JavaScript is disabled in your browser. Please enable JavaScript to view this website.
AB189918

Anti-C6orf64 抗体 [EPR15780] - C-terminal

Anti-C6orf64 antibody [EPR15780] - C-terminal

Be the first to review this product! Submit a review

|

(2 Publications)

Rabbit Recombinant Monoclonal C6orf64 antibody. C-terminal. Suitable for IP, WB, ICC/IF, IHC-P and reacts with Human samples. Cited in 2 publications.

別名を表示する

C6orf64, SAYSD1, SAYSvFN domain-containing protein 1

4 Images
Immunocytochemistry/ Immunofluorescence - Anti-C6orf64 antibody [EPR15780] - C-terminal (AB189918)
  • ICC/IF

Lab

Immunocytochemistry/ Immunofluorescence - Anti-C6orf64 antibody [EPR15780] - C-terminal (AB189918)

Immunofluorescent analysis of paraformaldehyde-fixed HepG2 cells labeling C6orf64 with ab189918 at 1/100 Goat anti rabbit IgG (Alexa Fluor® 555) at 1/200 and DAPI staining (blue).

Immunohistochemistry (Formalin/PFA-fixed paraffin-embedded sections) - Anti-C6orf64 antibody [EPR15780] - C-terminal (AB189918)
  • IHC-P

Supplier Data

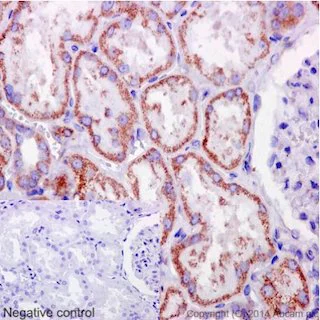
Immunohistochemistry (Formalin/PFA-fixed paraffin-embedded sections) - Anti-C6orf64 antibody [EPR15780] - C-terminal (AB189918)

Immunohistochemical analysis of paraffin-embedded Human kidney tissue labeling C6orf64 with ab189918 at 1/50 with prediluted ImmunoHistoprobe(Ready to use) HRP Polymer for Rabbit IgG as secondary antibody.

Perform heat mediated antigen retrieval with Tris/EDTA buffer pH 9.0 before commencing with IHC staining protocol.

Immunoprecipitation - Anti-C6orf64 antibody [EPR15780] - C-terminal (AB189918)
  • IP

Supplier Data

Immunoprecipitation - Anti-C6orf64 antibody [EPR15780] - C-terminal (AB189918)

Immunoprecipitation of C6orf64 from Human fetal liver lysate using ab189918 at 1/50 or 1X PBS (negative control) (lane 2). Immunostained with ab189918 at 1/10000 and HRP-conjugated anti-rabbit IgG preferentially detecting the non-reduced form of rabbit IgG.

All lanes:

Immunoprecipitation - Anti-C6orf64 antibody [EPR15780] - C-terminal (ab189918)

Predicted band size: 20 kDa

false

Western blot - Anti-C6orf64 antibody [EPR15780] - C-terminal (AB189918)
  • WB

Supplier Data

Western blot - Anti-C6orf64 antibody [EPR15780] - C-terminal (AB189918)

All lanes:

Western blot - Anti-C6orf64 antibody [EPR15780] - C-terminal (ab189918) at 1/10000 dilution

Lane 1:

Human testis cell lysate at 20 µg

Lane 2:

Human fetal liver tissue lysate at 20 µg

Lane 3:

293T (Human embryonic kidney epithelial cell) cell lysate at 20 µg

Lane 4:

MCF7 cell lysate at 20 µg

Secondary

All lanes:

Goat Anti-Rabbit IgG, (H+L), Peroxidase conjugated at 1/1000 dilution

Predicted band size: 20 kDa

Observed band size: 20 kDa

false

関連する標識済み抗体及び組成の異なる製品 (1)

  • Carrier free

    Anti-C6orf64 antibody [EPR15780] - BSA and Azide free

Key facts

宿主種

Rabbit

クローン性

Monoclonal

クローン番号

EPR15780

アイソタイプ

IgG

キャリアフリー

No

交差種

Human

アプリケーション

WB, ICC/IF, IP, IHC-P

applications

免疫原

The exact immunogen used to generate this antibody is proprietary information.

Reactivity data

{ "title": "Reactivity Data", "filters": { "stats": ["", "Species", "Dilution Info", "Notes"], "tabs": { "all-applications": {"fullname" : "All Applications", "shortname": "All Applications"}, "IP" : {"fullname" : "Immunoprecipitation", "shortname":"IP"}, "WB" : {"fullname" : "Western blot", "shortname":"WB"}, "ICCIF" : {"fullname" : "Immunocytochemistry/ Immunofluorescence", "shortname":"ICC/IF"}, "IHCP" : {"fullname" : "Immunohistochemistry (Formalin/PFA-fixed paraffin-embedded sections)", "shortname":"IHC-P"} }, "product-promise": { "all": "all", "testedAndGuaranteed": "tested", "guaranteed": "expected", "predicted": "predicted", "notRecommended": "not-recommended" } }, "values": { "Human": { "IP-species-checked": "testedAndGuaranteed", "IP-species-dilution-info": "1/50", "IP-species-notes": "<p></p>", "WB-species-checked": "testedAndGuaranteed", "WB-species-dilution-info": "1/10000 - 1/50000", "WB-species-notes": "<p></p>", "ICCIF-species-checked": "testedAndGuaranteed", "ICCIF-species-dilution-info": "1/100", "ICCIF-species-notes": "<p></p>", "IHCP-species-checked": "testedAndGuaranteed", "IHCP-species-dilution-info": "1/50", "IHCP-species-notes": "<p></p>" } } }

製品の詳細

Patented technology
Our RabMAb® technology is a patented hybridoma-based technology for making rabbit monoclonal antibodies. For details on our patents, please refer to RabMAb® patents.

What are the advantages of a recombinant monoclonal antibody?
This product is a recombinant monoclonal antibody, which offers several advantages including:

  • - High batch-to-batch consistency and reproducibility
  • - Improved sensitivity and specificity
  • - Long-term security of supply
  • - Animal-free batch production

For more information, read more on recombinant antibodies.

出荷温度及び保存条件

製品の状態
Liquid
精製方法
Affinity purification Protein A
バッファー組成
pH: 7.2 - 7.4 Preservative: 0.01% Sodium azide Constituents: PBS, 40% Glycerol (glycerin, glycerine), 0.05% BSA
出荷温度
Blue Ice
短期保存期間
1-2 weeks
短期保存温度
+4°C
長期保存温度
-20°C
分注に関する情報
Upon delivery aliquot
保管に関する情報
Avoid freeze / thaw cycle

補足情報

This supplementary information is collated from multiple sources and compiled automatically.

C6orf64 also known as FAM217B is a protein-coding gene with a molecular weight of around 23 kDa. This protein is present in multiple tissues with higher levels identified in the brain and testis. Researchers have not fully elucidated its mechanical function but studies suggest that it interacts with various cellular components influencing molecular signaling and cellular processes.
Biological function summary

C6orf64 has roles in cellular growth and proliferation. While it is not part of a known multi-protein complex it associates with other proteins involved in cell cycle regulation. The presence of C6orf64 in the brain indicates a specific function related to neural cell operation which points to its importance in maintaining normal cellular function in these tissues.

Pathways

C6orf64 interacts with key cellular signaling pathways including the PI3K-AKT pathway. It associates with proteins like AKT1 which play a role in cell survival and growth. This ties C6orf64 to important signaling processes that affect cellular decisions impacting activities like metabolism and cell cycle progression.

C6orf64 shows a relation to conditions such as cancer and neurodegenerative diseases. In cancer its interaction with AKT1 positions it as potentially influential in tumorigenic processes. In neurodegenerative diseases its significant presence in the brain and potential interaction with proteins involved in neural health suggest its involvement. Nevertheless further exploration is necessary to establish clearer connections.

製品プロトコール

For this product, it's our understanding that no specific protocols are required. You can visit:

ターゲットの情報

Ufmylation 'reader' component of a translocation-associated quality control pathway, a mechanism that takes place when a ribosome has stalled during translation, and which is required to degrade clogged substrates (PubMed : 36848233). Specifically recognizes and binds ufmylated ribosomes when a ribosome has stalled, promoting the transport of stalled nascent chain via the TRAPP complex to lysosomes for degradation (PubMed : 36848233).
See full target information SAYSD1

文献 (2)

Recent publications for all applications. Explore the full list and refine your search

Cell reports 42:112028 PubMed36848233

2023

SAYSD1 senses UFMylated ribosome to safeguard co-translational protein translocation at the endoplasmic reticulum.

Applications

Unspecified application

Species

Unspecified reactive species

Lihui Wang,Yue Xu,Sijung Yun,Quan Yuan,Prasanna Satpute-Krishnan,Yihong Ye

Cell death and differentiation 23:1765-1777 PubMed27391797

2016

Impaired DNA double-strand break repair contributes to the age-associated rise of genomic instability in humans.

Applications

Unspecified application

Species

Unspecified reactive species

Z Li,W Zhang,Y Chen,W Guo,J Zhang,H Tang,Z Xu,H Zhang,Y Tao,F Wang,Y Jiang,F L Sun,Z Mao
View all publications

Abcam product promise

当社は、高品質な試薬を通じてお客様の研究を力強くサポートすることをお約束いたします。ご使用いただく各段階で、常にお客様をサポートできる体制を整えております。万が一、製品が期待通りに機能しない場合は、「Abcam Product Promise」による当社保証制度に基づき、安心してご利用いただけます。
保証に関する詳細については利用規約をご確認ください。

Please note: All products are 'FOR RESEARCH USE ONLY. NOT FOR USE IN DIAGNOSTIC OR THERAPEUTIC PROCEDURES'.

For licensing inquiries, please contact partnerships@abcam.com