JavaScript is disabled in your browser. Please enable JavaScript to view this website.
AB246319

Anti-BFL-1/GRS 抗体 [SP435]

Anti-BFL-1/GRS antibody [SP435]

Be the first to review this product! Submit a review

|

(1 Publication)

Anti-BFL-1/GRS antibody [SP435] (ab246319) is a rabbit monoclonal antibody detecting BFL-1/GRS in Western Blot, IHC-P. Suitable for Human.

- Biophysical QC for unrivalled batch-batch consistency

別名を表示する

BCL2L5, BFL1, GRS, HBPA1, BCL2A1, Bcl-2-related protein A1, Bcl-2-like protein 5, Hemopoietic-specific early response protein, Protein BFL-1, Protein GRS, Bcl2-L-5

2 Images
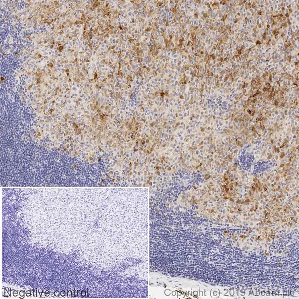
Immunohistochemistry (Formalin/PFA-fixed paraffin-embedded sections) - Anti-BFL-1/GRS antibody [SP435] (AB246319)
  • IHC-P

Supplier Data

Immunohistochemistry (Formalin/PFA-fixed paraffin-embedded sections) - Anti-BFL-1/GRS antibody [SP435] (AB246319)

IHC image of ab246319 staining BFL-1/GRS in a section of formalin-fixed paraffin-embedded human B-cell lymphoma* performed on a Leica BONDTM system using the standard protocol F. The section was pre-treated using heat mediated antigen retrieval with EDTA buffer (pH9, epitope retrieval solution 2) for 30mins. The section was then incubated with ab246319, 1/117 dilution, for 15 mins at room temperature and detected using an HRP conjugated compact polymer system. DAB was used as the chromogen. The section was then counterstained with haematoxylin and mounted with DPX. The inset secondary-only control image is taken from an identical assay without primary antibody.

For other IHC staining systems (automated and non-automated) customers should optimize variable parameters such as antigen retrieval conditions, primary antibody concentration and antibody incubation times.

*Tissue obtained from the Human Research Tissue Bank, supported by the NIHR Cambridge Biomedical Research Centre

Western blot - Anti-BFL-1/GRS antibody [SP435] (AB246319)
  • WB

Lab

Western blot - Anti-BFL-1/GRS antibody [SP435] (AB246319)

Negative control :  A-673, KATO III, LoVo.

In Western blot, Anti-GAPDH antibody [EPR16891] - Loading Control (ab181602) staining at 1/200000 dilution.

Blocking and diluting buffer and concentration : 5% NFDM/TBST.

All lanes:

Western blot - Anti-BFL-1/GRS antibody [SP435] (ab246319) at 1/1000 dilution

Lane 1:

KARPAS-299 (human T cell lymphoma cell) whole cell lysate at 20 µg

Lane 2:

RKO (human colorectal Adenocarcinoma cell) whole cell lysate at 20 µg

Lane 3:

SU-DHL-1 (human histiocytic lymphoblast-like cell) whole cell lysate at 20 µg

Lane 4:

SK-MEL-28 (human malignant melanoma cell ) at 20 µg

Lane 5:

A-673 (human muscle Ewings sarcoma cell line) whole cell lysate at 20 µg

Lane 6:

KATO III (human stomach spherical) whole cell lysate at 20 µg

Lane 7:

LoVo (human colorectal adenocarcinoma epithelial cell) whole cell lysate at 20 µg

Secondary

All lanes:

Goat Anti-Rabbit IgG (HRP) with minimal cross-reactivity with human IgG at 1/20000 dilution

Observed band size: 25 kDa

false

Exposure time: 180s

関連する標識済み抗体及び組成の異なる製品 (1)

  • Carrier free

    Anti-BFL-1/GRS antibody [SP435] - BSA and Azide free

Key facts

宿主種

Rabbit

クローン性

Monoclonal

クローン番号

SP435

アイソタイプ

IgG

キャリアフリー

No

交差種

Human

アプリケーション

WB, IHC-P

applications

免疫原

The exact immunogen used to generate this antibody is proprietary information.

Reactivity data

{ "title": "Reactivity Data", "filters": { "stats": ["", "Species", "Dilution Info", "Notes"], "tabs": { "all-applications": {"fullname" : "All Applications", "shortname": "All Applications"}, "IHCP" : {"fullname" : "Immunohistochemistry (Formalin/PFA-fixed paraffin-embedded sections)", "shortname":"IHC-P"}, "WB" : {"fullname" : "Western blot", "shortname":"WB"} }, "product-promise": { "all": "all", "testedAndGuaranteed": "tested", "guaranteed": "expected", "predicted": "predicted", "notRecommended": "not-recommended" } }, "values": { "Human": { "IHCP-species-checked": "testedAndGuaranteed", "IHCP-species-dilution-info": "1/117", "IHCP-species-notes": "<p></p>", "WB-species-checked": "testedAndGuaranteed", "WB-species-dilution-info": "1/1000", "WB-species-notes": "<p></p>" }, "Mouse": { "IHCP-species-checked": "notRecommended", "IHCP-species-dilution-info": "", "IHCP-species-notes": "", "WB-species-checked": "notRecommended", "WB-species-dilution-info": "", "WB-species-notes": "<p></p>" } } }

製品の詳細

What is this antibody validated in?
Anti-BFL-1/GRS antibody [SP435] (ab246319) is a rabbit recombinant monoclonal antibody and is validated for use in Western Blot (WB), Immunohistochemistry (IHC-P) in Human samples.

What is the molecular weight of BFL-1/GRS?
Anti-BFL-1/GRS [SP435] (ab246319) specifically detects a band for BFL-1/GRS (UniProt: Q16548) at a molecular weight of 20kDa.

Collaboration
Anti-BFL-1/GRS [SP435] (ab246319) is a clone from the portfolio of Spring Bioscience (Roche) SP clones which have been optimised for immunohistochemistry (IHC).

Trial sizes available!
Test your antibody or perform pre-screening before committing to a larger quantity. Sold in 10µl. Discover our selection of trial-size antibodies.

Other related products
We have a range of other formats of antibody clone [SP435] also available for your convenience: ab246319, Carrier free - ab253247, ab278800

Patented technology
Our RabMAb® technology is a patented hybridoma-based technology for making rabbit monoclonal antibodies. For details on our patents, please refer to RabMAb® patents.

What are the advantages of a recombinant monoclonal antibody?
This product is a recombinant monoclonal antibody, which offers several advantages including:

  • - High batch-to-batch consistency and reproducibility
  • - Improved sensitivity and specificity
  • - Long-term security of supply
  • - Animal-free batch production

For more information, read more on recombinant antibodies.

出荷温度及び保存条件

製品の状態
Liquid
精製方法
Affinity purification Protein A
バッファー組成
pH: 7.2 - 7.4 Preservative: 0.1% Sodium azide Constituents: PBS, 1% BSA
出荷温度
Blue Ice
短期保存期間
1-2 weeks
短期保存温度
+4°C
長期保存温度
-20°C
分注に関する情報
Upon delivery aliquot
保管に関する情報
Avoid freeze / thaw cycle

製品プロトコール

For this product, it's our understanding that no specific protocols are required. You can visit:

ターゲットの情報

Retards apoptosis induced by IL-3 deprivation. May function in the response of hemopoietic cells to external signals and in maintaining endothelial survival during infection (By similarity). Can inhibit apoptosis induced by serum starvation in the mammary epithelial cell line HC11 (By similarity).
See full target information BCL2A1

文献 (1)

Recent publications for all applications. Explore the full list and refine your search

Cancer discovery 12:1462-1481 PubMed35320348

2022

Reverse Transcriptase Inhibition Disrupts Repeat Element Life Cycle in Colorectal Cancer.

Applications

Unspecified application

Species

Unspecified reactive species

Mihir Rajurkar,Aparna R Parikh,Alexander Solovyov,Eunae You,Anupriya S Kulkarni,Chong Chu,Katherine H Xu,Christopher Jaicks,Martin S Taylor,Connie Wu,Katherine A Alexander,Charly R Good,Annamaria Szabolcs,Stefanie Gerstberger,Antuan V Tran,Nova Xu,Richard Y Ebright,Emily E Van Seventer,Kevin D Vo,Eric C Tai,Chenyue Lu,Jasmin Joseph-Chazan,Michael J Raabe,Linda T Nieman,Niyati Desai,Kshitij S Arora,Matteo Ligorio,Vishal Thapar,Limor Cohen,Padric M Garden,Yasmeen Senussi,Hui Zheng,Jill N Allen,Lawrence S Blaszkowsky,Jeffrey W Clark,Lipika Goyal,Jennifer Y Wo,David P Ryan,Ryan B Corcoran,Vikram Deshpande,Miguel N Rivera,Martin J Aryee,Theodore S Hong,Shelley L Berger,David R Walt,Kathleen H Burns,Peter J Park,Benjamin D Greenbaum,David T Ting
View all publications

Abcam product promise

当社は、高品質な試薬を通じてお客様の研究を力強くサポートすることをお約束いたします。ご使用いただく各段階で、常にお客様をサポートできる体制を整えております。万が一、製品が期待通りに機能しない場合は、「Abcam Product Promise」による当社保証制度に基づき、安心してご利用いただけます。
保証に関する詳細については利用規約をご確認ください。

Please note: All products are 'FOR RESEARCH USE ONLY. NOT FOR USE IN DIAGNOSTIC OR THERAPEUTIC PROCEDURES'.

For licensing inquiries, please contact partnerships@abcam.com