JavaScript is disabled in your browser. Please enable JavaScript to view this website.
AB302649

Anti-Cathepsin D [EPR3057Y] - Mouse IgG2a (Chimeric)

Anti-Cathepsin D [EPR3057Y] - Mouse IgG2a (Chimeric)

Be the first to review this product! Submit a review

|

(2 Publications)

Mouse Recombinant Monoclonal Cathepsin D antibody. Suitable for WB, IHC-P, ICC/IF, Flow Cyt (Intra) and reacts with Human, Mouse, Rat samples. Cited in 2 publications.

別名を表示する

CPSD, CTSD, Cathepsin D

8 Images
Flow Cytometry (Intracellular) - Anti-Cathepsin D [EPR3057Y] - Mouse IgG2a (Chimeric) (AB302649)
  • Flow Cyt (Intra)

Supplier Data

Flow Cytometry (Intracellular) - Anti-Cathepsin D [EPR3057Y] - Mouse IgG2a (Chimeric) (AB302649)

Flow cytometric analysis of 4% paraformaldehyde fixed 90% methanol permeabilized HepG2 (human hepatocellular carcinoma epithelial cell) cells labelling CTSD (cathepsin D) with ab302649 at 1/1000 dilution (0.1ug) (Red) compared with a Mouse monoclonal IgG (Black) isotype control and an unlabelled control (cells without incubation with primary antibody and secondary antibody) (Blue). A Goat anti-Mouse IgG (Alexa Fluor® 488, ab150113) at 1/2000 dilution was used as the secondary antibody.

Immunocytochemistry/ Immunofluorescence - Anti-Cathepsin D [EPR3057Y] - Mouse IgG2a (Chimeric) (AB302649)
  • ICC/IF

Supplier Data

Immunocytochemistry/ Immunofluorescence - Anti-Cathepsin D [EPR3057Y] - Mouse IgG2a (Chimeric) (AB302649)

Immunofluorescent analysis of 100% methanol-fixed, 0.1% TritonX-100 permeabilized HepG2 (human hepatocellular carcinoma epithelial cell) cells labelling CTSD (cathepsin D) with ab302649 at 1/50 (18.84 ug/ml) dilution, followed by ab98736 Goat F(ab')2 Anti-Mouse IgG - Fc (DyLight® 488) pre-adsorbed antibody at 1/1000 2 ug/ml dilution (Green). Confocal image showing cytoplasmic staining in HepG2 cell line is observed. ab179513 Anti-beta Tubulin rabbit monoclonal antibody was used to counterstain tubulin at 1/200 10ug/ml dilution (Red). The Nuclear counterstain was DAPI (Blue). Secondary antibody only control : Secondary antibody is ab98736 Goat F(ab')2 Anti-Mouse IgG - Fc (DyLight® 488) pre-adsorbed at 1/1000 2 ug/ml dilution.

Immunohistochemistry (Formalin/PFA-fixed paraffin-embedded sections) - Anti-Cathepsin D [EPR3057Y] - Mouse IgG2a (Chimeric) (AB302649)
  • IHC-P

Supplier Data

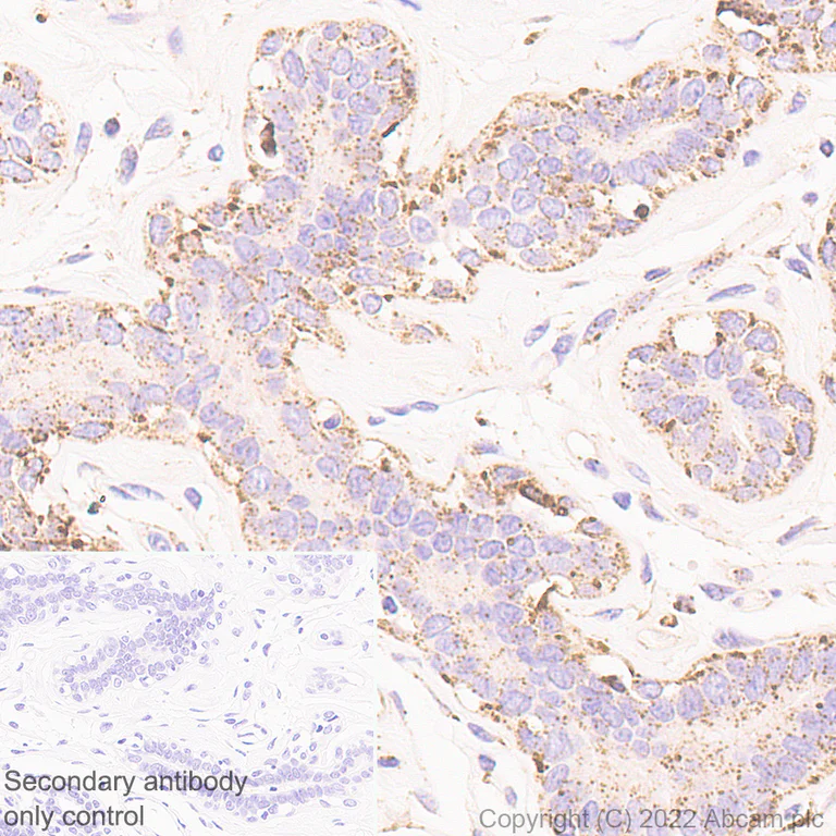
Immunohistochemistry (Formalin/PFA-fixed paraffin-embedded sections) - Anti-Cathepsin D [EPR3057Y] - Mouse IgG2a (Chimeric) (AB302649)

Immunohistochemical analysis of paraffin-embedded Human breast tissue labeling CTSD (cathepsin D) with ab302649 at 1/10000 (0.094 ug/ml) followed by a ready to use LeicaDS9800 (Bond™ Polymer Refine Detection). Cytoplasmic with granular staining on human breast. The section was incubated with ab302649 for 30 mins at room temperature, followed by anti-mouse IgG2a antibody for 8 mins during the LeicaDS9800 kit staining procedure.The immunostaining was performed on a Leica Biosystems BOND® RX instrument Counterstained with Hematoxylin. Secondary antibody only control : Secondary antibody is a ready to use LeicaDS9800 (Bond™ Polymer Refine Detection).Heat mediated antigen retrieval with Tris-EDTA buffer (pH 9.0, epitope retrieval solution2) for 20 mins

Immunohistochemistry (Formalin/PFA-fixed paraffin-embedded sections) - Anti-Cathepsin D [EPR3057Y] - Mouse IgG2a (Chimeric) (AB302649)
  • IHC-P

Supplier Data

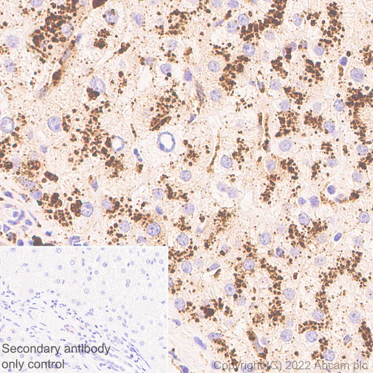
Immunohistochemistry (Formalin/PFA-fixed paraffin-embedded sections) - Anti-Cathepsin D [EPR3057Y] - Mouse IgG2a (Chimeric) (AB302649)

Immunohistochemical analysis of paraffin-embedded Human liver tissue labeling CTSD (cathepsin D) with ab302649 at 1/10000 (0.094 ug/ml) followed by a ready to use LeicaDS9800 (Bond™ Polymer Refine Detection). Cytoplasmic with granular staining on human liver. The section was incubated with ab302649 for 30 mins at room temperature, followed by anti-mouse IgG2a antibody for 8 mins during the LeicaDS9800 kit staining procedure.The immunostaining was performed on a Leica Biosystems BOND® RX instrument Counterstained with Hematoxylin. Secondary antibody only control : Secondary antibody is a ready to use LeicaDS9800 (Bond™ Polymer Refine Detection).Heat mediated antigen retrieval with Tris-EDTA buffer (pH 9.0, epitope retrieval solution2) for 20 mins

Immunocytochemistry/ Immunofluorescence - Anti-Cathepsin D [EPR3057Y] - Mouse IgG2a (Chimeric) (AB302649)
  • ICC/IF

Supplier Data

Immunocytochemistry/ Immunofluorescence - Anti-Cathepsin D [EPR3057Y] - Mouse IgG2a (Chimeric) (AB302649)

Immunofluorescent analysis of 100% methanol-fixed, 0.1% TritonX-100 permeabilized Neuro-2a (mouse neuroblastoma neuroblast) cells labelling CTSD (cathepsin D) with ab302649 at 1/50 (18.84 ug/ml) dilution, followed by ab98736 Goat F(ab')2 Anti-Mouse IgG - Fc (DyLight® 488) pre-adsorbed antibody at 1/1000 2 ug/ml dilution (Green). Confocal image showing cytoplasmic staining in Neuro-2a cell line is observed. ab179513 Anti-beta Tubulin rabbit monoclonal antibody was used to counterstain tubulin at 1/200 10ug/ml dilution (Red). The Nuclear counterstain was DAPI (Blue). Secondary antibody only control : Secondary antibody is ab98736 Goat F(ab')2 Anti-Mouse IgG - Fc (DyLight® 488) pre-adsorbed at 1/1000 2 ug/ml dilution.

Flow Cytometry (Intracellular) - Anti-Cathepsin D [EPR3057Y] - Mouse IgG2a (Chimeric) (AB302649)
  • Flow Cyt (Intra)

Supplier Data

Flow Cytometry (Intracellular) - Anti-Cathepsin D [EPR3057Y] - Mouse IgG2a (Chimeric) (AB302649)

Flow cytometric analysis of 4% paraformaldehyde fixed 90% methanol permeabilized Neuro-2a (mouse neuroblastoma neuroblast) cells labelling CTSD (cathepsin D) with ab302649 at 1/1000 dilution (0.1ug) (Red) compared with a Mouse monoclonal IgG (Black) isotype control and an unlabelled control (cells without incubation with primary antibody and secondary antibody) (Blue). A Goat anti-Mouse IgG (Alexa Fluor® 488, ab150113) at 1/2000 dilution was used as the secondary antibody.

Western blot - Anti-Cathepsin D [EPR3057Y] - Mouse IgG2a (Chimeric) (AB302649)
  • WB

Supplier Data

Western blot - Anti-Cathepsin D [EPR3057Y] - Mouse IgG2a (Chimeric) (AB302649)

Blocking and diluting buffer and concentration : 5% NFDM/TBST Exposure time : Lane 1-3 : 15 seconds Lane 4, 5 : 125 seconds

All lanes:

Western blot - Anti-Cathepsin D [EPR3057Y] - Mouse IgG2a (Chimeric) (ab302649) at 1/1000 dilution

Lane 1:

Human heart tissue lysate at 20 µg

Lane 2:

Human liver tissue lysate at 20 µg

Lane 3:

Human spleen tissue lysate at 20 µg

Lane 4:

Mouse brain tissue lysate at 20 µg

Lane 5:

Rat stomach tissue lysate at 20 µg

Secondary

All lanes:

Western blot - Goat Anti-Mouse IgG Fc (HRP) preadsorbed (<a href='/products/secondary-antibodies/goat-mouse-igg-fc-hrp-preadsorbed-ab98717'>ab98717</a>) at 1/20000 dilution

Observed band size: 14 kDa,28 kDa,46 kDa

false

Exposure time: 15s

Western blot - Anti-Cathepsin D [EPR3057Y] - Mouse IgG2a (Chimeric) (AB302649)
  • WB

Supplier Data

Western blot - Anti-Cathepsin D [EPR3057Y] - Mouse IgG2a (Chimeric) (AB302649)

Blocking and diluting buffer and concentration : 5% NFDM/TBST Exposure time : 26 seconds

All lanes:

Western blot - Anti-Cathepsin D [EPR3057Y] - Mouse IgG2a (Chimeric) (ab302649) at 1/1000 dilution

Lane 1:

MCF7 (human breast adenocarcinoma epithelial cell), whole cell lysate at 20 µg

Lane 2:

SH-SY5Y (human neuroblastoma epithelial cell), whole cell lysate at 20 µg

Lane 3:

SK-BR-3 (human breast adenocarcinoma epithelial cell), whole cell lysate at 20 µg

Lane 4:

U937 (human histiocytic lymphoma monocyte), whole cell lysate at 20 µg

Lane 5:

A431 (human epidermoid carcinoma epithelial cell), whole cell lysate at 20 µg

Lane 6:

HepG2 (human hepatocellular carcinoma epithelial cell), whole cell lysate at 20 µg

Lane 7:

RAW264.7 (mouse Abelson murine leukemia virus-induced tumor macrophage), whole cell lysate at 20 µg

Lane 8:

Neuro-2a (mouse neuroblastoma neuroblast), whole cell lysate at 20 µg

Secondary

All lanes:

Western blot - Goat Anti-Mouse IgG Fc (HRP) preadsorbed (<a href='/products/secondary-antibodies/goat-mouse-igg-fc-hrp-preadsorbed-ab98717'>ab98717</a>) at 1/20000 dilution

Observed band size: 28 kDa,14 kDa,46 kDa

false

Exposure time: 26s

関連する標識済み抗体及び組成の異なる製品 (1)

  • Carrier free

    Anti-Cathepsin D [EPR3057Y] - Mouse IgG2a (Chimeric) - BSA and Azide free

Key facts

宿主種

Mouse

クローン性

Monoclonal

クローン番号

EPR3057Y-MsIgG2a

アイソタイプ

IgG2a

キャリアフリー

No

交差種

Human, Mouse, Rat

アプリケーション

ICC/IF, Flow Cyt (Intra), WB, IHC-P

applications

免疫原

The exact immunogen used to generate this antibody is proprietary information.

Reactivity data

{ "title": "Reactivity Data", "filters": { "stats": ["", "Species", "Dilution Info", "Notes"], "tabs": { "all-applications": {"fullname" : "All Applications", "shortname": "All Applications"}, "WB" : {"fullname" : "Western blot", "shortname":"WB"}, "IHCP" : {"fullname" : "Immunohistochemistry (Formalin/PFA-fixed paraffin-embedded sections)", "shortname":"IHC-P"}, "ICCIF" : {"fullname" : "Immunocytochemistry/ Immunofluorescence", "shortname":"ICC/IF"}, "FlowCytIntra" : {"fullname" : "Flow Cytometry (Intracellular)", "shortname":"Flow Cyt (Intra)"}, "IP" : {"fullname" : "Immunoprecipitation", "shortname":"IP"} }, "product-promise": { "all": "all", "testedAndGuaranteed": "tested", "guaranteed": "expected", "predicted": "predicted", "notRecommended": "not-recommended" } }, "values": { "Human": { "WB-species-checked": "testedAndGuaranteed", "WB-species-dilution-info": "1/1000", "WB-species-notes": "<p></p>", "IHCP-species-checked": "testedAndGuaranteed", "IHCP-species-dilution-info": "1/10000", "IHCP-species-notes": "<p></p>", "ICCIF-species-checked": "testedAndGuaranteed", "ICCIF-species-dilution-info": "1/50", "ICCIF-species-notes": "<p></p>", "FlowCytIntra-species-checked": "testedAndGuaranteed", "FlowCytIntra-species-dilution-info": "1/1000", "FlowCytIntra-species-notes": "<p></p>", "IP-species-checked": "notRecommended", "IP-species-dilution-info": "", "IP-species-notes": "<p></p>" }, "Mouse": { "WB-species-checked": "testedAndGuaranteed", "WB-species-dilution-info": "1/1000", "WB-species-notes": "<p></p>", "IHCP-species-checked": "guaranteed", "IHCP-species-dilution-info": "", "IHCP-species-notes": "", "ICCIF-species-checked": "testedAndGuaranteed", "ICCIF-species-dilution-info": "1/50", "ICCIF-species-notes": "<p></p>", "FlowCytIntra-species-checked": "testedAndGuaranteed", "FlowCytIntra-species-dilution-info": "1/1000", "FlowCytIntra-species-notes": "<p></p>", "IP-species-checked": "notRecommended", "IP-species-dilution-info": "", "IP-species-notes": "" }, "Rat": { "WB-species-checked": "testedAndGuaranteed", "WB-species-dilution-info": "1/1000", "WB-species-notes": "<p></p>", "IHCP-species-checked": "guaranteed", "IHCP-species-dilution-info": "", "IHCP-species-notes": "", "ICCIF-species-checked": "guaranteed", "ICCIF-species-dilution-info": "", "ICCIF-species-notes": "", "FlowCytIntra-species-checked": "guaranteed", "FlowCytIntra-species-dilution-info": "", "FlowCytIntra-species-notes": "", "IP-species-checked": "notRecommended", "IP-species-dilution-info": "", "IP-species-notes": "" } } }

製品の詳細

This mouse monoclonal chimeric antibody has been engineered from a RabMAb parent antibody (ab75852). By necessity, some rabbit sequence is retained as part of the variable domain. When multiplexing with other rabbit-derived antibodies, using cross absorbed FC-reactive secondary antibodies are recommended.

What are the advantages of a recombinant monoclonal antibody?
This product is a recombinant monoclonal antibody, which offers several advantages including:

  • - High batch-to-batch consistency and reproducibility
  • - Improved sensitivity and specificity
  • - Long-term security of supply
  • - Animal-free batch production

For more information, read more on recombinant antibodies.

出荷温度及び保存条件

製品の状態
Liquid
精製方法
Affinity purification Protein A
バッファー組成
pH: 7.2 - 7.4 Preservative: 0.01% Sodium azide Constituents: PBS, 40% Glycerol (glycerin, glycerine), 0.05% BSA
出荷温度
Blue Ice
短期保存期間
1-2 weeks
短期保存温度
+4°C
長期保存温度
-20°C
分注に関する情報
Upon delivery aliquot
保管に関する情報
Avoid freeze / thaw cycle

補足情報

This supplementary information is collated from multiple sources and compiled automatically.

Cathepsin D also known as CTSD is a protein with a mass of approximately 45 kDa. It functions as an aspartyl protease and is expressed in lysosomes across various tissues including the liver and kidneys. This enzyme acts by cleaving peptide bonds within proteins which is essential for protein degradation and turnover. Cathepsin D exists as precursor forms that become activated in the acidic environment of the lysosome. It plays a critical role in normal cellular processes by maintaining protein homeostasis.
Biological function summary

The enzymatic activity of Cathepsin D is important for cellular maintenance and apoptosis. This protease does not act within larger protein complexes but contributes to the degradation of extracellular and intracellular proteins. It mediates processes like antigen processing where it deconstructs proteins into peptides that are presented on major histocompatibility complex (MHC) molecules. ELISA tests can quantify its expression levels sometimes termed as CTSD activity in various biological samples offering insights into its role within cellular environments.

Pathways

Cathepsin D involvement includes the lysosomal degradation pathway and the apoptotic signaling pathway. In the lysosomal degradation pathway Cathepsin D breaks down proteins and peptides a process important for cellular recycling and energy release. It interacts with other lysosomal enzymes such as Cathepsin B in this pathway ensuring comprehensive breakdown of cellular waste. The apoptotic signaling pathway involves the regulation of programmed cell death where Cathepsin D can influence the activation of downstream proteins like Bcl-2 and Bax which control cell survival.

The overexpression of Cathepsin D links to breast cancer and Alzheimer's disease. In breast cancer increased Cathepsin D expression correlates with tumor progression and metastasis influencing tumor behavior through interactions with other proteins involved in cell proliferation. Alzheimer's disease features the involvement of Cathepsin D in the breakdown of amyloid precursor protein which relates to amyloid beta plaque accumulation. The abnormal activity of Cathepsin D in these disorders makes it a potential target for therapeutic antibodies such as CTSD antibodies which aim to regulate its function.

製品プロトコール

For this product, it's our understanding that no specific protocols are required. You can visit:

ターゲットの情報

Acid protease active in intracellular protein breakdown. Plays a role in APP processing following cleavage and activation by ADAM30 which leads to APP degradation (PubMed : 27333034). Involved in the pathogenesis of several diseases such as breast cancer and possibly Alzheimer disease.
See full target information CTSD

文献 (2)

Recent publications for all applications. Explore the full list and refine your search

Scientific reports 14:24836 PubMed39438678

2024

Lysosomal Ca release-facilitated TFEB nuclear translocation alleviates ischemic brain injury by attenuating autophagic/lysosomal dysfunction in neurons.

Applications

Unspecified application

Species

Unspecified reactive species

Qian Lei,Xuemei Chen,Yajie Xiong,Shangdan Li,Jiaqian Wang,Hongyun He,Yihao Deng

Autophagy 20:2511-2528 PubMed39007910

2024

Lassa virus Z protein hijacks the autophagy machinery for efficient transportation by interrupting CCT2-mediated cytoskeleton network formation.

Applications

Unspecified application

Species

Unspecified reactive species

Yueming Yuan,An Fang,Mai Zhang,Ming Zhou,Zhen F Fu,Ling Zhao
View all publications

Abcam product promise

当社は、高品質な試薬を通じてお客様の研究を力強くサポートすることをお約束いたします。ご使用いただく各段階で、常にお客様をサポートできる体制を整えております。万が一、製品が期待通りに機能しない場合は、「Abcam Product Promise」による当社保証制度に基づき、安心してご利用いただけます。
保証に関する詳細については利用規約をご確認ください。

Please note: All products are 'FOR RESEARCH USE ONLY. NOT FOR USE IN DIAGNOSTIC OR THERAPEUTIC PROCEDURES'.

For licensing inquiries, please contact partnerships@abcam.com