JavaScript is disabled in your browser. Please enable JavaScript to view this website.
AB204681

Biotin Anti-NeuN 抗体 [EPR12763]

Biotin Anti-NeuN antibody [EPR12763] - Neuronal Marker

Be the first to review this product! Submit a review

|

(2 Publications)

Rabbit Recombinant Monoclonal NeuN antibody - conjugated to Biotin. Suitable for IHC-P and reacts with Mouse, Rat, Human samples. Cited in 2 publications.

別名を表示する

RNA binding protein fox-1 homolog 3, Fox-1 homolog C, Neuronal nuclei antigen, NeuN antigen, RBFOX3

3 Images
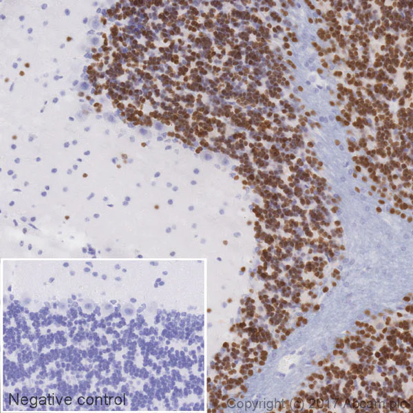
Immunohistochemistry (Formalin/PFA-fixed paraffin-embedded sections) - Biotin Anti-NeuN antibody [EPR12763] - Neuronal Marker (AB204681)
  • IHC-P

Lab

Immunohistochemistry (Formalin/PFA-fixed paraffin-embedded sections) - Biotin Anti-NeuN antibody [EPR12763] - Neuronal Marker (AB204681)

IHC image of NeuN staining in a section of formalin-fixed paraffin-embedded human cerebellum (normal), performed on a Leica BondTM system using the standard protocol B. The section was pre-treated using heat mediated antigen retrieval with sodium citrate buffer (pH6, epitope retrieval solution 1) for 20 mins, before blocking of endogenous biotin. The section was then incubated with ab204681, 1/100 dilution, for 15 mins at room temperature and detected using an HRP conjugated ABC system. DAB was used as the chromogen. The section was then counterstained with haematoxylin and mounted with DPX. The inset negative control image is taken from an identical assay without primary antibody.

For other IHC staining systems (automated and non-automated) customers should optimize variable parameters such as antigen retrieval conditions, primary antibody concentration and antibody incubation times.

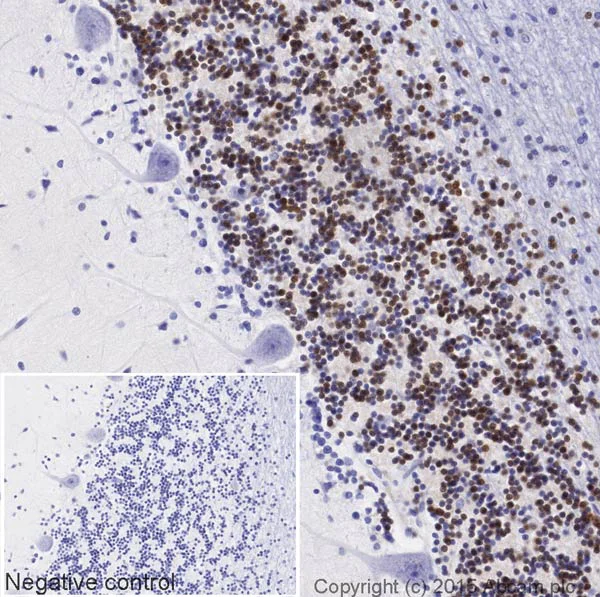
Immunohistochemistry (Formalin/PFA-fixed paraffin-embedded sections) - Biotin Anti-NeuN antibody [EPR12763] - Neuronal Marker (AB204681)
  • IHC-P

Lab

Immunohistochemistry (Formalin/PFA-fixed paraffin-embedded sections) - Biotin Anti-NeuN antibody [EPR12763] - Neuronal Marker (AB204681)

IHC image of NeuN staining in a section of formalin-fixed paraffin-embedded normal rat cerebellum, performed on a Leica BOND™. The section was pre-treated using heat mediated antigen retrieval with sodium citrate buffer (pH6, epitope retrieval solution 1) for 20mins, before blocking of endogenous biotin using ab64212. The section was then incubated with ab204681, 1/100 dilution, for 15 mins at room temperature and detected using an HRP conjugated ABC system. DAB was used as the chromogen. The section was then counterstained with haematoxylin and mounted with DPX. The inset negative control image is taken from an identical assay without primary antibody.

For other IHC staining systems (automated and non-automated) customers should optimize variable parameters such as antigen retrieval conditions, primary antibody concentration and antibody incubation times.

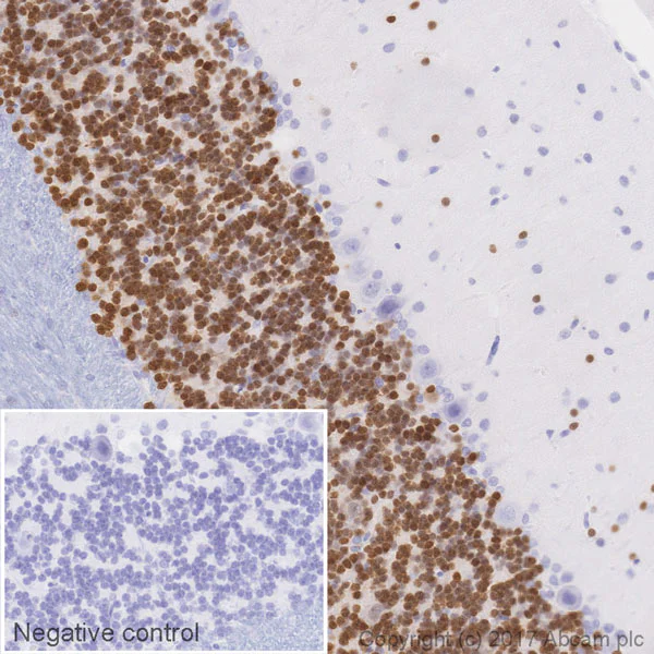
Immunohistochemistry (Formalin/PFA-fixed paraffin-embedded sections) - Biotin Anti-NeuN antibody [EPR12763] - Neuronal Marker (AB204681)
  • IHC-P

Lab

Immunohistochemistry (Formalin/PFA-fixed paraffin-embedded sections) - Biotin Anti-NeuN antibody [EPR12763] - Neuronal Marker (AB204681)

IHC image of NeuN staining in a section of formalin-fixed paraffin-embedded normal mouse cerebellum, performed on a Leica BOND™. The section was pre-treated using heat mediated antigen retrieval with sodium citrate buffer (pH6, epitope retrieval solution 1) for 20mins, before blocking of endogenous biotin using ab64212. The section was then incubated with ab204681, 1/100 dilution, for 15 mins at room temperature and detected using an HRP conjugated ABC system. DAB was used as the chromogen. The section was then counterstained with haematoxylin and mounted with DPX. The inset negative control image is taken from an identical assay without primary antibody.

For other IHC staining systems (automated and non-automated) customers should optimize variable parameters such as antigen retrieval conditions, primary antibody concentration and antibody incubation times.

関連する標識済み抗体及び組成の異なる製品 (8)

  • 519 Alexa Fluor® 488

    Alexa Fluor® 488 Anti-NeuN antibody [EPR12763] - Neuronal Marker

  • 519 FITC

    FITC Anti-NeuN antibody [EPR12763] - Neuronal Marker

  • 565 Alexa Fluor® 555

    Alexa Fluor® 555 Anti-NeuN antibody [EPR12763] - Neuronal Marker

  • 665 Alexa Fluor® 647

    Alexa Fluor® 647 Anti-NeuN antibody [EPR12763] - Neuronal Marker

  • 617 Alexa Fluor® 594

    Alexa Fluor® 594 Anti-NeuN antibody [EPR12763] - Neuronal Marker

  • 603 Alexa Fluor® 568

    Alexa Fluor® 568 Anti-NeuN antibody [EPR12763] - Neuronal Marker

  • Unconjugated

    Anti-NeuN antibody [EPR12763] - Neuronal Marker

  • Carrier free

    Anti-NeuN antibody [EPR12763] - BSA and Azide free

Key facts

宿主種

Rabbit

クローン性

Monoclonal

クローン番号

EPR12763

アイソタイプ

IgG

標識

Biotin

励起波長/蛍光波長
キャリアフリー

No

交差種

Mouse, Rat, Human

アプリケーション

IHC-P

applications

免疫原

The exact immunogen used to generate this antibody is proprietary information.

Reactivity data

{ "title": "Reactivity Data", "filters": { "stats": ["", "Species", "Dilution Info", "Notes"], "tabs": { "all-applications": {"fullname" : "All Applications", "shortname": "All Applications"}, "IHCP" : {"fullname" : "Immunohistochemistry (Formalin/PFA-fixed paraffin-embedded sections)", "shortname":"IHC-P"} }, "product-promise": { "all": "all", "testedAndGuaranteed": "tested", "guaranteed": "expected", "predicted": "predicted", "notRecommended": "not-recommended" } }, "values": { "Human": { "IHCP-species-checked": "testedAndGuaranteed", "IHCP-species-dilution-info": "1/50 - 1/100", "IHCP-species-notes": "<p></p>" }, "Mouse": { "IHCP-species-checked": "testedAndGuaranteed", "IHCP-species-dilution-info": "1/50 - 1/100", "IHCP-species-notes": "<p></p>" }, "Rat": { "IHCP-species-checked": "testedAndGuaranteed", "IHCP-species-dilution-info": "1/50 - 1/100", "IHCP-species-notes": "<p></p>" }, "Cat": { "IHCP-species-checked": "predicted", "IHCP-species-dilution-info": "", "IHCP-species-notes": "" }, "Common marmoset": { "IHCP-species-checked": "predicted", "IHCP-species-dilution-info": "", "IHCP-species-notes": "" }, "Dog": { "IHCP-species-checked": "predicted", "IHCP-species-dilution-info": "", "IHCP-species-notes": "" }, "Goat": { "IHCP-species-checked": "predicted", "IHCP-species-dilution-info": "", "IHCP-species-notes": "" }, "Sheep": { "IHCP-species-checked": "predicted", "IHCP-species-dilution-info": "", "IHCP-species-notes": "" }, "Zebrafish": { "IHCP-species-checked": "predicted", "IHCP-species-dilution-info": "", "IHCP-species-notes": "" } } }

製品の詳細

Patented technology
Our RabMAb® technology is a patented hybridoma-based technology for making rabbit monoclonal antibodies. For details on our patents, please refer to RabMAb® patents.

What are the advantages of a recombinant monoclonal antibody?
This product is a recombinant monoclonal antibody, which offers several advantages including:

  • - High batch-to-batch consistency and reproducibility
  • - Improved sensitivity and specificity
  • - Long-term security of supply
  • - Animal-free batch production

For more information, read more on recombinant antibodies.

出荷温度及び保存条件

製品の状態
Liquid
精製方法
Affinity purification Protein A
バッファー組成
pH: 7.4 Preservative: 0.02% Sodium azide Constituents: PBS, 30% Glycerol (glycerin, glycerine), 1% BSA
出荷温度
Blue Ice
短期保存期間
1-2 weeks
短期保存温度
+4°C
長期保存温度
-20°C
分注に関する情報
Upon delivery aliquot
保管に関する情報
Avoid freeze / thaw cycle|Store in the dark

補足情報

This supplementary information is collated from multiple sources and compiled automatically.

NeuN also known as Fox-3 or Rbfox3 serves as a vital neuronal marker and has a molecular weight of about 46-50 kDa. This nuclear protein is commonly found in neuronal cells in the central nervous system but it does not appear in glial cells. Researchers use NeuN staining as an effective tool to identify neurons in various brain regions due to its reliable expression pattern in mature neurons. The presence of NeuN can be detected using methods such as NeuN IHC (immunohistochemistry) and NeuN Western blot aiding in cellular and tissue analysis.
Biological function summary

NeuN plays an essential role in the regulation of RNA-binding influencing the splicing and stability of transcripts. It forms part of the complex network responsible for managing neuron-specific gene expression. By interacting with other RNA-binding proteins NeuN contributes to the fine-tuning needed for proper neuronal development and function. As a result NeuN helps maintain the health and activity of nerve cells allowing them to perform complex neurological tasks.

Pathways

NeuN has a significant role in neuronal differentiation and plasticity pathways. NeuN coordinates with elements of the Notch signaling pathway which is important for guiding cell fate decisions in the nervous system. It also interacts with related proteins like Fox proteins involved in splicing regulation. These pathways ensure neurons develop differentiate and function correctly within the nervous system's precise architecture.

Disruptions in NeuN expression link closely to neurodegenerative diseases such as Parkinson's disease and Amyotrophic lateral sclerosis (ALS). Abnormal NeuN expression correlates with neuron loss and dysfunction in these conditions with connectivity to other affected proteins like alpha-synuclein in Parkinson's disease. In ALS abnormal NeuN-staining patterns indicate neuronal cell death serving as a potential marker for disease progression. Studying these connections improves our understanding of disease mechanisms and aids in the development of targeted therapies.

製品プロトコール

For this product, it's our understanding that no specific protocols are required. You can visit:

ターゲットの情報

Pre-mRNA alternative splicing regulator. Regulates alternative splicing of RBFOX2 to enhance the production of mRNA species that are targeted for nonsense-mediated decay (NMD).
See full target information RBFOX3

文献 (2)

Recent publications for all applications. Explore the full list and refine your search

Frontiers in cell and developmental biology 8:614624 PubMed33585449

2021

Highly Sensitive and Multiplexed Protein Imaging With Cleavable Fluorescent Tyramide Reveals Human Neuronal Heterogeneity.

Applications

Unspecified application

Species

Unspecified reactive species

Renjie Liao,Manas Mondal,Christopher D Nazaroff,Diego Mastroeni,Paul D Coleman,Joshua Labaer,Jia Guo

International journal of molecular sciences 20: PubMed31835537

2019

Evidence for the Desmosomal Cadherin Desmoglein-3 in Regulating YAP and Phospho-YAP in Keratinocyte Responses to Mechanical Forces.

Applications

Unspecified application

Species

Unspecified reactive species

Jutamas Uttagomol,Usama Sharif Ahmad,Ambreen Rehman,Yunying Huang,Ana C Laly,Angray Kang,Jan Soetaert,Randy Chance,Muy-Teck Teh,John T Connelly,Hong Wan
View all publications

Abcam product promise

当社は、高品質な試薬を通じてお客様の研究を力強くサポートすることをお約束いたします。ご使用いただく各段階で、常にお客様をサポートできる体制を整えております。万が一、製品が期待通りに機能しない場合は、「Abcam Product Promise」による当社保証制度に基づき、安心してご利用いただけます。
保証に関する詳細については利用規約をご確認ください。

Please note: All products are 'FOR RESEARCH USE ONLY. NOT FOR USE IN DIAGNOSTIC OR THERAPEUTIC PROCEDURES'.

For licensing inquiries, please contact partnerships@abcam.com