JavaScript is disabled in your browser. Please enable JavaScript to view this website.
AB321966

Anti-C3 抗体 [EPR26515-77]

Anti-C3 antibody [EPR26515-77]

Be the first to review this product! Submit a review

|

(0 Publication)

Rabbit Recombinant Monoclonal C3 antibody. Suitable for ICC/IF, WB and reacts with Mouse samples.

別名を表示する

Complement C3, HSE-MSF, C3

4 Images
Immunocytochemistry/ Immunofluorescence - Anti-C3 antibody [EPR26515-77] (AB321966)
  • ICC/IF

Supplier Data

Immunocytochemistry/ Immunofluorescence - Anti-C3 antibody [EPR26515-77] (AB321966)

Immunofluorescent analysis of 4% Paraformaldehyde-fixed 0.1% TritonX-100 permeabilized J774A.1 (mouse reticulum cell sarcoma monocyte/macrophage) cells labelling C3 with ab321966 at 1/50 (9.72 ug/ml) dilution followed by ab150081 Goat Anti-Rabbit IgG H&L (Alexa Fluor® 488) preadsorbed antibody at 1/1000 2 ug/ml dilution (Green).

Confocal image showing weak cytoplasmic staining in J774A.1 cell line and the expression increased after treatment with LPS at 1ug/ml for 24 hours then adding BFA at 300ng/ml for 24 hours (shown in green). The counterstain was observed in magenta. Nuclear DNA was labelled with DAPI (shown in blue). Image was taken with a confocal microscope (Leica-Microsystems TCS SP8).

ab195889 Anti-alpha Tubulin mouse monoclonal antibody - Microtubule Marker (Alexa Fluor® 594) was used to counterstain tubulin at 1/200 2.5ug/ml dilution (Magenta). The Nuclear counterstain was DAPI (Blue).

Secondary antibody only control : Secondary antibody is ab150081 Goat Anti-Rabbit IgG H&L (Alexa Fluor® 488) preadsorbed at 1/1000 2 ug/ml dilution.

Western blot - Anti-C3 antibody [EPR26515-77] (AB321966)
  • WB

Supplier Data

Western blot - Anti-C3 antibody [EPR26515-77] (AB321966)

Blocking and diluting buffer and concentration : 5% NFDM/TBST.

The band around 186 kDa is the Complement C3 and 110 kDa the Complement C3 alpha chain.

In Western blot, Anti-GAPDH antibody [EPR16891] - Loading Control (ab181602) staining at 1/200000 dilution.

Exposure time : Lanes 1-2 : 92 seconds; Lane 3 : 158 seconds.

All lanes:

Western blot - Anti-C3 antibody [EPR26515-77] (ab321966) at 1/1000 dilution

Lane 1:

3T3-L1 (mouse embryonic fibroblast) transfected with scrambled siRNA control whole cell lysate at 30 µg

Lane 2:

3T3-L1 transfected with siRNA specifically targeting C3 whole cell lysate at 30 µg

Lane 3:

Hepa1-6 (mouse hepatoma epithelial cell) whole cell lysate at 30 µg

Secondary

All lanes:

Western blot - Goat Anti-Rabbit IgG H&L (HRP) (<a href='/products/secondary-antibodies/goat-rabbit-igg-h-l-hrp-ab97051'>ab97051</a>) at 1/20000 dilution

Observed band size: 186 kDa,110 kDa,36 kDa

false

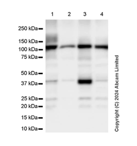
Western blot - Anti-C3 antibody [EPR26515-77] (AB321966)
  • WB

Supplier Data

Western blot - Anti-C3 antibody [EPR26515-77] (AB321966)

Blocking and diluting buffer and concentration : 5% NFDM/TBST.

The band around 110 kDa is the Complement C3 alpha chain and 38 kDa the Complement C3c alpha' chain fragment 2.

All lanes:

Western blot - Anti-C3 antibody [EPR26515-77] (ab321966) at 1/1000 dilution

Lane 1:

Mouse liver tissue whole cell lysate at 30 µg

Lane 2:

Mouse brain tissue whole cell lysate at 30 µg

Lane 3:

Mouse kidney tissue whole cell lysate at 30 µg

Lane 4:

Mouse testis tissue whole cell lysate at 30 µg

Secondary

All lanes:

Western blot - Goat Anti-Rabbit IgG H&L (HRP) (<a href='/products/secondary-antibodies/goat-rabbit-igg-h-l-hrp-ab97051'>ab97051</a>) at 1/20000 dilution

Observed band size: 110 kDa,38 kDa

false

Exposure time: 1s

Western blot - Anti-C3 antibody [EPR26515-77] (AB321966)
  • WB

Supplier Data

Western blot - Anti-C3 antibody [EPR26515-77] (AB321966)

Blocking and diluting buffer and concentration : 5% NFDM/TBST.

The band around 186 kDa is the Complement C3 and 110 kDa the Complement C3 alpha chain.

In Western blot, Anti-GAPDH antibody [EPR16891] - Loading Control (ab181602) staining at 1/200000 dilution.

Exposure time : Lanes 1-2 : 6 seconds; Lanes 3-5 : 180 seconds.

All lanes:

Western blot - Anti-C3 antibody [EPR26515-77] (ab321966) at 1/1000 dilution

Lane 1:

Untreated J774A.1 (mouse reticulum cell sarcoma monocyte/macrophage ) whole cell lysate at 30 µg

Lane 2:

J774A.1 treated with 1ug/ml LPS(Lipopolysaccharide) and 300 ng/ml BFA(Brefeldin A) for 24 hours whole cell lysate at 30 µg

Lane 3:

Untreated RAW 264.7 (mouse abelson murine leukemia virus-induced tumor macrophage) whole cell lysate at 30 µg

Lane 4:

RAW 264.7 treated with 1ug/ml LPS(Lipopolysaccharide) for 24 hours whole cell lysate at 30 µg

Lane 5:

4T1 (mouse mammary gland carcinoma epithelial cell) whole cell lysate at 30 µg

Secondary

All lanes:

Western blot - Goat Anti-Rabbit IgG H&L (HRP) (<a href='/products/secondary-antibodies/goat-rabbit-igg-h-l-hrp-ab97051'>ab97051</a>) at 1/20000 dilution

Observed band size: 186 kDa,36 kDa,110 kDa

false

Key facts

宿主種

Rabbit

クローン性

Monoclonal

クローン番号

EPR26515-77

アイソタイプ

IgG

キャリアフリー

No

交差種

Mouse

アプリケーション

WB, ICC/IF

applications

免疫原

The exact immunogen used to generate this antibody is proprietary information.

特異性

This antibody recognizes C3, C3a and C3c alpha' chain fragment 2.

Reactivity data

{ "title": "Reactivity Data", "filters": { "stats": ["", "Species", "Dilution Info", "Notes"], "tabs": { "all-applications": {"fullname" : "All Applications", "shortname": "All Applications"}, "ICCIF" : {"fullname" : "Immunocytochemistry/ Immunofluorescence", "shortname":"ICC/IF"}, "WB" : {"fullname" : "Western blot", "shortname":"WB"} }, "product-promise": { "all": "all", "testedAndGuaranteed": "tested", "guaranteed": "expected", "predicted": "predicted", "notRecommended": "not-recommended" } }, "values": { "Mouse": { "ICCIF-species-checked": "testedAndGuaranteed", "ICCIF-species-dilution-info": "1/50", "ICCIF-species-notes": "<p></p>", "WB-species-checked": "testedAndGuaranteed", "WB-species-dilution-info": "1/1000", "WB-species-notes": "<p></p>" } } }

製品の詳細

Patented technology
Our RabMAb® technology is a patented hybridoma-based technology for making rabbit monoclonal antibodies. For details on our patents, please refer to RabMAb® patents.

What are the advantages of a recombinant monoclonal antibody?
This product is a recombinant monoclonal antibody, which offers several advantages including:

  • - High batch-to-batch consistency and reproducibility
  • - Improved sensitivity and specificity
  • - Long-term security of supply
  • - Animal-free batch production

For more information, read more on recombinant antibodies.

出荷温度及び保存条件

製品の状態
Liquid
精製方法
Affinity purification Protein A
バッファー組成
pH: 7.2 - 7.4 Preservative: 0.01% Sodium azide Constituents: PBS, 40% Glycerol (glycerin, glycerine), 0.05% BSA
出荷温度
Blue Ice
短期保存期間
1-2 weeks
短期保存温度
+4°C
長期保存温度
-20°C
分注に関する情報
Upon delivery aliquot
保管に関する情報
Avoid freeze / thaw cycle

補足情報

This supplementary information is collated from multiple sources and compiled automatically.

Complement component 3 (C3) commonly known as C3 complement is a central protein in the complement system which plays a significant role in immune response. C3b a fragment of C3 is produced when C3 undergoes cleavage. C3 is a large protein with a mass of approximately 185 kDa. The liver primarily secretes C3 into the bloodstream. It circulates in the plasma and is found in high concentration making it one of the most abundant components of the complement system.
Biological function summary

Complement component C3 forms part of the innate immune system by promoting opsonization which enhances phagocytosis of pathogens. C3b binds to pathogens' surfaces facilitating their recognition by phagocytes. C3 as part of a complex with C3 convertase also has a role in amplifying the activation of the complement cascade. The proteolytic cleavage of C3 into C3b and C3a leads to the activation of other components forming the membrane attack complex and orchestrating inflammation.

Pathways

The complement component C3 functions within both the classical and alternative complement pathways. It acts as a convergence point where the complement activation pathways meet. C3 is activated into C3b and C3a which are key to amplifying the cascade. Furthermore C3 interacts with proteins such as factor B and factor D in the alternative pathway and C4 and C2 in the classical pathway facilitating the formation of C3 convertase necessary for pathway progression.

Complement C3 shows associations with immune-related and inflammatory diseases. Deficiencies or malfunctions of complement C3 can lead to increased susceptibility to infections due to impaired opsonization and clearance of pathogens. Additionally overactivation of the complement system involving C3 can contribute to autoimmune disorders such as systemic lupus erythematosus. Other proteins linked to these diseases include C4 in lupus and factor H in age-related macular degeneration which controls complement pathway activation.

製品プロトコール

For this product, it's our understanding that no specific protocols are required. You can visit:

ターゲットの情報

C3 plays a central role in the activation of the complement system. Its processing by C3 convertase is the central reaction in both classical and alternative complement pathways. After activation C3b can bind covalently, via its reactive thioester, to cell surface carbohydrates or immune aggregates.. Derived from proteolytic degradation of complement C3, C3a anaphylatoxin is a mediator of local inflammatory process. In chronic inflammation, acts as a chemoattractant for neutrophils (By similarity). It induces the contraction of smooth muscle, increases vascular permeability and causes histamine release from mast cells and basophilic leukocytes. The short isoform has B-cell stimulatory activity.. C3-beta-c. Acts as a chemoattractant for neutrophils in chronic inflammation.. Acylation stimulating protein. Adipogenic hormone that stimulates triglyceride (TG) synthesis and glucose transport in adipocytes, regulating fat storage and playing a role in postprandial TG clearance. Appears to stimulate TG synthesis via activation of the PLC, MAPK and AKT signaling pathways. Ligand for C5AR2. Promotes the phosphorylation, ARRB2-mediated internalization and recycling of C5AR2.
See full target information C3

Abcam product promise

当社は、高品質な試薬を通じてお客様の研究を力強くサポートすることをお約束いたします。ご使用いただく各段階で、常にお客様をサポートできる体制を整えております。万が一、製品が期待通りに機能しない場合は、「Abcam Product Promise」による当社保証制度に基づき、安心してご利用いただけます。
保証に関する詳細については利用規約をご確認ください。

Please note: All products are 'FOR RESEARCH USE ONLY. NOT FOR USE IN DIAGNOSTIC OR THERAPEUTIC PROCEDURES'.

For licensing inquiries, please contact partnerships@abcam.com