JavaScript is disabled in your browser. Please enable JavaScript to view this website.
AB226470

Anti-c-Myb 抗体

Anti-c-Myb antibody

Be the first to review this product! Submit a review

|

(6 Publications)

Rabbit Polyclonal c-Myb antibody. Suitable for IHC-P, IP and reacts with Mouse, Human samples. Cited in 6 publications. Immunogen corresponding to Synthetic Peptide within Human MYB aa 1-50.

別名を表示する

Transcriptional activator Myb, Proto-oncogene c-Myb, MYB

4 Images
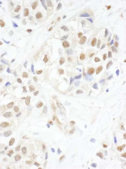
Immunohistochemistry (Formalin/PFA-fixed paraffin-embedded sections) - Anti-c-Myb antibody (AB226470)
  • IHC-P

Supplier Data

Immunohistochemistry (Formalin/PFA-fixed paraffin-embedded sections) - Anti-c-Myb antibody (AB226470)

Formalin-fixed, paraffin-embedded human breast carcinoma tissue stained for c-Myb using ab226470 at 1/5000 dilution in immunohistochemical analysis.

Detection : DAB staining.

Immunohistochemistry (Formalin/PFA-fixed paraffin-embedded sections) - Anti-c-Myb antibody (AB226470)
  • IHC-P

Supplier Data

Immunohistochemistry (Formalin/PFA-fixed paraffin-embedded sections) - Anti-c-Myb antibody (AB226470)

Formalin-fixed, paraffin-embedded human salivary gland tissue stained for c-Myb using ab226470 at 1/1000 dilution in immunohistochemical analysis.

Detection : DAB staining.

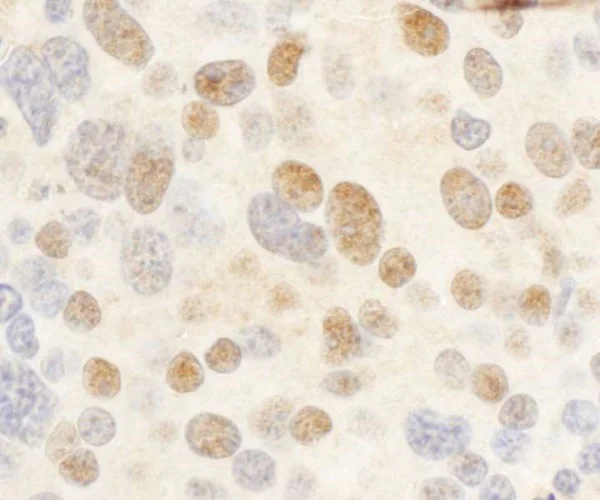
Immunoprecipitation - Anti-c-Myb antibody (AB226470)
  • IP

Supplier Data

Immunoprecipitation - Anti-c-Myb antibody (AB226470)

c-Myb was immunoprecipitated from MOLT-4 (human lymphoblastic leukemia cell line) whole cell lysate (1 mg for IP, 20% of IP loaded) with ab226470 at 6 μg/mg lysate. Western blot was performed from the immunoprecipitate using a different rabbit anti-c-Myb antibody at 1 μg/ml.

Lane 1 : ab226470 IP in MOLT-4 whole cell lysate.

Lane 2 : Control IgG IP in MOLT-4 whole cell lysate.

Detection : Chemiluminescence with exposure time of 10 seconds.

All lanes:

Immunoprecipitation - Anti-c-Myb antibody (ab226470)

Predicted band size: 72 kDa

false

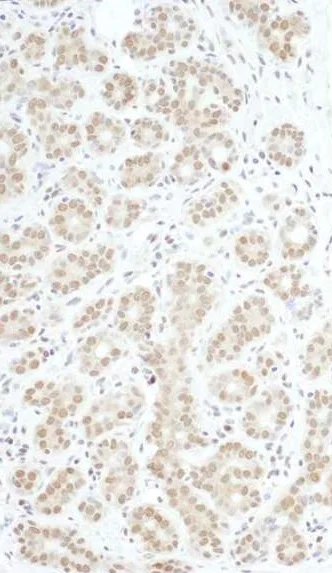
Immunohistochemistry (Formalin/PFA-fixed paraffin-embedded sections) - Anti-c-Myb antibody (AB226470)
  • IHC-P

Supplier Data

Immunohistochemistry (Formalin/PFA-fixed paraffin-embedded sections) - Anti-c-Myb antibody (AB226470)

Formalin-fixed, paraffin-embedded mouse renal cell carcinoma tissue stained for c-Myb using ab226470 at 1/1000 dilution in immunohistochemical analysis.

Detection : DAB staining.

Key facts

宿主種

Rabbit

クローン性

Polyclonal

アイソタイプ

IgG

キャリアフリー

No

交差種

Mouse, Human

アプリケーション

IHC-P, IP

applications

免疫原

Synthetic Peptide within Human MYB aa 1-50. The exact immunogen used to generate this antibody is proprietary information.

P10242

Reactivity data

{ "title": "Reactivity Data", "filters": { "stats": ["", "Species", "Dilution Info", "Notes"], "tabs": { "all-applications": {"fullname" : "All Applications", "shortname": "All Applications"}, "IHCP" : {"fullname" : "Immunohistochemistry (Formalin/PFA-fixed paraffin-embedded sections)", "shortname":"IHC-P"}, "IP" : {"fullname" : "Immunoprecipitation", "shortname":"IP"} }, "product-promise": { "all": "all", "testedAndGuaranteed": "tested", "guaranteed": "expected", "predicted": "predicted", "notRecommended": "not-recommended" } }, "values": { "Human": { "IHCP-species-checked": "testedAndGuaranteed", "IHCP-species-dilution-info": "1/1000 - 1/5000", "IHCP-species-notes": "<p></p> Perform heat-mediated antigen retrieval with citrate buffer pH 6 before commencing with IHC staining protocol.", "IP-species-checked": "testedAndGuaranteed", "IP-species-dilution-info": "2-10 µg/mg of lysate", "IP-species-notes": "<p></p>" }, "Mouse": { "IHCP-species-checked": "testedAndGuaranteed", "IHCP-species-dilution-info": "1/1000 - 1/5000", "IHCP-species-notes": "<p></p> Perform heat-mediated antigen retrieval with citrate buffer pH 6 before commencing with IHC staining protocol.", "IP-species-checked": "guaranteed", "IP-species-dilution-info": "", "IP-species-notes": "" }, "Rat": { "IHCP-species-checked": "predicted", "IHCP-species-dilution-info": "", "IHCP-species-notes": "", "IP-species-checked": "predicted", "IP-species-dilution-info": "", "IP-species-notes": "" }, "Chimpanzee": { "IHCP-species-checked": "predicted", "IHCP-species-dilution-info": "", "IHCP-species-notes": "", "IP-species-checked": "predicted", "IP-species-dilution-info": "", "IP-species-notes": "" }, "Cow": { "IHCP-species-checked": "predicted", "IHCP-species-dilution-info": "", "IHCP-species-notes": "", "IP-species-checked": "predicted", "IP-species-dilution-info": "", "IP-species-notes": "" }, "Dog": { "IHCP-species-checked": "predicted", "IHCP-species-dilution-info": "", "IHCP-species-notes": "", "IP-species-checked": "predicted", "IP-species-dilution-info": "", "IP-species-notes": "" }, "Gorilla": { "IHCP-species-checked": "predicted", "IHCP-species-dilution-info": "", "IHCP-species-notes": "", "IP-species-checked": "predicted", "IP-species-dilution-info": "", "IP-species-notes": "" }, "Horse": { "IHCP-species-checked": "predicted", "IHCP-species-dilution-info": "", "IHCP-species-notes": "", "IP-species-checked": "predicted", "IP-species-dilution-info": "", "IP-species-notes": "" }, "Orangutan": { "IHCP-species-checked": "predicted", "IHCP-species-dilution-info": "", "IHCP-species-notes": "", "IP-species-checked": "predicted", "IP-species-dilution-info": "", "IP-species-notes": "" }, "Pig": { "IHCP-species-checked": "predicted", "IHCP-species-dilution-info": "", "IHCP-species-notes": "", "IP-species-checked": "predicted", "IP-species-dilution-info": "", "IP-species-notes": "" }, "Rabbit": { "IHCP-species-checked": "predicted", "IHCP-species-dilution-info": "", "IHCP-species-notes": "", "IP-species-checked": "predicted", "IP-species-dilution-info": "", "IP-species-notes": "" }, "Rhesus monkey": { "IHCP-species-checked": "predicted", "IHCP-species-dilution-info": "", "IHCP-species-notes": "", "IP-species-checked": "predicted", "IP-species-dilution-info": "", "IP-species-notes": "" } } }

出荷温度及び保存条件

製品の状態
Liquid
精製方法
Affinity purification Immunogen
精製に関する特記事項
ab226470 was affinity purified using an epitope specific to c-Myb immobilized on solid support.
バッファー組成
pH: 7 - 8 Preservative: 0.09% Sodium azide Constituents: Tris citrate/phosphate
出荷温度
Blue Ice
短期保存期間
1-2 weeks
短期保存温度
+4°C
長期保存温度
+4°C
分注に関する情報
Upon delivery aliquot
保管に関する情報
Avoid freeze / thaw cycle|Do Not Freeze

補足情報

This supplementary information is collated from multiple sources and compiled automatically.

The c-Myb protein also known as Myb MYB or c-myb acts mechanically as a transcription factor that regulates the expression of target genes. It plays a role in cellular processes like proliferation differentiation and apoptosis by binding to specific DNA sequences. c-Myb has a molecular mass of roughly 75 kDa. It predominantly expresses in hematopoietic cells where it significantly influences gene transcription activity. Also it appears in some epithelial tissues indicating its versatile role in different cell types.
Biological function summary

The protein serves as a master regulator in the development of various cell types. It is not part of a traditional complex but interacts with other proteins to exert its function such as binding with co-activators or repressors to modulate gene expression. c-Myb controls the transcription of genes that are critical for cell cycle regulation and differentiation especially in the context of blood cell lineages. The protein is particularly influential in the production of red blood cells and white blood cells.

Pathways

C-Myb fits integrally into known hematopoietic signaling cascades and the Wnt signaling pathway. It works alongside other proteins like cyclin-dependent kinase (CDK) family members and transcription factor GATA-1 to modulate lineage-specific gene expression. Through its regulatory actions c-Myb influences the activation of downstream effectors that propagate signals essential for maintaining cellular functions within these pathways. The modulation of these pathways underlines its role in cell fate decisions.

Studies link c-Myb to several forms of leukemia and colon cancer. In leukemia aberrant expression of c-Myb disrupts normal hematopoiesis contributing to the uncontrolled proliferation of immature blood cells. The abnormal interactions between c-Myb and proteins like Bcl-2 can lead to enhanced cellular survival further promoting malignant conditions. In colon cancer c-Myb overexpression influences tumor growth and progression often acting alongside other oncogenic factors to enhance disease severity.

製品プロトコール

For this product, it's our understanding that no specific protocols are required. You can visit:

ターゲットの情報

Transcriptional activator; DNA-binding protein that specifically recognize the sequence 5'-YAAC[GT]G-3'. Plays an important role in the control of proliferation and differentiation of hematopoietic progenitor cells.
See full target information MYB

文献 (6)

Recent publications for all applications. Explore the full list and refine your search

Biology direct 19:133 PubMed39709463

2024

MLL1 promotes placental trophoblast ferroptosis and aggravates preeclampsia symptoms through epigenetic regulation of RBM15/TRIM72/ADAM9 axis.

Applications

Unspecified application

Species

Unspecified reactive species

Lingling Li,Haining He,Zhenrong Zheng,Xiaolan Zhao

iScience 26:108487 PubMed38089573

2023

MYB exhibits racially disparate expression, clinicopathologic association, and predictive potential for biochemical recurrence in prostate cancer.

Applications

Unspecified application

Species

Unspecified reactive species

Mohammad Aslam Khan,Srijan Acharya,Shashi Anand,Fnu Sameeta,Paramahansa Pramanik,Christopher Keel,Seema Singh,James Elliot Carter,Santanu Dasgupta,Ajay Pratap Singh

International journal of molecular sciences 24: PubMed37762093

2023

rs71327024 Associated with COVID-19 Hospitalization Reduces Promoter Activity in Human CD4 T Cells via Disruption of c-Myb Binding.

Applications

Unspecified application

Species

Unspecified reactive species

Aksinya N Uvarova,Ekaterina M Stasevich,Alina S Ustiugova,Nikita A Mitkin,Elina A Zheremyan,Savely A Sheetikov,Ksenia V Zornikova,Apollinariya V Bogolyubova,Mikhail A Rubtsov,Ivan V Kulakovskiy,Dmitry V Kuprash,Kirill V Korneev,Anton M Schwartz

Frontiers in cell and developmental biology 11:1168866 PubMed37701782

2023

Expression dynamics of metalloproteinases during mandibular bone formation: association with Myb transcription factor.

Applications

Unspecified application

Species

Unspecified reactive species

S Varadinkova,V Oralova,M Clarke,J Frampton,L Knopfova,H Lesot,P Bartos,E Matalova

Cancer immunology research 11:1432-1444 PubMed37478172

2023

Tumor Cell-Intrinsic c-Myb Upregulation Stimulates Antitumor Immunity in a Murine Colorectal Cancer Model.

Applications

Unspecified application

Species

Unspecified reactive species

Merel van Gogh,Jesus F Glaus Garzon,Dilara Sahin,Lucia Knopfova,Petr Benes,Onur Boyman,Igor Jurisica,Lubor Borsig

Experimental & molecular medicine 51:1-16 PubMed31409771

2019

Sex-determining region Y (SRY) attributes to gender differences in RANKL expression and incidence of osteoporosis.

Applications

Unspecified application

Species

Unspecified reactive species

Klemen Kodrič,Janja Zupan,Tilen Kranjc,Radko Komadina,Vid Mlakar,Janja Marc,Nika Lovšin
View all publications

Abcam product promise

当社は、高品質な試薬を通じてお客様の研究を力強くサポートすることをお約束いたします。ご使用いただく各段階で、常にお客様をサポートできる体制を整えております。万が一、製品が期待通りに機能しない場合は、「Abcam Product Promise」による当社保証制度に基づき、安心してご利用いただけます。
保証に関する詳細については利用規約をご確認ください。

Please note: All products are 'FOR RESEARCH USE ONLY. NOT FOR USE IN DIAGNOSTIC OR THERAPEUTIC PROCEDURES'.

For licensing inquiries, please contact partnerships@abcam.com