JavaScript is disabled in your browser. Please enable JavaScript to view this website.
AB16697

Anti-Calcitonin 抗体 [SP17]

Anti-Calcitonin antibody [SP17]

5

(1 Review)

|

(1 Publication)

Anti-Calcitonin antibody [SP17] (ab16697) is a rabbit monoclonal antibody detecting Calcitonin in IHC-P, ICC/IF. Suitable for Human.

- Biophysical QC for unrivalled batch-batch consistency
- Trusted since 2005

別名を表示する

CALC1, CALCA, Calcitonin

4 Images
Immunohistochemistry (Formalin/PFA-fixed paraffin-embedded sections) - Anti-Calcitonin antibody [SP17] (AB16697)
  • IHC-P

Supplier Data

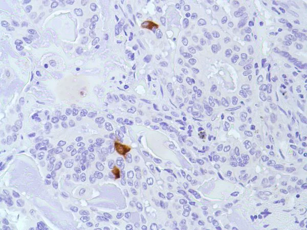
Immunohistochemistry (Formalin/PFA-fixed paraffin-embedded sections) - Anti-Calcitonin antibody [SP17] (AB16697)

Formalin-fixed, paraffin-embedded human lung adenocarcinoma tissue stained for Calcitonin using ab16697 at 1/100 dilution in immunohistochemical analysis.

This image was generated using the hybridoma version of the product.

Immunocytochemistry/ Immunofluorescence - Anti-Calcitonin antibody [SP17] (AB16697)
  • ICC/IF

Unknown

Immunocytochemistry/ Immunofluorescence - Anti-Calcitonin antibody [SP17] (AB16697)

Immunocytochemistry/ Immunofluorescence analysis of TT (Human thyroid carcinoma epithelial cell) cells labeling Calcitonin with purified ab16697 at 1/50 (2.4 μg/ml). Cells were fixed in 4% paraformaldehyde and permeabilized with 0.1% Triton X-100. Cells were counterstained with ab195889 Anti-alpha Tubulin antibody [DM1A] - Microtubule Marker (Alexa Fluor® 594) 1/200 (2.5 μg/ml). Goat anti rabbit IgG (Alexa Fluor® 488, ab150077) was used as the secondary antibody at 1/1000 (2 μg/ml) dilution. DAPI was used as nuclear counterstain. PBS instead of the primary antibody was used as the secondary antibody only control.

This image was generated using the hybridoma version of the product.

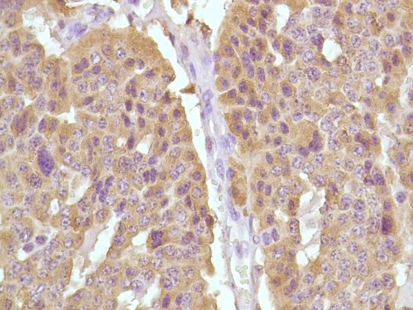
Immunohistochemistry (Formalin/PFA-fixed paraffin-embedded sections) - Anti-Calcitonin antibody [SP17] (AB16697)
  • IHC-P

Supplier Data

Immunohistochemistry (Formalin/PFA-fixed paraffin-embedded sections) - Anti-Calcitonin antibody [SP17] (AB16697)

Formalin-fixed, paraffin-embedded human thyroid medullary carcinoma tissue stained for Calcitonin using ab16697 at 1/100 dilution in immunohistochemical analysis.

This image was generated using the hybridoma version of the product.

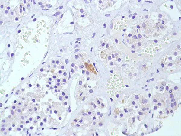
Immunohistochemistry (Formalin/PFA-fixed paraffin-embedded sections) - Anti-Calcitonin antibody [SP17] (AB16697)
  • IHC-P

Supplier Data

Immunohistochemistry (Formalin/PFA-fixed paraffin-embedded sections) - Anti-Calcitonin antibody [SP17] (AB16697)

Formalin-fixed, paraffin-embedded human pituitary tissue stained for Calcitonin using ab16697 at 1/100 dilution in immunohistochemical analysis.

This image was generated using the hybridoma version of the product.

関連する標識済み抗体及び組成の異なる製品 (8)

  • Carrier free

    Anti-Calcitonin antibody [SP17] - BSA and Azide free

  • 519 Alexa Fluor® 488

    Alexa Fluor® 488 Anti-Calcitonin antibody [SP17]

  • 665 Alexa Fluor® 647

    Alexa Fluor® 647 Anti-Calcitonin antibody [SP17]

  • 565 Alexa Fluor® 555

    Alexa Fluor® 555 Anti-Calcitonin antibody [SP17]

  • 617 Alexa Fluor® 594

    Alexa Fluor® 594 Anti-Calcitonin antibody [SP17]

  • 578 PE

    PE Anti-Calcitonin antibody [SP17]

  • 660 APC

    APC Anti-Calcitonin antibody [SP17]

  • 775 Alexa Fluor® 750

    Alexa Fluor® 750 Anti-Calcitonin antibody [SP17]

Key facts

宿主種

Rabbit

クローン性

Monoclonal

クローン番号

SP17

アイソタイプ

IgG

キャリアフリー

No

交差種

Human

アプリケーション

IHC-P, ICC/IF

applications

免疫原

The exact immunogen used to generate this antibody is proprietary information.

Reactivity data

{ "title": "Reactivity Data", "filters": { "stats": ["", "Species", "Dilution Info", "Notes"], "tabs": { "all-applications": {"fullname" : "All Applications", "shortname": "All Applications"}, "IHCP" : {"fullname" : "Immunohistochemistry (Formalin/PFA-fixed paraffin-embedded sections)", "shortname":"IHC-P"}, "ICCIF" : {"fullname" : "Immunocytochemistry/ Immunofluorescence", "shortname":"ICC/IF"} }, "product-promise": { "all": "all", "testedAndGuaranteed": "tested", "guaranteed": "expected", "predicted": "predicted", "notRecommended": "not-recommended" } }, "values": { "Human": { "IHCP-species-checked": "testedAndGuaranteed", "IHCP-species-dilution-info": "1/100", "IHCP-species-notes": "<p></p>", "ICCIF-species-checked": "testedAndGuaranteed", "ICCIF-species-dilution-info": "1/50", "ICCIF-species-notes": "<p></p>" }, "Mouse": { "IHCP-species-checked": "predicted", "IHCP-species-dilution-info": "", "IHCP-species-notes": "", "ICCIF-species-checked": "predicted", "ICCIF-species-dilution-info": "", "ICCIF-species-notes": "" }, "Rat": { "IHCP-species-checked": "predicted", "IHCP-species-dilution-info": "", "IHCP-species-notes": "", "ICCIF-species-checked": "predicted", "ICCIF-species-dilution-info": "", "ICCIF-species-notes": "" } } }

製品の詳細

What is this antibody validated in?
Anti-Calcitonin antibody [SP17] (ab16697) is a rabbit recombinant monoclonal antibody and is validated for use in Immunohistochemistry (IHC-P), Immunocytochemistry/immunofluorescence (ICC/IF) in Human samples.

Collaboration
Anti-Calcitonin [SP17] (ab16697) is a clone from the portfolio of Spring Bioscience (Roche) SP clones which have been optimised for immunohistochemistry (IHC).

Other related products
We have a range of other formats of antibody clone [SP17] also available for your convenience: ab16697, ab238807, Carrier free - ab240922, Alexa Fluor® 488 - ab320486, Alexa Fluor® 647 - ab320487, Alexa Fluor® 555 - ab320488, Alexa Fluor® 594 - ab320489, PE - ab320490, APC - ab320491, Alexa Fluor® 750 - ab321154

What are the advantages of a recombinant monoclonal antibody?
This product is a recombinant monoclonal antibody, which offers several advantages including:

  • - High batch-to-batch consistency and reproducibility
  • - Improved sensitivity and specificity
  • - Long-term security of supply
  • - Animal-free batch production

For more information, read more on recombinant antibodies.

出荷温度及び保存条件

製品の状態
Liquid
精製方法
Affinity purification Protein A
バッファー組成
pH: 7.2 - 7.4 Preservative: 0.1% Sodium azide Constituents: PBS, 1% BSA
出荷温度
Blue Ice
短期保存期間
1-2 weeks
短期保存温度
+4°C
長期保存温度
-20°C
分注に関する情報
Upon delivery aliquot
保管に関する情報
Avoid freeze / thaw cycle

補足情報

This supplementary information is collated from multiple sources and compiled automatically.

Calcitonin also known as thyrocalcitonin is a peptide hormone with a molecular mass of about 3.4 kDa. It consists of 32 amino acids and is primarily synthesized in parafollicular cells or C cells of the thyroid gland. This hormone regulates calcium and phosphate homeostasis in the body. It reduces blood calcium levels by inhibiting osteoclast activity in the bones and decreasing reabsorption in the kidneys leading to more calcium excretion. Calcitonin also interacts with its receptor a G protein-coupled receptor found in tissues like bone kidney and brain.
Biological function summary

This hormone plays a significant role in maintaining calcium levels by balancing the actions of parathyroid hormone (PTH). Calcitonin works independently but interacts with the broader system managing bone remodeling through an intricate network. The presence of calcitonin in specialized receptor complexes allows it to exert its effects efficiently in target tissues making it an important player in calcium and phosphorus metabolism.

Pathways

Calcitonin acts within the calcium signaling pathway and the bone resorption pathway. Through these pathways calcitonin works alongside other proteins such as parathyroid hormone (PTH) and calcitonin gene-related peptide (CGRP) maintaining skeletal integrity. It modulates the activity of osteoclasts ensuring that bone resorption activities are counterbalanced by bone formation and influences intracellular calcium concentration by binding to its receptor on target cells.

Calcitonin is linked to conditions such as osteoporosis and medullary thyroid carcinoma. Osteoporosis characterized by decreased bone density and increased fracture risk involves dysregulated calcium and phosphate balance. Proteins like estrogen and growth factors along with calcitonin influence bone health. Medullary thyroid carcinoma a type of thyroid cancer arising from C cells affects calcitonin levels with this hormone serving as a biomarker for diagnosing and monitoring treatment effectiveness. Calcitonin's connection with these diseases highlights its diagnostic and therapeutic potential.

製品プロトコール

For this product, it's our understanding that no specific protocols are required. You can visit:

ターゲットの情報

Calcitonin. Calcitonin is a peptide hormone that causes a rapid but short-lived drop in the level of calcium and phosphate in blood by promoting the incorporation of those ions in the bones. Calcitonin function is mediated by the calcitonin receptor/CALCR and the CALCR-RAMP2 (AMYR2) receptor complex (PubMed : 35324283).. Katacalcin. Katacalcin is a potent plasma calcium-lowering peptide.
See full target information CALCA

文献 (1)

Recent publications for all applications. Explore the full list and refine your search

Endocrine journal 67:1007-1017 PubMed32522910

2020

False-positive staining of thyroglobulin distinguished from mixed medullary and follicular thyroid carcinoma by duplex in situ hybridization.

Applications

Unspecified application

Species

Unspecified reactive species

Ken Takeshima,Hiroyuki Ariyasu,Shinsuke Uraki,Shuhei Morita,Yasushi Furukawa,Hidefumi Inaba,Hiroshi Iwakura,Asako Doi,Kenji Warigaya,Shin-Ichi Murata,Keisuke Enomoto,Muneki Hotomi,Takashi Akamizu
View all publications

Abcam product promise

当社は、高品質な試薬を通じてお客様の研究を力強くサポートすることをお約束いたします。ご使用いただく各段階で、常にお客様をサポートできる体制を整えております。万が一、製品が期待通りに機能しない場合は、「Abcam Product Promise」による当社保証制度に基づき、安心してご利用いただけます。
保証に関する詳細については利用規約をご確認ください。

Please note: All products are 'FOR RESEARCH USE ONLY. NOT FOR USE IN DIAGNOSTIC OR THERAPEUTIC PROCEDURES'.

For licensing inquiries, please contact partnerships@abcam.com