JavaScript is disabled in your browser. Please enable JavaScript to view this website.
AB273050

Anti-CCR2 抗体 [EPR20844-15]

Anti-CCR2 antibody [EPR20844-15]

4

(2 Reviews)

|

(17 Publications)

Anti-CCR2 antibody [EPR20844-15] (ab273050) is a rabbit monoclonal antibody detecting CCR2 in Western Blot, Flow Cytometry, IP, IHC-P, ICC/IF. Suitable for Mouse, Rat.

- KO validated for confirmed specificity
- Biophysical QC for unrivalled batch-batch consistency
- Over 10 publications

別名を表示する

CD192, Cmkbr2, Ccr2, C-C chemokine receptor type 2, C-C CKR-2, CC-CKR-2, CCR-2, CCR2, JE/FIC receptor, MCP-1 receptor

9 Images
Flow Cytometry - Anti-CCR2 antibody [EPR20844-15] (AB273050)
  • Flow Cyt

Lab

Flow Cytometry - Anti-CCR2 antibody [EPR20844-15] (AB273050)

Flow cytometry staining of C57 BL/6 mouse splenocytes with ab273050 (right) or Rabbit monoclonal IgG (ab172730) (left). Cells were incubated for 30 min on ice in 1x PBS containing 10μg/ml anti CD16/CD32 and 10% normal goat serum to block FC receptors and non-specific protein-protein interaction followed by the antibody ab273050 or Rabbit monoclonal IgG (ab172730) (1x 10^6 in 100 μl at 1.0 μg/ml (1/644)) for 30min on ice. The cells were simultaneously stained with Ly6G.

The secondary antibody Goat Anti-Rabbit IgG H&L (Alexa Fluor® 488) preadsorbed was incubated at 1/4000 for 30min on ice.

Acquisition of >30000 events were collected using a 50 mW Blue laser (488nm) and 525/40 bandpass filter. Events were gated on viable cells.

Flow Cytometry - Anti-CCR2 antibody [EPR20844-15] (AB273050)
  • Flow Cyt

Lab

Flow Cytometry - Anti-CCR2 antibody [EPR20844-15] (AB273050)

Flow cytometry staining of C57 BL/6 mouse bone marrow cells with ab273050 (right) or Recombinant Rabbit IgG, monoclonal [EPR25A] - Isotype Control (left). Cells were incubated for 30 min on ice in 1x PBS containing 10μg/ml anti CD16/CD32 and 10% normal goat serum to block FC receptors and non-specific protein-protein interaction followed by the antibody ab273050 or Recombinant Rabbit IgG, monoclonal [EPR25A] - Isotype Control (1x 106 in 100 μl at 0.2 μg/ml (1/12000)) for 30min on ice. The cells were simultaneously stained with CD11b.

The secondary antibody Goat Anti-Rabbit IgG H&L (Alexa Fluor® 488) preadsorbed was incubated at 1/4000 for 30min on ice

Acquisition of >30000 events were collected using a 50 mW Blue laser (488nm) and 525/40 bandpass filter. Events were gated on viable cells.

Flow Cytometry - Anti-CCR2 antibody [EPR20844-15] (AB273050)
  • Flow Cyt

Lab

Flow Cytometry - Anti-CCR2 antibody [EPR20844-15] (AB273050)

Flow cytometry staining of C57 BL/6 mouse bone marrow cells with ab273050 (right) or Rabbit monoclonal IgG (ab172730) (left). Cells were incubated for 30 min on ice in 1x PBS containing 10μg/ml anti CD16/CD32 and 10% normal goat serum to block FC receptors and non-specific protein-protein interaction followed by the antibody ab273050 or Rabbit monoclonal IgG (ab172730) (1x 10^6 in 100 μl at 0.2 μg/ml (1/3120)) for 30min on ice. The cells were simultaneously stained with Ly6G.

The secondary antibody Goat Anti-Rabbit IgG H&L (Alexa Fluor® 488) preadsorbed was incubated at 1/4000 for 30min on ice.

Acquisition of >30000 events were collected using a 50 mW Blue laser (488nm) and 525/40 bandpass filter. Events were gated on viable cells.

Flow Cytometry - Anti-CCR2 antibody [EPR20844-15] (AB273050)
  • Flow Cyt

Lab

Flow Cytometry - Anti-CCR2 antibody [EPR20844-15] (AB273050)

Flow cytometry staining of C57 BL/6 mouse bone marrow cells with ab273050 (right) or Rabbit monoclonal IgG (ab172730) (left). Cells were incubated for 30 min on ice in 1x PBS containing 10μg/ml anti CD16/CD32 and 10% normal goat serum to block FC receptors and non-specific protein-protein interaction followed by the antibody ab273050 or Rabbit monoclonal IgG (ab172730) (1x 10^6 in 100 μl at 0.2 μg/ml (1/3120)) for 30min on ice. The cells were simultaneously stained with Ly6G.

The secondary antibody Goat Anti-Rabbit IgG H&L (Alexa Fluor® 488) preadsorbed was incubated at 1/4000 for 30min on ice.

Acquisition of >30000 events were collected using a 50 mW Blue laser (488nm) and 525/40 bandpass filter. Events were gated on viable cells.

Flow Cytometry - Anti-CCR2 antibody [EPR20844-15] (AB273050)
  • Flow Cyt

Lab

Flow Cytometry - Anti-CCR2 antibody [EPR20844-15] (AB273050)

Flow cytometry staining of C57 BL/6 mouse splenocytes with ab273050 (right) or Rabbit monoclonal IgG (ab172730) (left). Cells were incubated for 30 min on ice in 1x PBS containing 10μg/ml anti CD16/CD32 and 10% normal goat serum to block FC receptors and non-specific protein-protein interaction followed by the antibody ab273050 or Rabbit monoclonal IgG (ab172730) (1x 106 in 100 μl at 1.0 μg/ml (1/644)) for 30min on ice. The cells were simultaneously stained with CD11b.

The secondary antibody Goat Anti-Rabbit IgG H&L (Alexa Fluor® 488) preadsorbed was incubated at 1/4000 for 30min on ice.

Acquisition of >30000 events were collected using a n/a. Events were gated on viable cells.

Flow Cytometry - Anti-CCR2 antibody [EPR20844-15] (AB273050)
  • Flow Cyt

Unknown

Flow Cytometry - Anti-CCR2 antibody [EPR20844-15] (AB273050)

Flow cytometric analysis of HEK-293T (human embryonic kidney epithelial cell) (transfected with GFP tagged mouse CCR2 overexpression construct) cells labelling CCR2 with ab273050 at 1/600 dilution (Right) compared with a Rabbit monoclonal IgG (ab172730) isotype control (Left). Goat anti rabbit IgG (Alexa Fluor® 647, ab150079) at 1/2000 dilution was used as the secondary antibody.

Gated on viable cells.

Immunohistochemistry (Formalin/PFA-fixed paraffin-embedded sections) - Anti-CCR2 antibody [EPR20844-15] (AB273050)
  • IHC-P

Lab

Immunohistochemistry (Formalin/PFA-fixed paraffin-embedded sections) - Anti-CCR2 antibody [EPR20844-15] (AB273050)

Immunohistochemical analysis of paraffin-embedded (A) Lymph node tissue from wild-type C57BL/6JGpt mice (B) Lymph node tissue from CCR2 knockout mice staining with ab273050 at 1/300 dilution and ready-to-use Goat Anti-Rabbit IgG H&L (HRP) secondary. Counterstaining with hematoxylin. Heat mediated antigen retrieval was performed with Citrate buffer (pH 6.0, Epitope Retrieval Solution 1) for 20 mins. Positive staining on (A) Lymph node tissue from wild-type C57BL/6JGpt mice and no staining on (B) Lymph node tissue from CCR2 knockout mice. The section was incubated with ab273050 for 30 mins at room temperature. The immunostaining was performed on a Leica Biosystems BOND™ RX instrument. The tissue samples were kindly provided by GemPharmatech. C57BL/6JGpt wildtype mice and CCR2-KO homozygous mice (Strain ID : T006112).

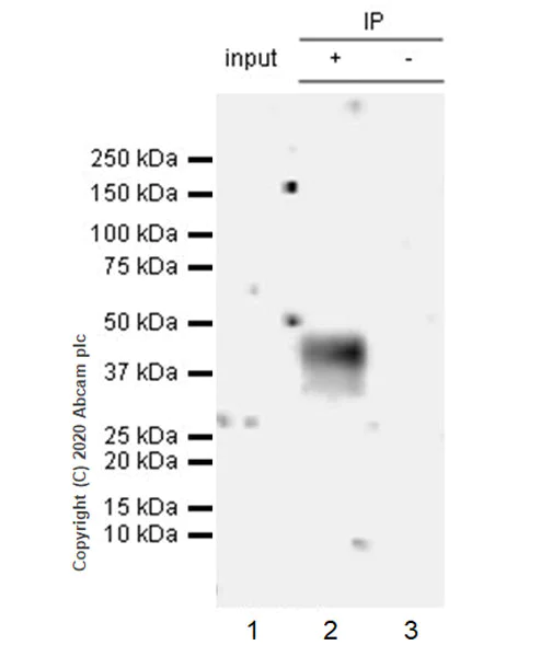
Immunoprecipitation - Anti-CCR2 antibody [EPR20844-15] (AB273050)
  • IP

Unknown

Immunoprecipitation - Anti-CCR2 antibody [EPR20844-15] (AB273050)

CCR2 was immunoprecipitated from 0.35 mg Mouse lymph node tissue lysate with ab273050 at 1/30 dilution (2ug in 0.35mg lysates). Western blot was performed on the immunoprecipitate using ab273050 at 1/500 dilution. VeriBlot for IP Detection Reagent (HRP)(ab131366) was used at 1/1000 dilution.

Lane 1 : Mouse lymph node tissue lysate 10 ug.

Lane 2 : ab273050 IP in Mouse lymph node tissue lysate.

Lane 3 : Rabbit monoclonal IgG (ab172730) instead of ab273050 in mouse lymph node tissue lysate.

Blocking and dilution buffer and concentration : 5% NFDM/TBST.

Exposure time : 3 minutes.

All lanes:

Immunoprecipitation - Anti-CCR2 antibody [EPR20844-15] (ab273050)

Predicted band size: 42 kDa

Observed band size: 40 kDa

false

Western blot - Anti-CCR2 antibody [EPR20844-15] (AB273050)
  • WB

Lab

Western blot - Anti-CCR2 antibody [EPR20844-15] (AB273050)

The tissue samples were kindly provided by GemPharmatech. C57BL/6JGpt wildtype mice and CCR2-KO homozygous mice (Strain ID : T006112).

All lanes:

Western blot - Anti-CCR2 antibody [EPR20844-15] (ab273050) at 1/1000 dilution

Lane 1:

Wild-type mouse spleen tissue lysate (male)

Lane 2:

CCR2 knockout mouse spleen tissue lysate (male)

Lane 3:

Wild-type mouse lung tissue lysate (male)

Lane 4:

CCR2 knockout mouse lung tissue lysate (male)

Lane 5:

Wild-type mouse spleen tissue lysate (female)

Lane 6:

CCR2 knockout mouse spleen tissue lysate (female)

Lane 7:

Wild-type mouse lung tissue lysate (female)

Lane 8:

CCR2 knockout mouse lung tissue lysate (female)

false

関連する標識済み抗体及び組成の異なる製品 (5)

  • Carrier free

    Anti-CCR2 antibody [EPR20844-15] - BSA and Azide free

  • 617 Alexa Fluor® 594

    Alexa Fluor® 594 Anti-CCR2 antibody [EPR20844-15]

  • 665 Alexa Fluor® 647

    Alexa Fluor® 647 Anti-CCR2 antibody [EPR20844-15]

  • 519 Alexa Fluor® 488

    Alexa Fluor® 488 Anti-CCR2 antibody [EPR20844-15]

  • 660 APC

    APC Anti-CCR2 antibody [EPR20844-15]

Key facts

宿主種

Rabbit

クローン性

Monoclonal

クローン番号

EPR20844-15

アイソタイプ

IgG

キャリアフリー

No

交差種

Mouse, Rat

アプリケーション

Flow Cyt, IHC-P, WB, IP, ICC/IF

applications

免疫原

The exact immunogen used to generate this antibody is proprietary information.

Reactivity data

{ "title": "Reactivity Data", "filters": { "stats": ["", "Species", "Dilution Info", "Notes"], "tabs": { "all-applications": {"fullname" : "All Applications", "shortname": "All Applications"}, "IP" : {"fullname" : "Immunoprecipitation", "shortname":"IP"}, "FlowCyt" : {"fullname" : "Flow Cytometry", "shortname":"Flow Cyt"}, "WB" : {"fullname" : "Western blot", "shortname":"WB"}, "ICCIF" : {"fullname" : "Immunocytochemistry/ Immunofluorescence", "shortname":"ICC/IF"}, "IHCP" : {"fullname" : "Immunohistochemistry (Formalin/PFA-fixed paraffin-embedded sections)", "shortname":"IHC-P"} }, "product-promise": { "all": "all", "testedAndGuaranteed": "tested", "guaranteed": "expected", "predicted": "predicted", "notRecommended": "not-recommended" } }, "values": { "Human": { "IP-species-checked": "notRecommended", "IP-species-dilution-info": "", "IP-species-notes": "", "FlowCyt-species-checked": "notRecommended", "FlowCyt-species-dilution-info": "", "FlowCyt-species-notes": "", "WB-species-checked": "notRecommended", "WB-species-dilution-info": "", "WB-species-notes": "<p></p>", "ICCIF-species-checked": "notRecommended", "ICCIF-species-dilution-info": "", "ICCIF-species-notes": "", "IHCP-species-checked": "notRecommended", "IHCP-species-dilution-info": "1/250", "IHCP-species-notes": "<p></p>" }, "Mouse": { "IP-species-checked": "testedAndGuaranteed", "IP-species-dilution-info": "1/30", "IP-species-notes": "<p></p>", "FlowCyt-species-checked": "testedAndGuaranteed", "FlowCyt-species-dilution-info": "1/600", "FlowCyt-species-notes": "<p></p>", "WB-species-checked": "testedAndGuaranteed", "WB-species-dilution-info": "", "WB-species-notes": "<p></p>", "ICCIF-species-checked": "guaranteed", "ICCIF-species-dilution-info": "", "ICCIF-species-notes": "", "IHCP-species-checked": "testedAndGuaranteed", "IHCP-species-dilution-info": "1/250", "IHCP-species-notes": "<p></p>" }, "Rat": { "IP-species-checked": "guaranteed", "IP-species-dilution-info": "", "IP-species-notes": "", "FlowCyt-species-checked": "guaranteed", "FlowCyt-species-dilution-info": "", "FlowCyt-species-notes": "", "WB-species-checked": "notRecommended", "WB-species-dilution-info": "", "WB-species-notes": "<p></p>", "ICCIF-species-checked": "guaranteed", "ICCIF-species-dilution-info": "", "ICCIF-species-notes": "", "IHCP-species-checked": "testedAndGuaranteed", "IHCP-species-dilution-info": "1/250", "IHCP-species-notes": "<p></p>" }, "Transfected cell line - Mouse": { "IP-species-checked": "notRecommended", "IP-species-dilution-info": "", "IP-species-notes": "", "FlowCyt-species-checked": "notRecommended", "FlowCyt-species-dilution-info": "", "FlowCyt-species-notes": "", "WB-species-checked": "notRecommended", "WB-species-dilution-info": "", "WB-species-notes": "", "ICCIF-species-checked": "testedAndGuaranteed", "ICCIF-species-dilution-info": "1/250", "ICCIF-species-notes": "<p></p>", "IHCP-species-checked": "notRecommended", "IHCP-species-dilution-info": "", "IHCP-species-notes": "" } } }

製品の詳細

Anti-CCR2 antibody [EPR20844-15] (ab273050) was developed by Abcam using patented rabbit monoclonal antibody technology and is validated for use in Flow Cyt, ICC/IF, IHC-P, IP, WB in mouse, rat samples.

Anti-CCR2 antibody [EPR20844-15] (ab273050) has been cited over 17 times in peer reviewed journals and is trusted by the scientific community.

Abcam's high quality manufacturing and validation processes ensure Anti-CCR2 antibody [EPR20844-15] (ab273050) has high sensitivity and specificity alongside high lot-to-lot consistency and reproducibility.

The specificity of Anti-CCR2 antibody [EPR20844-15] (ab273050) has been confirmed by testing in knockout samples.

Anti-CCR2 antibody [EPR20844-15] (ab273050) specifically detects CCR2 (UniProt ID: P51683; Molecular weight: 43kDa) and is sold in 100 µL and 1 mL selling sizes.

Conjugation-ready, carrier free format available for antibody clone EPR20844-15 - ab273061.

Antibody clone EPR20844-15 is also available pre-conjugated to a variety of labels for your convenience - Alexa Fluor® 488, Alexa Fluor® 647, Alexa Fluor® 594, APC (ab302579, ab302666, ab303469, ab314258).

Patented technology
Our RabMAb® technology is a patented hybridoma-based technology for making rabbit monoclonal antibodies. For details on our patents, please refer to RabMAb® patents.

What are the advantages of a recombinant monoclonal antibody?
This product is a recombinant monoclonal antibody, which offers several advantages including:

  • - High batch-to-batch consistency and reproducibility
  • - Improved sensitivity and specificity
  • - Long-term security of supply
  • - Animal-free batch production

For more information, read more on recombinant antibodies.

出荷温度及び保存条件

製品の状態
Liquid
精製方法
Affinity purification Protein A
バッファー組成
pH: 7.2 - 7.4 Preservative: 0.01% Sodium azide Constituents: PBS, 40% Glycerol (glycerin, glycerine), 0.05% BSA
出荷温度
Blue Ice
短期保存期間
1-2 weeks
短期保存温度
+4°C
長期保存温度
-20°C
分注に関する情報
Upon delivery aliquot
保管に関する情報
Avoid freeze / thaw cycle

補足情報

This supplementary information is collated from multiple sources and compiled automatically.

CCR2 also known as C-C chemokine receptor type 2 is a protein involved in immune cell trafficking. It is a member of the G-protein-coupled receptor family and has a molecular mass of approximately 43 kDa. CCR2 is primarily expressed on monocytes dendritic cells and certain subsets of T cells. It functions as a receptor for monocyte chemoattractant proteins (MCPs) with MCP-1 (CCL2) being the most well-known ligand. The interaction between CCR2 and its ligands directs the movement of these immune cells to sites of inflammation or tissue injury.
Biological function summary

CCR2 plays an important role in mediating leukocyte migration. It acts in the immune system to guide monocytes from the bloodstream into tissues contributing to immune surveillance and response. CCR2 operates not as part of a larger receptor complex but it does interact closely with other chemokine receptors which may influence its signaling. The receptor's activity has critical implications for inflammatory processes and lies at the heart of many immune responses.

Pathways

CCR2 is integrally involved in the chemokine signaling pathway and the inflammatory response pathway. Its function in these pathways highlights its role in modulating immune cell infiltration during immune challenges. The receptor also interfaces with other important signaling proteins such as CCR5 which like CCR2 is another chemokine receptor involved in mediating immune cell movement. These interactions overlap and complement each other offering nuanced regulation of immune cell dynamics.

CCR2 has connections to conditions such as atherosclerosis and rheumatoid arthritis. In atherosclerosis the receptor's involvement in monocyte recruitment to the arterial wall is an important step in plaque formation. Its role in rheumatoid arthritis centers on the promotion of leukocyte infiltration into the joint tissues contributing to inflammation and joint damage. CCR2's connection to such disorders often aligns with a similar role played by other chemokine receptors like CCR5 highlighting its relevance in inflammation-related pathologies.

製品プロトコール

For this product, it's our understanding that no specific protocols are required. You can visit:

ターゲットの情報

Key functional receptor for CCL2 but can also bind CCL7 and CCL12 chemokines (PubMed : 8631787, PubMed : 8662823, PubMed : 8996246). Its binding with CCL2 on monocytes and macrophages mediates chemotaxis and migration induction through the activation of the PI3K cascade, the small G protein Rac and lamellipodium protrusion (By similarity). Also acts as a receptor for the beta-defensin DEFB106A/DEFB106B (By similarity). Regulates the expression of T-cell inflammatory cytokines and T-cell differentiation, promoting the differentiation of T-cells into T-helper 17 cells (Th17) during inflammation (PubMed : 28507030). Facilitates the export of mature thymocytes by enhancing directional movement of thymocytes to sphingosine-1-phosphate stimulation and up-regulation of S1P1R expression; signals through the JAK-STAT pathway to regulate FOXO1 activity leading to an increased expression of S1P1R (PubMed : 29930553). Plays an important role in mediating peripheral nerve injury-induced neuropathic pain (PubMed : 29993042). Increases NMDA-mediated synaptic transmission in both dopamine D1 and D2 receptor-containing neurons, which may be caused by MAPK/ERK-dependent phosphorylation of GRIN2B/NMDAR2B (PubMed : 29993042). Mediates the recruitment of macrophages and monocytes to the injury site following brain injury (PubMed : 24806994, PubMed : 29632244).
See full target information Ccr2

文献 (17)

Recent publications for all applications. Explore the full list and refine your search

Journal of neuroinflammation 20:270 PubMed37978532

2023

Ly6C-high monocytes alleviate brain injury in experimental subarachnoid hemorrhage in mice.

Applications

Unspecified application

Species

Unspecified reactive species

Huaijun Chen,Chaoran Xu,Hanhai Zeng,Zhihua Zhang,Ning Wang,Yinghan Guo,Yonghe Zheng,Siqi Xia,Hang Zhou,Xiaobo Yu,Xiongjie Fu,Tianchi Tang,Xinyan Wu,Zihang Chen,Yucong Peng,Jing Cai,Jianru Li,Feng Yan,Chi Gu,Gao Chen,Jingyin Chen

Journal of experimental & clinical cancer research : CR 42:277 PubMed37872588

2023

Tumor cell-induced platelet aggregation accelerates hematogenous metastasis of malignant melanoma by triggering macrophage recruitment.

Applications

Unspecified application

Species

Unspecified reactive species

Yuyi Chen,Jie Zhou,Zishen Liu,Tongtong Wu,Shumeng Li,Yutong Zhang,Xiaohui Yin,Guowang Yang,Ganlin Zhang

Scientific reports 13:10833 PubMed37402858

2023

IRAK3-mediated suppression of pro-inflammatory MyD88/IRAK signaling affects disease severity in acute pancreatitis.

Applications

Unspecified application

Species

Unspecified reactive species

Franziska G Thiel,Saeedeh Asgarbeik,Juliane Glaubitz,Anika Wilden,Markus M Lerch,Frank Ulrich Weiss,Matthias Sendler

Frontiers in pharmacology 14:1193791 PubMed37324492

2023

Single-cell RNA sequencing revealed subclonal heterogeneity and gene signatures of gemcitabine sensitivity in pancreatic cancer.

Applications

Unspecified application

Species

Unspecified reactive species

Zelin Hou,Jiajing Lin,Yuan Ma,Haizhong Fang,Yuwei Wu,Zhijiang Chen,Xianchao Lin,Fengchun Lu,Shi Wen,Xunbin Yu,Heguang Huang,Yu Pan

International journal of molecular sciences 24: PubMed37240029

2023

TGF-β Type I Receptor Signaling in Melanoma Liver Metastases Increases Metastatic Outgrowth.

Applications

Unspecified application

Species

Unspecified reactive species

Dieuwke L Marvin,Jelmer Dijkstra,Rabia M Zulfiqar,Michiel Vermeulen,Peter Ten Dijke,Laila Ritsma

Journal of controlled release : official journal of the Controlled Release Society 358:13-26 PubMed37086952

2023

Tanshinone IIA enhances the therapeutic efficacy of mesenchymal stem cells derived exosomes in myocardial ischemia/reperfusion injury via up-regulating miR-223-5p.

Applications

Unspecified application

Species

Unspecified reactive species

Sheng Li,Ke Yang,Weilong Cao,Rui Guo,Zhihao Liu,Jing Zhang,Aodi Fan,Yuting Huang,Chuanrui Ma,Lan Li,Guanwei Fan

Scientific reports 13:5939 PubMed37046033

2023

Anti-tumor effects of anti-programmed cell death-1 antibody treatment are attenuated in streptozotocin-induced diabetic mice.

Applications

Unspecified application

Species

Unspecified reactive species

Masaaki Ito,Shintaro Iwama,Daisuke Sugiyama,Yoshinori Yasuda,Takayuki Okuji,Tomoko Kobayashi,Xin Zhou,Ayana Yamagami,Takeshi Onoue,Takashi Miyata,Mariko Sugiyama,Daisuke Hagiwara,Hidetaka Suga,Ryoichi Banno,Hiroyoshi Nishikawa,Hiroshi Arima

Developmental neuroscience 45:37-52 PubMed36470227

2022

miR-506-3p Relieves Neuropathic Pain following Brachial Plexus Avulsion via Mitigating Microglial Activation through Targeting the CCL2-CCR2 Axis.

Applications

Unspecified application

Species

Unspecified reactive species

Xing Jin,Wei Zheng,Songyuan Chi,Taihao Cui,Wei He

Nature communications 13:6078 PubMed36241617

2022

Fibrocytes boost tumor-supportive phenotypic switches in the lung cancer niche via the endothelin system.

Applications

Unspecified application

Species

Unspecified reactive species

Andreas Weigert,Xiang Zheng,Alina Nenzel,Kati Turkowski,Stefan Günther,Elisabeth Strack,Evelyn Sirait-Fischer,Eiman Elwakeel,Ivan M Kur,Vandana S Nikam,Chanil Valasarajan,Hauke Winter,Alexander Wissgott,Robert Voswinkel,Friedrich Grimminger,Bernhard Brüne,Werner Seeger,Soni Savai Pullamsetti,Rajkumar Savai

Frontiers in immunology 13:991295 PubMed36300116

2022

Mobilization of CD11b/Ly6c monocytes causes multi organ dysfunction syndrome in acute pancreatitis.

Applications

Unspecified application

Species

Unspecified reactive species

Anika Wilden,Juliane Glaubitz,Oliver Otto,Doreen Biedenweg,Matthias Nauck,Matthias Mack,Silvia Ribback,Barbara M Bröker,Sabrina Freiin von Rheinbaben,Markus M Lerch,Ali Alexander Aghdassi,Frank Ulrich Weiss,Matthias Sendler
View all publications

Abcam product promise

当社は、高品質な試薬を通じてお客様の研究を力強くサポートすることをお約束いたします。ご使用いただく各段階で、常にお客様をサポートできる体制を整えております。万が一、製品が期待通りに機能しない場合は、「Abcam Product Promise」による当社保証制度に基づき、安心してご利用いただけます。
保証に関する詳細については利用規約をご確認ください。

関連製品

Select an associated product type
Alternative Version
Primary Antibodies

AB286808

Alexa Fluor® 594 Anti-CCR2 antibody [EPR20844]

primary-antibodies

alexa-fluor-594-ccr2-antibody-epr20844-ab286808

0

(0 reviews)

Please note: All products are 'FOR RESEARCH USE ONLY. NOT FOR USE IN DIAGNOSTIC OR THERAPEUTIC PROCEDURES'.

For licensing inquiries, please contact partnerships@abcam.com