JavaScript is disabled in your browser. Please enable JavaScript to view this website.
AB244299

Anti-Calretinin 抗体

Anti-Calretinin antibody

5

(1 Review)

|

(6 Publications)

Rabbit Polyclonal Calretinin antibody. Suitable for IHC-P, WB, ICC/IF and reacts with Mouse, Human samples. Cited in 6 publications. Immunogen corresponding to Recombinant Fragment Protein within Human CALB2 aa 100 to C-terminus.

別名を表示する

CAB29, CALB2, Calretinin, CR, 29 kDa calbindin

11 Images
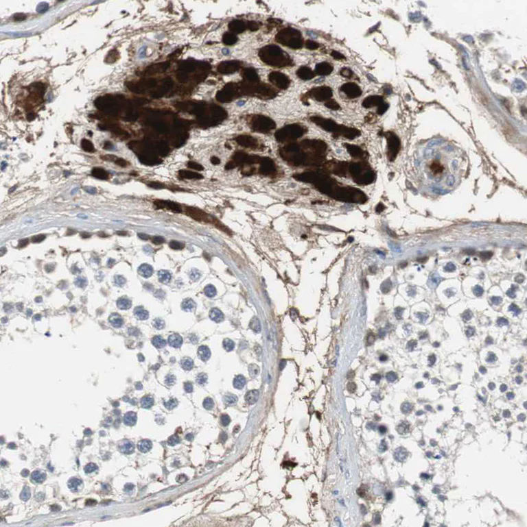
Immunohistochemistry (Formalin/PFA-fixed paraffin-embedded sections) - Anti-Calretinin antibody (AB244299)
  • IHC-P

Unknown

Immunohistochemistry (Formalin/PFA-fixed paraffin-embedded sections) - Anti-Calretinin antibody (AB244299)

Formalin-fixed, paraffin-embedded human testis tissue stained for Calretinin with ab244299 at a 1/50 dilution in immunohistochemical analysis.

Immunohistochemistry (Formalin/PFA-fixed paraffin-embedded sections) - Anti-Calretinin antibody (AB244299)
  • IHC-P

Unknown

Immunohistochemistry (Formalin/PFA-fixed paraffin-embedded sections) - Anti-Calretinin antibody (AB244299)

Formalin-fixed, paraffin-embedded human cerebellum tissue stained for Calretinin with ab244299 at a 1/50 dilution in immunohistochemical analysis.

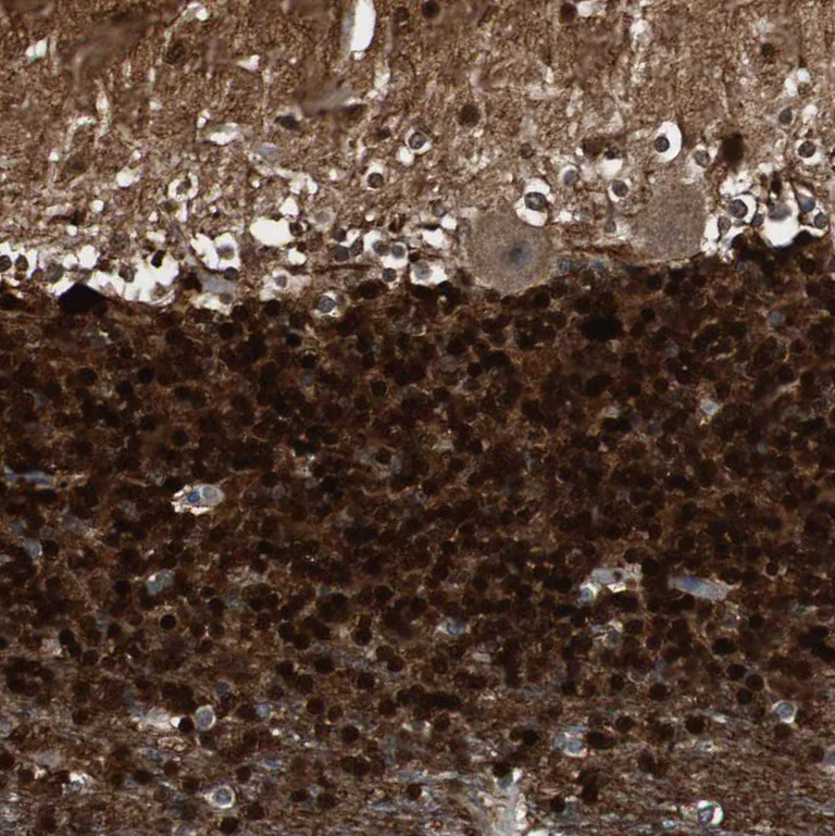
Immunohistochemistry (Formalin/PFA-fixed paraffin-embedded sections) - Anti-Calretinin antibody (AB244299)
  • IHC-P

Unknown

Immunohistochemistry (Formalin/PFA-fixed paraffin-embedded sections) - Anti-Calretinin antibody (AB244299)

Formalin-fixed, paraffin-embedded human stomach tissue stained for Calretinin with ab244299 at a 1/50 dilution in immunohistochemical analysis.

Immunocytochemistry/ Immunofluorescence - Anti-Calretinin antibody (AB244299)
  • ICC/IF

Unknown

Immunocytochemistry/ Immunofluorescence - Anti-Calretinin antibody (AB244299)

PFA fixed, Triton X-100 permeabilized U-2 OS (Human bone osteosarcoma epithelial cell line) cells labeling Calretinin using ab244299 at 4 μg/ml (green) in ICC/IF.

Immunohistochemistry (Formalin/PFA-fixed paraffin-embedded sections) - Anti-Calretinin antibody (AB244299)
  • IHC-P

Unknown

Immunohistochemistry (Formalin/PFA-fixed paraffin-embedded sections) - Anti-Calretinin antibody (AB244299)

Formalin-fixed, paraffin-embedded mouse hindbrain tissue stained for Calretinin with ab244299 at a 1/50 dilution in immunohistochemical analysis.

Immunohistochemistry (Formalin/PFA-fixed paraffin-embedded sections) - Anti-Calretinin antibody (AB244299)
  • IHC-P

Unknown

Immunohistochemistry (Formalin/PFA-fixed paraffin-embedded sections) - Anti-Calretinin antibody (AB244299)

Formalin-fixed, paraffin-embedded mouse medulla tissue stained for Calretinin with ab244299 at a 1/50 dilution in immunohistochemical analysis.

Immunohistochemistry (Formalin/PFA-fixed paraffin-embedded sections) - Anti-Calretinin antibody (AB244299)
  • IHC-P

Unknown

Immunohistochemistry (Formalin/PFA-fixed paraffin-embedded sections) - Anti-Calretinin antibody (AB244299)

Formalin-fixed, paraffin-embedded mouse substantia nigra tissue stained for Calretinin with ab244299 at a 1/50 dilution in immunohistochemical analysis.

Immunohistochemistry (Formalin/PFA-fixed paraffin-embedded sections) - Anti-Calretinin antibody (AB244299)
  • IHC-P

Unknown

Immunohistochemistry (Formalin/PFA-fixed paraffin-embedded sections) - Anti-Calretinin antibody (AB244299)

Formalin-fixed, paraffin-embedded mouse hippocampus tissue stained for Calretinin with ab244299 at a 1/50 dilution in immunohistochemical analysis.

Immunohistochemistry (Formalin/PFA-fixed paraffin-embedded sections) - Anti-Calretinin antibody (AB244299)
  • IHC-P

Unknown

Immunohistochemistry (Formalin/PFA-fixed paraffin-embedded sections) - Anti-Calretinin antibody (AB244299)

Formalin-fixed, paraffin-embedded mouse hypothalamus tissue stained for Calretinin with ab244299 at a 1/50 dilution in immunohistochemical analysis.

Western blot - Anti-Calretinin antibody (AB244299)
  • WB

Supplier Data

Western blot - Anti-Calretinin antibody (AB244299)

All lanes:

Western blot - Anti-Calretinin antibody (ab244299) at 0.4 µg/mL

Lane 1:

U-2 OS (Human bone osteosarcoma epithelial cell line) transfected with control siRNA

Lane 2:

U-2 OS transfected with siRNA probe #1

Lane 3:

U-2 OS transfected with siRNA probe #2

Predicted band size: 31 kDa

false

Western blot - Anti-Calretinin antibody (AB244299)
  • WB

Supplier Data

Western blot - Anti-Calretinin antibody (AB244299)

All lanes:

Western blot - Anti-Calretinin antibody (ab244299) at 0.4 µg/mL

Lane 1:

NIH/3T3 (Mouse embryo fibroblast cell line) cell lysate

Lane 2:

NBT-II (Rat cell line) cell lysate

Predicted band size: 31 kDa

false

Key facts

宿主種

Rabbit

クローン性

Polyclonal

アイソタイプ

IgG

キャリアフリー

No

交差種

Mouse, Human

アプリケーション

WB, IHC-P, ICC/IF

applications

免疫原

Recombinant Fragment Protein within Human CALB2 aa 100 to C-terminus. The exact immunogen used to generate this antibody is proprietary information.

P22676

Reactivity data

{ "title": "Reactivity Data", "filters": { "stats": ["", "Species", "Dilution Info", "Notes"], "tabs": { "all-applications": {"fullname" : "All Applications", "shortname": "All Applications"}, "IHCP" : {"fullname" : "Immunohistochemistry (Formalin/PFA-fixed paraffin-embedded sections)", "shortname":"IHC-P"}, "WB" : {"fullname" : "Western blot", "shortname":"WB"}, "ICCIF" : {"fullname" : "Immunocytochemistry/ Immunofluorescence", "shortname":"ICC/IF"} }, "product-promise": { "all": "all", "testedAndGuaranteed": "tested", "guaranteed": "expected", "predicted": "predicted", "notRecommended": "not-recommended" } }, "values": { "Human": { "IHCP-species-checked": "testedAndGuaranteed", "IHCP-species-dilution-info": "1/5000 - 1/10000", "IHCP-species-notes": "<p></p> Perform heat-mediated antigen retrieval with citrate buffer pH 6 before commencing with IHC staining protocol.", "WB-species-checked": "testedAndGuaranteed", "WB-species-dilution-info": "0.04-0.4 µg/mL", "WB-species-notes": "<p></p>", "ICCIF-species-checked": "testedAndGuaranteed", "ICCIF-species-dilution-info": "0.25-2 µg/mL", "ICCIF-species-notes": "<p>Fixation/Permeabilization: PFA/Triton X-100.</p>" }, "Mouse": { "IHCP-species-checked": "testedAndGuaranteed", "IHCP-species-dilution-info": "1/5000 - 1/10000", "IHCP-species-notes": "<p></p> Perform heat-mediated antigen retrieval with citrate buffer pH 6 before commencing with IHC staining protocol.", "WB-species-checked": "testedAndGuaranteed", "WB-species-dilution-info": "0.04-0.4 µg/mL", "WB-species-notes": "<p></p>", "ICCIF-species-checked": "guaranteed", "ICCIF-species-dilution-info": "", "ICCIF-species-notes": "" }, "Rat": { "IHCP-species-checked": "predicted", "IHCP-species-dilution-info": "", "IHCP-species-notes": "", "WB-species-checked": "predicted", "WB-species-dilution-info": "", "WB-species-notes": "", "ICCIF-species-checked": "predicted", "ICCIF-species-dilution-info": "", "ICCIF-species-notes": "" }, "Cow": { "IHCP-species-checked": "predicted", "IHCP-species-dilution-info": "", "IHCP-species-notes": "", "WB-species-checked": "predicted", "WB-species-dilution-info": "", "WB-species-notes": "", "ICCIF-species-checked": "predicted", "ICCIF-species-dilution-info": "", "ICCIF-species-notes": "" } } }

出荷温度及び保存条件

製品の状態
Liquid
精製方法
Affinity purification Immunogen
バッファー組成
pH: 7.2 Preservative: 0.02% Sodium azide Constituents: PBS, 40% Glycerol (glycerin, glycerine)
出荷温度
Blue Ice
短期保存期間
1-2 weeks
短期保存温度
+4°C
長期保存温度
-20°C
分注に関する情報
Upon delivery aliquot
保管に関する情報
Avoid freeze / thaw cycle

製品プロトコール

For this product, it's our understanding that no specific protocols are required. You can visit:

ターゲットの情報

Calretinin is a calcium-binding protein which is abundant in auditory neurons.
See full target information CALB2

文献 (6)

Recent publications for all applications. Explore the full list and refine your search

Nature 634:1150-1159 PubMed39358505

2024

CRISPR-Cas9 screens reveal regulators of ageing in neural stem cells.

Applications

Unspecified application

Species

Unspecified reactive species

Tyson J Ruetz,Angela N Pogson,Chloe M Kashiwagi,Stephanie D Gagnon,Bhek Morton,Eric D Sun,Jeeyoon Na,Robin W Yeo,Dena S Leeman,David W Morgens,C Kimberly Tsui,Amy Li,Michael C Bassik,Anne Brunet

Life science alliance 7: PubMed38167610

2024

2',3' cyclic nucleotide 3' phosphodiesterase 1 functional isoform antagonizes HIV-1 particle assembly.

Applications

Unspecified application

Species

Unspecified reactive species

Shuntao Liang,Qin Zhang,Fang Wang,Shiwei Wang,Guoli Li,Dong Jiang,Hui Zeng

BMC research notes 16:246 PubMed37777793

2023

Affordable optical clearing and immunolabelling in mouse brain slices.

Applications

Unspecified application

Species

Unspecified reactive species

Phillip M Muza,Marta Pérez,Suzanna Noy,Miyu Kurosawa,Loukia Katsouri,Victor L J Tybulewicz,Elizabeth M C Fisher,Steven J West

iScience 26:106073 PubMed36818290

2023

Cognitive impairments in a Down syndrome model with abnormal hippocampal and prefrontal dynamics and cytoarchitecture.

Applications

Unspecified application

Species

Unspecified reactive species

Phillip M Muza,Daniel Bush,Marta Pérez-González,Ines Zouhair,Karen Cleverley,Miriam L Sopena,Rifdat Aoidi,Steven J West,Mark Good,Victor L J Tybulewicz,Matthew C Walker,Elizabeth M C Fisher,Pishan Chang

International journal of molecular sciences 23: PubMed36555318

2022

Neuronal Calcium Sensor-1 Protects Cortical Neurons from Hyperexcitation and Ca Overload during Ischemia by Protecting the Population of GABAergic Neurons.

Applications

Unspecified application

Species

Unspecified reactive species

Elena G Varlamova,Egor Y Plotnikov,Egor A Turovsky

Translational psychiatry 12:24 PubMed35058425

2022

Activation of the anterior cingulate cortex ameliorates anxiety in a preclinical model of fetal alcohol spectrum disorders.

Applications

Unspecified application

Species

Unspecified reactive species

Hye M Hwang,Kazue Hashimoto-Torii
View all publications

Abcam product promise

当社は、高品質な試薬を通じてお客様の研究を力強くサポートすることをお約束いたします。ご使用いただく各段階で、常にお客様をサポートできる体制を整えております。万が一、製品が期待通りに機能しない場合は、「Abcam Product Promise」による当社保証制度に基づき、安心してご利用いただけます。
保証に関する詳細については利用規約をご確認ください。

Please note: All products are 'FOR RESEARCH USE ONLY. NOT FOR USE IN DIAGNOSTIC OR THERAPEUTIC PROCEDURES'.

For licensing inquiries, please contact partnerships@abcam.com