JavaScript is disabled in your browser. Please enable JavaScript to view this website.
AB109362

Anti-BNIP3 抗体 [EPR4034]

Anti-BNIP3 antibody [EPR4034]

4

(3 Reviews)

|

(102 Publications)

Anti-BNIP3 antibody [EPR4034] (ab109362) is a rabbit monoclonal antibody detecting BNIP3 in Western Blot, IHC-P, ICC/IF. Suitable for Human, Mouse, Rat.

- KO validated for confirmed specificity
- Biophysical QC for unrivalled batch-batch consistency
- Over 70 publications

別名を表示する

NIP3, BNIP3, BCL2/adenovirus E1B 19 kDa protein-interacting protein 3

7 Images
Immunocytochemistry/ Immunofluorescence - Anti-BNIP3 antibody [EPR4034] (AB109362)
  • ICC/IF

Unknown

Immunocytochemistry/ Immunofluorescence - Anti-BNIP3 antibody [EPR4034] (AB109362)

Immunocytochemistry/Immunofluorescence analysis of SH-SY5Y cells labelling BNIP3 with unpurified ab109362 at a 1/100 dilution.

Immunohistochemistry (Formalin/PFA-fixed paraffin-embedded sections) - Anti-BNIP3 antibody [EPR4034] (AB109362)
  • IHC-P

Unknown

Immunohistochemistry (Formalin/PFA-fixed paraffin-embedded sections) - Anti-BNIP3 antibody [EPR4034] (AB109362)

Immunohistochemistry (Formalin/PFA-fixed paraffin-embedded sections) analysis of human renal adenocarcinoma tissue labelling BNIP3 with purified ab109362 at 1/100. Heat mediated antigen retrieval was performed using Tris/EDTA buffer pH 9. ab97051, a HRP-conjugated goat anti-rabbit IgG (H+L) was used as the secondary antibody (1/500). Negative control using PBS instead of primary antibody. Counterstained with hematoxylin.

Immunohistochemistry (Formalin/PFA-fixed paraffin-embedded sections) - Anti-BNIP3 antibody [EPR4034] (AB109362)
  • IHC-P

Unknown

Immunohistochemistry (Formalin/PFA-fixed paraffin-embedded sections) - Anti-BNIP3 antibody [EPR4034] (AB109362)

Immunohistochemistry (Formalin/PFA-fixed paraffin-embedded sections) analysis of human kidney tissue labelling BNIP3 with unpurified ab109362 at a 1/50 dilution.

Perform heat mediated antigen retrieval before commencing with IHC staining protocol.

Western blot - Anti-BNIP3 antibody [EPR4034] (AB109362)
  • WB

Lab

Western blot - Anti-BNIP3 antibody [EPR4034] (AB109362)

Lane 1 : Wild-type HAP1 whole cell lysate (40 μg)
Lane 2 : BNIP3 knockout HAP1 whole cell lysate (40 μg)
Lane 3 : SHSY5Y whole cell lysate (40 μg)
Lane 4 : A431 whole cell lysate (40 μg)

Lanes 1 - 4 : Merged signal (red and green). Green - ab109362 observed at 25 kDa. Red - loading control, ab9484, observed at 37 kDa.

ab109362 was shown to recognize BNIP3 in wild-type HAP1 cells as signal was lost at the expected MW in BNIP3 knockout cells. Additional cross-reactive bands were observed in the wild-type and knockout cells. Wild-type and BNIP3 knockout samples were subjected to SDS-PAGE. ab109362 and ab9484 (Mouse anti-GAPDH loading control) were incubated overnight at 4°C at 1/1000 dilution and 1/20000 dilution respectively. Blots were developed with Goat anti-Rabbit IgG H&L (IRDye® 800CW) preabsorbed ab216773 and Goat anti-Mouse IgG H&L (IRDye® 680RD) preabsorbed ab216776 secondary antibodies at 1/20000 dilution for 1 hour at room temperature before imaging.

All lanes:

Western blot - Anti-BNIP3 antibody [EPR4034] (ab109362)

Predicted band size: 21 kDa

false

Western blot - Anti-BNIP3 antibody [EPR4034] (AB109362)
  • WB

Unknown

Western blot - Anti-BNIP3 antibody [EPR4034] (AB109362)

All lanes:

Western blot - Anti-BNIP3 antibody [EPR4034] (ab109362) at 1/1000 dilution

Lane 1:

Jurkat cell lysate treated with etoposide at 10 µg

Lane 2:

Jurkat cell lysate at 10 µg

Lane 3:

SH-SY5Y cell lysate treated with camptothecin at 10 µg

Lane 4:

SH-SY5Y cell lysate at 10 µg

Lane 5:

MCF-7 cell lysate treated with Cocl2 at 10 µg

Predicted band size: 21 kDa

Observed band size: 30 kDa

false

Western blot - Anti-BNIP3 antibody [EPR4034] (AB109362)
  • WB

Unknown

Western blot - Anti-BNIP3 antibody [EPR4034] (AB109362)

Blocking and diluting buffer : 5% NFDM/TBST.

All lanes:

Western blot - Anti-BNIP3 antibody [EPR4034] (ab109362) at 1/2000 dilution

Lane 1:

Rat kidney tissue lysate at 20 µg

Lane 2:

Mouse kidney tissue lysate at 20 µg

Lane 3:

Mouse spleen tissue lysate at 20 µg

Secondary

All lanes:

Goat Anti-Rabbit IgG, (H+L), Peroxidase conjugated at 1/1000 dilution

Predicted band size: 21 kDa

Observed band size: 30 kDa

false

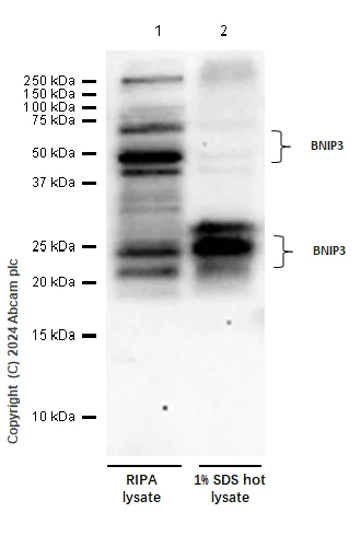
Western blot - Anti-BNIP3 antibody [EPR4034] (AB109362)
  • WB

Supplier Data

Western blot - Anti-BNIP3 antibody [EPR4034] (AB109362)

The observed band sizes are consistent with publications. Bands around 30 and 60kDa should be monomer and dimer, respectively. Other bands should be different migrating forms (PMID : 15375294, PMID : 36396625, PMID : 9396766, PMID : 36396625, PMID : 33459136 etc.). 1% SDS hot lysis method could help to get stronger monomer forms. The protocol used for this test is available under the Support & downloads section

All lanes:

Western blot - Anti-BNIP3 antibody [EPR4034] (ab109362) at 1/1000 dilution

Lane 1:

PC-12 (rat adrenal gland pheochromocytoma) whole cell lysate 20ug, prepared by RIPA method at 20 µg

Lane 2:

PC-12 (rat adrenal gland pheochromocytoma) whole cell lysate 20ug, prepared by 1% SDS hot method at 20 µg

Secondary

All lanes:

Western blot - Goat Anti-Rabbit IgG H&L (HRP) (<a href='/products/secondary-antibodies/goat-rabbit-igg-h-l-hrp-ab97051'>ab97051</a>) at 1/20000 dilution

false

Exposure time: 156s

関連する標識済み抗体及び組成の異なる製品 (7)

Key facts

宿主種

Rabbit

クローン性

Monoclonal

クローン番号

EPR4034

アイソタイプ

IgG

キャリアフリー

No

交差種

Mouse, Rat, Human

アプリケーション

ICC/IF, IHC-P, WB

applications

免疫原

The exact immunogen used to generate this antibody is proprietary information.

Reactivity data

{ "title": "Reactivity Data", "filters": { "stats": ["", "Species", "Dilution Info", "Notes"], "tabs": { "all-applications": {"fullname" : "All Applications", "shortname": "All Applications"}, "IHCP" : {"fullname" : "Immunohistochemistry (Formalin/PFA-fixed paraffin-embedded sections)", "shortname":"IHC-P"}, "WB" : {"fullname" : "Western blot", "shortname":"WB"}, "ICCIF" : {"fullname" : "Immunocytochemistry/ Immunofluorescence", "shortname":"ICC/IF"} }, "product-promise": { "all": "all", "testedAndGuaranteed": "tested", "guaranteed": "expected", "predicted": "predicted", "notRecommended": "not-recommended" } }, "values": { "Human": { "IHCP-species-checked": "testedAndGuaranteed", "IHCP-species-dilution-info": "1/100 - 1/250", "IHCP-species-notes": "<p>(Heat to 98°C, allow to cool for 10-20 minutes).</p><p><strong>For unpurified use at 1/50 - 1/100.</strong></p><p><a href='/products/primary-antibodies/rabbit-igg-monoclonal-epr25a-isotype-control-ab172730'>ab172730</a> - Rabbit monoclonal IgG, is suitable for use as an isotype control with this antibody.</p> Perform heat-mediated antigen retrieval before commencing with IHC staining protocol.", "WB-species-checked": "testedAndGuaranteed", "WB-species-dilution-info": "1/1000", "WB-species-notes": "<p><strong>For unpurified use at 1/1000 - 1/10000.</strong></p>", "ICCIF-species-checked": "testedAndGuaranteed", "ICCIF-species-dilution-info": "1/150", "ICCIF-species-notes": "<p><strong>For unpurified use at 1/100 - 1/250.</strong></p>" }, "Mouse": { "IHCP-species-checked": "guaranteed", "IHCP-species-dilution-info": "", "IHCP-species-notes": "", "WB-species-checked": "testedAndGuaranteed", "WB-species-dilution-info": "1/1000", "WB-species-notes": "<p><strong>For unpurified use at 1/1000 - 1/10000.</strong></p>", "ICCIF-species-checked": "guaranteed", "ICCIF-species-dilution-info": "", "ICCIF-species-notes": "" }, "Rat": { "IHCP-species-checked": "guaranteed", "IHCP-species-dilution-info": "", "IHCP-species-notes": "", "WB-species-checked": "testedAndGuaranteed", "WB-species-dilution-info": "1/1000", "WB-species-notes": "<p><strong>For unpurified use at 1/1000 - 1/10000.</strong></p>", "ICCIF-species-checked": "guaranteed", "ICCIF-species-dilution-info": "", "ICCIF-species-notes": "" } } }

製品の詳細

What is this antibody validated in?
Anti-BNIP3 antibody [EPR4034] (ab109362) is a rabbit recombinant monoclonal antibody and is validated for use in Western Blot (WB), Immunohistochemistry (IHC-P), Immunocytochemistry/immunofluorescence (ICC/IF) in Human, Mouse, Rat samples.

What is the molecular weight of BNIP3?
Anti-BNIP3 [EPR4034] (ab109362) specifically detects a band for BNIP3 (UniProt: Q12983) at a molecular weight of 22kDa.

Trusted by the scientific community
Anti-BNIP3 [EPR4034] (ab109362) was first used in a scientific publication in 2011 and has been cited over 70 times in peer-reviewed journals.

Trial sizes available!
Test your antibody or perform pre-screening before committing to a larger quantity. Sold in 10µl. Discover our selection of trial-size antibodies.

Specificity confirmed
The specificity of Anti-BNIP3 antibody [EPR4034] (ab109362) has been confirmed by Western blot testing in BNIP3 Knockout HAP1 cells.

Other related products
We have a range of other formats of antibody clone [EPR4034] also available for your convenience: ab109362, Carrier free - ab219609, Alexa Fluor® 488 - ab310999, Alexa Fluor® 647 - ab311123, Alexa Fluor® 594 - ab311755, Alexa Fluor® 568 - ab313035, Alexa Fluor® 555 - ab313236, Alexa Fluor® 750 - ab320946

Patented technology
Our RabMAb® technology is a patented hybridoma-based technology for making rabbit monoclonal antibodies. For details on our patents, please refer to RabMAb® patents.

What are the advantages of a recombinant monoclonal antibody?
This product is a recombinant monoclonal antibody, which offers several advantages including:

  • - High batch-to-batch consistency and reproducibility
  • - Improved sensitivity and specificity
  • - Long-term security of supply
  • - Animal-free batch production

For more information, read more on recombinant antibodies.

出荷温度及び保存条件

製品の状態
Liquid
精製方法
Affinity purification Protein A
バッファー組成
pH: 7.2 - 7.4 Preservative: 0.01% Sodium azide Constituents: PBS, 40% Glycerol (glycerin, glycerine), 0.05% BSA
出荷温度
Blue Ice
短期保存期間
1-2 weeks
短期保存温度
+4°C
長期保存温度
-20°C
分注に関する情報
Upon delivery aliquot
保管に関する情報
Stable for 12 months at -20°C

製品プロトコール

For this product, it's our understanding that no specific protocols are required. You can visit:

ターゲットの情報

Apoptosis-inducing protein that can overcome BCL2 suppression. May play a role in repartitioning calcium between the two major intracellular calcium stores in association with BCL2. Involved in mitochondrial quality control via its interaction with SPATA18/MIEAP : in response to mitochondrial damage, participates in mitochondrial protein catabolic process (also named MALM) leading to the degradation of damaged proteins inside mitochondria. The physical interaction of SPATA18/MIEAP, BNIP3 and BNIP3L/NIX at the mitochondrial outer membrane regulates the opening of a pore in the mitochondrial double membrane in order to mediate the translocation of lysosomal proteins from the cytoplasm to the mitochondrial matrix. Plays an important role in the calprotectin (S100A8/A9)-induced cell death pathway.
See full target information BNIP3

文献 (102)

Recent publications for all applications. Explore the full list and refine your search

Science advances 11:eadw4153 PubMed41061082

2025

TRAF6 integrates innate immune signals to regulate glucose homeostasis via Parkin-dependent and Parkin-independent mitophagy.

Applications

Unspecified application

Species

Unspecified reactive species

Elena Levi-D'Ancona,Emily M Walker,Jie Zhu,Yamei Deng,Vaibhav Sidarala,Ava M Stendahl,Emma C Reck,Belle A Henry-Kanarek,Anne C Lietzke,Biaoxin Chai,Mabelle B Pasmooij,Dre L Hubers,Venkatesha Basrur,Sankar Ghosh,Linsey Stiles,Alexey I Nesvizhskii,Orian S Shirihai,Scott A Soleimanpour

Aging 17:2089-2112 PubMed40848274

2025

Blood vessel and osteocyte networks concurrently rearrange during bone maturation and decline during aging in the femur of male mice.

Applications

Unspecified application

Species

Unspecified reactive species

Mathilde Palmier,Marlène Maître,Hélène Doat,Thierry Lesté-Lasserre,Claudine Boiziau,Delphine B Maurel

Scientific reports 15:23001 PubMed40594206

2025

Circadian gene BMAL1 ameliorates renal ischaemia-reperfusion injury in diabetic mice by enhancing mitophagy via the HIF-1/BNIP3 pathway.

Applications

Unspecified application

Species

Unspecified reactive species

Xinqi Deng,Yan Leng,Yonghong Xiong,Wenyuan Li,Wu Chen,Yuhang Yang,Bihan Wang,Siyuan Gong,Yunhao Wang,Baichuan Yang,Wei Li

General physiology and biophysics 44:317-326 PubMed40567074

2025

Worenine enhances the sensitivity of non-small cell lung cancer A549/DDP cells to cisplatin via HIF-1α/BNIP3-mediated mitophagy.

Applications

Unspecified application

Species

Unspecified reactive species

Guobiao Yang,Mengmin Xu,Mingliang Wu,Ya Zhang,Feiyan Yang

Journal of nanobiotechnology 23:446 PubMed40524154

2025

BPQDs@Lipo-YSA Nanoplatform Triggers Mitophagy via PRKN/AKT1 to Drive Immunogenic Cell Death in Lung Adenocarcinoma.

Applications

Unspecified application

Species

Unspecified reactive species

Li Ai,Zhijuan Liu,Ran Li,Ying Hu,Yongxia Li

Scientific reports 15:16341 PubMed40348802

2025

NLRP3 inflammasome inhibits mitophagy during the progression of temporal lobe epilepsy.

Applications

Unspecified application

Species

Unspecified reactive species

Mengqian Wu,Cong Yu,Fuli Wen,Yunfei Li,Xu Zhang,Yinzhou Wang,Xiaoqian Chen,Xingyong Chen

International journal of biological sciences 21:1894-1913 PubMed40083705

2025

Targeting ALG3/FOXD1/BNIP3 Axis Prevents Mitophagy and Gemcitabine Resistance of Nasopharyngeal Carcinoma.

Applications

Unspecified application

Species

Unspecified reactive species

Zhanwang Wang,Yi Jin,Dong He,Yuxing Zhu,Mengqing Xiao,Xiaoming Liu,Yaxin Cheng,Ke Cao

Chinese medicine 20:27 PubMed40016840

2025

Salidroside protects against myocardial infarction via activating MIF-mediated mitochondrial quality control.

Applications

Unspecified application

Species

Unspecified reactive species

Baiyang You,Jie Zhang,Chuyan Yang,Yaoshan Dun,Dake Qi,Yuqiong Long,Jing Cheng,Yuan Lin,Nanjiang Zhou,Tanghao Zeng,Jie Dong,Suixin Liu

Oncology research 33:443-464 PubMed39866225

2025

EMP2 promotes hepatocellular carcinoma proliferation and invasion by activating cellular autophagy.

Applications

Unspecified application

Species

Unspecified reactive species

Haiying Pang,Fengbo Wu,Y U Zhang,Nan Zhang,Chunting Wang,Qiu Li,G U He,Peng Zhang

Nature communications 16:743 PubMed39820041

2025

Mitochondrial segmentation and function prediction in live-cell images with deep learning.

Applications

Unspecified application

Species

Unspecified reactive species

Yang Ding,Jintao Li,Jiaxin Zhang,Panpan Li,Hua Bai,Bin Fang,Haixiao Fang,Kai Huang,Guangyu Wang,Cameron J Nowell,Nicolas H Voelcker,Bo Peng,Lin Li,Wei Huang
View all publications
websiteProtocolBooklet
en

Abcam product promise

当社は、高品質な試薬を通じてお客様の研究を力強くサポートすることをお約束いたします。ご使用いただく各段階で、常にお客様をサポートできる体制を整えております。万が一、製品が期待通りに機能しない場合は、「Abcam Product Promise」による当社保証制度に基づき、安心してご利用いただけます。
保証に関する詳細については利用規約をご確認ください。

Please note: All products are 'FOR RESEARCH USE ONLY. NOT FOR USE IN DIAGNOSTIC OR THERAPEUTIC PROCEDURES'.

For licensing inquiries, please contact partnerships@abcam.com