JavaScript is disabled in your browser. Please enable JavaScript to view this website.
AB131254

Anti-CD27 抗体 [EPR8569]

Anti-CD27 antibody [EPR8569]

5

(2 Reviews)

|

(20 Publications)

Anti-CD27 antibody [EPR8569] (ab131254) is a rabbit monoclonal antibody detecting CD27 in Western Blot, Flow Cytometry (Intra), Flow Cytometry, IHC-P, ICC/IF. Suitable for Human.

- KO validated for confirmed specificity
- Biophysical QC for unrivalled batch-batch consistency
- Over 10 publications

別名を表示する

CD27, TNFRSF7, CD27 antigen, CD27L receptor, T-cell activation antigen CD27, T14, Tumor necrosis factor receptor superfamily member 7

13 Images
Immunocytochemistry/ Immunofluorescence - Anti-CD27 antibody [EPR8569] (AB131254)
  • ICC/IF

Lab

Immunocytochemistry/ Immunofluorescence - Anti-CD27 antibody [EPR8569] (AB131254)

ab131254 staining CD27 in Raji cells, with negative expression in A375 cells. The cells were fixed with 100% methanol (5 min), permeabilised with 0.1% Triton x-100 for 5 minutes and then blocked with 1% BSA/10% normal goat serum/0.3M glycine in 0.1% PBS-Tween for 1h. The cells were then incubated overnight at +4°C with ab131254 at 1 μg/ml and ab7291, Mouse monoclonal [DM1A] to alpha Tubulin at 0.5 μg/ml. Cells were then incubated with ab150081, Goat polyclonal Secondary Antibody to Rabbit IgG - H&L (Alexa Fluor® 488), pre-adsorbed at 1/1000 dilution (shown in green) and ab150119, Goat polyclonal Secondary Antibody to Mouse IgG - H&L (Alexa Fluor® 647), pre-adsorbed at 1/1000 dilution (shown in red). Nuclear DNA was labelled with DAPI (shown in blue).

Image was acquired with a confocal microscope (Leica-Microsystems TCS SP8) and a single confocal section is shown.

This product also work with 4% formaldehyde (10 min) fixation under the same testing conditions.

Immunohistochemistry (Formalin/PFA-fixed paraffin-embedded sections) - Anti-CD27 antibody [EPR8569] (AB131254)
  • IHC-P

Unknown

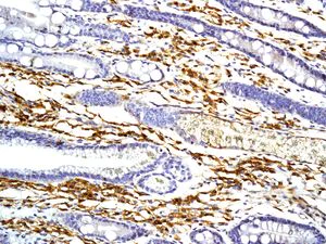
Immunohistochemistry (Formalin/PFA-fixed paraffin-embedded sections) - Anti-CD27 antibody [EPR8569] (AB131254)

Immunohistochemistry (Formalin/PFA-fixed paraffin embedded sections) analysis of human stomach tissue labelling CD27 with ab131254 at a dilution of 1/100.

Perform heat mediated antigen retrieval before commencing with IHC staining protocol.

Immunohistochemistry (Formalin/PFA-fixed paraffin-embedded sections) - Anti-CD27 antibody [EPR8569] (AB131254)
  • IHC-P

Lab

Immunohistochemistry (Formalin/PFA-fixed paraffin-embedded sections) - Anti-CD27 antibody [EPR8569] (AB131254)

Immunohistochemistry (Formalin/PFA-fixed paraffin-embedded sections) analysis of human skeletal muscle showing negative staining with purified ab131254 at 1/1800. Heat mediated antigen retrieval was performed using ab93684 (Tris/EDTA buffer, pH 9.0). ab214880, a Goat Anti-Rabbit IgG H&L (HRP polymer) was used as the secondary antibody (1/500). Counterstained with hematoxylin. Negative control : No staining on human skeletal muscle. The section was incubated with ab131254 at 4°C overnight.

Flow Cytometry (Intracellular) - Anti-CD27 antibody [EPR8569] (AB131254)
  • Flow Cyt (Intra)

Lab

Flow Cytometry (Intracellular) - Anti-CD27 antibody [EPR8569] (AB131254)

Flow cytometry staining of human peripheral blood mononuclear cells (PBMCs) with ab131254 (right) or Recombinant Rabbit IgG, monoclonal [EPR25A] - Isotype Control (left). Cells were fixed and permeabilised with BD Cytofix/Cytoperm™ for 20 min. PBMCs were incubated for 30 min at 22°C in 1x PBS containing 10 μg/ml human IgG and 10 % normal goat serum to block FC receptors and non-specific protein-protein interaction followed by the antibody ab131254 or Recombinant Rabbit IgG, monoclonal [EPR25A] - Isotype Control (1x 106 in 100 μl at 0.04 μg/ml (1/52750)) for 30 min at 4°C . The cells were simultaneously stained with CD4.

The secondary antibody Goat Anti-Rabbit IgG H&L (Alexa Fluor® 488) preadsorbed was incubated at 1/4000 for 30min at 4°C

Acquisition of >30000 events were collected using a 50 mW Blue laser (488nm) and 525/40 bandpass filter. Events were gated on viable cells.

Western blot - Anti-CD27 antibody [EPR8569] (AB131254)
  • WB

Lab

Western blot - Anti-CD27 antibody [EPR8569] (AB131254)

Blocking and dilution buffer : 5% NFDM/TBST.

All lanes:

Western blot - Anti-CD27 antibody [EPR8569] (ab131254) at 1/1000 dilution

Lane 1:

Human lymph node tissue lysate at 20 µg

Lane 2:

Human fetal spleen tissue lysate at 20 µg

Secondary

All lanes:

Peroxidase-conjugated goat anti-rabbit IgG, (H+L) at 1/1000 dilution

Predicted band size: 29 kDa

Observed band size: 55 kDa

false

Western blot - Anti-CD27 antibody [EPR8569] (AB131254)
  • WB

Lab

Western blot - Anti-CD27 antibody [EPR8569] (AB131254)

Lanes 1 - 4 : Merged signal (red and green). Green - ab131254 observed at 35 kDa. Red - loading control ab7291 (Mouse anti-Alpha Tubulin [DM1A]) observed at 55kDa.

ab131254 was shown to react with CD27 in wild-type Raji cells in western blot with loss of signal observed in CD27 knockout sample. Wild-type and CD27 knockout Raji cell lysates were subjected to SDS-PAGE. Membranes were blocked in 3% milk in TBS-T (0.1% Tween®) before incubation with ab131254 and ab7291 (Mouse anti-Alpha Tubulin [DM1A]) overnight at 4°C at a 1 in 1000 dilution and a 1 in 20000 dilution respectively. Blots were incubated with Goat anti-Rabbit IgG H&L (IRDye® 800CW) preabsorbed (ab216773) and Goat anti-Mouse IgG H&L (IRDye® 680RD) preabsorbed (ab216776) secondary antibodies at 1 in 20000 dilution for 1 hour at room temperature before imaging.

All lanes:

Western blot - Anti-CD27 antibody [EPR8569] (ab131254) at 1/1000 dilution

Lane 1:

Wild-type Raji (Human Burkitt's lymphoma cell line) whole cell lysate at 20 µg

Lane 2:

CD27 knockout Raji (Human Burkitt's lymphoma cell line) whole cell lysate at 20 µg

Lane 2:

Western blot - Human CD27A knockout Raji cell line (<a href='/products/cell-lines/human-cd27a-knockout-raji-cell-line-ab274910'>ab274910</a>)

Lane 3:

Ramos (Human Burkitt's lymphoma cell line) whole cell lysate at 20 µg

Lane 4:

Human brain tissue lysate at 20 µg

Predicted band size: 29 kDa

Observed band size: 35 kDa

false

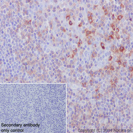
Immunohistochemistry (Formalin/PFA-fixed paraffin-embedded sections) - Anti-CD27 antibody [EPR8569] (AB131254)
  • IHC-P

Unknown

Immunohistochemistry (Formalin/PFA-fixed paraffin-embedded sections) - Anti-CD27 antibody [EPR8569] (AB131254)

Immunohistochemistry (Formalin/PFA-fixed paraffin-embedded sections) analysis of human tonsil tissue labelling CD27 with purified ab131254 at 1/1500. Heat mediated antigen retrieval was performed using Tris/EDTA buffer pH 9. ab97051, a HRP-conjugated goat anti-rabbit IgG (H+L) was used as the secondary antibody (1/500).

Negative control using PBS instead of primary antibody.

Counterstained with hematoxylin.

Immunocytochemistry/ Immunofluorescence - Anti-CD27 antibody [EPR8569] (AB131254)
  • ICC/IF

Lab

Immunocytochemistry/ Immunofluorescence - Anti-CD27 antibody [EPR8569] (AB131254)

Immunocytochemistry/Immunofluorescence analysis of Jurkat cells labelling CD27 with purified ab131254 at 1/500. Cells were fixed with 4% paraformaldehyde and permeabilized with 0.1% Triton X-100. ab150077, an Alexa Fluor® 488-conjugated goat anti-rabbit IgG (1/500) was used as the secondary antibody. DAPI (blue) was used as the nuclear counterstain. ab7291, a mouse anti-tubulin (1/1000) and ab150120, an Alexa Fluor® 594-conjugated goat anti-mouse IgG (1/500) were also used.

Control 1 : primary antibody (1/500) and secondary antibody, ab150120, an Alexa Fluor® 594-conjugated goat anti-mouse IgG (1/500).

Control 2 : ab7291 (1/1000) and secondary antibody, ab150077, an Alexa Fluor® 488-conjugated goat anti-rabbit IgG (1/500).

Flow Cytometry (Intracellular) - Anti-CD27 antibody [EPR8569] (AB131254)
  • Flow Cyt (Intra)

Lab

Flow Cytometry (Intracellular) - Anti-CD27 antibody [EPR8569] (AB131254)

Flow Cytometry analysis of Ramos cells labelling CD27 with purified ab131254 at 1/300 (red). Cells were fixed with 2% paraformaldehyde. A FITC-conjugated goat anti-rabbit IgG (1/150) was used as the secondary antibody. Black - Isotype control, rabbit monoclonal IgG. Blue - Unlabelled control, cells without incubation with primary and secondary antibodies.

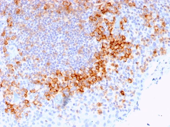
Immunohistochemistry (Formalin/PFA-fixed paraffin-embedded sections) - Anti-CD27 antibody [EPR8569] (AB131254)
  • IHC-P

Unknown

Immunohistochemistry (Formalin/PFA-fixed paraffin-embedded sections) - Anti-CD27 antibody [EPR8569] (AB131254)

Immunohistochemistry (Formalin/PFA-fixed paraffin embedded sections) analysis of human tonsil tissue labelling CD27 with ab131254 at a dilution of 1/100.

Perform heat mediated antigen retrieval before commencing with IHC staining protocol.

Western blot - Anti-CD27 antibody [EPR8569] (AB131254)
  • WB

Lab

Western blot - Anti-CD27 antibody [EPR8569] (AB131254)

Blocking and dilution buffer : 5% NFDM/TBST.

All lanes:

Western blot - Anti-CD27 antibody [EPR8569] (ab131254) at 1/5000 dilution

All lanes:

NAMALWA (human Burkitt's lymphoma cell line) cell lysate at 20 µg

Secondary

All lanes:

Peroxidase-conjugated goat anti-rabbit IgG, (H+L) at 1/1000 dilution

Predicted band size: 137 kDa,29 kDa,31 kDa,35 kDa,42 kDa,52 kDa,55 kDa,57 kDa

Observed band size: 185 kDa,55 kDa

false

Western blot - Anti-CD27 antibody [EPR8569] (AB131254)
  • WB

Unknown

Western blot - Anti-CD27 antibody [EPR8569] (AB131254)

All lanes:

Western blot - Anti-CD27 antibody [EPR8569] (ab131254) at 1/1000 dilution

Lane 1:

Ramos (human Burkitt's lymphoma cell line) cell lysate at 10 µg

Lane 2:

Human lymph node cell lysate at 10 µg

Secondary

All lanes:

HRP labelled Goat anti Rabbit IgG at 1/2000 dilution

Predicted band size: 29 kDa

false

OI-RD Scanning - Anti-CD27 antibody [EPR8569] (AB131254)
  • OI-RD Scanning

Unknown

OI-RD Scanning - Anti-CD27 antibody [EPR8569] (AB131254)

We have systematically measured KD (the equilibrium dissociation constant between the antibody and its antigen), of more than 840 recombinant antibodies to assess not only their individual KD values but also to see the average affinity of antibody. Based on the comparison with published literature values for mouse monoclonal antibodies, Recombinant antibodies appear to be on average 1-2 order of magnitude higher affinity.

関連する標識済み抗体及び組成の異なる製品 (3)

Key facts

宿主種

Rabbit

クローン性

Monoclonal

クローン番号

EPR8569

アイソタイプ

IgG

キャリアフリー

No

交差種

Human

アプリケーション

IHC-P, ICC/IF, Flow Cyt (Intra), WB

applications

免疫原

The exact immunogen used to generate this antibody is proprietary information.

Reactivity data

{ "title": "Reactivity Data", "filters": { "stats": ["", "Species", "Dilution Info", "Notes"], "tabs": { "all-applications": {"fullname" : "All Applications", "shortname": "All Applications"}, "IHCP" : {"fullname" : "Immunohistochemistry (Formalin/PFA-fixed paraffin-embedded sections)", "shortname":"IHC-P"}, "WB" : {"fullname" : "Western blot", "shortname":"WB"}, "ICCIF" : {"fullname" : "Immunocytochemistry/ Immunofluorescence", "shortname":"ICC/IF"}, "FlowCytIntra" : {"fullname" : "Flow Cytometry (Intracellular)", "shortname":"Flow Cyt (Intra)"} }, "product-promise": { "all": "all", "testedAndGuaranteed": "tested", "guaranteed": "expected", "predicted": "predicted", "notRecommended": "not-recommended" } }, "values": { "Human": { "IHCP-species-checked": "testedAndGuaranteed", "IHCP-species-dilution-info": "1/1500", "IHCP-species-notes": "<p><strong>For unpurified use at 1/100 - 1/250.</strong></p>", "WB-species-checked": "testedAndGuaranteed", "WB-species-dilution-info": "1/1000", "WB-species-notes": "<p><strong>For unpurified use at 1/1000 - 1/10000.</strong></p>", "ICCIF-species-checked": "testedAndGuaranteed", "ICCIF-species-dilution-info": "1/250 - 1/500", "ICCIF-species-notes": "<p></p>", "FlowCytIntra-species-checked": "testedAndGuaranteed", "FlowCytIntra-species-dilution-info": "1/100 - 1/500", "FlowCytIntra-species-notes": "<p><a href='/products/primary-antibodies/rabbit-igg-monoclonal-epr25a-isotype-control-ab172730'>ab172730</a> - Rabbit monoclonal IgG, is suitable for use as an isotype control with this antibody.</p>" } } }

製品の詳細

What is this antibody validated in?
Anti-CD27 antibody [EPR8569] (ab131254) is a rabbit recombinant monoclonal antibody and is validated for use in Western Blot (WB), Flow Cytometry (Intra), Flow Cytometry (Flow Cyt), Immunohistochemistry (IHC-P), Immunocytochemistry/immunofluorescence (ICC/IF) in Human samples.

What is the molecular weight of CD27?
Anti-CD27 [EPR8569] (ab131254) specifically detects a band for CD27 (UniProt: P26842) at a molecular weight of 29kDa.

Trusted by the scientific community
Anti-CD27 [EPR8569] (ab131254) was first used in a scientific publication in 2012 and has been cited over 10 times in peer-reviewed journals.

Trial sizes available!
Test your antibody or perform pre-screening before committing to a larger quantity. Sold in 10µl. Discover our selection of trial-size antibodies.

Specificity confirmed
The specificity of Anti-CD27 antibody [EPR8569] (ab131254) has been confirmed by Western blot testing in CD27 Knockout Raji cells.

Other related products
We have a range of other formats of antibody clone [EPR8569] also available for your convenience: ab131254, Carrier free - ab192336, Carrier free - ab256583, Alexa Fluor® 555 - ab282112, Alexa Fluor® 647 - ab283697, ab284415, PE - ab314248

Species reactivity
Mouse, Rat: We have preliminary internal testing data to indicate this antibody may not react with these species.
Please contact us for more information.

Patented technology
Our RabMAb® technology is a patented hybridoma-based technology for making rabbit monoclonal antibodies. For details on our patents, please refer to RabMAb® patents.

What are the advantages of a recombinant monoclonal antibody?
This product is a recombinant monoclonal antibody, which offers several advantages including:

  • - High batch-to-batch consistency and reproducibility
  • - Improved sensitivity and specificity
  • - Long-term security of supply
  • - Animal-free batch production

For more information, read more on recombinant antibodies.

出荷温度及び保存条件

製品の状態
Liquid
精製方法
Affinity purification Protein A
バッファー組成
pH: 7.2 - 7.4 Preservative: 0.01% Sodium azide Constituents: 59% PBS, 40% Glycerol (glycerin, glycerine), 0.05% BSA
出荷温度
Blue Ice
短期保存期間
1-2 weeks
短期保存温度
+4°C
長期保存温度
-20°C
分注に関する情報
Upon delivery aliquot
保管に関する情報
Stable for 12 months at -20°C

補足情報

This supplementary information is collated from multiple sources and compiled automatically.

CD27 also known as Tumor Necrosis Factor Receptor Superfamily Member 7 (TNFRSF7) is a protein chiefly involved in T cell activation and proliferation. It belongs to the TNF-receptor superfamily and weighs approximately 50 kDa. CD27 is expressed mainly on T lymphocytes and to a lesser extent on B cells and natural killer cells. Researchers often study CD27 and its ligand CD70 to understand immune responses. Tools such as anti-CD27 percp 7h21 monoclonal antibodies and APC-conjugated forms help detect this protein in various assays.
Biological function summary

One finds CD27 at the heart of cellular immune responses. It does not function alone; instead it typically forms part of a receptor-ligand complex with CD70 which influences T cell and B cell activities. This interaction promotes cell survival and plays a role in the activation of NF-kB and MAPK8/JNK signaling pathways which are essential for immune response regulation. These pathways ensure that the body's immune cells can efficiently respond to pathogens.

Pathways

CD27 actively integrates into the NF-kB and mTOR signaling pathways which are important for regulating immune and inflammatory responses. Through these pathways CD27 works closely with proteins like TRAF2 and TRAF3 which are adapter molecules that transmit signals from the receptor. These signaling pathways provide a framework for understanding how CD27 and associated proteins work together to control immune cell behavior facilitating coordinated immune defense mechanisms.

CD27 has significant implications in autoimmune diseases and cancer. For example aberrant activation of CD27 may contribute to conditions like lymphoma and autoimmune diseases such as lupus. The CD70-CD27 signaling axis when dysregulated can lead to uncontrolled cell proliferation or apoptosis linking it to these pathologies. Understanding the interplay between CD27 and proteins like Bcl-2 which influences apoptosis helps pave the way for therapeutic strategies targeting these diseases.

製品プロトコール

For this product, it's our understanding that no specific protocols are required. You can visit:

ターゲットの情報

Costimulatory immune-checkpoint receptor expressed at the surface of T-cells, NK-cells and B-cells which binds to and is activated by its ligand CD70/CD27L expressed by B-cells (PubMed : 28011863). The CD70-CD27 signaling pathway mediates antigen-specific T-cell activation and expansion which in turn provides immune surveillance of B-cells (PubMed : 28011863). Mechanistically, CD70 ligation activates the TRAF2-PTPN6 axis that subsequently inhibits LCK phosphorylation to promote phenotypic and transcriptional adaptations of T-cell memory (PubMed : 38354704). In addition, activation by CD70 on early progenitor cells provides a negative feedback signal to leukocyte differentiation during immune activation and thus modulates hematopoiesis (By similarity). Negatively regulates the function of Th2 lymphocytes in the adipose tissue (By similarity).
See full target information CD27

文献 (20)

Recent publications for all applications. Explore the full list and refine your search

International journal of general medicine 16:2285-2294 PubMed37304906

2023

Total T Cell Density and Expression of T Memory Stem Cell Markers are Associated with Better Prognosis in Colon Cancer.

Applications

Unspecified application

Species

Unspecified reactive species

Junli Ding,Hao Wang,Rui Hou,Yuxin Shi,Honghong Fan,Yuting Li,Jie Mei,Qinglin Zhang,Tingyan Ruan,Junying Xu

Cell reports 42:112630 PubMed37300833

2023

Extrafollicular IgDCD27CXCR5CD11c DN3 B cells infiltrate inflamed tissues in autoimmune fibrosis and in severe COVID-19.

Applications

Unspecified application

Species

Unspecified reactive species

Hugues Allard-Chamard,Naoki Kaneko,Alice Bertocchi,Na Sun,Julie Boucau,Hsiao-Hsuan Kuo,Jocelyn R Farmer,Cory Perugino,Vinay S Mahajan,Samuel J H Murphy,Katherine Premo,Thomas Diefenbach,Musie Ghebremichael,Grace Yuen,Alekhya Kotta,Zafer Akman,Mathias Lichterfeld,Bruce D Walker,Xu G Yu,Masafumi Moriyama,Takashi Maehara,Seiji Nakamura,John H Stone,Robert F Padera,Shiv Pillai

Frontiers in genetics 14:1083615 PubMed36861127

2023

Identification of key candidate genes and pathways in rheumatoid arthritis and osteoarthritis by integrated bioinformatical analysis.

Applications

Unspecified application

Species

Unspecified reactive species

Huijing Huang,Xinyi Dong,Kaimin Mao,Wanwan Pan,Bin'en Nie,Lindi Jiang

Cancer discovery 12:1718-1741 PubMed35412588

2022

IFNα Potentiates Anti-PD-1 Efficacy by Remodeling Glucose Metabolism in the Hepatocellular Carcinoma Microenvironment.

Applications

Unspecified application

Species

Unspecified reactive species

Bo Hu,Mincheng Yu,Xiaolu Ma,Jialei Sun,Chenglong Liu,Chunyan Wang,Suiyi Wu,Peiyao Fu,Zhen Yang,Yungang He,Yuanyuan Zhu,Cheng Huang,Xinrong Yang,Yinghong Shi,Shuangjian Qiu,Huichuan Sun,Andrew X Zhu,Jian Zhou,Yang Xu,Di Zhu,Jia Fan

Nature communications 13:1158 PubMed35241665

2022

Single-cell transcriptomics links malignant T cells to the tumor immune landscape in cutaneous T cell lymphoma.

Applications

Unspecified application

Species

Unspecified reactive species

Xiangjun Liu,Shanzhao Jin,Simeng Hu,Ruoyan Li,Haihao Pan,Yi Liu,Pan Lai,Deshu Xu,Jingru Sun,Ziyang Liu,Yumei Gao,Yifan Zhao,Fengjie Liu,Yu Xiao,Yingyi Li,Yujie Wen,Zhuojing Chen,Bufang Xu,Yuchieh Lin,Menglong Ran,Qianxi Li,Shuxia Yang,Hang Li,Ping Tu,Muzlifah Haniffa,Sarah A Teichmann,Fan Bai,Yang Wang

Diagnostics (Basel, Switzerland) 11: PubMed34359321

2021

Loss of Lymphotoxin Alpha-Expressing Memory B Cells Correlates with Metastasis of Human Primary Melanoma.

Applications

Unspecified application

Species

Unspecified reactive species

Franziska Werner,Christine Wagner,Martin Simon,Katharina Glatz,Kirsten D Mertz,Heinz Läubli,Erika Richtig,Johannes Griss,Stephan N Wagner

medRxiv : the preprint server for health sciences : PubMed33791730

2021

Expansion of Cytotoxic CD4+ T cells in the lungs in severe COVID-19.

Applications

Unspecified application

Species

Unspecified reactive species

Naoki Kaneko,Julie Boucau,Hsiao-Hsuan Kuo,Cory Perugino,Vinay S Mahajan,Jocelyn R Farmer,Hang Liu,Thomas J Diefenbach,Alicja Piechocka-Trocha,Kristina Lefteri,Michael T Waring,Katherine R Premo,Bruce D Walker,Jonathan Z Li,Gaurav Gaiha,Xu G Yu,Mathias Lichterfeld,Robert F Padera,Shiv Pillai

Cell 183:143-157.e13 PubMed32877699

2020

Loss of Bcl-6-Expressing T Follicular Helper Cells and Germinal Centers in COVID-19.

Applications

Unspecified application

Species

Unspecified reactive species

Naoki Kaneko,Hsiao-Hsuan Kuo,Julie Boucau,Jocelyn R Farmer,Hugues Allard-Chamard,Vinay S Mahajan,Alicja Piechocka-Trocha,Kristina Lefteri,Matthew Osborn,Julia Bals,Yannic C Bartsch,Nathalie Bonheur,Timothy M Caradonna,Josh Chevalier,Fatema Chowdhury,Thomas J Diefenbach,Kevin Einkauf,Jon Fallon,Jared Feldman,Kelsey K Finn,Pilar Garcia-Broncano,Ciputra Adijaya Hartana,Blake M Hauser,Chenyang Jiang,Paulina Kaplonek,Marshall Karpell,Eric C Koscher,Xiaodong Lian,Hang Liu,Jinqing Liu,Ngoc L Ly,Ashlin R Michell,Yelizaveta Rassadkina,Kyra Seiger,Libera Sessa,Sally Shin,Nishant Singh,Weiwei Sun,Xiaoming Sun,Hannah J Ticheli,Michael T Waring,Alex L Zhu,Galit Alter,Jonathan Z Li,Daniel Lingwood,Aaron G Schmidt,Mathias Lichterfeld,Bruce D Walker,Xu G Yu,Robert F Padera,Shiv Pillai

Cancer management and research 12:6909-6920 PubMed33204151

2020

Clinical Significance of Down-Regulated CD70 and CD27 Expression in Poor Prognosis of Esophageal Squamous Cell Carcinoma.

Applications

Unspecified application

Species

Unspecified reactive species

Ting-Ting Shan,Xuan Zhao,Zhen Zhang,Jing-Pu Wang,Yi Zhang,Yang Yang,Song Zhao

Blood advances 4:1917-1926 PubMed32380537

2020

Safety and activity of varlilumab, a novel and first-in-class agonist anti-CD27 antibody, for hematologic malignancies.

Applications

Unspecified application

Species

Unspecified reactive species

Stephen M Ansell,Ian Flinn,Matthew H Taylor,Branimir I Sikic,Joshua Brody,John Nemunaitis,Andrew Feldman,Thomas R Hawthorne,Tracey Rawls,Tibor Keler,Michael J Yellin
View all publications

Abcam product promise

当社は、高品質な試薬を通じてお客様の研究を力強くサポートすることをお約束いたします。ご使用いただく各段階で、常にお客様をサポートできる体制を整えております。万が一、製品が期待通りに機能しない場合は、「Abcam Product Promise」による当社保証制度に基づき、安心してご利用いただけます。
保証に関する詳細については利用規約をご確認ください。

Please note: All products are 'FOR RESEARCH USE ONLY. NOT FOR USE IN DIAGNOSTIC OR THERAPEUTIC PROCEDURES'.

For licensing inquiries, please contact partnerships@abcam.com