JavaScript is disabled in your browser. Please enable JavaScript to view this website.
AB30620

Anti-c-Jun (phospho S73) 抗体

Anti-c-Jun (phospho S73) antibody

5

(2 Reviews)

|

(20 Publications)

Rabbit Polyclonal c-Jun phospho S73 antibody. Suitable for WB, IHC-P and reacts with Human samples. Cited in 20 publications. Immunogen corresponding to Synthetic Peptide within Human JUN phospho S73.

別名を表示する

Transcription factor Jun, Activator protein 1, Proto-oncogene c-Jun, Transcription factor AP-1 subunit Jun, V-jun avian sarcoma virus 17 oncogene homolog, p39, AP1, JUN

2 Images
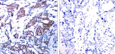
Immunohistochemistry (Formalin/PFA-fixed paraffin-embedded sections) - Anti-c-Jun (phospho S73) antibody (AB30620)
  • IHC-P

Supplier Data

Immunohistochemistry (Formalin/PFA-fixed paraffin-embedded sections) - Anti-c-Jun (phospho S73) antibody (AB30620)

Immunohistochemical analysis of paraffin embedded human breast carcinoma tissue sections, using 1/50 Phospho c-Jun(Ser73) Antibody (ab30620). Left : untreated sample. Right : sample preincubated with synthesized phosphopeptide.

Western blot - Anti-c-Jun (phospho S73) antibody (AB30620)
  • WB

Unknown

Western blot - Anti-c-Jun (phospho S73) antibody (AB30620)

All lanes:

Western blot - Anti-c-Jun (phospho S73) antibody (ab30620) at 1/500 dilution

Lane 1:

extracts from untreated Hela cells

Lane 2:

extracts from UV treated Hela cells

Predicted band size: 35 kDa

Observed band size: 42 kDa

false

Key facts

宿主種

Rabbit

クローン性

Polyclonal

アイソタイプ

IgG

キャリアフリー

No

交差種

Human

アプリケーション

WB, IHC-P

applications

免疫原

Synthetic Peptide within Human JUN phospho S73. The exact immunogen used to generate this antibody is proprietary information.

P05412

Reactivity data

{ "title": "Reactivity Data", "filters": { "stats": ["", "Species", "Dilution Info", "Notes"], "tabs": { "all-applications": {"fullname" : "All Applications", "shortname": "All Applications"}, "WB" : {"fullname" : "Western blot", "shortname":"WB"}, "IHCP" : {"fullname" : "Immunohistochemistry (Formalin/PFA-fixed paraffin-embedded sections)", "shortname":"IHC-P"} }, "product-promise": { "all": "all", "testedAndGuaranteed": "tested", "guaranteed": "expected", "predicted": "predicted", "notRecommended": "not-recommended" } }, "values": { "Human": { "WB-species-checked": "testedAndGuaranteed", "WB-species-dilution-info": "1/500 - 1/1000", "WB-species-notes": "<p></p>", "IHCP-species-checked": "testedAndGuaranteed", "IHCP-species-dilution-info": "", "IHCP-species-notes": "<p></p>" } } }

出荷温度及び保存条件

製品の状態
Liquid
精製方法
Affinity purification Immunogen
精製に関する特記事項
The antibody was affinity-purified from rabbit antiserum by affinity-chromatography using epitope-specific phosphopeptide.The antibody against non phosphopeptide was removed by chromatography using non phosphopeptide corresponding to the phosphorylation site.
バッファー組成
pH: 7.4 Preservative: 0.02% Sodium azide Constituents: PBS, 50% Glycerol (glycerin, glycerine), 0.87% Sodium chloride
出荷温度
Blue Ice
短期保存期間
1-2 weeks
短期保存温度
+4°C
長期保存温度
-20°C
分注に関する情報
Upon delivery aliquot

補足情報

This supplementary information is collated from multiple sources and compiled automatically.

The protein c-Jun is an important component of the AP-1 transcription factor complex and is often referred to by alternative names such as c-jun. It has a molecular weight of about 39 kDa. Scientists have found c-jun expressed in a wide range of tissues indicating its diverse roles in cellular functions. This protein plays a critical mechanical role by binding specific DNA sequences to regulate the transcription of various genes involved in cell proliferation and apoptosis.
Biological function summary

C-Jun impacts cellular activities by being a significant part of the AP-1 transcription factor complex interacting with other proteins such as Fos. This interaction allows c-Jun to modulate gene expression in response to cellular stimuli. In particular c-Jun influences cell cycle progression and differentiation. Therefore its activity is necessary for physiological and pathological processes. As c-jun's function remains tightly regulated any changes can have wide-ranging effects.

Pathways

C-Jun significantly influences the MAPK/ERK and JNK pathways. These pathways play important roles in cellular responses to stress growth factors and cytokines. Within these pathways c-Jun interacts with proteins such as JNK which phosphorylates c-Jun and enhances its activity. These interactions allow c-Jun to regulate target genes involved in important cellular processes without much delay. Understanding c-Jun's function in these pathways helps elucidate how cells control division survival and apoptosis.

C-Jun's dysregulation connects to various conditions including cancer and neurodegenerative diseases. Abnormal c-Jun activity can lead to oncogenesis by promoting unrestrained cellular proliferation. Additionally c-Jun involvement in disorders like Alzheimer's disease stems from its role in apoptotic pathways which may cause neuronal death. Accompanying proteins like JNK are also implicated in these conditions making the regulation and expression of c-Jun a focus for therapeutic research.

製品プロトコール

For this product, it's our understanding that no specific protocols are required. You can visit:

ターゲットの情報

Transcription factor that recognizes and binds to the AP-1 consensus motif 5'-TGA[GC]TCA-3' (PubMed : 10995748, PubMed : 22083952). Heterodimerizes with proteins of the FOS family to form an AP-1 transcription complex, thereby enhancing its DNA binding activity to the AP-1 consensus sequence 5'-TGA[GC]TCA-3' and enhancing its transcriptional activity (By similarity). Together with FOSB, plays a role in activation-induced cell death of T cells by binding to the AP-1 promoter site of FASLG/CD95L, and inducing its transcription in response to activation of the TCR/CD3 signaling pathway (PubMed : 12618758). Promotes activity of NR5A1 when phosphorylated by HIPK3 leading to increased steroidogenic gene expression upon cAMP signaling pathway stimulation (PubMed : 17210646). Involved in activated KRAS-mediated transcriptional activation of USP28 in colorectal cancer (CRC) cells (PubMed : 24623306). Binds to the USP28 promoter in colorectal cancer (CRC) cells (PubMed : 24623306).. (Microbial infection) Upon Epstein-Barr virus (EBV) infection, binds to viral BZLF1 Z promoter and activates viral BZLF1 expression.
See full target information JUN phospho S73

文献 (20)

Recent publications for all applications. Explore the full list and refine your search

Cell death discovery 9:406 PubMed37919290

2023

Targeting the up-regulated CNOT3 reverses therapeutic resistance and metastatic progression of EGFR-mutant non-small cell lung cancer.

Applications

Unspecified application

Species

Unspecified reactive species

Lin Jing,Meng-En Zhai,Mei-Rui Qian,Yi-Ming Li,Ming-Wei Han,Kun Wang,Wan Huang,Gang Nan,Jian-Li Jiang

Frontiers in bioengineering and biotechnology 9:697671 PubMed34381764

2021

Indomethacin Treatment Post-irradiation Improves Mouse Parotid Salivary Gland Function via Modulation of Prostaglandin E Signaling.

Applications

Unspecified application

Species

Unspecified reactive species

Kristy E Gilman,Jean M Camden,Lucas T Woods,Gary A Weisman,Kirsten H Limesand

Molecular medicine reports 24: PubMed34278468

2021

Psoralen inhibits the inflammatory response and mucus production in allergic rhinitis by inhibiting the activator protein 1 pathway and the downstream expression of cystatin‑SN.

Applications

Unspecified application

Species

Unspecified reactive species

Wenying Gao,Zhenglong Jin,Yanxia Zheng,Youjia Xu

Journal of cellular and molecular medicine 25:2584-2595 PubMed33570213

2021

YAP-TEAD up-regulates IRS2 expression to induce and deteriorate oesophageal cancer.

Applications

Unspecified application

Species

Unspecified reactive species

Xiangming Xu,Jiao Nie,Lin Lu,Chao Du,Fansheng Meng,Duannuo Song

Development (Cambridge, England) 148: PubMed33323370

2021

Ror2-mediated non-canonical Wnt signaling regulates Cdc42 and cell proliferation during tooth root development.

Applications

Unspecified application

Species

Unspecified reactive species

Yuanyuan Ma,Junjun Jing,Jifan Feng,Yuan Yuan,Quan Wen,Xia Han,Jinzhi He,Shuo Chen,Thach-Vu Ho,Yang Chai

Cell cycle (Georgetown, Tex.) 18:2414-2431 PubMed31345097

2019

GREM2 maintains stem cell-like phenotypes in gastric cancer cells by regulating the JNK signaling pathway.

Applications

Unspecified application

Species

Unspecified reactive species

Ao Ran,Lin Guan,Jiani Wang,Ying Wang

International immunopharmacology 73:590-598 PubMed31279225

2019

MicroRNA-206 promotes lipopolysaccharide-induced inflammation injury via regulation of IRAK1 in MRC-5 cells.

Applications

Unspecified application

Species

Unspecified reactive species

Heying Chu,Xiangwen Qu,Feng Wang,Jingxia Chang,Ruirui Cheng,Xiangjin Song,Tengfei Chen,Guojun Zhang

Oxidative medicine and cellular longevity 2019:2301903 PubMed31214277

2019

TNF-Mediated Necroptosis Aggravates Ischemia-Reperfusion Injury in the Fatty Liver by Regulating the Inflammatory Response.

Applications

Unspecified application

Species

Unspecified reactive species

Faji Yang,Longcheng Shang,Shuai Wang,Yang Liu,Haozhen Ren,Wei Zhu,Xiaolei Shi

Journal of biochemical and molecular toxicology 33:e22301 PubMed30801894

2019

Schizandrin protects H9c2 cells against lipopolysaccharide-induced injury by downregulating Smad3.

Applications

Unspecified application

Species

Unspecified reactive species

Xuehua Zhang,Yanyan Zhao,Dong Bai,Xiutai Yuan,Shan Cong

Journal of cellular physiology 234:13145-13156 PubMed30584667

2018

The effects of CCR7 and related signaling pathways on Leishmania major -infected human dendritic cells.

Applications

Unspecified application

Species

Unspecified reactive species

Yumin Zhao,Zhisheng Dang,Riming Wei,Weifeng Gui,Yishu Zhang,Shigui Chong
View all publications

Abcam product promise

当社は、高品質な試薬を通じてお客様の研究を力強くサポートすることをお約束いたします。ご使用いただく各段階で、常にお客様をサポートできる体制を整えております。万が一、製品が期待通りに機能しない場合は、「Abcam Product Promise」による当社保証制度に基づき、安心してご利用いただけます。
保証に関する詳細については利用規約をご確認ください。

Please note: All products are 'FOR RESEARCH USE ONLY. NOT FOR USE IN DIAGNOSTIC OR THERAPEUTIC PROCEDURES'.

For licensing inquiries, please contact partnerships@abcam.com