JavaScript is disabled in your browser. Please enable JavaScript to view this website.
AB227749

Anti-c-Kit 抗体 - Hematopoietic Stem Cell Marker

Anti-c-Kit antibody - Hematopoietic Stem Cell Marker

Be the first to review this product! Submit a review

|

(1 Publication)

Anti-c-Kit antibody - Hematopoietic Stem Cell Marker (ab227749) is a rabbit polyclonal antibody detecting c-Kit in IHC-P. Suitable for Human.

別名を表示する

CD117, SCFR, KIT, Mast/stem cell growth factor receptor Kit, Piebald trait protein, Proto-oncogene c-Kit, Tyrosine-protein kinase Kit, p145 c-kit, v-kit Hardy-Zuckerman 4 feline sarcoma viral oncogene homolog, PBT

1 Images
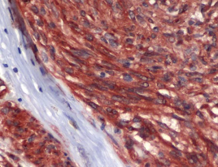
Immunohistochemistry (Formalin/PFA-fixed paraffin-embedded sections) - Anti-c-Kit antibody - Hematopoietic Stem Cell Marker (AB227749)
  • IHC-P

Supplier Data

Immunohistochemistry (Formalin/PFA-fixed paraffin-embedded sections) - Anti-c-Kit antibody - Hematopoietic Stem Cell Marker (AB227749)

Formalin-fixed, paraffin-embedded human gastrointestinal stomal tumor tissue stained for c-Kit using ab227749 at 1/100 dilution in immunohistochemical analysis.

Key facts

宿主種

Rabbit

クローン性

Polyclonal

アイソタイプ

IgG

キャリアフリー

No

交差種

Human

アプリケーション

IHC-P

applications

免疫原

The exact immunogen used to generate this antibody is proprietary information.

Reactivity data

{ "title": "Reactivity Data", "filters": { "stats": ["", "Species", "Dilution Info", "Notes"], "tabs": { "all-applications": {"fullname" : "All Applications", "shortname": "All Applications"}, "IHCP" : {"fullname" : "Immunohistochemistry (Formalin/PFA-fixed paraffin-embedded sections)", "shortname":"IHC-P"} }, "product-promise": { "all": "all", "testedAndGuaranteed": "tested", "guaranteed": "expected", "predicted": "predicted", "notRecommended": "not-recommended" } }, "values": { "Human": { "IHCP-species-checked": "testedAndGuaranteed", "IHCP-species-dilution-info": "1/100", "IHCP-species-notes": "<p>Primary antibody incubation for 10 minutes at room temperature.</p>" }, "Mouse": { "IHCP-species-checked": "predicted", "IHCP-species-dilution-info": "", "IHCP-species-notes": "" }, "Cow": { "IHCP-species-checked": "predicted", "IHCP-species-dilution-info": "", "IHCP-species-notes": "" }, "Dog": { "IHCP-species-checked": "predicted", "IHCP-species-dilution-info": "", "IHCP-species-notes": "" }, "Pig": { "IHCP-species-checked": "predicted", "IHCP-species-dilution-info": "", "IHCP-species-notes": "" } } }

製品の詳細

What is this antibody validated in?
Anti-c-Kit antibody - Hematopoietic Stem Cell Marker (ab227749) is a rabbit polyclonal antibody and is validated for use in Immunohistochemistry (IHC-P) in Human samples.

出荷温度及び保存条件

製品の状態
Liquid
精製方法
Affinity purification Immunogen
バッファー組成
pH: 7.6 Preservative: 0.1% Sodium azide Constituents: PBS, 1% BSA
出荷温度
Blue Ice
短期保存期間
1-2 weeks
短期保存温度
+4°C
長期保存温度
-20°C
分注に関する情報
Upon delivery aliquot
保管に関する情報
Avoid freeze / thaw cycle

補足情報

This supplementary information is collated from multiple sources and compiled automatically.

The c-Kit protein also known as CD117 is a type of receptor tyrosine kinase with a molecular weight of approximately 145 kDa. It is encoded by the KIT gene and commonly expressed on the surface of hematopoietic stem cells mast cells melanocytes and germ cells. C-Kit plays a role in the signal transduction pathways that control cell proliferation and survival. Researchers often identify c-Kit using markers like biotin c-Kit PerCP Cy5.5 or antibodies such as anti-c-Kit for experimental purposes.
Biological function summary

C-Kit influences the function and survival of certain cell types. When it binds to its ligand stem cell factor (SCF) it activates receptor dimerization and phosphorylation triggering downstream signaling. C-Kit does not act alone; it often functions in a complex with other proteins to affect cellular outcomes. Its expression is vital for the maintenance of bone marrow hematopoietic cells and contributes to melanocyte and germ cell development.

Pathways

C-Kit interacts with the PI3K/AKT and RAS/ERK pathways through its kinase activity. These pathways play important roles in cell division differentiation and survival. The c-Abl and ACK2 proteins are closely related to c-Kit function within these signaling networks contributing to regulating cellular responses to external stimuli.

C-Kit mutations are frequently associated with gastrointestinal stromal tumors (GIST) and acute myeloid leukemia (AML). These conditions often involve alterations in c-Kit activity leading to uncontrolled cell growth. While studying GIST researchers have noticed interactions between c-Kit and other proteins like CBL which is involved in the modulation of c-Kit signaling. Understanding these interactions helps in designing targeted therapies for conditions involving c-Kit dysregulation.

製品プロトコール

For this product, it's our understanding that no specific protocols are required. You can visit:

ターゲットの情報

Tyrosine-protein kinase that acts as a cell-surface receptor for the cytokine KITLG/SCF and plays an essential role in the regulation of cell survival and proliferation, hematopoiesis, stem cell maintenance, gametogenesis, mast cell development, migration and function, and in melanogenesis. In response to KITLG/SCF binding, KIT can activate several signaling pathways. Phosphorylates PIK3R1, PLCG1, SH2B2/APS and CBL. Activates the AKT1 signaling pathway by phosphorylation of PIK3R1, the regulatory subunit of phosphatidylinositol 3-kinase. Activated KIT also transmits signals via GRB2 and activation of RAS, RAF1 and the MAP kinases MAPK1/ERK2 and/or MAPK3/ERK1. Promotes activation of STAT family members STAT1, STAT3, STAT5A and STAT5B. Activation of PLCG1 leads to the production of the cellular signaling molecules diacylglycerol and inositol 1,4,5-trisphosphate. KIT signaling is modulated by protein phosphatases, and by rapid internalization and degradation of the receptor. Activated KIT promotes phosphorylation of the protein phosphatases PTPN6/SHP-1 and PTPRU, and of the transcription factors STAT1, STAT3, STAT5A and STAT5B. Promotes phosphorylation of PIK3R1, CBL, CRK (isoform Crk-II), LYN, MAPK1/ERK2 and/or MAPK3/ERK1, PLCG1, SRC and SHC1.
See full target information KIT

文献 (1)

Recent publications for all applications. Explore the full list and refine your search

Oncology letters 17:2303-2307 PubMed30719110

2019

A potential novel therapy for FGFR1-amplified pancreatic cancer with bone metastasis, screened by next-generation sequencing and a patient-derived xenograft model.

Applications

Unspecified application

Species

Unspecified reactive species

Zhonghai Guan,Huanrong Lan,Dan Sun,Xuanwei Wang,Ketao Jin
View all publications

Abcam product promise

当社は、高品質な試薬を通じてお客様の研究を力強くサポートすることをお約束いたします。ご使用いただく各段階で、常にお客様をサポートできる体制を整えております。万が一、製品が期待通りに機能しない場合は、「Abcam Product Promise」による当社保証制度に基づき、安心してご利用いただけます。
保証に関する詳細については利用規約をご確認ください。

Please note: All products are 'FOR RESEARCH USE ONLY. NOT FOR USE IN DIAGNOSTIC OR THERAPEUTIC PROCEDURES'.

For licensing inquiries, please contact partnerships@abcam.com