JavaScript is disabled in your browser. Please enable JavaScript to view this website.
AB246334

Anti-CD22 抗体 [EPR20061] - BSA and Azide free

Anti-CD22 antibody [EPR20061] - BSA and Azide free

Be the first to review this product! Submit a review

|

(2 Publications)

Rabbit Recombinant Monoclonal CD22 antibody. Carrier free. Suitable for IP, WB, ICC/IF, IHC-P and reacts with Human samples. Cited in 2 publications.

別名を表示する

CD22, SIGLEC2, B-cell receptor CD22, B-lymphocyte cell adhesion molecule, Sialic acid-binding Ig-like lectin 2, T-cell surface antigen Leu-14, BL-CAM, Siglec-2

7 Images
Immunohistochemistry (Formalin/PFA-fixed paraffin-embedded sections) - Anti-CD22 antibody [EPR20061] - BSA and Azide free (AB246334)
  • IHC-P

Supplier Data

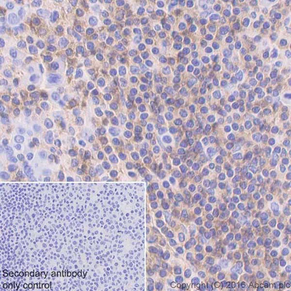
Immunohistochemistry (Formalin/PFA-fixed paraffin-embedded sections) - Anti-CD22 antibody [EPR20061] - BSA and Azide free (AB246334)

Immunohistochemical analysis of paraffin-embedded human spleen tissue labeling CD22 with ab207727 at 1/2000 dilution, followed by Goat Anti-Rabbit IgG H&L (HRP) (ab97051) at 1/500 dilution. Membranous and cytoplasmic staining on B cells of human spleen [PMID : 11967115]. Counter stained with Hematoxylin.

Secondary antibody only control : Used PBS instead of primary antibody, secondary antibody is Goat Anti-Rabbit IgG H&L (HRP) (ab97051) at 1/500 dilution.

This data was developed using the same antibody clone in a different buffer formulation containing PBS, BSA, glycerol, and sodium azide (ab207727).

Perform heat mediated antigen retrieval with Tris/EDTA buffer pH 9.0 before commencing with IHC staining protocol.

Immunohistochemistry (Formalin/PFA-fixed paraffin-embedded sections) - Anti-CD22 antibody [EPR20061] - BSA and Azide free (AB246334)
  • IHC-P

Supplier Data

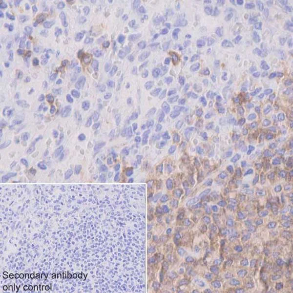
Immunohistochemistry (Formalin/PFA-fixed paraffin-embedded sections) - Anti-CD22 antibody [EPR20061] - BSA and Azide free (AB246334)

Immunohistochemical analysis of paraffin-embedded human tonsil tissue labeling CD22 with ab207727 at 1/2000 dilution, followed by Goat Anti-Rabbit IgG H&L (HRP) (ab97051) at 1/500 dilution. Membranous and cytoplasmic staining on B cells of human tonsil [PMID : 11967115]. Counter stained with Hematoxylin.

Secondary antibody only control : Used PBS instead of primary antibody, secondary antibody is Goat Anti-Rabbit IgG H&L (HRP) (ab97051) at 1/500 dilution.

This data was developed using the same antibody clone in a different buffer formulation containing PBS, BSA, glycerol, and sodium azide (ab207727).

Perform heat mediated antigen retrieval with Tris/EDTA buffer pH 9.0 before commencing with IHC staining protocol.

Immunocytochemistry/ Immunofluorescence - Anti-CD22 antibody [EPR20061] - BSA and Azide free (AB246334)
  • ICC/IF

Supplier Data

Immunocytochemistry/ Immunofluorescence - Anti-CD22 antibody [EPR20061] - BSA and Azide free (AB246334)

Immunofluorescent analysis of 100% methanol-fixed Raji (Human Burkitt's lymphoma cell line) cells labeling CD22 with ab207727 at 1/100 dilution, followed by Goat anti-rabbit IgG (Alexa Fluor® 488) (ab150077) secondary antibody at 1/1000 dilution (green). Confocal image showing cytoplasmic staining on Raji cell line.

The nuclear counter stain is DAPI (blue). Tubulin is detected with ab195889 (Anti-alpha Tubulin antibody [DM1A] - Microtubule Marker (Alexa Fluor® 594)) at 1/200 dilution (red).

Secondary antibody only control : Used PBS instead of primary antibody, secondary antibody is Goat anti-rabbit IgG (Alexa Fluor® 488) (ab150077) at 1/1000 dilution.

This data was developed using the same antibody clone in a different buffer formulation containing PBS, BSA, glycerol, and sodium azide (ab207727).

Immunocytochemistry/ Immunofluorescence - Anti-CD22 antibody [EPR20061] - BSA and Azide free (AB246334)
  • ICC/IF

Supplier Data

Immunocytochemistry/ Immunofluorescence - Anti-CD22 antibody [EPR20061] - BSA and Azide free (AB246334)

Immunofluorescent analysis of 100% methanol-fixed Daudi (Human Burkitt's lymphoma cell line) cells labeling CD22 with ab207727 at 1/100 dilution, followed by Goat anti-rabbit IgG (Alexa Fluor® 488) (ab150077) secondary antibody at 1/1000 dilution (green). Confocal image showing cytoplasmic staining on Daudi cell line.

The nuclear counter stain is DAPI (blue). Tubulin is detected with ab195889 (Anti-alpha Tubulin antibody [DM1A] - Microtubule Marker (Alexa Fluor® 594)) at 1/200 dilution (red).

Secondary antibody only control : Used PBS instead of primary antibody, secondary antibody is Goat anti-rabbit IgG (Alexa Fluor® 488) (ab150077) at 1/1000 dilution.

This data was developed using the same antibody clone in a different buffer formulation containing PBS, BSA, glycerol, and sodium azide (ab207727).

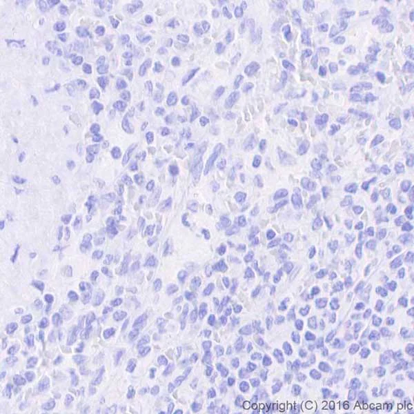
Immunohistochemistry (Formalin/PFA-fixed paraffin-embedded sections) - Anti-CD22 antibody [EPR20061] - BSA and Azide free (AB246334)
  • IHC-P

Supplier Data

Immunohistochemistry (Formalin/PFA-fixed paraffin-embedded sections) - Anti-CD22 antibody [EPR20061] - BSA and Azide free (AB246334)

Immunohistochemical analysis of paraffin-embedded human thymoma tissue labeling CD22 with ab207727 at 1/2000 dilution, followed by Goat Anti-Rabbit IgG H&L (HRP) (ab97051) at 1/500 dilution.

Negative control : no staining on human thymoma [PMID : 11967115].

Counter stained with Hematoxylin.

This data was developed using the same antibody clone in a different buffer formulation containing PBS, BSA, glycerol, and sodium azide (ab207727).

Perform heat mediated antigen retrieval with Tris/EDTA buffer pH 9.0 before commencing with IHC staining protocol.

Immunoprecipitation - Anti-CD22 antibody [EPR20061] - BSA and Azide free (AB246334)
  • IP

Supplier Data

Immunoprecipitation - Anti-CD22 antibody [EPR20061] - BSA and Azide free (AB246334)

CD22 was immunoprecipitated from 0.35 mg of Human tonsil lysate with ab207727 at 1/30 dilution. Western blot was performed from the immunoprecipitate using ab207727 at 1/500 dilution. VeriBlot for IP Detection Reagent (HRP) (ab131366), was used for detection at 1/1000 dilution.

Lane 1 : Human tonsil lysate, 10 μg (Input).

Lane 2 : ab207727 IP in Human tonsil lysate.

Lane 3 : Rabbit monoclonal IgG (ab172730) instead of ab207727 in Human tonsil lysate.

Blocking and dilution buffer and concentration : 5% NFDM/TBST.

Exposure time : 10 seconds.

This data was developed using the same antibody clone in a different buffer formulation containing PBS, BSA, glycerol, and sodium azide (ab207727).

All lanes:

Immunoprecipitation - Anti-CD22 antibody [EPR20061] (<a href='/products/primary-antibodies/cd22-antibody-epr20061-ab207727'>ab207727</a>)

Predicted band size: 95 kDa

Observed band size: 130 kDa

false

Immunoprecipitation - Anti-CD22 antibody [EPR20061] - BSA and Azide free (AB246334)
  • IP

Supplier Data

Immunoprecipitation - Anti-CD22 antibody [EPR20061] - BSA and Azide free (AB246334)

CD22 was immunoprecipitated from 0.35 mg of Raji (Human Burkitt's lymphoma cell line) whole cell lysate with ab207727 at 1/30 dilution. Western blot was performed from the immunoprecipitate using ab207727 at 1/2000 dilution. VeriBlot for IP Detection Reagent (HRP) (ab131366), was used for detection at 1/1000 dilution.

Lane 1 : Raji whole cell lysate, 10 μg (Input).

Lane 2 : ab207727 IP in Raji whole cell lysate.

Lane 3 : Rabbit monoclonal IgG (ab172730) instead of ab207727 in Raji whole cell lysate.

Blocking and dilution buffer and concentration : 5% NFDM/TBST.

Exposure time : 10 seconds.

This data was developed using the same antibody clone in a different buffer formulation containing PBS, BSA, glycerol, and sodium azide (ab207727).

All lanes:

Immunoprecipitation - Anti-CD22 antibody [EPR20061] (<a href='/products/primary-antibodies/cd22-antibody-epr20061-ab207727'>ab207727</a>)

Predicted band size: 95 kDa

Observed band size: 130 kDa

false

関連する標識済み抗体及び組成の異なる製品 (1)

Key facts

宿主種

Rabbit

クローン性

Monoclonal

クローン番号

EPR20061

アイソタイプ

IgG

キャリアフリー

Yes

交差種

Human

アプリケーション

IP, WB, ICC/IF, IHC-P

applications

免疫原

The exact immunogen used to generate this antibody is proprietary information.

Reactivity data

{ "title": "Reactivity Data", "filters": { "stats": ["", "Species", "Dilution Info", "Notes"], "tabs": { "all-applications": {"fullname" : "All Applications", "shortname": "All Applications"}, "IP" : {"fullname" : "Immunoprecipitation", "shortname":"IP"}, "WB" : {"fullname" : "Western blot", "shortname":"WB"}, "ICCIF" : {"fullname" : "Immunocytochemistry/ Immunofluorescence", "shortname":"ICC/IF"}, "IHCP" : {"fullname" : "Immunohistochemistry (Formalin/PFA-fixed paraffin-embedded sections)", "shortname":"IHC-P"} }, "product-promise": { "all": "all", "testedAndGuaranteed": "tested", "guaranteed": "expected", "predicted": "predicted", "notRecommended": "not-recommended" } }, "values": { "Human": { "IP-species-checked": "testedAndGuaranteed", "IP-species-dilution-info": "", "IP-species-notes": "<p></p>", "WB-species-checked": "guaranteed", "WB-species-dilution-info": "", "WB-species-notes": "<p></p>", "ICCIF-species-checked": "testedAndGuaranteed", "ICCIF-species-dilution-info": "", "ICCIF-species-notes": "<p></p>", "IHCP-species-checked": "testedAndGuaranteed", "IHCP-species-dilution-info": "", "IHCP-species-notes": "<p></p>" } } }

製品の詳細

ab246334 is the carrier-free version of ab207727.

Patented technology
Our RabMAb® technology is a patented hybridoma-based technology for making rabbit monoclonal antibodies. For details on our patents, please refer to RabMAb® patents.

What are the advantages of a recombinant monoclonal antibody?
This product is a recombinant monoclonal antibody, which offers several advantages including:

  • - High batch-to-batch consistency and reproducibility
  • - Improved sensitivity and specificity
  • - Long-term security of supply
  • - Animal-free batch production

For more information, read more on recombinant antibodies.

Conjugation ready
Our carrier-free antibodies are typically supplied in a PBS-only formulation, purified and free of BSA, sodium azide and glycerol. This conjugation-ready format is designed for use with fluorochromes, metal isotopes, oligonucleotides, and enzymes, which makes them ideal for antibody labelling, functional and cell-based assays, flow-based assays (e.g. mass cytometry) and Multiplex Imaging applications.

Use our conjugation kits for antibody conjugates that are ready-to-use in as little as 20 minutes with 1 minute hands-on-time and 100% antibody recovery: available for fluorescent dyes, HRP, biotin and gold.

Compatibility
This product is compatible with the Maxpar® Antibody Labeling Kit from Fluidigm, without the need for antibody preparation. Maxpar® is a trademark of Fluidigm Canada Inc.

出荷温度及び保存条件

製品の状態
Liquid
精製方法
Affinity purification Protein A
バッファー組成
pH: 7.2 - 7.4 Constituents: PBS
出荷温度
Blue Ice
短期保存温度
+4°C
長期保存温度
+4°C
保管に関する情報
Do Not Freeze

補足情報

This supplementary information is collated from multiple sources and compiled automatically.

CD22 also known as Siglec-2 or B-lymphocyte cell adhesion molecule (BL-CAM) is a transmembrane protein with a mass of around 140 kDa. It is selectively expressed on the surface of mature B cells and some immature B cells. This protein plays an important role in the immune system particularly in the regulation of B cell function. CD22 functions by modulating signal transduction processes through its cytoplasmic domain which contains immunoreceptor tyrosine-based inhibitory motifs (ITIMs).
Biological function summary

CD22 acts mainly as a negative regulator of B cell receptor (BCR) signaling. It is part of a complex that interacts with the BCR and other accessory molecules. CD22 helps maintain B cell tolerance by inhibiting overactive signaling and preventing autoimmune responses. By binding to sialic acid-containing glycans CD22 modulates interactions between B cells and other cells aiding in the maintenance of immune homeostasis.

Pathways

CD22 plays a critical role in the BCR signaling pathway and the regulation of phosphatidylinositol 3-kinase (PI3K) signaling. It works together with proteins like CD19 and SHP-1 that are key components of these pathways. By influencing these signaling cascades CD22 contributes to the modulation of B cell activation proliferation and apoptosis ensuring proper functioning of the immune response.

CD22 is associated with autoimmune conditions and hematological malignancies such as hairy cell leukemia (HCL). Therapeutic approaches targeting CD22 such as anti-CD22 antibodies are being explored for treating these diseases. CD22's role in these conditions is connected with proteins involved in the autoimmune pathways or cancer development offering potential therapeutic targets for intervention.

製品プロトコール

For this product, it's our understanding that no specific protocols are required. You can visit:

ターゲットの情報

Most highly expressed siglec (sialic acid-binding immunoglobulin-like lectin) on B-cells that plays a role in various aspects of B-cell biology including differentiation, antigen presentation, and trafficking to bone marrow (PubMed : 34330755, PubMed : 8627166). Binds to alpha 2,6-linked sialic acid residues of surface molecules such as CD22 itself, CD45 and IgM in a cis configuration. Can also bind to ligands on other cells as an adhesion molecule in a trans configuration (PubMed : 20172905). Acts as an inhibitory coreceptor on the surface of B-cells and inhibits B-cell receptor induced signaling, characterized by inhibition of the calcium mobilization and cellular activation. Mechanistically, the immunoreceptor tyrosine-based inhibitory motif domain is phosphorylated by the Src kinase LYN, which in turn leads to the recruitment of the protein tyrosine phosphatase 1/PTPN6, leading to the negative regulation of BCR signaling (PubMed : 8627166). If this negative signaling from is of sufficient strength, apoptosis of the B-cell can be induced (PubMed : 20516366).
See full target information CD22

文献 (2)

Recent publications for all applications. Explore the full list and refine your search

Molecular therapy. Nucleic acids 33:698-712 PubMed37662970

2023

Selection of a novel cell-internalizing RNA aptamer specific for CD22 antigen in B cell acute lymphoblastic leukemia.

Applications

Unspecified application

Species

Unspecified reactive species

Dario Ruiz-Ciancio,Li-Hsien Lin,Suresh Veeramani,Maya N Barros,Diego Sanchez,Ary Lautaro Di Bartolo,Diego Masone,Paloma H Giangrande,María Belén Mestre,William H Thiel

eLife 9: PubMed32163370

2020

ATR expands embryonic stem cell fate potential in response to replication stress.

Applications

Unspecified application

Species

Unspecified reactive species

Sina Atashpaz,Sara Samadi Shams,Javier Martin Gonzalez,Endre Sebestyén,Negar Arghavanifard,Andrea Gnocchi,Eliene Albers,Simone Minardi,Giovanni Faga,Paolo Soffientini,Elisa Allievi,Valeria Cancila,Angela Bachi,Óscar Fernández-Capetillo,Claudio Tripodo,Francesco Ferrari,Andrés Joaquin López-Contreras,Vincenzo Costanzo
View all publications

Abcam product promise

当社は、高品質な試薬を通じてお客様の研究を力強くサポートすることをお約束いたします。ご使用いただく各段階で、常にお客様をサポートできる体制を整えております。万が一、製品が期待通りに機能しない場合は、「Abcam Product Promise」による当社保証制度に基づき、安心してご利用いただけます。
保証に関する詳細については利用規約をご確認ください。

Please note: All products are 'FOR RESEARCH USE ONLY. NOT FOR USE IN DIAGNOSTIC OR THERAPEUTIC PROCEDURES'.

For licensing inquiries, please contact partnerships@abcam.com