JavaScript is disabled in your browser. Please enable JavaScript to view this website.
AB207727

Anti-CD22 抗体 [EPR20061]

Anti-CD22 antibody [EPR20061]

4

(2 Reviews)

|

(7 Publications)

Rabbit Recombinant Monoclonal CD22 antibody. Suitable for IP, WB, ICC/IF, IHC-P and reacts with Human samples. Cited in 7 publications.

別名を表示する

CD22, SIGLEC2, B-cell receptor CD22, B-lymphocyte cell adhesion molecule, Sialic acid-binding Ig-like lectin 2, T-cell surface antigen Leu-14, BL-CAM, Siglec-2

10 Images
Immunocytochemistry/ Immunofluorescence - Anti-CD22 antibody [EPR20061] (AB207727)
  • ICC/IF

Supplier Data

Immunocytochemistry/ Immunofluorescence - Anti-CD22 antibody [EPR20061] (AB207727)

Immunofluorescent analysis of 100% methanol-fixed Daudi (Human Burkitt's lymphoma cell line) cells labeling CD22 with ab207727 at 1/100 dilution, followed by Goat anti-rabbit IgG (Alexa Fluor® 488) (ab150077) secondary antibody at 1/1000 dilution (green). Confocal image showing cytoplasmic staining on Daudi cell line.

The nuclear counter stain is DAPI (blue). Tubulin is detected with ab195889 (Anti-alpha Tubulin antibody [DM1A] - Microtubule Marker (Alexa Fluor® 594)) at 1/200 dilution (red).

Secondary antibody only control : Used PBS instead of primary antibody, secondary antibody is Goat anti-rabbit IgG (Alexa Fluor® 488) (ab150077) at 1/1000 dilution.

Immunocytochemistry/ Immunofluorescence - Anti-CD22 antibody [EPR20061] (AB207727)
  • ICC/IF

Supplier Data

Immunocytochemistry/ Immunofluorescence - Anti-CD22 antibody [EPR20061] (AB207727)

Immunofluorescent analysis of 100% methanol-fixed Raji (Human Burkitt's lymphoma cell line) cells labeling CD22 with ab207727 at 1/100 dilution, followed by Goat anti-rabbit IgG (Alexa Fluor® 488) (ab150077) secondary antibody at 1/1000 dilution (green). Confocal image showing cytoplasmic staining on Raji cell line.

The nuclear counter stain is DAPI (blue). Tubulin is detected with ab195889 (Anti-alpha Tubulin antibody [DM1A] - Microtubule Marker (Alexa Fluor® 594)) at 1/200 dilution (red).

Secondary antibody only control : Used PBS instead of primary antibody, secondary antibody is Goat anti-rabbit IgG (Alexa Fluor® 488) (ab150077) at 1/1000 dilution.

Immunohistochemistry (Formalin/PFA-fixed paraffin-embedded sections) - Anti-CD22 antibody [EPR20061] (AB207727)
  • IHC-P

Supplier Data

Immunohistochemistry (Formalin/PFA-fixed paraffin-embedded sections) - Anti-CD22 antibody [EPR20061] (AB207727)

Immunohistochemical analysis of paraffin-embedded human thymoma tissue labeling CD22 with ab207727 at 1/2000 dilution, followed by Goat Anti-Rabbit IgG H&L (HRP) (ab97051) at 1/500 dilution.

Negative control : no staining on human thymoma [PMID : 11967115].

Counter stained with Hematoxylin.

Perform heat mediated antigen retrieval with Tris/EDTA buffer pH 9.0 before commencing with IHC staining protocol.

Immunohistochemistry (Formalin/PFA-fixed paraffin-embedded sections) - Anti-CD22 antibody [EPR20061] (AB207727)
  • IHC-P

Supplier Data

Immunohistochemistry (Formalin/PFA-fixed paraffin-embedded sections) - Anti-CD22 antibody [EPR20061] (AB207727)

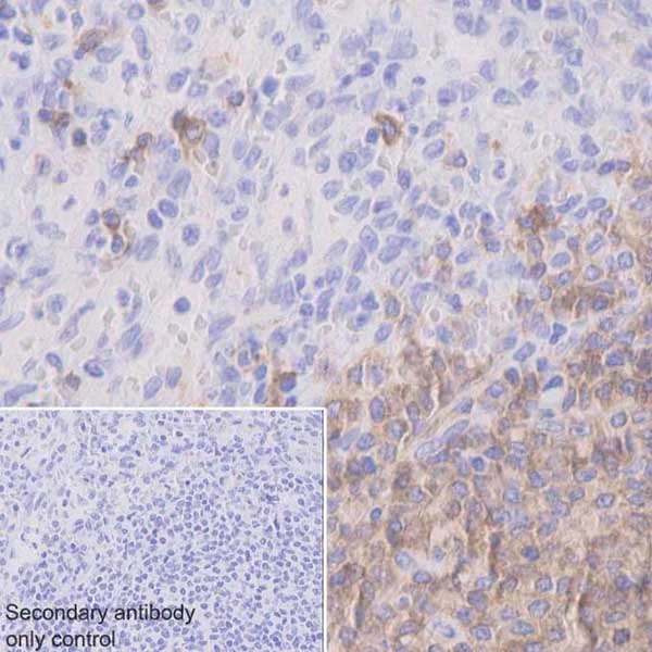
Immunohistochemical analysis of paraffin-embedded human spleen tissue labeling CD22 with ab207727 at 1/2000 dilution, followed by Goat Anti-Rabbit IgG H&L (HRP) (ab97051) at 1/500 dilution. Membranous and cytoplasmic staining on B cells of human spleen [PMID : 11967115]. Counter stained with Hematoxylin.

Secondary antibody only control : Used PBS instead of primary antibody, secondary antibody is Goat Anti-Rabbit IgG H&L (HRP) (ab97051) at 1/500 dilution.

Perform heat mediated antigen retrieval with Tris/EDTA buffer pH 9.0 before commencing with IHC staining protocol.

Immunohistochemistry (Formalin/PFA-fixed paraffin-embedded sections) - Anti-CD22 antibody [EPR20061] (AB207727)
  • IHC-P

Supplier Data

Immunohistochemistry (Formalin/PFA-fixed paraffin-embedded sections) - Anti-CD22 antibody [EPR20061] (AB207727)

Immunohistochemical analysis of paraffin-embedded human tonsil tissue labeling CD22 with ab207727 at 1/2000 dilution, followed by Goat Anti-Rabbit IgG H&L (HRP) (ab97051) at 1/500 dilution. Membranous and cytoplasmic staining on B cells of human tonsil [PMID : 11967115]. Counter stained with Hematoxylin.

Secondary antibody only control : Used PBS instead of primary antibody, secondary antibody is Goat Anti-Rabbit IgG H&L (HRP) (ab97051) at 1/500 dilution.

Perform heat mediated antigen retrieval with Tris/EDTA buffer pH 9.0 before commencing with IHC staining protocol.

Immunoprecipitation - Anti-CD22 antibody [EPR20061] (AB207727)
  • IP

Supplier Data

Immunoprecipitation - Anti-CD22 antibody [EPR20061] (AB207727)

CD22 was immunoprecipitated from 0.35 mg of Human tonsil lysate with ab207727 at 1/30 dilution. Western blot was performed from the immunoprecipitate using ab207727 at 1/500 dilution. VeriBlot for IP Detection Reagent (HRP) (ab131366), was used for detection at 1/1000 dilution.

Lane 1 : Human tonsil lysate, 10 μg (Input).

Lane 2 : ab207727 IP in Human tonsil lysate.

Lane 3 : Rabbit monoclonal IgG (ab172730) instead of ab207727 in Human tonsil lysate.

Blocking and dilution buffer and concentration : 5% NFDM/TBST.

Exposure time : 10 seconds.

All lanes:

Immunoprecipitation - Anti-CD22 antibody [EPR20061] (ab207727)

Predicted band size: 95 kDa

Observed band size: 130 kDa

false

Immunoprecipitation - Anti-CD22 antibody [EPR20061] (AB207727)
  • IP

Supplier Data

Immunoprecipitation - Anti-CD22 antibody [EPR20061] (AB207727)

CD22 was immunoprecipitated from 0.35 mg of Raji (Human Burkitt's lymphoma cell line) whole cell lysate with ab207727 at 1/30 dilution. Western blot was performed from the immunoprecipitate using ab207727 at 1/2000 dilution. VeriBlot for IP Detection Reagent (HRP) (ab131366), was used for detection at 1/1000 dilution.

Lane 1 : Raji whole cell lysate, 10 μg (Input).

Lane 2 : ab207727 IP in Raji whole cell lysate.

Lane 3 : Rabbit monoclonal IgG (ab172730) instead of ab207727 in Raji whole cell lysate.

Blocking and dilution buffer and concentration : 5% NFDM/TBST.

Exposure time : 10 seconds.

All lanes:

Immunoprecipitation - Anti-CD22 antibody [EPR20061] (ab207727)

Predicted band size: 95 kDa

Observed band size: 130 kDa

false

Western blot - Anti-CD22 antibody [EPR20061] (AB207727)
  • WB

Supplier Data

Western blot - Anti-CD22 antibody [EPR20061] (AB207727)

All lanes:

Western blot - Anti-CD22 (phospho Y807) antibody [Y505] (<a href='/products/primary-antibodies/cd22-phospho-y807-antibody-y505-ab32040'>ab32040</a>) at 10000 kDa

Lane 1:

Jurkat (Human T cell leukemia T lymphocyte) whole cell lysate at 15 µg

Lane 2:

Jurkat (Human T cell leukemia T lymphocyte) treated with 10mM Pervanadate for 30 min whole cell lysate at 15 µg

Lane 3:

Jurkat (Human T cell leukemia T lymphocyte) treated with 10mM Pervanadate for 30 min whole cell lysate, then the membrane was incubated with alkaline phosphatase for 1 hour at 15 µg

Predicted band size: 95 kDa

Observed band size: 150 kDa

false

Exposure time: 40s

Western blot - Anti-CD22 antibody [EPR20061] (AB207727)
  • WB

Supplier Data

Western blot - Anti-CD22 antibody [EPR20061] (AB207727)

Blocking/Dilution buffer : 5% NFDM/TBST.

Exposure times : Lane 1 : 3 seconds; Lane 2/3 : 1 second; Lane 4 : 8 seconds.

The expression profile/ molecular weight observed is consistent with what has been described in the literature (PMID : 24264377 & 21178016).

Lanes 1 and 4:

Western blot - Anti-CD22 antibody [EPR20061] (ab207727) at 1/2000 dilution

Lanes 2 - 3:

Western blot - Anti-CD22 antibody [EPR20061] (ab207727) at 1/10000 dilution

Lane 1:

Ramos (Human Burkitt's lymphoma cell line) whole cell lysate at 20 µg

Lane 2:

Daudi (Human Burkitt's lymphoma cell line) whole cell lysate at 20 µg

Lane 3:

Raji (Human Burkitt's lymphoma cell line) whole cell lysate at 20 µg

Lane 4:

Human tonsil lysate at 20 µg

Secondary

All lanes:

Western blot - Goat Anti-Rabbit IgG H&L (HRP) (<a href='/products/secondary-antibodies/goat-rabbit-igg-h-l-hrp-ab97051'>ab97051</a>) at 1/100000 dilution

Predicted band size: 95 kDa

Observed band size: 130 kDa

false

Western blot - Anti-CD22 antibody [EPR20061] (AB207727)
  • WB

Supplier Data

Western blot - Anti-CD22 antibody [EPR20061] (AB207727)

Blocking/Dilution buffer : 5% NFDM/TBST.

The expression profile/ molecular weight observed is consistent with what has been described in the literature (PMID : 24264377 & 21178016).

All lanes:

Western blot - Anti-CD22 antibody [EPR20061] (ab207727) at 1/1000 dilution

All lanes:

Human fetal spleen lysate at 10 µg

Secondary

All lanes:

Western blot - VeriBlot for IP Detection Reagent (HRP) (<a href='/products/reagents/veriblot-for-ip-detection-reagent-hrp-ab131366'>ab131366</a>) at 1/4000 dilution

Predicted band size: 95 kDa

Observed band size: 130 kDa

false

Exposure time: 3min

関連する標識済み抗体及び組成の異なる製品 (1)

  • Carrier free

    Anti-CD22 antibody [EPR20061] - BSA and Azide free

Key facts

宿主種

Rabbit

クローン性

Monoclonal

クローン番号

EPR20061

アイソタイプ

IgG

キャリアフリー

No

交差種

Human

アプリケーション

ICC/IF, WB, IHC-P, IP

applications

免疫原

The exact immunogen used to generate this antibody is proprietary information.

Reactivity data

{ "title": "Reactivity Data", "filters": { "stats": ["", "Species", "Dilution Info", "Notes"], "tabs": { "all-applications": {"fullname" : "All Applications", "shortname": "All Applications"}, "IP" : {"fullname" : "Immunoprecipitation", "shortname":"IP"}, "WB" : {"fullname" : "Western blot", "shortname":"WB"}, "ICCIF" : {"fullname" : "Immunocytochemistry/ Immunofluorescence", "shortname":"ICC/IF"}, "IHCP" : {"fullname" : "Immunohistochemistry (Formalin/PFA-fixed paraffin-embedded sections)", "shortname":"IHC-P"} }, "product-promise": { "all": "all", "testedAndGuaranteed": "tested", "guaranteed": "expected", "predicted": "predicted", "notRecommended": "not-recommended" } }, "values": { "Human": { "IP-species-checked": "testedAndGuaranteed", "IP-species-dilution-info": "1/30", "IP-species-notes": "<p></p>", "WB-species-checked": "testedAndGuaranteed", "WB-species-dilution-info": "1/1000", "WB-species-notes": "<p></p>", "ICCIF-species-checked": "testedAndGuaranteed", "ICCIF-species-dilution-info": "1/100", "ICCIF-species-notes": "<p></p>", "IHCP-species-checked": "testedAndGuaranteed", "IHCP-species-dilution-info": "1/2000", "IHCP-species-notes": "<p></p>" } } }

製品の詳細

Patented technology
Our RabMAb® technology is a patented hybridoma-based technology for making rabbit monoclonal antibodies. For details on our patents, please refer to RabMAb® patents.

What are the advantages of a recombinant monoclonal antibody?
This product is a recombinant monoclonal antibody, which offers several advantages including:

  • - High batch-to-batch consistency and reproducibility
  • - Improved sensitivity and specificity
  • - Long-term security of supply
  • - Animal-free batch production

For more information, read more on recombinant antibodies.

出荷温度及び保存条件

製品の状態
Liquid
精製方法
Affinity purification Protein A
バッファー組成
pH: 7.2 - 7.4 Preservative: 0.01% Sodium azide Constituents: PBS, 40% Glycerol (glycerin, glycerine), 0.05% BSA
出荷温度
Blue Ice
短期保存期間
1-2 weeks
短期保存温度
+4°C
長期保存温度
-20°C
分注に関する情報
Upon delivery aliquot
保管に関する情報
Avoid freeze / thaw cycle

補足情報

This supplementary information is collated from multiple sources and compiled automatically.

CD22 also known as Siglec-2 or B-lymphocyte cell adhesion molecule (BL-CAM) is a transmembrane protein with a mass of around 140 kDa. It is selectively expressed on the surface of mature B cells and some immature B cells. This protein plays an important role in the immune system particularly in the regulation of B cell function. CD22 functions by modulating signal transduction processes through its cytoplasmic domain which contains immunoreceptor tyrosine-based inhibitory motifs (ITIMs).
Biological function summary

CD22 acts mainly as a negative regulator of B cell receptor (BCR) signaling. It is part of a complex that interacts with the BCR and other accessory molecules. CD22 helps maintain B cell tolerance by inhibiting overactive signaling and preventing autoimmune responses. By binding to sialic acid-containing glycans CD22 modulates interactions between B cells and other cells aiding in the maintenance of immune homeostasis.

Pathways

CD22 plays a critical role in the BCR signaling pathway and the regulation of phosphatidylinositol 3-kinase (PI3K) signaling. It works together with proteins like CD19 and SHP-1 that are key components of these pathways. By influencing these signaling cascades CD22 contributes to the modulation of B cell activation proliferation and apoptosis ensuring proper functioning of the immune response.

CD22 is associated with autoimmune conditions and hematological malignancies such as hairy cell leukemia (HCL). Therapeutic approaches targeting CD22 such as anti-CD22 antibodies are being explored for treating these diseases. CD22's role in these conditions is connected with proteins involved in the autoimmune pathways or cancer development offering potential therapeutic targets for intervention.

製品プロトコール

For this product, it's our understanding that no specific protocols are required. You can visit:

ターゲットの情報

Most highly expressed siglec (sialic acid-binding immunoglobulin-like lectin) on B-cells that plays a role in various aspects of B-cell biology including differentiation, antigen presentation, and trafficking to bone marrow (PubMed : 34330755, PubMed : 8627166). Binds to alpha 2,6-linked sialic acid residues of surface molecules such as CD22 itself, CD45 and IgM in a cis configuration. Can also bind to ligands on other cells as an adhesion molecule in a trans configuration (PubMed : 20172905). Acts as an inhibitory coreceptor on the surface of B-cells and inhibits B-cell receptor induced signaling, characterized by inhibition of the calcium mobilization and cellular activation. Mechanistically, the immunoreceptor tyrosine-based inhibitory motif domain is phosphorylated by the Src kinase LYN, which in turn leads to the recruitment of the protein tyrosine phosphatase 1/PTPN6, leading to the negative regulation of BCR signaling (PubMed : 8627166). If this negative signaling from is of sufficient strength, apoptosis of the B-cell can be induced (PubMed : 20516366).
See full target information CD22

文献 (7)

Recent publications for all applications. Explore the full list and refine your search

Nature communications 16:3516 PubMed40229254

2025

Parallel comparison of T cell and B cell subpopulations of adenoid hypertrophy and tonsil hypertrophy of children.

Applications

Unspecified application

Species

Unspecified reactive species

Zihui Yu,Ziying Xu,Tongtong Fu,Shiyu Liu,Jinghua Cui,Bing Zhang,Jieqiong Liang,Chong Pang,Yuehua Ke,Ruikun Wang,Zhijie Tang,Yagang Gao,Bing Du,Yanling Feng,Hanqing Zhao,Guanhua Xue,Chao Yan,Lin Gan,Junxia Feng,Zheng Fan,Yang Yang,Lijuan Huang,Shuo Zhao,Sun Ying,Qinglong Gu,Jing Yuan

Journal of neuroinflammation 22:32 PubMed39910617

2025

CD22 modulation alleviates amyloid β-induced neuroinflammation.

Applications

Unspecified application

Species

Unspecified reactive species

Yu Dong Mai,Qingqing Zhang,Cheuk Lim Fung,Shui On Leung,Chi Ho Chong

Cell reports. Medicine 5:101627 PubMed38964315

2024

Personalized drug screening using patient-derived organoid and its clinical relevance in gastric cancer.

Applications

Unspecified application

Species

Unspecified reactive species

Yi Zhao,Shangru Li,Lefan Zhu,Mingle Huang,Yubin Xie,Xinming Song,Zhihui Chen,Harry Cheuk-Hay Lau,Joseph Jao-Yiu Sung,Lixia Xu,Jun Yu,Xiaoxing Li

Journal of translational medicine 21:710 PubMed37817249

2023

CD22 is a potential target of CAR-NK cell therapy for esophageal squamous cell carcinoma.

Applications

Unspecified application

Species

Unspecified reactive species

Tingdang Liu,Ximing Dai,Yien Xu,Tian Guan,Liangli Hong,Tahir Zaib,Qi Zhou,Ke Cheng,Xiaoling Zhou,Changchun Ma,Pingnan Sun

Glycobiology 33:732-744 PubMed37498177

2023

A photoaffinity glycan-labeling approach to investigate immunoglobulin glycan-binding partners.

Applications

Unspecified application

Species

Unspecified reactive species

Miles D Holborough-Kerkvliet,Greta Mucignato,Sam J Moons,Venetia Psomiadou,Rohit S R Konada,Nichole J Pedowitz,Matthew R Pratt,Theresa Kissel,Carolien A M Koeleman,Rayman T N Tjokrodirijo,Petrus A van Veelen,Thomas Huizinga,Karin A J van Schie,Manfred Wuhrer,Jennifer J Kohler,Kimberly M Bonger,Thomas J Boltje,Reinaldus E M Toes

International journal of molecular sciences 24: PubMed36768478

2023

Expression of CD22 in Triple-Negative Breast Cancer: A Novel Prognostic Biomarker and Potential Target for CAR Therapy.

Applications

Unspecified application

Species

Unspecified reactive species

Tahir Zaib,Ke Cheng,Tingdang Liu,Ruyi Mei,Qin Liu,Xiaoling Zhou,Lifang He,Hibba Rashid,Qingdong Xie,Hanif Khan,Yien Xu,Pingnan Sun,Jundong Wu

NPJ Regenerative medicine 7:14 PubMed35110584

2022

CDH18 is a fetal epicardial biomarker regulating differentiation towards vascular smooth muscle cells.

Applications

Unspecified application

Species

Unspecified reactive species

Julia Junghof,Yuta Kogure,Tian Yu,Eva María Verdugo-Sivianes,Megumi Narita,Antonio Lucena-Cacace,Yoshinori Yoshida
View all publications

Abcam product promise

当社は、高品質な試薬を通じてお客様の研究を力強くサポートすることをお約束いたします。ご使用いただく各段階で、常にお客様をサポートできる体制を整えております。万が一、製品が期待通りに機能しない場合は、「Abcam Product Promise」による当社保証制度に基づき、安心してご利用いただけます。
保証に関する詳細については利用規約をご確認ください。

Please note: All products are 'FOR RESEARCH USE ONLY. NOT FOR USE IN DIAGNOSTIC OR THERAPEUTIC PROCEDURES'.

For licensing inquiries, please contact partnerships@abcam.com