JavaScript is disabled in your browser. Please enable JavaScript to view this website.
AB126514

Anti-CCDC81 抗体

Anti-CCDC81 antibody

Be the first to review this product! Submit a review

|

(1 Publication)

Rabbit Polyclonal CCDC81 antibody. Suitable for IHC-P, WB and reacts with Human samples. Cited in 1 publication. Immunogen corresponding to Recombinant Fragment Protein within Human CCDC81 aa 350-500.

別名を表示する

Coiled-coil domain-containing protein 81, CCDC81

2 Images
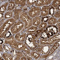
Immunohistochemistry (Formalin/PFA-fixed paraffin-embedded sections) - Anti-CCDC81 antibody (AB126514)
  • IHC-P

Unknown

Immunohistochemistry (Formalin/PFA-fixed paraffin-embedded sections) - Anti-CCDC81 antibody (AB126514)

ab126514, at 1/200 dilution, staining CCDC81 in paraffin-embedded Human kidney tissue by Immunohistochemistry

Western blot - Anti-CCDC81 antibody (AB126514)
  • WB

Unknown

Western blot - Anti-CCDC81 antibody (AB126514)

All lanes:

Western blot - Anti-CCDC81 antibody (ab126514) at 1/250 dilution

Lane 1:

RT-4 cell lysate

Lane 2:

U-251 MG cell lysate

Lane 3:

Human plasma lysate

Lane 4:

Human liver lysate

Lane 5:

Human tonsil lysate

Predicted band size: 76 kDa

false

Key facts

宿主種

Rabbit

クローン性

Polyclonal

アイソタイプ

IgG

キャリアフリー

No

交差種

Human

アプリケーション

WB, IHC-P

applications

免疫原

Recombinant Fragment Protein within Human CCDC81 aa 350-500. The exact immunogen used to generate this antibody is proprietary information.

Q6ZN84

Reactivity data

{ "title": "Reactivity Data", "filters": { "stats": ["", "Species", "Dilution Info", "Notes"], "tabs": { "all-applications": {"fullname" : "All Applications", "shortname": "All Applications"}, "IHCP" : {"fullname" : "Immunohistochemistry (Formalin/PFA-fixed paraffin-embedded sections)", "shortname":"IHC-P"}, "WB" : {"fullname" : "Western blot", "shortname":"WB"} }, "product-promise": { "all": "all", "testedAndGuaranteed": "tested", "guaranteed": "expected", "predicted": "predicted", "notRecommended": "not-recommended" } }, "values": { "Human": { "IHCP-species-checked": "testedAndGuaranteed", "IHCP-species-dilution-info": "1/200 - 1/500", "IHCP-species-notes": "<p></p> Perform heat-mediated antigen retrieval with citrate buffer pH 6 before commencing with IHC staining protocol.", "WB-species-checked": "testedAndGuaranteed", "WB-species-dilution-info": "1/250 - 1/500", "WB-species-notes": "<p></p>" } } }

出荷温度及び保存条件

製品の状態
Liquid
精製方法
Affinity purification Immunogen
バッファー組成
pH: 7.2 Preservative: 0.02% Sodium azide Constituents: PBS, 40% Glycerol (glycerin, glycerine)
出荷温度
Blue Ice
短期保存温度
+4°C
長期保存温度
-20°C
分注に関する情報
Upon delivery aliquot
保管に関する情報
Avoid freeze / thaw cycle

補足情報

This supplementary information is collated from multiple sources and compiled automatically.

CCDC81 also known as Coiled-Coil Domain Containing 81 is a protein with a mass of approximately 78 kDa. The protein functions in mechanical support and structural organization within cells. It contains coiled-coil domains which facilitate protein-protein interactions. CCDC81 expresses in various tissues including the brain and heart. The expression pattern suggests its involvement in structural cellular roles relevant to specific tissues.
Biological function summary

In cellular mechanics and organization CCDC81 participates in structural integrity and intracellular transport processes. The coiled-coil domains allow CCDC81 to interact with other cytoskeletal components functioning partly as a linker or scaffold. While the protein does not belong to a well-characterized complex it cooperates with cytoskeletal proteins to maintain cell structure.

Pathways

CCDC81 contributes to cytoskeletal and intracellular transport pathways. It interacts with pathways that manage cellular architecture and transport of vesicles and organelles. In these pathways CCDC81 indirectly associates with proteins like actin and microtubule-associated proteins which are important for structural and transport functions within cells.

The variation or dysregulation of CCDC81 links to neural-related diseases and cardiac disorders. Changes in CCDC81 may influence structural stability affecting functions in neurons and cardiac tissues. Research indicates that CCDC81 interacts with proteins like myosin in cardiomyocytes and potentially contributes to conditions like cardiomyopathy when mutated or improperly expressed.

製品プロトコール

For this product, it's our understanding that no specific protocols are required. You can visit:

ターゲットの情報

See full target information CCDC81

文献 (1)

Recent publications for all applications. Explore the full list and refine your search

Frontiers in immunology 14:1179742 PubMed37622116

2023

Identification of cuproptosis and immune-related gene prognostic signature in lung adenocarcinoma.

Applications

Unspecified application

Species

Unspecified reactive species

Wentao Zhang,Haizeng Qu,Xiaoqing Ma,Liang Li,Yanjun Wei,Ye Wang,Renya Zeng,Yuanliu Nie,Chenggui Zhang,Ke Yin,Fengge Zhou,Zhe Yang
View all publications

Abcam product promise

当社は、高品質な試薬を通じてお客様の研究を力強くサポートすることをお約束いたします。ご使用いただく各段階で、常にお客様をサポートできる体制を整えております。万が一、製品が期待通りに機能しない場合は、「Abcam Product Promise」による当社保証制度に基づき、安心してご利用いただけます。
保証に関する詳細については利用規約をご確認ください。

Please note: All products are 'FOR RESEARCH USE ONLY. NOT FOR USE IN DIAGNOSTIC OR THERAPEUTIC PROCEDURES'.

For licensing inquiries, please contact partnerships@abcam.com