JavaScript is disabled in your browser. Please enable JavaScript to view this website.
AB322985

Biotin Anti-Langerin 抗体 [EPR15863]

Biotin Anti-Langerin antibody [EPR15863]

Be the first to review this product! Submit a review

|

(0 Publication)

Rabbit Recombinant Monoclonal Langerin antibody - conjugated to Biotin. Suitable for IHC-P and reacts with Human samples.

別名を表示する

CD207, CLEC4K, C-type lectin domain family 4 member K, Langerin

2 Images
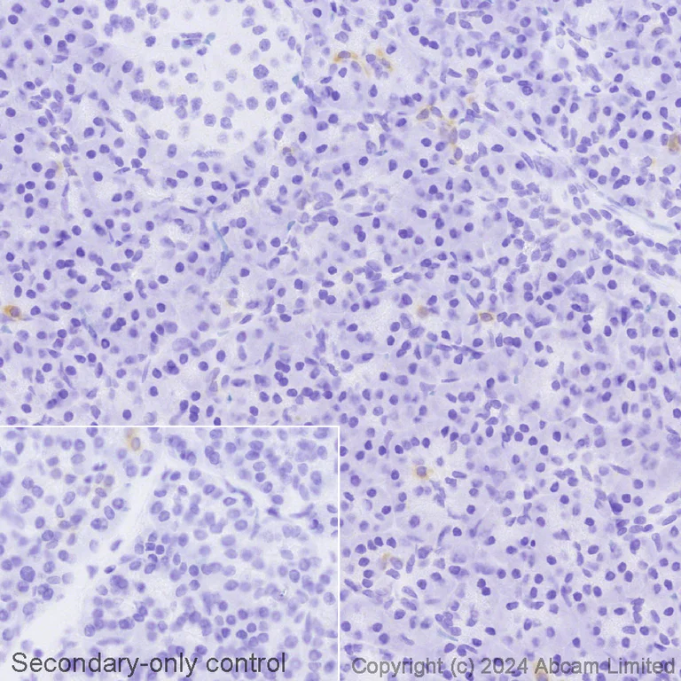
Immunohistochemistry (Formalin/PFA-fixed paraffin-embedded sections) - Biotin Anti-Langerin antibody [EPR15863] (AB322985)
  • IHC-P

Lab

Immunohistochemistry (Formalin/PFA-fixed paraffin-embedded sections) - Biotin Anti-Langerin antibody [EPR15863] (AB322985)

Negative staining of Langerin in a section of formalin-fixed paraffin-embedded human normal pancreas.

Performed on a Leica BONDTM system. The section was pre-treated using heat mediated antigen retrieval with EDTA buffer (pH 9.0, epitope retrieval solution 2) for 20mins, before blocking of endogenous biotin using ab64212. The section was then incubated with ab322985 at 5µg/ml, for 15 mins at room temperature and detected using an HRP conjugated ABC system. DAB was used as the chromogen. The section was then counterstained with haematoxylin and mounted with DPX. The inset secondary-only control image is taken from an identical assay without primary antibody.

For other IHC staining systems (automated and non-automated) customers should optimize variable parameters such as antigen retrieval conditions, primary antibody concentration and antibody incubation times.

*Tissue obtained from the Human Research Tissue Bank, supported by the NIHR Cambridge Biomedical Research Centre.

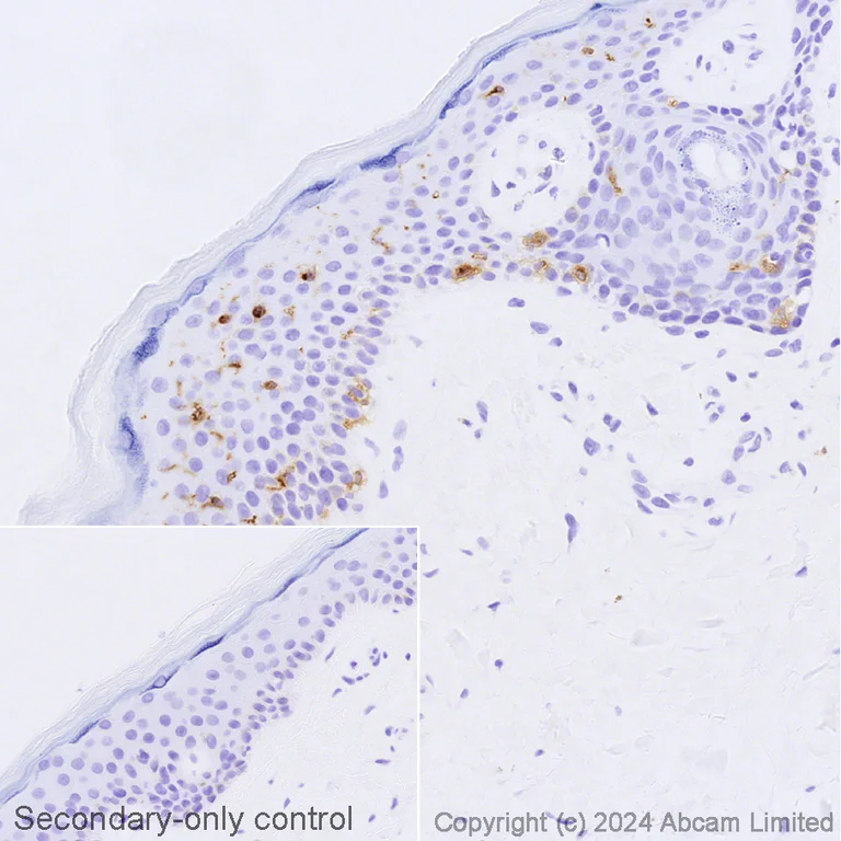
Immunohistochemistry (Formalin/PFA-fixed paraffin-embedded sections) - Biotin Anti-Langerin antibody [EPR15863] (AB322985)
  • IHC-P

Lab

Immunohistochemistry (Formalin/PFA-fixed paraffin-embedded sections) - Biotin Anti-Langerin antibody [EPR15863] (AB322985)

IHC image of Langerin staining in a section of formalin-fixed paraffin-embedded human normal skin*.

Performed on a Leica BONDTM system. The section was pre-treated using heat mediated antigen retrieval with EDTA buffer (pH 9.0, epitope retrieval solution 2) for 20mins, before blocking of endogenous biotin using ab64212. The section was then incubated with ab322985 at 5µg/ml, for 15 mins at room temperature and detected using an HRP conjugated ABC system. DAB was used as the chromogen. The section was then counterstained with haematoxylin and mounted with DPX. The inset secondary-only control image is taken from an identical assay without primary antibody.

For other IHC staining systems (automated and non-automated) customers should optimize variable parameters such as antigen retrieval conditions, primary antibody concentration and antibody incubation times.

*Tissue obtained from the Human Research Tissue Bank, supported by the NIHR Cambridge Biomedical Research Centre.

関連する標識済み抗体及び組成の異なる製品 (6)

Key facts

宿主種

Rabbit

クローン性

Monoclonal

クローン番号

EPR15863

アイソタイプ

IgG

標識

Biotin

励起波長/蛍光波長
キャリアフリー

No

交差種

Human

アプリケーション

IHC-P

applications

免疫原

The exact immunogen used to generate this antibody is proprietary information.

Reactivity data

{ "title": "Reactivity Data", "filters": { "stats": ["", "Species", "Dilution Info", "Notes"], "tabs": { "all-applications": {"fullname" : "All Applications", "shortname": "All Applications"}, "IHCP" : {"fullname" : "Immunohistochemistry (Formalin/PFA-fixed paraffin-embedded sections)", "shortname":"IHC-P"} }, "product-promise": { "all": "all", "testedAndGuaranteed": "tested", "guaranteed": "expected", "predicted": "predicted", "notRecommended": "not-recommended" } }, "values": { "Human": { "IHCP-species-checked": "testedAndGuaranteed", "IHCP-species-dilution-info": "1/100", "IHCP-species-notes": "<p></p> Perform heat-mediated antigen retrieval with Tris/EDTA buffer pH 9.0 before commencing with IHC staining protocol." } } }

製品の詳細

Patented technology
Our RabMAb® technology is a patented hybridoma-based technology for making rabbit monoclonal antibodies. For details on our patents, please refer to RabMAb® patents.

What are the advantages of a recombinant monoclonal antibody?
This product is a recombinant monoclonal antibody, which offers several advantages including:

  • - High batch-to-batch consistency and reproducibility
  • - Improved sensitivity and specificity
  • - Long-term security of supply
  • - Animal-free batch production

For more information, read more on recombinant antibodies.

出荷温度及び保存条件

製品の状態
Liquid
精製方法
Affinity purification Protein A
バッファー組成
pH: 7.4 Preservative: 0.02% Sodium azide Constituents: PBS, 30% Glycerol (glycerin, glycerine), 1% BSA
出荷温度
Blue Ice
短期保存期間
1-2 weeks
短期保存温度
+4°C
長期保存温度
-20°C
分注に関する情報
Upon delivery aliquot
保管に関する情報
Avoid freeze / thaw cycle|Store in the dark

補足情報

This supplementary information is collated from multiple sources and compiled automatically.

Langerin also known as CD207 is a type II transmembrane protein involved in the immune response. It weighs approximately 40 kDa and is expressed mainly in Langerhans cells a specialized subset of dendritic cells found in the skin and mucosal tissues. Langerin functions as a C-type lectin receptor with the ability to recognize and internalize glycosylated antigens. This target facilitates the capture and presentation of antigens enhancing the immune surveillance process.
Biological function summary

Langerin supports Langerhans cells in the recognition and processing of pathogens. The protein forms homotrimers enabling it to bind specific mannose-rich glycan structures on pathogens such as viruses and bacteria. Through its endocytic properties Langerin internalizes these antigens into Birbeck granules unique organelles in Langerhans cells promoting antigen processing and presentation to T cells therefore initiating immune responses.

Pathways

Langerin is critical for antigen uptake and processing via the lectin pathway of endocytosis. It interacts with other dendritic cell receptors and influences signaling pathways that enhance immune activation such as the Syk and Raf-1 kinase pathways. Langerin’s ability to internalize antigens connects it with proteins like DC-SIGN and MR which share roles in pathogen recognition and immune modulation.

Langerin plays a significant role in conditions like Langerhans Cell Histiocytosis (LCH) and HIV. In LCH abnormal proliferation of Langerhans cells occurs where Langerin expression helps in diagnosing and characterizing LCH lesions. In the context of HIV Langerin interacts with viral particles reducing their ability to infect immune cells. This protein also relates to other immune receptors like CD40 and CD86 which regulate immune responses in associated disorders.

製品プロトコール

For this product, it's our understanding that no specific protocols are required. You can visit:

ターゲットの情報

Calcium-dependent lectin displaying mannose-binding specificity. Induces the formation of Birbeck granules (BGs); is a potent regulator of membrane superimposition and zippering. Binds to sulfated as well as mannosylated glycans, keratan sulfate (KS) and beta-glucans. Facilitates uptake of antigens and is involved in the routing and/or processing of antigen for presentation to T cells. Major receptor on primary Langerhans cells for Candida species, Saccharomyces species, and Malassezia furfur. Protects against human immunodeficiency virus-1 (HIV-1) infection. Binds to high-mannose structures present on the envelope glycoprotein which is followed by subsequent targeting of the virus to the Birbeck granules leading to its rapid degradation.
See full target information CD207

Abcam product promise

当社は、高品質な試薬を通じてお客様の研究を力強くサポートすることをお約束いたします。ご使用いただく各段階で、常にお客様をサポートできる体制を整えております。万が一、製品が期待通りに機能しない場合は、「Abcam Product Promise」による当社保証制度に基づき、安心してご利用いただけます。
保証に関する詳細については利用規約をご確認ください。

Please note: All products are 'FOR RESEARCH USE ONLY. NOT FOR USE IN DIAGNOSTIC OR THERAPEUTIC PROCEDURES'.

For licensing inquiries, please contact partnerships@abcam.com