JavaScript is disabled in your browser. Please enable JavaScript to view this website.
AB78078

Anti-beta III Tubulin 抗体 [2G10] - Neuronal Marker

Anti-beta III Tubulin antibody [2G10] - Neuronal Marker

5

(40 Reviews)

|

(484 Publications)

Anti-beta III Tubulin antibody [2G10] - Neuronal Marker (ab78078) is a mouse monoclonal antibody detecting beta III Tubulin in Western Blot, Flow Cytometry (Intra), IP, IHC-P, ICC/IF. Suitable for Catshark, Common marmoset, Dogfish, Human, Mouse, Rat.

- KO validated for confirmed specificity
- Over 320 publications
- Trusted since 2009

別名を表示する

Tubulin beta-3 chain, Neuron-specific class III beta-tubulin, Tubb3

23 Images
Immunocytochemistry/ Immunofluorescence - Anti-beta III Tubulin antibody [2G10] - Neuronal Marker (AB78078)
  • ICC/IF

Lab

Immunocytochemistry/ Immunofluorescence - Anti-beta III Tubulin antibody [2G10] - Neuronal Marker (AB78078)

ab78078 staining beta III Tubulin in primary rat neurons/glia, DIV14 (prepared from E18 rat hippocampal brain area, obtained from Transnetyx Tissue by BrainBits, LLC, cat.no. SDHEP) cells. The cells were fixed with 100% methanol (5 min), permeabilized with 0.1% PBS-Tween for 5 minutes and then blocked with 1% BSA/10% normal goat serum/0.3M glycine in 0.1%PBS-Tween for 1h. The cells were then incubated overnight at 4°C with ab78078 at 1µg/ml and ab6046, Rabbit polyclonal to beta Tubulin - Loading Control. Cells were then incubated with ab150117, Goat polyclonal Secondary Antibody to Mouse IgG H&L (Alexa Fluor® 488) preadsorbed at 1/1000 dilution (shown in green) and ab150080, Goat polyclonal Secondary Antibody to Rabbit IgG - H&L (Alexa Fluor® 594) at 1/1000 dilution (shown in pseudocolour red). Nuclear DNA was labelled with DAPI (shown in blue). Also suitable in cells fixed with 4% paraformaldehyde (10 min). Image was acquired with a high-content analyser (Operetta CLS, Perkin Elmer) and a maximum intensity projection of confocal sections is shown.

Immunocytochemistry/ Immunofluorescence - Anti-beta III Tubulin antibody [2G10] - Neuronal Marker (AB78078)
  • ICC/IF

Lab

Immunocytochemistry/ Immunofluorescence - Anti-beta III Tubulin antibody [2G10] - Neuronal Marker (AB78078)

Immunofluorescent analysis of 4% Paraformaldehyde-fixed, 0.1% TritonX-100 permeabilized SH-SY5Y (human neuroblastoma epithelial cell) Differentiated SH-SY5Y cells labelling KCNQ2 with ab325971 at 1/50 (10.26 µg/ml) dilution , followed by ab150081 Goat Anti-Rabbit IgG H&L (Alexa Fluor® 488) preadsorbed antibody at 1/1000 dilution (Green).

Confocal image showing cytoplasmic staining in differentiated SH-SY5Y cells (shown in green). The counterstain was observed in magenta. Nuclear DNA was labelled with DAPI (shown in blue). Image was taken with a confocal microscope (Leica-Microsystems, TCS SP8).

ab78078 Anti-beta III Tubulin mouse monoclonal antibody - Neuronal Marker was used to counterstain tubulin at 1/1000 dilution (Magenta). The Nuclear counterstain was DAPI (Blue).

-ve control 1 : ab325971 at 1/50 dilution, followed by ab150120 at 1/1000 dilution.-ve control 2 : ab78078 at 1/200 dilution, followed by ab150081 at 1/1000 dilution.

Immunocytochemistry/ Immunofluorescence - Anti-beta III Tubulin antibody [2G10] - Neuronal Marker (AB78078)
  • ICC/IF

Lab

Immunocytochemistry/ Immunofluorescence - Anti-beta III Tubulin antibody [2G10] - Neuronal Marker (AB78078)

Immunofluorescent analysis of 4% Paraformaldehyde fixed 0.1% Triton X-100 permeabilized SH-SY5Y (human neuroblastoma epithelial cell) Differentiated SH-SY5Y labelling DNAJC6 with ab289711 at 1/200 (2.275 μg/ml) followed by ab150081 Goat Anti-Rabbit IgG H&L (Alexa Fluor® 488) preadsorbed antibody as secondary at 1/1000 (2 μg/ml) dilution. ab78078 Anti-beta III Tubulin mouse monoclonal antibody - Neuronal Marker was used as a primary target counterstain used at 1/200 (2.5 μg/ml) along with ab150120 Goat Anti-Mouse IgG H&L (Alexa Fluor® 594) used at 1/1000 (2μg/ml) as secondary.

Confocal image showing increased cytoplasmic staining in differentiated SH-SY5Y cells (shown in green). The counterstain was observed in magenta. Nuclear DNA was labelled with DAPI (shown in blue). Image was taken with a confocal microscope (Leica-Microsystems, TCS SP8).

Immunohistochemistry (Formalin/PFA-fixed paraffin-embedded sections) - Anti-beta III Tubulin antibody [2G10] - Neuronal Marker (AB78078)
  • IHC-P

Unknown

Immunohistochemistry (Formalin/PFA-fixed paraffin-embedded sections) - Anti-beta III Tubulin antibody [2G10] - Neuronal Marker (AB78078)

IHC image of ab78078 staining beta III Tubulin in Human cerebellum formalin fixed paraffin embedded tissue sections, performed on a Leica Bond. The section was pre-treated using heat mediated antigen retrieval with sodium citrate buffer (pH 6.0 epitope retrieval solution 1) for 20 mins. The section was then incubated with ab78078, 0.5μg/ml, for 15 mins at room temperature and detected using an HRP conjugated compact polymer system. DAB was used as the chromogen. The section was then counterstained with haematoxylin and mounted with DPX. No primary antibody was used in the secondary only control (shown on the inset).
For other IHC staining systems (automated and non-automated) customers should optimize variable parameters such as antigen retrieval conditions, primary antibody concentration and antibody incubation times.

Flow Cytometry (Intracellular) - Anti-beta III Tubulin antibody [2G10] - Neuronal Marker (AB78078)
  • Flow Cyt (Intra)

Unknown

Flow Cytometry (Intracellular) - Anti-beta III Tubulin antibody [2G10] - Neuronal Marker (AB78078)

Overlay histogram showing SH-SY5Y stained with ab78078 (red line). The cells were fixed with 4% paraformaldehyde (10 min) and then permeabilized with 0.1% PBS-Tween for 20 min. The cells were then incubated in 1x PBS / 10% normal goat serum / 0.3M glycine to block non-specific protein-protein interactions followed by the antibody (ab78078, 1μg/1x106 cells) for 30 min at 22°C. The secondary antibody used was DyLight® 488 goat anti-mouse IgG (H+L) (ab96879) at 1/500 dilution for 30 min at 22°C. Isotype control antibody (black line) was mouse IgG1 [ICIGG1](ab91353, 2μg/1x106 cells) used under the same conditions. Acquisition of >5,000 events was performed. This antibody gave a positive signal in SH-SY5Y cells fixed with 80% methanol/permeabilized in 0.1% PBS-Tween used under the same conditions.

Immunohistochemistry (Formalin/PFA-fixed paraffin-embedded sections) - Anti-beta III Tubulin antibody [2G10] - Neuronal Marker (AB78078)
  • IHC-P

AbReview16430****

Immunohistochemistry (Formalin/PFA-fixed paraffin-embedded sections) - Anti-beta III Tubulin antibody [2G10] - Neuronal Marker (AB78078)

Immunohistochemistical detection of Neuron specific beta III Tubulin antibody [2G10] using ab78078 in formaldehyde-fixed paraffin-embedded quail embryo eye sections. Antigen retrieval step : heat mediated in citric acid pH6 buffer. Blocking step : 1% BSA for 10 mins @ rt°C Primary antibody incubated at 1/1250 for 2 hours in TBS/BSA/azide. Secondary antibody : anti-Mouse IgG conjugated to biotin used at 1/200. In this image, the lining cells of the hyaloid artery are positive. Excellent neural component specificity : even small fibres outside of the cartilage model of the orbit are clearly demonstrated.

This image is courtesy of Carl Hobbs, King's College London, United Kingdom

Immunocytochemistry/ Immunofluorescence - Anti-beta III Tubulin antibody [2G10] - Neuronal Marker (AB78078)
  • ICC/IF

Lab

Immunocytochemistry/ Immunofluorescence - Anti-beta III Tubulin antibody [2G10] - Neuronal Marker (AB78078)

Immunofluorescent analysis of 4% Paraformaldehyde fixed mouse DRG primary neurons permeabilized using 0.1% Triton X-100 labelling CGRP-I+CGRP-II with ab283568 (green) followed by ab150081 AlexaFluor®488 preadsorbed Goat anti-Rabbit secondary. ab78078 anti-beta III Tubulin (mouse mAb) was used as counterstain (magenta) with ab150120 AlexaFluor®594 Goat anti-Mouse as secondary. Nuclear DNA was labelled with DAPI (shown in blue). Image showing cytoplasmic staining in mouse DRG primary neurons was taken with a confocal microscope (Leica-Microsystems, TCS SP8).

Immunocytochemistry/ Immunofluorescence - Anti-beta III Tubulin antibody [2G10] - Neuronal Marker (AB78078)
  • ICC/IF

Lab

Immunocytochemistry/ Immunofluorescence - Anti-beta III Tubulin antibody [2G10] - Neuronal Marker (AB78078)

Immunofluorescent analysis of 4% Paraformaldehyde-fixed, 0.1% TritonX-100 permeabilized rat primary DRG neuron cells labelling Nav1.8/SCN10A with ab307817 at 1/100 (5.32 μg/ml) (shown in Green).

Confocal image showing cytoplasmic staining in rat primary DRG neuron (shown in green). The counterstain was observed in magenta. Nuclear DNA was labelled with DAPI (shown in blue). Image was taken with a confocal microscope (Leica-Microsystems, TCS SP8). Confocal scanning Z step was set as 0.3 μm followed by image processing with maximum Z projection.

ab78078 Anti-beta III Tubulin mouse monoclonal antibody - Neuronal Marker was used to counterstain tubulin at 1/200 (2.5 ug/ml) dilution, followed by secondary counterstain ab150120 Goat Anti-Mouse IgG H&L (Alexa Fluor® 594) at 1/1000 (2 ug/ml) dilution.

Secondary ab150081 Goat Anti-Rabbit IgG H&L (Alexa Fluor® 488) preadsorbed was used at 1/1000 (2μg/ml)

Immunohistochemistry (Formalin/PFA-fixed paraffin-embedded sections) - Anti-beta III Tubulin antibody [2G10] - Neuronal Marker (AB78078)
  • IHC-P

Collaborator

Immunohistochemistry (Formalin/PFA-fixed paraffin-embedded sections) - Anti-beta III Tubulin antibody [2G10] - Neuronal Marker (AB78078)

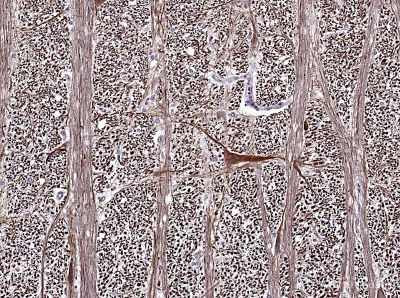
Immunohistochemistical detection of Neuron specific beta III Tubulin using antibody (ab78078) on formaldehyde-fixed paraffin-embedded human medulla oblongata sections. Antigen retrieval step : Heat mediated in citric acid HIER buffer. Permeabilization : No. Blocking step : 1% BSA for 10 mins @ rt°C. Primary antibody dilution 1/250 incubated for 2 hours in TBS/BSA/azide. Secondary antibody : anti Mouse IgGs conjugated to biotin (1/200). This section was cut from an anonymous autopsy P.wax block that is over 20 yrs old, so I would expect variable positivity when compared with more recently sampled tissues (giving higher dilution factors, such as I obtained with fresh mouse/rat CNS blocks.) Transverse-cut axons stain very intensely longitudinal nerve processes and cell bodies are not so heavily stained but are still easily seen.

This image is courtesy of Carl Hobbs, King's College London, United Kingdom

Immunohistochemistry (Formalin/PFA-fixed paraffin-embedded sections) - Anti-beta III Tubulin antibody [2G10] - Neuronal Marker (AB78078)
  • IHC-P

PubMed

Immunohistochemistry (Formalin/PFA-fixed paraffin-embedded sections) - Anti-beta III Tubulin antibody [2G10] - Neuronal Marker (AB78078)

Soft palate innervation is primarily oro-medial and complements the differentiated muscle pattern

(A-L) MHC (green) and β3-tubulin (red) co-immunostaining along the antero-posterior axis of the mouse soft palate at E13.5 (A-C), E14.5 (D-F), E16.5 (G-I), and P0 (J-L) at the level of the TVP and PLG (A, D, G, J), LVP (B, E, H, K), and PLP and SPC (C, F, I, L). Dashed lines indicate the outline of the palatal shelf and tongue epithelium. Arrows indicate the nerve fibers innervating the palatal shelves in a pattern complementary to the differentiated muscle, mainly located orally in the medial region. The schematic drawings indicate the orientation and the position of each section. Scale bars : 200μm.

beta III Tubulin is detected with ab78078.

(From Figure 4 of Grimaldi et al)

Grimaldi, A. et al PLoS One. 2015 Dec 15;10(12):e0145018. doi: 10.1371/journal.pone.0145018. eCollection 2015. Reproduced under the Creative Commons license http://creativecommons.org/licenses/by/4.0/.

Immunocytochemistry/ Immunofluorescence - Anti-beta III Tubulin antibody [2G10] - Neuronal Marker (AB78078)
  • ICC/IF

Lab

Immunocytochemistry/ Immunofluorescence - Anti-beta III Tubulin antibody [2G10] - Neuronal Marker (AB78078)

Immunofluorescent analysis of 4% Paraformaldehyde fixed rat DRG primary neurons permeabilized using 0.1% Triton X-100 labelling CGRP-I+CGRP-II with ab283568 (green) followed by ab150081 AlexaFluor®488 preadsorbed Goat anti-Rabbit secondary. ab78078 anti-beta III Tubulin (mouse mAb) was used as counterstain (magenta) with ab150120 AlexaFluor®594 Goat anti-Mouse as secondary. Nuclear DNA was labelled with DAPI (shown in blue). Image showing cytoplasmic staining in rat DRG primary neurons was taken with a confocal microscope (Leica-Microsystems, TCS SP8).

Immunocytochemistry/ Immunofluorescence - Anti-beta III Tubulin antibody [2G10] - Neuronal Marker (AB78078)
  • ICC/IF

Lab

Immunocytochemistry/ Immunofluorescence - Anti-beta III Tubulin antibody [2G10] - Neuronal Marker (AB78078)

Immunofluorescent analysis of 4% Paraformaldehyde fixed rat DRG primary neurons permeabilized using 0.1% Triton X-100 labelling TRPV1 with ab305299 (green) followed by ab150081 AlexaFluor®488 preadsorbed Goat anti-Rabbit secondary. ab78078 anti-beta III Tubulin (mouse mAb) was used as counterstain (magenta) with ab150120 AlexaFluor®594 Goat anti-Mouse as secondary. Nuclear DNA was labelled with DAPI (shown in blue). Image showing cytoplasmic staining in rat DRG primary neurons was taken with a confocal microscope (Leica-Microsystems, TCS SP8).

Immunocytochemistry/ Immunofluorescence - Anti-beta III Tubulin antibody [2G10] - Neuronal Marker (AB78078)
  • ICC/IF

Lab

Immunocytochemistry/ Immunofluorescence - Anti-beta III Tubulin antibody [2G10] - Neuronal Marker (AB78078)

Immunofluorescent analysis of 4% Paraformaldehyde fixed mouse DRG primary neurons permeabilized using 0.1% Triton X-100 labelling TRPV1 with ab305299 (green) followed by ab150081 AlexaFluor®488 preadsorbed Goat anti-Rabbit secondary. ab78078 anti-beta III Tubulin (mouse mAb) was used as counterstain (magenta) with ab150120 AlexaFluor®594 Goat anti-Mouse as secondary. Nuclear DNA was labelled with DAPI (shown in blue). Image showing cytoplasmic staining in mouse DRG primary neurons was taken with a confocal microscope (Leica-Microsystems, TCS SP8).

Immunohistochemistry (Formalin/PFA-fixed paraffin-embedded sections) - Anti-beta III Tubulin antibody [2G10] - Neuronal Marker (AB78078)
  • IHC-P

Unknown

Immunohistochemistry (Formalin/PFA-fixed paraffin-embedded sections) - Anti-beta III Tubulin antibody [2G10] - Neuronal Marker (AB78078)

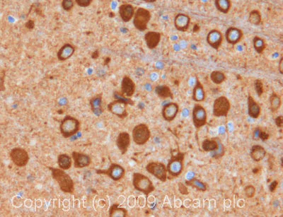
IHC image of ab78078 staining in mouse brain formalin fixed paraffin embedded tissue section, performed on a Leica BondTM system using the standard protocol F. The section was pre-treated using heat mediated antigen retrieval with sodium citrate buffer (pH6, epitope retrieval solution 1) for 20 mins. The section was then incubated with ab78078, 1µg/ml, for 15 mins at room temperature and detected using an HRP conjugated compact polymer system. DAB was used as the chromogen. The section was then counterstained with haematoxylin and mounted with DPX.

For other IHC staining systems (automated and non-automated) customers should optimize variable parameters such as antigen retrieval conditions, primary antibody concentration and antibody incubation times.

Immunohistochemistry (Formalin/PFA-fixed paraffin-embedded sections) - Anti-beta III Tubulin antibody [2G10] - Neuronal Marker (AB78078)
  • IHC-P

Unknown

Immunohistochemistry (Formalin/PFA-fixed paraffin-embedded sections) - Anti-beta III Tubulin antibody [2G10] - Neuronal Marker (AB78078)

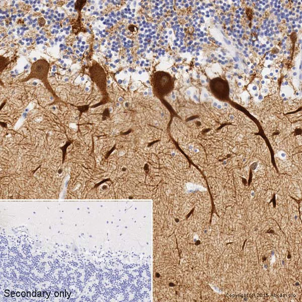
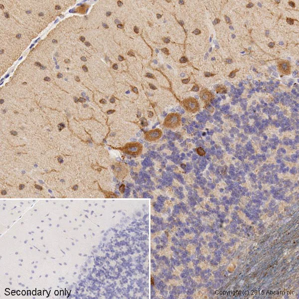
IHC image of ab78078 staining beta III Tubulin in rat cerebellum formalin fixed paraffin embedded tissue sections, performed on a Leica Bond. The section was pre-treated using heat mediated antigen retrieval with EDTA/Tris (epitope retrieval solution 2) for 20 mins. The section was then incubated with ab78078, 0.5μg/ml, for 15 mins at room temperature and detected using an HRP conjugated compact polymer system. DAB was used as the chromogen. The section was then counterstained with haematoxylin and mounted with DPX. No primary antibody was used in the secondary only control (shown on the inset).
For other IHC staining systems (automated and non-automated) customers should optimize variable parameters such as antigen retrieval conditions, primary antibody concentration and antibody incubation times.

Immunocytochemistry/ Immunofluorescence - Anti-beta III Tubulin antibody [2G10] - Neuronal Marker (AB78078)
  • ICC/IF

Lab

Immunocytochemistry/ Immunofluorescence - Anti-beta III Tubulin antibody [2G10] - Neuronal Marker (AB78078)

ab78078 staining beta III Tubulin in NGF-differentiated PC12 cells. The cells were fixed with 100% methanol (5 min), permeabilized with 0.1% PBS-Triton X-100 for 5 minutes and then blocked with 1% BSA/10% normal goat serum/0.3M glycine in 0.1%PBS-Tween for 1h. The cells were then incubated overnight at 4°C with ab78078 at 1µg/ml and ab6046, Rabbit polyclonal to beta Tubulin - Loading Control. Cells were then incubated with ab150117, Goat polyclonal Secondary Antibody to Mouse IgG H&L (Alexa Fluor® 488) preadsorbed at 1/1000 dilution (shown in green) and ab150080, Goat polyclonal Secondary Antibody to Rabbit IgG - H&L (Alexa Fluor® 594) at 1/1000 dilution (shown in pseudocolour red). Nuclear DNA was labelled with DAPI (shown in blue).

Image was acquired with a confocal microscope (Leica-Microsystems TCS SP8) and a single confocal section is shown.

Immunocytochemistry/ Immunofluorescence - Anti-beta III Tubulin antibody [2G10] - Neuronal Marker (AB78078)
  • ICC/IF

AbReview48553****

Immunocytochemistry/ Immunofluorescence - Anti-beta III Tubulin antibody [2G10] - Neuronal Marker (AB78078)

ab78078 staining beta III Tubulin (red) in mouse differentiated neural stem cells by ICC/IF (Immunocytochemistry/immunofluorescence). Cells were fixed with paraformaldehyde, permeabilized with 0.2% Triton X-100. Samples were incubated with primary antibody (5μg/ml in PBS + 3% BSA) for 16 hours at 4°C. An Alexa Fluor® 568-conjugated donkey anti-mouse IgG polyclonal (1/1000) was used as the secondary antibody. Blue - DAPI nuclear counterstain.

This image is courtesy of an anonymous Abreview

Immunoprecipitation - Anti-beta III Tubulin antibody [2G10] - Neuronal Marker (AB78078)
  • IP

Unknown

Immunoprecipitation - Anti-beta III Tubulin antibody [2G10] - Neuronal Marker (AB78078)

Neuron specific beta III Tubulin - Neuronal Marker was immunoprecipitated using 0.5mg Mouse Brain whole tissue lysate, 5µg of Mouse monoclonal [2G10] to Neuron specific beta III Tubulin - Neuronal Marker and 50µl of protein G magnetic beads (+). No antibody was added to the control (-).
The antibody was incubated under agitation with Protein G beads for 10min, Mouse Brain whole tissue lysate lysate diluted in RIPA buffer was added to each sample and incubated for a further 10min under agitation.
Proteins were eluted by addition of 40µl SDS loading buffer and incubated for 10min at 70oC; 10µl of each sample was separated on a SDS PAGE gel, transferred to a nitrocellulose membrane, blocked with 5% BSA and probed with ab78078.
Secondary : Goat polyclonal to mouse IgG light chain specific (HRP) at 1/5000 dilution.
Band : 50kDa : Neuron specific beta III Tubulin - Neuronal Marker.

All lanes:

Immunoprecipitation - Anti-beta III Tubulin antibody [2G10] - Neuronal Marker (ab78078)

Predicted band size: 50 kDa

false

Western blot - Anti-beta III Tubulin antibody [2G10] - Neuronal Marker (AB78078)
  • WB

Lab

Western blot - Anti-beta III Tubulin antibody [2G10] - Neuronal Marker (AB78078)

Lanes 1 - 4 : Merged signal (red and green). Green - ab78078 observed at 50 kDa. Red - loading control, ab181602, observed at 37 kDa.

ab78078 was shown to specifically react with beta III Tubulin in wild-type HAP1 cells as signal was lost in beta III Tubulin knockout cells. Wild-type and beta III Tubulin knockout samples were subjected to SDS-PAGE. ab78078 and ab181602 (Rabbit anti-GAPDH loading control) were incubated overnight at 4°C at 10 μg/ml and 1/20000 dilution respectively. Blots were developed with Goat anti-Mouse IgG H&L (IRDye® 800CW) preabsorbed ab216772 and Goat anti-Rabbit IgG H&L (IRDye® 680RD) preabsorbed ab216777 secondary antibodies at 1/20000 dilution for 1 hour at room temperature before imaging.

All lanes:

Western blot - Anti-beta III Tubulin antibody [2G10] - Neuronal Marker (ab78078) at 1/20000 dilution

Lane 1:

Wild-type HAP1 whole cell lysate at 20 µg

Lane 2:

Beta III Tubulin knockout HAP1 whole cell lysate at 20 µg

Lane 3:

HeLa whole cell lysate at 20 µg

Lane 4:

HEK-293 whole cell lysate at 20 µg

Predicted band size: 50 kDa

false

Western blot - Anti-beta III Tubulin antibody [2G10] - Neuronal Marker (AB78078)
  • WB

Unknown

Western blot - Anti-beta III Tubulin antibody [2G10] - Neuronal Marker (AB78078)

This blot was produced using a 4-12% Bis-tris gel under the MOPS buffer system. The gel was run at 200V for 50 minutes before being transferred onto a Nitrocellulose membrane at 30V for 70 minutes. The membrane was then blocked for an hour using 2% Bovine Serum Albumin before being incubated with ab78078 overnight at 4°C. Antibody binding was detected using an anti-mouse antibody conjugated to HRP, and visualised using ECL development solution ab133406

All lanes:

Western blot - Anti-beta III Tubulin antibody [2G10] - Neuronal Marker (ab78078) at 1 µg/mL

Lane 1:

Human brain tissue lysate - total protein (ab29466) at 10 µg

Lane 2:

Brain (Mouse) Tissue Lysate at 10 µg

Lane 3:

Brain (Rat) Tissue Lysate at 10 µg

Secondary

All lanes:

Western blot - Goat Anti-Mouse IgG H&L (HRP) preadsorbed (<a href='/products/secondary-antibodies/goat-mouse-igg-h-l-hrp-preadsorbed-ab97040'>ab97040</a>) at 1/50000 dilution

Predicted band size: 50 kDa

Observed band size: 50 kDa

true

Exposure time: 90s

Immunohistochemistry (Formalin/PFA-fixed paraffin-embedded sections) - Anti-beta III Tubulin antibody [2G10] - Neuronal Marker (AB78078)
  • IHC-P

AbReview17595****

Immunohistochemistry (Formalin/PFA-fixed paraffin-embedded sections) - Anti-beta III Tubulin antibody [2G10] - Neuronal Marker (AB78078)

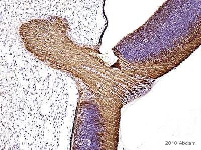
Immunohistochemistical detection of Neuron specific beta III Tubulin antibody using ab78078 on formaldehyde-fixed paraffin-embedded marmoset cerebellum sections. Antigen retrieval step : Heat mediated in Citric acid pH6 buffer. Permeabilization : No. Blocking step : 1% BSA for 10 mins @ rt°C. Primary Antibody used at 1/1000 incubated for 2 hours in TBS/BSA/azide. Secondary Antibody : anti mouse IgG conjugation to biotin (1/200).

This image is courtesy of Carl Hobbs, King's College London, United Kingdom

Immunohistochemistry (Formalin/PFA-fixed paraffin-embedded sections) - Anti-beta III Tubulin antibody [2G10] - Neuronal Marker (AB78078)
  • IHC-P

Unknown

Immunohistochemistry (Formalin/PFA-fixed paraffin-embedded sections) - Anti-beta III Tubulin antibody [2G10] - Neuronal Marker (AB78078)

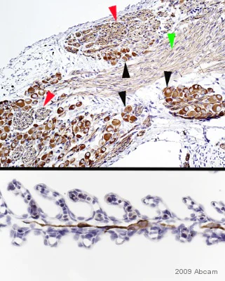
Immunohistochemical detection of Neuron specific beta III Tubulin using ab78078 on formaldehyde fixed dogfish/catshark PNS tissue sections. Antigen retrieval step : heat mediated in citric acid. Blocking : 1% BSA for 10 mins @ rt°C. Primary antibody ab78078 incubated at 1/1250 for 2 hours. Secondary Antibody : anti mouse IgG conjugated to biotin @ 1/200 This is a composite image of neuronal cell bodies and fibres; the upper image uses coloured arrowheads to indicate positive PNS components : cell bodies (black), L/S (green) and T/S (red) nerve fibres of what appear to be three Ganglia. Note that the L/S fibres do not appear as well-stained as the T/S fibres. The lower image shows what appears to be a linear sequence of single nerve cells and their processes within the core of a gill.

This image is courtesy of Carl Hobbs, King's College London, United Kingdom

Immunohistochemistry (Formalin/PFA-fixed paraffin-embedded sections) - Anti-beta III Tubulin antibody [2G10] - Neuronal Marker (AB78078)
  • IHC-P

AbReview16431****

Immunohistochemistry (Formalin/PFA-fixed paraffin-embedded sections) - Anti-beta III Tubulin antibody [2G10] - Neuronal Marker (AB78078)

ab78078 staining beta III Tubulin in Chicken e6 : developing eye tissue sections by Immunohistochemistry (IHC-P - formaldehyde-fixed, paraffin-embedded sections). Tissue was fixed with formaldehyde and blocked with 1% BSA for 10 minutes at room temperature; antigen retrieval was by heat mediation in a citrate buffer. Samples were incubated with primary antibody (1/1250) for 2 hours. A Biotin-conjugated Goat anti-mouse IgG polyclonal (1/200) was used as the secondary antibody.

This image is courtesy of an abreview by Carl Hobbs

関連する標識済み抗体及び組成の異なる製品 (4)

  • Carrier free

    Anti-beta III Tubulin antibody [2G10] - BSA and Azide free

  • 519 Alexa Fluor® 488

    Alexa Fluor® 488 Anti-beta III Tubulin antibody [2G10] - Neuronal Marker

  • 665 Alexa Fluor® 647

    Alexa Fluor® 647 Anti-beta III Tubulin antibody [2G10] - Neuronal Marker

  • HRP

    HRP Anti-beta III Tubulin antibody [2G10] - Neuronal Marker

Key facts

宿主種

Mouse

クローン性

Monoclonal

クローン番号

2G10

アイソタイプ

IgG2a

キャリアフリー

No

交差種

Dogfish, Common marmoset, Catshark, Mouse, Rat, Human

アプリケーション

IP, IHC-P, Flow Cyt (Intra), WB, ICC/IF

applications

免疫原

The exact immunogen used to generate this antibody is proprietary information.

Reactivity data

{ "title": "Reactivity Data", "filters": { "stats": ["", "Species", "Dilution Info", "Notes"], "tabs": { "all-applications": {"fullname" : "All Applications", "shortname": "All Applications"}, "IHCP" : {"fullname" : "Immunohistochemistry (Formalin/PFA-fixed paraffin-embedded sections)", "shortname":"IHC-P"}, "ICCIF" : {"fullname" : "Immunocytochemistry/ Immunofluorescence", "shortname":"ICC/IF"}, "IP" : {"fullname" : "Immunoprecipitation", "shortname":"IP"}, "FlowCytIntra" : {"fullname" : "Flow Cytometry (Intracellular)", "shortname":"Flow Cyt (Intra)"}, "WB" : {"fullname" : "Western blot", "shortname":"WB"} }, "product-promise": { "all": "all", "testedAndGuaranteed": "tested", "guaranteed": "expected", "predicted": "predicted", "notRecommended": "not-recommended" } }, "values": { "Human": { "IHCP-species-checked": "testedAndGuaranteed", "IHCP-species-dilution-info": "0.2-1 µg/mL", "IHCP-species-notes": "<p></p>", "ICCIF-species-checked": "testedAndGuaranteed", "ICCIF-species-dilution-info": "1 µg/mL", "ICCIF-species-notes": "<p></p>", "IP-species-checked": "guaranteed", "IP-species-dilution-info": "", "IP-species-notes": "", "FlowCytIntra-species-checked": "testedAndGuaranteed", "FlowCytIntra-species-dilution-info": "1 µg for 10^6 Cells", "FlowCytIntra-species-notes": "<p><a href='/products/primary-antibodies/mouse-igg2c-kappa-monoclonal-18c8bc7ad10-isotype-control-ab170191'>ab170191</a> - Mouse monoclonal IgG2a, is suitable for use as an isotype control with this antibody.</p>", "WB-species-checked": "testedAndGuaranteed", "WB-species-dilution-info": "1 µg/mL", "WB-species-notes": "<p></p>" }, "Mouse": { "IHCP-species-checked": "testedAndGuaranteed", "IHCP-species-dilution-info": "0.2-1 µg/mL", "IHCP-species-notes": "<p></p>", "ICCIF-species-checked": "testedAndGuaranteed", "ICCIF-species-dilution-info": "1 µg/mL", "ICCIF-species-notes": "<p></p>", "IP-species-checked": "testedAndGuaranteed", "IP-species-dilution-info": "", "IP-species-notes": "<p></p>", "FlowCytIntra-species-checked": "guaranteed", "FlowCytIntra-species-dilution-info": "", "FlowCytIntra-species-notes": "", "WB-species-checked": "testedAndGuaranteed", "WB-species-dilution-info": "1 µg/mL", "WB-species-notes": "<p></p>" }, "Rat": { "IHCP-species-checked": "testedAndGuaranteed", "IHCP-species-dilution-info": "0.2-1 µg/mL", "IHCP-species-notes": "<p></p>", "ICCIF-species-checked": "testedAndGuaranteed", "ICCIF-species-dilution-info": "1 µg/mL", "ICCIF-species-notes": "<p></p>", "IP-species-checked": "guaranteed", "IP-species-dilution-info": "", "IP-species-notes": "<p></p>", "FlowCytIntra-species-checked": "guaranteed", "FlowCytIntra-species-dilution-info": "", "FlowCytIntra-species-notes": "", "WB-species-checked": "testedAndGuaranteed", "WB-species-dilution-info": "1 µg/mL", "WB-species-notes": "<p></p>" }, "Cat": { "IHCP-species-checked": "predicted", "IHCP-species-dilution-info": "", "IHCP-species-notes": "", "ICCIF-species-checked": "predicted", "ICCIF-species-dilution-info": "", "ICCIF-species-notes": "", "IP-species-checked": "predicted", "IP-species-dilution-info": "", "IP-species-notes": "", "FlowCytIntra-species-checked": "predicted", "FlowCytIntra-species-dilution-info": "", "FlowCytIntra-species-notes": "", "WB-species-checked": "predicted", "WB-species-dilution-info": "", "WB-species-notes": "" }, "Catshark": { "IHCP-species-checked": "testedAndGuaranteed", "IHCP-species-dilution-info": "0.2-1 µg/mL", "IHCP-species-notes": "<p></p>", "ICCIF-species-checked": "guaranteed", "ICCIF-species-dilution-info": "", "ICCIF-species-notes": "", "IP-species-checked": "guaranteed", "IP-species-dilution-info": "", "IP-species-notes": "", "FlowCytIntra-species-checked": "guaranteed", "FlowCytIntra-species-dilution-info": "", "FlowCytIntra-species-notes": "", "WB-species-checked": "guaranteed", "WB-species-dilution-info": "", "WB-species-notes": "" }, "Chicken": { "IHCP-species-checked": "predicted", "IHCP-species-dilution-info": "", "IHCP-species-notes": "", "ICCIF-species-checked": "predicted", "ICCIF-species-dilution-info": "", "ICCIF-species-notes": "", "IP-species-checked": "predicted", "IP-species-dilution-info": "", "IP-species-notes": "", "FlowCytIntra-species-checked": "predicted", "FlowCytIntra-species-dilution-info": "", "FlowCytIntra-species-notes": "", "WB-species-checked": "predicted", "WB-species-dilution-info": "", "WB-species-notes": "" }, "Common marmoset": { "IHCP-species-checked": "testedAndGuaranteed", "IHCP-species-dilution-info": "0.2-1 µg/mL", "IHCP-species-notes": "<p></p>", "ICCIF-species-checked": "guaranteed", "ICCIF-species-dilution-info": "", "ICCIF-species-notes": "", "IP-species-checked": "guaranteed", "IP-species-dilution-info": "", "IP-species-notes": "", "FlowCytIntra-species-checked": "guaranteed", "FlowCytIntra-species-dilution-info": "", "FlowCytIntra-species-notes": "", "WB-species-checked": "guaranteed", "WB-species-dilution-info": "", "WB-species-notes": "" }, "Cow": { "IHCP-species-checked": "predicted", "IHCP-species-dilution-info": "", "IHCP-species-notes": "", "ICCIF-species-checked": "predicted", "ICCIF-species-dilution-info": "", "ICCIF-species-notes": "", "IP-species-checked": "predicted", "IP-species-dilution-info": "", "IP-species-notes": "", "FlowCytIntra-species-checked": "predicted", "FlowCytIntra-species-dilution-info": "", "FlowCytIntra-species-notes": "", "WB-species-checked": "predicted", "WB-species-dilution-info": "", "WB-species-notes": "" }, "Dogfish": { "IHCP-species-checked": "testedAndGuaranteed", "IHCP-species-dilution-info": "0.2-1 µg/mL", "IHCP-species-notes": "<p></p>", "ICCIF-species-checked": "guaranteed", "ICCIF-species-dilution-info": "", "ICCIF-species-notes": "", "IP-species-checked": "guaranteed", "IP-species-dilution-info": "", "IP-species-notes": "", "FlowCytIntra-species-checked": "guaranteed", "FlowCytIntra-species-dilution-info": "", "FlowCytIntra-species-notes": "", "WB-species-checked": "guaranteed", "WB-species-dilution-info": "", "WB-species-notes": "" }, "Quail": { "IHCP-species-checked": "predicted", "IHCP-species-dilution-info": "", "IHCP-species-notes": "", "ICCIF-species-checked": "predicted", "ICCIF-species-dilution-info": "", "ICCIF-species-notes": "", "IP-species-checked": "predicted", "IP-species-dilution-info": "", "IP-species-notes": "", "FlowCytIntra-species-checked": "predicted", "FlowCytIntra-species-dilution-info": "", "FlowCytIntra-species-notes": "", "WB-species-checked": "predicted", "WB-species-dilution-info": "", "WB-species-notes": "" }, "Rabbit": { "IHCP-species-checked": "predicted", "IHCP-species-dilution-info": "", "IHCP-species-notes": "", "ICCIF-species-checked": "predicted", "ICCIF-species-dilution-info": "", "ICCIF-species-notes": "", "IP-species-checked": "predicted", "IP-species-dilution-info": "", "IP-species-notes": "", "FlowCytIntra-species-checked": "predicted", "FlowCytIntra-species-dilution-info": "", "FlowCytIntra-species-notes": "", "WB-species-checked": "predicted", "WB-species-dilution-info": "", "WB-species-notes": "" } } }

製品の詳細

Anti-beta III Tubulin antibody [2G10] - Neuronal Marker (ab78078) is a mouse monoclonal antibody and is validated for use in Flow Cyt (Intra), ICC/IF, IHC-P, IP and WB.

Anti-beta III Tubulin antibody [2G10] - Neuronal Marker (ab78078) was first used in a scientific publication in 1990 and has been cited over 323 times in peer reviewed journals. It's performance in Western blot and IHC in human, mouse and rat samples is trusted by the scientific community.

Abcam's high quality validation processes ensure Anti-beta III Tubulin antibody [2G10] - Neuronal Marker (ab78078) has high sensitivity and specificity.

The specificity of Anti-beta III Tubulin antibody [2G10] - Neuronal Marker (ab78078) has been confirmed by WB testing in beta III Tubulin knockout HAP1 cells.

Anti-beta III Tubulin antibody [2G10] - Neuronal Marker (ab78078) has 40 independent reviews from customers.

Anti-beta III Tubulin antibody [2G10] - Neuronal Marker (ab78078) specifically detects beta III Tubulin (UniProt ID: Q4QRB4; Molecular weight: 51kDa) and is sold in 100 ug selling sizes.

Conjugation-ready, carrier free format available for antibody clone 2G10 - ab264097.

Antibody clone 2G10 is also available pre-conjugated to a variety of labels for your convenience - Alexa Fluor® 488, Alexa Fluor® 647, HRP (ab195879, ab19588, ab196638).

TUBB3, also known as beta-III tubulin, is a critical protein in neuro research, particularly for its role as a marker of neuronal differentiation and axonal growth. It is predominantly expressed in neurons and is essential for proper microtubule function and stability. Researchers use TUBB3 to study neuronal development, neurogenesis and the structural integrity of neurons, making it vital for understanding various neurodevelopmental and neurodegenerative conditions.

Want a custom formulation?
This antibody clone is manufactured by Abcam. If you require a custom buffer formulation or conjugation for your experiments, please contact orders@abcam.com

出荷温度及び保存条件

製品の状態
Liquid
精製方法
Affinity purification
バッファー組成
pH: 7.4 Preservative: 0.02% Sodium azide Constituents: PBS, 6.97% L-Arginine
出荷温度
Blue Ice
短期保存期間
1-2 weeks
短期保存温度
+4°C
長期保存温度
-20°C
分注に関する情報
Upon delivery aliquot
保管に関する情報
Avoid freeze / thaw cycle

補足情報

This supplementary information is collated from multiple sources and compiled automatically.

Beta III tubulin often referred to as βIII tubulin or beta-tubulin 3 is a microtubule element involved in the cellular cytoskeleton structure. This protein with a molecular mass of approximately 55 kDa plays an important role in the development and maintenance of neuron structures. It is most prominently expressed in neurons within the central and peripheral nervous systems. In these cells beta III tubulin contributes to microtubule polymerization facilitating the formation of the intricate network necessary for cell shape intracellular transport and division.
Biological function summary

Beta III tubulin acts in stabilizing microtubules which are essential for proper neuronal function. It exists as part of the tubulin dimer complex partnering with alpha-tubulin to form the building blocks of microtubules. This particular isotype is often used as a marker for neuronal differentiation due to its specific expression pattern in neural tissues. Its regulation and expression levels are important for neurogenesis and maintaining neuronal plasticity.

Pathways

Beta III tubulin plays a role in neuron-specific intracellular transport and signaling pathways like the Rho GTPase and MAPK signaling pathways. These pathways are involved in cell cycle regulation and apoptotic processes. Relationships with other proteins such as kinesins and dyneins are important in these pathways influencing intracellular transport and signaling through binding and moving along the microtubule tracks created by beta-tubulin isotypes including beta III tubulin.

Abnormal beta III tubulin expression has been associated with cancer particularly in tumors originating from neuronal lineage such as glioblastomas. Overexpression or mutations can contribute to chemoresistance complicating treatment for certain types of cancer. Beta III tubulin is also linked to neurodevelopmental disorders as it affects proper neural network formation and stability. Its relationship with tumor protein p53 is noted in cancer pathways as p53 can influence beta III tubulin expression impacting cellular proliferation and apoptosis in oncogenic processes.

製品プロトコール

For this product, it's our understanding that no specific protocols are required. You can visit:

ターゲットの情報

Tubulin is the major constituent of microtubules, protein filaments consisting of alpha- and beta-tubulin heterodimers (By similarity). Microtubules grow by the addition of GTP-tubulin dimers to the microtubule end, where a stabilizing cap forms (By similarity). Below the cap, alpha-beta tubulin heterodimers are in GDP-bound state, owing to GTPase activity of alpha-tubulin (By similarity). TUBB3 plays a critical role in proper axon guidance and maintenance (By similarity). Binding of NTN1/Netrin-1 to its receptor UNC5C might cause dissociation of UNC5C from polymerized TUBB3 in microtubules and thereby lead to increased microtubule dynamics and axon repulsion (By similarity). Plays a role in dorsal root ganglion axon projection towards the spinal cord (By similarity).
See full target information Tubb3

文献 (484)

Recent publications for all applications. Explore the full list and refine your search

Translational psychiatry 15:393 PubMed41073401

2025

Extracellular vesicle profiling reveals novel autism signatures in patient-derived forebrain organoids.

Applications

Unspecified application

Species

Unspecified reactive species

Isidora Stankovic,Phillip Smit,Jonathan Cross,Alin Rai,Paul Wolujewicz,David Greening,Dilek Colak

International journal of molecular sciences 26: PubMed41009388

2025

Neuroprotective Effects of Low-Dose Graphenic Materials on SN4741 Embryonic Stem Cells Against ER Stress and MPTP-Induced Oxidative Stress.

Applications

Unspecified application

Species

Unspecified reactive species

David Vallejo Perez,Monica Navarro,Beatriz Segura-Segura,Rune Wendelbo,Sara Bandrés-Ciga,Miguel A Arraez,Cinta Arraez,Noela Rodriguez-Losada

Biology 14: PubMed41007382

2025

A Simple Three-Dimensional Compartmentalized Co-Culture Model for Basal Forebrain and Hippocampal Neurons.

Applications

Unspecified application

Species

Unspecified reactive species

Xiaoman Luo,Jing Li,Zhiyu Deng,Yali Xu,Xixi Li,Miao Ren,Xiangning Li

Genome medicine 17:102 PubMed40999499

2025

EMB is essential for enteric nervous system development mediated by PI3K signaling.

Applications

Unspecified application

Species

Unspecified reactive species

Zhi Li,Didi Zhuansun,Xinyao Meng,Heying Yang,Jun Xiao,Yingjian Chen,Jing Wang,Xiaosi Yu,Zejian Li,Jingyi You,Xuyong Chen,Chenzhao Feng,Luyao Wu,Xufeng Chu,Weicheng Duan,Kang Wang,Zongzhe Li,Jinfa Tou,Lei Yu,Weibing Tang,Yuanmei Liu,Xuewu Jiang,Hongxia Ren,Mei Yu,Qiang Yin,Xiang Liu,Zhilin Xu,Dianming Wu,Chunlei Jiao,Donghai Yu,Xiaojuan Wu,Tianqi Zhu,Jixin Yang,Lei Xiang,Jing Wang,Qiong Wang,Bingyan Zhou,Di Wang,Ke Chen,Handan Mao,Bin Wang,Jianghua Zhan,Cong-Yi Wang,Wanjiang Zeng,Feng Chen,Bo Xiong,Jiexiong Feng

iScience 28:113078 PubMed40948553

2025

Environmental stress promotes the persistence of juvenile traits in olfactory neurons as a protective mechanism.

Applications

Unspecified application

Species

Unspecified reactive species

Julien Brechbühl,Ana Catarina Lopes,Dean Wood,Elodie Sauge,Marianne Sidhom,Noah Gilliand,Monique Nenniger Tosato,Frédéric Gachon,Marie-Christine Broillet

Cells 14: PubMed40940805

2025

Proteomics of Patient-Derived Striatal Medium Spiny Neurons in Multiple System Atrophy.

Applications

Unspecified application

Species

Unspecified reactive species

Nadine J Smandzich,Andreas Pich,Thomas Gschwendtberger,Stephan Greten,Lan Ye,Martin Klietz,Alessio Di Fonzo,Lisa M Henkel,Florian Wegner

Acta biochimica et biophysica Sinica : PubMed40944410

2025

Exosomal miR-146a-3p modulates neural stem cell fate through UCHL1 downregulation in spinal cord injury: implications for neuroregeneration.

Applications

Unspecified application

Species

Unspecified reactive species

Ying Gao,Ziwen Shi,Suhe Zhang,Zhiqiang Wu,Tao Zhou,Pinghui Zhou,Weiwei Chu,Xuyi Wang

Cell reports. Medicine 6:102319 PubMed40882623

2025

Selenized neural stem cell-derived exosomes: A neotype therapeutic agent for traumatic injuries of the central nervous system.

Applications

Unspecified application

Species

Unspecified reactive species

Wenjing Wang,Guihong Lu,Peilin Guo,Haochong Zhang,Yan Wang,Diwei Zheng,Chengliang Lyu,Dongfang Wang,Shang Li,Feng Li,Jiawei Zhao,Meng Qin,Weiping Li,Hui Tan,Guanghui Ma,Wei Wei

Nature neuroscience 28:1844-1857 PubMed40790270

2025

Potentiation of mitochondrial function by mitoDREADD-G reverses pharmacological and neurodegenerative cognitive impairment in mice.

Applications

WB

Species

Unspecified reactive species

Antonio C Pagano Zottola,Rebeca Martín-Jiménez,Gianluca Lavanco,Geneviève Hamel-Côté,Carla Ramon-Duaso,Rui S Rodrigues,Yamuna Mariani,Mehtab Khan,Filippo Drago,Stephanie Jean,Itziar Bonilla-Del Río,Daniel Jimenez-Blasco,Jon Egaña-Huguet,Abel Eraso-Pichot,Sandra Beriain,Astrid Cannich,Laura Vidal-Palencia,Rosmara Infantino,Francisca Julio-Kalajzić,Doriane Gisquet,Ania Goncalves,Inas Al-Younis,Yann Baussan,Stephane Duvezin-Caubet,Anne Devin,Edgar Soria-Gomez,Nagore Puente,Juan P Bolaños,Pedro Grandes,Sandrine Pouvreau,Arnau Busquets-Garcia,Giovanni Marsicano,Luigi Bellocchio,Etienne Hebert-Chatelain

Scientific reports 15:29291 PubMed40789910

2025

Extremely low-frequency electromagnetic fields facilitate proliferation and functional differentiation in spinal neural stem cells.

Applications

Unspecified application

Species

Unspecified reactive species

Wenxu Tang,Dan He,Xiaofei Li,Yi Feng,Yue Xu,Jiawei Hu,Wei Xu,Lei Xue
View all publications

Abcam product promise

当社は、高品質な試薬を通じてお客様の研究を力強くサポートすることをお約束いたします。ご使用いただく各段階で、常にお客様をサポートできる体制を整えております。万が一、製品が期待通りに機能しない場合は、「Abcam Product Promise」による当社保証制度に基づき、安心してご利用いただけます。
保証に関する詳細については利用規約をご確認ください。

Please note: All products are 'FOR RESEARCH USE ONLY. NOT FOR USE IN DIAGNOSTIC OR THERAPEUTIC PROCEDURES'.

For licensing inquiries, please contact partnerships@abcam.com