JavaScript is disabled in your browser. Please enable JavaScript to view this website.
AB828

Anti-CD3 抗体

Anti-CD3 antibody

4

(8 Reviews)

|

(52 Publications)

Rabbit Polyclonal CD3d antibody. Suitable for IHC-P, IHC-Fr and reacts with Human samples. Cited in 52 publications. Immunogen corresponding to Synthetic Peptide within Human CD3D conjugated to Bovine Serum Albumin.

別名を表示する

CD3d, T3D, CD3D, T-cell surface glycoprotein CD3 delta chain, T-cell receptor T3 delta chain

5 Images
Immunohistochemistry (Frozen sections) - Anti-CD3 antibody (AB828)
  • IHC-Fr

Unknown

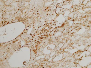
Immunohistochemistry (Frozen sections) - Anti-CD3 antibody (AB828)

This immunoperoxidase picture shows inflammatory cell infiltration with many T-lymphocytes in the interstitium of human kidneys with congenital nephrotic syndrome of the Finnish type (CNF, NPHS1). Immunoperoxidase staining of frozen sections with ab828 antibody (oval shaped, unstained spaces on the left are glomeruli).
This image was kindly supplied as part of the review submitted by Arvi-Matti-Kuusniemi.

Immunohistochemistry (Formalin/PFA-fixed paraffin-embedded sections) - Anti-CD3 antibody (AB828)
  • IHC-P

Supplier Data

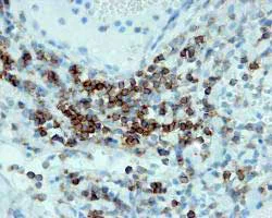
Immunohistochemistry (Formalin/PFA-fixed paraffin-embedded sections) - Anti-CD3 antibody (AB828)

ab828 positively staining formaldehyde fixed human tonsil tissue at 1/50 in conjunction with goat anti rabbit HRP. Detection by DAB.

Pressure cooker heat mediated antigen retrieval was employed in citrate buffer pH 6.0.

This image is courtesy of an Abreview submitted by Melanie Black on 22 Aug 05. We do not have any further information relating to this image.

Immunohistochemistry (Formalin/PFA-fixed paraffin-embedded sections) - Anti-CD3 antibody (AB828)
  • IHC-P

AbReview31990****

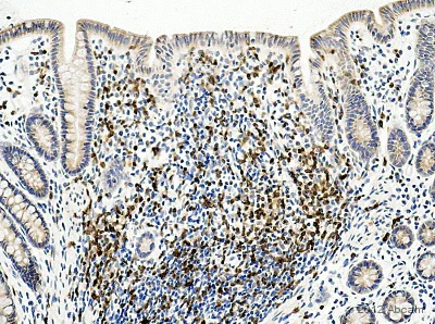
Immunohistochemistry (Formalin/PFA-fixed paraffin-embedded sections) - Anti-CD3 antibody (AB828)

IHC-P image of CD3 staining on rat small intestine using ab828 (1 : 50). The section was deparafinized, rehydrated and subjected to heat mediated antigen retrival using citric acid at pH6. The section was then blocked using 1% BSA at 21°C for 10 mins. The primary antibody was used at 21°C for 2 hours. Goat polyclonal to Rabbit IgG conjugated to biotin was used as secondary antibody (1 : 250).

This image is courtesy of an abreview submitted by Carl Hobbs, King's College London, United Kingdom

Immunohistochemistry (Formalin/PFA-fixed paraffin-embedded sections) - Anti-CD3 antibody (AB828)
  • IHC-P

AbReview31996****

Immunohistochemistry (Formalin/PFA-fixed paraffin-embedded sections) - Anti-CD3 antibody (AB828)

IHC-P image of CD3 staining on dog spleen using ab828 (1 : 50). The section was deparafinized, rehydrated and subjected to heat mediated antigen retrival using citric acid at pH6. The section was then blocked using 1% BSA at 21°C for 10 mins. The primary antibody was used at 21°C for 2 hours. Goat polyclonal to Rabbit IgG conjugated to biotin was used as secondary antibody (1 : 250).

This image is courtesy of an abreview submitted by Carl Hobbs, King's College London, United Kingdom

Immunohistochemistry (Formalin/PFA-fixed paraffin-embedded sections) - Anti-CD3 antibody (AB828)
  • IHC-P

AbReview31995****

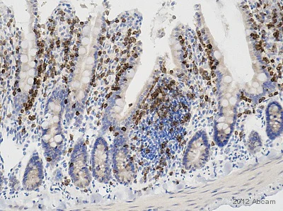
Immunohistochemistry (Formalin/PFA-fixed paraffin-embedded sections) - Anti-CD3 antibody (AB828)

IHC-P image of CD3 staining on monkey colon using ab828 (1 : 50). The section was deparafinized, rehydrated and subjected to heat mediated antigen retrival using citric acid at pH6. The section was then blocked using 1% BSA at 21°C for 10 mins. The primary antibody was used at 21°C for 2 hours. Goat polyclonal to Rabbit IgG conjugated to biotin was used as secondary antibody (1 : 250).

This image is courtesy of an abreview submitted by Carl Hobbs, King's College London, United Kingdom

Key facts

宿主種

Rabbit

クローン性

Polyclonal

アイソタイプ

IgG

キャリアフリー

No

交差種

Human

アプリケーション

IHC-Fr, IHC-P

applications

免疫原

Synthetic Peptide within Human CD3D conjugated to Bovine Serum Albumin. The exact immunogen used to generate this antibody is proprietary information.

P04234

特異性

ab828 is predicted to react with T cell areas in lymphoid tissues derived from various species: human, bovine, porcine, sheep, cat, dog, rat, mouse, Psammomys (sand rat), and chicken. The molecular weight of the polypeptide recognized by the antibody in bovine and swine extracts is 20 kDa.

Reactivity data

{ "title": "Reactivity Data", "filters": { "stats": ["", "Species", "Dilution Info", "Notes"], "tabs": { "all-applications": {"fullname" : "All Applications", "shortname": "All Applications"}, "IHCP" : {"fullname" : "Immunohistochemistry (Formalin/PFA-fixed paraffin-embedded sections)", "shortname":"IHC-P"}, "IHCFr" : {"fullname" : "Immunohistochemistry (Frozen sections)", "shortname":"IHC-Fr"} }, "product-promise": { "all": "all", "testedAndGuaranteed": "tested", "guaranteed": "expected", "predicted": "predicted", "notRecommended": "not-recommended" } }, "values": { "Human": { "IHCP-species-checked": "testedAndGuaranteed", "IHCP-species-dilution-info": "", "IHCP-species-notes": "<p></p>", "IHCFr-species-checked": "testedAndGuaranteed", "IHCFr-species-dilution-info": "1/10 - 1/50", "IHCFr-species-notes": "<p>ABC method.</p>" } } }

出荷温度及び保存条件

製品の状態
Liquid
精製方法
Affinity purification Protein A
バッファー組成
pH: 7.3 - 7.5 Preservative: 0.05% Sodium azide Constituents: 1% BSA
出荷温度
Blue Ice
短期保存期間
1-2 weeks
短期保存温度
+4°C
長期保存温度
-20°C
保管に関する情報
Avoid freeze / thaw cycle

製品プロトコール

For this product, it's our understanding that no specific protocols are required. You can visit:

ターゲットの情報

Part of the TCR-CD3 complex present on T-lymphocyte cell surface that plays an essential role in adaptive immune response. When antigen presenting cells (APCs) activate T-cell receptor (TCR), TCR-mediated signals are transmitted across the cell membrane by the CD3 chains CD3D, CD3E, CD3G and CD3Z. All CD3 chains contain immunoreceptor tyrosine-based activation motifs (ITAMs) in their cytoplasmic domain. Upon TCR engagement, these motifs become phosphorylated by Src family protein tyrosine kinases LCK and FYN, resulting in the activation of downstream signaling pathways (PubMed : 2470098). In addition of this role of signal transduction in T-cell activation, CD3D plays an essential role in thymocyte differentiation. Indeed, participates in correct intracellular TCR-CD3 complex assembly and surface expression. In absence of a functional TCR-CD3 complex, thymocytes are unable to differentiate properly. Interacts with CD4 and CD8 and thus serves to establish a functional link between the TCR and coreceptors CD4 and CD8, which is needed for activation and positive selection of CD4 or CD8 T-cells (PubMed : 12215456).
See full target information CD3D

文献 (52)

Recent publications for all applications. Explore the full list and refine your search

Heliyon 10:e40559 PubMed39687194

2024

Interspecies transcriptome profiles of human T cell activation and liver inflammation in a xenogeneic graft-versus-host disease model.

Applications

Unspecified application

Species

Unspecified reactive species

Seo Yule Jeong,Duhyeon Park,Tamina Park,Ji-Seok Han,Jungyun Lee,Chang Hoon Choi,Minseong Jo,Yu Bin Lee,Mi-Lang Kyun,Myeongjin Choi,Daeui Park,Kyoung-Sik Moon

Cell transplantation 33:9636897241288932 PubMed39401129

2024

Xenogenic Engraftment of Human-Induced Pluripotent Stem Cell-Derived Pancreatic Islet Cells in an Immunosuppressive Diabetic Göttingen Mini-Pig Model.

Applications

Unspecified application

Species

Unspecified reactive species

Midori Yamasaki,Toshiyuki Maki,Taisuke Mochida,Teruki Hamada,Saori Watanabe-Matsumoto,Shuhei Konagaya,Manami Kaneko,Ryo Ito,Hikaru Ueno,Taro Toyoda

Neural regeneration research 20:1192-1206 PubMed38989956

2024

Polyethylene glycol has immunoprotective effects on sciatic allografts, but behavioral recovery and graft tolerance require neurorrhaphy and axonal fusion.

Applications

Unspecified application

Species

Unspecified reactive species

Tyler A Smith,Liwen Zhou,Cameron L Ghergherehchi,Michelle Mikesh,Cathy Z Yang,Haley O Tucker,JuliAnne Allgood,Jared S Bushman,George D Bittner

Frontiers in bioengineering and biotechnology 11:1295075 PubMed38425730

2024

Reconstruction of the human nipple-areolar complex: a tissue engineering approach.

Applications

Unspecified application

Species

Unspecified reactive species

Louis Maistriaux,Vincent Foulon,Lies Fievé,Daela Xhema,Robin Evrard,Julie Manon,Maude Coyette,Caroline Bouzin,Yves Poumay,Pierre Gianello,Catherine Behets,Benoît Lengelé

Scientific reports 13:8665 PubMed37248336

2023

The potential role of the pseudobranch of molly fish (Poecilia sphenops) in immunity and cell regeneration.

Applications

Unspecified application

Species

Unspecified reactive species

Doaa M Mokhtar,Ramy K A Sayed,Giacomo Zaccone,Alessio Alesci,Marwa M Hussein

Cells 11: PubMed36078068

2022

Ependymal and Neural Stem Cells of Adult Molly Fish (, Valenciennes, 1846) Brain: Histomorphometry, Immunohistochemical, and Ultrastructural Studies.

Applications

Unspecified application

Species

Unspecified reactive species

Doaa M Mokhtar,Ramy K A Sayed,Giacomo Zaccone,Marco Albano,Manal T Hussein

Cancers 14: PubMed35406454

2022

Validation of CD98hc as a Therapeutic Target for a Combination of Radiation and Immunotherapies in Head and Neck Squamous Cell Carcinoma.

Applications

Unspecified application

Species

Unspecified reactive species

Ayşe Sedef Köseer,Liliana R Loureiro,Justyna Jureczek,Nicola Mitwasi,Karla Elizabeth González Soto,Julia Aepler,Tabea Bartsch,Anja Feldmann,Leoni A Kunz-Schughart,Annett Linge,Mechthild Krause,Michael Bachmann,Claudia Arndt,Anna Dubrovska

Xenotransplantation 28:e12704 PubMed34218466

2021

Semi-automated digital quantification of cellular infiltrates for in vivo evaluation of transplanted islets of Langerhans encapsulated with bioactive materials.

Applications

Unspecified application

Species

Unspecified reactive species

Matias Ramirez,Guillaume Courtoy,Oumaima Kharrat,Michele de Beukelaer,Nizar Mourad,Yves Guiot,Caroline Bouzin,Pierre Gianello

Cells 10: PubMed33672150

2021

Establishment of Human Leukocyte Antigen-Mismatched Immune Responses after Transplantation of Human Liver Bud in Humanized Mouse Models.

Applications

Unspecified application

Species

Unspecified reactive species

Akihiro Mori,Soichiro Murata,Nao Tashiro,Tomomi Tadokoro,Satoshi Okamoto,Ryo Otsuka,Haruka Wada,Tomoki Murata,Takeshi Takahashi,Ken-Ichiro Seino,Hideki Taniguchi

Pharmaceutics 12: PubMed33114168

2020

Efficacy of Local Minocycline Agents in Treating Peri-Implantitis: An Experimental In Vivo Study in Beagle Dogs.

Applications

Unspecified application

Species

Unspecified reactive species

Sung-Wook Yoon,Myong-Ji Kim,Kyeong-Won Paeng,Kyeong Ae Yu,Chong-Kil Lee,Young Woo Song,Jae-Kook Cha,Ui-Won Jung
View all publications

Abcam product promise

当社は、高品質な試薬を通じてお客様の研究を力強くサポートすることをお約束いたします。ご使用いただく各段階で、常にお客様をサポートできる体制を整えております。万が一、製品が期待通りに機能しない場合は、「Abcam Product Promise」による当社保証制度に基づき、安心してご利用いただけます。
保証に関する詳細については利用規約をご確認ください。

Please note: All products are 'FOR RESEARCH USE ONLY. NOT FOR USE IN DIAGNOSTIC OR THERAPEUTIC PROCEDURES'.

For licensing inquiries, please contact partnerships@abcam.com