JavaScript is disabled in your browser. Please enable JavaScript to view this website.
AB182562

Anti-BIN1 抗体 [EPR13463]

Anti-BIN1 antibody [EPR13463]

  • BOND RX™ Validated
  • 20ul selling size
  • RabMAb
  • Recombinant
  • 詳細を見る

5

(1 Review)

|

(8 Publications)

Rabbit Recombinant Monoclonal BIN1 antibody. Suitable for IP, WB, IHC-P, ICC/IF, Flow Cyt (Intra) and reacts with Human samples. Cited in 8 publications.

別名を表示する

AMPHL, BIN1, Myc box-dependent-interacting protein 1, Amphiphysin II, Amphiphysin-like protein, Box-dependent myc-interacting protein 1, Bridging integrator 1

6 Images
Immunocytochemistry/ Immunofluorescence - Anti-BIN1 antibody [EPR13463] (AB182562)
  • ICC/IF

Unknown

Immunocytochemistry/ Immunofluorescence - Anti-BIN1 antibody [EPR13463] (AB182562)

Immunocytochemistry/ Immunofluorescence analysis of HeLa (Human cervix adenocarcinoma epithelial cell) cells labeling BIN1 with purified ab182562 at 1 : 250 dilution (1 µg/ml). Cells were fixed in 4% Paraformaldehyde and permeabilized with 0.1% tritonX-100. Cells were counterstained with ab195889 Anti-alpha Tubulin antibody [DM1A] - Microtubule Marker (Alexa Fluor® 594) 1 : 200 (2.5 µg/ml). Goat anti rabbit IgG (Alexa Fluor® 488, ab150077) was used as the secondary antibody at 1 : 1000 (2 µg/ml) dilution. DAPI (blue) was used as nuclear counterstain. PBS instead of the primary antibody was used as the secondary antibody only control.

Flow Cytometry (Intracellular) - Anti-BIN1 antibody [EPR13463] (AB182562)
  • Flow Cyt (Intra)

Unknown

Flow Cytometry (Intracellular) - Anti-BIN1 antibody [EPR13463] (AB182562)

Intracellular Flow Cytometry analysis of HeLa (Human cervix adenocarcinoma epithelial cell) cells labeling BIN1 with purified ab182562 at 1/30 dilution (10 μg/ml) (Red). Cells were fixed with 4% Paraformaldehyde and permeabilised with 90% Methanol. A Goat anti rabbit IgG (Alexa Fluor® 488, ab150077) secondary antibody was used at 1/2000. Isotype control - Rabbit monoclonal IgG (Black). Unlabeled control - Cell without incubation with primary antibody and secondary antibody (Blue).

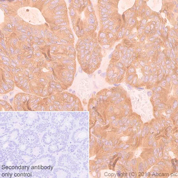
Immunohistochemistry (Formalin/PFA-fixed paraffin-embedded sections) - Anti-BIN1 antibody [EPR13463] (AB182562)
  • IHC-P

Unknown

Immunohistochemistry (Formalin/PFA-fixed paraffin-embedded sections) - Anti-BIN1 antibody [EPR13463] (AB182562)

Immunohistochemistry (Formalin/PFA-fixed paraffin-embedded sections) analysis of human ovarian carcinoma tissue sections labeling BIN1 with purified ab182562 at 1/500 dilution (0.52 μg/ml). Heat mediated antigen retrieval was performed using Bond™ Epitope Retrieval Solution 2 (pH 9.0). Rabbit specific IHC polymer detection kit HRP/DAB (ab209101) was used as the secondary antibody. Negative control : PBS instead of the primary antibody. Hematoxylin was used as a counterstain.

Immunoprecipitation - Anti-BIN1 antibody [EPR13463] (AB182562)
  • IP

Unknown

Immunoprecipitation - Anti-BIN1 antibody [EPR13463] (AB182562)

ab182562 (purified) at 1/20 dilution (1 µg) immunoprecipitating BIN1 in HeLa whole cell lysate.
Lane 1 (input) : HeLa (Human cervix adenocarcinoma epithelial cell) whole cell lysate 10 µg
Lane 2 (+) : ab182562 & HeLa whole cell lysate
Lane 3 (-) : Rabbit monoclonal IgG (ab172730) instead of ab182562 in HeLa whole cell lysate
For western blotting, VeriBlot for IP Detection Reagent (HRP) (ab131366) was at 1/1000 dilution.
Blocking and diluting buffer : 5% NFDM/TBST.

All lanes:

Immunoprecipitation - Anti-BIN1 antibody [EPR13463] (ab182562)

Predicted band size: 65 kDa

false

Western blot - Anti-BIN1 antibody [EPR13463] (AB182562)
  • WB

Lab

Western blot - Anti-BIN1 antibody [EPR13463] (AB182562)

Exposure times : Lane 1 : 180 seconds; Lane 2 : 20 seconds; Lane 3 : 10 seconds.

Blocking/Dilution buffer : 5%NFDM/TBST.

All lanes:

Western blot - Anti-BIN1 antibody [EPR13463] (ab182562) at 1/5000 dilution

Lane 1:

A431 (Human epidermoid carcinoma epithelial cell) whole cell lysate at 15 µg

Lane 2:

HeLa (Human cervix adenocarcinoma epithelial cell) whole cell lysate at 15 µg

Lane 3:

U-87 MG (Human glioblastoma-astrocytoma epithelial cell) whole cell lysate at 15 µg

Secondary

All lanes:

Western blot - Goat Anti-Rabbit IgG H&L (HRP) (<a href='/products/secondary-antibodies/goat-rabbit-igg-h-l-hrp-ab97051'>ab97051</a>) at 1/20000 dilution

Predicted band size: 65 kDa

false

Western blot - Anti-BIN1 antibody [EPR13463] (AB182562)
  • WB

Lab

Western blot - Anti-BIN1 antibody [EPR13463] (AB182562)

The multiple bands are isoforms produced by alternative splicing

All lanes:

Western blot - Anti-BIN1 antibody [EPR13463] (ab182562) at 1/10000 dilution

Lane 1:

Human brain lysates at 15 µg

Lane 2:

Human muscle lysates at 15 µg

Secondary

All lanes:

Goat Anti-Rabbit IgG (HRP) with minimal cross-reactivity with human IgG at 1/2000 dilution

Predicted band size: 65 kDa

Observed band size: 50-65 kDa

false

関連する標識済み抗体及び組成の異なる製品 (1)

  • Carrier free

    Anti-BIN1 antibody [EPR13463] - BSA and Azide free

Key facts

宿主種

Rabbit

クローン性

Monoclonal

クローン番号

EPR13463

アイソタイプ

IgG

キャリアフリー

No

交差種

Human

アプリケーション

IHC-P, Flow Cyt (Intra), WB, ICC/IF, IP

applications

免疫原

The exact immunogen used to generate this antibody is proprietary information.

Reactivity data

{ "title": "Reactivity Data", "filters": { "stats": ["", "Species", "Dilution Info", "Notes"], "tabs": { "all-applications": {"fullname" : "All Applications", "shortname": "All Applications"}, "IP" : {"fullname" : "Immunoprecipitation", "shortname":"IP"}, "WB" : {"fullname" : "Western blot", "shortname":"WB"}, "IHCP" : {"fullname" : "Immunohistochemistry (Formalin/PFA-fixed paraffin-embedded sections)", "shortname":"IHC-P"}, "ICCIF" : {"fullname" : "Immunocytochemistry/ Immunofluorescence", "shortname":"ICC/IF"}, "FlowCytIntra" : {"fullname" : "Flow Cytometry (Intracellular)", "shortname":"Flow Cyt (Intra)"} }, "product-promise": { "all": "all", "testedAndGuaranteed": "tested", "guaranteed": "expected", "predicted": "predicted", "notRecommended": "not-recommended" } }, "values": { "Human": { "IP-species-checked": "testedAndGuaranteed", "IP-species-dilution-info": "1/20 - 1/40", "IP-species-notes": "<p></p>", "WB-species-checked": "testedAndGuaranteed", "WB-species-dilution-info": "1/1000 - 1/10000", "WB-species-notes": "<p></p>", "IHCP-species-checked": "testedAndGuaranteed", "IHCP-species-dilution-info": "1/100 - 1/500", "IHCP-species-notes": "<p>Perform heat mediated antigen retrieval using Bond™ Epitope Retrieval Solution 2 (pH 9.0).</p>", "ICCIF-species-checked": "testedAndGuaranteed", "ICCIF-species-dilution-info": "1/250", "ICCIF-species-notes": "<p></p>", "FlowCytIntra-species-checked": "testedAndGuaranteed", "FlowCytIntra-species-dilution-info": "1/30 - 1/40", "FlowCytIntra-species-notes": "<p><a href='/products/primary-antibodies/rabbit-igg-monoclonal-epr25a-isotype-control-ab172730'>ab172730</a> - Rabbit monoclonal IgG, is suitable for use as an isotype control with this antibody.</p>" } } }

製品の詳細

Patented technology
Our RabMAb® technology is a patented hybridoma-based technology for making rabbit monoclonal antibodies. For details on our patents, please refer to RabMAb® patents.

What are the advantages of a recombinant monoclonal antibody?
This product is a recombinant monoclonal antibody, which offers several advantages including:

  • - High batch-to-batch consistency and reproducibility
  • - Improved sensitivity and specificity
  • - Long-term security of supply
  • - Animal-free batch production

For more information, read more on recombinant antibodies.

出荷温度及び保存条件

製品の状態
Liquid
精製方法
Affinity purification Protein A
バッファー組成
pH: 7.2 Preservative: 0.01% Sodium azide Constituents: PBS, 40% Glycerol (glycerin, glycerine), 0.05% BSA
出荷温度
Blue Ice
短期保存期間
1-2 weeks
短期保存温度
+4°C
長期保存温度
-20°C
分注に関する情報
Upon delivery aliquot
保管に関する情報
Avoid freeze / thaw cycle

製品プロトコール

For this product, it's our understanding that no specific protocols are required. You can visit:

ターゲットの情報

Is a key player in the control of plasma membrane curvature, membrane shaping and membrane remodeling. Required in muscle cells for the formation of T-tubules, tubular invaginations of the plasma membrane that function in depolarization-contraction coupling (PubMed : 24755653). Is a negative regulator of endocytosis (By similarity). Is also involved in the regulation of intracellular vesicles sorting, modulation of BACE1 trafficking and the control of amyloid-beta production (PubMed : 27179792). In neuronal circuits, endocytosis regulation may influence the internalization of PHF-tau aggregates (By similarity). May be involved in the regulation of MYC activity and the control cell proliferation (PubMed : 8782822). Has actin bundling activity and stabilizes actin filaments against depolymerization in vitro (PubMed : 28893863).
See full target information BIN1

文献 (8)

Recent publications for all applications. Explore the full list and refine your search

Nucleic acids research 50:5313-5334 PubMed35544276

2022

Definition of germ layer cell lineage alternative splicing programs reveals a critical role for Quaking in specifying cardiac cell fate.

Applications

Unspecified application

Species

Unspecified reactive species

W Samuel Fagg,Naiyou Liu,Ulrich Braunschweig,Karen Larissa Pereira de Castro,Xiaoting Chen,Frederick S Ditmars,Steven G Widen,John Paul Donohue,Katalin Modis,William K Russell,Jeffrey H Fair,Matthew T Weirauch,Benjamin J Blencowe,Mariano A Garcia-Blanco

Acta neuropathologica communications 10:4 PubMed34998435

2022

The Alzheimer susceptibility gene BIN1 induces isoform-dependent neurotoxicity through early endosome defects.

Applications

Unspecified application

Species

Unspecified reactive species

Erwan Lambert,Orthis Saha,Bruna Soares Landeira,Ana Raquel Melo de Farias,Xavier Hermant,Arnaud Carrier,Alexandre Pelletier,Johanna Gadaut,Lindsay Davoine,Cloé Dupont,Philippe Amouyel,Amélie Bonnefond,Frank Lafont,Farida Abdelfettah,Patrik Verstreken,Julien Chapuis,Nicolas Barois,Fabien Delahaye,Bart Dermaut,Jean-Charles Lambert,Marcos R Costa,Pierre Dourlen

Nature genetics 53:861-868 PubMed34083789

2021

A map of transcriptional heterogeneity and regulatory variation in human microglia.

Applications

Unspecified application

Species

Unspecified reactive species

Adam M H Young,Natsuhiko Kumasaka,Fiona Calvert,Timothy R Hammond,Andrew Knights,Nikolaos Panousis,Jun Sung Park,Jeremy Schwartzentruber,Jimmy Liu,Kousik Kundu,Michael Segel,Natalia A Murphy,Christopher E McMurran,Harry Bulstrode,Jason Correia,Karol P Budohoski,Alexis Joannides,Mathew R Guilfoyle,Rikin Trivedi,Ramez Kirollos,Robert Morris,Matthew R Garnett,Ivan Timofeev,Ibrahim Jalloh,Katherine Holland,Richard Mannion,Richard Mair,Colin Watts,Stephen J Price,Peter J Kirkpatrick,Thomas Santarius,Edward Mountjoy,Maya Ghoussaini,Nicole Soranzo,Omer A Bayraktar,Beth Stevens,Peter J Hutchinson,Robin J M Franklin,Daniel J Gaffney

NPJ aging and mechanisms of disease 7:2 PubMed33398016

2021

Differential transcript usage unravels gene expression alterations in Alzheimer's disease human brains.

Applications

Unspecified application

Species

Unspecified reactive species

Diego Marques-Coelho,Lukas da Cruz Carvalho Iohan,Ana Raquel Melo de Farias,Amandine Flaig,Jean-Charles Lambert,Marcos Romualdo Costa

Life science alliance 4: PubMed33257475

2020

Identification and characterization of distinct brown adipocyte subtypes in C57BL/6J mice.

Applications

Unspecified application

Species

Unspecified reactive species

Ruth Karlina,Dominik Lutter,Viktorian Miok,David Fischer,Irem Altun,Theresa Schöttl,Kenji Schorpp,Andreas Israel,Cheryl Cero,James W Johnson,Ingrid Kapser-Fischer,Anika Böttcher,Susanne Keipert,Annette Feuchtinger,Elisabeth Graf,Tim Strom,Axel Walch,Heiko Lickert,Thomas Walzthoeni,Matthias Heinig,Fabian J Theis,Cristina García-Cáceres,Aaron M Cypess,Siegfried Ussar

Aging 12:14490-14505 PubMed32693388

2020

RNA-seq analysis of the key long noncoding RNAs and mRNAs related to cognitive impairment after cardiac arrest and cardiopulmonary resuscitation.

Applications

Unspecified application

Species

Unspecified reactive species

Chan Chen,Changliang Liu,Zhendong Niu,Ming Li,Yuhan Zhang,Rui Gao,Hai Chen,Qiao Wang,Shu Zhang,Ronghua Zhou,Lu Gan,Zheng Zhang,Tao Zhu,Hai Yu,Jin Liu

Cell reports 30:3520-3535.e7 PubMed32160554

2020

Neuronal BIN1 Regulates Presynaptic Neurotransmitter Release and Memory Consolidation.

Applications

Unspecified application

Species

Unspecified reactive species

Pierre De Rossi,Toshihiro Nomura,Robert J Andrew,Nicolas Y Masse,Vandana Sampathkumar,Timothy F Musial,Ari Sudwarts,Aleksandra J Recupero,Thomas Le Metayer,Mitchell T Hansen,Ha-Na Shim,Sofia V Krause,David J Freedman,Vytas P Bindokas,Narayanan Kasthuri,Daniel A Nicholson,Anis Contractor,Gopal Thinakaran

Nature communications 10:172 PubMed30635567

2019

The splicing factor RBM25 controls MYC activity in acute myeloid leukemia.

Applications

Unspecified application

Species

Unspecified reactive species

Ying Ge,Mikkel Bruhn Schuster,Sachin Pundhir,Nicolas Rapin,Frederik Otzen Bagger,Nikos Sidiropoulos,Nadia Hashem,Bo Torben Porse
View all publications

Abcam product promise

当社は、高品質な試薬を通じてお客様の研究を力強くサポートすることをお約束いたします。ご使用いただく各段階で、常にお客様をサポートできる体制を整えております。万が一、製品が期待通りに機能しない場合は、「Abcam Product Promise」による当社保証制度に基づき、安心してご利用いただけます。
保証に関する詳細については利用規約をご確認ください。

Please note: All products are 'FOR RESEARCH USE ONLY. NOT FOR USE IN DIAGNOSTIC OR THERAPEUTIC PROCEDURES'.

For licensing inquiries, please contact partnerships@abcam.com