JavaScript is disabled in your browser. Please enable JavaScript to view this website.
AB231534

Anti-CD11d 抗体

Anti-CD11d antibody

Be the first to review this product! Submit a review

|

(0 Publication)

Rabbit Polyclonal CD11d antibody. Suitable for WB, IHC-P and reacts with Mouse, Human samples. Immunogen corresponding to Recombinant Fragment Protein within Mouse Itgad aa 850-1150.

別名を表示する

CD11d, Integrin alpha-D, Itgad

3 Images
Western blot - Anti-CD11d antibody (AB231534)
  • WB

Supplier Data

Western blot - Anti-CD11d antibody (AB231534)

All lanes:

Western blot - Anti-CD11d antibody (ab231534) at 2 µg/mL

All lanes:

HEK-293T (human epithelial cell line from embryonic kidney transformed with large T antigen) cell lysate.

Predicted band size: 129 kDa

false

Western blot - Anti-CD11d antibody (AB231534)
  • WB

Supplier Data

Western blot - Anti-CD11d antibody (AB231534)

All lanes:

Western blot - Anti-CD11d antibody (ab231534) at 2 µg/mL

All lanes:

Recombinant mouse CD11d protein.

Predicted band size: 129 kDa

false

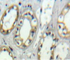
Immunohistochemistry (Formalin/PFA-fixed paraffin-embedded sections) - Anti-CD11d antibody (AB231534)
  • IHC-P

Supplier Data

Immunohistochemistry (Formalin/PFA-fixed paraffin-embedded sections) - Anti-CD11d antibody (AB231534)

Formalin-fixed, paraffin-embedded mouse kidney tissue stained for CD11d using ab231534 at 20 μg/ml in immunohistochemical analysis.

Key facts

宿主種

Rabbit

クローン性

Polyclonal

アイソタイプ

IgG

キャリアフリー

No

交差種

Mouse, Human

アプリケーション

WB, IHC-P

applications

免疫原

Recombinant Fragment Protein within Mouse Itgad aa 850-1150. The exact immunogen used to generate this antibody is proprietary information.

Q3V0T4

Reactivity data

{ "title": "Reactivity Data", "filters": { "stats": ["", "Species", "Dilution Info", "Notes"], "tabs": { "all-applications": {"fullname" : "All Applications", "shortname": "All Applications"}, "WB" : {"fullname" : "Western blot", "shortname":"WB"}, "IHCP" : {"fullname" : "Immunohistochemistry (Formalin/PFA-fixed paraffin-embedded sections)", "shortname":"IHC-P"} }, "product-promise": { "all": "all", "testedAndGuaranteed": "tested", "guaranteed": "expected", "predicted": "predicted", "notRecommended": "not-recommended" } }, "values": { "Human": { "WB-species-checked": "testedAndGuaranteed", "WB-species-dilution-info": "0.5-2 µg/mL", "WB-species-notes": "<p></p>", "IHCP-species-checked": "guaranteed", "IHCP-species-dilution-info": "", "IHCP-species-notes": "" }, "Mouse": { "WB-species-checked": "testedAndGuaranteed", "WB-species-dilution-info": "0.5-2 µg/mL", "WB-species-notes": "<p></p>", "IHCP-species-checked": "testedAndGuaranteed", "IHCP-species-dilution-info": "5-20 µg/mL", "IHCP-species-notes": "<p></p>" } } }

出荷温度及び保存条件

製品の状態
Liquid
精製方法
Affinity purification Immunogen
精製に関する特記事項
Antigen-specific affinity chromatography followed by Protein A affinity chromatography.
バッファー組成
pH: 7.4 Preservative: 0.02% Sodium azide Constituents: 55.77% Glycerol (glycerin, glycerine), 44.12% PBS
出荷温度
Blue Ice
短期保存期間
1-2 weeks
短期保存温度
+4°C
長期保存温度
-20°C
分注に関する情報
Upon delivery aliquot
保管に関する情報
Avoid freeze / thaw cycle

補足情報

This supplementary information is collated from multiple sources and compiled automatically.

CD11d also known as integrin alpha D is a protein that plays a vital role in the adhesion and migration of leukocytes. CD11d forms a heterodimer with CD18 creating the integrin alpha D beta 2 complex. This complex weighs approximately 200 kDa and is expressed mainly on monocytes macrophages and dendritic cells. CD11d is involved in the immune response particularly in the adhesion between cells and the extracellular matrix which facilitates leukocyte trafficking and tissue infiltration.
Biological function summary

CD11d is part of the integrin family a group of proteins that mediate cell surface interactions. It supports the immune surveillance role by allowing immune cells to adhere to and migrate across the vascular endothelium. CD11d is part of the αDβ2 complex which binds to several ligands including ICAM-3 and VCAM-1. This binding is essential for leukocyte migration and establishing immune cell positions during inflammation and immune responses. The protein is expressed more in conditions requiring heightened immune activities or repair.

Pathways

CD11d functions in the leukocyte adhesion cascade and interacts with various proteins such as CD18. The integrin-mediated signaling pathway sees CD11d playing a role linked to immune cell positioning and movement. It contributes to pathways associated with inflammation such as the activation of leukocytes. The signaling through the CD11d/CD18 complex affects downstream signaling events that modulate cell survival apoptosis and cytokine production.

CD11d plays a role in inflammatory diseases like atherosclerosis and chronic obstructive pulmonary disease (COPD). In atherosclerosis CD11d is linked with macrophage recruitment to the sites of developing arterial plaques. It often interacts with other integrins like CD11b influencing the extent of inflammation and plaque stability. In COPD CD11d contributes to the recruitment and retention of inflammatory cells in the lungs promoting tissue damage and disease progression. Interfering with CD11d expression or its binding capabilities presents potential therapeutic pathways for managing these conditions.

製品プロトコール

For this product, it's our understanding that no specific protocols are required. You can visit:

ターゲットの情報

Integrin alpha-D/beta-2 is a receptor for ICAM3 and VCAM1. May play a role in the atherosclerotic process such as clearing lipoproteins from plaques and in phagocytosis of blood-borne pathogens, particulate matter, and senescent erythrocytes from the blood (By similarity).
See full target information Itgad

Abcam product promise

当社は、高品質な試薬を通じてお客様の研究を力強くサポートすることをお約束いたします。ご使用いただく各段階で、常にお客様をサポートできる体制を整えております。万が一、製品が期待通りに機能しない場合は、「Abcam Product Promise」による当社保証制度に基づき、安心してご利用いただけます。
保証に関する詳細については利用規約をご確認ください。

関連製品

Select an associated product type
Alternative Product
Primary Antibodies

AB34096

Anti-CD11d antibody [CA11.8H2]

primary-antibodies

cd11d-antibody-ca118h2-ab34096

0

(0 reviews)

Alternative Product
Primary Antibodies

AB196349

Anti-CD11d antibody

primary-antibodies

cd11d-antibody-ab196349

1

(1 reviews)

Alternative Product
Primary Antibodies

AB231622

Anti-CD11d antibody

primary-antibodies

cd11d-antibody-ab231622

0

(0 reviews)

Please note: All products are 'FOR RESEARCH USE ONLY. NOT FOR USE IN DIAGNOSTIC OR THERAPEUTIC PROCEDURES'.

For licensing inquiries, please contact partnerships@abcam.com