JavaScript is disabled in your browser. Please enable JavaScript to view this website.
AB317579

Anti-CCXCR1/XCR1 抗体 [CIA207A] - BSA and Azide free

Anti-CCXCR1/XCR1 antibody [CIA207A] - BSA and Azide free

Be the first to review this product! Submit a review

|

(0 Publication)

Rat Recombinant Monoclonal CCXCR1/XCR1 antibody. Carrier free. Suitable for I-ELISA, IHC-P and reacts with Recombinant fragment - Human, Human samples.

別名を表示する

CCXCR1, GPR5, XCR1, Chemokine XC receptor 1, G-protein coupled receptor 5, Lymphotactin receptor, XC chemokine receptor 1

5 Images
Immunohistochemistry (Formalin/PFA-fixed paraffin-embedded sections) - Anti-CCXCR1/XCR1 antibody [CIA207A] - BSA and Azide free (AB317579)
  • IHC-P

Supplier Data

Immunohistochemistry (Formalin/PFA-fixed paraffin-embedded sections) - Anti-CCXCR1/XCR1 antibody [CIA207A] - BSA and Azide free (AB317579)

This data was developed using ab317578, the same antibody clone in a different buffer formulation.

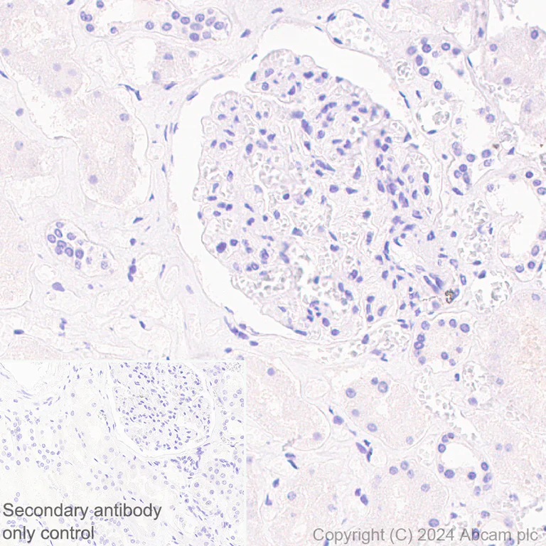
Immunohistochemical analysis of paraffin-embedded Human kidney tissue labeling CCXCR1/XCR1 with ab317578 at 1/100 (8.79 ug/ml) dilution, followed by a ready to use Goat Anti-Rat IgG H&L (HRP polymer) (ab214882).

Negative control : No staining on human kidney.
The section was incubated with ab317578 for 30 mins at room temperature.
The immunostaining was performed on a Leica Biosystems BOND® RX instrument

Counterstained with Hematoxylin.

Secondary antibody only control : Secondary antibody is a ready to use Goat Anti-Rat IgG H&L (HRP polymer) (ab214882).

Heat mediated antigen retrieval was performed with Tris-EDTA buffer (pH 9.0, Epitope Retrieval Solution2) for 20 mins

Immunohistochemistry (Formalin/PFA-fixed paraffin-embedded sections) - Anti-CCXCR1/XCR1 antibody [CIA207A] - BSA and Azide free (AB317579)
  • IHC-P

Supplier Data

Immunohistochemistry (Formalin/PFA-fixed paraffin-embedded sections) - Anti-CCXCR1/XCR1 antibody [CIA207A] - BSA and Azide free (AB317579)

This data was developed using ab317578, the same antibody clone in a different buffer formulation.

Immunohistochemical analysis of paraffin-embedded Human skeletal muscle tissue labeling CCXCR1/XCR1 with ab317578 at 1/100 (8.79 ug/ml) dilution, followed by a ready to use Goat Anti-Rat IgG H&L (HRP polymer) (ab214882).

Negative control : No staining on human skeletal muscle.
The section was incubated with ab317578 for 30 mins at room temperature.
The immunostaining was performed on a Leica Biosystems BOND® RX instrument

Counterstained with Hematoxylin.

Secondary antibody only control : Secondary antibody is a ready to use Goat Anti-Rat IgG H&L (HRP polymer) (ab214882).

Heat mediated antigen retrieval was performed with Tris-EDTA buffer (pH 9.0, Epitope Retrieval Solution2) for 20 mins

Immunohistochemistry (Formalin/PFA-fixed paraffin-embedded sections) - Anti-CCXCR1/XCR1 antibody [CIA207A] - BSA and Azide free (AB317579)
  • IHC-P

Supplier Data

Immunohistochemistry (Formalin/PFA-fixed paraffin-embedded sections) - Anti-CCXCR1/XCR1 antibody [CIA207A] - BSA and Azide free (AB317579)

This data was developed using ab317578, the same antibody clone in a different buffer formulation.

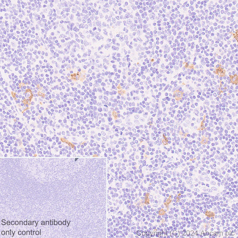
Immunohistochemical analysis of paraffin-embedded Human tonsil tissue labeling CCXCR1/XCR1 with ab317578 at 1/100 (8.79 ug/ml) dilution, followed by a ready to use Goat Anti-Rat IgG H&L (HRP polymer) (ab214882).

Positive staining on human tonsil.
The section was incubated with ab317578 for 30 mins at room temperature.
The immunostaining was performed on a Leica Biosystems BOND® RX instrument

Counterstained with Hematoxylin.

Secondary antibody only control : Secondary antibody is a ready to use Goat Anti-Rat IgG H&L (HRP polymer) (ab214882).

Heat mediated antigen retrieval was performed with Tris-EDTA buffer (pH 9.0, Epitope Retrieval Solution2) for 20 mins

Immunohistochemistry (Formalin/PFA-fixed paraffin-embedded sections) - Anti-CCXCR1/XCR1 antibody [CIA207A] - BSA and Azide free (AB317579)
  • IHC-P

Supplier Data

Immunohistochemistry (Formalin/PFA-fixed paraffin-embedded sections) - Anti-CCXCR1/XCR1 antibody [CIA207A] - BSA and Azide free (AB317579)

This data was developed using ab317578, the same antibody clone in a different buffer formulation.

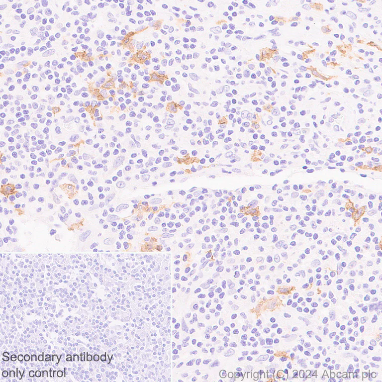
Immunohistochemical analysis of paraffin-embedded Human Hodgkin's lymphoma tissue labeling CCXCR1/XCR1 with ab317578 at 1/100 (8.79 ug/ml) dilution, followed by a ready to use Goat Anti-Rat IgG H&L (HRP polymer) (ab214882).

Positive staining on human Hodgkin's lymphoma.
The section was incubated with ab317578 for 30 mins at room temperature.
The immunostaining was performed on a Leica Biosystems BOND® RX instrument

Counterstained with Hematoxylin.

Secondary antibody only control : Secondary antibody is a ready to use Goat Anti-Rat IgG H&L (HRP polymer) (ab214882).

Heat mediated antigen retrieval was performed with Tris-EDTA buffer (pH 9.0, Epitope Retrieval Solution2) for 20 mins

Indirect ELISA - Anti-CCXCR1/XCR1 antibody [CIA207A] - BSA and Azide free (AB317579)
  • I-ELISA

Supplier Data

Indirect ELISA - Anti-CCXCR1/XCR1 antibody [CIA207A] - BSA and Azide free (AB317579)

This data was developed using ab317578, the same antibody clone in a different buffer formulation.

Indirect ELISA analysis of ab317578 at 2000-0 ng/ml. The Secondary antibody used was Alkaline Phosphatase-conjugated AffiniPure Goat Anti-Rat IgG (H+L) at 1 : 1000 dilution.

Antigen : Human CCXCR1/XCR1.

Antigen concentration : 1000 ng/ml

関連する標識済み抗体及び組成の異なる製品 (1)

Key facts

宿主種

Rat

クローン性

Monoclonal

クローン番号

CIA207A

アイソタイプ

IgG2a

キャリアフリー

Yes

交差種

Human

アプリケーション

I-ELISA, IHC-P

applications

Reactivity data

{ "title": "Reactivity Data", "filters": { "stats": ["", "Species", "Dilution Info", "Notes"], "tabs": { "all-applications": {"fullname" : "All Applications", "shortname": "All Applications"}, "IELISA" : {"fullname" : "Indirect ELISA", "shortname":"I-ELISA"}, "IHCP" : {"fullname" : "Immunohistochemistry (Formalin/PFA-fixed paraffin-embedded sections)", "shortname":"IHC-P"} }, "product-promise": { "all": "all", "testedAndGuaranteed": "tested", "guaranteed": "expected", "predicted": "predicted", "notRecommended": "not-recommended" } }, "values": { "Human": { "IELISA-species-checked": "guaranteed", "IELISA-species-dilution-info": "", "IELISA-species-notes": "", "IHCP-species-checked": "testedAndGuaranteed", "IHCP-species-dilution-info": "", "IHCP-species-notes": "<p></p>" }, "Recombinant fragment - Human": { "IELISA-species-checked": "testedAndGuaranteed", "IELISA-species-dilution-info": "", "IELISA-species-notes": "<p></p>", "IHCP-species-checked": "notRecommended", "IHCP-species-dilution-info": "", "IHCP-species-notes": "" } } }

製品の詳細

ab317579 is the carrirer-free version of ab317578.

This antibody clone is manufactured by Abcam. If you require a custom buffer formulation or conjugation for your experiments, please contact orders@abcam.com.

What are the advantages of a recombinant monoclonal antibody?
This product is a recombinant monoclonal antibody, which offers several advantages including:

  • - High batch-to-batch consistency and reproducibility
  • - Improved sensitivity and specificity
  • - Long-term security of supply
  • - Animal-free batch production

For more information, read more on recombinant antibodies.

Want a custom formulation?
This antibody clone is manufactured by Abcam. If you require a custom buffer formulation or conjugation for your experiments, please contact orders@abcam.com

Conjugation ready
Our carrier-free antibodies are typically supplied in a PBS-only formulation, purified and free of BSA, sodium azide and glycerol. This conjugation-ready format is designed for use with fluorochromes, metal isotopes, oligonucleotides, and enzymes, which makes them ideal for antibody labelling, functional and cell-based assays, flow-based assays (e.g. mass cytometry) and Multiplex Imaging applications.

Use our conjugation kits for antibody conjugates that are ready-to-use in as little as 20 minutes with 1 minute hands-on-time and 100% antibody recovery: available for fluorescent dyes, HRP, biotin and gold.

Compatibility
This product is compatible with the Maxpar® Antibody Labeling Kit from Fluidigm, without the need for antibody preparation. Maxpar® is a trademark of Fluidigm Canada Inc.

出荷温度及び保存条件

製品の状態
Liquid
精製方法
Ion exchange chromatography
バッファー組成
pH: 7.2 - 7.4 Constituents: PBS
出荷温度
Blue Ice
短期保存温度
+4°C
長期保存温度
+4°C

補足情報

This supplementary information is collated from multiple sources and compiled automatically.

CCXCR1 also known as XCR1 is a chemokine receptor belonging to the C class of chemokine receptors. It has a molecular mass of approximately 38 kDa. Structurally CCXCR1 is a G protein-coupled receptor (GPCR) with seven transmembrane domains. It is selectively expressed in dendritic cells particularly in lymphoid tissues and a small subset of CD8+ T cells. CCXCR1 interacts specifically with its ligand XCL1 also known as lymphotactin to perform its function.
Biological function summary

CCXCR1 plays a significant role in immune responses by guiding the migration of dendritic cells to regions of inflammation or infection. This receptor is not part of a larger complex but works independently to achieve its function. It is essential in antigen cross-presentation enabling effective activation of cytotoxic T cells. This function is important for maintaining immune surveillance and initiating immune responses against pathogens.

Pathways

CCXCR1 is an important player in the chemokine signaling pathway and immune response regulation. It cooperates with proteins like CCR7 which also direct dendritic cell migration but to different lymphoid compartments. CCXCR1's activity influences the direction of cell migration helping cells find specific locations where their action is needed. Such coordination is vital for appropriate immune cell trafficking and function within immune systems.

CCXCR1 involvement has a significant link with autoimmune diseases like lupus. Its role in dendritic cell trafficking suggests a part in the defective immune responses observed in these disorders. Additionally research indicates its possible connection to certain cancers where its expression may affect tumor immune evasion. CCXCR1 activity and its regulation could influence disease severity or progression making it a potential target for therapeutic strategies.

製品プロトコール

For this product, it's our understanding that no specific protocols are required. You can visit:

ターゲットの情報

Receptor for chemokines SCYC1 and SCYC2. Subsequently transduces a signal by increasing the intracellular calcium ions level. Receptor for XCL1/Lymphotactin.
See full target information XCR1

Abcam product promise

当社は、高品質な試薬を通じてお客様の研究を力強くサポートすることをお約束いたします。ご使用いただく各段階で、常にお客様をサポートできる体制を整えております。万が一、製品が期待通りに機能しない場合は、「Abcam Product Promise」による当社保証制度に基づき、安心してご利用いただけます。
保証に関する詳細については利用規約をご確認ください。

Please note: All products are 'FOR RESEARCH USE ONLY. NOT FOR USE IN DIAGNOSTIC OR THERAPEUTIC PROCEDURES'.

For licensing inquiries, please contact partnerships@abcam.com