JavaScript is disabled in your browser. Please enable JavaScript to view this website.
AB227688

Anti-CD19 抗体 [SP291] - C-terminal

Anti-CD19 antibody [SP291] - C-terminal

  • BOND RX™ Validated
  • RabMAb
  • Recombinant
  • Lab Essentials
  • 20ul selling size
  • Advanced Validation
  • 詳細を見る

3

(1 Review)

|

(3 Publications)

Rabbit Recombinant Monoclonal CD19 antibody. C-terminal. Suitable for mIHC, Flow Cyt (Intra), WB, IHC-P and reacts with Human, Serinus canarius, Cat, Chicken, Horse, Llama, Pigeon samples. Cited in 3 publications.

別名を表示する

CD19, B-lymphocyte antigen CD19, B-lymphocyte surface antigen B4, Differentiation antigen CD19, T-cell surface antigen Leu-12

26 Images
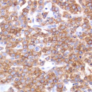
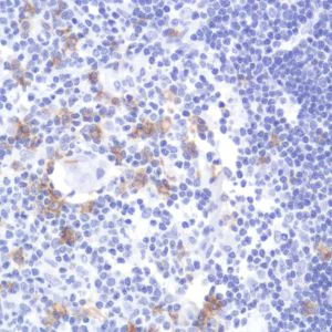
Immunohistochemistry (Formalin/PFA-fixed paraffin-embedded sections) - Anti-CD19 antibody [SP291] - C-terminal (AB227688)
  • IHC-P

Lab

Immunohistochemistry (Formalin/PFA-fixed paraffin-embedded sections) - Anti-CD19 antibody [SP291] - C-terminal (AB227688)

Immunohistochemical analysis of paraffin-embedded human tonsil tissue labeling CD19 with ab227688 at 1/100 (0.15 ug/ml) dilution, followed by a ready to use rabbit specific IHC polymer detection kit HRP/DAB (ab209101).

Positive staining in human tonsil.
The section was incubated with ab227688 for 10 mins at room temperature.
The immunostaining was performed on a Leica Biosystems BOND® RX instrument.

Counterstained with Hematoxylin.

Secondary antibody only control : Secondary antibody is a ready to use rabbit specific IHC polymer detection kit HRP/DAB (ab209101).

Heat mediated antigen retrieval was performed with Citrate buffer (pH 6.0, Epitope Retrieval Solution 1) for 20 mins.

Multiplex immunohistochemistry - Anti-CD19 antibody [SP291] - C-terminal (AB227688)
  • mIHC

Supplier Data

Multiplex immunohistochemistry - Anti-CD19 antibody [SP291] - C-terminal (AB227688)

This data was developed using ab237772, the same antibody clone in a different buffer formulation.

Multiplex immunohistochemistry analysis of formalin/PFA-fixed paraffin-embedded Human spleen tissue labeling CD8 alpha with ab245118 at 1/500 dilution, CD4 with ab238798 at 1/500, and CD19 with ab237772 at 1/5000 dilution.

Panel A : merged staining of anti-CD8 alpha (magenta; Opal™690), anti-CD4 (green; Opal™520) and anti-CD19 (red; Opal™570) on human spleen.
Panel B : anti-CD8 alpha stained on cytotoxic T cells.
Panel C : anti-CD4 stained on T helper cells.
Panel D : anti-CD19 stained on B cells.

Sections were treated using heat mediated antigen retrieval with Tris-EDTA buffer (pH 9.0, epitope retrieval solution2) for 20 mins before antibody incubation. The section was incubated in three rounds of staining : in the order of ab245118 for 30 mins, then ab238798 and ab237772 for 10 mins at room temperature. Each round was followed by a separate fluorescent tyramide signal amplification system.

DAPI was used as a nuclear counterstain.

The immunostaining was performed on a Leica Biosystems BOND® RX instrument with an Opal™ 4-color kit. Image acquisition was performed with Leica SP8 confocal microscope.

Multiplex immunohistochemistry - Anti-CD19 antibody [SP291] - C-terminal (AB227688)
  • mIHC

Supplier Data

Multiplex immunohistochemistry - Anti-CD19 antibody [SP291] - C-terminal (AB227688)

This data was developed using ab237772, the same antibody clone in a different buffer formulation.

Multiplex immunohistochemistry analysis of formalin/PFA-fixed paraffin-embedded Human tonsil tissue labeling CD8 alpha with ab245118 at 1/500 dilution, CD4 with ab238798 at 1/500, and CD19 with ab237772 at 1/5000 dilution.

Panel A : merged staining of anti-CD8 alpha (magenta; Opal™690), anti-CD4 (green; Opal™520) and anti-CD19 (red; Opal™570) on human tonsil.
Panel B : anti-CD8 alpha stained on cytotoxic T cells.
Panel C : anti-CD4 stained on T helper cells.
Panel D : anti-CD19 stained on B cells.

Sections were treated using heat mediated antigen retrieval with Tris-EDTA buffer (pH 9.0, epitope retrieval solution2) for 20 mins before antibody incubation. The section was incubated in three rounds of staining : in the order of ab245118 for 30 mins, then ab238798 and ab237772 for 10 mins at room temperature. Each round was followed by a separate fluorescent tyramide signal amplification system.

DAPI was used as a nuclear counterstain.

The immunostaining was performed on a Leica Biosystems BOND® RX instrument with an Opal™ 4-color kit. Image acquisition was performed with Leica SP8 confocal microscope.

Multiplex immunohistochemistry - Anti-CD19 antibody [SP291] - C-terminal (AB227688)
  • mIHC

Lab

Multiplex immunohistochemistry - Anti-CD19 antibody [SP291] - C-terminal (AB227688)

Panel A : merged staining of anti-CD68 (magenta; Opal™690), anti-CD3 epsilon (green; Opal™520) and anti-CD19 (red; Opal™570) on Formalin/PFA-fixed paraffin-embedded sections of human spleen. Secondary antibody was Opal Polymer HRP Ms + Rb, and couterstaining was with DAPI. Panel B : anti-CD3 epsilon stained on T cells with ab16669 at 1/500 dilution Panel C : anti-CD19 stained on B cells with ab237772 at 1/5000 dilution Panel D : anti-CD68 stained on macrophages with ab213363 1/500 dilution The section was incubated in three rounds of staining : in the order of ab213363 and ab16669 for 30 mins, then ab237772 for 10 mins at room temperature. Each round was followed by a separate fluorescent tyramide signal amplification system. Heat mediated antigen retrieval with Tris-EDTA buffer (pH 9.0, epitope retrieval solution2) for 20 mins. The immunostaining was performed on a Leica Biosystems BOND® RX instrument with an Opal™ 4-color kit. Image acquisition was performed with Leica SP8 confocal microscope.

Multiplex immunohistochemistry - Anti-CD19 antibody [SP291] - C-terminal (AB227688)
  • mIHC

Lab

Multiplex immunohistochemistry - Anti-CD19 antibody [SP291] - C-terminal (AB227688)

Multiplex immunohistochemistry analysis of formalin/PFA-fixed paraffin-embedded human spleen tissue staining TCR delta with ab313573 at a 1/500 dilution, ab16669 anti-CD3 used at 1/100 dilution and ab227688 anti-CD19 used at a 1/100 dilution.

Panel A : merged staining of anti-TCR delta (green; Opal520), anti-CD3 (magenta; Opal570) and anti-CD19 (yellow; Opal690) on human colon.
Panel B : anti-TCR delta staining immune cells in human colon.
Panel C : anti-CD3 staining T lymphocytes in human colon.
Panel D : anti-CD19 staining B lymphocytes in human colon.
Nuclear DNA was labeled with DAPI (shown in blue).

The section was incubated in three rounds of staining : in the order of ab313573, ab16669 and ab227688 for 30 mins at room temperature. Each round was followed by a separate fluorescent tyramide signal amplification system.

The immunostaining was performed on a Leica Biosystems BOND® RX instrument with an Opal 4-color kit. Image acquisition was performed with Leica SP8 confocal microscope.

Nuclear counter stain with DAPI.

Heat mediated antigen retrieval was performed with Citrate buffer (pH 6.0, Epitope Retrieval Solution 1) for 20 mins..

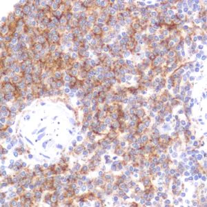
Immunohistochemistry (Formalin/PFA-fixed paraffin-embedded sections) - Anti-CD19 antibody [SP291] - C-terminal (AB227688)
  • IHC-P

Supplier Data

Immunohistochemistry (Formalin/PFA-fixed paraffin-embedded sections) - Anti-CD19 antibody [SP291] - C-terminal (AB227688)

Formalin-fixed, paraffin-embedded human thymus tissue stained for CD19 using ab227688 at 1/100 dilution in immunohistochemical analysis.

Immunohistochemistry (Formalin/PFA-fixed paraffin-embedded sections) - Anti-CD19 antibody [SP291] - C-terminal (AB227688)
  • IHC-P

Supplier Data

Immunohistochemistry (Formalin/PFA-fixed paraffin-embedded sections) - Anti-CD19 antibody [SP291] - C-terminal (AB227688)

Formalin-fixed, paraffin-embedded human spleen tissue stained for CD19 using ab227688 at 1/100 dilution in immunohistochemical analysis.

Flow Cytometry (Intracellular) - Anti-CD19 antibody [SP291] - C-terminal (AB227688)
  • Flow Cyt (Intra)

Supplier Data

Flow Cytometry (Intracellular) - Anti-CD19 antibody [SP291] - C-terminal (AB227688)

Flow Cytometry analysis of Ramos (human Burkitt's lymphoma cell line) cells, labeling CD19 with ab227688 at 1/400 dilution (green) compared to a Rabbit IgG negative control (blue).

Immunohistochemistry (Formalin/PFA-fixed paraffin-embedded sections) - Anti-CD19 antibody [SP291] - C-terminal (AB227688)
  • IHC-P

Supplier Data

Immunohistochemistry (Formalin/PFA-fixed paraffin-embedded sections) - Anti-CD19 antibody [SP291] - C-terminal (AB227688)

Formalin-fixed, paraffin-embedded human B-Cell lymphoma tissue stained for CD19 using ab227688 at 1/100 dilution in immunohistochemical analysis.

Flow Cytometry (Intracellular) - Anti-CD19 antibody [SP291] - C-terminal (AB227688)
  • Flow Cyt (Intra)

Unknown

Flow Cytometry (Intracellular) - Anti-CD19 antibody [SP291] - C-terminal (AB227688)

Flow cytometry analysis of Raji (human Burkitt's lymphoma) labeling CD19 with purified ab227688 at 1/20 dilution (7.5 μg/ml) (red). Cells were fixed with 4% paraformaldehyde and permeabilised with 90% methanol. Goat anti rabbit IgG (Alexa Fluor® 488, ab150077) at 1/2000 dilution was used as a secondary antibody. Isotype control - Rabbit monoclonal IgG (ab172730) (Black). Unlableled control - Unlabelled cells (blue).

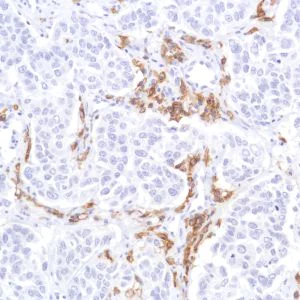
Immunohistochemistry (Formalin/PFA-fixed paraffin-embedded sections) - Anti-CD19 antibody [SP291] - C-terminal (AB227688)
  • IHC-P

Supplier Data

Immunohistochemistry (Formalin/PFA-fixed paraffin-embedded sections) - Anti-CD19 antibody [SP291] - C-terminal (AB227688)

Formalin-fixed, paraffin-embedded human breast ductal carcinoma tissue stained for CD19 using ab227688 at 1/100 dilution in immunohistochemical analysis.

Immunohistochemistry (Formalin/PFA-fixed paraffin-embedded sections) - Anti-CD19 antibody [SP291] - C-terminal (AB227688)
  • IHC-P

Collaborator

Immunohistochemistry (Formalin/PFA-fixed paraffin-embedded sections) - Anti-CD19 antibody [SP291] - C-terminal (AB227688)

The BOND™ Polymer Refine Detection System on the BOND RX Automated Stainer (DS9800, Leica Biosystems, Wetzlar, Germany) was used for immunohistochemical labelling of formalin-fixed, paraffin-embedded (FFPE) tissues. The protocol includes a peroxide block, post-primary reagent, polymer detection, DAB chromogen, and haematoxylin counterstain, all automated to minimize variability. Antigen retrieval was performed by heat-induced epitope retrieval (HIER) for 20 minutes in Tris-EDTA buffer (BOND Epitope Retrieval Solution 2, AR9640, Leica Biosystems, Wetzlar, Germany). For mouse and rabbit antibodies, the sequence comprised peroxide block (10 min), primary antibody incubation (30 min), post-primary (10 min), polymer (10 min), DAB (10 min), and haematoxylin (8 min). For rat antibodies, an anti-rat step (1 : 300 dilution, Vector Laboratories, California, USA; 20 min) was included prior to polymer application (15 min).

Immunohistochemistry (Formalin/PFA-fixed paraffin-embedded sections) - Anti-CD19 antibody [SP291] - C-terminal (AB227688)
  • IHC-P

Supplier Data

Immunohistochemistry (Formalin/PFA-fixed paraffin-embedded sections) - Anti-CD19 antibody [SP291] - C-terminal (AB227688)

Formalin-fixed, paraffin-embedded human colon tissue stained for CD19 using ab227688 at 1/100 dilution in immunohistochemical analysis.

Multiplex immunohistochemistry - Anti-CD19 antibody [SP291] - C-terminal (AB227688)
  • mIHC

Supplier Data

Multiplex immunohistochemistry - Anti-CD19 antibody [SP291] - C-terminal (AB227688)

This data was developed using ab237772, the same antibody clone in a different buffer formulation.

Immunohistochemistry (Formalin/PFA-fixed paraffin-embedded sections) analysis of Human liver cancer labelling CD208 with ab281573 at 1/1200 (B), CD3E with ab237707 at 1/1200 dilution (C) and CD19 with ab237772 at 1/1200 dilution(D). Opal Polymer HRP Ms + Rb was used as a secondary antibody, and DAPI was used for a nuclear counter stain. Heat mediated antigen retrieval with Tris-EDTA buffer (pH 9.0, epitope retrieval solution2) for 20 mins.

Panel A : merged staining of anti-CD208 (red; Opal™570), anti-CD3E (green; Opal™520) and anti-CD19 (magenta; Opal™690) on human liver cancer.

Panel B : anti-CD208 staining dendritic cells in human liver cancer.

Panel C : anti-CD3E staining T lymphocytes in human liver cancer.

Panel D : anti-CD19 staining B lymphocytes of human liver cancer.

The section was incubated in three rounds of staining : in the order ab281573, ab237707, and ab237772 for 30 mins at room temperature. Each round was followed by a separate fluorescent tyramide signal amplification system.

The immunostaining was performed on a Leica Biosystems BOND® RX instrument with an Opal™ 4-color kit. Image acquisition was performed with Leica SP8 confocal microscope.

Multiplex immunohistochemistry - Anti-CD19 antibody [SP291] - C-terminal (AB227688)
  • mIHC

Supplier Data

Multiplex immunohistochemistry - Anti-CD19 antibody [SP291] - C-terminal (AB227688)

This data was developed using ab237772, the same antibody clone in a different buffer formulation.

Immunohistochemistry (Formalin/PFA-fixed paraffin-embedded sections) analysis of Human tonsil labelling CD208 with ab281573 at 1/1200 (B), CD3E with ab237707 at 1/1200 dilution (C) and CD19 with ab237772 at 1/1200 dilution(D). Opal Polymer HRP Ms + Rb was used as a secondary antibody, and DAPI was used for a nuclear counter stain. Heat mediated antigen retrieval with Tris-EDTA buffer (pH 9.0, epitope retrieval solution2) for 20 mins.

Panel A : merged staining of anti-CD208 (red; Opal™570), anti-CD3E (green; Opal™520) and anti-CD19 (magenta; Opal™690) on human tonsil.
Panel B : anti-CD208 staining dendritic cells in human tonsil.
Panel C : anti-CD3E staining T lymphocytes in human tonsil.
Panel D : anti-CD19 staining B lymphocytes of human tonsil.

The section was incubated in three rounds of staining : in the order ab281573, ab237707, and ab237772 for 30 mins at room temperature. Each round was followed by a separate fluorescent tyramide signal amplification system.

The immunostaining was performed on a Leica Biosystems BOND® RX instrument with an Opal™ 4-color kit. Image acquisition was performed with Leica SP8 confocal microscope.

Multiplex immunohistochemistry - Anti-CD19 antibody [SP291] - C-terminal (AB227688)
  • mIHC

Supplier Data

Multiplex immunohistochemistry - Anti-CD19 antibody [SP291] - C-terminal (AB227688)

This data was developed using ab237772, the same antibody clone in a different buffer formulation.

Immunohistochemistry (Formalin/PFA-fixed paraffin-embedded sections) analysis of Human colon labelling CD208 with ab281573 at 1/1200 (B), CD3E with ab237707 at 1/1200 dilution (C) and CD19 with ab237772 at 1/1200 dilution(D). Opal Polymer HRP Ms + Rb was used as a secondary antibody, and DAPI was used for a nuclear counter stain. Heat mediated antigen retrieval with Tris-EDTA buffer (pH 9.0, epitope retrieval solution2) for 20 mins.

Panel A : merged staining of anti-CD208 (red; Opal™570), anti-CD3E (green; Opal™520) and anti-CD19 (magenta; Opal™690) on human colon.

Panel B : anti-CD208 staining dendritic cells in human colon.

Panel C : anti-CD3E staining T lymphocytes in human colon.

Panel D : anti-CD19 staining B lymphocytes of human colon.

The section was incubated in three rounds of staining : in the order ab281573, ab237707, and ab237772 for 30 mins at room temperature. Each round was followed by a separate fluorescent tyramide signal amplification system.

The immunostaining was performed on a Leica Biosystems BOND® RX instrument with an Opal™ 4-color kit. Image acquisition was performed with Leica SP8 confocal microscope.

Multiplex immunohistochemistry - Anti-CD19 antibody [SP291] - C-terminal (AB227688)
  • mIHC

Supplier Data

Multiplex immunohistochemistry - Anti-CD19 antibody [SP291] - C-terminal (AB227688)

This data was developed using ab237772, the same antibody clone in a different buffer formulation.

Immunohistochemistry (Formalin/PFA-fixed paraffin-embedded sections) analysis of Human colon cancer labelling CD208 with ab281573 at 1/1200 (B), CD3E with ab237707 at 1/1200 dilution (C) and CD19 with ab237772 at 1/1200 dilution(D). Opal Polymer HRP Ms + Rb was used as a secondary antibody, and DAPI was used for a nuclear counter stain. Heat mediated antigen retrieval with Tris-EDTA buffer (pH 9.0, epitope retrieval solution2) for 20 mins.

Panel A : merged staining of anti-CD208 (red; Opal™570), anti-CD3E (green; Opal™520) and anti-CD19 (magenta; Opal™690) on human colon cancer.

Panel B : anti-CD208 staining dendritic cells in human colon cancer.

Panel C : anti-CD3E staining T lymphocytes in human colon cancer.

Panel D : anti-CD19 staining B lymphocytes of human colon cancer.

The section was incubated in three rounds of staining : in the order ab281573, ab237707, and ab237772 for 30 mins at room temperature. Each round was followed by a separate fluorescent tyramide signal amplification system.

The immunostaining was performed on a Leica Biosystems BOND® RX instrument with an Opal™ 4-color kit. Image acquisition was performed with Leica SP8 confocal microscope.

Multiplex immunohistochemistry - Anti-CD19 antibody [SP291] - C-terminal (AB227688)
  • mIHC

Lab

Multiplex immunohistochemistry - Anti-CD19 antibody [SP291] - C-terminal (AB227688)

Panel A : merged staining of anti-CD68 (gray; Opal™690), anti-CD3 epsilon (green; Opal™520) and anti-CD19 (red; Opal™570) on Formalin/PFA-fixed paraffin-embedded sections of human tonsil. Secondary antibody was Opal Polymer HRP Ms + Rb, and counterstaining was with DAPI. Panel B : anti-CD3 epsilon stained on T cells with ab16669 at 1/500 dilution Panel C : anti-CD19 stained on B cells with ab237772 at 1/5000 dilution Panel D : anti-CD68 stained on macrophages with ab213363 1/500 dilution The section was incubated in three rounds of staining : in the order of ab213363 and ab16669 for 30 mins, then ab237772 for 10 mins at room temperature. Each round was followed by a separate fluorescent tyramide signal amplification system. Heat mediated antigen retrieval with Tris-EDTA buffer (pH 9.0, epitope retrieval solution2) for 20 mins. The immunostaining was performed on a Leica Biosystems BOND® RX instrument with an Opal™ 4-color kit. Image acquisition was performed with Leica SP8 confocal microscope.

Multiplex immunohistochemistry - Anti-CD19 antibody [SP291] - C-terminal (AB227688)
  • mIHC

Lab

Multiplex immunohistochemistry - Anti-CD19 antibody [SP291] - C-terminal (AB227688)

Panel A : merged staining of anti-CD31 (gray; Opal™690), anti-CD3 epsilon (green; Opal™520) and anti-CD19 (red; Opal™570) on Formalin/PFA-fixed paraffin-embedded sections of human tonsil. Secondary antibody was Opal Polymer HRP Ms + Rb, nuclear counterstain was DAPI. Panel B : anti-CD3 epsilon stained on T cells with ab16669 at 1/500 dilution Panel C : anti-CD19 stained on B cells with ab237772 at 1/5000 dilution Panel D : anti-CD31 stained on endothelial cells and immune cell subsets with ab207090 at 1/500 dilution The section was incubated in three rounds of staining : in the order of ab207090 and ab16669 for 30 mins, then ab237772 for 10 mins at room temperature. Each round was followed by a separate fluorescent tyramide signal amplification system. The immunostaining was performed on a Leica Biosystems BOND® RX instrument with an Opal™ 4-color kit. Image acquisition was performed with Leica SP8 confocal microscope. Heat mediated antigen retrieval with Tris-EDTA buffer (pH 9.0, epitope retrieval solution2) for 20 mins

Multiplex immunohistochemistry - Anti-CD19 antibody [SP291] - C-terminal (AB227688)
  • mIHC

Supplier Data

Multiplex immunohistochemistry - Anti-CD19 antibody [SP291] - C-terminal (AB227688)

Multiplex immunohistochemistry analysis of formalin/PFA-fixed paraffin-embedded human hodgkin's lymphoma tissue staining CD72 with ab324351 at a 1 : 500 (1.018 ug/ml) dilution, ab227688 anti-CD19 used at 1 : 100 (0.15 ug/ml) dilution and ab237721 anti-CD3 used at a 1 : 2000 (0.26 ug/ml) dilution.

Panel A : merged staining of anti-CD72 (green; Opal™520), anti-CD19 (magenta; Opal™570) and anti-CD3 (yellow; Opal™690) on human Hodgkin's lymphoma.
Panel B : anti-CD72 staining immune cells in human Hodgkin's lymphoma.
Panel C : ant-CD19 staining B lymphocytes in human Hodgkin's lymphoma.
Panel D : ant-CD3 staining T lymphocytes in human Hodgkin's lymphoma.
Nuclear DNA was labeled with DAPI (shown in blue).

The section was incubated in three rounds of staining : in the order of ab324351, ab227688 and ab237721 for 30 mins at room temperature. Each round was followed by a separate fluorescent tyramide signal amplification system.

The immunostaining was performed on a Leica Biosystems BOND® RX instrument with an Opal™ 4-color kit. Image acquisition was performed with Leica SP8 confocal microscope.

Nuclear counter stain with DAPI.

Heat mediated antigen retrieval was performed with Tris-EDTA buffer (pH 9.0, Epitope Retrieval Solution2) for 20 mins.

Multiplex immunohistochemistry - Anti-CD19 antibody [SP291] - C-terminal (AB227688)
  • mIHC

Lab

Multiplex immunohistochemistry - Anti-CD19 antibody [SP291] - C-terminal (AB227688)

Multiplex immunohistochemistry analysis of formalin/PFA-fixed paraffin-embedded human spleen tissue staining TCR delta with ab313573 at a 1/500 dilution, ab16669 anti-CD3 used at 1/100 dilution and ab227688 anti-CD19 used at a 1/100 dilution.

Panel A : merged staining of anti-TCR delta (green; Opal520), anti-CD3 (magenta; Opal570) and anti-CD19 (yellow; Opal690) on human spleen.
Panel B : anti-TCR delta staining immune cells in human spleen.
Panel C : anti-CD3 staining T lymphocytes in human spleen.
Panel D : anti-CD19 staining B lymphocytes in human spleen.
Nuclear DNA was labeled with DAPI (shown in blue).

The section was incubated in three rounds of staining : in the order of ab313573, ab16669 and ab227688 for 30 mins at room temperature. Each round was followed by a separate fluorescent tyramide signal amplification system.

The immunostaining was performed on a Leica Biosystems BOND® RX instrument with an Opal 4-color kit. Image acquisition was performed with Leica SP8 confocal microscope.

Nuclear counter stain with DAPI.

Heat mediated antigen retrieval was performed with Citrate buffer (pH 6.0, Epitope Retrieval Solution 1) for 20 mins.

Multiplex immunohistochemistry - Anti-CD19 antibody [SP291] - C-terminal (AB227688)
  • mIHC

Lab

Multiplex immunohistochemistry - Anti-CD19 antibody [SP291] - C-terminal (AB227688)

This data was developed using ab237772, the same antibody clone in a different buffer formulation.

Panel A : merged staining of anti-CD19 (green; Opal™520), anti-CD19 (magenta; Opal™570) and anti-CD3 (yellow; Opal™690) on human Hodgkin's lymphoma. Panel B : anti-CD19 staining the B lymphocytes in human Hodgkin's lymphoma. Panel C : anti-CD19 staining the B lymphocytes in human Hodgkin's lymphoma. Panel D : anti-CD3 staining the T lymphocytes in human Hodgkin's lymphoma. Nuclear DNA was labeled with DAPI (shown in blue). The section was incubated in three rounds of staining : in the order of ab320735 at 1/2000 dilution, ab237772 at 1/5000 dilution and ab16669 at 1/150 dilution for 30 mins at room temperature. Each round was followed by a separate fluorescent tyramide signal amplification system. The secondary used was Opal Polymer HRP Ms + Rb. Heat mediated antigen retrieval with Tris-EDTA buffer (pH 9.0, epitope retrieval solution2) for 20 mins. The immunostaining was performed on a Leica Biosystems BOND® RX instrument with an Opal™ 4-color kit. Image acquisition was performed with Leica SP8 confocal microscope.

Immunohistochemistry (Formalin/PFA-fixed paraffin-embedded sections) - Anti-CD19 antibody [SP291] - C-terminal (AB227688)
  • IHC-P

Lab

Immunohistochemistry (Formalin/PFA-fixed paraffin-embedded sections) - Anti-CD19 antibody [SP291] - C-terminal (AB227688)

Immunohistochemical analysis of paraffin-embedded human skeletal muscle labeling CD19 with ab227688 at 1/100 (0.15 ug/ml) dilution, followed by a ready to use rabbit specific IHC polymer detection kit HRP/DAB (ab209101).

Negative control : no staining in human skeletal muscle.
The section was incubated with ab227688 for 10 mins at room temperature.
The immunostaining was performed on a Leica Biosystems BOND® RX instrument

Counterstained with Hematoxylin.

Secondary antibody only control : Secondary antibody is a ready to use rabbit specific IHC polymer detection kit HRP/DAB (ab209101).

Heat mediated antigen retrieval was performed with Citrate buffer (pH 6.0, Epitope Retrieval Solution 1) for 20 mins

Multiplex immunohistochemistry - Anti-CD19 antibody [SP291] - C-terminal (AB227688)
  • mIHC

Lab

Multiplex immunohistochemistry - Anti-CD19 antibody [SP291] - C-terminal (AB227688)

This data was developed using ab237772, the same antibody clone in a different buffer formulation.

Panel A : merged staining of anti-CD19 (green; Opal™520), anti-CD19 (green; Opal™570) and anti-CD3 (yellow; Opal™690) on human cerebrum. Panel B : anti-CD19 showed no staining in human cerebrum. Panel C : anti-CD19 showed no staining in human cerebrum. Panel D : anti-CD3 showed no staining in human cerebrum. Nuclear DNA was labeled with DAPI (shown in blue). The section was incubated in three rounds of staining : in the order of ab320735 at 1/2000 dilution, ab237772 at 1/5000 dilution and ab16669 at 1/150 dilution for 30 mins at room temperature. Each round was followed by a separate fluorescent tyramide signal amplification system. The secondary used was Opal Polymer HRP Ms + Rb. Heat mediated antigen retrieval with Tris-EDTA buffer (pH 9.0, epitope retrieval solution2) for 20 mins. The immunostaining was performed on a Leica Biosystems BOND® RX instrument with an Opal™ 4-color kit. Image acquisition was performed with Leica SP8 confocal microscope.

Multiplex immunohistochemistry - Anti-CD19 antibody [SP291] - C-terminal (AB227688)
  • mIHC

Lab

Multiplex immunohistochemistry - Anti-CD19 antibody [SP291] - C-terminal (AB227688)

This data was developed using ab237772, the same antibody clone in a different buffer formulation.

Panel A : merged staining of anti-CD19 (green; Opal™520), anti-CD19 (magenta; Opal™570) and anti-CD3 (yellow; Opal™690) on human tonsil. Panel B : anti-CD19 staining the B lymphocytes in human tonsil. Panel C : anti-CD19 staining the B lymphocytes in human tonsil. Panel D : anti-CD3 staining the T lymphocytes in human tonsil. Nuclear DNA was labeled with DAPI (shown in blue). The section was incubated in three rounds of staining : in the order of ab320735 at 1/2000 dilution, ab237772 at 1/5000 dilution and ab16669 at 1/150 dilution for 30 mins at room temperature. Each round was followed by a separate fluorescent tyramide signal amplification system. The secondary used was Opal Polymer HRP Ms + Rb. Heat mediated antigen retrieval with Tris-EDTA buffer (pH 9.0, epitope retrieval solution2) for 20 mins. The immunostaining was performed on a Leica Biosystems BOND® RX instrument with an Opal™ 4-color kit. Image acquisition was performed with Leica SP8 confocal microscope.

Western blot - Anti-CD19 antibody [SP291] - C-terminal (AB227688)
  • WB

Supplier Data

Western blot - Anti-CD19 antibody [SP291] - C-terminal (AB227688)

All lanes:

Western blot - Anti-CD19 antibody [SP291] - C-terminal (ab227688) at 1/400 dilution

All lanes:

Ramos (human Burkitt's lymphoma cell line) cell lysate

Predicted band size: 61 kDa

false

関連する標識済み抗体及び組成の異なる製品 (10)

  • Carrier free

    Anti-CD19 antibody [SP291] - BSA and Azide free

  • 578 PE

    PE Anti-CD19 antibody [SP291] (C-terminal)

  • 660 APC

    APC Anti-CD19 antibody [SP291] (C-terminal)

  • 665 Alexa Fluor® 647

    Alexa Fluor® 647 Anti-CD19 antibody [SP291] - C-terminal

  • 519 Alexa Fluor® 488

    Alexa Fluor® 488 Anti-CD19 antibody [SP291] - C-terminal

  • 603 Alexa Fluor® 568

    Alexa Fluor® 568 Anti-CD19 antibody [SP291] - C-terminal

  • 565 Alexa Fluor® 555

    Alexa Fluor® 555 Anti-CD19 antibody [SP291] - C-terminal

  • HRP

    HRP Anti-CD19 antibody [SP291] (C-terminal)

  • 617 Alexa Fluor® 594

    Alexa Fluor® 594 Anti-CD19 antibody [SP291] - C-terminal

  • 775 Alexa Fluor® 750

    Alexa Fluor® 750 Anti-CD19 antibody [SP291] - C-terminal

Key facts

宿主種

Rabbit

クローン性

Monoclonal

クローン番号

SP291

アイソタイプ

IgG

キャリアフリー

No

交差種

Human, Serinus canarius, Cat, Chicken, Horse, Llama, Pigeon

アプリケーション

mIHC, Flow Cyt (Intra), IHC-P, WB

applications

免疫原

The exact immunogen used to generate this antibody is proprietary information.

Reactivity data

{ "title": "Reactivity Data", "filters": { "stats": ["", "Species", "Dilution Info", "Notes"], "tabs": { "all-applications": {"fullname" : "All Applications", "shortname": "All Applications"}, "mIHC" : {"fullname" : "Multiplex immunohistochemistry", "shortname":"mIHC"}, "FlowCytIntra" : {"fullname" : "Flow Cytometry (Intracellular)", "shortname":"Flow Cyt (Intra)"}, "WB" : {"fullname" : "Western blot", "shortname":"WB"}, "IHCP" : {"fullname" : "Immunohistochemistry (Formalin/PFA-fixed paraffin-embedded sections)", "shortname":"IHC-P"} }, "product-promise": { "all": "all", "testedAndGuaranteed": "tested", "guaranteed": "expected", "predicted": "predicted", "notRecommended": "not-recommended" } }, "values": { "Human": { "mIHC-species-checked": "testedAndGuaranteed", "mIHC-species-dilution-info": "1/100", "mIHC-species-notes": "<p></p> Perform heat-mediated antigen retrieval with Tris/EDTA buffer pH 9.0 before commencing with IHC staining protocol.", "FlowCytIntra-species-checked": "testedAndGuaranteed", "FlowCytIntra-species-dilution-info": "1/20 - 1/400", "FlowCytIntra-species-notes": "<p></p>", "WB-species-checked": "testedAndGuaranteed", "WB-species-dilution-info": "1/400", "WB-species-notes": "<p></p>", "IHCP-species-checked": "testedAndGuaranteed", "IHCP-species-dilution-info": "1/100", "IHCP-species-notes": "<p>Perform heat mediated antigen retrieval with EDTA buffer pH 8.0 before commencing with IHC staining protocol.</p>" }, "Cat": { "mIHC-species-checked": "guaranteed", "mIHC-species-dilution-info": "", "mIHC-species-notes": "", "FlowCytIntra-species-checked": "guaranteed", "FlowCytIntra-species-dilution-info": "", "FlowCytIntra-species-notes": "", "WB-species-checked": "guaranteed", "WB-species-dilution-info": "", "WB-species-notes": "", "IHCP-species-checked": "testedAndGuaranteed", "IHCP-species-dilution-info": "1/100", "IHCP-species-notes": "<p></p> Perform heat-mediated antigen retrieval with Tris/EDTA buffer pH 9.0 before commencing with IHC staining protocol." }, "Chicken": { "mIHC-species-checked": "guaranteed", "mIHC-species-dilution-info": "", "mIHC-species-notes": "", "FlowCytIntra-species-checked": "guaranteed", "FlowCytIntra-species-dilution-info": "", "FlowCytIntra-species-notes": "", "WB-species-checked": "guaranteed", "WB-species-dilution-info": "", "WB-species-notes": "", "IHCP-species-checked": "testedAndGuaranteed", "IHCP-species-dilution-info": "1/100", "IHCP-species-notes": "<p></p> Perform heat-mediated antigen retrieval with Tris/EDTA buffer pH 9.0 before commencing with IHC staining protocol." }, "Horse": { "mIHC-species-checked": "guaranteed", "mIHC-species-dilution-info": "", "mIHC-species-notes": "", "FlowCytIntra-species-checked": "guaranteed", "FlowCytIntra-species-dilution-info": "", "FlowCytIntra-species-notes": "", "WB-species-checked": "guaranteed", "WB-species-dilution-info": "", "WB-species-notes": "", "IHCP-species-checked": "testedAndGuaranteed", "IHCP-species-dilution-info": "1/100", "IHCP-species-notes": "<p></p> Perform heat-mediated antigen retrieval with Tris/EDTA buffer pH 9.0 before commencing with IHC staining protocol." }, "Llama": { "mIHC-species-checked": "guaranteed", "mIHC-species-dilution-info": "", "mIHC-species-notes": "", "FlowCytIntra-species-checked": "guaranteed", "FlowCytIntra-species-dilution-info": "", "FlowCytIntra-species-notes": "", "WB-species-checked": "guaranteed", "WB-species-dilution-info": "", "WB-species-notes": "", "IHCP-species-checked": "testedAndGuaranteed", "IHCP-species-dilution-info": "1/100", "IHCP-species-notes": "<p></p> Perform heat-mediated antigen retrieval with Tris/EDTA buffer pH 9.0 before commencing with IHC staining protocol." }, "Pigeon": { "mIHC-species-checked": "guaranteed", "mIHC-species-dilution-info": "", "mIHC-species-notes": "", "FlowCytIntra-species-checked": "guaranteed", "FlowCytIntra-species-dilution-info": "", "FlowCytIntra-species-notes": "", "WB-species-checked": "guaranteed", "WB-species-dilution-info": "", "WB-species-notes": "", "IHCP-species-checked": "testedAndGuaranteed", "IHCP-species-dilution-info": "1/100", "IHCP-species-notes": "<p></p> Perform heat-mediated antigen retrieval with Tris/EDTA buffer pH 9.0 before commencing with IHC staining protocol." }, "Serinus canarius": { "mIHC-species-checked": "guaranteed", "mIHC-species-dilution-info": "", "mIHC-species-notes": "", "FlowCytIntra-species-checked": "guaranteed", "FlowCytIntra-species-dilution-info": "", "FlowCytIntra-species-notes": "", "WB-species-checked": "guaranteed", "WB-species-dilution-info": "", "WB-species-notes": "", "IHCP-species-checked": "testedAndGuaranteed", "IHCP-species-dilution-info": "1/100", "IHCP-species-notes": "<p></p> Perform heat-mediated antigen retrieval with Tris/EDTA buffer pH 9.0 before commencing with IHC staining protocol." } } }

出荷温度及び保存条件

製品の状態
Liquid
精製方法
Affinity purification Protein A/G
精製に関する特記事項
Purified from TCS by protein A/G.
バッファー組成
pH: 7.6 Preservative: 0.1% Sodium azide Constituents: PBS, 1% BSA
出荷温度
Blue Ice
短期保存期間
1-2 weeks
短期保存温度
+4°C
長期保存温度
-20°C
分注に関する情報
Upon delivery aliquot
保管に関する情報
Avoid freeze / thaw cycle

補足情報

This supplementary information is collated from multiple sources and compiled automatically.

CD19 is a transmembrane protein also known as B4 or B-lymphocyte antigen CD19 with an approximate molecular weight of 95 kDa. It is expressed on the surface of B cells throughout their development from pro-B cells to mature B cells. CD19 functions mechanically as a coreceptor enhancing the sensitivity of B cell receptor (BCR) signaling. This protein plays a significant role in promoting the activation and proliferation of B cells by lowering the threshold for antigen receptor engagement.
Biological function summary

CD19 acts as an essential player in B cell signaling. CD19 integrates signals from the BCR with other coreceptors acting as a signaling hub. It participates in forming a signaling complex that includes proteins like CD21 and CD81 which further amplifies BCR-mediated signaling. This complex plays a critical role in B cell activation differentiation and survival ensuring that immune responses are efficiently mounted against pathogens.

Pathways

The CD19 protein fits into key immune response pathways such as the BCR signaling pathway and the PI3K-Akt signaling pathway. CD19 collaborates with other proteins like CD21 CD81 and PI3K within these pathways. Its interaction in the PI3K-Akt pathway for instance supports critical processes including B cell activation and homeostasis contributing to the adaptive immune response.

CD19 is connected to B cell malignancies and autoimmune diseases. B cell acute lymphoblastic leukemia (ALL) often shows aberrant CD19 expression making it a valuable target for therapeutic interventions like anti-CD19 monoclonal antibodies. Additionally overexpression or mutations of CD19 may contribute to autoimmune diseases by disrupting normal B cell regulation. CD19's connection with proteins like CD22 and CD20 in these pathological contexts highlights its relevance in developing targeted therapies.

製品プロトコール

For this product, it's our understanding that no specific protocols are required. You can visit:

ターゲットの情報

Functions as a coreceptor for the B-cell antigen receptor complex (BCR) on B-lymphocytes (PubMed : 29523808). Decreases the threshold for activation of downstream signaling pathways and for triggering B-cell responses to antigens (PubMed : 1373518, PubMed : 16672701, PubMed : 2463100). Activates signaling pathways that lead to the activation of phosphatidylinositol 3-kinase and the mobilization of intracellular Ca(2+) stores (PubMed : 12387743, PubMed : 16672701, PubMed : 9317126, PubMed : 9382888). Is not required for early steps during B cell differentiation in the blood marrow (PubMed : 9317126). Required for normal differentiation of B-1 cells (By similarity). Required for normal B cell differentiation and proliferation in response to antigen challenges (PubMed : 1373518, PubMed : 2463100). Required for normal levels of serum immunoglobulins, and for production of high-affinity antibodies in response to antigen challenge (PubMed : 12387743, PubMed : 16672701, PubMed : 9317126).
See full target information CD19

文献 (3)

Recent publications for all applications. Explore the full list and refine your search

Scientific reports 15:30313 PubMed40830367

2025

Three-dimensional analysis of intraepidermal nerve fibres and Langerhans cells in keloids with a focus on pruritus.

Applications

Unspecified application

Species

Unspecified reactive species

Haruka Matsuzoe,Koh-Ei Toyoshima,Miki Takase,Ayako Tsuchiya,Mika Ikeda,Motoko Naitoh,Kazuya Kataoka,Tomoya Kawabata,Miho Ogawa,Naoki Morimoto,Takashi Tsuji

Experimental & molecular medicine 56:2631-2641 PubMed39617789

2024

Distribution and impact of p16 senescent cells in elderly tissues: a focus on senescent immune cell and epithelial dysfunction.

Applications

Unspecified application

Species

Unspecified reactive species

Soon Sang Park,Young-Kyoung Lee,Young Hwa Kim,So Hyun Park,Hee Young Kang,Jin Cheol Kim,Dong Jun Kim,Su Bin Lim,Gyesoon Yoon,Jang-Hee Kim,Yong Won Choi,Tae Jun Park

Frontiers in immunology 11:1415 PubMed32733471

2020

Csf2 Attenuated Sepsis-Induced Acute Kidney Injury by Promoting Alternative Macrophage Transition.

Applications

Unspecified application

Species

Unspecified reactive species

Yiming Li,Pan Zhai,Yawen Zheng,Jing Zhang,John A Kellum,Zhiyong Peng
View all publications

Abcam product promise

当社は、高品質な試薬を通じてお客様の研究を力強くサポートすることをお約束いたします。ご使用いただく各段階で、常にお客様をサポートできる体制を整えております。万が一、製品が期待通りに機能しない場合は、「Abcam Product Promise」による当社保証制度に基づき、安心してご利用いただけます。
保証に関する詳細については利用規約をご確認ください。

Please note: All products are 'FOR RESEARCH USE ONLY. NOT FOR USE IN DIAGNOSTIC OR THERAPEUTIC PROCEDURES'.

For licensing inquiries, please contact partnerships@abcam.com