JavaScript is disabled in your browser. Please enable JavaScript to view this website.
AB227645

Anti-CD22 抗体 [SP104] - C-terminal

Anti-CD22 antibody [SP104] - C-terminal

Be the first to review this product! Submit a review

|

(1 Publication)

Rabbit Recombinant Monoclonal CD22 antibody. C-terminal. Suitable for IHC-P and reacts with Human samples. Cited in 1 publication.

別名を表示する

CD22, SIGLEC2, B-cell receptor CD22, B-lymphocyte cell adhesion molecule, Sialic acid-binding Ig-like lectin 2, T-cell surface antigen Leu-14, BL-CAM, Siglec-2

5 Images
Immunohistochemistry (Formalin/PFA-fixed paraffin-embedded sections) - Anti-CD22 antibody [SP104] - C-terminal (AB227645)
  • IHC-P

Supplier Data

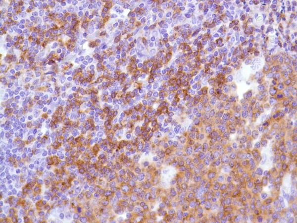
Immunohistochemistry (Formalin/PFA-fixed paraffin-embedded sections) - Anti-CD22 antibody [SP104] - C-terminal (AB227645)

Formalin-fixed, paraffin-embedded human tonsil tissue stained for CD22 using ab227645 at 1/100 dilution in immunohistochemical analysis.

Immunohistochemistry (Formalin/PFA-fixed paraffin-embedded sections) - Anti-CD22 antibody [SP104] - C-terminal (AB227645)
  • IHC-P

Supplier Data

Immunohistochemistry (Formalin/PFA-fixed paraffin-embedded sections) - Anti-CD22 antibody [SP104] - C-terminal (AB227645)

Formalin-fixed, paraffin-embedded human tonsil tissue stained for CD22 using ab227645 at 1/100 dilution in immunohistochemical analysis.

Immunohistochemistry (Formalin/PFA-fixed paraffin-embedded sections) - Anti-CD22 antibody [SP104] - C-terminal (AB227645)
  • IHC-P

Unknown

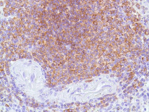
Immunohistochemistry (Formalin/PFA-fixed paraffin-embedded sections) - Anti-CD22 antibody [SP104] - C-terminal (AB227645)

Formalin-fixed, paraffin-embedded human spleen tissue stained for CD22 using ab227645 at 1/100 dilution in immunohistochemical analysis.

Immunohistochemistry (Formalin/PFA-fixed paraffin-embedded sections) - Anti-CD22 antibody [SP104] - C-terminal (AB227645)
  • IHC-P

Unknown

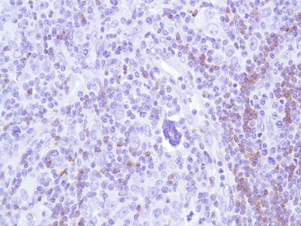
Immunohistochemistry (Formalin/PFA-fixed paraffin-embedded sections) - Anti-CD22 antibody [SP104] - C-terminal (AB227645)

Formalin-fixed, paraffin-embedded human HK lymphoma tissue stained for CD22 using ab227645 at 1/100 dilution in immunohistochemical analysis.

Immunohistochemistry (Formalin/PFA-fixed paraffin-embedded sections) - Anti-CD22 antibody [SP104] - C-terminal (AB227645)
  • IHC-P

Supplier Data

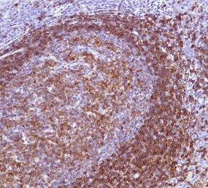
Immunohistochemistry (Formalin/PFA-fixed paraffin-embedded sections) - Anti-CD22 antibody [SP104] - C-terminal (AB227645)

Formalin-fixed, paraffin-embedded human reactive lymph node tissue stained for CD22 using ab227645 at 1/100 dilution in immunohistochemical analysis.

関連する標識済み抗体及び組成の異なる製品 (8)

  • Carrier free

    Anti-CD22 antibody [SP104] - BSA and Azide free

  • 519 Alexa Fluor® 488

    Alexa Fluor® 488 Anti-CD22 antibody [SP104] - C-terminal

  • 665 Alexa Fluor® 647

    Alexa Fluor® 647 Anti-CD22 antibody [SP104] - C-terminal

  • 565 Alexa Fluor® 555

    Alexa Fluor® 555 Anti-CD22 antibody [SP104] - C-terminal

  • 617 Alexa Fluor® 594

    Alexa Fluor® 594 Anti-CD22 antibody [SP104] - C-terminal

  • 578 PE

    PE Anti-CD22 antibody [SP104] - C-terminal

  • 660 APC

    APC Anti-CD22 antibody [SP104] - C-terminal

  • 775 Alexa Fluor® 750

    Alexa Fluor® 750 Anti-CD22 antibody [SP104] - C-terminal

Key facts

宿主種

Rabbit

クローン性

Monoclonal

クローン番号

SP104

アイソタイプ

IgG

キャリアフリー

No

交差種

Human

アプリケーション

IHC-P

applications

免疫原

The exact immunogen used to generate this antibody is proprietary information.

Reactivity data

{ "title": "Reactivity Data", "filters": { "stats": ["", "Species", "Dilution Info", "Notes"], "tabs": { "all-applications": {"fullname" : "All Applications", "shortname": "All Applications"}, "IHCP" : {"fullname" : "Immunohistochemistry (Formalin/PFA-fixed paraffin-embedded sections)", "shortname":"IHC-P"} }, "product-promise": { "all": "all", "testedAndGuaranteed": "tested", "guaranteed": "expected", "predicted": "predicted", "notRecommended": "not-recommended" } }, "values": { "Human": { "IHCP-species-checked": "testedAndGuaranteed", "IHCP-species-dilution-info": "1/100", "IHCP-species-notes": "<p>Primary antibody incubation for 30 minutes at room temperature.</p>" }, "Dog": { "IHCP-species-checked": "predicted", "IHCP-species-dilution-info": "", "IHCP-species-notes": "" } } }

出荷温度及び保存条件

製品の状態
Liquid
精製方法
Affinity purification Protein A/G
精製に関する特記事項
Purified from TCS by protein A/G.
バッファー組成
pH: 7.6 Preservative: 0.1% Sodium azide Constituents: PBS, 1% BSA
出荷温度
Blue Ice
短期保存期間
1-2 weeks
短期保存温度
+4°C
長期保存温度
-20°C
分注に関する情報
Upon delivery aliquot
保管に関する情報
Avoid freeze / thaw cycle

補足情報

This supplementary information is collated from multiple sources and compiled automatically.

CD22 also known as Siglec-2 or B-lymphocyte cell adhesion molecule (BL-CAM) is a transmembrane protein with a mass of around 140 kDa. It is selectively expressed on the surface of mature B cells and some immature B cells. This protein plays an important role in the immune system particularly in the regulation of B cell function. CD22 functions by modulating signal transduction processes through its cytoplasmic domain which contains immunoreceptor tyrosine-based inhibitory motifs (ITIMs).
Biological function summary

CD22 acts mainly as a negative regulator of B cell receptor (BCR) signaling. It is part of a complex that interacts with the BCR and other accessory molecules. CD22 helps maintain B cell tolerance by inhibiting overactive signaling and preventing autoimmune responses. By binding to sialic acid-containing glycans CD22 modulates interactions between B cells and other cells aiding in the maintenance of immune homeostasis.

Pathways

CD22 plays a critical role in the BCR signaling pathway and the regulation of phosphatidylinositol 3-kinase (PI3K) signaling. It works together with proteins like CD19 and SHP-1 that are key components of these pathways. By influencing these signaling cascades CD22 contributes to the modulation of B cell activation proliferation and apoptosis ensuring proper functioning of the immune response.

CD22 is associated with autoimmune conditions and hematological malignancies such as hairy cell leukemia (HCL). Therapeutic approaches targeting CD22 such as anti-CD22 antibodies are being explored for treating these diseases. CD22's role in these conditions is connected with proteins involved in the autoimmune pathways or cancer development offering potential therapeutic targets for intervention.

製品プロトコール

For this product, it's our understanding that no specific protocols are required. You can visit:

ターゲットの情報

Most highly expressed siglec (sialic acid-binding immunoglobulin-like lectin) on B-cells that plays a role in various aspects of B-cell biology including differentiation, antigen presentation, and trafficking to bone marrow (PubMed : 34330755, PubMed : 8627166). Binds to alpha 2,6-linked sialic acid residues of surface molecules such as CD22 itself, CD45 and IgM in a cis configuration. Can also bind to ligands on other cells as an adhesion molecule in a trans configuration (PubMed : 20172905). Acts as an inhibitory coreceptor on the surface of B-cells and inhibits B-cell receptor induced signaling, characterized by inhibition of the calcium mobilization and cellular activation. Mechanistically, the immunoreceptor tyrosine-based inhibitory motif domain is phosphorylated by the Src kinase LYN, which in turn leads to the recruitment of the protein tyrosine phosphatase 1/PTPN6, leading to the negative regulation of BCR signaling (PubMed : 8627166). If this negative signaling from is of sufficient strength, apoptosis of the B-cell can be induced (PubMed : 20516366).
See full target information CD22

文献 (1)

Recent publications for all applications. Explore the full list and refine your search

Cancer research 82:648-664 PubMed34853070

2021

Multiomics Analysis of Spatially Distinct Stromal Cells Reveals Tumor-Induced O-Glycosylation of the CDK4-pRB Axis in Fibroblasts at the Invasive Tumor Edge.

Applications

Unspecified application

Species

Unspecified reactive species

Gina Bouchard,Fernando Jose Garcia-Marques,Loukia Georgiou Karacosta,Weiruo Zhang,Abel Bermudez,Nicholas McIlvain Riley,Sushama Varma,Lindsey Catherine Mehl,Jalen Anthony Benson,Joseph B Shrager,Carolyn Ruth Bertozzi,Sharon J Pitteri,Amato J Giaccia,Sylvia Katina Plevritis
View all publications

Abcam product promise

当社は、高品質な試薬を通じてお客様の研究を力強くサポートすることをお約束いたします。ご使用いただく各段階で、常にお客様をサポートできる体制を整えております。万が一、製品が期待通りに機能しない場合は、「Abcam Product Promise」による当社保証制度に基づき、安心してご利用いただけます。
保証に関する詳細については利用規約をご確認ください。

Please note: All products are 'FOR RESEARCH USE ONLY. NOT FOR USE IN DIAGNOSTIC OR THERAPEUTIC PROCEDURES'.

For licensing inquiries, please contact partnerships@abcam.com