JavaScript is disabled in your browser. Please enable JavaScript to view this website.
AB108339

Anti-CD168 抗体 [EPR4055]

Anti-CD168 antibody [EPR4055]

Be the first to review this product! Submit a review

|

(7 Publications)

Rabbit Recombinant Monoclonal CD168 antibody. Suitable for IHC-P, IP, WB and reacts with Human samples. Cited in 7 publications.

別名を表示する

CD168, IHABP, RHAMM, HMMR, Hyaluronan mediated motility receptor, Intracellular hyaluronic acid-binding protein, Receptor for hyaluronan-mediated motility

12 Images
Western blot - Anti-CD168 antibody [EPR4055] (AB108339)
  • WB

Unknown

Western blot - Anti-CD168 antibody [EPR4055] (AB108339)

All lanes:

Western blot - Anti-CD168 antibody [EPR4055] (ab108339) at 1/1000 dilution

Lane 1:

T47-D cell lysate at 10 µg

Lane 2:

MCF-7 cell lysate at 10 µg

Lane 3:

SKBR-3 cell lysate at 10 µg

Lane 4:

LnCaP cell lysate at 10 µg

Predicted band size: 84 kDa

false

Immunohistochemistry (Formalin/PFA-fixed paraffin-embedded sections) - Anti-CD168 antibody [EPR4055] (AB108339)
  • IHC-P

Unknown

Immunohistochemistry (Formalin/PFA-fixed paraffin-embedded sections) - Anti-CD168 antibody [EPR4055] (AB108339)

ab108339 showing positive staining in Normal stomach tissue.

Perform heat mediated antigen retrieval with citrate buffer pH 6 before commencing with IHC staining protocol.

Immunohistochemistry (Formalin/PFA-fixed paraffin-embedded sections) - Anti-CD168 antibody [EPR4055] (AB108339)
  • IHC-P

Unknown

Immunohistochemistry (Formalin/PFA-fixed paraffin-embedded sections) - Anti-CD168 antibody [EPR4055] (AB108339)

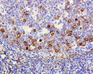
ab108339 showing positive staining in Normal tonsil tissue.

Perform heat mediated antigen retrieval with citrate buffer pH 6 before commencing with IHC staining protocol.

Immunohistochemistry (Formalin/PFA-fixed paraffin-embedded sections) - Anti-CD168 antibody [EPR4055] (AB108339)
  • IHC-P

Unknown

Immunohistochemistry (Formalin/PFA-fixed paraffin-embedded sections) - Anti-CD168 antibody [EPR4055] (AB108339)

ab108339 showing positive staining in Normal thymus tissue.

Perform heat mediated antigen retrieval with citrate buffer pH 6 before commencing with IHC staining protocol.

Immunohistochemistry (Formalin/PFA-fixed paraffin-embedded sections) - Anti-CD168 antibody [EPR4055] (AB108339)
  • IHC-P

Unknown

Immunohistochemistry (Formalin/PFA-fixed paraffin-embedded sections) - Anti-CD168 antibody [EPR4055] (AB108339)

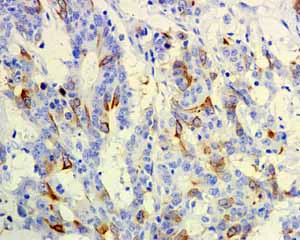
ab108339 at 1/100 staining CD168 in paraffin-embedded human breast carcinoma tissue by Immunohistochemistry.

Perform heat mediated antigen retrieval with citrate buffer pH 6 before commencing with IHC staining protocol.

Immunohistochemistry (Formalin/PFA-fixed paraffin-embedded sections) - Anti-CD168 antibody [EPR4055] (AB108339)
  • IHC-P

Unknown

Immunohistochemistry (Formalin/PFA-fixed paraffin-embedded sections) - Anti-CD168 antibody [EPR4055] (AB108339)

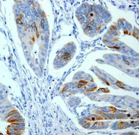
ab108339 showing positive staining in Colonic adenocarcinoma tissue.

Perform heat mediated antigen retrieval with citrate buffer pH 6 before commencing with IHC staining protocol.

Immunohistochemistry (Formalin/PFA-fixed paraffin-embedded sections) - Anti-CD168 antibody [EPR4055] (AB108339)
  • IHC-P

Unknown

Immunohistochemistry (Formalin/PFA-fixed paraffin-embedded sections) - Anti-CD168 antibody [EPR4055] (AB108339)

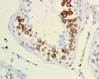
ab108339 at 1/100 staining CD168 in paraffin-embedded human testis tissue by Immunohistochemistry.

Perform heat mediated antigen retrieval with citrate buffer pH 6 before commencing with IHC staining protocol.

Immunohistochemistry (Formalin/PFA-fixed paraffin-embedded sections) - Anti-CD168 antibody [EPR4055] (AB108339)
  • IHC-P

Unknown

Immunohistochemistry (Formalin/PFA-fixed paraffin-embedded sections) - Anti-CD168 antibody [EPR4055] (AB108339)

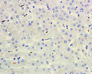
ab108339 showing negative staining in Normal liver tissue.

Perform heat mediated antigen retrieval with citrate buffer pH 6 before commencing with IHC staining protocol.

Immunohistochemistry (Formalin/PFA-fixed paraffin-embedded sections) - Anti-CD168 antibody [EPR4055] (AB108339)
  • IHC-P

Unknown

Immunohistochemistry (Formalin/PFA-fixed paraffin-embedded sections) - Anti-CD168 antibody [EPR4055] (AB108339)

ab108339 showing negative staining in Normal brain tissue.

Perform heat mediated antigen retrieval with citrate buffer pH 6 before commencing with IHC staining protocol.

Immunoprecipitation - Anti-CD168 antibody [EPR4055] (AB108339)
  • IP

Lab

Immunoprecipitation - Anti-CD168 antibody [EPR4055] (AB108339)

Purified ab108339 at 1/50 dilution (2μg) immunoprecipitating CD168 in T-47D whole cell lysate.
Lane 1 (input) : T-47D (Human ductal breast epithelial tumor epithelial cell) whole cell lysate 10μg
Lane 2 (+) : ab108339 + T-47D whole cell lysate.
Lane 3 (-) : Rabbit monoclonal IgG (ab172730) instead of ab108339 in T-47D whole cell lysate.
VeriBlot for IP Detection Reagent (HRP) (ab131366) (1/1000 dilution) was used for Western blotting.
Blocking Buffer and concentration : 5% NFDM/TBST.
Diluting buffer and concentration : 5% NFDM/TBST.
Observed band size : 85 kDa

All lanes:

Immunoprecipitation - Anti-CD168 antibody [EPR4055] (ab108339)

Predicted band size: 84 kDa

false

Western blot - Anti-CD168 antibody [EPR4055] (AB108339)
  • WB

Lab

Western blot - Anti-CD168 antibody [EPR4055] (AB108339)

Lane 1 : Wild type HAP1 whole cell lysate (20 μg)
Lane 2 : Empty knockout HAP1 whole cell lysate (20 μg)
Lane 3 : CD168 whole cell lysate (20 μg)

Lanes 1 - 3 : Merged signal (red and green). Green - ab108339 observed at 90 kDa. Red - loading control, ab9484, observed at 37 kDa.

ab108339 was shown to specifically react with CD168 when CD168 knockout samples were used. Wild-type and Empty knockout samples were subjected to SDS-PAGE. ab108339 and ab9484 (Mouse anti GAPDH loading control) were incubated overnight at 4°C at 1000 dilution and 1/10000 dilution respectively. Blots were developed with Goat anti-Rabbit IgG H&L (IRDye® 800CW) preabsorbed ab216773 and Goat anti-Mouse IgG H&L (IRDye® 680RD) preabsorbed ab216776 secondary antibodies at 1/20000 dilution for 1 hour at room temperature before imaging.

All lanes:

Western blot - Anti-CD168 antibody [EPR4055] (ab108339)

Predicted band size: 84 kDa

false

Western blot - Anti-CD168 antibody [EPR4055] (AB108339)
  • WB

CiteAb

Western blot - Anti-CD168 antibody [EPR4055] (AB108339)

CD168 western blot using anti-CD168 antibody [EPR4055] ab108339. Publication image and figure legend from Picaud, L., Thibault, B., et al., 2014, J Ovarian Res, PubMed 24739440.

ab108339 was used in this publication in western blot. This may not be the same as the application(s) guaranteed by Abcam. For a full list of applications guaranteed by Abcam for ab108339 please see the product overview.

CD44 and CD168 expression in ovarian cancer cell lines. (A) The CD44 expression was measured by flow cytometry and analyzed with Cell Quest Pro software in ovarian cancer cell lines OVCAR-3, IGROV-1 and SKOV-3 as well as in REH lymphoblasts (negative control) and HeLa cells (positive controls). The auto fluorescence level was determined with an isotype control antibody (empty area). The CD44 expression was determined with an anti-CD44 antibody (full area) leading to the determination of the percentage of CD44 positive cells (M1). (B) The CD168 level was determined by western blot using a specific antibody in ovarian cancer cell lines OVCAR-3, IGROV-1 and SKOV-3 as well as in REH lymphoblasts and HeLa (positive controls). Immunocomplexes were visualized with a photon camera.

false

関連する標識済み抗体及び組成の異なる製品 (1)

  • Carrier free

    Anti-CD168 antibody [EPR4055] - BSA and Azide free

Key facts

宿主種

Rabbit

クローン性

Monoclonal

クローン番号

EPR4055

アイソタイプ

IgG

キャリアフリー

No

交差種

Human

アプリケーション

WB, IP, IHC-P

applications

免疫原

The exact immunogen used to generate this antibody is proprietary information.

Reactivity data

{ "title": "Reactivity Data", "filters": { "stats": ["", "Species", "Dilution Info", "Notes"], "tabs": { "all-applications": {"fullname" : "All Applications", "shortname": "All Applications"}, "IHCP" : {"fullname" : "Immunohistochemistry (Formalin/PFA-fixed paraffin-embedded sections)", "shortname":"IHC-P"}, "IP" : {"fullname" : "Immunoprecipitation", "shortname":"IP"}, "WB" : {"fullname" : "Western blot", "shortname":"WB"}, "ICCIF" : {"fullname" : "Immunocytochemistry/ Immunofluorescence", "shortname":"ICC/IF"} }, "product-promise": { "all": "all", "testedAndGuaranteed": "tested", "guaranteed": "expected", "predicted": "predicted", "notRecommended": "not-recommended" } }, "values": { "Human": { "IHCP-species-checked": "testedAndGuaranteed", "IHCP-species-dilution-info": "1/100 - 1/250", "IHCP-species-notes": "<p></p> Perform heat-mediated antigen retrieval with citrate buffer pH 6 before commencing with IHC staining protocol.", "IP-species-checked": "testedAndGuaranteed", "IP-species-dilution-info": "1/10 - 1/100", "IP-species-notes": "<p></p>", "WB-species-checked": "testedAndGuaranteed", "WB-species-dilution-info": "1/1000 - 1/10000", "WB-species-notes": "<p></p>", "ICCIF-species-checked": "notRecommended", "ICCIF-species-dilution-info": "", "ICCIF-species-notes": "<p></p>" } } }

製品の詳細

出荷温度及び保存条件

製品の状態
Liquid
精製方法
Affinity purification Protein A
バッファー組成
pH: 7.2 - 7.4 Preservative: 0.05% Sodium azide Constituents: 50% Tissue culture supernatant, 40% Glycerol (glycerin, glycerine), 9.85% Tris glycine
出荷温度
Conditional Ambient
短期保存温度
+4°C
長期保存温度
-20°C
保管に関する情報
Stable for 12 months at -20°C

補足情報

This supplementary information is collated from multiple sources and compiled automatically.

CD168 also known as HMMR (hyaluronan-mediated motility receptor) is a protein that functions mechanically as a receptor involved in cell motility proliferation and adhesion. Its molecular weight is approximately 95 kDa. CD168 expression can be prominently found in tissues that contain a high density of hyaluronan such as tumor cells and certain types of epithelial cells. Additionally CD168 is often used as a marker for certain macrophage populations illustrating its role in the immune landscape.
Biological function summary

Hyaluronan-mediated motility receptor plays an important role in the regulation of the extracellular matrix (ECM) by binding to hyaluronan a significant component of the ECM. CD168 has a vital function in cell surface signaling processes facilitating communication between cells and their environment. The protein operates in a complex with elements like growth factor receptors enhancing its ability to modulate cellular responses. This interaction allows CD168 to significantly influence processes like wound healing and tissue remodeling.

Pathways

Hyaluronan-mediated motility receptor participates in the Rho signaling pathway important for cytoskeletal organization and cell movement. Through this pathway CD168 interacts directly with proteins such as GTPases including members of the Rho family like RhoA which play key roles in the reorganization of the actin cytoskeleton. CD168 also relates to the PI3K/AKT pathway influencing cellular survival and proliferation by interacting with proteins such as PI3K integrally involved in cellular growth and response to extracellular signals.

Increased expression of hyaluronan-mediated motility receptor has been observed in several cancers including breast and ovarian cancers where it often correlates with advanced disease stages and poor prognosis. CD168's role in cancer is linked with its interaction with the epidermal growth factor receptor (EGFR) which promotes aggressive tumor behavior. In arthritis CD168 expression contributes to synovial inflammation connecting with inflammatory cytokines that escalate the disease progression. These associations underline the importance of CD168 in both oncology and inflammatory disorders.

製品プロトコール

For this product, it's our understanding that no specific protocols are required. You can visit:

ターゲットの情報

Receptor for hyaluronic acid (HA) (By similarity). Involved in cell motility (By similarity). When hyaluronan binds to HMMR, the phosphorylation of a number of proteins, including PTK2/FAK1 occurs. May also be involved in cellular transformation and metastasis formation, and in regulating extracellular-regulated kinase (ERK) activity. May act as a regulator of adipogenisis (By similarity).
See full target information HMMR

文献 (7)

Recent publications for all applications. Explore the full list and refine your search

Molecular therapy oncolytics 23:277-287 PubMed34761107

2021

RHAMM-mediated bifunctional nanotherapy targeting Bcl-xL and mitochondria for pancreatic neuroendocrine tumor treatment.

Applications

Unspecified application

Species

Unspecified reactive species

Xiang Chen,Seung Koo Lee,Mei Song,Tiantian Zhang,Myung Shin Han,Yao-Tseng Chen,Zhengming Chen,Xiaojing Ma,Ching-Hsuan Tung,Yi-Chieh Nancy Du

Pathology, research and practice 223:153486 PubMed34051513

2021

RHAMM in liver metastases of stage IV colorectal cancer with mismatch-repair proficient status correlates with tumor budding, cytotoxic T-cells and PD-1/PD-L1.

Applications

Unspecified application

Species

Unspecified reactive species

Sandra Burren,Katharina Reche,Annika Blank,José A Galvàn,Heather Dawson,Martin D Berger,Inti Zlobec,Alessandro Lugli

Translational cancer research 8:410-421 PubMed35116773

2019

Effect of receptor for hyaluronan-mediated motility inhibition on radiosensitivity of lung adenocarcinoma A549 cells.

Applications

Unspecified application

Species

Unspecified reactive species

Chunzi Gao,Shilong Liu,Yanli Wang,Geqi Cha,Xiangying Xu

Oncotarget 9:20941-20952 PubMed29765511

2018

Immunohistochemical analysis of RHAMM expression in normal and neoplastic human tissues: a cell cycle protein with distinctive expression in mitotic cells and testicular germ cells.

Applications

Unspecified application

Species

Unspecified reactive species

Yao-Tseng Chen,Zhengming Chen,Yi-Chieh Nancy Du

Oncotarget 7:39957-39969 PubMed27220886

2016

Expression of the receptor for hyaluronic acid mediated motility (RHAMM) is associated with poor prognosis and metastasis in non-small cell lung carcinoma.

Applications

IHC, WB

Species

Unspecified reactive species, Unspecified reactive species

Dunrui Wang,Navneet Narula,Stephanie Azzopardi,Roger S Smith,Abu Nasar,Nasser K Altorki,Vivek Mittal,Romel Somwar,Brendon M Stiles,Yi-Chieh Nancy Du

Oncology letters 12:2555-2559 PubMed27698827

2016

Prognostic significance of CD168 overexpression in colorectal cancer.

Applications

IHC

Species

Human

Ke Wang,Tao Zhang

Journal of ovarian research 7:40 PubMed24739440

2014

Evaluation of the effects of hyaluronic acid-carboxymethyl cellulose barrier on ovarian tumor progression.

Applications

WB

Species

Human

Laetitia Picaud,Benoît Thibault,Eliane Mery,Monia Ouali,Alejandra Martinez,Jean-Pierre Delord,Bettina Couderc,Gwenael Ferron
View all publications

Abcam product promise

当社は、高品質な試薬を通じてお客様の研究を力強くサポートすることをお約束いたします。ご使用いただく各段階で、常にお客様をサポートできる体制を整えております。万が一、製品が期待通りに機能しない場合は、「Abcam Product Promise」による当社保証制度に基づき、安心してご利用いただけます。
保証に関する詳細については利用規約をご確認ください。

関連製品

Select an associated product type
Alternative Product
Primary Antibodies

AB262942

Anti-CD168 antibody

primary-antibodies

cd168-antibody-ab262942

0

(0 reviews)

Alternative Product
Primary Antibodies

AB124729

Anti-CD168 antibody [EPR4054]

primary-antibodies

cd168-antibody-epr4054-ab124729

5

(2 reviews)

Alternative Product
Primary Antibodies

AB228482

Anti-CD168 antibody [EPR4054] - Low endotoxin, Azide free

primary-antibodies

cd168-antibody-epr4054-low-endotoxin-azide-free-ab228482

0

(0 reviews)

Alternative Product
Primary Antibodies

AB271887

Anti-CD168 antibody [EPR4054] - BSA and Azide free

primary-antibodies

cd168-antibody-epr4054-bsa-and-azide-free-ab271887

0

(0 reviews)

Alternative Version
Primary Antibodies

AB229447

Anti-CD168 antibody [EPR4055] - Low endotoxin, Azide free

primary-antibodies

cd168-antibody-epr4055-low-endotoxin-azide-free-ab229447

0

(0 reviews)

Please note: All products are 'FOR RESEARCH USE ONLY. NOT FOR USE IN DIAGNOSTIC OR THERAPEUTIC PROCEDURES'.

For licensing inquiries, please contact partnerships@abcam.com