JavaScript is disabled in your browser. Please enable JavaScript to view this website.
AB32351

Anti-Caspase-3 抗体 [E87]

Anti-Caspase-3 antibody [E87]

4

(15 Reviews)

|

(385 Publications)

Anti-Caspase-3 antibody [E87] (ab32351) is a rabbit monoclonal antibody detecting Caspase-3 in Western Blot, Flow Cytometry (Intra), Flow Cytometry, IP, IHC-P, ICC/IF. Suitable for Human.

- KO validated for confirmed specificity
- Biophysical QC for unrivalled batch-batch consistency
- Over 380 publications
- Trusted since 2006

別名を表示する

CPP32, CASP3, Caspase-3, CASP-3, Apopain, Cysteine protease CPP32, Protein Yama, SREBP cleavage activity 1, CPP-32, SCA-1

12 Images
Immunohistochemistry (Formalin/PFA-fixed paraffin-embedded sections) - Anti-Caspase-3 antibody [E87] (AB32351)
  • IHC-P

Unknown

Immunohistochemistry (Formalin/PFA-fixed paraffin-embedded sections) - Anti-Caspase-3 antibody [E87] (AB32351)

Unpurified ab32351, at a 1/25 dilution, staining Capase-3 in paraffin embedded human cervical carcinoma tissue by Immunohistochemistry.

Perform heat mediated antigen retrieval before commencing with IHC staining protocol.

Immunocytochemistry/ Immunofluorescence - Anti-Caspase-3 antibody [E87] (AB32351)
  • ICC/IF

Supplier Data

Immunocytochemistry/ Immunofluorescence - Anti-Caspase-3 antibody [E87] (AB32351)

ab32351 staining Caspase-3 in wild-type Hap1 cells (top panel) and CASP3 knockout Hap1 cells (bottom panel). The cells were fixed with 100% methanol (5 min) then permeabilized with 0.1% Triton X-100 for 5 minutes and then blocked with 1% BSA/10% normal goat serum/0.3M glycine in 0.1% PBS-Tween for 1h. The cells were then incubated with ab32351 at 1μg/ml concentration and ab7291 (Mouse monoclonal to alpha Tubulin) at 1/1000 dilution overnight at 4°C followed by a further incubation at room temperature for 1h with a goat secondary antibody to rabbit IgG (Alexa Fluor® 488) (ab150081) at 2 μg/ml (shown in green) and a goat secondary antibody to mouse IgG (Alexa Fluor® 594) (ab150120) at 2 μg/ml (shown in red). Nuclear DNA was labelled in blue with DAPI. Image was taken with a confocal microscope (Leica-Microsystems TCS SP8).

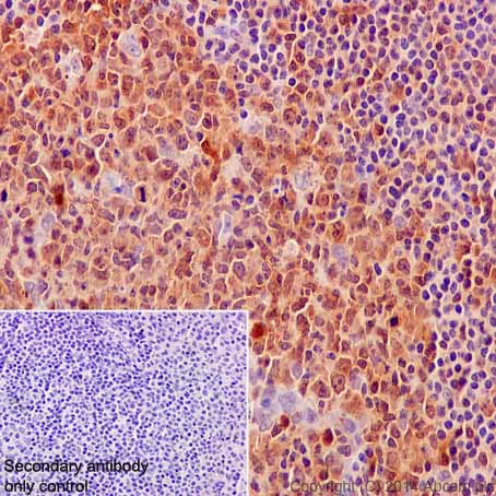
Immunohistochemistry (Formalin/PFA-fixed paraffin-embedded sections) - Anti-Caspase-3 antibody [E87] (AB32351)
  • IHC-P

Lab

Immunohistochemistry (Formalin/PFA-fixed paraffin-embedded sections) - Anti-Caspase-3 antibody [E87] (AB32351)

Immunohistochemical analysis of formalin fixed paraffin embedded human tonsil labelling caspase-3 with ab32351 at a concentration of 0.1µg/ml. The immunostaining was performed on a Ventana DISCOVERY ULTRA (Roche Tissue Diagnostics) instrument with a OptiView DAB IHC Detection Kit. Heat mediated antigen retrieval was performed with DISCOVERY cell conditioning solution (CC1) 100°C, pH8.5 for 32mins.

ab32351 anti-Caspase-3 antibody [E87] was incubated for 16mins at 37°C. Sections were counterstained with Hematoxylin II. Image inset shows absence of staining in secondary antibody only control.

Customers are encouraged to optimise antigen retrieval conditions, antibody concentration, incubation times and temperature for best results in their own IHC assay workflow (automated and manual)

Western blot - Anti-Caspase-3 antibody [E87] (AB32351)
  • WB

Lab

Western blot - Anti-Caspase-3 antibody [E87] (AB32351)

Lanes 1 - 4 : Merged signal (red and green). Green - ab32351 observed at 31 kDa. Red - loading control, ab130007, observed at 130 kDa.

ab32351 was shown to recognize Caspase 3 in wild-type HAP1 cells as signal was lost at the expected MW in HAP1 Staurosporine Treated (CASP3) knockout cells. Additional cross-reactive bands were observed in the wild-type and knockout cells. Wild-type and HAP1 Staurosporine Treated (CASP3) knockout samples were subjected to SDS-PAGE. ab32351 and ab130007 (Mouse anti-Vinculin loading control) were incubated overnight at 4°C at 1/5000 dilution and 1/20000 dilution respectively. Blots were developed with Goat anti-Rabbit IgG H&L (IRDye® 800CW) preabsorbed ab216773 and Goat anti-Mouse IgG H&L (IRDye® 680RD) preabsorbed ab216776 secondary antibodies at 1/20000 dilution for 1 hour at room temperature before imaging.

All lanes:

Western blot - Anti-Caspase-3 antibody [E87] (ab32351) at 1/5000 dilution

Lane 1:

DMSO control wild-type HAP1 whole cell lysate at 20 µg

Lane 2:

Staurosporine treated wild-type HAP1 whole cell lysate at 20 µg

Lane 3:

DMSO control CASP3 knockout HAP1 whole cell lysate at 20 µg

Lane 4:

Staurosporine treated CASP3 knockout HAP1 whole cell lysate at 20 µg

Predicted band size: 31 kDa

false

Western blot - Anti-Caspase-3 antibody [E87] (AB32351)
  • WB

Lab

Western blot - Anti-Caspase-3 antibody [E87] (AB32351)

Blocking buffer : 5% NFDM/TBST
Dilution buffer : 5% NFDM/TBST

All lanes:

Western blot - Anti-Caspase-3 antibody [E87] (ab32351) at 1/5000 dilution

Lane 1:

Ramos (human Burkitt's lymphoma cell line) cell lysate at 20 µg

Lane 2:

HEK-293 (human epithelial cell line from embryonic kidney) cell lysate at 20 µg

Secondary

All lanes:

HRP goat anti-rabbit IgG (H+L) at 1/1000 dilution

Predicted band size: 31 kDa

Observed band size: 35 kDa

false

Flow Cytometry (Intracellular) - Anti-Caspase-3 antibody [E87] (AB32351)
  • Flow Cyt (Intra)

Unknown

Flow Cytometry (Intracellular) - Anti-Caspase-3 antibody [E87] (AB32351)

Overlay histogram showing HeLa (human epithelial cell line from cervix adenocarcinoma) cells stained with unpurfied ab32351 (red line). The cells were fixed with 80% methanol (5 min) and then permeabilized with 0.1% PBS-Tween for 20 min. The cells were then incubated in 1x PBS / 10% normal goat serum / 0.3M glycine to block non-specific protein-protein interactions followed by the antibody (ab32351, 1/1000 dilution) for 30 min at 22°C. The secondary antibody used was Alexa Fluorr®488 goat anti-rabbit IgG (H&L) (ab150081) at 1/2000 dilution for 30 min at 22°C. Isotype control antibody (black line) was rabbit IgG (monoclonal) (ab172730, 0.1μg/1x106 cells) used under the same conditions. Unlabelled sample (blue line) was also used as a control.

Acquisition of >5,000 events were collected using a 20mW Argon ion laser (488nm) and 525/30 bandpass filter.

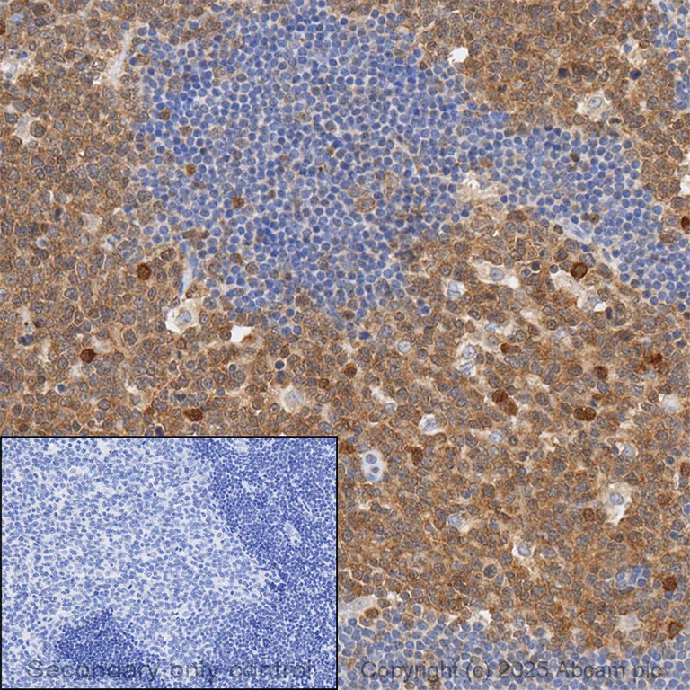
Immunohistochemistry (Formalin/PFA-fixed paraffin-embedded sections) - Anti-Caspase-3 antibody [E87] (AB32351)
  • IHC-P

Unknown

Immunohistochemistry (Formalin/PFA-fixed paraffin-embedded sections) - Anti-Caspase-3 antibody [E87] (AB32351)

Immunohistochemical staining of paraffin embedded human tonsil with purified ab32351 at a working dilution of 1/100. The secondary antibody used is HRP goat anti-rabbit IgG H&L (ab97051) at 1/500. The sample is counter-stained with hematoxylin. Antigen retrieval was perfomed using Tris-EDTA buffer, pH 9.0. PBS was used instead of the primary antibody as the negative control, and is shown in the inset.

Flow Cytometry (Intracellular) - Anti-Caspase-3 antibody [E87] (AB32351)
  • Flow Cyt (Intra)

Unknown

Flow Cytometry (Intracellular) - Anti-Caspase-3 antibody [E87] (AB32351)

Overlay histogram showing Ramos (human Burkitt's lymphoma cell line) cells fixed in 4% PFA and stained with purified ab32351 at a dilution of 1 in 180 (red line). The secondary antibody used was FITC goat anti-rabbit at a dilution of 1 in 500. Rabbit monoclonal IgG was used as an isotype control (black line) and cells incubated in the absence of both primary and secondary antibody were used as a negative control (blue line).

Immunocytochemistry/ Immunofluorescence - Anti-Caspase-3 antibody [E87] (AB32351)
  • ICC/IF

Unknown

Immunocytochemistry/ Immunofluorescence - Anti-Caspase-3 antibody [E87] (AB32351)

Immunofluorescence staining of Jurkat (human T cell leukemia cell line from peripheral blood) cells with purified ab32351 at a working dilution of 1/500, counter-stained with DAPI. The secondary antibody was Alexa Fluor® 488 goat anti-rabbit (ab150077), used at a dilution of 1/1000. ab7291, a mouse anti-tubulin antibody (1/1000), was used to stain tubulin along with ab150120 (Alexa Fluor® 594 goat anti-mouse, 1/1000), shown in the top right hand panel. The cells were fixed in 4% PFA and permeabilized using 0.1% Triton X 100. The negative controls are shown in bottom middle and right hand panels - for negative control 1, purified ab32351 was used at a dilution of 1/500 followed by an Alexa Fluor® 594 goat anti-mouse antibody (ab150120) at a dilution of 1/500. For negative control 2, ab7291 (mouse anti-tubulin) was used at a dilution of 1/500 followed by an Alexa Fluor® 488 goat anti-rabbit antibody (ab150077) at a dilution of 1/400.

Immunoprecipitation - Anti-Caspase-3 antibody [E87] (AB32351)
  • IP

Unknown

Immunoprecipitation - Anti-Caspase-3 antibody [E87] (AB32351)

ab32351 (purified) at 1/50 immunoprecipitating Cullin 1 in 10 μg HeLa (human epithelial cell line from cervix adenocarcinoma) whole cell lysate (Lanes 1 and 2, observed at 35 kDa). Lane 3 - PBS. For western blotting, VeriBlot for IP Detection Reagent (HRP) (ab131366) was used for detection (1/1500). Blocking buffer and concentration : 5% NFDM/TBST Dilution buffer and concentration : 5% NFDM/TBST

All lanes:

Immunoprecipitation - Anti-Caspase-3 antibody [E87] (ab32351)

Predicted band size: 31 kDa

false

Western blot - Anti-Caspase-3 antibody [E87] (AB32351)
  • WB

Unknown

Western blot - Anti-Caspase-3 antibody [E87] (AB32351)

Carried out with unpurified antibody. Lane 1 = Caspase 3 protein (Active) (ab52314) 20 ng. Lane 2 = Caspase 9 protein (Active) (ab52203) 20 ng. Lane 3 = Extract of HeLa (human epithelial cell line from cervix adenocarcinoma) cells treated with vehicle (ab136806) 20 ug. Lane 4 = Extract of HeLa cells treated with staurosporine (ab136806) 20 ug. SDS PAGE performed under reducing conditions (100 mM DTT Sample heated at 50°C). Primary : Lanes 1-4 : Anti Caspase 3 antibody (ab32351) at 1 : 1000 dilution. Secondary : Lanes 1-4 : Goat anti rabbit IgG(H&L)-HRP at 1 : 10000. Development : ECL for 10 min exposure. Blocking : in 5% Milk + PBS overnight at 4 C. Primary antibody : in 5% Milk + PBS for 2 hours at RT. Secondary antibody : in 5% Milk + PBS for 2 hours at RT. Predicted band size : 32 kDa and 17 kDa. Observed band size : 32 kDa and 17 kDa.

All lanes:

Western blot - Anti-Caspase-3 antibody [E87] (ab32351)

Predicted band size: 31 kDa

false

Western blot - Anti-Caspase-3 antibody [E87] (AB32351)
  • WB

Lab

Western blot - Anti-Caspase-3 antibody [E87] (AB32351)

Blocking buffer : 5% NFDM/TBST
Dilution buffer : 5% NFDM/TBST

All lanes:

Western blot - Anti-Caspase-3 antibody [E87] (ab32351) at 1/5000 dilution

Lane 1:

untreated Jurkat (human T cell leukemia cell line from peripheral blood)cell lysate at 10 µg

Lane 2:

Jurkat treated with staurosporine at 10 µg

Secondary

All lanes:

HRP goat anti-rabbit IgG (H+L) at 1/1000 dilution

Predicted band size: 31 kDa

Observed band size: 17 kDa,35 kDa

false

関連する標識済み抗体及び組成の異なる製品 (11)

  • Biotin

    Biotin Anti-Caspase-3 antibody [E87]

  • 578 PE

    PE Anti-Caspase-3 antibody [E87]

  • 660 APC

    APC Anti-Caspase-3 antibody [E87]

  • 617 Alexa Fluor® 594

    Alexa Fluor® 594 Anti-Caspase-3 antibody [E87]

  • 519 Alexa Fluor® 488

    Alexa Fluor® 488 Anti-Caspase-3 antibody [E87]

  • 665 Alexa Fluor® 647

    Alexa Fluor® 647 Anti-Caspase-3 antibody [E87]

  • 565 Alexa Fluor® 555

    Alexa Fluor® 555 Anti-Caspase-3 antibody [E87]

  • 603 Alexa Fluor® 568

    Alexa Fluor® 568 Anti-Caspase-3 antibody [E87]

  • Carrier free

    Anti-Caspase-3 antibody [E87] - BSA and Azide free

  • HRP

    HRP Anti-Caspase-3 antibody [E87]

  • 775 Alexa Fluor® 750

    Alexa Fluor® 750 Anti-Caspase-3 antibody [E87]

Key facts

宿主種

Rabbit

クローン性

Monoclonal

クローン番号

E87

アイソタイプ

IgG

キャリアフリー

No

交差種

Human

アプリケーション

Flow Cyt (Intra), IHC-P, IP, ICC/IF, WB

applications

免疫原

The exact immunogen used to generate this antibody is proprietary information.

特異性

This antibody is specific for the pro form and the p17 cleaved form of human Caspase-3.

Reactivity data

{ "title": "Reactivity Data", "filters": { "stats": ["", "Species", "Dilution Info", "Notes"], "tabs": { "all-applications": {"fullname" : "All Applications", "shortname": "All Applications"}, "IHCP" : {"fullname" : "Immunohistochemistry (Formalin/PFA-fixed paraffin-embedded sections)", "shortname":"IHC-P"}, "IP" : {"fullname" : "Immunoprecipitation", "shortname":"IP"}, "WB" : {"fullname" : "Western blot", "shortname":"WB"}, "ICCIF" : {"fullname" : "Immunocytochemistry/ Immunofluorescence", "shortname":"ICC/IF"}, "FlowCytIntra" : {"fullname" : "Flow Cytometry (Intracellular)", "shortname":"Flow Cyt (Intra)"} }, "product-promise": { "all": "all", "testedAndGuaranteed": "tested", "guaranteed": "expected", "predicted": "predicted", "notRecommended": "not-recommended" } }, "values": { "Human": { "IHCP-species-checked": "testedAndGuaranteed", "IHCP-species-dilution-info": "1/25 - 1/100", "IHCP-species-notes": "<p></p> Perform heat-mediated antigen retrieval before commencing with IHC staining protocol.", "IP-species-checked": "testedAndGuaranteed", "IP-species-dilution-info": "1/10 - 1/50", "IP-species-notes": "<p></p>", "WB-species-checked": "testedAndGuaranteed", "WB-species-dilution-info": "1/5000", "WB-species-notes": "<p></p>", "ICCIF-species-checked": "testedAndGuaranteed", "ICCIF-species-dilution-info": "1 µg/mL", "ICCIF-species-notes": "<p><strong>For unpurified, use 1/25 dilution.</strong></p>", "FlowCytIntra-species-checked": "testedAndGuaranteed", "FlowCytIntra-species-dilution-info": "1/180 - 1/1000", "FlowCytIntra-species-notes": "<p><a href='/products/primary-antibodies/rabbit-igg-monoclonal-epr25a-isotype-control-low-endotoxin-azide-free-ab199376'>ab199376</a> - Rabbit monoclonal IgG, is suitable for use as an isotype control with this antibody.</p>" }, "Mouse": { "IHCP-species-checked": "notRecommended", "IHCP-species-dilution-info": "1/25 - 1/100", "IHCP-species-notes": "<p></p> Perform heat-mediated antigen retrieval before commencing with IHC staining protocol.", "IP-species-checked": "notRecommended", "IP-species-dilution-info": "1/10 - 1/50", "IP-species-notes": "<p></p>", "WB-species-checked": "notRecommended", "WB-species-dilution-info": "1/5000", "WB-species-notes": "<p></p>", "ICCIF-species-checked": "notRecommended", "ICCIF-species-dilution-info": "1 µg/mL", "ICCIF-species-notes": "<p><strong>For unpurified, use 1/25 dilution.</strong></p>", "FlowCytIntra-species-checked": "notRecommended", "FlowCytIntra-species-dilution-info": "1/180 - 1/1000", "FlowCytIntra-species-notes": "<p><a href='/products/primary-antibodies/rabbit-igg-monoclonal-epr25a-isotype-control-ab172730'>ab172730</a> - Rabbit monoclonal IgG, is suitable for use as an isotype control with this antibody.</p>" } } }

下記製品にもご興味をお持ちいただけるかもしれません:

AB39401

Caspase-3 Assay Kit (Colorimetric)

0

1 Reviews

製品ページを見る
こちらの製品も推奨する理由

この製品は、同様の実験や関連する研究で広く使用されていることから推奨させていただいております。

お客様の実験に適するかご確認いただくため、必ず製品データシートをご確認いただくことをお勧めいたします。ご不明点等ございましたら、テクニカルサポートチームまでお問い合わせください。

製品の詳細

Anti-Caspase-3 antibody [E87] (ab32351) was developed by Abcam using patented rabbit monoclonal antibody technology and is validated for use in Flow Cyt (Intra), ICC/IF, IHC-P, IP, WB in human samples.

Anti-Caspase-3 antibody [E87] (ab32351) has been cited over 386 times in peer reviewed journals and is trusted by the scientific community.

Abcam's high quality manufacturing and validation processes ensure Anti-Caspase-3 antibody [E87] (ab32351) has high sensitivity and specificity alongside high lot-to-lot consistency and reproducibility.

The specificity of Anti-Caspase-3 antibody [E87] (ab32351) has been confirmed by testing in knockout samples.

Anti-Caspase-3 antibody [E87] (ab32351) has 11 independent reviews from customers.

Anti-Caspase-3 antibody [E87] (ab32351) specifically detects Caspase-3 (UniProt ID: P42574; Molecular weight: 17kDa) and is sold in a convenient trial size to enable initial testing (20 µL) and larger sizes for subsequent scaling up experiments (100 µL and 1 mL).

Conjugation-ready, carrier free format available for antibody clone E87 - ab197202.

Antibody clone E87 is also available pre-conjugated to a variety of labels for your convenience - Biotin, PE, APC, HRP, Alkaline Phosphatase, Alexa Fluor® 488, Alexa Fluor® 647, Alexa Fluor® 594 (ab195905, ab305665, ab305666, ab305667, ab308706, ab309678, ab310040, ab310425).

Species reactivity
Mouse, Rat: We have preliminary internal testing data to indicate this antibody may not react with these species.
Please contact us for more information.

Patented technology
Our RabMAb® technology is a patented hybridoma-based technology for making rabbit monoclonal antibodies. For details on our patents, please refer to RabMAb® patents.

What are the advantages of a recombinant monoclonal antibody?
This product is a recombinant monoclonal antibody, which offers several advantages including:

  • - High batch-to-batch consistency and reproducibility
  • - Improved sensitivity and specificity
  • - Long-term security of supply
  • - Animal-free batch production

For more information, read more on recombinant antibodies.

出荷温度及び保存条件

製品の状態
Liquid
精製方法
Affinity purification Protein A
バッファー組成
pH: 7.2 - 7.4 Preservative: 0.01% Sodium azide Constituents: 59% PBS, 40% Glycerol (glycerin, glycerine), 0.05% BSA
出荷温度
Blue Ice
短期保存期間
1-2 weeks
短期保存温度
+4°C
長期保存温度
-20°C
分注に関する情報
Upon delivery aliquot
保管に関する情報
Avoid freeze / thaw cycle

製品プロトコール

For this product, it's our understanding that no specific protocols are required. You can visit:

ターゲットの情報

Thiol protease that acts as a major effector caspase involved in the execution phase of apoptosis (PubMed : 18723680, PubMed : 20566630, PubMed : 23650375, PubMed : 35338844, PubMed : 35446120, PubMed : 7596430). Following cleavage and activation by initiator caspases (CASP8, CASP9 and/or CASP10), mediates execution of apoptosis by catalyzing cleavage of many proteins (PubMed : 18723680, PubMed : 20566630, PubMed : 23650375, PubMed : 7596430). At the onset of apoptosis, it proteolytically cleaves poly(ADP-ribose) polymerase PARP1 at a '216-Asp-|-Gly-217' bond (PubMed : 10497198, PubMed : 16374543, PubMed : 7596430, PubMed : 7774019). Cleaves and activates sterol regulatory element binding proteins (SREBPs) between the basic helix-loop-helix leucine zipper domain and the membrane attachment domain (By similarity). Cleaves and activates caspase-6, -7 and -9 (CASP6, CASP7 and CASP9, respectively) (PubMed : 7596430). Cleaves and inactivates interleukin-18 (IL18) (PubMed : 37993714, PubMed : 9334240). Involved in the cleavage of huntingtin (PubMed : 8696339). Triggers cell adhesion in sympathetic neurons through RET cleavage (PubMed : 21357690). Cleaves and inhibits serine/threonine-protein kinase AKT1 in response to oxidative stress (PubMed : 23152800). Acts as an inhibitor of type I interferon production during virus-induced apoptosis by mediating cleavage of antiviral proteins CGAS, IRF3 and MAVS, thereby preventing cytokine overproduction (PubMed : 30878284). Also involved in pyroptosis by mediating cleavage and activation of gasdermin-E (GSDME) (PubMed : 35338844, PubMed : 35446120). Cleaves XRCC4 and phospholipid scramblase proteins XKR4, XKR8 and XKR9, leading to promote phosphatidylserine exposure on apoptotic cell surface (PubMed : 23845944, PubMed : 33725486). Cleaves BIRC6 following inhibition of BIRC6-caspase binding by DIABLO/SMAC (PubMed : 36758104, PubMed : 36758106).
See full target information CASP3

文献 (385)

Recent publications for all applications. Explore the full list and refine your search

Burns & trauma 11:tkad024 PubMed38116467

2023

S-Nitrosylation-mediated coupling of DJ-1 with PTEN induces PI3K/AKT/mTOR pathway-dependent keloid formation.

Applications

Unspecified application

Species

Unspecified reactive species

Dongming Lv,Zhongye Xu,Pu Cheng,Zhicheng Hu,Yunxian Dong,Yanchao Rong,Hailin Xu,Zhiyong Wang,Xiaoling Cao,Wuguo Deng,Bing Tang

PeerJ 11:e16659 PubMed38107572

2023

CXCL10-based gene cluster model serves as a potential diagnostic biomarker for premature ovarian failure.

Applications

Unspecified application

Species

Unspecified reactive species

Ying Qin,Canliang Wen,Huijiao Wu

Journal of experimental & clinical cancer research : CR 42:329 PubMed38041128

2023

Hedgehog-Gli1-derived exosomal circ-0011536 mediates peripheral neural remodeling in pancreatic cancer by modulating the miR-451a/VGF axis.

Applications

Unspecified application

Species

Unspecified reactive species

Weiqi Dai,Xiaoli Wu,Jingjing Li,Wenxi Tang,Ying Wang,Wenqiang Xu,Dengyu Han,Xiaorong Xu,Xuanfu Xu

BMC complementary medicine and therapies 23:430 PubMed38031104

2023

Prevention of STAT3-related pathway in SK-N-SH cells by natural product astaxanthin.

Applications

Unspecified application

Species

Unspecified reactive species

Shao-Qian Sun,Feng-Xiang Du,Li-Hua Zhang, Hao-Shi,Fu-Ying Gu,Yu-Lin Deng,Yi-Zhi Ji

Analytical cellular pathology (Amsterdam) 2023:1108280 PubMed38028435

2023

Depletion of lncRNA MEG3 Ameliorates Imatinib-Induced Injury of Cardiomyocytes via Regulating miR-129-5p/HMGB1 Axis.

Applications

Unspecified application

Species

Unspecified reactive species

Peng Tang,Jinjian Zhou,Huagang Liu,Shenglan Mei,Kai Wang,Hao Ming

Signal transduction and targeted therapy 8:428 PubMed37963877

2023

Microcolin H, a novel autophagy inducer, exerts potent antitumour activity by targeting PITPα/β.

Applications

Unspecified application

Species

Unspecified reactive species

Hange Yang,Xiaowei Zhang,Cong Wang,Hailong Zhang,Juan Yi,Kun Wang,Yanzhe Hou,Peihong Ji,Xiaojie Jin,Chenghao Li,Min Zhang,Shan Huang,Haoyuan Jia,Kuan Hu,Lingyun Mou,Rui Wang

Inflammation 47:421-437 PubMed37898994

2023

lncRNA HOTAIRM1 Activated by HOXA4 Drives HUVEC Proliferation Through Direct Interaction with Protein Partner HSPA5.

Applications

Unspecified application

Species

Unspecified reactive species

Yu Zhou,Qiang Wu,Xiangshu Long,Youfu He,Jing Huang

Biosensors 13: PubMed37887139

2023

Intensity Interrogation-Based High-Sensitivity Surface Plasmon Resonance Imaging Biosensor for Apoptosis Detection in Cancer.

Applications

Unspecified application

Species

Unspecified reactive species

Xin Yuan,Zhenxiao Niu,Lang Liu,Youjun Zeng,Lin Ma,Zhaogang Nie,Zhen Tian,Dongyun Kai,Fangteng Zhang,Guanyu Liu,Siwei Li,Zhengqiang Yuan

Journal of physiology and biochemistry 80:81-97 PubMed37815698

2023

DERL2 (derlin 2) stabilizes BAG6 (BAG cochaperone 6) in chemotherapy resistance of cholangiocarcinoma.

Applications

Unspecified application

Species

Unspecified reactive species

Luzheng Liu,Jincai Wu,Yanggang Yan,Shoucai Cheng,Shuyong Yu,Yong Wang

International journal of molecular sciences 24: PubMed37834111

2023

BIRC5 Inhibition Is Associated with Pyroptotic Cell Death via Caspase3-GSDME Pathway in Lung Adenocarcinoma Cells.

Applications

Unspecified application

Species

Unspecified reactive species

Qingwei Zhang,Ximing Chen,Yingying Hu,Tong Zhou,Menghan Du,Run Xu,Yongchao Chen,Pingping Tang,Zhouxiu Chen,Jiamin Li
View all publications

Abcam product promise

当社は、高品質な試薬を通じてお客様の研究を力強くサポートすることをお約束いたします。ご使用いただく各段階で、常にお客様をサポートできる体制を整えております。万が一、製品が期待通りに機能しない場合は、「Abcam Product Promise」による当社保証制度に基づき、安心してご利用いただけます。
保証に関する詳細については利用規約をご確認ください。

関連製品

Select an associated product type
Alternative Product
Primary Antibodies

AB59425

Anti-Caspase-3 (phospho S150) antibody

primary-antibodies

caspase-3-phospho-s150-antibody-ab59425

4

(4 reviews)

Alternative Product
Primary Antibodies

AB13585

Anti-Caspase-3 antibody [31A1067]

primary-antibodies

caspase-3-antibody-31a1067-ab13585

5

(2 reviews)

Alternative Product
Primary Antibodies

AB208161

Anti-Caspase-3 antibody [ABM1C12]

primary-antibodies

caspase-3-antibody-abm1c12-ab208161

0

(0 reviews)

Alternative Product
Primary Antibodies

AB90437

Anti-Caspase-3 antibody

primary-antibodies

caspase-3-antibody-ab90437

3

(9 reviews)

Alternative Product
Primary Antibodies

AB4051

Anti-Caspase-3 antibody

primary-antibodies

caspase-3-antibody-ab4051

4

(7 reviews)

Alternative Product
Primary Antibodies

AB13847

Anti-Caspase-3 antibody

primary-antibodies

caspase-3-antibody-ab13847

4

(56 reviews)

Alternative Product
Primary Antibodies

AB184787

Anti-Caspase-3 antibody [EPR18297]

primary-antibodies

caspase-3-antibody-epr18297-ab184787

3

(2 reviews)

Alternative Product
Primary Antibodies

AB224271

Anti-Caspase-3 antibody [EPR18297] - BSA and Azide free

primary-antibodies

caspase-3-antibody-epr18297-bsa-and-azide-free-ab224271

0

(0 reviews)

Alternative Product
Primary Antibodies

AB44976

Anti-Caspase-3 antibody

primary-antibodies

caspase-3-antibody-ab44976

4

(4 reviews)

Please note: All products are 'FOR RESEARCH USE ONLY. NOT FOR USE IN DIAGNOSTIC OR THERAPEUTIC PROCEDURES'.

For licensing inquiries, please contact partnerships@abcam.com