JavaScript is disabled in your browser. Please enable JavaScript to view this website.
AB136921

Anti-C4d 抗体 [A24-T]

Anti-C4d antibody [A24-T]

Be the first to review this product! Submit a review

|

(1 Publication)

Rabbit Monoclonal C4b antibody. Suitable for IHC-P and reacts with Human samples. Cited in 1 publication. Immunogen corresponding to Synthetic Peptide within Human C4B.

別名を表示する

CO4, CPAMD3, C4B_2, Complement C4-B, Basic complement C4, C3 and PZP-like alpha-2-macroglobulin domain-containing protein 3

2 Images
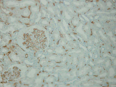
Immunohistochemistry (Formalin/PFA-fixed paraffin-embedded sections) - Anti-C4d antibody [A24-T] (AB136921)
  • IHC-P

Unknown

Immunohistochemistry (Formalin/PFA-fixed paraffin-embedded sections) - Anti-C4d antibody [A24-T] (AB136921)

Immunohistochemical analysis of formalin-fixed, paraffin-embedded Human transplanted kidney tissue labelling C4d with ab136921 at 1/100 dilution showing diffuse strong positive immunostaining of peritubular and glomerular capillaries, indicating acute antibody mediated rejection.

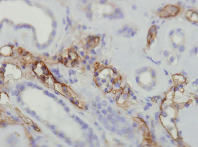
Immunohistochemistry (Formalin/PFA-fixed paraffin-embedded sections) - Anti-C4d antibody [A24-T] (AB136921)
  • IHC-P

Unknown

Immunohistochemistry (Formalin/PFA-fixed paraffin-embedded sections) - Anti-C4d antibody [A24-T] (AB136921)

Immunohistochemical analysis of formalin-fixed, paraffin-embedded Human transplanted kidney tissue labelling C4d with ab136921 at 1/100 dilution showing diffuse strong positive immunostaining of dilated peritubular moderate capillaries indicating acute antibody mediated rejection.

Key facts

宿主種

Rabbit

クローン性

Monoclonal

クローン番号

A24-T

アイソタイプ

IgG

キャリアフリー

No

交差種

Human

アプリケーション

IHC-P

applications

免疫原

Synthetic Peptide within Human C4B. The exact immunogen used to generate this antibody is proprietary information.

P0C0L5

Reactivity data

{ "title": "Reactivity Data", "filters": { "stats": ["", "Species", "Dilution Info", "Notes"], "tabs": { "all-applications": {"fullname" : "All Applications", "shortname": "All Applications"}, "IHCP" : {"fullname" : "Immunohistochemistry (Formalin/PFA-fixed paraffin-embedded sections)", "shortname":"IHC-P"} }, "product-promise": { "all": "all", "testedAndGuaranteed": "tested", "guaranteed": "expected", "predicted": "predicted", "notRecommended": "not-recommended" } }, "values": { "Human": { "IHCP-species-checked": "testedAndGuaranteed", "IHCP-species-dilution-info": "1/100 - 1/200", "IHCP-species-notes": "<p></p> Perform heat-mediated antigen retrieval with citrate buffer pH 6 before commencing with IHC staining protocol." } } }

下記製品にもご興味をお持ちいただけるかもしれません:

AB277717

Human C4b ELISA Kit (Complement C4-B)

0

0 Reviews

製品ページを見る
こちらの製品も推奨する理由

この製品は、同様の実験や関連する研究で広く使用されていることから推奨させていただいております。

お客様の実験に適するかご確認いただくため、必ず製品データシートをご確認いただくことをお勧めいたします。ご不明点等ございましたら、テクニカルサポートチームまでお問い合わせください。

出荷温度及び保存条件

製品の状態
Liquid
精製に関する特記事項
This immunoglobulin is the product of one single B-cell line from the crude anti-peptide polyclonal anti-serum. This antibody is purified using a proprietary technique and offers a completely post-translationally modified and properly glycosylated antibody. This offers increased stability.
バッファー組成
pH: 8 Preservative: 0.05% Sodium azide Constituents: 2% BSA, 0.32% Tris HCl
出荷温度
Blue Ice
短期保存期間
1-2 weeks
短期保存温度
+4°C
長期保存温度
-20°C
保管に関する情報
Avoid freeze / thaw cycle

補足情報

This supplementary information is collated from multiple sources and compiled automatically.

C4d also known as the C4d complement is a degradation product of the complement component C4. It has a molecular weight of approximately 45 kDa. This protein is commonly expressed on the surfaces of endothelial cells in various tissues where it plays a role in the immune response. The presence of C4d on tissues is often detected using techniques like immunohistochemistry (IHC) also referred to as C4d IHC or C4d immunostain providing valuable insights into complement activation.
Biological function summary

The C4d protein acts as a marker for complement activation and is part of the larger complement cascade. C4d is primarily associated with the classical pathway and serves as an indicator of complement-mediated cell injury. The degradation of C4 into C4d is usually seen in immune responses where antibodies recognize antigens triggering sequence activation in the complement pathway. C4d's role as a marker facilitates the differentiation between antibody-mediated injury and other types of tissue damage.

Pathways

This complement protein gets involved in the classical pathway of the complement system which plays a critical role in innate and adaptive immunity. It is related to other proteins like C3 and C1q which are additional components within this pathway. These interactions are significant for the clearance of pathogens and also assist in enhancing the humoral immune response by promoting the deposition of complement on pathogenic surfaces.

C4d presence becomes particularly significant in conditions like transplant rejection and systemic lupus erythematosus (SLE). In transplant rejection its deposition on tissue samples might indicate antibody-mediated rejection where C4d binds to the tissue signaling an immune response against the transplanted organ. Additionally in SLE C4d's relation to other proteins such as C3 and C1q confirms its involvement in autoimmune responses where the immune system mistakenly targets the body's own tissues leading to chronic inflammation and damage.

製品プロトコール

For this product, it's our understanding that no specific protocols are required. You can visit:

ターゲットの情報

Non-enzymatic component of the C3 and C5 convertases and thus essential for the propagation of the classical complement pathway. Covalently binds to immunoglobulins and immune complexes and enhances the solubilization of immune aggregates and the clearance of IC through CR1 on erythrocytes. C4A isotype is responsible for effective binding to form amide bonds with immune aggregates or protein antigens, while C4B isotype catalyzes the transacylation of the thioester carbonyl group to form ester bonds with carbohydrate antigens.. Derived from proteolytic degradation of complement C4, C4a anaphylatoxin is a mediator of local inflammatory process. It induces the contraction of smooth muscle, increases vascular permeability and causes histamine release from mast cells and basophilic leukocytes.
See full target information C4B

文献 (1)

Recent publications for all applications. Explore the full list and refine your search

Chinese medical journal 134:2874-2881 PubMed34711716

2021

Donor-specific antibodies, glomerulitis, and human leukocyte antigen B eplet mismatch are risk factors for peritubular capillary C4d deposition in renal allografts.

Applications

Unspecified application

Species

Unspecified reactive species

Jin Zheng,Hui Guo,Hui-Lin Gong,Ping Lan,Chen-Guang Ding,Yang Li,Xiao-Ming Ding,Wu-Jun Xue
View all publications

Abcam product promise

当社は、高品質な試薬を通じてお客様の研究を力強くサポートすることをお約束いたします。ご使用いただく各段階で、常にお客様をサポートできる体制を整えております。万が一、製品が期待通りに機能しない場合は、「Abcam Product Promise」による当社保証制度に基づき、安心してご利用いただけます。
保証に関する詳細については利用規約をご確認ください。

関連製品

Select an associated product type
Alternative Product
Primary Antibodies

AB36075

Anti-C4d antibody

primary-antibodies

c4d-antibody-ab36075

4

(5 reviews)

Alternative Product
Primary Antibodies

AB87424

Anti-C4d antibody

primary-antibodies

c4d-antibody-ab87424

0

(0 reviews)

Alternative Product
Primary Antibodies

AB74534

Anti-C4d antibody

primary-antibodies

c4d-antibody-ab74534

0

(0 reviews)

Alternative Product
Primary Antibodies

AB236231

Anti-C4d antibody [SP91] - BSA and Azide free

primary-antibodies

c4d-antibody-sp91-bsa-and-azide-free-ab236231

0

(0 reviews)

Alternative Product
Primary Antibodies

AB167093

Anti-C4d antibody [LP69]

primary-antibodies

c4d-antibody-lp69-ab167093

5

(2 reviews)

Alternative Product
Primary Antibodies

AB183311

Anti-C4d antibody [SP91] - C-terminal

primary-antibodies

c4d-antibody-sp91-c-terminal-ab183311

5

(1 reviews)

Please note: All products are 'FOR RESEARCH USE ONLY. NOT FOR USE IN DIAGNOSTIC OR THERAPEUTIC PROCEDURES'.

For licensing inquiries, please contact partnerships@abcam.com