JavaScript is disabled in your browser. Please enable JavaScript to view this website.
AB320735

Anti-CD19 抗体 [EPR28949-559]

Anti-CD19 antibody [EPR28949-559]

  • BOND RX™ Validated
  • Recombinant
  • Lab Essentials
  • 20ul selling size
  • RabMAb
  • Advanced Validation
  • 詳細を見る

Be the first to review this product! Submit a review

|

(0 Publication)

Rabbit Recombinant Monoclonal CD19 antibody. Suitable for mIHC, IHC-P and reacts with Human samples.

別名を表示する

CD19, B-lymphocyte antigen CD19, B-lymphocyte surface antigen B4, Differentiation antigen CD19, T-cell surface antigen Leu-12

11 Images
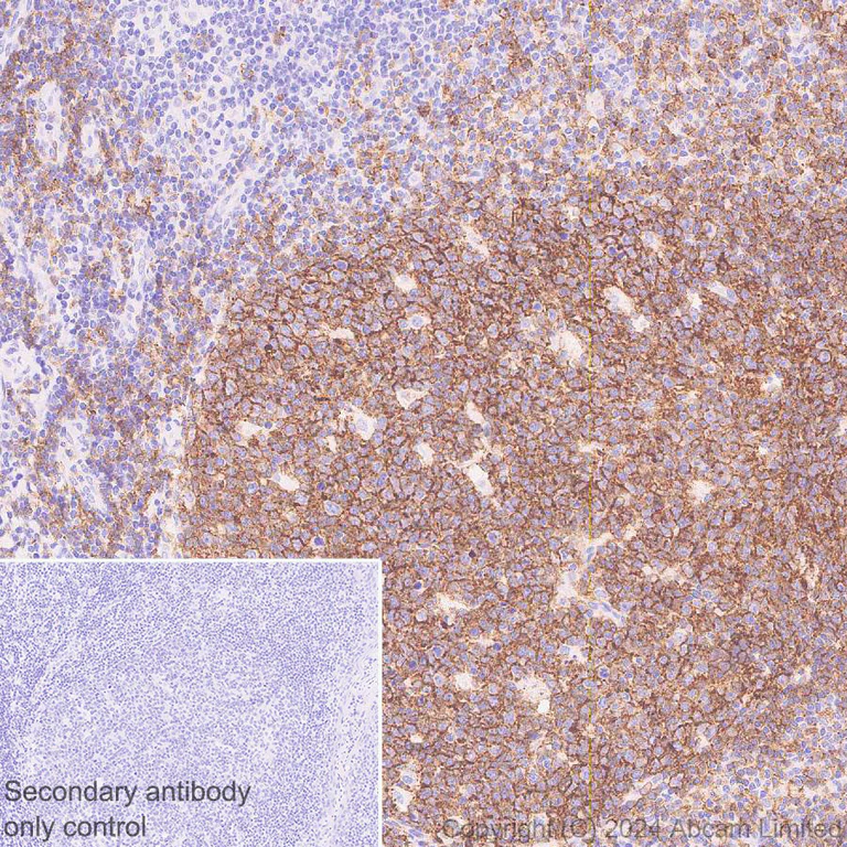
Immunohistochemistry (Formalin/PFA-fixed paraffin-embedded sections) - Anti-CD19 antibody [EPR28949-559] (AB320735)
  • IHC-P

Supplier Data

Immunohistochemistry (Formalin/PFA-fixed paraffin-embedded sections) - Anti-CD19 antibody [EPR28949-559] (AB320735)

Immunohistochemical analysis of paraffin-embedded Human tonsil tissue labeling CD19 with ab320735 at 1/2000 (0.255 ug/ml) dilution, followed by a ready to use LeicaDS9800 (Bond™ Polymer Refine Detection). Positive staining in human tonsil. The section was incubated with ab320735 for 30 mins at room temperature. The immunostaining was performed on a Leica Biosystems BOND® RX instrument Counterstained with Hematoxylin. Secondary antibody only control : Secondary antibody is a ready to use LeicaDS9800 (Bond™ Polymer Refine Detection). Heat mediated antigen retrieval was performed with Tris-EDTA buffer (pH 9.0, Epitope Retrieval Solution2) for 20 mins

Multiplex immunohistochemistry - Anti-CD19 antibody [EPR28949-559] (AB320735)
  • mIHC

Lab

Multiplex immunohistochemistry - Anti-CD19 antibody [EPR28949-559] (AB320735)

Panel A : merged staining of anti-CD19 (green; Opal™520), anti-CD19 (magenta; Opal™570) and anti-CD3 (yellow; Opal™690) on human tonsil. Panel B : anti-CD19 staining the B lymphocytes in human tonsil. Panel C : anti-CD19 staining the B lymphocytes in human tonsil. Panel D : anti-CD3 staining the T lymphocytes in human tonsil. Nuclear DNA was labeled with DAPI (shown in blue). The section was incubated in three rounds of staining : in the order of ab320735 at 1/2000 dilution, ab237772 at 1/5000 dilution and ab16669 at 1/150 dilution for 30 mins at room temperature. Each round was followed by a separate fluorescent tyramide signal amplification system. The secondary used was Opal Polymer HRP Ms + Rb. Heat mediated antigen retrieval with Tris-EDTA buffer (pH 9.0, epitope retrieval solution2) for 20 mins. The immunostaining was performed on a Leica Biosystems BOND® RX instrument with an Opal™ 4-color kit. Image acquisition was performed with Leica SP8 confocal microscope.

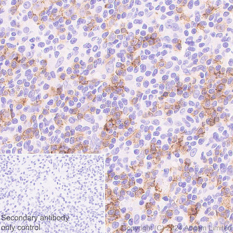
Immunohistochemistry (Formalin/PFA-fixed paraffin-embedded sections) - Anti-CD19 antibody [EPR28949-559] (AB320735)
  • IHC-P

Supplier Data

Immunohistochemistry (Formalin/PFA-fixed paraffin-embedded sections) - Anti-CD19 antibody [EPR28949-559] (AB320735)

Immunohistochemical analysis of paraffin-embedded Human Hodgkin's lymphoma tissue labeling CD19 with ab320735 at 1/2000 (0.255 ug/ml) dilution, followed by a ready to use LeicaDS9800 (Bond™ Polymer Refine Detection). Positive staining in human Hodgkin's lymphoma. The section was incubated with ab320735 for 30 mins at room temperature. The immunostaining was performed on a Leica Biosystems BOND® RX instrument Counterstained with Hematoxylin. Secondary antibody only control : Secondary antibody is a ready to use LeicaDS9800 (Bond™ Polymer Refine Detection). Heat mediated antigen retrieval was performed with Tris-EDTA buffer (pH 9.0, Epitope Retrieval Solution2) for 20 mins

Multiplex immunohistochemistry - Anti-CD19 antibody [EPR28949-559] (AB320735)
  • mIHC

Lab

Multiplex immunohistochemistry - Anti-CD19 antibody [EPR28949-559] (AB320735)

Multiplex immunohistochemistry analysis of formalin/PFA-fixed paraffin-embedded Human colon staining of PVRIG/CD112R with ab322348 at a 1/100 (5.16 µg/ml) dilution, CD19 with ab320735 at 1/2000 (0.255 µg/ml) dilution and CD8A with ab245118 at 1/1000 ( 0.375 µg/ml) dilution.

Panel A : merged staining of anti-PVRIG/CD112R (green; Opal™520), anti-CD8A (magenta; Opal™570) and anti-CD19 (yellow; Opal™690) on Human colon.
Panel B : anti-PVRIG/CD112R staining memory and effector CD8+ T lymphocytes in Human colon.
Panel C : anti-CD8A staining CD8+ T lymphocytes in Human colon.
Panel D : anti-CD19 staining B lymphocytes in Human colon.
Nuclear DNA was labelled with DAPI (shown in blue). ).

The section was incubated in three rounds of staining : in the order of ab322348, ab245118 and ab320735 for 30 mins at room temperature. Each round was followed by a separate fluorescent tyramide signal amplification system.

Heat mediated antigen retrieval with Tris-EDTA buffer (pH 9.0 epitope retrieval solution2) for 20 mins.

Multiplex immunohistochemistry - Anti-CD19 antibody [EPR28949-559] (AB320735)
  • mIHC

Lab

Multiplex immunohistochemistry - Anti-CD19 antibody [EPR28949-559] (AB320735)

Multiplex immunohistochemistry analysis of formalin/PFA-fixed paraffin-embedded Human spleen staining of PVRIG/CD112R with ab322348 at a 1/100 (5.16 µg/ml) dilution, CD19 with ab320735 at 1/2000 (0.255 µg/ml) dilution and CD8A with ab245118 at 1/1000 ( 0.375 µg/ml) dilution.

Panel A : merged staining of anti-PVRIG/CD112R (green; Opal™520), anti-CD8A (magenta; Opal™570) and anti-CD19 (yellow; Opal™690) on human spleen.
Panel B : anti-PVRIG/CD112R staining memory and effector CD8+ T lymphocytes in human spleen.
Panel C : anti-CD8A staining CD8+ T lymphocytes in human spleen.
Panel D : anti-CD19 staining B lymphocytes in human spleen.
Nuclear DNA was labelled with DAPI (shown in blue). ).

The section was incubated in three rounds of staining : in the order of ab322348, ab245118 and ab320735 for 30 mins at room temperature. Each round was followed by a separate fluorescent tyramide signal amplification system.

Heat mediated antigen retrieval with Tris-EDTA buffer (pH 9.0 epitope retrieval solution2) for 20 mins.

Multiplex immunohistochemistry - Anti-CD19 antibody [EPR28949-559] (AB320735)
  • mIHC

Lab

Multiplex immunohistochemistry - Anti-CD19 antibody [EPR28949-559] (AB320735)

Multiplex immunohistochemistry analysis of formalin/PFA-fixed paraffin-embedded Human tonsil staining of PVRIG/CD112R with ab322348 at a 1/100 (5.16 µg/ml) dilution, CD19 with ab320735 at 1/2000 (0.255 µg/ml) dilution and CD8A with ab245118 at 1/1000 ( 0.375 µg/ml) dilution.

Panel A : merged staining of anti-PVRIG/CD112R (green; Opal™520), anti-CD8A (magenta; Opal™570) and anti-CD19 (yellow; Opal™690) on human tonsil.
Panel B : anti-PVRIG/CD112R staining memory and effector CD8+ T lymphocytes in human tonsil.
Panel C : anti-CD8A staining CD8+ T lymphocytes in human tonsil.
Panel D : anti-CD19 staining B lymphocytes in human tonsil.
Nuclear DNA was labeled with DAPI (shown in blue). ).

The section was incubated in three rounds of staining : in the order of ab322348, ab245118 and ab320735 for 30 mins at room temperature. Each round was followed by a separate fluorescent tyramide signal amplification system.

Heat mediated antigen retrieval with Tris-EDTA buffer (pH 9.0 epitope retrieval solution2) for 20 mins.

Multiplex immunohistochemistry - Anti-CD19 antibody [EPR28949-559] (AB320735)
  • mIHC

Supplier Data

Multiplex immunohistochemistry - Anti-CD19 antibody [EPR28949-559] (AB320735)

Multiplex immunohistochemistry analysis of formalin/PFA-fixed paraffin-embedded human liver tissue staining MARCO with ab323717 at a 1 : 200 (2.49 ug/ml) dilution, ab320735 anti-CD19 used at 1 : 2000 (0.255 ug/ml) dilution and ab237721 anti-CD3 used at a 1 : 2000 (0.26 ug/ml) dilution.

Panel A : merged staining of anti-MARCO (green; Opal™520), anti-CD19 (gray; Opal™570) and anti-CD3 (magenta; Opal™690) on human liver.
Panel B : anti-MARCO staining macrophages in human liver.
Panel C : ant-CD19 staining B lymphocytes in human liver.
Panel D : ant-CD3 staining T lymphocytes in human liver.
Nuclear DNA was labeled with DAPI (shown in blue).

The section was incubated in three rounds of staining : in the order of ab323717, ab320735 and ab237721 for 30 mins at room temperature. Each round was followed by a separate fluorescent tyramide signal amplification system.

The immunostaining was performed on a Leica Biosystems BOND® RX instrument with an Opal™ 4-color kit. Image acquisition was performed with Leica SP8 confocal microscope.

Nuclear counter stain with DAPI.

Heat mediated antigen retrieval with Tris-EDTA buffer (pH 9.0, epitope retrieval solution2) for 20 mins.

Multiplex immunohistochemistry - Anti-CD19 antibody [EPR28949-559] (AB320735)
  • mIHC

Lab

Multiplex immunohistochemistry - Anti-CD19 antibody [EPR28949-559] (AB320735)

Panel A : merged staining of anti-CD19 (green; Opal™520), anti-CD19 (magenta; Opal™570) and anti-CD3 (yellow; Opal™690) on human Hodgkin's lymphoma. Panel B : anti-CD19 staining the B lymphocytes in human Hodgkin's lymphoma. Panel C : anti-CD19 staining the B lymphocytes in human Hodgkin's lymphoma. Panel D : anti-CD3 staining the T lymphocytes in human Hodgkin's lymphoma. Nuclear DNA was labeled with DAPI (shown in blue). The section was incubated in three rounds of staining : in the order of ab320735 at 1/2000 dilution, ab237772 at 1/5000 dilution and ab16669 at 1/150 dilution for 30 mins at room temperature. Each round was followed by a separate fluorescent tyramide signal amplification system. The secondary used was Opal Polymer HRP Ms + Rb. Heat mediated antigen retrieval with Tris-EDTA buffer (pH 9.0, epitope retrieval solution2) for 20 mins. The immunostaining was performed on a Leica Biosystems BOND® RX instrument with an Opal™ 4-color kit. Image acquisition was performed with Leica SP8 confocal microscope.

Multiplex immunohistochemistry - Anti-CD19 antibody [EPR28949-559] (AB320735)
  • mIHC

Lab

Multiplex immunohistochemistry - Anti-CD19 antibody [EPR28949-559] (AB320735)

Panel A : merged staining of anti-CD19 (green; Opal™520), anti-CD19 (green; Opal™570) and anti-CD3 (yellow; Opal™690) on human cerebrum. Panel B : anti-CD19 showed no staining in human cerebrum. Panel C : anti-CD19 showed no staining in human cerebrum. Panel D : anti-CD3 showed no staining in human cerebrum. Nuclear DNA was labeled with DAPI (shown in blue). The section was incubated in three rounds of staining : in the order of ab320735 at 1/2000 dilution, ab237772 at 1/5000 dilution and ab16669 at 1/150 dilution for 30 mins at room temperature. Each round was followed by a separate fluorescent tyramide signal amplification system. The secondary used was Opal Polymer HRP Ms + Rb. Heat mediated antigen retrieval with Tris-EDTA buffer (pH 9.0, epitope retrieval solution2) for 20 mins. The immunostaining was performed on a Leica Biosystems BOND® RX instrument with an Opal™ 4-color kit. Image acquisition was performed with Leica SP8 confocal microscope.

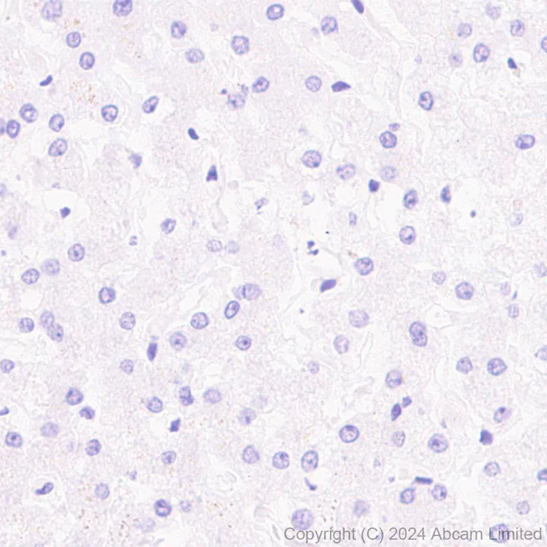
Immunohistochemistry (Formalin/PFA-fixed paraffin-embedded sections) - Anti-CD19 antibody [EPR28949-559] (AB320735)
  • IHC-P

Supplier Data

Immunohistochemistry (Formalin/PFA-fixed paraffin-embedded sections) - Anti-CD19 antibody [EPR28949-559] (AB320735)

Immunohistochemical analysis of paraffin-embedded Human liver tissue labeling CD19 with ab320735 at 1/2000 (0.255 ug/ml) dilution, followed by a ready to use LeicaDS9800 (Bond™ Polymer Refine Detection). Negative control : No staining in human liver. The section was incubated with ab320735 for 30 mins at room temperature. The immunostaining was performed on a Leica Biosystems BOND® RX instrument Counterstained with Hematoxylin. Secondary antibody only control : Secondary antibody is a ready to use LeicaDS9800 (Bond™ Polymer Refine Detection). Heat mediated antigen retrieval was performed with Tris-EDTA buffer (pH 9.0, Epitope Retrieval Solution2) for 20 mins

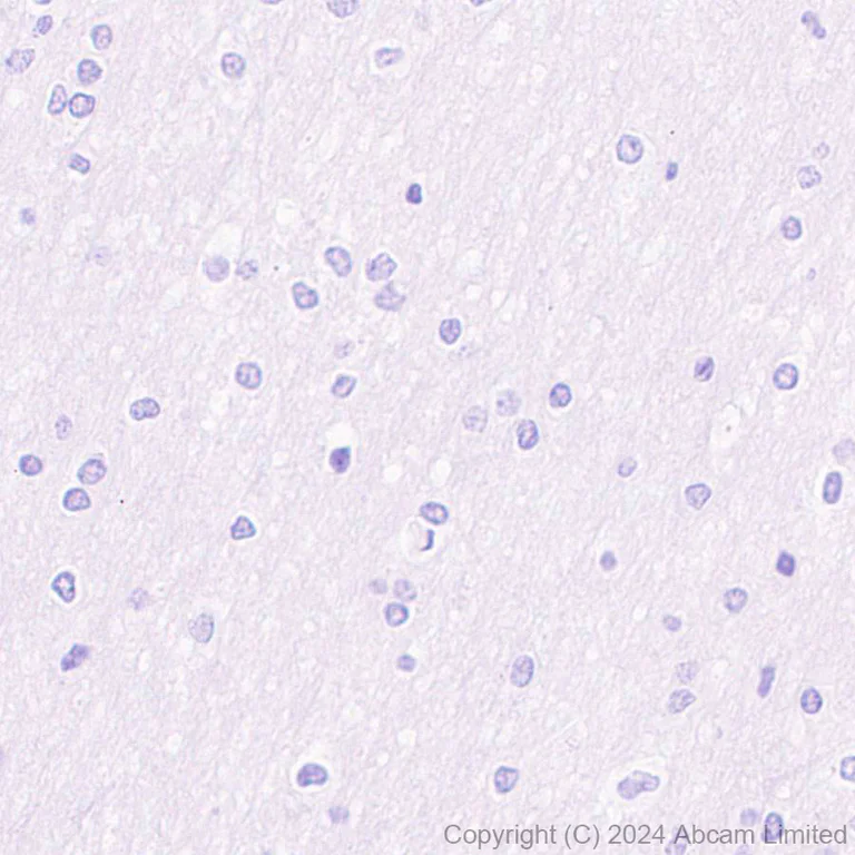
Immunohistochemistry (Formalin/PFA-fixed paraffin-embedded sections) - Anti-CD19 antibody [EPR28949-559] (AB320735)
  • IHC-P

Supplier Data

Immunohistochemistry (Formalin/PFA-fixed paraffin-embedded sections) - Anti-CD19 antibody [EPR28949-559] (AB320735)

Immunohistochemical analysis of paraffin-embedded Human cerebrum tissue labeling CD19 with ab320735 at 1/2000 (0.255 ug/ml) dilution, followed by a ready to use LeicaDS9800 (Bond™ Polymer Refine Detection). Negative control : No staining in human cerebrum (PMID : 32961131). The section was incubated with ab320735 for 30 mins at room temperature. The immunostaining was performed on a Leica Biosystems BOND® RX instrument Counterstained with Hematoxylin. Secondary antibody only control : Secondary antibody is a ready to use LeicaDS9800 (Bond™ Polymer Refine Detection). Heat mediated antigen retrieval was performed with Tris-EDTA buffer (pH 9.0, Epitope Retrieval Solution2) for 20 mins

Key facts

宿主種

Rabbit

クローン性

Monoclonal

クローン番号

EPR28949-559

アイソタイプ

IgG

キャリアフリー

No

交差種

Human

アプリケーション

mIHC, IHC-P

applications

免疫原

The exact immunogen used to generate this antibody is proprietary information.

Reactivity data

{ "title": "Reactivity Data", "filters": { "stats": ["", "Species", "Dilution Info", "Notes"], "tabs": { "all-applications": {"fullname" : "All Applications", "shortname": "All Applications"}, "mIHC" : {"fullname" : "Multiplex immunohistochemistry", "shortname":"mIHC"}, "IHCP" : {"fullname" : "Immunohistochemistry (Formalin/PFA-fixed paraffin-embedded sections)", "shortname":"IHC-P"}, "FlowCyt" : {"fullname" : "Flow Cytometry", "shortname":"Flow Cyt"} }, "product-promise": { "all": "all", "testedAndGuaranteed": "tested", "guaranteed": "expected", "predicted": "predicted", "notRecommended": "not-recommended" } }, "values": { "Human": { "mIHC-species-checked": "testedAndGuaranteed", "mIHC-species-dilution-info": "1/2000", "mIHC-species-notes": "<p></p>", "IHCP-species-checked": "testedAndGuaranteed", "IHCP-species-dilution-info": "1/2000", "IHCP-species-notes": "<p></p> Perform heat-mediated antigen retrieval with Tris/EDTA buffer pH 9.0 before commencing with IHC staining protocol.", "FlowCyt-species-checked": "notRecommended", "FlowCyt-species-dilution-info": "", "FlowCyt-species-notes": "<p></p>" } } }

製品の詳細

Patented technology
Our RabMAb® technology is a patented hybridoma-based technology for making rabbit monoclonal antibodies. For details on our patents, please refer to RabMAb® patents.

What are the advantages of a recombinant monoclonal antibody?
This product is a recombinant monoclonal antibody, which offers several advantages including:

  • - High batch-to-batch consistency and reproducibility
  • - Improved sensitivity and specificity
  • - Long-term security of supply
  • - Animal-free batch production

For more information, read more on recombinant antibodies.

出荷温度及び保存条件

製品の状態
Liquid
精製方法
Affinity purification Protein A
バッファー組成
pH: 7.2 - 7.4 Preservative: 0.01% Sodium azide Constituents: PBS, 40% Glycerol (glycerin, glycerine), 0.05% BSA
出荷温度
Blue Ice
短期保存期間
1-2 weeks
短期保存温度
+4°C
長期保存温度
-20°C
分注に関する情報
Upon delivery aliquot
保管に関する情報
Avoid freeze / thaw cycle

補足情報

This supplementary information is collated from multiple sources and compiled automatically.

CD19 is a transmembrane protein also known as B4 or B-lymphocyte antigen CD19 with an approximate molecular weight of 95 kDa. It is expressed on the surface of B cells throughout their development from pro-B cells to mature B cells. CD19 functions mechanically as a coreceptor enhancing the sensitivity of B cell receptor (BCR) signaling. This protein plays a significant role in promoting the activation and proliferation of B cells by lowering the threshold for antigen receptor engagement.
Biological function summary

CD19 acts as an essential player in B cell signaling. CD19 integrates signals from the BCR with other coreceptors acting as a signaling hub. It participates in forming a signaling complex that includes proteins like CD21 and CD81 which further amplifies BCR-mediated signaling. This complex plays a critical role in B cell activation differentiation and survival ensuring that immune responses are efficiently mounted against pathogens.

Pathways

The CD19 protein fits into key immune response pathways such as the BCR signaling pathway and the PI3K-Akt signaling pathway. CD19 collaborates with other proteins like CD21 CD81 and PI3K within these pathways. Its interaction in the PI3K-Akt pathway for instance supports critical processes including B cell activation and homeostasis contributing to the adaptive immune response.

CD19 is connected to B cell malignancies and autoimmune diseases. B cell acute lymphoblastic leukemia (ALL) often shows aberrant CD19 expression making it a valuable target for therapeutic interventions like anti-CD19 monoclonal antibodies. Additionally overexpression or mutations of CD19 may contribute to autoimmune diseases by disrupting normal B cell regulation. CD19's connection with proteins like CD22 and CD20 in these pathological contexts highlights its relevance in developing targeted therapies.

製品プロトコール

For this product, it's our understanding that no specific protocols are required. You can visit:

ターゲットの情報

Functions as a coreceptor for the B-cell antigen receptor complex (BCR) on B-lymphocytes (PubMed : 29523808). Decreases the threshold for activation of downstream signaling pathways and for triggering B-cell responses to antigens (PubMed : 1373518, PubMed : 16672701, PubMed : 2463100). Activates signaling pathways that lead to the activation of phosphatidylinositol 3-kinase and the mobilization of intracellular Ca(2+) stores (PubMed : 12387743, PubMed : 16672701, PubMed : 9317126, PubMed : 9382888). Is not required for early steps during B cell differentiation in the blood marrow (PubMed : 9317126). Required for normal differentiation of B-1 cells (By similarity). Required for normal B cell differentiation and proliferation in response to antigen challenges (PubMed : 1373518, PubMed : 2463100). Required for normal levels of serum immunoglobulins, and for production of high-affinity antibodies in response to antigen challenge (PubMed : 12387743, PubMed : 16672701, PubMed : 9317126).
See full target information CD19

Abcam product promise

当社は、高品質な試薬を通じてお客様の研究を力強くサポートすることをお約束いたします。ご使用いただく各段階で、常にお客様をサポートできる体制を整えております。万が一、製品が期待通りに機能しない場合は、「Abcam Product Promise」による当社保証制度に基づき、安心してご利用いただけます。
保証に関する詳細については利用規約をご確認ください。

Please note: All products are 'FOR RESEARCH USE ONLY. NOT FOR USE IN DIAGNOSTIC OR THERAPEUTIC PROCEDURES'.

For licensing inquiries, please contact partnerships@abcam.com