JavaScript is disabled in your browser. Please enable JavaScript to view this website.
AB59406

Anti-BRAF (phospho T599) 抗体

Anti-BRAF (phospho T599) antibody

5

(1 Review)

|

(1 Publication)

Rabbit Polyclonal antibody. Suitable for IHC-P and reacts with Human samples. Cited in 1 publication. Immunogen corresponding to Synthetic Peptide within Human BRAF phospho T599 aa 550-650.
1 Images
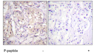
Immunohistochemistry (Formalin/PFA-fixed paraffin-embedded sections) - Anti-BRAF (phospho T599) antibody (AB59406)
  • IHC-P

Unknown

Immunohistochemistry (Formalin/PFA-fixed paraffin-embedded sections) - Anti-BRAF (phospho T599) antibody (AB59406)

Immunohistochemical analysis of paraffin embedded human breast carcinoma tissue using ab59406 at 1/50 dilution, in the presence (right) and absence (left) of immunising phosphopeptide.

Key facts

宿主種

Rabbit

クローン性

Polyclonal

アイソタイプ

IgG

キャリアフリー

No

交差種

Human

アプリケーション

IHC-P

applications

免疫原

Synthetic Peptide within Human BRAF phospho T599 aa 550-650. The exact immunogen used to generate this antibody is proprietary information.

P15056

特異性

This antibody detects endogenous levels of B Raf only when phosphorylated at threonine 598.

Reactivity data

{ "title": "Reactivity Data", "filters": { "stats": ["", "Species", "Dilution Info", "Notes"], "tabs": { "all-applications": {"fullname" : "All Applications", "shortname": "All Applications"}, "IHCP" : {"fullname" : "Immunohistochemistry (Formalin/PFA-fixed paraffin-embedded sections)", "shortname":"IHC-P"} }, "product-promise": { "all": "all", "testedAndGuaranteed": "tested", "guaranteed": "expected", "predicted": "predicted", "notRecommended": "not-recommended" } }, "values": { "Human": { "IHCP-species-checked": "testedAndGuaranteed", "IHCP-species-dilution-info": "", "IHCP-species-notes": "<p></p>" } } }

出荷温度及び保存条件

製品の状態
Liquid
精製方法
Affinity purification Immunogen
精製に関する特記事項
The antibody against non-phosphopeptide was removed by chromatographyusing non-phosphopeptide corresponding to the phosphorylation site.
バッファー組成
pH: 7.4 Preservative: 0.02% Sodium azide Constituents: PBS, 50% Glycerol (glycerin, glycerine), 0.87% Sodium chloride
出荷温度
Blue Ice
短期保存温度
+4°C
長期保存温度
-20°C
保管に関する情報
Stable for 12 months at -20°C

製品プロトコール

For this product, it's our understanding that no specific protocols are required. You can visit:

ターゲットの情報

文献 (1)

Recent publications for all applications. Explore the full list and refine your search

The Journal of neuroscience : the official journal of the Society for Neuroscience 32:11864-78 PubMed22915127

2012

Social, communication, and cortical structural impairments in Epac2-deficient mice.

Applications

Unspecified application

Species

Mouse

Deepak P Srivastava,Kelly A Jones,Kevin M Woolfrey,Jeffrey Burgdorf,Theron A Russell,Abigail Kalmbach,Hyerin Lee,Connie Yang,Mazdak M Bradberry,David Wokosin,Joseph R Moskal,Manuel F Casanova,Jack Waters,Peter Penzes
View all publications

Abcam product promise

当社は、高品質な試薬を通じてお客様の研究を力強くサポートすることをお約束いたします。ご使用いただく各段階で、常にお客様をサポートできる体制を整えております。万が一、製品が期待通りに機能しない場合は、「Abcam Product Promise」による当社保証制度に基づき、安心してご利用いただけます。
保証に関する詳細については利用規約をご確認ください。

関連製品

Select an associated product type
Alternative Product
Primary Antibodies

AB183337

Anti-BRAF antibody [pBR1]

primary-antibodies

braf-antibody-pbr1-ab183337

0

(0 reviews)

Alternative Product
Primary Antibodies

AB124794

Anti-BRAF (phospho S729) antibody [EPR2207]

primary-antibodies

braf-phospho-s729-antibody-epr2207-ab124794

0

(0 reviews)

Alternative Product
Primary Antibodies

AB33899

Anti-BRAF antibody [EP152Y]

primary-antibodies

braf-antibody-ep152y-ab33899

4

(12 reviews)

Alternative Product
Primary Antibodies

AB68215

Anti-BRAF (phospho T401) antibody [EPR2208Y]

primary-antibodies

braf-phospho-t401-antibody-epr2208y-ab68215

5

(1 reviews)

Alternative Product
Primary Antibodies

AB189351

Anti-BRAF antibody [EP152Y] - BSA and Azide free

primary-antibodies

braf-antibody-ep152y-bsa-and-azide-free-ab189351

0

(0 reviews)

Alternative Product
Primary Antibodies

AB228461

Anti-BRAF (mutated V600E) antibody [VE1]

primary-antibodies

braf-mutated-v600e-antibody-ve1-ab228461

4

(7 reviews)

Please note: All products are 'FOR RESEARCH USE ONLY. NOT FOR USE IN DIAGNOSTIC OR THERAPEUTIC PROCEDURES'.

For licensing inquiries, please contact partnerships@abcam.com