JavaScript is disabled in your browser. Please enable JavaScript to view this website.
AB32072

Anti-c-Myc 抗体 [Y69] - ChIP Grade

Anti-c-Myc antibody [Y69] - ChIP Grade

  • BOND RX™ Validated
  • KO Validated
  • RabMAb
  • Recombinant
  • Lab Essentials
  • 20ul selling size
  • Advanced Validation
  • 詳細を見る

4

(56 Reviews)

|

(1715 Publications)

Anti-c-Myc antibody [Y69] - ChIP Grade (ab32072) is a rabbit monoclonal antibody detecting c-Myc in Western Blot, Flow Cytometry (Intra), Flow Cytometry, IP, IHC-P, ICC/IF, ChIP. Suitable for Human, Mouse, Rat.

- KO validated for confirmed specificity
- Biophysical QC for unrivalled batch-batch consistency
- Over 1320 publications
- Trusted since 2006

別名を表示する

BHLHE39, MYC, Myc proto-oncogene protein, Class E basic helix-loop-helix protein 39, Proto-oncogene c-Myc, Transcription factor p64, bHLHe39

39 Images
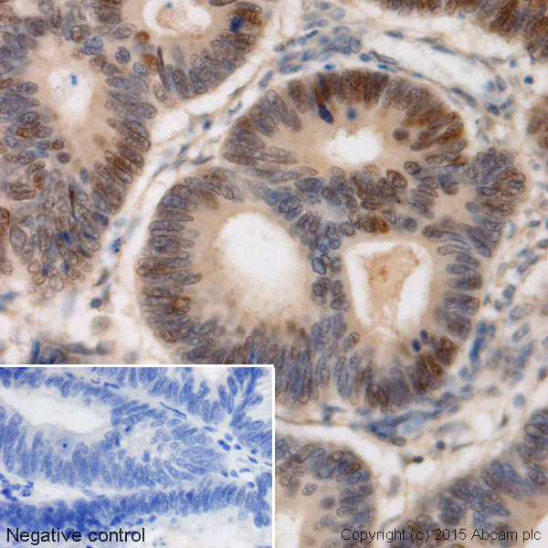
Immunohistochemistry (Formalin/PFA-fixed paraffin-embedded sections) - Anti-c-Myc antibody [Y69] - ChIP Grade (AB32072)
  • IHC-P

Unknown

Immunohistochemistry (Formalin/PFA-fixed paraffin-embedded sections) - Anti-c-Myc antibody [Y69] - ChIP Grade (AB32072)

Immunohistochemistry (Formalin/PFA-fixed paraffin-embedded sections) analysis of human adenocarcinoma of the colon tissue labelling c-Myc with purified ab32072 at 1/500 dilution. Heat mediated antigen retrieval was performed using Tris/EDTA buffer pH 9. Goat Anti-Rabbit IgG H&L (HRP) (ab97051) secondary antibody was used as the secondary antibody (1/500 dilution). Negative control using PBS instead of primary antibody. Counterstained with hematoxylin.

Immunocytochemistry/ Immunofluorescence - Anti-c-Myc antibody [Y69] - ChIP Grade (AB32072)
  • ICC/IF

Supplier Data

Immunocytochemistry/ Immunofluorescence - Anti-c-Myc antibody [Y69] - ChIP Grade (AB32072)

ab32072 staining of Myc proto-oncogene protein in a HCT 116 cell spheroid. The cells were fixed with 4% paraformaldehyde (10 min), permeabilised with 2% Triton X-100 for 1h and then blocked with 1% BSA/10% normal goat serum/0.3M glycine 0.1% PBS-Tween overnight at room temperature. The spheroids were then incubated overnight at room temperature with ab32072 at 2 μg/ml and ab7291, Mouse monoclonal [DM1A] to alpha Tubulin at 2 μg/ml. DAPI was used as nuclear counterstain (shown in blue). As secondary antibodies ab150081 Goat anti-Rabbit (Alexa Fluor® 488) (shown in green) and ab150120 Goat anti-Mouse (Alexa Fluor® 594) (shown in magenta) were used, incubated overnight at room temperature. All permeabilization, blocking and antibody incubation steps were performed using a rotary shaker.

Image was acquired with a high-content analyser (Operetta CLS, Perkin Elmer) and a maximum intensity projection of confocal sections is shown.

Similar results were observed using 100% Methanol (5min).

Immunohistochemistry (Formalin/PFA-fixed paraffin-embedded sections) - Anti-c-Myc antibody [Y69] - ChIP Grade (AB32072)
  • IHC-P

Unknown

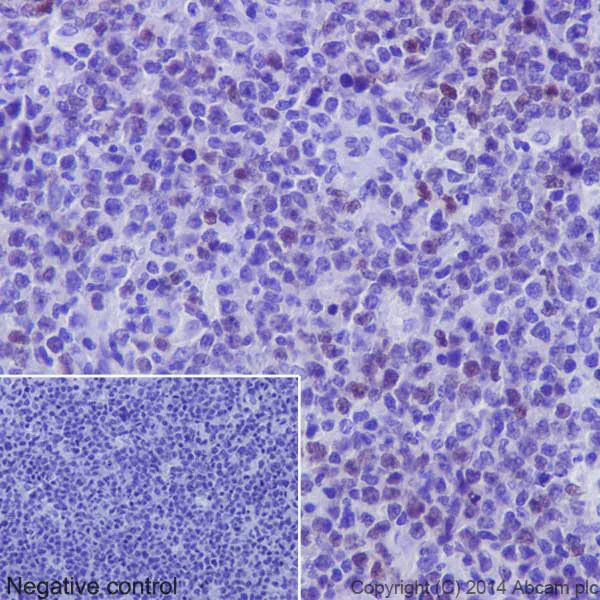
Immunohistochemistry (Formalin/PFA-fixed paraffin-embedded sections) - Anti-c-Myc antibody [Y69] - ChIP Grade (AB32072)

Immunohistochemistry (Formalin/PFA-fixed paraffin-embedded sections) analysis of human diffuse large B cell lymphoma tissue labelling c-Myc with purified ab32072 at 1/500. Heat mediated antigen retrieval was performed using Tris/EDTA buffer pH 9. Goat Anti-Rabbit IgG H&L (HRP) (ab97051) secondary antibody was used as the secondary antibody (1/500). Negative control using PBS instead of primary antibody. Counterstained with hematoxylin.

Immunohistochemistry (Formalin/PFA-fixed paraffin-embedded sections) - Anti-c-Myc antibody [Y69] - ChIP Grade (AB32072)
  • IHC-P

Unknown

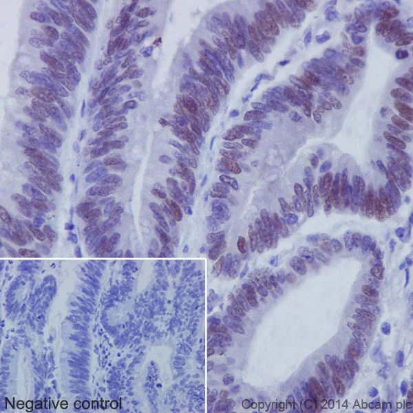
Immunohistochemistry (Formalin/PFA-fixed paraffin-embedded sections) - Anti-c-Myc antibody [Y69] - ChIP Grade (AB32072)

Immunohistochemistry (Formalin/PFA-fixed paraffin-embedded sections) analysis of human adenocarinoma of colon tissue labelling c-Myc with unpurified ab32072.

Immunocytochemistry/ Immunofluorescence - Anti-c-Myc antibody [Y69] - ChIP Grade (AB32072)
  • ICC/IF

AbReview23419****

Immunocytochemistry/ Immunofluorescence - Anti-c-Myc antibody [Y69] - ChIP Grade (AB32072)

Unpurified ab32072 staining c-Myc in HEK293 cells transfected with CACNB4-c-Myc by immunocytochemistry/ immunofluorescence.Cells were fixed in paraformaldehyde permeabilized with 0.5% Triton X-100 then blocked using 5% serum for 20 minutes at 25°C. Samples were then incubated with ab32072 at a 1/250 dilution for 16 hours at 4°C. The secondary used was an Alexa Fluor® 488 conjugated goat anti-rabbit polyclonal used at a 1/500 dilution.

Image courtesy of Dr Vladimir Milenkovic by Abreview.

Immunocytochemistry/ Immunofluorescence - Anti-c-Myc antibody [Y69] - ChIP Grade (AB32072)
  • ICC/IF

Unknown

Immunocytochemistry/ Immunofluorescence - Anti-c-Myc antibody [Y69] - ChIP Grade (AB32072)

ab32072 staining MYC in wild-type HEK293 cells (top panel) and MYC knockout HEK293 cells (ab256500) (bottom panel). The cells were fixed with 4% paraformaldehyde (10 min) then permeabilized with 0.1% Triton X-100 for 5 minutes and then blocked with 1% BSA/10% normal goat serum/0.3M glycine in 0.1% PBS-Tween for 1h. The cells were then incubated with ab32072 at 5μg/ml concentration and ab7291 (Mouse monoclonal to alpha Tubulin) at 1/1000 dilution overnight at 4°C followed by a further incubation at room temperature for 1h with a goat secondary antibody to rabbit IgG (Alexa Fluor® 488) (ab150081) at 2 μg/ml (shown in green) and a goat secondary antibody to mouse IgG (Alexa Fluor® 594) (ab150120) at 2 μg/ml (shown in red). Nuclear DNA was labelled in blue with DAPI.
Image was taken with a confocal microscope (Leica-Microsystems TCS SP8).

Immunocytochemistry/ Immunofluorescence - Anti-c-Myc antibody [Y69] - ChIP Grade (AB32072)
  • ICC/IF

Unknown

Immunocytochemistry/ Immunofluorescence - Anti-c-Myc antibody [Y69] - ChIP Grade (AB32072)

Immunocytochemistry/immunofluorescence analysis of HeLa (human epithelial cell line from cervix adenocarcinoma) cells labelling c-Myc with purified ab32072 at 1/100 dilution. Cells were fixed with 4% paraformaldehyde and permeabilized with 0.1% Triton X-100. Goat Anti-Rabbit IgG H&L (Alexa Fluor® 488) (ab150077) secondary antibody (1/500 dilution) was used as the secondary antibody. DAPI (blue) was used as the nuclear counterstain.

Control : primary antibody (1/100 dilution) and secondary antibody Goat Anti-Mouse IgG H&L (Alexa Fluor® 594) preadsorbed (ab150120) (1/500 dilution).

Immunocytochemistry/ Immunofluorescence - Anti-c-Myc antibody [Y69] - ChIP Grade (AB32072)
  • ICC/IF

Unknown

Immunocytochemistry/ Immunofluorescence - Anti-c-Myc antibody [Y69] - ChIP Grade (AB32072)

ICC/IF image of unpurified ab32072 stained HeLa (human epithelial cell line from cervix adenocarcinoma) cells. The cells were 4% PFA fixed (10 min) and then incubated in 1%BSA / 10% normal goat serum / 0.3M glycine in 0.1% PBS-Tween for 1h to permeabilise the cells and block non-specific protein-protein interactions. The cells were then incubated with the antibody (ab32072 1μg/ml) overnight at +4°C. The secondary antibody (green) was Goat Anti-Rabbit IgG H&L (DyLight® 488) preadsorbed (ab96899) used at a 1/250 dilution for 1h. Alexa Fluor® 594 WGA was used to label plasma membranes (red) at a 1/200 dilution for 1h. DAPI was used to stain the cell nuclei (blue) at a concentration of 1.43μM.

Immunohistochemistry (Formalin/PFA-fixed paraffin-embedded sections) - Anti-c-Myc antibody [Y69] - ChIP Grade (AB32072)
  • IHC-P

Unknown

Immunohistochemistry (Formalin/PFA-fixed paraffin-embedded sections) - Anti-c-Myc antibody [Y69] - ChIP Grade (AB32072)

IHC image of ab32072 staining c-Myc in human esophagus formalin fixed paraffin embedded tissue sections*, performed on a Leica Bond. The section was pre-treated using heat mediated antigen retrieval with sodium citrate buffer (pH6, epitope retrieval solution 1) for 20 mins. The section was then incubated with ab32072, 1μg/ml, for 15 mins at room temperature and detected using an HRP conjugated compact polymer system. DAB was used as the chromogen. The section was then counterstained with haematoxylin and mounted with DPX. No primary antibody was used in the Secondary only control (shown on the inset).

For other IHC staining systems (automated and non-automated) customers should optimize variable parameters such as antigen retrieval conditions, primary antibody concentration and antibody incubation times.

Immunocytochemistry/ Immunofluorescence - Anti-c-Myc antibody [Y69] - ChIP Grade (AB32072)
  • ICC/IF

Unknown

Immunocytochemistry/ Immunofluorescence - Anti-c-Myc antibody [Y69] - ChIP Grade (AB32072)

ab32072 staining c-Myc in HeLa (human epithelial cell line from cervix adenocarcinoma) cells. The cells were fixed with 4% formaldehyde (10min) permeabilized with 0.1% Triton X-100 for 5 minutes and then blocked with 1% BSA/10% normal goat serum/0.3M glycine in 0.1%PBS-Tween for 1h. The cells were then incubated overnight at +4°C with ab32072 at 10μg/ml dilution (shown in green) and ab195889 mouse monoclonal to alpha Tubulin (Alexa Fluor® 594) at 2μg/ml (shown in red). Nuclear DNA was labelled with DAPI (shown in blue).

Image was taken with a confocal microscope (Leica-Microsystems TCS SP8).

Flow Cytometry (Intracellular) - Anti-c-Myc antibody [Y69] - ChIP Grade (AB32072)
  • Flow Cyt (Intra)

Unknown

Flow Cytometry (Intracellular) - Anti-c-Myc antibody [Y69] - ChIP Grade (AB32072)

Overlay histogram showing HeLa (human epithelial cell line from cervix adenocarcinoma) cells stained with ab32072 (red line). The cells were fixed with 80% methanol (5 min) and then permeabilized with 0.1% PBS-Tween for 20 min. The cells were then incubated in 1x PBS / 10% normal goat serum / 0.3M glycine to block non-specific protein-protein interactions followed by the antibody (ab32072 1/76 dilution) for 30 min at 22°C. The secondary antibody used wasGoat Anti-Rabbit IgG H&L (Alexa Fluor® 488) preadsorbed (ab150081) secondary antibodyat 1/2000 dilution for 30 min at 22°C. Isotype control antibody (black line) was rabbit IgG [EPR25A] (monoclonal) (ab172730 1μg/1x106 cells) used under the same conditions. Unlabelled sample (blue line) was also used as a control.

Acquisition of >5000 events were collected using a 20mW Argon ion laser (488nm) and 525/30 nm bandpass filter.

Immunocytochemistry/ Immunofluorescence - Anti-c-Myc antibody [Y69] - ChIP Grade (AB32072)
  • ICC/IF

Lab

Immunocytochemistry/ Immunofluorescence - Anti-c-Myc antibody [Y69] - ChIP Grade (AB32072)

Immunofluorescent analysis of 4% Paraformaldehyde-fixed, 0.1% TritonX-100 permeabilized 293T (Human embryonic kidney epithelial cell) transfected with His and Myc tagged cas9 construct cells labelling 6X His tag with ab15149 at 1/100 dilution, followed by ab150113 Goat Anti-Mouse IgG H&L (Alexa Fluor® 488) antibody at 1/1000 dilution(Green).

Confocal image showing cytoplasmic staining in 293T cells transfected with His and Myc tagged mouse cas9 construct. The counterstain was observed in red. Nuclear DNA was labeled with DAPI (shown in blue).

ab32072 Anti-c-Myc rabbit monoclonal antibody was used to counterstain Myc at 1/500 followed by a secondary antibody ab150080 Goat Anti-Rabbit IgG H&L (Alexa Fluor® 594) at a 1/1000 dilution (Red).

Immunohistochemistry (Formalin/PFA-fixed paraffin-embedded sections) - Anti-c-Myc antibody [Y69] - ChIP Grade (AB32072)
  • IHC-P

PubMed

Immunohistochemistry (Formalin/PFA-fixed paraffin-embedded sections) - Anti-c-Myc antibody [Y69] - ChIP Grade (AB32072)

Expression of c-Myc, as determined by immunohistochemical staining of glioblastoma sample (left) and low-grade glioma tumor (right) with ab32072. Representative samples are shown. Scale bars  = 20 μm. Nuclei were counterstained with hematoxylin (in blue).

For the full image see PMID 25050814.

Image from Simeone P et al. PLoS One. 2014;;9(7):e103030.; doi: 10.1371/journal.pone.0103030.

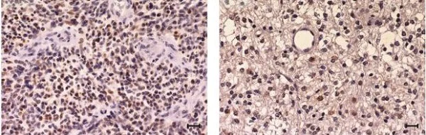
Immunohistochemistry (Formalin/PFA-fixed paraffin-embedded sections) - Anti-c-Myc antibody [Y69] - ChIP Grade (AB32072)
  • IHC-P

PubMed

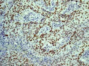
Immunohistochemistry (Formalin/PFA-fixed paraffin-embedded sections) - Anti-c-Myc antibody [Y69] - ChIP Grade (AB32072)

Photomicrographs of select tumors and reactive tissue stained for c-Myc (positive staining  is the brown nuclei). Positive control (Burkitt lymphoma with a confirmed c-Myc translocation) revealed uniform, intense staining in >90% of tumor cells (Burkitt). In contrast, reactive lymphoid tissue revealed variable staining in only 10% of normal lymphocyte nuclei (Tonsil). Representative images from Diffuse large B cell lymphoma (DLBCL) cases and associated percent c-Myc+ tumor nuclei : Case 1, 90% MYC+; Case 7, 70% MYC+; and Cases 35 and 38, 30% c-Myc+. c-Myc staining was exclusively nuclear in all cases under the described staining conditions.

Image from Kluk MJ et al. PLoS One. 2012;7(4):e33813. Fig 1.; doi: 10.1371/journal.pone.0033813.

Immunohistochemistry (Formalin/PFA-fixed paraffin-embedded sections) - Anti-c-Myc antibody [Y69] - ChIP Grade (AB32072)
  • IHC-P

PubMed

Immunohistochemistry (Formalin/PFA-fixed paraffin-embedded sections) - Anti-c-Myc antibody [Y69] - ChIP Grade (AB32072)

Human colorectal carcinoma (CRC) tissues stained for c-Myc using ab32072 at 1/100 dilution in immunohistochemical analysis.

Panel A : c-Myc positive IHC staining.

Panel B : c-Myc negative IHC staining.

For the full image see PMID 24503701.

Image from Toon CW et al. PLoS One. 2014;9(2):e87456. Fig 1.; doi: 10.1371/journal.pone.0087456.

Immunohistochemistry (Formalin/PFA-fixed paraffin-embedded sections) - Anti-c-Myc antibody [Y69] - ChIP Grade (AB32072)
  • IHC-P

Lab

Immunohistochemistry (Formalin/PFA-fixed paraffin-embedded sections) - Anti-c-Myc antibody [Y69] - ChIP Grade (AB32072)

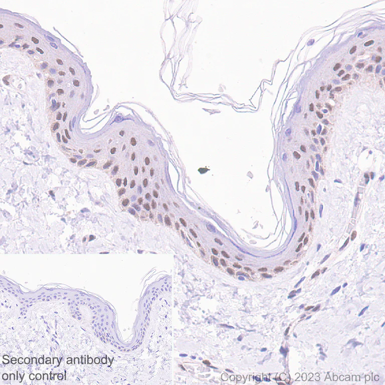
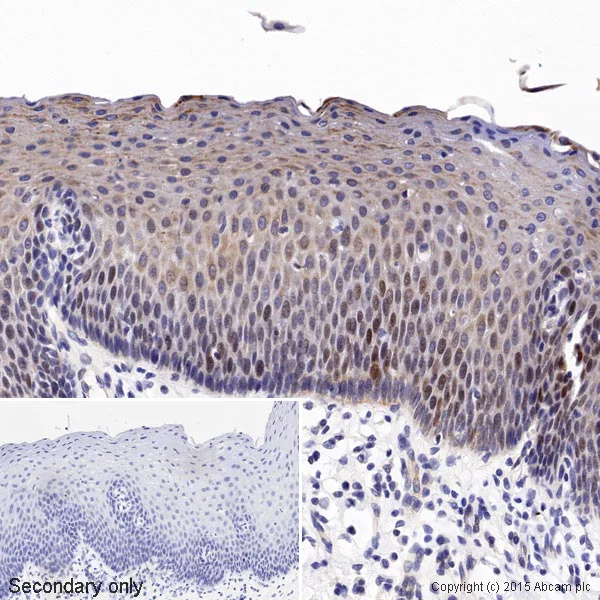
Immunohistochemical analysis of Paraffin-embedded sections human skin tissue labelling c-Myc with ab32072 at 1/500 dilution, followed by a ready to use secondary Goat Anti-Rabbit IgG H&L (HRP). Counter stained with Haematoxylin. Secondary antibody only control : Used PBS instead of primary antibody Heat mediated antigen retrieval was performed with Tris-EDTA buffer (pH 9.0, Epitope Retrieval Solution2) for 20 mins Positive staining on human skin. The section was incubated with ab32072 for 30 mins at room temperature. The immunostaining was performed on a Leica Biosystems BOND® RX instrument.

Flow Cytometry (Intracellular) - Anti-c-Myc antibody [Y69] - ChIP Grade (AB32072)
  • Flow Cyt (Intra)

Lab

Flow Cytometry (Intracellular) - Anti-c-Myc antibody [Y69] - ChIP Grade (AB32072)

Flow cytometry overlay histogram showing wild-type HEK293 (green line) and MYC knockout HEK293 stained with ab32072 (red line). The cells were fixed with 80% methanol (5 min) and then permeabilised with 0.1% PBS-Triton X-100 for 15 min. The cells were then incubated in 1x PBS containing 10% normal goat serum to block non-specific protein-protein interaction followed by the antibody (ab32072) (1x 106 in 100μl at 0.2 μg/ml (1/11500 dilution)) for 30min at 22°C.The secondary antibody Goat Anti-Rabbit IgG H&L (Alexa Fluor® 488) preadsorbed was incubated at 1/4000 for 30min at 22°CIsotype control antibody Recombinant Rabbit IgG monoclonal [EPR25A] - Isotype Control was used at the same concentration and conditions as the primary antibody (wild-type HEK293 - black line MYC knockout HEK293 - grey line). Unlabelled sample was also used as a control (this line is not shown for the purpose of simplicity).Acquisition of >5000 events were collected using a 50 mW Blue laser (488nm) and 525/40 bandpass filter.This antibody gave a positive signal in HEK293 Fixed with 4% formaldehyde (10 min) / permeabilised with 0.1% PBS-Triton X-100 for 15 min under the same conditions.

Immunohistochemistry (Formalin/PFA-fixed paraffin-embedded sections) - Anti-c-Myc antibody [Y69] - ChIP Grade (AB32072)
  • IHC-P

Lab

Immunohistochemistry (Formalin/PFA-fixed paraffin-embedded sections) - Anti-c-Myc antibody [Y69] - ChIP Grade (AB32072)

Immunohistochemical analysis of formalin fixed paraffin embedded human colon labelling c-Myc with ab32072 at a concentration of 1 µg/ml. The immunostaining was performed on a Ventana DISCOVERY ULTRA (Roche Tissue Diagnostics) instrument with an OptiView DAB IHC Detection Kit. Heat mediated antigen retrieval was conducted for 32 mins at 100°C with ULTRA cell conditioning solution (CC1, pH 8.5). ab32072 anti-c-Myc antibody [Y69] was incubated at 37°C for 16 mins. Sections were counterstained with Hematoxylin II. Image inset shows absence of staining in secondary antibody only control.

Immunohistochemistry (Formalin/PFA-fixed paraffin-embedded sections) - Anti-c-Myc antibody [Y69] - ChIP Grade (AB32072)
  • IHC-P

Lab

Immunohistochemistry (Formalin/PFA-fixed paraffin-embedded sections) - Anti-c-Myc antibody [Y69] - ChIP Grade (AB32072)

Immunohistochemical analysis of formalin fixed paraffin embedded human colon labelling c-Myc with ab32072 at a concentration of 1 µg/ml. The immunostaining was performed on a Leica Biosystems BOND® RX instrument with a Bond™ Polymer Refine Detection kit. Heat mediated antigen retrieval was performed with Tris-EDTA buffer (pH 9.0, Epitope Retrieval Solution 2) for 20 mins. ab32072 anti-c-Myc antibody [Y69] was incubated for 30 mins at room temperature. Sections were counterstained with Hematoxylin. Image inset shows absence of staining in secondary antibody only control.

Immunohistochemistry (Formalin/PFA-fixed paraffin-embedded sections) - Anti-c-Myc antibody [Y69] - ChIP Grade (AB32072)
  • IHC-P

Unknown

Immunohistochemistry (Formalin/PFA-fixed paraffin-embedded sections) - Anti-c-Myc antibody [Y69] - ChIP Grade (AB32072)

Immunohistochemistry (Formalin/PFA-fixed paraffin-embedded sections) analysis of human lung adenocarinoma tissue labelling c-Myc with unpurified ab32072.

Immunohistochemistry (Formalin/PFA-fixed paraffin-embedded sections) - Anti-c-Myc antibody [Y69] - ChIP Grade (AB32072)
  • IHC-P

Unknown

Immunohistochemistry (Formalin/PFA-fixed paraffin-embedded sections) - Anti-c-Myc antibody [Y69] - ChIP Grade (AB32072)

IHC image of ab32072 staining c-Myc in human adenocarcinoma formalin fixed paraffin embedded tissue sections, performed on a Leica Bond. The section was pre-treated using heat mediated antigen retrieval with sodium citrate buffer (pH6, epitope retrieval solution 1) for 20 mins. The section was then incubated with ab32072, 5μg/ml, for 15 mins at room temperature and detected using an HRP conjugated compact polymer system. DAB was used as the chromogen. The section was then counterstained with haematoxylin and mounted with DPX. No primary antibody was used in the negative control (shown on the inset).

For other IHC staining systems (automated and non-automated) customers should optimize variable parameters such as antigen retrieval conditions, primary antibody concentration and antibody incubation times.

Immunohistochemistry (Formalin/PFA-fixed paraffin-embedded sections) - Anti-c-Myc antibody [Y69] - ChIP Grade (AB32072)
  • IHC-P

Lab

Immunohistochemistry (Formalin/PFA-fixed paraffin-embedded sections) - Anti-c-Myc antibody [Y69] - ChIP Grade (AB32072)

Immunohistochemical analysis of Paraffin-embedded sections human cerebrum tissue labelling c-Myc with ab32072 at 1/500 dilution, followed by a ready to use secondary Goat Anti-Rabbit IgG H&L (HRP). Counter stained with Haematoxylin. Secondary antibody only control : Used PBS instead of primary antibody Heat mediated antigen retrieval was performed with Tris-EDTA buffer (pH 9.0, Epitope Retrieval Solution2) for 20 mins Negative control : no staining on human cerebrum. The section was incubated with ab32072 for 30 mins at room temperature. The immunostaining was performed on a Leica Biosystems BOND® RX instrument.

Immunoprecipitation - Anti-c-Myc antibody [Y69] - ChIP Grade (AB32072)
  • IP

Unknown

Immunoprecipitation - Anti-c-Myc antibody [Y69] - ChIP Grade (AB32072)

c-Myc was immunoprecipitated using 0.5mg Jurkat (human T cell leukemia cell line from peripheral blood) whole cell extract, 5μg of unpurified rabbit monoclonal to c-Myc [Y69] and 50μl of protein G magnetic beads (+). No antibody was added to the control (-).

The antibody was incubated under agitation with Protein G beads for 10min, Jurkat whole cell extract lysate diluted in RIPA buffer was added to each sample and incubated for a further 10min under agitation.

Proteins were eluted by addition of 40μl SDS loading buffer and incubated for 10min at 70°C; 10μl of each sample was separated on a SDS PAGE gel, transferred to a nitrocellulose membrane, blocked with 5% BSA and probed with unpurified ab32072.

Secondary : Goat polyclonal to mouse IgG light chain specific (HRP) at 1/20,000 dilution.

Band : 57kDa; c-Myc [Y69]

All lanes:

Immunoprecipitation - Anti-c-Myc antibody [Y69] - ChIP Grade (ab32072)

Predicted band size: 48 kDa

true

Exposure time: 12min

ChIP-sequencing - Anti-c-Myc antibody [Y69] - ChIP Grade (AB32072)
  • ChIP-seq

Lab

ChIP-sequencing - Anti-c-Myc antibody [Y69] - ChIP Grade (AB32072)

Chromatin was prepared from HeLa cells. Cells were fixed with 1% formaldehyde for 10 minutes. ChIP was performed with 10^7 NCCIT cells and 8µg of ab32072 [Y69]. ChIP DNA was sequenced on the Illumina NovaSeq 6000 to a depth of 30 million reads. Additional screenshots of mapped reads can be downloaded here.

ChIP-sequencing - Anti-c-Myc antibody [Y69] - ChIP Grade (AB32072)
  • ChIP-seq

Lab

ChIP-sequencing - Anti-c-Myc antibody [Y69] - ChIP Grade (AB32072)

Chromatin was prepared from HeLa cells. Cells were fixed with 1% formaldehyde for 10 minutes. ChIP was performed with 10^7 HeLa cells and 8µg of ab32072 [Y69]. ChIP DNA was sequenced on the Illumina NovaSeq 6000 to a depth of 30 million reads. Additional screenshots of mapped reads can be downloaded here.

ChIP-sequencing - Anti-c-Myc antibody [Y69] - ChIP Grade (AB32072)
  • ChIP-seq

Lab

ChIP-sequencing - Anti-c-Myc antibody [Y69] - ChIP Grade (AB32072)

Chromatin was prepared from HeLa cells. Cells were fixed with 1% formaldehyde for 10 minutes. ChIP was performed with 10^7 NCCIT cells and 8µg of ab32072 [Y69]. ChIP DNA was sequenced on the Illumina NovaSeq 6000 to a depth of 30 million reads. Additional screenshots of mapped reads can be downloaded here.

ChIP-sequencing - Anti-c-Myc antibody [Y69] - ChIP Grade (AB32072)
  • ChIP-seq

Lab

ChIP-sequencing - Anti-c-Myc antibody [Y69] - ChIP Grade (AB32072)

Chromatin was prepared from HeLa cells. Cells were fixed with 1% formaldehyde for 10 minutes. ChIP was performed with 10^7 NCCIT cells and 8µg of ab32072 [Y69]. ChIP DNA was sequenced on the Illumina NovaSeq 6000 to a depth of 30 million reads. Additional screenshots of mapped reads can be downloaded here.

Western blot - Anti-c-Myc antibody [Y69] - ChIP Grade (AB32072)
  • WB

Lab

Western blot - Anti-c-Myc antibody [Y69] - ChIP Grade (AB32072)

False colour image of Western blot : Anti-c-Myc antibody [Y69] staining at 1/1000 dilution, shown in green; Mouse anti-GAPDH antibody [6C5] (ab8245) loading control staining at 1/20000 dilution, shown in red. In Western blot, ab32072 was shown to bind specifically to c-Myc. A band was observed at 45/57 kDa in wild-type HEK-293T cell lysates with no signal observed at this size in MYC CRISPR-Cas9 edited cell line ab256500 (CRISPR-Cas9 edited cell lysate ab263850). The band observed in the CRISPR-Cas9 edited lysate lane below 45/57 kDa is likely to represent a truncated form of c-Myc. This has not been investigated further and the functional properties of the gene product have not been determined. To generate this image, wild-type and MYC CRISPR-Cas9 edited HEK-293T cell lysates were analysed. First, samples were run on an SDS-PAGE gel then transferred onto a nitrocellulose membrane. Membranes were blocked in 5 % milk in TBS-0.1 % Tween® 20 (TBS-T) before incubation with primary antibodies overnight at 4 °C. Blots were washed four times in TBS-T, incubated with secondary antibodies for 1 h at room temperature, washed again four times then imaged. Secondary antibodies used were Goat anti-Rabbit IgG H&L (IRDye® 800CW) preabsorbed (ab216773) and Goat anti-Mouse IgG H&L (IRDye® 680RD) preabsorbed (ab216776) at 1/20000 dilution.

All lanes:

Western blot - Anti-c-Myc antibody [Y69] - ChIP Grade (ab32072) at 1/1000 dilution

Lane 1:

Wild-type HEK-293T cell lysate at 20 µg

Lane 2:

MYC CRISPR-Cas9 edited HEK-293T cell lysate at 20 µg

Lane 2:

Western blot - Human MYC (c-Myc) knockout HEK-293T cell line (<a href='/products/cell-lines/human-myc-c-myc-knockout-hek-293t-cell-line-ab256500'>ab256500</a>)

Lane 3:

Jurkat cell lysate at 20 µg

Lane 4:

SH-SY5Y cell lysate at 20 µg

Predicted band size: 48 kDa

Observed band size: 45 kDa,57 kDa

false

Western blot - Anti-c-Myc antibody [Y69] - ChIP Grade (AB32072)
  • WB

Supplier Data

Western blot - Anti-c-Myc antibody [Y69] - ChIP Grade (AB32072)

Lanes 1 - 4 : Merged signal (red and green). Green - ab32072 observed at 57 kDa. Red - loading control, ab8245 observed at 37 kDa.

ab32072 was shown to react with MYC in wild-type HEK-293T cells. Loss of signal was observed when knockout cell line ab256500 (knockout cell lysate ab263850) was used. Wild-type and MYC knockout samples were subjected to SDS-PAGE. ab32072 and Anti-GAPDH antibody [6C5] - Loading Control (ab8245) were incubated overnight at 4°C at 1 in 1000 dilution and 1 in 20000 dilution respectively. Blots were developed with Goat anti-Rabbit IgG H&L (IRDye® 800CW) preadsorbed (ab216773) and Goat anti-Mouse IgG H&L (IRDye® 680RD) preadsorbed (ab216776) secondary antibodies at 1 in 20000 dilution for 1 hour at room temperature before imaging.

All lanes:

Western blot - Anti-c-Myc antibody [Y69] - ChIP Grade (ab32072) at 1/1000 dilution

Lane 1:

Jurkat cell lysate at 20 µg

Lane 2:

HeLa cell lysate at 20 µg

Lane 3:

Wild-type HEK-293T cell lysate at 20 µg

Lane 4:

MYC knockout HEK-293T cell lysate at 20 µg

Secondary

All lanes:

Western blot - Goat anti-Rabbit IgG H&L (IRDye® 800CW) preadsorbed (<a href='/products/secondary-antibodies/goat-rabbit-igg-h-l-irdye-800cw-preadsorbed-ab216773'>ab216773</a>) at 1/20000 dilution

false

Western blot - Anti-c-Myc antibody [Y69] - ChIP Grade (AB32072)
  • WB

PubMed

Western blot - Anti-c-Myc antibody [Y69] - ChIP Grade (AB32072)

Western blot of L363 MM cell and CA46 cells measuring expresison of c-Myc (using ab32072) and GAPDH as the dose of DC-34 increases.

c-Myc protein levels are inhibited as a function of the dose of DC-34 in L363 cells; only the highest dose of DC-34 affected c-Myc in the more resistant CA46 Burkitt's lymphoma cells.

All lanes:

Western blot - Anti-c-Myc antibody [Y69] - ChIP Grade (ab32072)

Predicted band size: 48 kDa

false

This image is taken from Calabrese D. R. et al. Nat Commun. 2018; 9: 4229. Fig 3e doi: 10.1038/s41467-018-06315-w Reproduced under the Creative Commons license http://creativecommons.org/licenses/by/4.0/.

Western blot - Anti-c-Myc antibody [Y69] - ChIP Grade (AB32072)
  • WB

Lab

Western blot - Anti-c-Myc antibody [Y69] - ChIP Grade (AB32072)

False colour image of Western blot : Anti-c-Myc antibody [Y69] staining at 1/1000 dilution, shown in green; Mouse anti-GAPDH antibody [6C5] (ab8245) loading control staining at 1/20000 dilution, shown in red. In Western blot, ab32072 was shown to bind specifically to c-Myc. A band was observed at 45/57 kDa in wild-type HEK-293T cell lysates with no signal observed at this size in MYC knockout cell line ab256500 (knockout cell lysate ab263850). The band observed in the knockout lysate lane below 45/57 kDa is likely to represent a truncated form of c-Myc. This has not been investigated further and the functional properties of the gene product have not been determined. To generate this image, wild-type and MYC knockout HEK-293T cell lysates were analysed.First, samples were run on an SDS-PAGE gel then transferred onto a nitrocellulose membrane. Membranes were blocked in 5 % milk in TBS-0.1 % Tween® 20 (TBS-T) before incubation with primary antibodies overnight at 4 °C. Blots were washed four times in TBS-T, incubated with secondary antibodies for 1 h at room temperature, washed again four times then imaged. Secondary antibodies used were Goat anti-Rabbit IgG H&L (IRDye® 800CW) preabsorbed (ab216773) and Goat anti-Mouse IgG H&L (IRDye® 680RD) preabsorbed (ab216776) at 1/20000 dilution.

All lanes:

Western blot - Anti-c-Myc antibody [Y69] - ChIP Grade (ab32072) at 1/1000 dilution

Lane 1:

Wild-type HEK-293T cell lysate at 20 µg

Lane 2:

MYC knockout HEK-293T cell lysate at 20 µg

Lane 3:

Jurkat cell lysate at 20 µg

Lane 4:

SH-SY5Y cell lysate at 20 µg

Predicted band size: 48 kDa

false

Western blot - Anti-c-Myc antibody [Y69] - ChIP Grade (AB32072)
  • WB

Lab

Western blot - Anti-c-Myc antibody [Y69] - ChIP Grade (AB32072)

The predicted molecular weight of c-Myc is 48 kDa (SwissProt), however we expect to observe a banding pattern at 57 kDa.

This blot was produced using a 4-12% Bis-tris gel under the MOPS buffer system. The gel was run at 200V for 50 minutes before being transferred onto a Nitrocellulose membrane at 30V for 70 minutes. The membrane was then blocked for an hour using 2% Bovine Serum Albumin before being incubated with ab32072 overnight at 4°C. Antibody binding was detected using an anti-rabbit HRP antibody, and visualised using ECL development solution ab133406.

All lanes:

Western blot - Anti-c-Myc antibody [Y69] - ChIP Grade (ab32072) at 1/1000 dilution

Lane 1:

Raji (Human Burkitt's lymphoma cell line) Whole Cell Lysate at 20 µg

Lane 2:

K562 (Human erythromyeloblastoid leukemia cell line) Whole Cell Lysate at 20 µg

Lane 3:

THP1 (Human acute monocytic leukemia cell line) Whole Cell Lysate at 20 µg

Lane 4:

A20 (Mouse B lymphoma cell line) Whole Cell Lysate at 20 µg

Lane 5:

RAW 264.7 (Mouse leukaemic monocyte macrophage cell line) Whole Cell Lysate at 20 µg

Secondary

All lanes:

Western blot - Goat Anti-Rabbit IgG H&L (HRP) (<a href='/products/secondary-antibodies/goat-rabbit-igg-h-l-hrp-ab97051'>ab97051</a>) at 1/50000 dilution

Predicted band size: 48 kDa

Observed band size: 57 kDa

true

Western blot - Anti-c-Myc antibody [Y69] - ChIP Grade (AB32072)
  • WB

Lab

Western blot - Anti-c-Myc antibody [Y69] - ChIP Grade (AB32072)

Blocking buffer : 5% NFDM/TBST.

All lanes:

Western blot - Anti-c-Myc antibody [Y69] - ChIP Grade (ab32072) at 1/1000 dilution

Lane 1:

HeLa (Human cervix adenocarcinoma epithelial cell) whole cell lysate at 20 µg

Lane 2:

MDA-MB-231 (Human breast adenocarcinoma epithelial cell) whole cell lysate at 20 µg

Lane 3:

DLD-1 (human colorectal adenocarcinoma epithelial cell) whole cell lysate at 20 µg

Lane 4:

HepG2 (Human hepatocellular carcinoma epithelial cell) whole cell lysate at 20 µg

Lane 5:

A549 (Human lung carcinoma epithelial cell) whole cell lysate at 20 µg

Lane 6:

HCT 116 (Human colorectal carcinoma epithelial cell) whole cell lysate at 20 µg

Secondary

All lanes:

Western blot - Goat Anti-Rabbit IgG H&L (HRP) (<a href='/products/secondary-antibodies/goat-rabbit-igg-h-l-hrp-ab97051'>ab97051</a>) at 1/20000 dilution

Observed band size: 45 kDa,57 kDa

false

Exposure time: 20s

Western blot - Anti-c-Myc antibody [Y69] - ChIP Grade (AB32072)
  • WB

Lab

Western blot - Anti-c-Myc antibody [Y69] - ChIP Grade (AB32072)

Blocking buffer : 5% NFDM/TBST.

All lanes:

Western blot - Anti-c-Myc antibody [Y69] - ChIP Grade (ab32072) at 1/1000 dilution

Lane 1:

Mouse brain tissue lysate at 20 µg

Lane 2:

Mouse brain cancer tissue lysate at 20 µg

Lane 3:

Mouse skin tissue lysate at 20 µg

Lane 4:

Mouse skin cancer tissue lysate at 20 µg

Secondary

All lanes:

Western blot - Goat Anti-Rabbit IgG H&L (HRP) (<a href='/products/secondary-antibodies/goat-rabbit-igg-h-l-hrp-ab97051'>ab97051</a>) at 1/20000 dilution

Observed band size: 45 kDa

false

Exposure time: 60s

ChIC/CUT&RUN sequencing - Anti-c-Myc antibody [Y69] - ChIP Grade (AB32072)
  • ChIC/CUT&RUN-seq

Supplier Data

ChIC/CUT&RUN sequencing - Anti-c-Myc antibody [Y69] - ChIP Grade (AB32072)

ChIC/CUT&RUN was performed using a pAG-MNAse at a final concentration of 700 ng/mL, 2.5 x 10^5 HeLa (Human cervix adenocarcinoma epithelial cell line) cells and 5 µg of ab32072 [Y69]. The resulting DNA was sequenced on the Illumina NovaSeq 6000 to a depth of 10 million reads. The negative IgG control ab172730 is also shown. Additional screenshots of mapped reads can be found in the Protocol booklet in the Product Protocol section. The University of Geneva owns patents relevant to ChIC (Chromatin Immuno-Cleavage) methods.

Western blot - Anti-c-Myc antibody [Y69] - ChIP Grade (AB32072)
  • WB

Lab

Western blot - Anti-c-Myc antibody [Y69] - ChIP Grade (AB32072)

Blocking and dilution buffer : 5% NFDM/TBST.

All lanes:

Western blot - Anti-c-Myc antibody [Y69] - ChIP Grade (ab32072) at 1/1000 dilution

Lane 1:

MCF-7 (Human breast adenocarcinoma epithelial cell) whole cell lysates at 20 µg

Lane 2:

Raji (Human Burkitt's lymphoma B lymphocyte) whole cell lysates at 20 µg

Lane 3:

K562 (Human chronic myelogenous leukemia lymphoblast) whole cell lysates at 20 µg

Lane 4:

Jurkat (Human T cell leukemia T lymphocyte) whole cell lysates at 20 µg

Lane 5:

THP-1 (Human monocytic leukemia monocyte) whole cell lysates at 20 µg

Lane 6:

Rat spleen whole cell lysates at 20 µg

Lane 7:

L6 (Rat skeletal muscle myoblast) whole cell lysates at 20 µg

Lane 8:

Neuro-2a (Mouse neuroblastoma neuroblast) whole cell lysates at 20 µg

Lane 9:

RAW264.7 (Mouse Abelson murine leukemia virus-induced tumor macrophage) whole cell lysates at 20 µg

Secondary

All lanes:

Peroxidase-conjugated goat anti-rabbit IgG (H+L) at 1/20000 dilution

Predicted band size: 48 kDa

Observed band size: 57 kDa,48 kDa,45 kDa

false

Exposure time: 3min

Western blot - Anti-c-Myc antibody [Y69] - ChIP Grade (AB32072)
  • WB

Lab

Western blot - Anti-c-Myc antibody [Y69] - ChIP Grade (AB32072)

Blocking/Diluting buffer and concentration : 5% NFDM/TBST. Lanes 1 and 2 : 80 seconds exposure time. Lanes 3 to 5 : 5 seconds exposure time.

All lanes:

Western blot - Anti-c-Myc antibody [Y69] - ChIP Grade (ab32072) at 1/1000 dilution

Lane 1:

Rat pancreas lysates at 20 µg

Lane 2:

AR42J (Rat pancreatic tumor epithelial cell) whole cell lysates at 20 µg

Lane 3:

Rat-1 (Rat embryonic fibroblast) whole cell lysates at 20 µg

Lane 4:

HEK-293 (Human embryonic kidney epithelial cell) whole cell lysates at 20 µg

Lane 5:

HeLa (Human cervix adenocarcinoma epithelial cell) whole cell lysates at 20 µg

Secondary

All lanes:

Western blot - Goat Anti-Rabbit IgG H&L (HRP) (<a href='/products/secondary-antibodies/goat-rabbit-igg-h-l-hrp-ab97051'>ab97051</a>) at 20000 µg/mL

Observed band size: 45 kDa,57 kDa

false

Western blot - Anti-c-Myc antibody [Y69] - ChIP Grade (AB32072)
  • WB

Lab

Western blot - Anti-c-Myc antibody [Y69] - ChIP Grade (AB32072)

Different batches of ab32072 were tested on Raji (Human Burkitt's lymphoma B lymphocyte) whole cell lysate at 0.2 µg/ml. 15 µg of lysate was loaded in each lane. Bands observed at 57 kDa.

All lanes:

Western blot - Anti-c-Myc antibody [Y69] - ChIP Grade (ab32072)

Predicted band size: 48 kDa

false

OI-RD Scanning - Anti-c-Myc antibody [Y69] - ChIP Grade (AB32072)
  • OI-RD Scanning

Unknown

OI-RD Scanning - Anti-c-Myc antibody [Y69] - ChIP Grade (AB32072)

We have systematically measured KD (the equilibrium dissociation constant between the antibody and its antigen), of more than 840 recombinant antibodies to assess not only their individual KD values but also to see the average affinity of antibody. Based on the comparison with published literature values for mouse monoclonal antibodies, Recombinant antibodies appear to be on average 1-2 order of magnitude higher affinity.

関連する標識済み抗体及び組成の異なる製品 (7)

Key facts

宿主種

Rabbit

クローン性

Monoclonal

クローン番号

Y69

アイソタイプ

IgG

キャリアフリー

No

交差種

Mouse, Rat, Human

アプリケーション

ICC/IF, IP, IHC-P, ChIC/CUT&RUN-seq, WB, ChIP-seq, Flow Cyt (Intra)

applications

免疫原

The exact immunogen used to generate this antibody is proprietary information.

特異性

This antibody is specific for endogenous c-Myc. It does not detect Myc tag. Expression levels of the target protein vary with sample type and some optimization may be required.

Please see documentation for further information on positive controls (Chinese version)

Reactivity data

{ "title": "Reactivity Data", "filters": { "stats": ["", "Species", "Dilution Info", "Notes"], "tabs": { "all-applications": {"fullname" : "All Applications", "shortname": "All Applications"}, "IHCP" : {"fullname" : "Immunohistochemistry (Formalin/PFA-fixed paraffin-embedded sections)", "shortname":"IHC-P"}, "IP" : {"fullname" : "Immunoprecipitation", "shortname":"IP"}, "WB" : {"fullname" : "Western blot", "shortname":"WB"}, "ICCIF" : {"fullname" : "Immunocytochemistry/ Immunofluorescence", "shortname":"ICC/IF"}, "ChICCUTRUNseq" : {"fullname" : "ChIC/CUT&RUN sequencing", "shortname":"ChIC/CUT&RUN-seq"}, "ChIPseq" : {"fullname" : "ChIP-sequencing", "shortname":"ChIP-seq"}, "FlowCytIntra" : {"fullname" : "Flow Cytometry (Intracellular)", "shortname":"Flow Cyt (Intra)"} }, "product-promise": { "all": "all", "testedAndGuaranteed": "tested", "guaranteed": "expected", "predicted": "predicted", "notRecommended": "not-recommended" } }, "values": { "Human": { "IHCP-species-checked": "testedAndGuaranteed", "IHCP-species-dilution-info": "5 µg/mL", "IHCP-species-notes": "<p><a href='/products/primary-antibodies/rabbit-igg-monoclonal-epr25a-isotype-control-ab172730'>ab172730</a> - Rabbit monoclonal IgG, is suitable for use as an isotype control with this antibody.</p> Perform heat-mediated antigen retrieval before commencing with IHC staining protocol.", "IP-species-checked": "testedAndGuaranteed", "IP-species-dilution-info": "5 µg/mL", "IP-species-notes": "<p></p>", "WB-species-checked": "testedAndGuaranteed", "WB-species-dilution-info": "1/1000", "WB-species-notes": "<p></p>", "ICCIF-species-checked": "testedAndGuaranteed", "ICCIF-species-dilution-info": "5-10 µg/mL", "ICCIF-species-notes": "<p>1/100.</p>", "ChICCUTRUNseq-species-checked": "testedAndGuaranteed", "ChICCUTRUNseq-species-dilution-info": "5 µg", "ChICCUTRUNseq-species-notes": "<p></p>", "ChIPseq-species-checked": "testedAndGuaranteed", "ChIPseq-species-dilution-info": "8 µg for 10^7 Cells", "ChIPseq-species-notes": "<p></p>", "FlowCytIntra-species-checked": "testedAndGuaranteed", "FlowCytIntra-species-dilution-info": "1/76", "FlowCytIntra-species-notes": "<p></p>" }, "Mouse": { "IHCP-species-checked": "guaranteed", "IHCP-species-dilution-info": "", "IHCP-species-notes": "", "IP-species-checked": "guaranteed", "IP-species-dilution-info": "", "IP-species-notes": "", "WB-species-checked": "testedAndGuaranteed", "WB-species-dilution-info": "1/1000", "WB-species-notes": "<p></p>", "ICCIF-species-checked": "guaranteed", "ICCIF-species-dilution-info": "", "ICCIF-species-notes": "", "ChICCUTRUNseq-species-checked": "guaranteed", "ChICCUTRUNseq-species-dilution-info": "", "ChICCUTRUNseq-species-notes": "", "ChIPseq-species-checked": "guaranteed", "ChIPseq-species-dilution-info": "", "ChIPseq-species-notes": "", "FlowCytIntra-species-checked": "guaranteed", "FlowCytIntra-species-dilution-info": "", "FlowCytIntra-species-notes": "" }, "Rat": { "IHCP-species-checked": "guaranteed", "IHCP-species-dilution-info": "", "IHCP-species-notes": "", "IP-species-checked": "guaranteed", "IP-species-dilution-info": "", "IP-species-notes": "", "WB-species-checked": "testedAndGuaranteed", "WB-species-dilution-info": "1/1000", "WB-species-notes": "<p></p>", "ICCIF-species-checked": "guaranteed", "ICCIF-species-dilution-info": "", "ICCIF-species-notes": "", "ChICCUTRUNseq-species-checked": "guaranteed", "ChICCUTRUNseq-species-dilution-info": "", "ChICCUTRUNseq-species-notes": "", "ChIPseq-species-checked": "guaranteed", "ChIPseq-species-dilution-info": "", "ChIPseq-species-notes": "", "FlowCytIntra-species-checked": "guaranteed", "FlowCytIntra-species-dilution-info": "", "FlowCytIntra-species-notes": "" } } }

製品の詳細

Anti-c-Myc antibody [Y69] - ChIP Grade (ab32072) was developed by Abcam using patented rabbit monoclonal antibody technology and is validated for use in ChIC/CUT&RUN-seq, ChIP,-seq Flow Cyt (Intra), ICC/IF, IHC-P and IP.

Anti-c-Myc antibody [Y69] - ChIP Grade (ab32072) was first used in a scientific publication in 1985 and has been cited over 1320 times in peer reviewed journals. It's performance in Western blot and IHC in human and mouse samples is trusted by the scientific community.

Abcam's high quality manufacturing and validation processes ensure Anti-c-Myc antibody [Y69] - ChIP Grade (ab32072) has high sensitivity and specificity alongside high lot-to-lot consistency and reproducibility.

The specificity of Anti-c-Myc antibody [Y69] - ChIP Grade (ab32072) has been confirmed by Western Blot testing in c-Myc knockout HEK-293T cells (ab256500).

Anti-c-Myc antibody [Y69] - ChIP Grade (ab32072) has 55 independent reviews from customers.

c-Myc antibodies are used to visualize proteins labelled with this tag in a variety of applications (for example imaging and Flow cytometry). To enable specific detection of your tagged protein, Anti-c-Myc antibody [Y69] - ChIP Grade (ab32072) has been validated in ab256500 ChIC/CUT&RUN-seq, ChIP,-seq Flow Cyt (Intra), ICC/IF, IHC-P and IP.

Anti-c-Myc antibody [Y69] - ChIP Grade (ab32072) specifically detects c-Myc (UniProt ID: P01106; Molecular weight: 51kDa) and is sold in a convenient trial size to enable initial testing (20 µL) and larger sizes for subsequent scaling up experiments (100 µL and 1 mL).

Conjugation-ready, carrier free format available for antibody clone Y69 - ab168727.

Antibody clone Y69 is also available pre-conjugated to a variety of labels for your convenience - Alexa Fluor® 488, Alexa Fluor® 647, Alexa Fluor® 594, Alexa Fluor® 555, HRP, FITC (ab190026, ab190560, ab201775, ab201780, ab205818, ab223913).

Only antibody in the market to this target validated for both CUT&RUN and ChIP-seq, which are key applications to map protein-DNA interactions on a genome-wide scale using NGS. Highly-specific antibody targeting c-Myc, a crucial transcription factor involved in various cellular processes including cancer biology, cell cycle regulation and apoptosis studies. Widely used in cancer research, this antibody is crucial for investigating c-Myc's role in tumorigenesis, including Burkitt lymphoma, multiple myeloma and glioblastoma.

Patented technology
Our RabMAb® technology is a patented hybridoma-based technology for making rabbit monoclonal antibodies. For details on our patents, please refer to RabMAb® patents.

What are the advantages of a recombinant monoclonal antibody?
This product is a recombinant monoclonal antibody, which offers several advantages including:

  • - High batch-to-batch consistency and reproducibility
  • - Improved sensitivity and specificity
  • - Long-term security of supply
  • - Animal-free batch production

For more information, read more on recombinant antibodies.

出荷温度及び保存条件

製品の状態
Liquid
精製方法
Affinity purification Protein A
バッファー組成
pH: 7.2 - 7.4 Preservative: 0.01% Sodium azide Constituents: PBS, 40% Glycerol (glycerin, glycerine), 0.05% BSA
出荷温度
Blue Ice
短期保存期間
1-2 weeks
短期保存温度
+4°C
長期保存温度
-20°C
分注に関する情報
Upon delivery aliquot
保管に関する情報
Avoid freeze / thaw cycle

補足情報

This supplementary information is collated from multiple sources and compiled automatically.

The c-Myc protein also known as Myc or cMyc is a transcription factor with a molecular weight of approximately 49 kDa. It plays a mechanical role by binding to DNA where it regulates the expression of various genes. Researchers often detect c-Myc in the cell nucleus. It expresses in many cell types including embryonic stem cells and cancer cells. Due to its influential role in proliferation and growth scientists have highly studied c-Myc for its functions and implications.
Biological function summary

C-Myc influences cellular processes like cell cycle progression apoptosis and metabolism. It often forms a complex with its partner protein Max to bind target genes and activate transcription. This c-Myc/Max complex operates by manipulating gene expression patterns which leads to changes in cellular behavior. Through its activity c-Myc affects cell growth and division which remain critical for development and homeostasis.

Pathways

Many scientists understand that c-Myc serves major functions in the MYC signaling pathway and the PI3K/AKT signaling pathway. c-Myc modulates the expression of genes that govern cell cycle checkpoints and cellular metabolism through these pathways. In this context c-Myc interacts with proteins like TCF and cyclins allowing the fine-tuning of cell proliferation and growth signals. These pathway involvements highlight the protein's importance in fundamental cellular mechanisms and its regulation.

Researchers have frequently associated c-Myc with cancer and cardiovascular disorders. In cancer c-Myc overexpression can drive tumorigenesis by promoting uncontrolled cell proliferation. This often involves interactions with other oncogenic proteins like Bcl-2. In cardiovascular disorders c-Myc dysregulation can disrupt normal cellular function and contribute to pathophysiological conditions. Studies continue to explore c-Myc's role in these diseases aiming to develop therapeutic strategies targeting its activity.

製品プロトコール

For this product, it's our understanding that no specific protocols are required. You can visit:

ターゲットの情報

Transcription factor that binds DNA in a non-specific manner, yet also specifically recognizes the core sequence 5'-CAC[GA]TG-3' (PubMed : 24940000, PubMed : 25956029). Activates the transcription of growth-related genes (PubMed : 24940000, PubMed : 25956029). Binds to the VEGFA promoter, promoting VEGFA production and subsequent sprouting angiogenesis (PubMed : 24940000, PubMed : 25956029). Regulator of somatic reprogramming, controls self-renewal of embryonic stem cells (By similarity). Functions with TAF6L to activate target gene expression through RNA polymerase II pause release (By similarity). Positively regulates transcription of HNRNPA1, HNRNPA2 and PTBP1 which in turn regulate splicing of pyruvate kinase PKM by binding repressively to sequences flanking PKM exon 9, inhibiting exon 9 inclusion and resulting in exon 10 inclusion and production of the PKM M2 isoform (PubMed : 20010808).
See full target information MYC

文献 (1715)

Recent publications for all applications. Explore the full list and refine your search

Hereditas 162:204 PubMed41068813

2025

Single-cell RNA sequencing reveals that Danggui Buxue Tang decoction facilitates wound healing after anal fistula by promoting M2 macrophage polarization.

Applications

Unspecified application

Species

Unspecified reactive species

Xue Pang,Yutao Wang,Jianzhuang Guo

Acta pharmaceutica Sinica. B 15:4945-4960 PubMed41049731

2025

Photodynamic enhancement of PROTAC prodrug activation in hypoxic tumors.

Applications

Unspecified application

Species

Unspecified reactive species

Zhongliang Fu,Chunrong Yang,Yuchen Yang,Meichen Pan,Hongwei Hou,Jinghong Li

eLife 14: PubMed41037321

2025

Lipid peroxidation and type I interferon coupling fuels pathogenic macrophage activation causing tuberculosis susceptibility.

Applications

Unspecified application

Species

Unspecified reactive species

Shivraj M Yabaji,Vadim Zhernovkov,Prasanna Babu Araveti,Suruchi Lata,Oleksii S Rukhlenko,Salam Al Abdullatif,Arthur Vanvalkenburg,Yuriy O Alekseyev,Qicheng Ma,Gargi Dayama,Nelson C Lau,W Evan Johnson,William R Bishai,Nicholas A Crossland,Joshua D Campbell,Boris N Kholodenko,Alexander A Gimelbrant,Lester Kobzik,Igor Kramnik

Cancer drug resistance (Alhambra, Calif.) 8:45 PubMed41019981

2025

Cryptotanshinone differentially induces cell death in -deficient pancreatic cancer cells.

Applications

Unspecified application

Species

Unspecified reactive species

Fangquan Chen,Junhao Lin,Xiutao Cai,Hu Tang,Shengfeng Li,Ruirui Liang,Rui Kang,Zhenhui Zhang,Daolin Tang,Jiao Liu

Blood neoplasia 2:100132 PubMed40979070

2025

Posttranscriptional activity of eIF4E contributes to HoxA9-driven leukemogenesis.

Applications

Unspecified application

Species

Unspecified reactive species

Fang Zhou,Biljana Culjkovic-Kraljacic,Christian Bach,Li Feng,Yuta Mishima,Katherine L B Borden,Daniel G Tenen

RSC chemical biology 6:1759-1771 PubMed40978459

2025

Cell-based high-throughput screening using a target-NanoLuc fusion construct to identify molecular glue degraders of c-Myc oncoprotein.

Applications

Unspecified application

Species

Unspecified reactive species

Muyu Xu,Jinying Qiu,Lin Tan,Jiayu Xu,Yi Wang,Wenyue Kong,Hongda Liao,Anran Chen,Xiaolan Chen,Jiying Zhang,Cookson K C Chiu,Meiying Zhang,Yingying Tian,Caohui Li,Biao Ma,Leiming Wang,Jingpeng Fu,Seung H Choi,Jeffrey Hill,Weijun Shen

Nature 647:257-267 PubMed40963028

2025

Basal cell of origin resolves neuroendocrine-tuft lineage plasticity in cancer.

Applications

Unspecified application

Species

Unspecified reactive species

Abbie S Ireland,Daniel A Xie,Sarah B Hawgood,Margaret W Barbier,Lisa Y Zuo,Benjamin E Hanna,Scarlett Lucas-Randolph,Darren R Tyson,Benjamin L Witt,Ramaswamy Govindan,Afshin Dowlati,Justin C Moser,Anish Thomas,Sonam Puri,Charles M Rudin,Joseph M Chan,Andrew Elliott,Trudy G Oliver

Frontiers in immunology 16:1662385 PubMed40948801

2025

Disrupting β-Catenin/BCL9 interaction with a peptide prodrug boosts immunotherapy in colorectal cancer.

Applications

Unspecified application

Species

Unspecified reactive species

Peili Wang,Xiao Shang,Jinmei Wang,Weiming You,Shoufei Qu,Yu Yao,Xiaoqiang Zheng

Signal transduction and targeted therapy 10:299 PubMed40935839

2025

Coinhibition of the MEK/RTK pathway has high therapeutic efficacy in KRAS-mutant non-small cell lung cancer.

Applications

Unspecified application

Species

Unspecified reactive species

Jun Lu,Minjuan Hu,Yikai Zhao,Tianqing Chu,Wei Zhang,Yijia Zhou,Xinlei Cai,Jun Wu,Liang Hu,Chunlei Shi,Liwen Xiong,Aiqin Gu,Huimin Wang,Yanwei Zhang,Yuqing Lou,Runbo Zhong,Zhiqiang Gao,Hongyu Liu,Chao Zhou,Yingli Wu,Liang Zhu,Hua Zhong,Hongbin Ji,Baohui Han

Nature cardiovascular research 4:1135-1151 PubMed40931092

2025

Heart failure-specific cardiac fibroblasts contribute to cardiac dysfunction via the MYC-CXCL1-CXCR2 axis.

Applications

Unspecified application

Species

Unspecified reactive species

Jin Komuro,Hisayuki Hashimoto,Toshiomi Katsuki,Dai Kusumoto,Manami Katoh,Toshiyuki Ko,Masamichi Ito,Mikako Katagiri,Masayuki Kubota,Shintaro Yamada,Takahiro Nakamura,Yohei Akiba,Thukaa Kouka,Kaoruko Komuro,Mai Kimura,Shogo Ito,Seitaro Nomura,Issei Komuro,Keiichi Fukuda,Shinsuke Yuasa,Masaki Ieda
View all publications
websiteProtocolBooklet
zh
chicCutRunSequencingBooklet
en

Abcam product promise

当社は、高品質な試薬を通じてお客様の研究を力強くサポートすることをお約束いたします。ご使用いただく各段階で、常にお客様をサポートできる体制を整えております。万が一、製品が期待通りに機能しない場合は、「Abcam Product Promise」による当社保証制度に基づき、安心してご利用いただけます。
保証に関する詳細については利用規約をご確認ください。

Please note: All products are 'FOR RESEARCH USE ONLY. NOT FOR USE IN DIAGNOSTIC OR THERAPEUTIC PROCEDURES'.

For licensing inquiries, please contact partnerships@abcam.com