JavaScript is disabled in your browser. Please enable JavaScript to view this website.
AB14425

Anti-beta Defensin 1 抗体 [M11-14b-D10]

Anti-beta Defensin 1 antibody [M11-14b-D10]

Be the first to review this product! Submit a review

|

(10 Publications)

Mouse Monoclonal beta Defensin 1 antibody. Suitable for ELISA, WB, IHC-P and reacts with Human samples. Cited in 10 publications. Immunogen corresponding to Synthetic Peptide within Human DEFB1 aa 1-50.

別名を表示する

BD1, HBD1, DEFB1, Beta-defensin 1, BD-1, hBD-1

1 Images
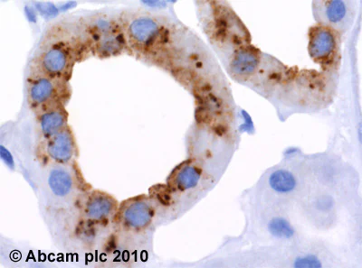
Immunohistochemistry (Formalin/PFA-fixed paraffin-embedded sections) - Anti-beta Defensin 1 antibody [M11-14b-D10] (AB14425)
  • IHC-P

Unknown

Immunohistochemistry (Formalin/PFA-fixed paraffin-embedded sections) - Anti-beta Defensin 1 antibody [M11-14b-D10] (AB14425)

ab14425 (2µg/ml) staining beta defensin in human kidney, using an automated system (DAKO Autostainer Plus). Using this protocol there is strong staining in the epithelial layers of the loops of Henle, distal tubules and collecting ducts.
Sections were rehydrated and antigen retrieved with the Dako 3 in 1 AR buffer EDTA pH 9.0 in a DAKO PT link. Slides were peroxidase blocked in 3% H2O2 in methanol for 10 mins. They were then blocked with Dako Protein block for 10 minutes (containing casein 0.25% in PBS) then incubated with primary antibody for 20 min and detected with Dako envision flex amplification kit for 30 minutes. Colorimetric detection was completed with Diaminobenzidine for 5 minutes. Slides were counterstained with Haematoxylin and coverslipped under DePeX. Please note that, for manual staining, optimization of primary antibody concentration and incubation time is recommended. Signal amplification may be required.

Key facts

宿主種

Mouse

クローン性

Monoclonal

クローン番号

M11-14b-D10

アイソタイプ

IgG1

キャリアフリー

No

交差種

Human

アプリケーション

IHC-P, ELISA, WB

applications

免疫原

Synthetic Peptide within Human DEFB1 aa 1-50. The exact immunogen used to generate this antibody is proprietary information.

P60022

Reactivity data

{ "title": "Reactivity Data", "filters": { "stats": ["", "Species", "Dilution Info", "Notes"], "tabs": { "all-applications": {"fullname" : "All Applications", "shortname": "All Applications"}, "ELISA" : {"fullname" : "ELISA", "shortname":"ELISA"}, "WB" : {"fullname" : "Western blot", "shortname":"WB"}, "IHCP" : {"fullname" : "Immunohistochemistry (Formalin/PFA-fixed paraffin-embedded sections)", "shortname":"IHC-P"} }, "product-promise": { "all": "all", "testedAndGuaranteed": "tested", "guaranteed": "expected", "predicted": "predicted", "notRecommended": "not-recommended" } }, "values": { "Human": { "ELISA-species-checked": "guaranteed", "ELISA-species-dilution-info": "", "ELISA-species-notes": "<p></p>", "WB-species-checked": "guaranteed", "WB-species-dilution-info": "", "WB-species-notes": "<p></p>", "IHCP-species-checked": "testedAndGuaranteed", "IHCP-species-dilution-info": "2 µg/mL", "IHCP-species-notes": "<p></p>" }, "Chimpanzee": { "ELISA-species-checked": "predicted", "ELISA-species-dilution-info": "", "ELISA-species-notes": "", "WB-species-checked": "predicted", "WB-species-dilution-info": "", "WB-species-notes": "", "IHCP-species-checked": "predicted", "IHCP-species-dilution-info": "", "IHCP-species-notes": "" } } }

出荷温度及び保存条件

製品の状態
Liquid
精製方法
Affinity purification Protein L
バッファー組成
pH: 7.4 Constituents: 0.79% Tris HCl
出荷温度
Blue Ice
短期保存温度
+4°C
長期保存温度
-20°C
分注に関する情報
Upon delivery aliquot
保管に関する情報
Avoid freeze / thaw cycle

補足情報

This supplementary information is collated from multiple sources and compiled automatically.

Beta Defensin 1 also known as DEFb-1 is an antimicrobial peptide with a mass of approximately 4.8 kDa. This defensin emits from epithelial cells across various tissues such as the respiratory tract urogenital tract and skin. It forms part of a family of small cysteine-rich cationic proteins. The defensin microenvironment allows it to disrupt microbial cell membranes providing immediate defense against pathogens.
Biological function summary

This defensin protein plays an important role in the innate immune system by protecting epithelial surfaces from infection. DEFb-1 does not act as part of a larger protein complex and it independently modulates immune responses. Its expression helps maintain a balanced relationship between the host's immune system and microbial populations reducing inflammatory reactions.

Pathways

The action of beta Defensin 1 integrates into the Toll-like receptor signaling and NF-kB pathways. It participates in regulating the immune response against microbial invasion. These pathways involve interactions with proteins like MyD88 and TRAF6 linking beta Defensin 1 to the broader network of innate immunity.

DEFb-1 has associations with conditions such as inflammatory bowel disease and cystic fibrosis. In inflammatory bowel disease the reduced expression of beta Defensin 1 can disrupt gut microbiota balance while in cystic fibrosis altered defensin levels affect mucus-associated bacterial load. The interplay between DEFb-1 and the CFTR protein highlights its impact on surface clearance and infection susceptibility.

製品プロトコール

For this product, it's our understanding that no specific protocols are required. You can visit:

ターゲットの情報

Has bactericidal activity. May act as a ligand for C-C chemokine receptor CCR6. Positively regulates the sperm motility and bactericidal activity in a CCR6-dependent manner. Binds to CCR6 and triggers Ca2+ mobilization in the sperm which is important for its motility (PubMed : 25122636).
See full target information DEFB1

文献 (10)

Recent publications for all applications. Explore the full list and refine your search

Journal of inflammation research 15:141-152 PubMed35035226

2022

Tumor-Infiltrating CD4 Central Memory T Cells Correlated with Favorable Prognosis in Oral Squamous Cell Carcinoma.

Applications

Unspecified application

Species

Unspecified reactive species

Jin Wu,Tianyi Zhang,Haofeng Xiong,Liujun Zeng,Zijia Wang,Ying Peng,Weijun Chen,Xin Hu,Tong Su

PloS one 14:e0210702 PubMed30707726

2019

Pelargonium sidoides radix extract EPs 7630 reduces rhinovirus infection through modulation of viral binding proteins on human bronchial epithelial cells.

Applications

Unspecified application

Species

Unspecified reactive species

Michael Roth,Lei Fang,Daiana Stolz,Michael Tamm

Scientific reports 8:18043 PubMed30575780

2018

Expression of the human antimicrobial peptide β-defensin-1 is repressed by the EGFR-ERK-MYC axis in colonic epithelial cells.

Applications

Unspecified application

Species

Unspecified reactive species

Clément Bonamy,Emmanuel Sechet,Aurélien Amiot,Antoine Alam,Michael Mourez,Laurent Fraisse,Philippe J Sansonetti,Brice Sperandio

The Journal of allergy and clinical immunology 143:173-181.e10 PubMed30248356

2018

Loss-of-function mutations in caspase recruitment domain-containing protein 14 (CARD14) are associated with a severe variant of atopic dermatitis.

Applications

Unspecified application

Species

Unspecified reactive species

Alon Peled,Ofer Sarig,Guangping Sun,Liat Samuelov,Chi A Ma,Yuan Zhang,Tom Dimaggio,Celeste G Nelson,Kelly D Stone,Alexandra F Freeman,Liron Malki,Lucia Seminario Vidal,Latha M Chamarthy,Valeria Briskin,Janan Mohamad,Mor Pavlovsky,Jolan E Walter,Joshua D Milner,Eli Sprecher

International journal of pediatric otorhinolaryngo 110:100-104 PubMed29859567

2018

Tonsillar antimicrobial peptide (AMP) expression profiles of periodic fever, aphthous stomatitis, pharyngitis, cervical adenitis (PFAPA) patients.

Applications

IHC-P

Species

Human

Umut Gazi,Martha Emmanuel Agada,Hanife Ozkayalar,Ceyhun Dalkan,Burcin Sanlidag,Mustafa Asım Safak,Gamze Mocan,Nerin Onder Bahceciler

PloS one 12:e0188010 PubMed29182620

2017

Broncho Vaxom (OM-85) modulates rhinovirus docking proteins on human airway epithelial cells via Erk1/2 mitogen activated protein kinase and cAMP.

Applications

Unspecified application

Species

Unspecified reactive species

Michael Roth,Christian Pasquali,Daiana Stolz,Michael Tamm

Cellular physiology and biochemistry : internation 36:457-73 PubMed25968832

2015

Cigarette Smoke Modulates NOD1 Signal Pathway and Human β Defensins Expression in Human Oral Mucosa.

Applications

Unspecified application

Species

Human

Ya-Jie Qian,Xiang Wang,Ya-Fan Gao,Ning Duan,Xiao-Feng Huang,Fang-Fang Sun,Xiao-Dong Han,Wen-Mei Wang

PloS one 10:e0117038 PubMed25643281

2015

Antimicrobial protein and Peptide concentrations and activity in human breast milk consumed by preterm infants at risk of late-onset neonatal sepsis.

Applications

ELISA

Species

Unspecified reactive species

Stephanie Trend,Tobias Strunk,Julie Hibbert,Chooi Heen Kok,Guicheng Zhang,Dorota A Doherty,Peter Richmond,David Burgner,Karen Simmer,Donald J Davidson,Andrew J Currie

PloS one 9:e91867 PubMed24658581

2014

Human beta-defensin-1 suppresses tumor migration and invasion and is an independent predictor for survival of oral squamous cell carcinoma patients.

Applications

IHC

Species

Human

Qi Han,Ruinan Wang,Chongkui Sun,Xin Jin,Dongjuan Liu,Xin Zhao,Lili Wang,Ning Ji,Jing Li,Yu Zhou,Ling Ye,Xinhua Liang,Lu Jiang,Ga Liao,Hongxia Dan,Xin Zeng,Qianming Chen

Journal of proteomics 75:1472-85 PubMed22138257

2011

Proteinase 3 carries small unusual carbohydrates and associates with αlpha-defensins.

Applications

Unspecified application

Species

Unspecified reactive species

Morten Zoega,Tina Ravnsborg,Peter Højrup,Gunnar Houen,Christian Schou
View all publications

Abcam product promise

当社は、高品質な試薬を通じてお客様の研究を力強くサポートすることをお約束いたします。ご使用いただく各段階で、常にお客様をサポートできる体制を整えております。万が一、製品が期待通りに機能しない場合は、「Abcam Product Promise」による当社保証制度に基づき、安心してご利用いただけます。
保証に関する詳細については利用規約をご確認ください。

Please note: All products are 'FOR RESEARCH USE ONLY. NOT FOR USE IN DIAGNOSTIC OR THERAPEUTIC PROCEDURES'.

For licensing inquiries, please contact partnerships@abcam.com