

What are the advantages of a recombinant monoclonal antibody?
This product is a recombinant monoclonal antibody, which offers several advantages including:

  • - High batch-to-batch consistency and reproducibility
  • - Improved sensitivity and specificity
  • - Long-term security of supply
  • - Animal-free batch production

For more information, read more on recombinant antibodies.

出荷温度及び保存条件

製品の状態
Liquid
精製方法
Affinity purification Protein A
バッファー組成
pH: 7.2 - 7.4 Preservative: 0.01% Sodium azide Constituents: PBS, 40% Glycerol (glycerin, glycerine), 0.05% BSA
出荷温度
Blue Ice
短期保存期間
1-2 weeks
短期保存温度
+4°C
長期保存温度
-20°C
分注に関する情報
Upon delivery aliquot
保管に関する情報
Avoid freeze / thaw cycle

製品プロトコール

For this product, it's our understanding that no specific protocols are required. You can visit:

ターゲットの情報

Part of the TCR-CD3 complex present on T-lymphocyte cell surface that plays an essential role in adaptive immune response. When antigen presenting cells (APCs) activate T-cell receptor (TCR), TCR-mediated signals are transmitted across the cell membrane by the CD3 chains CD3D, CD3E, CD3G and CD3Z. All CD3 chains contain immunoreceptor tyrosine-based activation motifs (ITAMs) in their cytoplasmic domain. Upon TCR engagement, these motifs become phosphorylated by Src family protein tyrosine kinases LCK and FYN, resulting in the activation of downstream signaling pathways. In addition of this role of signal transduction in T-cell activation, CD3E plays an essential role in correct T-cell development (PubMed : 19956738, PubMed : 24899501). Participates also in internalization and cell surface down-regulation of TCR-CD3 complexes via endocytosis sequences present in CD3E cytosolic region. In addition to its role as a TCR coreceptor, it serves as a receptor for ITPRIPL1. Ligand recognition inhibits T-cell activation by promoting interaction with NCK1, which prevents CD3E-ZAP70 interaction and blocks the ERK-NFkB signaling cascade and calcium influx (By similarity).
See full target information Cd3e

文献 (8)

Recent publications for all applications. Explore the full list and refine your search

Science advances 11:eadx3472 PubMed40864698

2025

PhoCoil: A photodegradable and injectable single-component recombinant protein hydrogel for minimally invasive delivery and degradation.

Applications

Unspecified application

Species

Unspecified reactive species

Nicole E Gregorio,Fan Zhang,Yusuke Suita,Lisa S Ang,Olivia Prado,Arafat Fasuyi,James M Olson,Kelly R Stevens,Cole A DeForest

Acta neuropathologica communications 13:39 PubMed39985110

2025

Neuronal TDP-43 aggregation drives changes in microglial morphology prior to immunophenotype in amyotrophic lateral sclerosis.

Applications

Unspecified application

Species

Unspecified reactive species

Molly E V Swanson,Miran Mrkela,Clinton Turner,Maurice A Curtis,Richard L M Faull,Adam K Walker,Emma L Scotter

Immunity 57:1648-1664.e9 PubMed38876098

2024

Microbiota dictate T cell clonal selection to augment graft-versus-host disease after stem cell transplantation.

Applications

Unspecified application

Species

Unspecified reactive species

Albert C Yeh,Motoko Koyama,Olivia G Waltner,Simone A Minnie,Julie R Boiko,Tamer B Shabaneh,Shuichiro Takahashi,Ping Zhang,Kathleen S Ensbey,Christine R Schmidt,Samuel R W Legg,Tomoko Sekiguchi,Ethan Nelson,Shruti S Bhise,Andrew R Stevens,Tracy Goodpaster,Saranya Chakka,Scott N Furlan,Kate A Markey,Marie E Bleakley,Charles O Elson,Philip H Bradley,Geoffrey R Hill

Acta neuropathologica communications 11:69 PubMed37118836

2023

Microglial CD68 and L-ferritin upregulation in response to phosphorylated-TDP-43 pathology in the amyotrophic lateral sclerosis brain.

Applications

Unspecified application

Species

Unspecified reactive species

Molly E V Swanson,Miran Mrkela,Helen C Murray,Maize C Cao,Clinton Turner,Maurice A Curtis,Richard L M Faull,Adam K Walker,Emma L Scotter

Frontiers in pharmacology 12:747325 PubMed35115920

2022

Kinsenoside Alleviates Alcoholic Liver Injury by Reducing Oxidative Stress, Inhibiting Endoplasmic Reticulum Stress, and Regulating AMPK-Dependent Autophagy.

Applications

Unspecified application

Species

Unspecified reactive species

Limin Gao,Xingyu Chen,Zeyu Fu,Jie Yin,Yafen Wang,Weiguang Sun,Hong Ren,Yonghui Zhang

Journal for immunotherapy of cancer 9: PubMed33563772

2021

Combination of vasculature targeting, hypofractionated radiotherapy, and immune checkpoint inhibitor elicits potent antitumor immune response and blocks tumor progression.

Applications

Unspecified application

Species

Unspecified reactive species

Stefano Pierini,Abhishek Mishra,Renzo Perales-Linares,Mireia Uribe-Herranz,Silvia Beghi,Andrea Giglio,Sergei Pustylnikov,Francesca Costabile,Stavros Rafail,Augusto Amici,John G Facciponte,Costantinos Koumenis,Andrea Facciabene

Nature 578:593-599 PubMed32051591

2020

MAFG-driven astrocytes promote CNS inflammation.

Applications

Unspecified application

Species

Unspecified reactive species

Michael A Wheeler,Iain C Clark,Emily C Tjon,Zhaorong Li,Stephanie E J Zandee,Charles P Couturier,Brianna R Watson,Giulia Scalisi,Sarah Alkwai,Veit Rothhammer,Assaf Rotem,John A Heyman,Shravan Thaploo,Liliana M Sanmarco,Jiannis Ragoussis,David A Weitz,Kevin Petrecca,Jeffrey R Moffitt,Burkhard Becher,Jack P Antel,Alexandre Prat,Francisco J Quintana

Scientific reports 9:6922 PubMed31061403

2019

IL-37 increases in patients after ischemic stroke and protects from inflammatory brain injury, motor impairment and lung infection in mice.

Applications

Unspecified application

Species

Unspecified reactive species

Shenpeng R Zhang,Marcel F Nold,Sung-Chun Tang,Christine B Bui,Claudia A Nold,Thiruma V Arumugam,Grant R Drummond,Christopher G Sobey,Hyun Ah Kim
View all publications

Abcam product promise

当社は、高品質な試薬を通じてお客様の研究を力強くサポートすることをお約束いたします。ご使用いただく各段階で、常にお客様をサポートできる体制を整えております。万が一、製品が期待通りに機能しない場合は、「Abcam Product Promise」による当社保証制度に基づき、安心してご利用いただけます。
保証に関する詳細については利用規約をご確認ください。

Please note: All products are 'FOR RESEARCH USE ONLY. NOT FOR USE IN DIAGNOSTIC OR THERAPEUTIC PROCEDURES'.

For licensing inquiries, please contact partnerships@abcam.com