JavaScript is disabled in your browser. Please enable JavaScript to view this website.
AB255609

Anti-CD10 抗体 [EPR22865-73]

Anti-CD10 antibody [EPR22865-73]

  • BOND RX™ Validated
  • 20ul selling size
  • RabMAb
  • Advanced Validation
  • Recombinant
  • KO Validated
  • 詳細を見る

Be the first to review this product! Submit a review

|

(5 Publications)

Rabbit Recombinant Monoclonal CD10 antibody. Suitable for mIHC, IP, WB, ICC/IF, IHC-P and reacts with Human, Mouse, Rat samples. Cited in 5 publications.

別名を表示する

CD10, EPN, MME, Neprilysin, Atriopeptidase, Common acute lymphocytic leukemia antigen, Enkephalinase, Neutral endopeptidase 24.11, Skin fibroblast elastase, CALLA, NEP, Neutral endopeptidase, SFE

15 Images
Multiplex immunohistochemistry - Anti-CD10 antibody [EPR22865-73] (AB255609)
  • mIHC

Lab

Multiplex immunohistochemistry - Anti-CD10 antibody [EPR22865-73] (AB255609)

Fluorescence multiplex immunohistochemical analysis of the human breast (Formalin/PFA-fixed paraffin-embedded sections). Panel A : merged staining of anti-B7H4 (ab252438, red; Opal™690), anti-CD10 (ab255609, gray; Opal™520) and anti-FABP4 (ab92501, cyan; Opal™570) on human breast. Panel B : anti-B7H4 stained on glandular lumens. Panel C : anti-CD10 stained on myoepithelial cells. Panel D : anti-FABP4 stained on adipocytes. Opal Polymer HRP Ms + Rb was used as a secondary antibody. The section was incubated in three rounds of staining : in the order of ab252438 at 1/100 dilution (4.69 μg/ml), ab255609 at 1/1000 dilution (0.615 μg/ml) and ab92501 at 1/10000 dilution (0.047 μg/ml) for 30 mins at room temperature. Each round was followed by a separate fluorescent tyramide signal amplification system. The immunostaining was performed on a Leica Biosystems BOND® RX instrument with an Opal™ 4-color kit. Image acquisition was performed with Leica SP8 confocal microscope. Heat mediated antigen retrieval with Tris-EDTA buffer (pH 9.0, epitope retrieval solution2) for 20 mins. DAPI (blue) was used as a nuclear counter stain.

Multiplex immunohistochemistry - Anti-CD10 antibody [EPR22865-73] (AB255609)
  • mIHC

Lab

Multiplex immunohistochemistry - Anti-CD10 antibody [EPR22865-73] (AB255609)

Multiplex immunohistochemistry analysis of formalin/PFA-fixed paraffin-embedded human endometrium tissue staining SLC34A2 with ab325747 at a 1 : 500 (0.99 ug/ml) dilution, ab40772 anti-E Cadherin used at 1 : 1000 (0.325 ug/ml) dilution and ab255609 anti-CD10 used at a 1 : 1000 (0.615 ug/ml) dilution.

Panel A : merged staining of anti-SLC34A2 (green; Opal™520), anti-E Cadherin (magenta; Opal™570) and anti-CD10 (gray; Opal™690) on human endometrium.
Panel B : anti-SLC34A2 staining apical cell membrane of glandular cells in human endometrium.
Panel C : anti-E Cadherin staining glandular cells in human endometrium.
Panel D : anti-CD10 staining stromal cells in human endometrium.
Nuclear DNA was labeled with DAPI (shown in blue).

The section was incubated in three rounds of staining : in the order of ab325747, ab40772 and ab255609 for 30 mins at room temperature. Each round was followed by a separate fluorescent tyramide signal amplification system.

The immunostaining was performed on a Leica Biosystems BOND® RX instrument with an Opal™ 4-color kit. Image acquisition was performed with Leica SP8 confocal microscope.

Heat mediated antigen retrieval with Tris-EDTA buffer (pH 9.0, epitope retrieval solution2) for 20 mins.

Immunocytochemistry/ Immunofluorescence - Anti-CD10 antibody [EPR22865-73] (AB255609)
  • ICC/IF

Unknown

Immunocytochemistry/ Immunofluorescence - Anti-CD10 antibody [EPR22865-73] (AB255609)

Immunofluorescent analysis of 100% methanol-fixed Raji (human Burkitt's lymphoma cell line) cells labeling CD10 with ab255609 at 1/50 dilution, followed by Goat Anti-Rabbit IgG H&L (Alexa Fluor® 488) (ab150077) secondary antibody at 1/1000 dilution (green). Confocal image showing cytoplasmic and membranous staining in Raji cell line. The nuclear counter stain is DAPI (blue). Tubulin is detected with Anti-alpha Tubulin antibody [DM1A] - Microtubule Marker (Alexa Fluor® 594) (ab195889) at 1/200 dilution (red).

Secondary antibody only control : Used PBS instead of primary antibody, followed by Goat Anti-Rabbit IgG H&L (Alexa Fluor® 488) (ab150077) secondary antibody at 1/1000 dilution.

100% methanol was preferred as fixative.

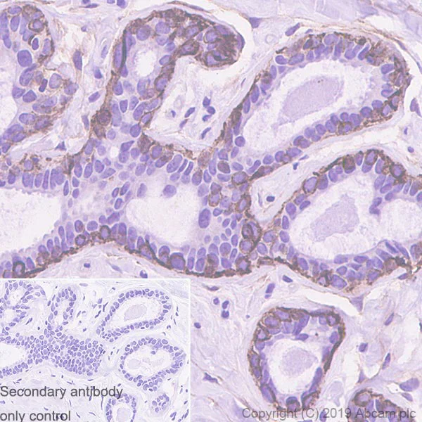
Immunohistochemistry (Formalin/PFA-fixed paraffin-embedded sections) - Anti-CD10 antibody [EPR22865-73] (AB255609)
  • IHC-P

Unknown

Immunohistochemistry (Formalin/PFA-fixed paraffin-embedded sections) - Anti-CD10 antibody [EPR22865-73] (AB255609)

Immunohistochemical analysis of paraffin-embedded human breast tissue labeling CD10 with ab255609 at 1/1000 dilution, followed by a ready to use Goat Anti-Rabbit IgG H&L (HRP) ready to use. Membranous staining on myoepithelial cells of human breast (PMID : 10705818, 17143263) is observed. Counter stained with hematoxylin.

Secondary antibody only control : Used PBS instead of primary antibody, secondary antibody is a Goat Anti-Rabbit IgG H&L (HRP) ready to use.

Heat mediated antigen retrieval using ab93684 (Tris/EDTA buffer, pH 9.0).

Immunohistochemistry (Formalin/PFA-fixed paraffin-embedded sections) - Anti-CD10 antibody [EPR22865-73] (AB255609)
  • IHC-P

Lab

Immunohistochemistry (Formalin/PFA-fixed paraffin-embedded sections) - Anti-CD10 antibody [EPR22865-73] (AB255609)

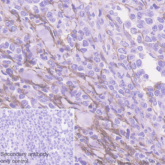
Immunohistochemical analysis of paraffin-embedded Human diffuse large B-cell lymphoma labelling CD10 with ab255609 at 1/1000 dilution, followed by a Goat Anti-Rabbit IgG H&L (HRP polymer) ready to use (ab214880). Positive staining on human diffuse large B-cell lymphoma is observed. Counter stained with hematoxylin. Secondary antibody only control : Used PBS instead of primary antibody, secondary antibody is a Goat Anti-Rabbit IgG H&L (HRP polymer) ready to use. Heat mediated antigen retrieval using ab93684 (Tris/EDTA buffer, pH 9.0).

Multiplex immunohistochemistry - Anti-CD10 antibody [EPR22865-73] (AB255609)
  • mIHC

Supplier Data

Multiplex immunohistochemistry - Anti-CD10 antibody [EPR22865-73] (AB255609)

Fluorescence multiplex immunohistochemical analysis of the human endometrium (Formalin/PFA-fixed paraffin-embedded sections). Panel A : merged staining of anti-E Cadherin (ab256580, red; Opal™690), anti-SLC34A2 (ab238793, green; Opal™520) and anti-CD10 (ab255609, cyan; Opal™570) on human endometrium. Panel B : anti-CD10 stained on stromal cells. Panel C : anti-E Cadherin stained on glandular cells. Panel D : anti-SLC34A2 stained on apical membrane of glandular cells. Opal Polymer HRP Ms + Rb was used as a secondary antibody. The section was incubated in three rounds of staining : in the order of ab256580 at 1/3000 dilution  (0.324 μg/ml) for 30mins, ab238793 at 1/1000 dilution (2.26 μg/ml) for 10mins and ab255609 at 1/1000 dilution (0.615 μg/ml) for 30 mins at room temperature. Each round was followed by a separate fluorescent tyramide signal amplification system. The immunostaining was performed on a Leica Biosystems BOND® RX instrument with an Opal™ 4-color kit. Image acquisition was performed with Leica SP8 confocal microscope. Heat mediated antigen retrieval with Tris-EDTA buffer (pH 9.0, epitope retrieval solution2) for 20 mins. DAPI (blue) was used as a nuclear counter stain.

Multiplex immunohistochemistry - Anti-CD10 antibody [EPR22865-73] (AB255609)
  • mIHC

Lab

Multiplex immunohistochemistry - Anti-CD10 antibody [EPR22865-73] (AB255609)

Multiplex immunohistochemistry analysis of formalin/PFA-fixed paraffin-embedded human endometrial cancer tissue staining SLC34A2 with ab325747 at a 1 : 500 (0.99 ug/ml) dilution, ab40772 anti-E Cadherin used at 1 : 1000 (0.325 ug/ml) dilution and ab255609 anti-CD10 used at a 1 : 1000 (0.615 ug/ml) dilution.

Panel A : merged staining of anti-SLC34A2 (green; Opal™520), anti-E Cadherin (magenta; Opal™570) and anti-CD10 (gray; Opal™690) on human endometrial cancer.
Panel B : anti-SLC34A2 staining apical cell membrane of glandular cells in human endometrial cancer.
Panel C : anti-E Cadherin staining glandular cells in human endometrial cancer.
Panel D : anti-CD10 staining stromal cells in human endometrial cancer.
Nuclear DNA was labeled with DAPI (shown in blue).

The section was incubated in three rounds of staining : in the order of ab325747, ab40772 and ab255609 for 30 mins at room temperature. Each round was followed by a separate fluorescent tyramide signal amplification system.

The immunostaining was performed on a Leica Biosystems BOND® RX instrument with an Opal™ 4-color kit. Image acquisition was performed with Leica SP8 confocal microscope.

Heat mediated antigen retrieval with Tris-EDTA buffer (pH 9.0, epitope retrieval solution2) for 20 mins.

Immunohistochemistry (Formalin/PFA-fixed paraffin-embedded sections) - Anti-CD10 antibody [EPR22865-73] (AB255609)
  • IHC-P

Unknown

Immunohistochemistry (Formalin/PFA-fixed paraffin-embedded sections) - Anti-CD10 antibody [EPR22865-73] (AB255609)

Immunohistochemical analysis of paraffin-embedded human tonsil tissue labeling CD10 with ab255609 at 1/1000 dilution, followed by a Goat Anti-Rabbit IgG H&L (HRP) ready to use. Membranous staining on germinal center of human tonsil (PMID : 10843287) is observed. Counter stained with hematoxylin.

Secondary antibody only control : Used PBS instead of primary antibody, secondary antibody is a Goat Anti-Rabbit IgG H&L (HRP) ready to use.

Heat mediated antigen retrieval using ab93684 (Tris/EDTA buffer, pH 9.0).

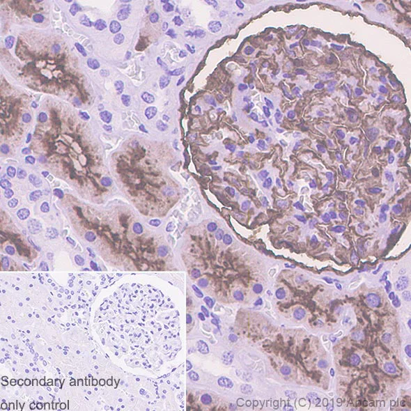
Immunohistochemistry (Formalin/PFA-fixed paraffin-embedded sections) - Anti-CD10 antibody [EPR22865-73] (AB255609)
  • IHC-P

Unknown

Immunohistochemistry (Formalin/PFA-fixed paraffin-embedded sections) - Anti-CD10 antibody [EPR22865-73] (AB255609)

Immunohistochemical analysis of paraffin-embedded human kidney tissue labeling CD10 with ab255609 at 1/1000 dilution, followed by a Goat Anti-Rabbit IgG H&L (HRP) ready to use. Positive staining on proximal convoluted tubules and glomerular epithelial cells of human kidney (PMID : 10705818) is observed. Counter stained with hematoxylin.

Secondary antibody only control : Used PBS instead of primary antibody, secondary antibody is a Goat Anti-Rabbit IgG H&L (HRP) ready to use.

Heat mediated antigen retrieval using ab93684 (Tris/EDTA buffer, pH 9.0).

Immunocytochemistry/ Immunofluorescence - Anti-CD10 antibody [EPR22865-73] (AB255609)
  • ICC/IF

Unknown

Immunocytochemistry/ Immunofluorescence - Anti-CD10 antibody [EPR22865-73] (AB255609)

Immunofluorescent analysis of 100% methanol-fixed Ramos (human Burkitt's lymphoma cell line) cells labeling CD10 with ab255609 at 1/50 dilution, followed by Goat Anti-Rabbit IgG H&L (Alexa Fluor® 488) (ab150077) secondary antibody at 1/1000 dilution (green). Confocal image showing cytoplasmic and membranous staining in Ramos cell line. The nuclear counter stain is DAPI (blue). Tubulin is detected with Anti-alpha Tubulin antibody [DM1A] - Microtubule Marker (Alexa Fluor® 594) (ab195889) at 1/200 dilution (red).

Secondary antibody only control : Used PBS instead of primary antibody, followed by Goat Anti-Rabbit IgG H&L (Alexa Fluor® 488) (ab150077) secondary antibody at 1/1000 dilution.

100% methanol was preferred as fixative.

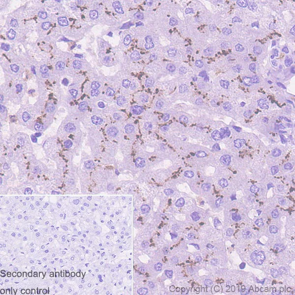
Immunohistochemistry (Formalin/PFA-fixed paraffin-embedded sections) - Anti-CD10 antibody [EPR22865-73] (AB255609)
  • IHC-P

Unknown

Immunohistochemistry (Formalin/PFA-fixed paraffin-embedded sections) - Anti-CD10 antibody [EPR22865-73] (AB255609)

Immunohistochemical analysis of paraffin-embedded human liver tissue labeling CD10 with ab255609 at 1/1000 dilution, followed by a Goat Anti-Rabbit IgG H&L (HRP) ready to use. Membranous staining on intrahepatic canaliculi of human liver (PMID : 10705818) is observed. Counter stained with hematoxylin.

Secondary antibody only control : Used PBS instead of primary antibody, secondary antibody is a Goat Anti-Rabbit IgG H&L (HRP) ready to use.

Heat mediated antigen retrieval using ab93684 (Tris/EDTA buffer, pH 9.0).

Immunoprecipitation - Anti-CD10 antibody [EPR22865-73] (AB255609)
  • IP

Unknown

Immunoprecipitation - Anti-CD10 antibody [EPR22865-73] (AB255609)

CD10 was immunoprecipitated from 0.35 mg of Raji (human Burkitt's lymphoma cell line) whole cell lysate with ab255609 at 1/30 dilution. Western blot was performed from the immunoprecipitate using ab255609 at 1/1000 dilution. VeriBlot for IP Detection Reagent (HRP) (ab131366), was used as secondary antibody at 1/5000 dilution.

Lane 1 : Raji whole cell lysate 10 μg (Input).
Lane 2 : ab255609 IP in Raji whole cell lysate.
Lane 3 : Rabbit monoclonal IgG (ab172730) instead of ab255609 in Raji whole cell lysate.

Blocking and dilution buffer and concentration : 5% NFDM/TBST.
Exposure time : 30 seconds.

All lanes:

Immunoprecipitation - Anti-CD10 antibody [EPR22865-73] (ab255609)

Predicted band size: 85 kDa

Observed band size: 100 kDa

false

Western blot - Anti-CD10 antibody [EPR22865-73] (AB255609)
  • WB

Lab

Western blot - Anti-CD10 antibody [EPR22865-73] (AB255609)

ab255609 was shown to specifically react with CD10 in wild-type HAP1 cells as signal was lost in CD10 knockout cells. Wild-type and CD10 knockout samples were subjected to SDS-PAGE. ab255609 and ab181602 (Rabbit anti-GAPDH loading control) were incubated 1 hour at room temperature at 1/1000 dilution and 1/200,000 dilution respectively. Blots were developed with Goat Anti-Rabbit IgG, (H+L), Peroxidase conjugated (ab97051) secondary antibody at 1/100,000 dilution for 1 hour at room temperature before imaging. The blot was developed on a BIO-RAD® ChemiDoc™ MP instrument using the ECL technique.

Lanes 5-6 in this blot were developed using a higher sensitivity ECL substrate.

Blocking and dilution buffer : 5% NFDM/TBST.

Exposure times.

Lane 1 : 10 seconds; Lanes 2-4 : 15 seconds; Lanes 5-6 : 70 seconds.

The molecular weight observed is consistent with what has been described in the literature (PMID : 15286660).

Negative control : HT-29 (PMID : 19828468).

All lanes:

Western blot - Anti-CD10 antibody [EPR22865-73] (ab255609) at 1/1000 dilution

Lane 1:

Human placenta tissue lysate at 20 µg

Lane 2:

Raji (human Burkitt's lymphoma cell line) whole cell lysate at 20 µg

Lane 3:

Ramos (human Burkitt's lymphoma cell line) whole cell lysate at 20 µg

Lane 4:

HT-29 (human colorectal adenocarcinoma cell line) whole cell lysate at 20 µg

Lane 5:

Wild-type HAP1 whole cell lysate at 20 µg

Lane 6:

CD10 knockout HAP1 whole cell lysate at 20 µg

Secondary

Lane 1:

Western blot - VeriBlot for IP Detection Reagent (HRP) (<a href='/products/reagents/veriblot-for-ip-detection-reagent-hrp-ab131366'>ab131366</a>) at 1/1000 dilution

Lanes 2 - 4:

Western blot - Goat Anti-Rabbit IgG H&L (HRP) (<a href='/products/secondary-antibodies/goat-rabbit-igg-h-l-hrp-ab97051'>ab97051</a>) at 1/100000 dilution

Predicted band size: 85 kDa

Observed band size: 100 kDa

false

Western blot - Anti-CD10 antibody [EPR22865-73] (AB255609)
  • WB

Lab

Western blot - Anti-CD10 antibody [EPR22865-73] (AB255609)

Blocking and dilution buffer : 5% NFDM/TBST.

The molecular weight observed is consistent with what has been described in the literature (PMID : 15286660).

All lanes:

Western blot - Anti-CD10 antibody [EPR22865-73] (ab255609) at 1/1000 dilution

Lane 1:

Rat kidney tissue lysate at 20 µg

Lane 2:

Rat liver tissue lysate at 20 µg

Secondary

All lanes:

Western blot - Goat Anti-Rabbit IgG H&L (HRP) (<a href='/products/secondary-antibodies/goat-rabbit-igg-h-l-hrp-ab97051'>ab97051</a>) at 1/100000 dilution

Predicted band size: 85 kDa

Observed band size: 100 kDa

false

Exposure time: 15s

Western blot - Anti-CD10 antibody [EPR22865-73] (AB255609)
  • WB

Lab

Western blot - Anti-CD10 antibody [EPR22865-73] (AB255609)

Blocking and dilution buffer : 5% NFDM/TBST.

The molecular weight observed is consistent with what has been described in the literature (PMID : 15286660).

All lanes:

Western blot - Anti-CD10 antibody [EPR22865-73] (ab255609) at 1/1000 dilution

All lanes:

Mouse kidney tissue lysate at 20 µg

Secondary

All lanes:

Western blot - Goat Anti-Rabbit IgG H&L (HRP) (<a href='/products/secondary-antibodies/goat-rabbit-igg-h-l-hrp-ab97051'>ab97051</a>) at 1/100000 dilution

Predicted band size: 85 kDa

Observed band size: 100 kDa

false

Exposure time: 3min

関連する標識済み抗体及び組成の異なる製品 (1)

  • Carrier free

    Anti-CD10 antibody [EPR22865-73] - BSA and Azide free

Key facts

宿主種

Rabbit

クローン性

Monoclonal

クローン番号

EPR22865-73

アイソタイプ

IgG

キャリアフリー

No

交差種

Mouse, Rat, Human

アプリケーション

IP, mIHC, IHC-P, ICC/IF, WB

applications

免疫原

The exact immunogen used to generate this antibody is proprietary information.

Reactivity data

{ "title": "Reactivity Data", "filters": { "stats": ["", "Species", "Dilution Info", "Notes"], "tabs": { "all-applications": {"fullname" : "All Applications", "shortname": "All Applications"}, "mIHC" : {"fullname" : "Multiplex immunohistochemistry", "shortname":"mIHC"}, "IP" : {"fullname" : "Immunoprecipitation", "shortname":"IP"}, "FlowCyt" : {"fullname" : "Flow Cytometry", "shortname":"Flow Cyt"}, "WB" : {"fullname" : "Western blot", "shortname":"WB"}, "ICCIF" : {"fullname" : "Immunocytochemistry/ Immunofluorescence", "shortname":"ICC/IF"}, "IHCP" : {"fullname" : "Immunohistochemistry (Formalin/PFA-fixed paraffin-embedded sections)", "shortname":"IHC-P"} }, "product-promise": { "all": "all", "testedAndGuaranteed": "tested", "guaranteed": "expected", "predicted": "predicted", "notRecommended": "not-recommended" } }, "values": { "Human": { "mIHC-species-checked": "testedAndGuaranteed", "mIHC-species-dilution-info": "1/1000", "mIHC-species-notes": "<p></p>", "IP-species-checked": "testedAndGuaranteed", "IP-species-dilution-info": "1/30", "IP-species-notes": "<p></p>", "FlowCyt-species-checked": "notRecommended", "FlowCyt-species-dilution-info": "", "FlowCyt-species-notes": "<p></p>", "WB-species-checked": "testedAndGuaranteed", "WB-species-dilution-info": "1/1000", "WB-species-notes": "<p></p>", "ICCIF-species-checked": "testedAndGuaranteed", "ICCIF-species-dilution-info": "1/50", "ICCIF-species-notes": "<p></p>", "IHCP-species-checked": "testedAndGuaranteed", "IHCP-species-dilution-info": "1/1000", "IHCP-species-notes": "<p></p> Perform heat-mediated antigen retrieval with Tris/EDTA buffer pH 9.0 before commencing with IHC staining protocol." }, "Mouse": { "mIHC-species-checked": "guaranteed", "mIHC-species-dilution-info": "", "mIHC-species-notes": "", "IP-species-checked": "guaranteed", "IP-species-dilution-info": "", "IP-species-notes": "", "FlowCyt-species-checked": "notRecommended", "FlowCyt-species-dilution-info": "", "FlowCyt-species-notes": "", "WB-species-checked": "testedAndGuaranteed", "WB-species-dilution-info": "1/1000", "WB-species-notes": "<p></p>", "ICCIF-species-checked": "guaranteed", "ICCIF-species-dilution-info": "", "ICCIF-species-notes": "", "IHCP-species-checked": "notRecommended", "IHCP-species-dilution-info": "", "IHCP-species-notes": "<p></p>" }, "Rat": { "mIHC-species-checked": "guaranteed", "mIHC-species-dilution-info": "", "mIHC-species-notes": "", "IP-species-checked": "guaranteed", "IP-species-dilution-info": "", "IP-species-notes": "", "FlowCyt-species-checked": "notRecommended", "FlowCyt-species-dilution-info": "", "FlowCyt-species-notes": "", "WB-species-checked": "testedAndGuaranteed", "WB-species-dilution-info": "1/1000", "WB-species-notes": "<p></p>", "ICCIF-species-checked": "guaranteed", "ICCIF-species-dilution-info": "", "ICCIF-species-notes": "", "IHCP-species-checked": "notRecommended", "IHCP-species-dilution-info": "", "IHCP-species-notes": "<p></p>" } } }

製品の詳細

Patented technology
Our RabMAb® technology is a patented hybridoma-based technology for making rabbit monoclonal antibodies. For details on our patents, please refer to RabMAb® patents.

What are the advantages of a recombinant monoclonal antibody?
This product is a recombinant monoclonal antibody, which offers several advantages including:

  • - High batch-to-batch consistency and reproducibility
  • - Improved sensitivity and specificity
  • - Long-term security of supply
  • - Animal-free batch production

For more information, read more on recombinant antibodies.

出荷温度及び保存条件

製品の状態
Liquid
精製方法
Affinity purification Protein A
バッファー組成
pH: 7.2 - 7.4 Preservative: 0.01% Sodium azide Constituents: PBS, 40% Glycerol (glycerin, glycerine), 0.05% BSA
出荷温度
Blue Ice
短期保存期間
1-2 weeks
短期保存温度
+4°C
長期保存温度
-20°C
分注に関する情報
Upon delivery aliquot
保管に関する情報
Avoid freeze / thaw cycle

補足情報

This supplementary information is collated from multiple sources and compiled automatically.

CD10 also known as neprilysin or neutral endopeptidase is a zinc-dependent metalloprotease enzyme with a mass of approximately 100 kDa. This enzyme is expressed across a variety of tissues including kidney lung and neutrophils. Its expression is also notable in the lymphoid tissues. CD10 functions by cleaving peptides at the N-terminal of hydrophobic residues. Common names used in literature for CD10 include CALLA (common acute lymphoblastic leukemia antigen) and membrane metalloendopeptidase.
Biological function summary

CD10 regulates peptide signaling by inactivating various bioactive peptides such as enkephalins atrial natriuretic peptide and bradykinin. It does not function as part of a complex but rather as a standalone entity. The ability of CD10 to hydrolyze peptides influences signal transmission across cellular membranes impacting cellular communication and signal termination within different systems.

Pathways

Neprilysin plays an essential role in hydrolyzing signaling peptides in several critical pathways. It is especially significant in the natriuretic peptide system and the renin-angiotensin system maintaining blood pressure and fluid balance. Within these pathways CD10 modifies peptides working alongside proteins like atrial natriuretic peptide synthase and angiotensin-converting enzyme ensuring systemic homeostasis and cardiovascular health.

CD10 shows a significant connection to certain types of cancer and Alzheimer's disease. In oncology altered expression of CD10 serves as a CD10 marker in cancers such as lymphomas and some leukemia forms which helps in diagnosis and treatment decisions. Additionally CD10's involvement in neuropeptide degradation links it to Amyloid beta peptide accumulation in Alzheimer's where its dysregulation may promote disease progression. Related proteins are amyloid precursor protein in Alzheimer's and CD19 often co-expressed with CD10 in some lymphomas highlighting its role in both diagnostic and therapeutic contexts.

製品プロトコール

For this product, it's our understanding that no specific protocols are required. You can visit:

ターゲットの情報

Thermolysin-like specificity, but is almost confined on acting on polypeptides of up to 30 amino acids (PubMed : 15283675, PubMed : 6208535, PubMed : 6349683, PubMed : 8168535). Biologically important in the destruction of opioid peptides such as Met- and Leu-enkephalins by cleavage of a Gly-Phe bond (PubMed : 17101991, PubMed : 6349683). Catalyzes cleavage of bradykinin, substance P and neurotensin peptides (PubMed : 6208535). Able to cleave angiotensin-1, angiotensin-2 and angiotensin 1-9 (PubMed : 15283675, PubMed : 6349683). Involved in the degradation of atrial natriuretic factor (ANF) and brain natriuretic factor (BNP(1-32)) (PubMed : 16254193, PubMed : 2531377, PubMed : 2972276). Displays UV-inducible elastase activity toward skin preelastic and elastic fibers (PubMed : 20876573).
See full target information MME

文献 (5)

Recent publications for all applications. Explore the full list and refine your search

Medicine 104:e41375 PubMed39889162

2025

Potential prognostic and immunologic significances of ADAM8 in clear cell renal cell carcinoma.

Applications

Unspecified application

Species

Unspecified reactive species

Ming Chuan Chu,Zhi Lei Zhang,Zhi Qiang Wang,Zong Yang Li,Yong Shun Guo

The Journal of veterinary medical science 86:684-688 PubMed38644184

2024

Benign mixed mammary tumor with sebaceous differentiation in a dog.

Applications

Unspecified application

Species

Unspecified reactive species

Ying Ma,Junchao Shi,Huijun Lu,Jing Zhang,Zheng Liu,Jianwei Wei,Kui Zhao,Feng Gao,Wenqi He

Oncogene 42:224-237 PubMed36418470

2022

CCL18 signaling from tumor-associated macrophages activates fibroblasts to adopt a chemoresistance-inducing phenotype.

Applications

Unspecified application

Species

Unspecified reactive species

Wenfeng Zeng,Lixiong Xiong,Wei Wu,Shunrong Li,Jiang Liu,Linbing Yang,Liyan Lao,Penghan Huang,Mengmeng Zhang,Huiping Chen,Nanyan Miao,Zhirong Lin,Zifei Liu,Xinyu Yang,Jiayi Wang,Pei Wang,Erwei Song,Yandan Yao,Yan Nie,Jianing Chen,Di Huang

Translational psychiatry 11:542 PubMed34671017

2021

Bilobalide inhibits inflammation and promotes the expression of Aβ degrading enzymes in astrocytes to rescue neuronal deficiency in AD models.

Applications

Unspecified application

Species

Unspecified reactive species

Jun Xiang,Feng Yang,Wen Zhu,Min Cai,Xiang-Ting Li,Jing-Si Zhang,Zhong-Hai Yu,Wen Zhang,Ding-Fang Cai

Stem cell research & therapy 12:130 PubMed33579355

2021

Endometrial regeneration with endometrial epithelium: homologous orchestration with endometrial stroma as a feeder.

Applications

Unspecified application

Species

Unspecified reactive species

Ryo Yokomizo,Yukiko Fujiki,Harue Kishigami,Hiroshi Kishi,Tohru Kiyono,Sanae Nakayama,Haruhiko Sago,Aikou Okamoto,Akihiro Umezawa
View all publications

Abcam product promise

当社は、高品質な試薬を通じてお客様の研究を力強くサポートすることをお約束いたします。ご使用いただく各段階で、常にお客様をサポートできる体制を整えております。万が一、製品が期待通りに機能しない場合は、「Abcam Product Promise」による当社保証制度に基づき、安心してご利用いただけます。
保証に関する詳細については利用規約をご確認ください。

Please note: All products are 'FOR RESEARCH USE ONLY. NOT FOR USE IN DIAGNOSTIC OR THERAPEUTIC PROCEDURES'.

For licensing inquiries, please contact partnerships@abcam.com