JavaScript is disabled in your browser. Please enable JavaScript to view this website.
AB40765

Anti-CAD 抗体 [EP711Y]

Anti-CAD antibody [EP711Y]

Be the first to review this product! Submit a review

|

(2 Publications)

Rabbit Monoclonal CAD antibody. Suitable for IHC-P, WB and reacts with Human samples. Cited in 2 publications.

別名を表示する

Multifunctional protein CAD, Carbamoyl phosphate synthetase 2-aspartate transcarbamylase-dihydroorotase, CAD

3 Images
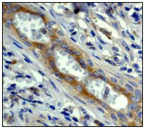
Immunohistochemistry (Formalin/PFA-fixed paraffin-embedded sections) - Anti-CAD antibody [EP711Y] (AB40765)
  • IHC-P

Unknown

Immunohistochemistry (Formalin/PFA-fixed paraffin-embedded sections) - Anti-CAD antibody [EP711Y] (AB40765)

Immunohistochemical analysis of paraffin-embedded human breast carcinoma
using ab40765 at 1/250 dilution.

Perform heat mediated antigen retrieval with citrate buffer pH 6 before commencing with IHC staining protocol.

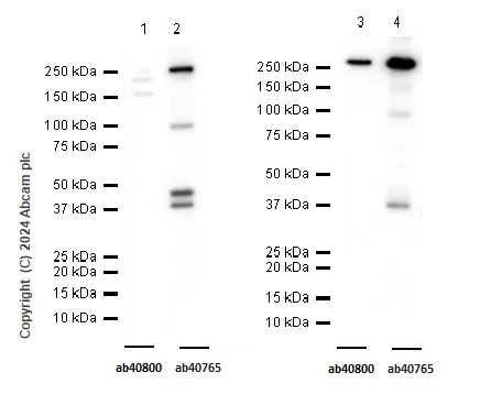
Western blot - Anti-CAD antibody [EP711Y] (AB40765)
  • WB

Lab

Western blot - Anti-CAD antibody [EP711Y] (AB40765)

Blocking and diluting buffer and concentration : 5% NFDM/TBST.

ab40765 works better than ab40800 in western blot testing.

We suggest optimizing experimental protocols (increasing lysate amount, using lower dilution or higher sensitivity ECL substrate) to improve results when using ab955 in western blot.

Lanes 1 and 3:

Western blot - Anti-CAD antibody [EP710Y] (<a href='/products/primary-antibodies/cad-antibody-ep710y-ab40800'>ab40800</a>) at 1/1000 dilution

Lanes 2 and 4:

Western blot - Anti-CAD antibody [EP711Y] (ab40765) at 1/1000 dilution

Lanes 1 - 2:

NCI-H1299 (human lung carcinoma epithelial cell) whole cell lysate at 20 µg

Lanes 3 - 4:

HeLa (human cervix adenocarcinoma epithelial cell) whole cell lysate at 20 µg

Secondary

All lanes:

Western blot - Goat Anti-Rabbit IgG H&L (HRP) (<a href='/products/secondary-antibodies/goat-rabbit-igg-h-l-hrp-ab97051'>ab97051</a>) at 1/20000 dilution

Predicted band size: 243 kDa

Observed band size: 250 kDa

false

Exposure time: 10s

Western blot - Anti-CAD antibody [EP711Y] (AB40765)
  • WB

Lab

Western blot - Anti-CAD antibody [EP711Y] (AB40765)

All lanes:

Western blot - Anti-CAD antibody [EP711Y] (ab40765) at 1/2000 dilution

All lanes:

HEK-293 (Human embryonic kidney epithelial cell) whole cell lysate at 15 µg

Secondary

All lanes:

Western blot - Goat Anti-Rabbit IgG H&L (HRP) (<a href='/products/secondary-antibodies/goat-rabbit-igg-h-l-hrp-ab97051'>ab97051</a>) at 1/20000 dilution

Predicted band size: 243 kDa

Observed band size: 245 kDa

false

Key facts

宿主種

Rabbit

クローン性

Monoclonal

クローン番号

EP711Y

アイソタイプ

IgG

キャリアフリー

No

交差種

Human

アプリケーション

WB, IHC-P

applications

免疫原

The exact immunogen used to generate this antibody is proprietary information.

Reactivity data

{ "title": "Reactivity Data", "filters": { "stats": ["", "Species", "Dilution Info", "Notes"], "tabs": { "all-applications": {"fullname" : "All Applications", "shortname": "All Applications"}, "IHCP" : {"fullname" : "Immunohistochemistry (Formalin/PFA-fixed paraffin-embedded sections)", "shortname":"IHC-P"}, "WB" : {"fullname" : "Western blot", "shortname":"WB"} }, "product-promise": { "all": "all", "testedAndGuaranteed": "tested", "guaranteed": "expected", "predicted": "predicted", "notRecommended": "not-recommended" } }, "values": { "Human": { "IHCP-species-checked": "testedAndGuaranteed", "IHCP-species-dilution-info": "", "IHCP-species-notes": "<p></p> Perform heat-mediated antigen retrieval with citrate buffer pH 6 before commencing with IHC staining protocol.", "WB-species-checked": "testedAndGuaranteed", "WB-species-dilution-info": "1/1000 - 1/5000", "WB-species-notes": "<p></p>" } } }

製品の詳細

Species reactivity
Mouse, Rat: We have preliminary internal testing data to indicate this antibody may not react with these species.
Please contact us for more information.

Patented technology
Our RabMAb® technology is a patented hybridoma-based technology for making rabbit monoclonal antibodies. For details on our patents, please refer to RabMAb® patents.

出荷温度及び保存条件

製品の状態
Liquid
精製度
Tissue culture supernatant
バッファー組成
pH: 7.2 - 7.4 Preservative: 0.05% Sodium azide Constituents: 99% Tissue culture supernatant, 0.1% BSA
出荷温度
Blue Ice
短期保存温度
+4°C
長期保存温度
-20°C
分注に関する情報
Upon delivery aliquot
保管に関する情報
Avoid freeze / thaw cycle

補足情報

This supplementary information is collated from multiple sources and compiled automatically.

The CAD protein also known as carbamoyl-phosphate synthase 2/ aspartate transcarbamylase/ dihydroorotase serves an important mechanical role in pyrimidine biosynthesis. CAD is a multi-functional enzyme with a molecular mass of approximately 243 kDa and is expressed in the cytoplasm of many cell types. This complex protein organization enables it to catalyze the first three steps of de novo pyrimidine synthesis involving glutamine-dependent carbamoyl phosphate synthesis aspartate transcarbamylation and dihydroorotase activity. Such vital tasks establish CAD as an important player in the nucleotide biosynthesis landscape.
Biological function summary

The CAD enzyme facilitates the production of pyrimidine nucleotides that are necessary for DNA and RNA synthesis. CAD operates as a single-polypeptide chain trifunctional enzyme and is part of a larger protein complex involved in nucleic acid metabolism. Its enzymatic activities align closely to support cellular proliferation and differentiation processes that demand efficient nucleotide production. This link between CAD function and nucleotide availability underlines its importance in ensuring smooth cell cycle progression and maintenance.

Pathways

CAD integrates into the broader nucleotide metabolism and pyrimidine biosynthesis pathways. The CAD protein directly interacts with other key enzymes such as UMP synthase which furthers the conversion of its product dihydroorotate to UMP. OMP decarboxylase also acts downstream reflecting CAD's role in ensuring continuity and efficiency in pyrimidine synthesis. These interactions demonstrate CAD's central involvement in maintaining the nucleotide pool required for DNA synthesis and repair.

CAD mutations and dysregulations link to neurological disorders and cancer. Neurological conditions such as CAD deficiency can result from impaired pyrimidine synthesis affecting brain development and function. Additionally enhanced CAD activity associates with certain cancers where its upregulated pyrimidine production supports rapid tumor cell proliferation. In these disease contexts CAD's interaction with proteins involved in cellular proliferation pathways such as c-Myc in cancers highlights its impact on health and disease states.

製品プロトコール

For this product, it's our understanding that no specific protocols are required. You can visit:

ターゲットの情報

Multifunctional protein that encodes the first 3 enzymatic activities of the de novo pyrimidine pathway : carbamoylphosphate synthetase (CPSase; EC 6.3.5.5), aspartate transcarbamylase (ATCase; EC 2.1.3.2) and dihydroorotase (DHOase; EC 3.5.2.3). The CPSase-function is accomplished in 2 steps, by a glutamine-dependent amidotransferase activity (GATase) that binds and cleaves glutamine to produce ammonia, followed by an ammonium-dependent carbamoyl phosphate synthetase, which reacts with the ammonia, hydrogencarbonate and ATP to form carbamoyl phosphate. The endogenously produced carbamoyl phosphate is sequestered and channeled to the ATCase active site. ATCase then catalyzes the formation of carbamoyl-L-aspartate from L-aspartate and carbamoyl phosphate. In the last step, DHOase catalyzes the cyclization of carbamoyl aspartate to dihydroorotate.
See full target information CAD protein

文献 (2)

Recent publications for all applications. Explore the full list and refine your search

PloS one 20:e0330860 PubMed40901838

2025

The antiadipogenic effect of the pentacyclic triterpenoid isoarborinol is mediated by LKB1-AMPK activation.

Applications

Unspecified application

Species

Unspecified reactive species

Yesenia Arcos-Reyes,Gildardo Rivera,Laurence A Marchat,Juan Salas-Benito,Gilberto Mandujano-Lázaro,Moisés Monzón-Gualito,Esther Ramírez-Moreno

Cancers 13: PubMed33670206

2021

Key Enzymes in Pyrimidine Synthesis, CAD and CPS1, Predict Prognosis in Hepatocellular Carcinoma.

Applications

Unspecified application

Species

Unspecified reactive species

Dirk Andreas Ridder,Mario Schindeldecker,Arndt Weinmann,Kristina Berndt,Lana Urbansky,Hagen Roland Witzel,Stefan Heinrich,Wilfried Roth,Beate Katharina Straub
View all publications

Abcam product promise

当社は、高品質な試薬を通じてお客様の研究を力強くサポートすることをお約束いたします。ご使用いただく各段階で、常にお客様をサポートできる体制を整えております。万が一、製品が期待通りに機能しない場合は、「Abcam Product Promise」による当社保証制度に基づき、安心してご利用いただけます。
保証に関する詳細については利用規約をご確認ください。

Please note: All products are 'FOR RESEARCH USE ONLY. NOT FOR USE IN DIAGNOSTIC OR THERAPEUTIC PROCEDURES'.

For licensing inquiries, please contact partnerships@abcam.com