JavaScript is disabled in your browser. Please enable JavaScript to view this website.
AB227811

Anti-Cathepsin B 抗体 [EPR21033] - BSA and Azide free

Anti-Cathepsin B antibody [EPR21033] - BSA and Azide free

Be the first to review this product! Submit a review

|

(1 Publication)

Rabbit Recombinant Monoclonal Cathepsin B antibody. Carrier free. Suitable for WB, ICC/IF, Flow Cyt (Intra), IHC-P and reacts with Mouse, Rat samples. Cited in 1 publication.

別名を表示する

Cathepsin B, Cathepsin B1, Ctsb

5 Images
Immunocytochemistry/ Immunofluorescence - Anti-Cathepsin B antibody [EPR21033] - BSA and Azide free (AB227811)
  • ICC/IF

Supplier Data

Immunocytochemistry/ Immunofluorescence - Anti-Cathepsin B antibody [EPR21033] - BSA and Azide free (AB227811)

Immunofluorescent analysis of 100% methanol-fixed RAW 264.7 (mouse macrophage cell line transformed with Abelson murine leukemia virus) cells labeling Cathepsin B with ab214428 at 1/250 dilution, followed by Goat Anti-Rabbit IgG H&L (Alexa Fluor® 488) (ab150077) secondary antibody at 1/1000 dilution (green). Confocal image showing cytoplasmic staining in RAW 264.7 cells.

The nuclear counterstain is DAPI (blue). Tubulin is detected with Anti-alpha Tubulin antibody [DM1A] - Microtubule Marker (Alexa Fluor® 594) (ab195889) at 1/200 dilution (red).

Secondary antibody only control : Used PBS instead of primary antibody, followed by Goat Anti-Rabbit IgG H&L (Alexa Fluor® 488) (ab150077) secondary antibody at 1/1000 dilution.

This data was developed using the same antibody clone in a different buffer formulation containing PBS, BSA, glycerol, and sodium azide (ab214428).

Immunohistochemistry (Formalin/PFA-fixed paraffin-embedded sections) - Anti-Cathepsin B antibody [EPR21033] - BSA and Azide free (AB227811)
  • IHC-P

Supplier Data

Immunohistochemistry (Formalin/PFA-fixed paraffin-embedded sections) - Anti-Cathepsin B antibody [EPR21033] - BSA and Azide free (AB227811)

Immunohistochemical analysis of paraffin-embedded rat kidney tissue labeling Cathepsin B with ab214428 at 1/1000 dilution, followed by secondary Goat Anti-Rabbit IgG H&L (HRP) Ready to use. Punctate cytoplasmic staining on rat kidney (PMID : 20668705; PMID : 26831567) is observed. Counter stained with hematoxylin.

Secondary antibody only control : Used PBS instead of primary antibody, secondary antibody is Goat Anti-Rabbit IgG H&L (HRP) Ready to use.

This data was developed using the same antibody clone in a different buffer formulation containing PBS, BSA, glycerol, and sodium azide (ab214428).

Perform heat mediated antigen retrieval with Tris/EDTA buffer pH 9.0 before commencing with IHC staining protocol.

Flow Cytometry (Intracellular) - Anti-Cathepsin B antibody [EPR21033] - BSA and Azide free (AB227811)
  • Flow Cyt (Intra)

Supplier Data

Flow Cytometry (Intracellular) - Anti-Cathepsin B antibody [EPR21033] - BSA and Azide free (AB227811)

Intracellular flow cytometric analysis of 4% paraformaldehyde-fixed, 90% methanol-permeabilized RAW 264.7 (mouse macrophage cell line transformed with Abelson murine leukemia virus) cell line labeling Cathepsin B with ab214428 at 1/500 dilution (red) compared with a Rabbit IgG, monoclonal [EPR25A] - Isotype Control (ab172730) (black) and an unlabeled control (cells without incubation with primary antibody and secondary antibody) (blue). Goat Anti-Rabbit IgG H&L (Alexa Fluor® 488) (ab150077), at 1/2000 dilution was used as the secondary antibody.

This data was developed using the same antibody clone in a different buffer formulation containing PBS, BSA, glycerol, and sodium azide (ab214428).

Immunocytochemistry/ Immunofluorescence - Anti-Cathepsin B antibody [EPR21033] - BSA and Azide free (AB227811)
  • ICC/IF

Supplier Data

Immunocytochemistry/ Immunofluorescence - Anti-Cathepsin B antibody [EPR21033] - BSA and Azide free (AB227811)

Immunofluorescent analysis of 100% methanol-fixed PC-12 (rat adrenal gland pheochromocytoma cell line) cells labeling Cathepsin B with ab214428 at 1/250 dilution, followed by Goat Anti-Rabbit IgG H&L (Alexa Fluor® 488) (ab150077) secondary antibody at 1/1000 dilution (green). Confocal image showing cytoplasmic staining on PC-12 cells.

The nuclear counterstain is DAPI (blue). Tubulin is detected with Anti-alpha Tubulin antibody [DM1A] - Microtubule Marker (Alexa Fluor® 594) (ab195889) at 1/200 dilution (red).

Secondary antibody only control : Used PBS instead of primary antibody, followed by Goat Anti-Rabbit IgG H&L (Alexa Fluor® 488) (ab150077) secondary antibody at 1/1000 dilution.

This data was developed using the same antibody clone in a different buffer formulation containing PBS, BSA, glycerol, and sodium azide (ab214428).

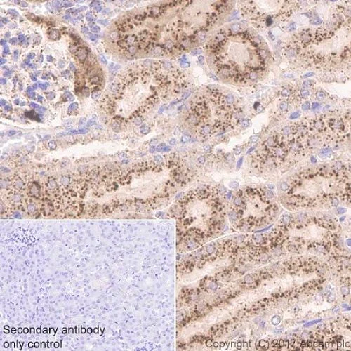
Immunohistochemistry (Formalin/PFA-fixed paraffin-embedded sections) - Anti-Cathepsin B antibody [EPR21033] - BSA and Azide free (AB227811)
  • IHC-P

Supplier Data

Immunohistochemistry (Formalin/PFA-fixed paraffin-embedded sections) - Anti-Cathepsin B antibody [EPR21033] - BSA and Azide free (AB227811)

Immunohistochemical analysis of paraffin-embedded mouse kidney tissue labeling Cathepsin B with ab214428 at 1/1000 dilution, followed by secondary Goat Anti-Rabbit IgG H&L (HRP) Ready to use. Punctate cytoplasmic staining on mouse kidney (PMID : 20668705; PMID : 26831567) is observed. Counter stained with hematoxylin.

Secondary antibody only control : Used PBS instead of primary antibody, secondary antibody is Goat Anti-Rabbit IgG H&L (HRP) Ready to use.

This data was developed using the same antibody clone in a different buffer formulation containing PBS, BSA, glycerol, and sodium azide (ab214428).

Perform heat mediated antigen retrieval with Tris/EDTA buffer pH 9.0 before commencing with IHC staining protocol.

関連する標識済み抗体及び組成の異なる製品 (1)

Key facts

宿主種

Rabbit

クローン性

Monoclonal

クローン番号

EPR21033

アイソタイプ

IgG

キャリアフリー

Yes

交差種

Mouse, Rat

アプリケーション

ICC/IF, Flow Cyt (Intra), IHC-P, WB

applications

免疫原

The exact immunogen used to generate this antibody is proprietary information.

Reactivity data

{ "title": "Reactivity Data", "filters": { "stats": ["", "Species", "Dilution Info", "Notes"], "tabs": { "all-applications": {"fullname" : "All Applications", "shortname": "All Applications"}, "WB" : {"fullname" : "Western blot", "shortname":"WB"}, "ICCIF" : {"fullname" : "Immunocytochemistry/ Immunofluorescence", "shortname":"ICC/IF"}, "FlowCytIntra" : {"fullname" : "Flow Cytometry (Intracellular)", "shortname":"Flow Cyt (Intra)"}, "IHCP" : {"fullname" : "Immunohistochemistry (Formalin/PFA-fixed paraffin-embedded sections)", "shortname":"IHC-P"} }, "product-promise": { "all": "all", "testedAndGuaranteed": "tested", "guaranteed": "expected", "predicted": "predicted", "notRecommended": "not-recommended" } }, "values": { "Mouse": { "WB-species-checked": "guaranteed", "WB-species-dilution-info": "", "WB-species-notes": "<p></p>", "ICCIF-species-checked": "guaranteed", "ICCIF-species-dilution-info": "", "ICCIF-species-notes": "", "FlowCytIntra-species-checked": "testedAndGuaranteed", "FlowCytIntra-species-dilution-info": "", "FlowCytIntra-species-notes": "<p></p>", "IHCP-species-checked": "guaranteed", "IHCP-species-dilution-info": "", "IHCP-species-notes": "" }, "Rat": { "WB-species-checked": "guaranteed", "WB-species-dilution-info": "", "WB-species-notes": "<p></p>", "ICCIF-species-checked": "testedAndGuaranteed", "ICCIF-species-dilution-info": "", "ICCIF-species-notes": "<p></p>", "FlowCytIntra-species-checked": "guaranteed", "FlowCytIntra-species-dilution-info": "", "FlowCytIntra-species-notes": "", "IHCP-species-checked": "testedAndGuaranteed", "IHCP-species-dilution-info": "", "IHCP-species-notes": "<p></p>" } } }

製品の詳細

ab227811 is the carrier-free version of ab214428.

Patented technology
Our RabMAb® technology is a patented hybridoma-based technology for making rabbit monoclonal antibodies. For details on our patents, please refer to RabMAb® patents.

What are the advantages of a recombinant monoclonal antibody?
This product is a recombinant monoclonal antibody, which offers several advantages including:

  • - High batch-to-batch consistency and reproducibility
  • - Improved sensitivity and specificity
  • - Long-term security of supply
  • - Animal-free batch production

For more information, read more on recombinant antibodies.

Conjugation ready
Our carrier-free antibodies are typically supplied in a PBS-only formulation, purified and free of BSA, sodium azide and glycerol. This conjugation-ready format is designed for use with fluorochromes, metal isotopes, oligonucleotides, and enzymes, which makes them ideal for antibody labelling, functional and cell-based assays, flow-based assays (e.g. mass cytometry) and Multiplex Imaging applications.

Use our conjugation kits for antibody conjugates that are ready-to-use in as little as 20 minutes with 1 minute hands-on-time and 100% antibody recovery: available for fluorescent dyes, HRP, biotin and gold.

Compatibility
This product is compatible with the Maxpar® Antibody Labeling Kit from Fluidigm, without the need for antibody preparation. Maxpar® is a trademark of Fluidigm Canada Inc.

出荷温度及び保存条件

製品の状態
Liquid
精製方法
Affinity purification Protein A
バッファー組成
pH: 7.2 - 7.4 Constituents: PBS
出荷温度
Blue Ice
短期保存温度
+4°C
長期保存温度
+4°C
保管に関する情報
Do Not Freeze

補足情報

This supplementary information is collated from multiple sources and compiled automatically.

Cathepsin B also known as CTSB or cathepsin beta is a lysosomal cysteine protease belonging to the papain family. This enzyme possesses a molecular weight of approximately 25 to 30 kDa. You can find cathepsin B expressed in various tissues with high levels observed in the liver kidney and spleen. It plays a mechanical role in protein degradation within lysosomes operating optimally in acidic environments. The enzyme has active and inactive forms depending on structural modifications and environmental conditions.
Biological function summary

Cathepsin B participates as a proteolytic enzyme involved in protein turnover and processing. It does not function in isolation but often associates with various other proteases forming complexes essential for efficient substrate breakdown. Cathepsin B assists in the activation of other enzymes by cleaving propeptides therefore facilitating the initiation of cascade reactions. This role is critical in maintaining cellular homeostasis and modulating physiological processes including cell migration and immune response modulation.

Pathways

Cathepsin B significantly contributes to the lysosomal protein degradation pathway and the autophagy-lysosome pathway. It interacts with proteins such as B protein which are important for cellular recycling and energy homeostasis. Its activity supports the MHC class II antigen processing pathway playing an essential part in immune system functionality. Cathepsin B also exhibits interactions with Ctsb protein inhibitors which regulate its proteolytic activity within these pathways.

Cathepsin B has strong associations with cancer progression and neurological disorders such as Alzheimer's disease. Its overexpression and dysregulation are linked to tumor metastasis where it degrades extracellular matrix components promoting invasion. Ctsb protein interactions with corey mazo proteins influence tumor microenvironment and immune evasion. In Alzheimer's disease cathepsin B can influence amyloid beta peptide processing connected to neurodegenerative pathology progression. These roles highlight the potential for cathepsin B as a therapeutic target in addressing these conditions.

製品プロトコール

For this product, it's our understanding that no specific protocols are required. You can visit:

ターゲットの情報

Thiol protease which is believed to participate in intracellular degradation and turnover of proteins (By similarity). Cleaves matrix extracellular phosphoglycoprotein MEPE (By similarity). Involved in the solubilization of cross-linked TG/thyroglobulin in the thyroid follicle lumen (PubMed : 12782676). Has also been implicated in tumor invasion and metastasis (By similarity).
See full target information CATB_MOUSE

文献 (1)

Recent publications for all applications. Explore the full list and refine your search

Autophagy 20:1072-1097 PubMed38050963

2023

deficiency exacerbates podocyte injury and autophagy disorder by targeting in diabetic nephropathy.

Applications

Unspecified application

Species

Unspecified reactive species

Xueqi Liu,Ling Jiang,Hanxu Zeng,Li Gao,Shanshan Guo,Chaoyi Chen,Xinran Liu,Mengya Zhang,Lijuan Ma,Yuanyuan Li,Xiangming Qi,Yonggui Wu
View all publications

Abcam product promise

当社は、高品質な試薬を通じてお客様の研究を力強くサポートすることをお約束いたします。ご使用いただく各段階で、常にお客様をサポートできる体制を整えております。万が一、製品が期待通りに機能しない場合は、「Abcam Product Promise」による当社保証制度に基づき、安心してご利用いただけます。
保証に関する詳細については利用規約をご確認ください。

Please note: All products are 'FOR RESEARCH USE ONLY. NOT FOR USE IN DIAGNOSTIC OR THERAPEUTIC PROCEDURES'.

For licensing inquiries, please contact partnerships@abcam.com