JavaScript is disabled in your browser. Please enable JavaScript to view this website.
AB322982

Biotin Anti-Tau (phospho S396) 抗体 [EPR2731]

Biotin Anti-Tau (phospho S396) antibody [EPR2731]

Be the first to review this product! Submit a review

|

(0 Publication)

Rabbit Recombinant Monoclonal TAU phospho S396 antibody - conjugated to Biotin. Suitable for IHC-P, WB and reacts with Mouse, Human, Rat samples.

別名を表示する

MAPTL, MTBT1, TAU, MAPT, Microtubule-associated protein tau, Neurofibrillary tangle protein, Paired helical filament-tau, PHF-tau

3 Images
Immunohistochemistry (Formalin/PFA-fixed paraffin-embedded sections) - Biotin Anti-Tau (phospho S396) antibody [EPR2731] (AB322982)
  • IHC-P

Lab

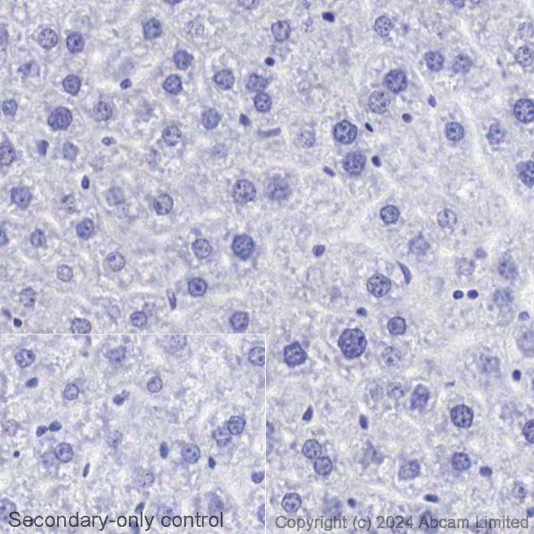
Immunohistochemistry (Formalin/PFA-fixed paraffin-embedded sections) - Biotin Anti-Tau (phospho S396) antibody [EPR2731] (AB322982)

Negative staining of Tau in a section of formalin-fixed paraffin-embedded mouse normal liver.

Performed on a Leica BONDTM system. The section was pre-treated using heat mediated antigen retrieval with EDTA buffer (pH 9.0, epitope retrieval solution 2) for 20mins, before blocking of endogenous biotin using ab64212. The section was then incubated with ab322982 at 5µg/ml, for 15 mins at room temperature and detected using an HRP conjugated ABC system. DAB was used as the chromogen. The section was then counterstained with haematoxylin and mounted with DPX. The inset secondary-only control image is taken from an identical assay without primary antibody.

For other IHC staining systems (automated and non-automated) customers should optimize variable parameters such as antigen retrieval conditions, primary antibody concentration and antibody incubation times.

Immunohistochemistry (Formalin/PFA-fixed paraffin-embedded sections) - Biotin Anti-Tau (phospho S396) antibody [EPR2731] (AB322982)
  • IHC-P

Lab

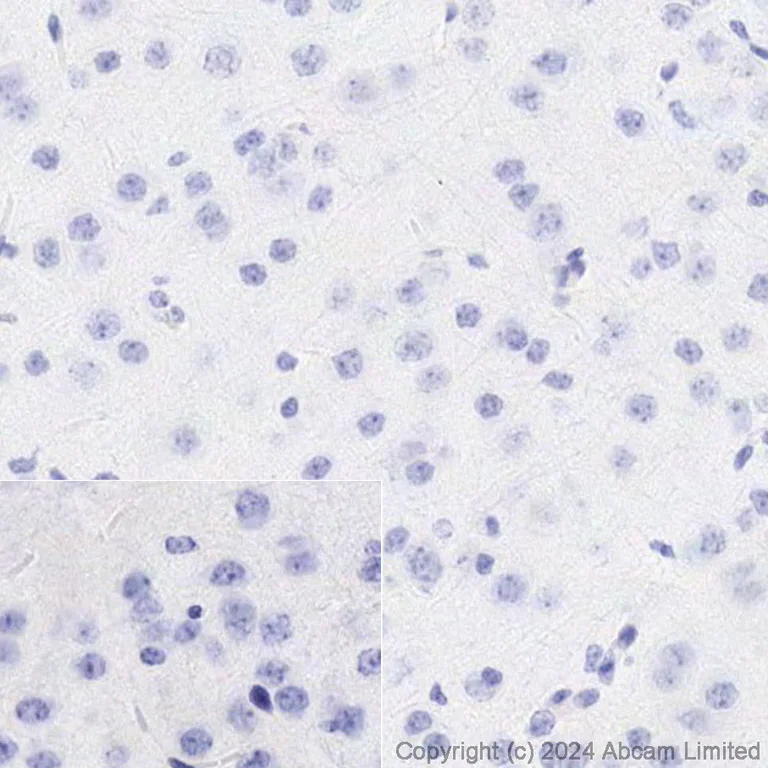
Immunohistochemistry (Formalin/PFA-fixed paraffin-embedded sections) - Biotin Anti-Tau (phospho S396) antibody [EPR2731] (AB322982)

Negative staining of Tau in a section of formalin-fixed paraffin-embedded mouse normal brain treated with alkaline phosphatase.

Performed on a Leica BONDTM system. The section was pre-treated using heat mediated antigen retrieval with EDTA buffer (pH 9.0, epitope retrieval solution 2) for 20mins, before blocking of endogenous biotin using ab64212. The section was then incubated with ab322982 at 5µg/ml, for 15 mins at room temperature and detected using an HRP conjugated ABC system. DAB was used as the chromogen. The section was then counterstained with haematoxylin and mounted with DPX. The inset secondary-only control image is taken from an identical assay without primary antibody.

For other IHC staining systems (automated and non-automated) customers should optimize variable parameters such as antigen retrieval conditions, primary antibody concentration and antibody incubation times.

Immunohistochemistry (Formalin/PFA-fixed paraffin-embedded sections) - Biotin Anti-Tau (phospho S396) antibody [EPR2731] (AB322982)
  • IHC-P

Lab

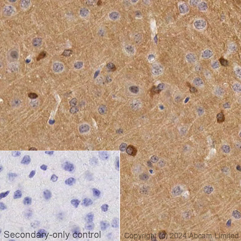
Immunohistochemistry (Formalin/PFA-fixed paraffin-embedded sections) - Biotin Anti-Tau (phospho S396) antibody [EPR2731] (AB322982)

IHC image of Tau staining in a section of formalin-fixed paraffin-embedded mouse normal brain.

Performed on a Leica BONDTM system. The section was pre-treated using heat mediated antigen retrieval with EDTA buffer (pH 9.0, epitope retrieval solution 2) for 20mins, before blocking of endogenous biotin using ab64212. The section was then incubated with ab322982 at 5µg/ml, for 15 mins at room temperature and detected using an HRP conjugated ABC system. DAB was used as the chromogen. The section was then counterstained with haematoxylin and mounted with DPX. The inset secondary-only control image is taken from an identical assay without primary antibody.

For other IHC staining systems (automated and non-automated) customers should optimize variable parameters such as antigen retrieval conditions, primary antibody concentration and antibody incubation times.

関連する標識済み抗体及び組成の異なる製品 (7)

  • 665 Alexa Fluor® 647

    Alexa Fluor® 647 Anti-Tau (phospho S396) antibody [EPR2731]

  • 565 Alexa Fluor® 555

    Alexa Fluor® 555 Anti-Tau (phospho S396) antibody [EPR2731]

  • 519 Alexa Fluor® 488

    Alexa Fluor® 488 Anti-Tau (phospho S396) antibody [EPR2731]

  • 617 Alexa Fluor® 594

    Alexa Fluor® 594 Anti-Tau (phospho S396) antibody [EPR2731]

  • 603 Alexa Fluor® 568

    Alexa Fluor® 568 Anti-Tau (phospho S396) antibody [EPR2731]

  • Unconjugated

    Anti-Tau (phospho S396) antibody [EPR2731]

  • Carrier free

    Anti-Tau (phospho S396) antibody [EPR2731] - BSA and Azide free

Key facts

宿主種

Rabbit

クローン性

Monoclonal

クローン番号

EPR2731

アイソタイプ

IgG

標識

Biotin

励起波長/蛍光波長
キャリアフリー

No

交差種

Mouse, Human, Mouse, Rat

アプリケーション

WB, IHC-P

applications

免疫原

The exact immunogen used to generate this antibody is proprietary information.

特異性

The mouse and rat recommendation is based on the WB results. We do not guarantee IHC-P for mouse and rat.

The specificity of this antibody refers to P10636-8.

Reactivity data

{ "title": "Reactivity Data", "filters": { "stats": ["", "Species", "Dilution Info", "Notes"], "tabs": { "all-applications": {"fullname" : "All Applications", "shortname": "All Applications"}, "IHCP" : {"fullname" : "Immunohistochemistry (Formalin/PFA-fixed paraffin-embedded sections)", "shortname":"IHC-P"}, "WB" : {"fullname" : "Western blot", "shortname":"WB"} }, "product-promise": { "all": "all", "testedAndGuaranteed": "tested", "guaranteed": "expected", "predicted": "predicted", "notRecommended": "not-recommended" } }, "values": { "Human": { "IHCP-species-checked": "guaranteed", "IHCP-species-dilution-info": "", "IHCP-species-notes": "<p></p>", "WB-species-checked": "guaranteed", "WB-species-dilution-info": "", "WB-species-notes": "<p></p>" }, "Mouse": { "IHCP-species-checked": "testedAndGuaranteed", "IHCP-species-dilution-info": "1/100", "IHCP-species-notes": "<p></p> Perform heat-mediated antigen retrieval with Tris/EDTA buffer pH 9.0 before commencing with IHC staining protocol.", "WB-species-checked": "guaranteed", "WB-species-dilution-info": "", "WB-species-notes": "<p></p>" }, "Rat": { "IHCP-species-checked": "predicted", "IHCP-species-dilution-info": "", "IHCP-species-notes": "", "WB-species-checked": "guaranteed", "WB-species-dilution-info": "", "WB-species-notes": "<p></p>" } } }

製品の詳細

Tau is a protein associated with several disease states, known collectively as tauopathies. The most well-known of these is Alzheimer's disease (AD), were tau exhibiting excessive phosphorylation, aggregating to form neurofibrillary tangles. The epitope defined by phosphorylation of S396 in tau is strongly implicated in AD-associated tau pathology, providing a valuable target for the development of therapeutic antibodies to capture tau and prevent spreading of tau pathology.

Patented technology
Our RabMAb® technology is a patented hybridoma-based technology for making rabbit monoclonal antibodies. For details on our patents, please refer to RabMAb® patents.

What are the advantages of a recombinant monoclonal antibody?
This product is a recombinant monoclonal antibody, which offers several advantages including:

  • - High batch-to-batch consistency and reproducibility
  • - Improved sensitivity and specificity
  • - Long-term security of supply
  • - Animal-free batch production

For more information, read more on recombinant antibodies.

出荷温度及び保存条件

製品の状態
Liquid
精製方法
Affinity purification Protein A
バッファー組成
pH: 7.4 Preservative: 0.02% Sodium azide Constituents: PBS, 30% Glycerol (glycerin, glycerine), 1% BSA
出荷温度
Blue Ice
短期保存期間
1-2 weeks
短期保存温度
+4°C
長期保存温度
-20°C
分注に関する情報
Upon delivery aliquot
保管に関する情報
Avoid freeze / thaw cycle|Store in the dark

補足情報

This supplementary information is collated from multiple sources and compiled automatically.

Tau also known as microtubule-associated protein Tau (MAPT) plays an important role in stabilizing microtubules in neuronal cells. Tau is primarily found in the central nervous system but also exists in peripheral neurons. Human Tau protein comes in six isoforms due to alternative splicing with molecular weights ranging from 48 kDa to 67 kDa. This protein predominantly locates in the axons of neurons where it maintains the stability of microtubule tracks necessary for axonal transport.
Biological function summary

Tau is involved in the assembly and stabilization of microtubules essential for maintaining neuronal structure. It interacts with microtubule-binding domains (MBD) to bind and bundle microtubules facilitating intracellular transport. Tau forms a part of the neuronal cytoskeleton complex working closely with other cytoskeletal proteins to preserve the proper axonal transport and function. Abnormally phosphorylated Tau often termed phospho-Tau disrupts this complex affecting microtubule stability.

Pathways

Tau has critical involvement in several signaling cascades such as the microtubule-binding and transport pathways. Glycogen synthase kinase 3 beta (GSK3β) and cyclin-dependent kinase 5 (CDK5) frequently phosphorylate Tau controlling its interaction with microtubules. Phosphorylated Tau accumulates leading to the formation of neurofibrillary tangles often observed in neurodegenerative conditions. Additionally Tau interacts with GAPDH impacting cellular energy regulation through potential pathway cross-talk involving oxidative stress responses.

Tau is closely associated with Alzheimer's disease and frontotemporal dementia. In Alzheimer's disease hyperphosphorylated Tau aggregates into paired helical filaments forming neurofibrillary tangles while similar aggregates are observed in frontotemporal dementia. In these conditions Tau links to amyloid precursor protein (APP) where misregulated phosphorylation-driven interactions contribute to neurodegeneration. Identifying phospho-Tau and its altered interactions with related proteins aids in understanding and potentially treating these disorders.

製品プロトコール

For this product, it's our understanding that no specific protocols are required. You can visit:

ターゲットの情報

Promotes microtubule assembly and stability, and might be involved in the establishment and maintenance of neuronal polarity (PubMed : 21985311). The C-terminus binds axonal microtubules while the N-terminus binds neural plasma membrane components, suggesting that tau functions as a linker protein between both (PubMed : 21985311, PubMed : 32961270). Axonal polarity is predetermined by TAU/MAPT localization (in the neuronal cell) in the domain of the cell body defined by the centrosome. The short isoforms allow plasticity of the cytoskeleton whereas the longer isoforms may preferentially play a role in its stabilization.
See full target information MAPT phospho S396

Abcam product promise

当社は、高品質な試薬を通じてお客様の研究を力強くサポートすることをお約束いたします。ご使用いただく各段階で、常にお客様をサポートできる体制を整えております。万が一、製品が期待通りに機能しない場合は、「Abcam Product Promise」による当社保証制度に基づき、安心してご利用いただけます。
保証に関する詳細については利用規約をご確認ください。

Please note: All products are 'FOR RESEARCH USE ONLY. NOT FOR USE IN DIAGNOSTIC OR THERAPEUTIC PROCEDURES'.

For licensing inquiries, please contact partnerships@abcam.com