JavaScript is disabled in your browser. Please enable JavaScript to view this website.
AB137504

Anti-BTK 抗体

Anti-BTK antibody

Be the first to review this product! Submit a review

|

(1 Publication)

Rabbit Polyclonal BTK antibody. Suitable for IHC-P, WB and reacts with Human samples. Cited in 1 publication. Immunogen corresponding to Recombinant Fragment Protein within Human BTK aa 400 to C-terminus.

別名を表示する

AGMX1, ATK, BPK, BTK, Tyrosine-protein kinase BTK, Agammaglobulinemia tyrosine kinase, B-cell progenitor kinase, Bruton tyrosine kinase

2 Images
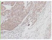
Immunohistochemistry (Formalin/PFA-fixed paraffin-embedded sections) - Anti-BTK antibody (AB137504)
  • IHC-P

Unknown

Immunohistochemistry (Formalin/PFA-fixed paraffin-embedded sections) - Anti-BTK antibody (AB137504)

Immunohistochemical analysis of paraffin-embedded Human SAS xenograft tissue labelling BTK with ab137504 at 1/100 dilution.

Western blot - Anti-BTK antibody (AB137504)
  • WB

Unknown

Western blot - Anti-BTK antibody (AB137504)

7.5% SDS PAGE

All lanes:

Western blot - Anti-BTK antibody (ab137504) at 1/500 dilution

All lanes:

MOLT4 whole cell lysate at 30 µg

Predicted band size: 76 kDa

false

Key facts

宿主種

Rabbit

クローン性

Polyclonal

アイソタイプ

IgG

キャリアフリー

No

交差種

Human

アプリケーション

WB, IHC-P

applications

免疫原

Recombinant Fragment Protein within Human BTK aa 400 to C-terminus. The exact immunogen used to generate this antibody is proprietary information.

Q06187

Reactivity data

{ "title": "Reactivity Data", "filters": { "stats": ["", "Species", "Dilution Info", "Notes"], "tabs": { "all-applications": {"fullname" : "All Applications", "shortname": "All Applications"}, "IHCP" : {"fullname" : "Immunohistochemistry (Formalin/PFA-fixed paraffin-embedded sections)", "shortname":"IHC-P"}, "WB" : {"fullname" : "Western blot", "shortname":"WB"} }, "product-promise": { "all": "all", "testedAndGuaranteed": "tested", "guaranteed": "expected", "predicted": "predicted", "notRecommended": "not-recommended" } }, "values": { "Human": { "IHCP-species-checked": "testedAndGuaranteed", "IHCP-species-dilution-info": "1/100 - 1/1000", "IHCP-species-notes": "<p></p> Perform heat-mediated antigen retrieval with citrate buffer pH 6 before commencing with IHC staining protocol.", "WB-species-checked": "testedAndGuaranteed", "WB-species-dilution-info": "1/500 - 1/3000", "WB-species-notes": "<p></p>" }, "Mouse": { "IHCP-species-checked": "predicted", "IHCP-species-dilution-info": "", "IHCP-species-notes": "", "WB-species-checked": "predicted", "WB-species-dilution-info": "", "WB-species-notes": "" }, "Rat": { "IHCP-species-checked": "predicted", "IHCP-species-dilution-info": "", "IHCP-species-notes": "", "WB-species-checked": "predicted", "WB-species-dilution-info": "", "WB-species-notes": "" }, "Pig": { "IHCP-species-checked": "predicted", "IHCP-species-dilution-info": "", "IHCP-species-notes": "", "WB-species-checked": "predicted", "WB-species-dilution-info": "", "WB-species-notes": "" } } }

出荷温度及び保存条件

製品の状態
Liquid
精製方法
Affinity purification Immunogen
バッファー組成
pH: 7 Preservative: 0.01% Thimerosal (merthiolate) Constituents: 10% Glycerol (glycerin, glycerine), 1.21% Tris, 0.75% Glycine
出荷温度
Blue Ice
短期保存温度
+4°C
長期保存温度
-20°C
分注に関する情報
Upon delivery aliquot
保管に関する情報
Avoid freeze / thaw cycle

補足情報

This supplementary information is collated from multiple sources and compiled automatically.

BTK or Bruton's tyrosine kinase is an important enzyme in the body that functions mainly in signaling pathways within cells. It is known for its involvement in the development and activation of B cells and is expressed in cells of the hematopoietic system. The BTK protein has a molecular weight of about 76 kDa. Researchers can study BTK using tools like the BTK ELISA kit which helps measure its presence in biological samples. Furthermore there are specific anti-BTK antibodies which assist in the detection of BTK bands during analysis. BTK inhibitors like BTK C481S have been developed to regulate its activity.
Biological function summary

BTK plays an important role in the immune response by transmitting signals from the B cell receptor to the inside of the cell which promotes B cell maturation and survival. It operates as part of a larger signal transduction complex that includes other proteins and molecules. For accurate quantification of BTK expression a BTK sandwich ELISA kit may be utilized capturing and revealing the BTK protein's presence in sample preparations.

Pathways

BTK associates with both the B cell receptor signaling and the PI3K-Akt pathway. These pathways are critical for the proper functioning and proliferation of B cells. BTK interacts with proteins like PLCγ2 and BLNK in the signaling cascade highlighting its central role in transmitting extracellular signals to elicit appropriate cellular responses.

BTK is closely linked to X-linked agammaglobulinemia (XLA) a genetic condition marked by an absence of mature B cells. This highlights the connection between BTK function and immune competence. Moreover aberrant BTK activity has been implicated in some types of B cell malignancies such as chronic lymphocytic leukemia (CLL). The BTK pathway's dysregulation in these disorders may involve interactions with proteins like SYK suggesting that targeting BTK could offer therapeutic benefits in managing such conditions.

製品プロトコール

For this product, it's our understanding that no specific protocols are required. You can visit:

ターゲットの情報

Non-receptor tyrosine kinase indispensable for B lymphocyte development, differentiation and signaling (PubMed : 19290921). Binding of antigen to the B-cell antigen receptor (BCR) triggers signaling that ultimately leads to B-cell activation (PubMed : 19290921). After BCR engagement and activation at the plasma membrane, phosphorylates PLCG2 at several sites, igniting the downstream signaling pathway through calcium mobilization, followed by activation of the protein kinase C (PKC) family members (PubMed : 11606584). PLCG2 phosphorylation is performed in close cooperation with the adapter protein B-cell linker protein BLNK (PubMed : 11606584). BTK acts as a platform to bring together a diverse array of signaling proteins and is implicated in cytokine receptor signaling pathways (PubMed : 16517732, PubMed : 17932028). Plays an important role in the function of immune cells of innate as well as adaptive immunity, as a component of the Toll-like receptors (TLR) pathway (PubMed : 16517732). The TLR pathway acts as a primary surveillance system for the detection of pathogens and are crucial to the activation of host defense (PubMed : 16517732). Especially, is a critical molecule in regulating TLR9 activation in splenic B-cells (PubMed : 16517732, PubMed : 17932028). Within the TLR pathway, induces tyrosine phosphorylation of TIRAP which leads to TIRAP degradation (PubMed : 16415872). BTK also plays a critical role in transcription regulation (PubMed : 19290921). Induces the activity of NF-kappa-B, which is involved in regulating the expression of hundreds of genes (PubMed : 19290921). BTK is involved on the signaling pathway linking TLR8 and TLR9 to NF-kappa-B (PubMed : 19290921). Acts as an activator of NLRP3 inflammasome assembly by mediating phosphorylation of NLRP3 (PubMed : 34554188). Transiently phosphorylates transcription factor GTF2I on tyrosine residues in response to BCR (PubMed : 9012831). GTF2I then translocates to the nucleus to bind regulatory enhancer elements to modulate gene expression (PubMed : 9012831). ARID3A and NFAT are other transcriptional target of BTK (PubMed : 16738337). BTK is required for the formation of functional ARID3A DNA-binding complexes (PubMed : 16738337). There is however no evidence that BTK itself binds directly to DNA (PubMed : 16738337). BTK has a dual role in the regulation of apoptosis (PubMed : 9751072).
See full target information BTK

文献 (1)

Recent publications for all applications. Explore the full list and refine your search

Pharmacology 106:60-69 PubMed33142290

2020

Trichostatin A Induces Autophagy in Cervical Cancer Cells by Regulating the PRMT5-STC1-TRPV6-JNK Pathway.

Applications

Unspecified application

Species

Unspecified reactive species

Jian-Hao Liu,Yan-Ming Cao,Zhi-Peng Rong,Juan Ding,Xi Pan
View all publications

Abcam product promise

当社は、高品質な試薬を通じてお客様の研究を力強くサポートすることをお約束いたします。ご使用いただく各段階で、常にお客様をサポートできる体制を整えております。万が一、製品が期待通りに機能しない場合は、「Abcam Product Promise」による当社保証制度に基づき、安心してご利用いただけます。
保証に関する詳細については利用規約をご確認ください。

Please note: All products are 'FOR RESEARCH USE ONLY. NOT FOR USE IN DIAGNOSTIC OR THERAPEUTIC PROCEDURES'.

For licensing inquiries, please contact partnerships@abcam.com