JavaScript is disabled in your browser. Please enable JavaScript to view this website.
AB208937

Anti-BTK 抗体 [EPR20445]

Anti-BTK antibody [EPR20445]

Be the first to review this product! Submit a review

|

(12 Publications)

Anti-BTK antibody [EPR20445] (ab208937) is a rabbit monoclonal antibody detecting BTK in Western Blot, Flow Cytometry (Intra), Flow Cytometry, IP, IHC-P, ICC/IF. Suitable for Human, Mouse, Rat.

- Biophysical QC for unrivalled batch-batch consistency

別名を表示する

AGMX1, ATK, BPK, BTK, Tyrosine-protein kinase BTK, Agammaglobulinemia tyrosine kinase, B-cell progenitor kinase, Bruton tyrosine kinase

14 Images
Flow Cytometry (Intracellular) - Anti-BTK antibody [EPR20445] (AB208937)
  • Flow Cyt (Intra)

Supplier Data

Flow Cytometry (Intracellular) - Anti-BTK antibody [EPR20445] (AB208937)

Intracellular flow cytometric analysis of 4% paraformaldehyde-fixed, 90% methanol-permeabilized Jurkat (human T cell leukemia cell line from peripheral blood) (left panel) and Ramos (human Burkitt's lymphoma cell line) (right panel) cell lines labeling BTK with ab208937 at 1/600 dilution (red) compared with a Rabbit IgG, monoclonal [EPR25A] - Isotype Control (ab172730) (black) and an unlabeled control (cells without incubation with primary antibody and secondary antibody) (blue). Goat Anti-Rabbit IgG H&L (Alexa Fluor® 488) (ab150077) at 1/2000 dilution was used as the secondary antibody.

Negative control : Jurkat cell line (PMID : 24759210).

Immunocytochemistry/ Immunofluorescence - Anti-BTK antibody [EPR20445] (AB208937)
  • ICC/IF

Supplier Data

Immunocytochemistry/ Immunofluorescence - Anti-BTK antibody [EPR20445] (AB208937)

Immunofluorescent analysis of 100% methanol-fixed Ramos (human Burkitt's lymphoma cell line) and Jurkat (human T cell leukemia cell line from peripheral blood) cells labeling BTK with ab208937 at 1/100 dilution followed by Goat Anti-Rabbit IgG H&L (Alexa Fluor® 488) (ab150077) secondary antibody at 1/1000 dilution (green).

Confocal image showing cytoplasmic staining on Ramos cell line.

Negative control : Jurkat cell line (PMID : 24759210).

The nuclear counter stain is DAPI (blue). Tubulin is detected with Anti-alpha Tubulin antibody [DM1A] - Microtubule Marker (Alexa Fluor® 594) (ab195889) (red) at 1/200 dilution.

Secondary antibody only control : Used PBS instead of primary antibody, secondary antibody is Goat Anti-Rabbit IgG H&L (Alexa Fluor® 488) (ab150077) secondary antibody at 1/1000 dilution.

Immunohistochemistry (Formalin/PFA-fixed paraffin-embedded sections) - Anti-BTK antibody [EPR20445] (AB208937)
  • IHC-P

Supplier Data

Immunohistochemistry (Formalin/PFA-fixed paraffin-embedded sections) - Anti-BTK antibody [EPR20445] (AB208937)

Immunohistochemical analysis of paraffin-embedded human colon tissue labeling BTK with ab208937 at 1/4000 dilution, followed by Goat Anti-Rabbit IgG H&L (HRP) Ready to use. Strong cytoplasmic staining on lymphoid nodule in human colon (PMID : 25433814). Counter stained with hematoxylin.

Secondary antibody only control : Used PBS instead of primary antibody, secondary antibody is Goat Anti-Rabbit IgG H&L (HRP) Ready to use.

Perform heat mediated antigen retrieval with Tris/EDTA buffer pH 9.0 before commencing with IHC staining protocol.

Immunohistochemistry (Formalin/PFA-fixed paraffin-embedded sections) - Anti-BTK antibody [EPR20445] (AB208937)
  • IHC-P

Supplier Data

Immunohistochemistry (Formalin/PFA-fixed paraffin-embedded sections) - Anti-BTK antibody [EPR20445] (AB208937)

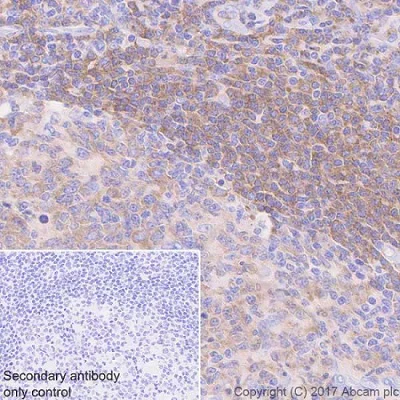
Immunohistochemical analysis of paraffin-embedded human tonsil tissue labeling BTK with ab208937 at 1/4000 dilution, followed by Goat Anti-Rabbit IgG H&L (HRP) Ready to use. Strong cytoplasmic staining in mantle zone and weaker cytoplasmic staining in the germinal center of human tonsil (PMID : 25433814). Counter stained with hematoxylin.

Secondary antibody only control : Used PBS instead of primary antibody, secondary antibody is Goat Anti-Rabbit IgG H&L (HRP) Ready to use.

Perform heat mediated antigen retrieval with Tris/EDTA buffer pH 9.0 before commencing with IHC staining protocol.

Immunoprecipitation - Anti-BTK antibody [EPR20445] (AB208937)
  • IP

Unknown

Immunoprecipitation - Anti-BTK antibody [EPR20445] (AB208937)

BTK was immunoprecipitated from 0.35 mg of Ramos (human Burkitt's lymphoma cell line) whole cell lysate with ab208937 at 1/30 dilution. Western blot was performed from the immunoprecipitate using ab208937 at 1/1000 dilution. VeriBlot for IP Detection Reagent (HRP) (ab131366), was used for detection at 1/10000 dilution.

Lane 1 : Ramos whole cell lysate 10 μg (Input).

Lane 2 : ab208937 IP in Ramos whole cell lysate.

Lane 3 : Rabbit monoclonal IgG (ab172730) instead of ab208937 in Ramos whole cell lysate.

Blocking and dilution buffer and concentration : 5% NFDM/TBST.

Exposure time : 3 seconds.

All lanes:

Immunoprecipitation - Anti-BTK antibody [EPR20445] (ab208937)

Predicted band size: 76 kDa

Observed band size: 76 kDa

false

Flow Cytometry (Intracellular) - Anti-BTK antibody [EPR20445] (AB208937)
  • Flow Cyt (Intra)

Lab

Flow Cytometry (Intracellular) - Anti-BTK antibody [EPR20445] (AB208937)

Intracellular flow cytometric analysis of 4% paraformaldehyde-fixed, 90% methanol-permeabilized RAW 264.7 (mouse Abelson murine leukemia virus-induced tumor macrophage) cell lines labeling BTK with ab208937 at 1/50 dilution (red) compared with a Rabbit IgG, monoclonal [EPR25A] - Isotype Control (ab172730) (black) and an unlabeled control (cells without incubation with primary antibody and secondary antibody) (blue).

Goat Anti-Rabbit IgG (Alexa Fluor® 488, ab150081) was used as the secondary antibody at 1/5000 dilution.

Flow Cytometry (Intracellular) - Anti-BTK antibody [EPR20445] (AB208937)
  • Flow Cyt (Intra)

Lab

Flow Cytometry (Intracellular) - Anti-BTK antibody [EPR20445] (AB208937)

Intracellular flow cytometric analysis of 4% paraformaldehyde-fixed, 90% methanol-permeabilized NR8383 (rat alveolar macrophage) cell lines labeling BTK with ab208937 at 1/50 dilution (red) compared with a Rabbit IgG, monoclonal [EPR25A] - Isotype Control (ab172730) (black) and an unlabeled control (cells without incubation with primary antibody and secondary antibody) (blue).

Goat Anti-Rabbit IgG (Alexa Fluor® 488, ab150081) was used as the secondary antibody at 1/5000 dilution.

Immunocytochemistry/ Immunofluorescence - Anti-BTK antibody [EPR20445] (AB208937)
  • ICC/IF

Lab

Immunocytochemistry/ Immunofluorescence - Anti-BTK antibody [EPR20445] (AB208937)

Immunofluorescent analysis of 4% Paraformaldehyde-fixed, 0.1% TritonX-100 permeabilized RAW 264.7 (mouse Abelson murine leukemia virus-induced tumor macrophage) cells labeling BTK with ab208937 at 1/250 (8.6 ug/ml) dilution followed by ab150081, Goat Anti-Rabbit IgG H&L (Alexa Fluor® 488) preadsorbed secondary antibody at 1/1000 (2 ug/ml) dilution (green). ab195889 Anti-alpha Tubulin mouse monoclonal antibody - Microtubule Marker (Alexa Fluor® 594) was used as a counterstain at 1/200 (2.5 ug/ml) dilution.

Confocal image showing cytoplasmic staining in RAW 264.7 cell line (shown in green). The counterstain was observed in magenta. Nuclear DNA was labelled with DAPI (shown in blue). Image was taken with a confocal microscope (Leica-Microsystems, TCS SP8).

Western blot - Anti-BTK antibody [EPR20445] (AB208937)
  • WB

Supplier Data

Western blot - Anti-BTK antibody [EPR20445] (AB208937)

Blocking/Dilution buffer : 5% NFDM/TBST.

This image is performed on a BIO-RAD® ChemiDoc™ MP instrument.

All lanes:

Western blot - Anti-BTK antibody [EPR20445] (ab208937) at 1/1000 dilution

All lanes:

Human lymph node lysate at 10 µg

Secondary

All lanes:

Western blot - Goat Anti-Rabbit IgG H&L (HRP) (<a href='/products/secondary-antibodies/goat-rabbit-igg-h-l-hrp-ab97051'>ab97051</a>) at 1/100000 dilution

Predicted band size: 76 kDa

Observed band size: 76 kDa

true

Exposure time: 3min

Western blot - Anti-BTK antibody [EPR20445] (AB208937)
  • WB

Supplier Data

Western blot - Anti-BTK antibody [EPR20445] (AB208937)

Blocking buffer and concentration : 5% NFDM/TBST Diluting buffer and concentration : 5% NFDM/TBST Lysates were freshly made and used for Western blotting immediately to minimize protein degradation.

All lanes:

Western blot - Anti-BTK antibody [EPR20445] (ab208937) at 1/1000 dilution

Lane 1:

THP-1 (human monocytic leukemia cell) whole cell lysate at 20 µg

Lane 2:

RAW 264.7 (mouse Abelson murine leukemia virus-induced tumor macrophage) whole cell lysate at 20 µg

Lane 3:

NR8383 (rat lung macrophage (alveolar)) whole cell lysate at 20 µg

Secondary

All lanes:

Western blot - Goat Anti-Rabbit IgG H&L (HRP) (<a href='/products/secondary-antibodies/goat-rabbit-igg-h-l-hrp-ab97051'>ab97051</a>) at 1/100000 dilution

Predicted band size: 76 kDa

Observed band size: 76 kDa

false

Exposure time: 37s

Western blot - Anti-BTK antibody [EPR20445] (AB208937)
  • WB

Lab

Western blot - Anti-BTK antibody [EPR20445] (AB208937)

Blocking buffer and concentration : 5% NFDM/TBST Diluting buffer and concentration : 5% NFDM/TBST Lysates were freshly made and used for Western blotting immediately to minimize protein degradation.

All lanes:

Western blot - Anti-BTK antibody [EPR20445] (ab208937) at 1/1000 dilution

Lane 1:

THP-1 (human monocytic leukemia cell) whole cell lysate at 20 µg

Lane 2:

RAW 264.7 (mouse Abelson murine leukemia virus-induced tumor macrophage) whole cell lysate at 20 µg

Lane 3:

NR8383 (rat lung macrophage (alveolar)) whole cell lysate at 20 µg

Secondary

All lanes:

Western blot - Goat Anti-Rabbit IgG H&L (HRP) (<a href='/products/secondary-antibodies/goat-rabbit-igg-h-l-hrp-ab97051'>ab97051</a>) at 1/100000 dilution

Predicted band size: 76 kDa

Observed band size: 76 kDa

false

Exposure time: 37s

Western blot - Anti-BTK antibody [EPR20445] (AB208937)
  • WB

Supplier Data

Western blot - Anti-BTK antibody [EPR20445] (AB208937)

Blocking/Dilution buffer : 5% NFDM/TBST.

The Jurkat T cell line is negative for BTK (PMID 24759210).

This image is performed on a BIO-RAD® ChemiDoc™ MP instrument.

All lanes:

Western blot - Anti-BTK antibody [EPR20445] (ab208937) at 1/1000 dilution

Lane 1:

Ramos (human Burkitt's lymphoma cell line) whole cell lysate at 20 µg

Lane 2:

NAMALWA (human Burkitt's lymphoma B lymphocyte) whole cell lysate at 20 µg

Lane 3:

Jurkat (human T cell leukemia cell line from peripheral blood) whole cell lysate at 20 µg

Secondary

All lanes:

Western blot - Goat Anti-Rabbit IgG H&L (HRP) (<a href='/products/secondary-antibodies/goat-rabbit-igg-h-l-hrp-ab97051'>ab97051</a>) at 1/100000 dilution

Predicted band size: 76 kDa

Observed band size: 76 kDa

true

Exposure time: 32s

Western blot - Anti-BTK antibody [EPR20445] (AB208937)
  • WB

Supplier Data

Western blot - Anti-BTK antibody [EPR20445] (AB208937)

Blocking buffer and concentration :  5% NFDM/TBST Diluting buffer and concentration :  5% NFDM/TBST Lysates were freshly made and used for Western blotting immediately to minimize protein degradation.

All lanes:

Western blot - Anti-BTK antibody [EPR20445] (ab208937) at 1/1000 dilution

Lane 1:

RAW 264.7 (mouse Abelson murine leukemia virus-induced tumor macrophage) whole cell lysate at 20 µg

Lane 2:

NIH/3T3 (mouse embryonic fibroblast) whole cell lysate at 20 µg

Secondary

All lanes:

Western blot - Goat Anti-Rabbit IgG H&L (HRP) (<a href='/products/secondary-antibodies/goat-rabbit-igg-h-l-hrp-ab97051'>ab97051</a>) at 1/100000 dilution

Predicted band size: 76 kDa

Observed band size: 76 kDa

false

Exposure time: 15s

Western blot - Anti-BTK antibody [EPR20445] (AB208937)
  • WB

Lab

Western blot - Anti-BTK antibody [EPR20445] (AB208937)

Blocking buffer and concentration : 5% NFDM/TBST Diluting buffer and concentration : 5% NFDM/TBST Lysates were freshly made and used for Western blotting immediately to minimize protein degradation.

All lanes:

Western blot - Anti-BTK antibody [EPR20445] (ab208937) at 1/1000 dilution

Lane 1:

RAW 264.7 (mouse Abelson murine leukemia virus-induced tumor macrophage) whole cell lysate at 20 µg

Lane 2:

NIH/3T3 (mouse embryonic fibroblast) whole cell lysate at 20 µg

Secondary

All lanes:

Western blot - Goat Anti-Rabbit IgG H&L (HRP) (<a href='/products/secondary-antibodies/goat-rabbit-igg-h-l-hrp-ab97051'>ab97051</a>) at 1/100000 dilution

false

Exposure time: 15s

関連する標識済み抗体及び組成の異なる製品 (4)

  • Carrier free

    Anti-BTK antibody [EPR20445] - BSA and Azide free

  • 660 APC

    APC Anti-BTK antibody [EPR20445]

  • 665 Alexa Fluor® 647

    Alexa Fluor® 647 Anti-BTK antibody [EPR20445]

  • 519 FITC

    FITC Anti-BTK antibody [EPR20445]

Key facts

宿主種

Rabbit

クローン性

Monoclonal

クローン番号

EPR20445

アイソタイプ

IgG

キャリアフリー

No

交差種

Rat, Mouse, Human

アプリケーション

IHC-P, Flow Cyt (Intra), IP, ICC/IF, WB

applications

免疫原

The exact immunogen used to generate this antibody is proprietary information.

Reactivity data

{ "title": "Reactivity Data", "filters": { "stats": ["", "Species", "Dilution Info", "Notes"], "tabs": { "all-applications": {"fullname" : "All Applications", "shortname": "All Applications"}, "IP" : {"fullname" : "Immunoprecipitation", "shortname":"IP"}, "WB" : {"fullname" : "Western blot", "shortname":"WB"}, "ICCIF" : {"fullname" : "Immunocytochemistry/ Immunofluorescence", "shortname":"ICC/IF"}, "FlowCytIntra" : {"fullname" : "Flow Cytometry (Intracellular)", "shortname":"Flow Cyt (Intra)"}, "IHCP" : {"fullname" : "Immunohistochemistry (Formalin/PFA-fixed paraffin-embedded sections)", "shortname":"IHC-P"} }, "product-promise": { "all": "all", "testedAndGuaranteed": "tested", "guaranteed": "expected", "predicted": "predicted", "notRecommended": "not-recommended" } }, "values": { "Human": { "IP-species-checked": "testedAndGuaranteed", "IP-species-dilution-info": "1/30", "IP-species-notes": "<p></p>", "WB-species-checked": "testedAndGuaranteed", "WB-species-dilution-info": "1/1000", "WB-species-notes": "<p></p>", "ICCIF-species-checked": "testedAndGuaranteed", "ICCIF-species-dilution-info": "1/100", "ICCIF-species-notes": "<p></p>", "FlowCytIntra-species-checked": "testedAndGuaranteed", "FlowCytIntra-species-dilution-info": "1/600", "FlowCytIntra-species-notes": "<p></p>", "IHCP-species-checked": "testedAndGuaranteed", "IHCP-species-dilution-info": "1/4000", "IHCP-species-notes": "<p></p>" }, "Mouse": { "IP-species-checked": "guaranteed", "IP-species-dilution-info": "", "IP-species-notes": "", "WB-species-checked": "testedAndGuaranteed", "WB-species-dilution-info": "1/1000", "WB-species-notes": "<p></p>", "ICCIF-species-checked": "testedAndGuaranteed", "ICCIF-species-dilution-info": "1/100", "ICCIF-species-notes": "<p></p>", "FlowCytIntra-species-checked": "testedAndGuaranteed", "FlowCytIntra-species-dilution-info": "1/600", "FlowCytIntra-species-notes": "<p></p>", "IHCP-species-checked": "notRecommended", "IHCP-species-dilution-info": "1/4000", "IHCP-species-notes": "<p></p>" }, "Rat": { "IP-species-checked": "guaranteed", "IP-species-dilution-info": "", "IP-species-notes": "", "WB-species-checked": "testedAndGuaranteed", "WB-species-dilution-info": "1/1000", "WB-species-notes": "<p></p>", "ICCIF-species-checked": "guaranteed", "ICCIF-species-dilution-info": "", "ICCIF-species-notes": "", "FlowCytIntra-species-checked": "testedAndGuaranteed", "FlowCytIntra-species-dilution-info": "1/600", "FlowCytIntra-species-notes": "<p></p>", "IHCP-species-checked": "notRecommended", "IHCP-species-dilution-info": "1/4000", "IHCP-species-notes": "<p></p>" } } }

製品の詳細

What is this antibody validated in?
Anti-BTK antibody [EPR20445] (ab208937) is a rabbit recombinant monoclonal antibody and is validated for use in Western Blot (WB), Flow Cytometry (Intra), Flow Cytometry (Flow Cyt), Immunoprecipitation (IP), Immunohistochemistry (IHC-P), Immunocytochemistry/immunofluorescence (ICC/IF) in Human, Mouse, Rat samples.

What is the molecular weight of BTK?
Anti-BTK [EPR20445] (ab208937) specifically detects a band for BTK (UniProt: Q06187) at a molecular weight of 76kDa.

Trial sizes available!
Test your antibody or perform pre-screening before committing to a larger quantity. Sold in 10µl. Discover our selection of trial-size antibodies.

Other related products
We have a range of other formats of antibody clone [EPR20445] also available for your convenience: ab208937, Carrier free - ab227812, APC - ab317755, Alexa Fluor® 647 - ab319012, FITC - ab322295

Patented technology
Our RabMAb® technology is a patented hybridoma-based technology for making rabbit monoclonal antibodies. For details on our patents, please refer to RabMAb® patents.

What are the advantages of a recombinant monoclonal antibody?
This product is a recombinant monoclonal antibody, which offers several advantages including:

  • - High batch-to-batch consistency and reproducibility
  • - Improved sensitivity and specificity
  • - Long-term security of supply
  • - Animal-free batch production

For more information, read more on recombinant antibodies.

出荷温度及び保存条件

製品の状態
Liquid
精製方法
Affinity purification Protein A
バッファー組成
pH: 7.2 - 7.4 Preservative: 0.01% Sodium azide Constituents: PBS, 40% Glycerol (glycerin, glycerine), 0.05% BSA
出荷温度
Blue Ice
短期保存期間
1-2 weeks
短期保存温度
+4°C
長期保存温度
-20°C
分注に関する情報
Upon delivery aliquot
保管に関する情報
Avoid freeze / thaw cycle

補足情報

This supplementary information is collated from multiple sources and compiled automatically.

BTK or Bruton's tyrosine kinase is an important enzyme in the body that functions mainly in signaling pathways within cells. It is known for its involvement in the development and activation of B cells and is expressed in cells of the hematopoietic system. The BTK protein has a molecular weight of about 76 kDa. Researchers can study BTK using tools like the BTK ELISA kit which helps measure its presence in biological samples. Furthermore there are specific anti-BTK antibodies which assist in the detection of BTK bands during analysis. BTK inhibitors like BTK C481S have been developed to regulate its activity.
Biological function summary

BTK plays an important role in the immune response by transmitting signals from the B cell receptor to the inside of the cell which promotes B cell maturation and survival. It operates as part of a larger signal transduction complex that includes other proteins and molecules. For accurate quantification of BTK expression a BTK sandwich ELISA kit may be utilized capturing and revealing the BTK protein's presence in sample preparations.

Pathways

BTK associates with both the B cell receptor signaling and the PI3K-Akt pathway. These pathways are critical for the proper functioning and proliferation of B cells. BTK interacts with proteins like PLCγ2 and BLNK in the signaling cascade highlighting its central role in transmitting extracellular signals to elicit appropriate cellular responses.

BTK is closely linked to X-linked agammaglobulinemia (XLA) a genetic condition marked by an absence of mature B cells. This highlights the connection between BTK function and immune competence. Moreover aberrant BTK activity has been implicated in some types of B cell malignancies such as chronic lymphocytic leukemia (CLL). The BTK pathway's dysregulation in these disorders may involve interactions with proteins like SYK suggesting that targeting BTK could offer therapeutic benefits in managing such conditions.

製品プロトコール

For this product, it's our understanding that no specific protocols are required. You can visit:

ターゲットの情報

Non-receptor tyrosine kinase indispensable for B lymphocyte development, differentiation and signaling (PubMed : 19290921). Binding of antigen to the B-cell antigen receptor (BCR) triggers signaling that ultimately leads to B-cell activation (PubMed : 19290921). After BCR engagement and activation at the plasma membrane, phosphorylates PLCG2 at several sites, igniting the downstream signaling pathway through calcium mobilization, followed by activation of the protein kinase C (PKC) family members (PubMed : 11606584). PLCG2 phosphorylation is performed in close cooperation with the adapter protein B-cell linker protein BLNK (PubMed : 11606584). BTK acts as a platform to bring together a diverse array of signaling proteins and is implicated in cytokine receptor signaling pathways (PubMed : 16517732, PubMed : 17932028). Plays an important role in the function of immune cells of innate as well as adaptive immunity, as a component of the Toll-like receptors (TLR) pathway (PubMed : 16517732). The TLR pathway acts as a primary surveillance system for the detection of pathogens and are crucial to the activation of host defense (PubMed : 16517732). Especially, is a critical molecule in regulating TLR9 activation in splenic B-cells (PubMed : 16517732, PubMed : 17932028). Within the TLR pathway, induces tyrosine phosphorylation of TIRAP which leads to TIRAP degradation (PubMed : 16415872). BTK also plays a critical role in transcription regulation (PubMed : 19290921). Induces the activity of NF-kappa-B, which is involved in regulating the expression of hundreds of genes (PubMed : 19290921). BTK is involved on the signaling pathway linking TLR8 and TLR9 to NF-kappa-B (PubMed : 19290921). Acts as an activator of NLRP3 inflammasome assembly by mediating phosphorylation of NLRP3 (PubMed : 34554188). Transiently phosphorylates transcription factor GTF2I on tyrosine residues in response to BCR (PubMed : 9012831). GTF2I then translocates to the nucleus to bind regulatory enhancer elements to modulate gene expression (PubMed : 9012831). ARID3A and NFAT are other transcriptional target of BTK (PubMed : 16738337). BTK is required for the formation of functional ARID3A DNA-binding complexes (PubMed : 16738337). There is however no evidence that BTK itself binds directly to DNA (PubMed : 16738337). BTK has a dual role in the regulation of apoptosis (PubMed : 9751072).
See full target information BTK

文献 (12)

Recent publications for all applications. Explore the full list and refine your search

Molecular medicine (Cambridge, Mass.) 31:148 PubMed40263985

2025

Evobrutinib mitigates neuroinflammation after ischemic stroke by targeting M1 microglial polarization via the TLR4/Myd88/NF-κB pathway.

Applications

Unspecified application

Species

Unspecified reactive species

Yixiang Jiang,Ning Wang,Jingyi Liu,Jiayi Li,Lulu Chang,Changxin Yang,Zhengyi Chen,Wei Huang,Jing Wang,Xiujuan Lang,Xijun Liu,Yumei Liu,Bo Sun,Hulun Li

Translational lung cancer research 13:3152-3174 PubMed39669999

2024

Construction and validation of a prognostic model based on oxidative stress-related genes in non-small cell lung cancer (NSCLC): predicting patient outcomes and therapy responses.

Applications

Unspecified application

Species

Unspecified reactive species

Dongfeng Sun,Jie Lu,Wenhua Zhao,Xiaozheng Chen,Changyan Xiao,Feng Hua,Per Hydbring,Esteban C Gabazza,Alfredo Tartarone,Xiaoming Zhao,Wenfeng Yang

iScience 27:109799 PubMed38726367

2024

Zanubrutinib delays selinexor resistance evolution in biopsy sample-derived primary central nervous system lymphoma models.

Applications

Unspecified application

Species

Unspecified reactive species

Xiaohong Zheng,Can Wang,Feng Chen,Shenglan Li,Hua Zhang,Gehong Dong,Shoubo Yang,Xun Kang,Zhuang Kang,Chunlei Han,Shuo Yin,Wenbin Li

Acta neuropathologica 147:75 PubMed38656399

2024

BTK inhibition limits microglia-perpetuated CNS inflammation and promotes myelin repair.

Applications

Unspecified application

Species

Unspecified reactive species

Anastasia Geladaris,Sebastian Torke,Darius Saberi,Yasemin B Alankus,Frank Streit,Sabrina Zechel,Christine Stadelmann-Nessler,Andreas Fischer,Ursula Boschert,Darius Häusler,Martin S Weber

American journal of cancer research 14:1139-1156 PubMed38590399

2024

PU.1 induces tumor-associated macrophages promoting glioma progression through BTK-mediated Akt/mTOR pathway activation.

Applications

Unspecified application

Species

Unspecified reactive species

Gu Song,Zeyu Zhang,Yan Chen,Weiliang Hou,Weiwei Zhong,Yuhang Zhou,Anke Zhang,Yuanzhi Xu

Brain pathology (Zurich, Switzerland) 34:e13240 PubMed38254312

2024

The relation between BTK expression and iron accumulation of myeloid cells in multiple sclerosis.

Applications

Unspecified application

Species

Unspecified reactive species

Anja Steinmaurer,Christian Riedl,Theresa König,Giulia Testa,Ulrike Köck,Jan Bauer,Hans Lassmann,Romana Höftberger,Thomas Berger,Isabella Wimmer,Simon Hametner

Experimental and therapeutic medicine 23:141 PubMed35069822

2022

Synergistic effect of Bruton's tyrosine kinase and TNF-α in the regulation of rheumatoid arthritis and underlying mechanisms.

Applications

Unspecified application

Species

Unspecified reactive species

Jinwan Du

Phytotherapy research : PTR 35:932-945 PubMed33164233

2020

The effect of geniposide on chronic unpredictable mild stress-induced depressive mice through BTK/TLR4/NF-κB and BDNF/TrkB signaling pathways.

Applications

Unspecified application

Species

Unspecified reactive species

Tong Chen,Shengnan Liu,Menglin Zheng,Yixuan Li,Ling He

International journal of molecular medicine 46:1409-1422 PubMed32945349

2020

Overexpression of FcγRIIB regulates downstream protein phosphorylation and suppresses B cell activation to ameliorate systemic lupus erythematosus.

Applications

Unspecified application

Species

Unspecified reactive species

Linlin Sheng,Xiuqin Cao,Shuhong Chi,Jing Wu,Huihui Xing,Huiyu Liu,Zhiwei Yang

Psychopharmacology 237:465-477 PubMed31811349

2019

The protective effect of Geniposide on diabetic cognitive impairment through BTK/TLR4/NF-κB pathway.

Applications

Unspecified application

Species

Unspecified reactive species

Shengnan Liu,Menglin Zheng,Yixuan Li,Ling He,Tong Chen
View all publications

Abcam product promise

当社は、高品質な試薬を通じてお客様の研究を力強くサポートすることをお約束いたします。ご使用いただく各段階で、常にお客様をサポートできる体制を整えております。万が一、製品が期待通りに機能しない場合は、「Abcam Product Promise」による当社保証制度に基づき、安心してご利用いただけます。
保証に関する詳細については利用規約をご確認ください。

Please note: All products are 'FOR RESEARCH USE ONLY. NOT FOR USE IN DIAGNOSTIC OR THERAPEUTIC PROCEDURES'.

For licensing inquiries, please contact partnerships@abcam.com