JavaScript is disabled in your browser. Please enable JavaScript to view this website.
AB7888

Anti-Bim 抗体

Anti-Bim antibody

Be the first to review this product! Submit a review

|

(22 Publications)

Rabbit Polyclonal Bim antibody. Suitable for WB, IHC-P, ICC/IF and reacts with Rat, Human samples. Cited in 22 publications. Immunogen corresponding to Synthetic Peptide within Human BCL2L11 aa 1-50.

別名を表示する

BIM, BCL2L11, Bcl-2-like protein 11, Bcl2-L-11, Bcl2-interacting mediator of cell death

5 Images
Western blot - Anti-Bim antibody (AB7888)
  • WB

Supplier Data

Western blot - Anti-Bim antibody (AB7888)

All lanes:

Western blot - Anti-Bim antibody (ab7888) at 0.5 µg/mL

Lane 1:

Human thymus tissue lysate at 15 µg

Lane 2:

Human colon tissue lysate at 15 µg

Secondary

All lanes:

Goat anti-rabbit IgG HRP conjugate at 1/10000 dilution

Predicted band size: 22 kDa

false

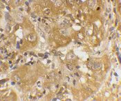
Immunohistochemistry (Formalin/PFA-fixed paraffin-embedded sections) - Anti-Bim antibody (AB7888)
  • IHC-P

Unknown

Immunohistochemistry (Formalin/PFA-fixed paraffin-embedded sections) - Anti-Bim antibody (AB7888)

ab7888 at 20μg/ml staining Bim in human cancer cells by IHC-P

Western blot - Anti-Bim antibody (AB7888)
  • WB

Supplier Data

Western blot - Anti-Bim antibody (AB7888)

All lanes:

Western blot - Anti-Bim antibody (ab7888) at 0.5 µg/mL

All lanes:

Rat Myeloma Cell lysate at 15 µg

Secondary

All lanes:

Goat anti-rabbit IgG HRP conjugate at 1/10000 dilution

Predicted band size: 22 kDa

false

Immunocytochemistry/ Immunofluorescence - Anti-Bim antibody (AB7888)
  • ICC/IF

Supplier Data

Immunocytochemistry/ Immunofluorescence - Anti-Bim antibody (AB7888)

Immunocytochemistry/ Immunofluorescence analysis of 4% paraformaldehyde fixed human K562 cells labeling Bim with ab7888 at 20 μg/mL. Goat anti-rabbit IgG secondary antibody at 1/500 dilution was used as the secondry antibody.

Immunocytochemistry/ Immunofluorescence - Anti-Bim antibody (AB7888)
  • ICC/IF

Unknown

Immunocytochemistry/ Immunofluorescence - Anti-Bim antibody (AB7888)

ICC/IF image of ab7888 stained HepG2 cells. The cells were 4% formaldehyde (10 min) and then incubated in 1%BSA / 10% normal goat serum / 0.3M glycine in 0.1% PBS-Tween for 1h to permeabilise the cells and block non-specific protein-protein interactions. The cells were then incubated with the antibody (ab7888, 5µg/ml) overnight at +4°C. The secondary antibody (green) was ab96899 Dylight 488 goat anti-rabbit IgG (H+L) used at a 1/250 dilution for 1h. Alexa Fluor® 594 WGA was used to label plasma membranes (red) at a 1/200 dilution for 1h. DAPI was used to stain the cell nuclei (blue) at a concentration of 1.43µM.

Key facts

宿主種

Rabbit

クローン性

Polyclonal

アイソタイプ

IgG

キャリアフリー

No

交差種

Rat, Human

アプリケーション

IHC-P, ICC/IF, WB

applications

免疫原

Synthetic Peptide within Human BCL2L11 aa 1-50. The exact immunogen used to generate this antibody is proprietary information.

O43521

Reactivity data

{ "title": "Reactivity Data", "filters": { "stats": ["", "Species", "Dilution Info", "Notes"], "tabs": { "all-applications": {"fullname" : "All Applications", "shortname": "All Applications"}, "WB" : {"fullname" : "Western blot", "shortname":"WB"}, "IHCP" : {"fullname" : "Immunohistochemistry (Formalin/PFA-fixed paraffin-embedded sections)", "shortname":"IHC-P"}, "ICCIF" : {"fullname" : "Immunocytochemistry/ Immunofluorescence", "shortname":"ICC/IF"} }, "product-promise": { "all": "all", "testedAndGuaranteed": "tested", "guaranteed": "expected", "predicted": "predicted", "notRecommended": "not-recommended" } }, "values": { "Human": { "WB-species-checked": "testedAndGuaranteed", "WB-species-dilution-info": "1 µg/mL", "WB-species-notes": "<p></p>", "IHCP-species-checked": "testedAndGuaranteed", "IHCP-species-dilution-info": "20 µg/mL", "IHCP-species-notes": "<p></p>", "ICCIF-species-checked": "testedAndGuaranteed", "ICCIF-species-dilution-info": "", "ICCIF-species-notes": "<p></p>" }, "Rat": { "WB-species-checked": "testedAndGuaranteed", "WB-species-dilution-info": "1 µg/mL", "WB-species-notes": "<p></p>", "IHCP-species-checked": "guaranteed", "IHCP-species-dilution-info": "", "IHCP-species-notes": "", "ICCIF-species-checked": "guaranteed", "ICCIF-species-dilution-info": "", "ICCIF-species-notes": "" } } }

下記製品もご検討ください

AB32158

Anti-Bim antibody [Y36]

4
6 Reviews
製品ページを見る
こちらの製品も推奨する理由

私たちは、より高品質な製品をお届けするために、製品構成を常に改善しています。今回ご紹介する代替製品は、性能の向上、使いやすさや利便性の向上、またはより早くお届けできる点などを踏まえて選定しています。

出荷温度及び保存条件

製品の状態
Liquid
精製方法
Affinity purification
バッファー組成
pH: 7.2 Preservative: 0.02% Sodium azide
出荷温度
Blue Ice
短期保存温度
+4°C
長期保存温度
-20°C
分注に関する情報
Upon delivery aliquot
保管に関する情報
Avoid freeze / thaw cycle

補足情報

This supplementary information is collated from multiple sources and compiled automatically.

Bim also known as Bcl-2-interacting mediator of cell death is an important pro-apoptotic protein within the Bcl-2 family. It has a molecular weight of approximately 23 kDa. Bim is expressed in various tissues including the immune system nervous system and lymphoid tissues. It exists in multiple isoforms such as BimEL BimL and BimS due to alternative splicing. Bim's interaction with cellular membranes allows it to regulate apoptotic processes through mitochondrial pathways effectively.
Biological function summary

Bim regulates apoptosis by binding to pro-survival proteins like Bcl-2 and Bcl-xL releasing pro-apoptotic factors from mitochondria and activating caspases. Bim acts as part of the apoptosome complex and influences cell death regulation significantly. By promoting cytochrome c release from mitochondria Bim initiates a cascade of events leading to cell apoptosis. This regulation is vital in maintaining the balance between cell survival and death necessary for normal development and tissue homeostasis.

Pathways

Bim plays a critical role in the intrinsic apoptotic pathway. This pathway involves mitochondrial outer membrane permeabilization where Bim interacts with several Bcl-2 family proteins such as Bax and Bak to induce apoptosis. The modulation of Bim expression and activity is influenced by growth factor signaling pathways such as the PI3K-Akt pathway which affects Bim phosphorylation leading to its inactivation and subsequent degradation. Therefore Bim acts as an important node linking survival signals and apoptotic machinery.

Bim dysregulation has been implicated in conditions like cancer and autoimmune diseases. In certain cancers reduced Bim expression can result in unchecked cell proliferation and resistance to apoptosis. Conversely in autoimmune disorders overactivity of Bim may lead to excessive immune cell apoptosis contributing to disease pathogenesis. Bim's interactions with proteins like Bcl-2 and Bcl-xL are significant in cancer therapy as targeting these interactions can help overcome resistance to apoptosis in cancer cells improving treatment outcomes.

製品プロトコール

For this product, it's our understanding that no specific protocols are required. You can visit:

ターゲットの情報

Induces apoptosis and anoikis. Isoform BimL is more potent than isoform BimEL. Isoform Bim-alpha1, isoform Bim-alpha2 and isoform Bim-alpha3 induce apoptosis, although less potent than isoform BimEL, isoform BimL and isoform BimS. Isoform Bim-gamma induces apoptosis. Isoform Bim-alpha3 induces apoptosis possibly through a caspase-mediated pathway. Isoform BimAC and isoform BimABC lack the ability to induce apoptosis.
See full target information BCL2L11

文献 (22)

Recent publications for all applications. Explore the full list and refine your search

Journal of Cancer 12:7277-7286 PubMed35003348

2021

CPNE3 regulates the cell proliferation and apoptosis in human Glioblastoma via the activation of PI3K/AKT signaling pathway.

Applications

Unspecified application

Species

Unspecified reactive species

Dainan Zhang,Xiaoyin Wang,Xi Wang,Zemin Wang,Shunchang Ma,Chuanbao Zhang,Shaomin Li,Wang Jia

Theranostics 11:996-1015 PubMed33391517

2021

The 14-3-3σ protein promotes HCC anoikis resistance by inhibiting EGFR degradation and thereby activating the EGFR-dependent ERK1/2 signaling pathway.

Applications

Unspecified application

Species

Unspecified reactive species

Jia Song,Yachong Liu,Furong Liu,Lu Zhang,Ganxun Li,Chaoyi Yuan,Chengpeng Yu,Xun Lu,Qiumeng Liu,Xiaoping Chen,Huifang Liang,Zeyang Ding,Bixiang Zhang

Frontiers in physiology 11:589 PubMed32581849

2020

Regulatory Effect of Sishen Pill on Tfh Cells in Mice With Experimental Colitis.

Applications

Unspecified application

Species

Unspecified reactive species

Xue-Ke Liu,Hai-Mei Zhao,Hai-Yan Wang,Wei Ge,You-Bao Zhong,Jian Long,Duan-Yong Liu

Experimental and therapeutic medicine 18:4113-4119 PubMed31611942

2019

Necrostatin-1 ameliorates the pathogenesis of experimental autoimmune encephalomyelitis by suppressing apoptosis and necroptosis of oligodendrocyte precursor cells.

Applications

Unspecified application

Species

Unspecified reactive species

Ying Wang,Li Guo,Jueqiong Wang,Wei Shi,Zhilun Xia,Bin Li

Molecular medicine reports 20:3867-3873 PubMed31485657

2019

lncRNA‑NR024118 overexpression reverses LPS‑induced inflammatory injury and apoptosis via NF‑κB/Nrf2 signaling in ATDC5 chondrocytes.

Applications

Unspecified application

Species

Unspecified reactive species

Xiaoliang Mei,Jian Tong,Wei Zhu,Yongliang Zhu

Journal of cellular physiology 235:176-184 PubMed31210352

2019

MicroRNA-132 protects H9c2 cells against oxygen and glucose deprivation-evoked injury by targeting FOXO3A.

Applications

Unspecified application

Species

Unspecified reactive species

Jingze Zhang,Haiming Xu,Licheng Gong,Long Liu

Pathology, research and practice 214:1873-1878 PubMed30249504

2018

miR-23 regulates cell proliferation and apoptosis of vascular smooth muscle cells in coronary heart disease.

Applications

Unspecified application

Species

Unspecified reactive species

Lijun Liu,Ziping Cheng,Jie Yang

OncoTargets and therapy 11:1633-1642 PubMed29606882

2018

Effects of isoliquiritigenin on ovarian cancer cells.

Applications

Unspecified application

Species

Unspecified reactive species

Nan Li,Liang Yang,Xinna Deng,Yanan Sun

Molecular medicine reports 17:5088-5094 PubMed29393414

2018

Baicalein induces cervical cancer apoptosis through the NF-κB signaling pathway.

Applications

Unspecified application

Species

Unspecified reactive species

Xiaolan Yu,Yuqing Liu,Yongzhou Wang,Xiguan Mao,Yujiao Zhang,Jiyi Xia

The Journal of clinical investigation 127:4338-4351 PubMed29083324

2017

Protein kinase A determines platelet life span and survival by regulating apoptosis.

Applications

Unspecified application

Species

Unspecified reactive species

Lili Zhao,Jun Liu,Chunyan He,Rong Yan,Kangxi Zhou,Qingya Cui,Xingjun Meng,Xiaodong Li,Yang Zhang,Yumei Nie,Yang Zhang,Renping Hu,Yancai Liu,Lian Zhao,Mengxing Chen,Weiling Xiao,Jingluan Tian,Yunxiao Zhao,Lijuan Cao,Ling Zhou,Anning Lin,Changgeng Ruan,Kesheng Dai
View all publications

Abcam product promise

当社は、高品質な試薬を通じてお客様の研究を力強くサポートすることをお約束いたします。ご使用いただく各段階で、常にお客様をサポートできる体制を整えております。万が一、製品が期待通りに機能しない場合は、「Abcam Product Promise」による当社保証制度に基づき、安心してご利用いただけます。
保証に関する詳細については利用規約をご確認ください。

関連製品

Select an associated product type
Alternative Product
Primary Antibodies

AB131477

Anti-Bim (phospho S69) antibody

primary-antibodies

bim-phospho-s69-antibody-ab131477

0

(0 reviews)

Alternative Product
Primary Antibodies

AB17935

Anti-Bim (phospho S65) antibody

primary-antibodies

bim-phospho-s65-antibody-ab17935

0

(0 reviews)

Alternative Product
Primary Antibodies

AB170589

Anti-Bim antibody [Y36] - BSA and Azide free

primary-antibodies

bim-antibody-y36-bsa-and-azide-free-ab170589

0

(0 reviews)

Please note: All products are 'FOR RESEARCH USE ONLY. NOT FOR USE IN DIAGNOSTIC OR THERAPEUTIC PROCEDURES'.

For licensing inquiries, please contact partnerships@abcam.com