JavaScript is disabled in your browser. Please enable JavaScript to view this website.
AB203883

Anti-CD16 抗体

Anti-CD16 antibody

Be the first to review this product! Submit a review

|

(26 Publications)

Rabbit Polyclonal CD16a antibody. Suitable for Flow Cyt, IHC-P and reacts with Human, Mouse samples. Cited in 26 publications. Immunogen corresponding to Synthetic Peptide within Human FCGR3A aa 100-200 conjugated to Keyhole Limpet Haemocyanin.

別名を表示する

CD16a, CD16A, FCG3, FCGR3, IGFR3, FCGR3A, Low affinity immunoglobulin gamma Fc region receptor III-A, IgG Fc receptor III-A, CD16-II, CD16a antigen, Fc-gamma RIII-alpha, FcR-10, IgG Fc receptor III-2, Fc-gamma RIII, Fc-gamma RIIIa, FcRIII, FcRIIIa, FcgammaRIIIA

4 Images
Immunohistochemistry (Formalin/PFA-fixed paraffin-embedded sections) - Anti-CD16 antibody (AB203883)
  • IHC-P

Supplier Data

Immunohistochemistry (Formalin/PFA-fixed paraffin-embedded sections) - Anti-CD16 antibody (AB203883)

Immunohistochemical analysis of formalin-fixed, paraffin-embedded human glioma tissue labeling CD16 with ab203883 at 1/200 dilution followed by conjugation to the secondary antibody and DAB staining.

Immunohistochemistry (Formalin/PFA-fixed paraffin-embedded sections) - Anti-CD16 antibody (AB203883)
  • IHC-P

Supplier Data

Immunohistochemistry (Formalin/PFA-fixed paraffin-embedded sections) - Anti-CD16 antibody (AB203883)

Immunohistochemical analysis of formalin-fixed, paraffin-embedded human lung cancer tissue labeling CD16 with ab203883 at 1/200 dilution followed by Goat Anti-Rabbit IgG, Cy3 conjugated secondary antibody at 1/200 dilution.

Flow Cytometry - Anti-CD16 antibody (AB203883)
  • Flow Cyt

Supplier Data

Flow Cytometry - Anti-CD16 antibody (AB203883)

U937 cells probed with ab203883 at a 1/100 for 40 minutes followed by incubation with Goat Anti-Rabbit IgG PE conjugated secondary at 1/100 (green) for 40 minutes compared to control cells (blue).

Immunohistochemistry (Formalin/PFA-fixed paraffin-embedded sections) - Anti-CD16 antibody (AB203883)
  • IHC-P

Supplier Data

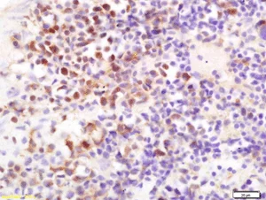
Immunohistochemistry (Formalin/PFA-fixed paraffin-embedded sections) - Anti-CD16 antibody (AB203883)

Immunohistochemical analysis of formalin-fixed, paraffin-embedded mouse spleen tissue labeling CD16 with ab203883 at 1/200 dilution followed by conjugation to the secondary antibody and DAB staining.

Key facts

宿主種

Rabbit

クローン性

Polyclonal

アイソタイプ

IgG

キャリアフリー

No

交差種

Mouse, Human

アプリケーション

IHC-P, Flow Cyt

applications

免疫原

Synthetic Peptide within Human FCGR3A aa 100-200 conjugated to Keyhole Limpet Haemocyanin. The exact immunogen used to generate this antibody is proprietary information.

P08637

Reactivity data

{ "title": "Reactivity Data", "filters": { "stats": ["", "Species", "Dilution Info", "Notes"], "tabs": { "all-applications": {"fullname" : "All Applications", "shortname": "All Applications"}, "FlowCyt" : {"fullname" : "Flow Cytometry", "shortname":"Flow Cyt"}, "IHCP" : {"fullname" : "Immunohistochemistry (Formalin/PFA-fixed paraffin-embedded sections)", "shortname":"IHC-P"} }, "product-promise": { "all": "all", "testedAndGuaranteed": "tested", "guaranteed": "expected", "predicted": "predicted", "notRecommended": "not-recommended" } }, "values": { "Human": { "FlowCyt-species-checked": "testedAndGuaranteed", "FlowCyt-species-dilution-info": "1/20 - 1/100", "FlowCyt-species-notes": "<p></p>", "IHCP-species-checked": "testedAndGuaranteed", "IHCP-species-dilution-info": "1/100 - 1/500", "IHCP-species-notes": "<p>When using a fluorescent probe the recommended dilution is 1/50 – 1/200.</p>" }, "Mouse": { "FlowCyt-species-checked": "guaranteed", "FlowCyt-species-dilution-info": "", "FlowCyt-species-notes": "", "IHCP-species-checked": "testedAndGuaranteed", "IHCP-species-dilution-info": "1/100 - 1/500", "IHCP-species-notes": "<p>When using a fluorescent probe the recommended dilution is 1/50 – 1/200.</p>" } } }

出荷温度及び保存条件

製品の状態
Liquid
精製方法
Affinity purification Protein A
バッファー組成
pH: 7.4 Preservative: 0.02% Proclin 300 Constituents: 50% Glycerol (glycerin, glycerine), 48.98% TBS, 1X, 1% BSA
出荷温度
Blue Ice
短期保存期間
1-2 weeks
短期保存温度
+4°C
長期保存温度
-20°C
分注に関する情報
Upon delivery aliquot
保管に関する情報
Avoid freeze / thaw cycle

補足情報

This supplementary information is collated from multiple sources and compiled automatically.

CD16 also known as FCGR3A or CD16A protein is a low-affinity receptor for the Fc region of IgG. It weighs approximately 50-70 kDa and exists on the surface of several immune cells such as natural killer (NK) cells some populations of T cells and macrophages. The expression of CD16 mediates various cellular responses including antibody-dependent cellular cytotoxicity (ADCC) where it acts by engaging with immune complexes. Researchers often use anti-CD16 antibodies in flow cytometry to analyze the presence and quantity of CD16-expressing cells.
Biological function summary

This receptor plays a significant role in immune system regulation by contributing to the activation of immune effector cells. CD16 is not part of a larger complex but it operates in concert with CD3 proteins to trigger intracellular signaling pathways upon engagement with its ligand. Its function is important for the antibody-dependent clearance of infected or malignant cells from the body representing an essential linkage between innate and adaptive immunity.

Pathways

Signaling involving CD16 is integrated into the immune response mechanisms that include the Fc gamma receptor-mediated phagocytosis pathway. This pathway involves interactions with IgG antibodies and complements the activity of other Fc gamma receptors such as CD32 and CD64. Through these interactions CD16 enhances phagocytic activity and stimulates the secretion of cytokines and chemokines important for orchestrating an effective immune response.

CD16 plays an important role in conditions like autoimmune diseases and certain cancers. Its expression and function are important in the pathophysiology of systemic lupus erythematosus where an imbalance in immune complex clearance leads to tissue damage. In oncology CD16 aids in the immune system's recognition and elimination of tumor cells working alongside proteins such as CD3 in modulating the body's anti-tumor response. Understanding CD16's involvement in these diseases helps in developing therapeutic strategies that harness the immune system's power such as monoclonal antibody therapies targeting CD16.

製品プロトコール

For this product, it's our understanding that no specific protocols are required. You can visit:

ターゲットの情報

Receptor for the invariable Fc fragment of immunoglobulin gamma (IgG). Optimally activated upon binding of clustered antigen-IgG complexes displayed on cell surfaces, triggers lysis of antibody-coated cells, a process known as antibody-dependent cellular cytotoxicity (ADCC). Does not bind free monomeric IgG, thus avoiding inappropriate effector cell activation in the absence of antigenic trigger (PubMed : 11711607, PubMed : 21768335, PubMed : 22023369, PubMed : 24412922, PubMed : 25786175, PubMed : 25816339, PubMed : 28652325, PubMed : 8609432, PubMed : 9242542). Mediates IgG effector functions on natural killer (NK) cells. Binds antigen-IgG complexes generated upon infection and triggers NK cell-dependent cytokine production and degranulation to limit viral load and propagation. Involved in the generation of memory-like adaptive NK cells capable to produce high amounts of IFNG and to efficiently eliminate virus-infected cells via ADCC (PubMed : 24412922, PubMed : 25786175). Regulates NK cell survival and proliferation, in particular by preventing NK cell progenitor apoptosis (PubMed : 29967280, PubMed : 9916693). Fc-binding subunit that associates with CD247 and/or FCER1G adapters to form functional signaling complexes. Following the engagement of antigen-IgG complexes, triggers phosphorylation of immunoreceptor tyrosine-based activation motif (ITAM)-containing adapters with subsequent activation of phosphatidylinositol 3-kinase signaling and sustained elevation of intracellular calcium that ultimately drive NK cell activation. The ITAM-dependent signaling coupled to receptor phosphorylation by PKC mediates robust intracellular calcium flux that leads to production of pro-inflammatory cytokines, whereas in the absence of receptor phosphorylation it mainly activates phosphatidylinositol 3-kinase signaling leading to cell degranulation (PubMed : 1825220, PubMed : 23024279, PubMed : 2532305). Costimulates NK cells and trigger lysis of target cells independently of IgG binding (PubMed : 10318937, PubMed : 23006327). Mediates the antitumor activities of therapeutic antibodies. Upon ligation on monocytes triggers TNFA-dependent ADCC of IgG-coated tumor cells (PubMed : 27670158). Mediates enhanced ADCC in response to afucosylated IgGs (PubMed : 34485821).. (Microbial infection) Involved in Dengue virus pathogenesis via antibody-dependent enhancement (ADE) mechanism. Secondary infection with Dengue virus triggers elevated levels of afucosylated non-neutralizing IgG1s with reactivity to viral envelope/E protein. Viral antigen-IgG1 complexes bind with high affinity to FCGR3A, facilitating virus entry in myeloid cells and subsequent viral replication.
See full target information FCGR3A

文献 (26)

Recent publications for all applications. Explore the full list and refine your search

Scientific reports 15:30313 PubMed40830367

2025

Three-dimensional analysis of intraepidermal nerve fibres and Langerhans cells in keloids with a focus on pruritus.

Applications

Unspecified application

Species

Unspecified reactive species

Haruka Matsuzoe,Koh-Ei Toyoshima,Miki Takase,Ayako Tsuchiya,Mika Ikeda,Motoko Naitoh,Kazuya Kataoka,Tomoya Kawabata,Miho Ogawa,Naoki Morimoto,Takashi Tsuji

Frontiers in immunology 15:1527986 PubMed39850889

2025

Gualou Guizhi Granule inhibits microglia-mediated neuroinflammation to protect against neuronal apoptosis and .

Applications

Unspecified application

Species

Unspecified reactive species

Xuezhen Li,Han Huang,Yanan Li,Yi Feng,Jinxuan Wang,Shuping Luo,Yaping Chen,Yuqin Zhang,Guohong Yan,Lihong Nan

Redox biology 75:103255 PubMed39029270

2024

Inhibition of ferroptosis rescues M2 macrophages and alleviates arthritis by suppressing the HMGB1/TLR4/STAT3 axis in M1 macrophages.

Applications

Unspecified application

Species

Unspecified reactive species

Zhuan Feng,Feiyang Meng,Fei Huo,Yumeng Zhu,Yifei Qin,Yu Gui,Hai Zhang,Peng Lin,Qian He,Yong Li,Jiejie Geng,Jiao Wu

Scientific reports 14:13543 PubMed38866996

2024

Pathological changes in the spleen of mice subjected to different time courses of restraint stress.

Applications

Unspecified application

Species

Unspecified reactive species

Lei Lei,Yingmin Li,Meili Li,Hongjian Xin,Xiaofei Tian,Yifan Zhang,Weibo Shi,Bin Cong

Journal of cerebral blood flow and metabolism : official journal of the International Society of Cerebral Blood Flow and Metabolism 43:531-541 PubMed36545833

2022

Role of post-ischemic phase-dependent modulation of anti-inflammatory M2-type macrophages against rat brain damage.

Applications

Unspecified application

Species

Unspecified reactive species

Yoshitaka Kurashiki,Hiroshi Kagusa,Kenji Yagi,Tomoya Kinouchi,Manabu Sumiyoshi,Takeshi Miyamoto,Kenji Shimada,Keiko T Kitazato,Yoshihiro Uto,Yasushi Takagi

Brain and behavior 12:e2778 PubMed36271663

2022

The protective effects of nesfatin-1 in neurological dysfunction after spinal cord injury by inhibiting neuroinflammation.

Applications

Unspecified application

Species

Unspecified reactive species

Xin Jin,Kai Guan,Zhengyu Chen,Yongwei Sun,Hongjun Huo,Jinle Wang,Huihui Dong

Frontiers in immunology 13:929244 PubMed36059489

2022

CX3CL1-induced CD16 monocytes extravasation in myeloperoxidase-ANCA-associated vasculitis correlates with renal damage.

Applications

Unspecified application

Species

Unspecified reactive species

Jiale Tang,Zhonghua Liao,Liying Luo,Shuanglinzi Deng,Yuanyuan Jiang,Fangyuan Wang,Xinyue Hu,Hongling Yin,Guanghui Gong,Juntao Feng,Xiaozhao Li

Neuropathology : official journal of the Japanese Society of Neuropathology 42:181-189 PubMed35434787

2022

NLRP3 inflammasome inhibitor ameliorates ischemic stroke by reprogramming the phenotype of microglia/macrophage in a murine model of distal middle cerebral artery occlusion.

Applications

Unspecified application

Species

Unspecified reactive species

Hongning Jia,Xiaoyuan Qi,Lan Fu,Huijun Wu,Jinxing Shang,Mingwei Qu,Chaoping Yang,Jianping Wang

Archives of rheumatology 37:335-343 PubMed36589618

2022

CD14+ monocytes and soluble CD14 of synovial fluid are associated with osteoarthritis progression.

Applications

Unspecified application

Species

Unspecified reactive species

Ha-Reum Lee,Sunyoung Lee,In Seol Yoo,Su-Jin Yoo,Mi-Hye Kwon,Chung-Il Joung,Ji Ah Park,Seong Wook Kang,Jinhyun Kim

The Journal of clinical investigation 132: PubMed35113815

2022

Lysosomal exocytosis of HSP70 stimulates monocytic BMP6 expression in Sjögren's syndrome.

Applications

Unspecified application

Species

Unspecified reactive species

Ying-Qian Mo,Hiroyuki Nakamura,Tsutomu Tanaka,Toshio Odani,Paola Perez,Youngmi Ji,Benjamin N French,Thomas Jf Pranzatelli,Drew G Michael,Hongen Yin,Susan S Chow,Maryam Khalaj,Sandra A Afione,Changyu Zheng,Fabiola Reis Oliveira,Ana Carolina F Motta,Alfredo Ribeiro-Silva,Eduardo M Rocha,Cuong Q Nguyen,Masayuki Noguchi,Tatsuya Atsumi,Blake M Warner,John A Chiorini
View all publications

Abcam product promise

当社は、高品質な試薬を通じてお客様の研究を力強くサポートすることをお約束いたします。ご使用いただく各段階で、常にお客様をサポートできる体制を整えております。万が一、製品が期待通りに機能しない場合は、「Abcam Product Promise」による当社保証制度に基づき、安心してご利用いただけます。
保証に関する詳細については利用規約をご確認ください。

Please note: All products are 'FOR RESEARCH USE ONLY. NOT FOR USE IN DIAGNOSTIC OR THERAPEUTIC PROCEDURES'.

For licensing inquiries, please contact partnerships@abcam.com