JavaScript is disabled in your browser. Please enable JavaScript to view this website.
AB11315

Anti-beta IV Tubulin 抗体 [ONS.1A6]

Anti-beta IV Tubulin antibody [ONS.1A6]

5

(2 Reviews)

|

(53 Publications)

Mouse Monoclonal TBB4A antibody. Suitable for IHC-P, ICC, WB and reacts with Human, Mouse samples. Cited in 53 publications.

別名を表示する

TUBB4, TUBB5, TUBB4A, Tubulin beta-4A chain, Tubulin 5 beta, Tubulin beta-4 chain

5 Images
Immunocytochemistry - Anti-beta IV Tubulin antibody [ONS.1A6] (AB11315)
  • ICC

AbReview33340****

Immunocytochemistry - Anti-beta IV Tubulin antibody [ONS.1A6] (AB11315)

Immunofluorescence analysis of MCF-7 Cells (human breast cancer cell line), staining beta IV Tubulin with ab11315.

Cells on coverslip were fixed with -20°C Methanol for 5 min before permeabilization with 0.2% Triton X-100 in PBS for 10 min. Cells were incubated with the primary antibody with a dilution 1/50 for 1 hour. After brief washing with PBS, cells were incubated with TRITC conjugated secondary antibody with a dilution 1/50 for 45 min and washed with PBS to be examined under fluorescence microscope.

This image is courtesy of Xinmei Chen, University of Alberta

Western blot - Anti-beta IV Tubulin antibody [ONS.1A6] (AB11315)
  • WB

Ap1444909****

Western blot - Anti-beta IV Tubulin antibody [ONS.1A6] (AB11315)

This blot was produced using a 10% Bis-tris gel under the MOPS buffer system. The gel was run at 200V for 50 minutes before being transferred onto a Nitrocellulose membrane at 30V for 70 minutes. The membrane was then blocked for an hour using 3% Milk before being incubated with ab11315 overnight at 4°C. Antibody binding was detected using an anti-mouse antibody conjugated to HRP, and visualised using ECL development solution.

All lanes:

Western blot - Anti-beta IV Tubulin antibody [ONS.1A6] (ab11315) at 5 µg/mL

Lane 1:

HeLa (Human epithelial carcinoma cell line) Whole Cell Lysate at 20 µg

Lane 2:

HeLa (Human epithelial carcinoma cell line) Nuclear Lysate at 20 µg

Lane 3:

HEK293 (Human embryonic kidney cell line) Whole Cell Lysate at 20 µg

Lane 4:

K562 (Human erythromyeloblastoid leukemia cell line) Whole Cell Lysate at 20 µg

Lane 5:

NIH 3T3 (Mouse embryonic fibroblast cell line) Whole Cell Lysate at 20 µg

Lane 6:

U2OS (Human osteosarcoma cell line) Whole Cell Lysate at 20 µg

Secondary

All lanes:

Western blot - Goat Anti-Mouse IgG H&L (HRP) preadsorbed (<a href='/products/secondary-antibodies/goat-mouse-igg-h-l-hrp-preadsorbed-ab97040'>ab97040</a>) at 1/10000 dilution

Predicted band size: 50 kDa

Observed band size: 52 kDa

true

Exposure time: 4min

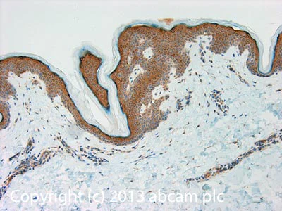
Immunohistochemistry (Formalin/PFA-fixed paraffin-embedded sections) - Anti-beta IV Tubulin antibody [ONS.1A6] (AB11315)
  • IHC-P

Unknown

Immunohistochemistry (Formalin/PFA-fixed paraffin-embedded sections) - Anti-beta IV Tubulin antibody [ONS.1A6] (AB11315)

IHC image of beta IV Tubulin staining in Human normal skin formalin fixed paraffin embedded tissue section, performed on a Leica BondTM system using the standard protocol F. The section was pre-treated using heat mediated antigen retrieval with sodium citrate buffer (pH6, epitope retrieval solution 1) for 20 mins. The section was then incubated with ab11315, 1μg/ml, for 15 mins at room temperature and detected using an HRP conjugated compact polymer system. DAB was used as the chromogen. The section was then counterstained with haematoxylin and mounted with DPX.

For other IHC staining systems (automated and non-automated) customers should optimize variable parameters such as antigen retrieval conditions, primary antibody concentration and antibody incubation times.

Immunocytochemistry - Anti-beta IV Tubulin antibody [ONS.1A6] (AB11315)
  • ICC

Lab

Immunocytochemistry - Anti-beta IV Tubulin antibody [ONS.1A6] (AB11315)

ab11315 staining Beta IV tubulin in MCF7 cells. The cells were fixed with 100% methanol (5 min), permeabilized with 0.1% PBS-Triton X-100 for 5 minutes and then blocked with 1% BSA/10% normal goat serum/0.3M glycine in 0.1%PBS-Tween for 1h. The cells were then incubated overnight at 4°C with ab11315 at 1µg/ml and ab6046, Rabbit polyclonal to beta Tubulin - Loading Control. Cells were then incubated with ab150117, Goat polyclonal Secondary Antibody to Mouse IgG H&L (Alexa Fluor® 488) preadsorbed at 1/1000 dilution (shown in green) and ab150080, Goat polyclonal Secondary Antibody to Rabbit IgG - H&L (Alexa Fluor® 594) at 1/1000 dilution (shown in pseudocolour red). Nuclear DNA was labelled with DAPI (shown in blue).

Image was acquired with a high-content analyser (Operetta CLS, Perkin Elmer) and a maximum intensity projection of confocal sections is shown.

Immunocytochemistry - Anti-beta IV Tubulin antibody [ONS.1A6] (AB11315)
  • ICC

Unknown

Immunocytochemistry - Anti-beta IV Tubulin antibody [ONS.1A6] (AB11315)

Immunofluorescence analysis of MCF-7 Cells (human breast cancer cell line), staining beta IV Tubulin with ab11315.

Cells on coverslip were fixed with -20°C Methanol for 5 min before permeabilization with 0.2% Triton X-100 in PBS for 10 min. Cells were incubated with the primary antibody with a dilution 1/50 for 1 hour. After brief washing with PBS, cells were incubated with TRITC conjugated secondary antibody with a dilution 1/50 for 45 min and washed with PBS to be examined under fluorescence microscope.

This image is courtesy of Xinmei Chen, University of Alberta

関連する標識済み抗体及び組成の異なる製品 (1)

  • HRP

    HRP Anti-beta IV Tubulin antibody [ONS.1A6]

Key facts

宿主種

Mouse

クローン性

Monoclonal

クローン番号

ONS.1A6

アイソタイプ

IgG1

軽鎖のタイプ

kappa

キャリアフリー

No

交差種

Mouse, Human

アプリケーション

WB, IHC-P, ICC

applications

免疫原

The exact immunogen used to generate this antibody is proprietary information.

Reactivity data

{ "title": "Reactivity Data", "filters": { "stats": ["", "Species", "Dilution Info", "Notes"], "tabs": { "all-applications": {"fullname" : "All Applications", "shortname": "All Applications"}, "IHCP" : {"fullname" : "Immunohistochemistry (Formalin/PFA-fixed paraffin-embedded sections)", "shortname":"IHC-P"}, "ICC" : {"fullname" : "Immunocytochemistry", "shortname":"ICC"}, "WB" : {"fullname" : "Western blot", "shortname":"WB"} }, "product-promise": { "all": "all", "testedAndGuaranteed": "tested", "guaranteed": "expected", "predicted": "predicted", "notRecommended": "not-recommended" } }, "values": { "Human": { "IHCP-species-checked": "testedAndGuaranteed", "IHCP-species-dilution-info": "5 µg/mL", "IHCP-species-notes": "<p></p> Perform heat-mediated antigen retrieval with citrate buffer pH 6 before commencing with IHC staining protocol.", "ICC-species-checked": "testedAndGuaranteed", "ICC-species-dilution-info": "1 µg/mL", "ICC-species-notes": "<p></p>", "WB-species-checked": "testedAndGuaranteed", "WB-species-dilution-info": "5 µg/mL", "WB-species-notes": "<p>3% milk is recommended for blocking non-specific protein-protein interactions.</p>" }, "Mouse": { "IHCP-species-checked": "guaranteed", "IHCP-species-dilution-info": "", "IHCP-species-notes": "", "ICC-species-checked": "guaranteed", "ICC-species-dilution-info": "", "ICC-species-notes": "", "WB-species-checked": "testedAndGuaranteed", "WB-species-dilution-info": "5 µg/mL", "WB-species-notes": "<p>3% milk is recommended for blocking non-specific protein-protein interactions.</p>" }, "Rat": { "IHCP-species-checked": "predicted", "IHCP-species-dilution-info": "", "IHCP-species-notes": "", "ICC-species-checked": "predicted", "ICC-species-dilution-info": "", "ICC-species-notes": "", "WB-species-checked": "predicted", "WB-species-dilution-info": "", "WB-species-notes": "" }, "Chicken": { "IHCP-species-checked": "predicted", "IHCP-species-dilution-info": "", "IHCP-species-notes": "", "ICC-species-checked": "predicted", "ICC-species-dilution-info": "", "ICC-species-notes": "", "WB-species-checked": "predicted", "WB-species-dilution-info": "", "WB-species-notes": "" }, "Cow": { "IHCP-species-checked": "predicted", "IHCP-species-dilution-info": "", "IHCP-species-notes": "", "ICC-species-checked": "predicted", "ICC-species-dilution-info": "", "ICC-species-notes": "", "WB-species-checked": "predicted", "WB-species-dilution-info": "", "WB-species-notes": "" }, "Hamster": { "IHCP-species-checked": "predicted", "IHCP-species-dilution-info": "", "IHCP-species-notes": "", "ICC-species-checked": "predicted", "ICC-species-dilution-info": "", "ICC-species-notes": "", "WB-species-checked": "predicted", "WB-species-dilution-info": "", "WB-species-notes": "" } } }

下記製品にもご興味をお持ちいただけるかもしれません:

AB245722

Human Beta-tubulin ELISA Kit

0

0 Reviews

製品ページを見る
こちらの製品も推奨する理由

この製品は、同様の実験や関連する研究で広く使用されていることから推奨させていただいております。

お客様の実験に適するかご確認いただくため、必ず製品データシートをご確認いただくことをお勧めいたします。ご不明点等ございましたら、テクニカルサポートチームまでお問い合わせください。

製品の詳細

出荷温度及び保存条件

製品の状態
Liquid
精製方法
Affinity purification
バッファー組成
pH: 7.4 Preservative: 0.02% Sodium azide Constituents: PBS, 6.97% L-Arginine
出荷温度
Blue Ice
短期保存温度
+4°C
長期保存温度
-20°C
分注に関する情報
Upon delivery aliquot
保管に関する情報
Avoid freeze / thaw cycle

補足情報

This supplementary information is collated from multiple sources and compiled automatically.

Beta IV Tubulin also known as TUBB4 is an important component of the microtubule structure within cells. It has a molecular mass of approximately 50 kDa. This protein is a critical part of the cytoskeleton and is expressed in a variety of tissues including neuronal tissues. Beta IV Tubulin plays a role in forming dynamic structures that aid in maintaining cell shape facilitating intracellular transport and enabling cell division. Researchers often use beta tubulin staining techniques to observe microtubules in cells which is important for understanding cellular processes.
Biological function summary

Beta IV Tubulin contributes significantly to the stability and function of microtubule networks. It is a member of the tubulin family and often forms tubulin heterodimers which are building blocks of microtubules. These microtubules are essential for many cellular activities such as mitosis and transport of organelles. Beta IV Tubulin is integral to the microtubule-based cellular processes and its functions are critical for neuronal development and function because it is a part of the complex cytoskeletal framework.

Pathways

Beta IV Tubulin is deeply involved in cellular processes such as the MAP kinase pathway and cell cycle regulation. These pathways are pivotal in transmitting signals that regulate cellular processes including growth and differentiation. The protein interacts with other tubulin isotypes and motor proteins like dynein and kinesin contributing to intracellular transport and chromosomal segregation during cell division. These interactions highlight its importance in maintaining proper cellular responses and functions.

Mutations or dysregulation of beta IV Tubulin are associated with neurological conditions like dystonia and Charcot-Marie-Tooth disease. These disorders underline the importance of beta IV Tubulin in neuronal health and development. The protein’s interaction with other tubulins and motor proteins also relates it to neurodegenerative diseases where cytoskeletal integrity and function are often compromised. Understanding these interactions helps unravel the pathogenic mechanisms of these diseases and can guide therapeutic strategies.

製品プロトコール

For this product, it's our understanding that no specific protocols are required. You can visit:

ターゲットの情報

Tubulin is the major constituent of microtubules, a cylinder consisting of laterally associated linear protofilaments composed of alpha- and beta-tubulin heterodimers. Microtubules grow by the addition of GTP-tubulin dimers to the microtubule end, where a stabilizing cap forms. Below the cap, tubulin dimers are in GDP-bound state, owing to GTPase activity of alpha-tubulin.
See full target information TUBB4A

文献 (53)

Recent publications for all applications. Explore the full list and refine your search

PloS one 18:e0295009 PubMed38019847

2023

Prime editing-mediated correction of the CFTR W1282X mutation in iPSCs and derived airway epithelial cells.

Applications

Unspecified application

Species

Unspecified reactive species

Chao Li,Zhong Liu,Justin Anderson,Zhongyu Liu,Liping Tang,Yao Li,Ning Peng,Jianguo Chen,Xueming Liu,Lianwu Fu,Tim M Townes,Steven M Rowe,David M Bedwell,Jennifer Guimbellot,Rui Zhao

Frontiers in immunology 14:1096242 PubMed36742335

2023

Loss of CFTR function is associated with reduced bitter taste receptor-stimulated nitric oxide innate immune responses in nasal epithelial cells and macrophages.

Applications

Unspecified application

Species

Unspecified reactive species

Ryan M Carey,James N Palmer,Nithin D Adappa,Robert J Lee

iScience 25:104751 PubMed35942101

2022

Prominin 1 and Notch regulate ciliary length and dynamics in multiciliated cells of the airway epithelium.

Applications

Unspecified application

Species

Unspecified reactive species

Carlos F H Serra,Helu Liu,Jun Qian,Munemasa Mori,Jining Lu,Wellington V Cardoso

Biochip journal 16:305-316 PubMed35822173

2022

Biological Influence of Pulmonary Disease Conditions Induced by Particulate Matter on Microfluidic Lung Chips.

Applications

Unspecified application

Species

Unspecified reactive species

Faiza Jabbar,Young-Su Kim,Sang Ho Lee

Nature communications 13:2792 PubMed35589707

2022

TUBB4A interacts with MYH9 to protect the nucleus during cell migration and promotes prostate cancer via GSK3β/β-catenin signalling.

Applications

Unspecified application

Species

Unspecified reactive species

Song Gao,Shuaibin Wang,Zhiying Zhao,Chao Zhang,Zhicao Liu,Ping Ye,Zhifang Xu,Baozhu Yi,Kai Jiao,Gurudatta A Naik,Shi Wei,Soroush Rais-Bahrami,Sejong Bae,Wei-Hsiung Yang,Guru Sonpavde,Runhua Liu,Lizhong Wang

Cells 11: PubMed35563784

2022

HSP90 Modulates T2R Bitter Taste Receptor Nitric Oxide Production and Innate Immune Responses in Human Airway Epithelial Cells and Macrophages.

Applications

Unspecified application

Species

Unspecified reactive species

Ryan M Carey,Benjamin M Hariri,Nithin D Adappa,James N Palmer,Robert J Lee

Pharmaceuticals (Basel, Switzerland) 15: PubMed35455449

2022

Cilia Stimulatory and Antibacterial Activities of T2R Bitter Taste Receptor Agonist Diphenhydramine: Insights into Repurposing Bitter Drugs for Nasal Infections.

Applications

Unspecified application

Species

Unspecified reactive species

Li Eon Kuek,Derek B McMahon,Ray Z Ma,Zoey A Miller,Jennifer F Jolivert,Nithin D Adappa,James N Palmer,Robert J Lee

Fluids and barriers of the CNS 19:17 PubMed35193620

2022

Acquired hydrocephalus is associated with neuroinflammation, progenitor loss, and cellular changes in the subventricular zone and periventricular white matter.

Applications

Unspecified application

Species

Unspecified reactive species

Maria Garcia-Bonilla,Leandro Castaneyra-Ruiz,Sarah Zwick,Michael Talcott,Ayodamola Otun,Albert M Isaacs,Diego M Morales,David D Limbrick,James P McAllister

Nature cell biology 24:10-23 PubMed34969962

2022

Human alveolar type 2 epithelium transdifferentiates into metaplastic KRT5 basal cells.

Applications

Unspecified application

Species

Unspecified reactive species

Jaymin J Kathiriya,Chaoqun Wang,Minqi Zhou,Alexis Brumwell,Monica Cassandras,Claude Jourdan Le Saux,Max Cohen,Kostantinos-Dionysios Alysandratos,Bruce Wang,Paul Wolters,Michael Matthay,Darrell N Kotton,Harold A Chapman,Tien Peng

Cell reports 37:110146 PubMed34965417

2021

Human iPSC-derived fallopian tube organoids with BRCA1 mutation recapitulate early-stage carcinogenesis.

Applications

Unspecified application

Species

Unspecified reactive species

Nur Yucer,Rodney Ahdoot,Michael J Workman,Alexander H Laperle,Maria S Recouvreux,Kathleen Kurowski,Diana J Naboulsi,Victoria Liang,Ying Qu,Jasmine T Plummer,Simon A Gayther,Sandra Orsulic,Beth Y Karlan,Clive N Svendsen
View all publications

Abcam product promise

当社は、高品質な試薬を通じてお客様の研究を力強くサポートすることをお約束いたします。ご使用いただく各段階で、常にお客様をサポートできる体制を整えております。万が一、製品が期待通りに機能しない場合は、「Abcam Product Promise」による当社保証制度に基づき、安心してご利用いただけます。
保証に関する詳細については利用規約をご確認ください。

関連製品

Select an associated product type
Alternative Product
Primary Antibodies

AB222822

Anti-beta IV Tubulin antibody

primary-antibodies

beta-iv-tubulin-antibody-ab222822

1

(1 reviews)

Alternative Product
Primary Antibodies

AB204003

Alexa Fluor® 488 Anti-beta IV Tubulin antibody [EPR16775]

primary-antibodies

alexa-fluor-488-beta-iv-tubulin-antibody-epr16775-ab204003

0

(0 reviews)

Alternative Product
Primary Antibodies

AB179509

Anti-beta IV Tubulin antibody [EPR16776]

primary-antibodies

beta-iv-tubulin-antibody-epr16776-ab179509

5

(1 reviews)

Alternative Product
Primary Antibodies

AB179504

Anti-beta IV Tubulin antibody [EPR16775]

primary-antibodies

beta-iv-tubulin-antibody-epr16775-ab179504

0

(0 reviews)

Alternative Product
Primary Antibodies

AB204034

Alexa Fluor® 647 Anti-beta IV Tubulin antibody [EPR16775]

primary-antibodies

alexa-fluor-647-beta-iv-tubulin-antibody-epr16775-ab204034

0

(0 reviews)

Alternative Product
Primary Antibodies

AB238433

Anti-beta IV Tubulin antibody [EPR16776] - BSA and Azide free

primary-antibodies

beta-iv-tubulin-antibody-epr16776-bsa-and-azide-free-ab238433

0

(0 reviews)

Please note: All products are 'FOR RESEARCH USE ONLY. NOT FOR USE IN DIAGNOSTIC OR THERAPEUTIC PROCEDURES'.

For licensing inquiries, please contact partnerships@abcam.com