JavaScript is disabled in your browser. Please enable JavaScript to view this website.
AB105226

Anti-Carbonic Anhydrase 9/CA9 抗体 [SP106]

Anti-Carbonic Anhydrase 9/CA9 antibody [SP106]

Be the first to review this product! Submit a review

|

(1 Publication)

Rabbit Recombinant Monoclonal Carbonic Anhydrase 9 antibody. Suitable for Flow Cyt, IHC-P and reacts with Human samples. Cited in 1 publication.

別名を表示する

G250, MN, CA9, Carbonic anhydrase 9, Carbonate dehydratase IX, Carbonic anhydrase IX, Membrane antigen MN, P54/58N, Renal cell carcinoma-associated antigen G250, pMW1, CA-IX, CAIX, RCC-associated antigen G250

2 Images
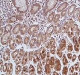
Immunohistochemistry (Formalin/PFA-fixed paraffin-embedded sections) - Anti-Carbonic Anhydrase 9/CA9 antibody [SP106] (AB105226)
  • IHC-P

Unknown

Immunohistochemistry (Formalin/PFA-fixed paraffin-embedded sections) - Anti-Carbonic Anhydrase 9/CA9 antibody [SP106] (AB105226)

ab105226, at 1/100 dilution, staining Carbonic Anhydrase 9/CA9 in formalin-fixed, paraffin-embedded Human stomach tissue by Immunohistochemistry.

Flow Cytometry - Anti-Carbonic Anhydrase 9/CA9 antibody [SP106] (AB105226)
  • Flow Cyt

Supplier Data

Flow Cytometry - Anti-Carbonic Anhydrase 9/CA9 antibody [SP106] (AB105226)

Flow cytometric analysis of rabbit anti-Carbonic Anhydrase 9/CA9 (SP106) antibody ab105226 (1/100) in HT29 cells (green) compared to negative control of rabbit IgG (blue).

関連する標識済み抗体及び組成の異なる製品 (1)

  • Carrier free

    Anti-Carbonic Anhydrase 9/CA9 antibody [SP106] - BSA and Azide free

Key facts

宿主種

Rabbit

クローン性

Monoclonal

クローン番号

SP106

アイソタイプ

IgG

キャリアフリー

No

交差種

Human

アプリケーション

IHC-P, Flow Cyt

applications

免疫原

The exact immunogen used to generate this antibody is proprietary information.

Reactivity data

{ "title": "Reactivity Data", "filters": { "stats": ["", "Species", "Dilution Info", "Notes"], "tabs": { "all-applications": {"fullname" : "All Applications", "shortname": "All Applications"}, "FlowCyt" : {"fullname" : "Flow Cytometry", "shortname":"Flow Cyt"}, "IHCP" : {"fullname" : "Immunohistochemistry (Formalin/PFA-fixed paraffin-embedded sections)", "shortname":"IHC-P"} }, "product-promise": { "all": "all", "testedAndGuaranteed": "tested", "guaranteed": "expected", "predicted": "predicted", "notRecommended": "not-recommended" } }, "values": { "Human": { "FlowCyt-species-checked": "testedAndGuaranteed", "FlowCyt-species-dilution-info": "", "FlowCyt-species-notes": "<p><a href='/products/primary-antibodies/rabbit-igg-monoclonal-epr25a-isotype-control-ab172730'>ab172730</a> - Rabbit monoclonal IgG, is suitable for use as an isotype control with this antibody.</p>", "IHCP-species-checked": "testedAndGuaranteed", "IHCP-species-dilution-info": "1/100", "IHCP-species-notes": "<p>Boil tissue section in 10mM citrate buffer, pH 6.0 for 10 min followed by cooling at RT for 20 min.</p>" } } }

製品の詳細

What are the advantages of a recombinant monoclonal antibody?
This product is a recombinant monoclonal antibody, which offers several advantages including:

  • - High batch-to-batch consistency and reproducibility
  • - Improved sensitivity and specificity
  • - Long-term security of supply
  • - Animal-free batch production

For more information, read more on recombinant antibodies.

出荷温度及び保存条件

製品の状態
Liquid
精製方法
Affinity purification Protein A/G
精製に関する特記事項
Purified from TCS by protein A/G.
バッファー組成
pH: 7.2 - 7.4 Preservative: 0.1% Sodium azide Constituents: PBS, 1% BSA
出荷温度
Blue Ice
短期保存温度
+4°C
長期保存温度
+4°C
保管に関する情報
Do Not Freeze

製品プロトコール

For this product, it's our understanding that no specific protocols are required. You can visit:

ターゲットの情報

Catalyzes the interconversion between carbon dioxide and water and the dissociated ions of carbonic acid (i.e. bicarbonate and hydrogen ions).
See full target information CA9

文献 (1)

Recent publications for all applications. Explore the full list and refine your search

Antioxidants (Basel, Switzerland) 13: PubMed39594482

2024

Characterization of the Peroxisomal Proteome and Redox Balance in Human Prostate Cancer Cell Lines.

Applications

Unspecified application

Species

Unspecified reactive species

Mohamed A F Hussein,Celien Lismont,Cláudio F Costa,Hongli Li,Frank Claessens,Marc Fransen
View all publications

Abcam product promise

当社は、高品質な試薬を通じてお客様の研究を力強くサポートすることをお約束いたします。ご使用いただく各段階で、常にお客様をサポートできる体制を整えております。万が一、製品が期待通りに機能しない場合は、「Abcam Product Promise」による当社保証制度に基づき、安心してご利用いただけます。
保証に関する詳細については利用規約をご確認ください。

Please note: All products are 'FOR RESEARCH USE ONLY. NOT FOR USE IN DIAGNOSTIC OR THERAPEUTIC PROCEDURES'.

For licensing inquiries, please contact partnerships@abcam.com