JavaScript is disabled in your browser. Please enable JavaScript to view this website.
AB137718

Anti-Bone marrow stromal cell antigen 1 抗体

Anti-Bone marrow stromal cell antigen 1 antibody

  • JP Deleterious:医薬用外劇物

Be the first to review this product! Submit a review

|

(2 Publications)

Rabbit Polyclonal Bone marrow stromal cell antigen 1 antibody. Suitable for WB, IHC-P and reacts with Human samples. Cited in 2 publications. Immunogen corresponding to Recombinant Fragment Protein within Human BST1 aa 1-150.

別名を表示する

CD157, ADP-ribosyl cyclase/cyclic ADP-ribose hydrolase 2, ADP-ribosyl cyclase 2, Bone marrow stromal cell antigen 1, Cyclic ADP-ribose hydrolase 2, BST-1, cADPR hydrolase 2, BST1

2 Images
Western blot - Anti-Bone marrow stromal cell antigen 1 antibody (AB137718)
  • WB

Unknown

Western blot - Anti-Bone marrow stromal cell antigen 1 antibody (AB137718)

10% SDS PAGE

All lanes:

Western blot - Anti-Bone marrow stromal cell antigen 1 antibody (ab137718) at 1/500 dilution

All lanes:

Raji whole cell lysate at 30 µg

Predicted band size: 36 kDa

false

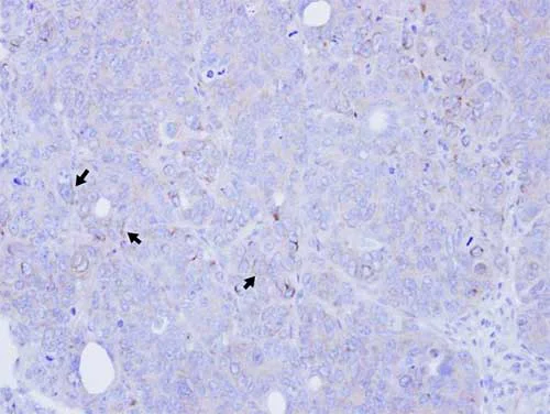
Immunohistochemistry (Formalin/PFA-fixed paraffin-embedded sections) - Anti-Bone marrow stromal cell antigen 1 antibody (AB137718)
  • IHC-P

Unknown

Immunohistochemistry (Formalin/PFA-fixed paraffin-embedded sections) - Anti-Bone marrow stromal cell antigen 1 antibody (AB137718)

Immunohistochemical analysis of paraffin-embedded SW480 xenograft labelling Bone marrow stromal cell antigen 1 with ab137718 at 1/100 dilution.

Key facts

宿主種

Rabbit

クローン性

Polyclonal

アイソタイプ

IgG

キャリアフリー

No

交差種

Human

アプリケーション

IHC-P, WB

applications

免疫原

Recombinant Fragment Protein within Human BST1 aa 1-150. The exact immunogen used to generate this antibody is proprietary information.

Q10588

Reactivity data

{ "title": "Reactivity Data", "filters": { "stats": ["", "Species", "Dilution Info", "Notes"], "tabs": { "all-applications": {"fullname" : "All Applications", "shortname": "All Applications"}, "WB" : {"fullname" : "Western blot", "shortname":"WB"}, "IHCP" : {"fullname" : "Immunohistochemistry (Formalin/PFA-fixed paraffin-embedded sections)", "shortname":"IHC-P"} }, "product-promise": { "all": "all", "testedAndGuaranteed": "tested", "guaranteed": "expected", "predicted": "predicted", "notRecommended": "not-recommended" } }, "values": { "Human": { "WB-species-checked": "testedAndGuaranteed", "WB-species-dilution-info": "1/500.00000 - 1/3000.00000", "WB-species-notes": "<p></p>", "IHCP-species-checked": "testedAndGuaranteed", "IHCP-species-dilution-info": "1/100.00000 - 1/1000.00000", "IHCP-species-notes": "<p>Perform heat mediated antigen retrieval using 10mM Citrate buffer (pH6.0) or Tris-EDTA buffer (pH8.0) before commencing with IHC staining protocol.</p>" } } }

下記製品にもご興味をお持ちいただけるかもしれません:

AB267623

Human CD157 ELISA kit

0

0 Reviews

製品ページを見る
こちらの製品も推奨する理由

この製品は、同様の実験や関連する研究で広く使用されていることから推奨させていただいております。

お客様の実験に適するかご確認いただくため、必ず製品データシートをご確認いただくことをお勧めいたします。ご不明点等ございましたら、テクニカルサポートチームまでお問い合わせください。

出荷温度及び保存条件

製品の状態
Liquid
精製方法
Affinity purification Immunogen
バッファー組成
pH: 7 Preservative: 0.01% Thimerosal (merthiolate) Constituents: 10% Glycerol (glycerin, glycerine), 1.21% Tris, 0.75% Glycine
出荷温度
Blue Ice
短期保存温度
+4°C
長期保存温度
-20°C
分注に関する情報
Upon delivery aliquot
保管に関する情報
Avoid freeze / thaw cycle

補足情報

This supplementary information is collated from multiple sources and compiled automatically.

Bone marrow stromal cell antigen 1 (BST-1) also known as CD157 is a glycosylphosphatidylinositol-anchored protein with a molecular weight of approximately 38-42 kDa. You find BST-1 expression on the surface of various cell types especially within bone marrow stromal cells and cells of the immune system such as monocytes and macrophages. This protein functions as an ecto-enzyme with ADP-ribosyl cyclase activity and is part of the NADase enzyme family. Its mechanical role involves metabolizing extracellular NAD+ influencing cellular calcium signaling and energy metabolism.
Biological function summary

BST-1 contributes to the regulation of cellular interactions and immune responses. It participates in the organization of leukocyte trafficking and the formation of signal transduction cascades. BST-1 operates as a single protein but interacts with other membrane proteins to coordinate cellular communication. You can observe its function in processes like cell adhesion and migration impacting the immune surveillance and response systems.

Pathways

BST-1 plays a role in immune signaling and calcium-signaling pathways. In the immune system pathway it associates with molecules such as integrins to modulate leukocyte adhesion and transmigration. The calcium-signaling pathway is another key area where BST-1 interacts with intracellular proteins influencing various cellular targets and affecting metabolic processes critical for cell survival and proliferation.

Scientists have linked BST-1 to various conditions such as leukemia and chronic inflammation. Its expression levels often change in these diseases emphasizing its potential role in their progression. Researchers also explore the connection between BST-1 and other proteins like CD38 in the context of leukemia where both proteins might participate in cancer cell proliferation and survival. Understanding BST-1 in disease contexts provides insights into disease mechanisms and potential therapeutic strategies.

製品プロトコール

For this product, it's our understanding that no specific protocols are required. You can visit:

ターゲットの情報

Catalyzes both the synthesis of cyclic ADP-beta-D-ribose (cADPR) from NAD(+), and its hydrolysis to ADP-D-ribose (ADPR) (PubMed : 7805847). Cyclic ADPR is known to serve as an endogenous second messenger that elicits calcium release from intracellular stores, and thus regulates the mobilization of intracellular calcium (Probable). May be involved in pre-B-cell growth (Probable).
See full target information BST1

文献 (2)

Recent publications for all applications. Explore the full list and refine your search

mBio 10: PubMed31455656

2019

CD157 Confers Host Resistance to Mycobacterium tuberculosis via TLR2-CD157-PKCzeta-Induced Reactive Oxygen Species Production.

Applications

Unspecified application

Species

Unspecified reactive species

Qianting Yang,Mingfeng Liao,Wenfei Wang,Mingxia Zhang,Qi Chen,Jiubiao Guo,Bin Peng,Jian Huang,Haiying Liu,Ayano Yahagi,Xingzhi Xu,Katsuhiko Ishihara,Andrea Cooper,Xinchun Chen,Yi Cai

Autism research : official journal of the Internat 7:254-63 PubMed24634087

2014

A deletion involving CD38 and BST1 results in a fusion transcript in a patient with autism and asthma.

Applications

Unspecified application

Species

Unspecified reactive species

Fabiola Ceroni,Angela Sagar,Nuala H Simpson,Alex J T Gawthrope,Dianne F Newbury,Dalila Pinto,Sunday M Francis,Dorothy C Tessman,Edwin H Cook,Anthony P Monaco,Elena Maestrini,Alistair T Pagnamenta,Suma Jacob
View all publications

Abcam product promise

当社は、高品質な試薬を通じてお客様の研究を力強くサポートすることをお約束いたします。ご使用いただく各段階で、常にお客様をサポートできる体制を整えております。万が一、製品が期待通りに機能しない場合は、「Abcam Product Promise」による当社保証制度に基づき、安心してご利用いただけます。
保証に関する詳細については利用規約をご確認ください。

関連製品

Select an associated product type
Alternative Product
Primary Antibodies

AB233455

FITC Anti-Bone marrow stromal cell antigen 1 antibody [SY11B5]

primary-antibodies

fitc-bone-marrow-stromal-cell-antigen-1-antibody-sy11b5-ab233455

0

(0 reviews)

Alternative Product
Primary Antibodies

AB233256

APC Anti-Bone marrow stromal cell antigen 1 antibody [SY11B5]

primary-antibodies

apc-bone-marrow-stromal-cell-antigen-1-antibody-sy11b5-ab233256

0

(0 reviews)

Alternative Product
Primary Antibodies

AB92395

Anti-Bone marrow stromal cell antigen 1 antibody [SY11B5]

primary-antibodies

bone-marrow-stromal-cell-antigen-1-antibody-sy11b5-ab92395

0

(0 reviews)

Please note: All products are 'FOR RESEARCH USE ONLY. NOT FOR USE IN DIAGNOSTIC OR THERAPEUTIC PROCEDURES'.

For licensing inquiries, please contact partnerships@abcam.com